Главная Юзердоски Каталог Трекер NSFW Настройки

Медицина

Ответить в тред Ответить в тред
Check this out!
<<
Назад | Вниз | Каталог | Обновить | Автообновление | 18 10 9
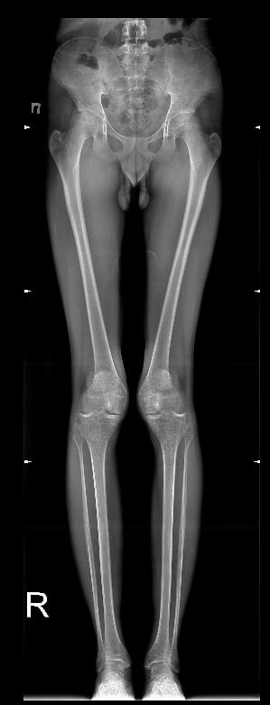
Х образное искривление ног Анончик # OP 01/07/25 Втр 18:17:13 1629327 1
IMG202409162248[...].jpg 1098Кб, 2448x3264
2448x3264
Сап двач, у меня вот такие вот кривинькие ноги, хочу это исправить, думаю сделать это с помощью ортеза, жестко зафиксировав, чтобы ноги при ходьбе потихоньку выпрямлялись. Но не знаю стоит ли, это вообще может помочь? Может вместе с этим делать всякие упражнения, посоветуете? Ну и вообще, как этот ортез работает, как его правильно подобрать и настроить?
Анончик # OP 01/07/25 Втр 18:44:30 1629334 2
Бамп
Анончик # OP 01/07/25 Втр 21:14:51 1629379 3
Бамп
Анончик # OP 01/07/25 Втр 22:52:44 1629398 4
Бамп
Анончик 02/07/25 Срд 12:24:34 1629454 5
Бамп
Аноним 02/07/25 Срд 19:40:11 1629591 6
>>1629327 (OP)
какой ортез, тут только ноги ломать и ставить аппарат илизарова, и нахуй ты бампаешь дебик, здесь не /б, крч забей и ходи с кривыми, ничего не сделать
Аноним 03/07/25 Чтв 00:27:51 1629655 7
>>1629591
Анон, анончик, анонушка, неужели по другому совсем никак?
Аноним 03/07/25 Чтв 02:19:33 1629660 8
>>1629655
А как ты будешь менять форму кости во взрослом возрасте без ломки. Только илизаров, но я не понимаю чё ты паришься из-за этого, ты же не баба, у меня самого ноги кривые, хожу в шортах и вообще не парюсь, забей
Аноним 03/07/25 Чтв 07:15:16 1629672 9
>>1629660
Неее, я у меня в коленях ноги в сторону уходят, не сама кость кривая, наверно.
Меня это парит по тому что ходить хоть и можно но неудобно, а ещё я не могу нормально ездить на велосипеде, и прыгать со скакалкой, так как ноги друг об друга там сильно трутся и от этого больно.
Ну и в целом, для эСтЭтИчНоСтИ~°•°•
Аноним 03/07/25 Чтв 18:41:01 1629761 10
Бамп
Аноним 03/07/25 Чтв 19:01:20 1629765 11
>>1629327 (OP)
Только операция. сам гуглил два года назад. Восстановление 3 месяца в клинике, потом еще через три месяца можно заниматься спортом.
Аноним 03/07/25 Чтв 19:03:13 1629766 12
>>1629765
Ну бляяяяя... Бляяяяяя... Бляяяяять...
Я не хочу отдавать этим жадным врачам ни единой копейки!
Аноним 10/07/25 Чтв 04:16:55 1630783 13
82007c70-59ba-4[...].jpg 106Кб, 1920x1080
1920x1080
>>1629327 (OP)
Сам с этим живу и мучаюсь. Комплекс жуткий развился. В пиздючестве папашка пьяный идиот как-то поржал как подкошенный, обсмеял по пьяной синей лавочке и всё, пошло поехало, комплекс просто кошмарный. Я совсем пиздюком тогда был. Не могу ему этого простить. По трезвяне потом как он не старался что как бы ничего и не было, и вообще хуйня всё это но бесполезно, травму он нанёс пиздецовую просто. Сам подумывал об операции но на похуях всё пошло впесду. Так что понимаю тебя анончег, ох как понимаю.
Аноним 27/07/25 Вск 12:46:55 1633494 14
>>1629327 (OP)
У меня такая же хуйня, но куда хуже, с рождения двухсторонняя дисплазия, в лет 11 началось проявление вальгусной деформации ног, спустя год стали вылетать надколенники (чашечки). С каждым годом это все ухудшалось и ухудшалось. Родители особо не торопились меня отводить к врачам, по этому к 14 я утратил способность нормально ходить (вечный страх что вот вот вылетит колено и я упаду) бегать я вовсе не могу, потому что надколенники сместились латерально кверху, по этому стабильность моих ног начинает качать уже от обычного ветра. Из за этого я не смог подписать контракт в 18 как и хотел, но начал процесс какого либо контакта с врачами и поиска решения проблемы без мам и пап. Сам выбивал справки и направления на бесплатные обследования. Спустя 4 месяцев сбора кучи обследования, пару рентгенов, пару мрт и одного торсиального кт. Мой хирург который взял меня под свое крыло, увидел во мне необычайно удивительный случай. Моментально уехал в Москву, там на какой то крутой конференции, он показал мои результаты обследований и видео подвижности моих ног другим врачам и как он передал, там все ахуели. Предложил мне относительно сложную операцию, типичная остеотомия, только пилить будут в двух местах бедро, в трёх большеберцовую кость и резекцию икры для предотвращения спазма нервов ну и замена связок на надколеннике. В итоге, мне остаётся букалаьно две недели до госпитализация и две недели и один день до операции. Я очень волнуюсь, потому что я забыл что уже такое бегать, что такое прыгать и ходить без страха вывихнуть колено.
Аноним 27/07/25 Вск 12:57:10 1633496 15
IMG202507271253[...].jpg 97Кб, 577x1280
577x1280
IMG202507271253[...].jpg 228Кб, 1280x960
1280x960
IMG202507271253[...].jpg 195Кб, 960x1280
960x1280
IMG202507271253[...].jpg 182Кб, 960x1280
960x1280
Аноним 27/07/25 Вск 12:58:51 1633497 16
IMG202507271253[...].jpg 183Кб, 1217x959
1217x959
IMG202507271253[...].jpg 199Кб, 1224x892
1224x892
IMG202410312014[...].jpg 25Кб, 299x781
299x781
IMG202507271253[...].jpg 126Кб, 1138x788
1138x788
Аноним 01/11/25 Суб 08:29:36 1647187 17
>>1629327 (OP)

Бро, у тебя внутренние части ног спазмированы и укорочены. Соответственно тебе их надо расслаблять и растягивать. За раз не пройдëт, но со временем это уходит (примерно неск.месяцев у взрослых и неск.сеансов у детей)

Операция необходима лишь в редких запущенных случаях, когда проблема есть уже непосредственно с костями

мимо-работаю с таким
Аноним 01/11/25 Суб 08:37:10 1647188 18
>>1647187
Объясню как это работает. Мышцы когда укорочены, то ротируют кости таза и коленей вовнутрь, стягивая их за собой. Соответственно можно их вернуть обратно
Настройки X
Ответить в тред X
15000
Добавить файл/ctrl-v
Стикеры X
Избранное / Топ тредов