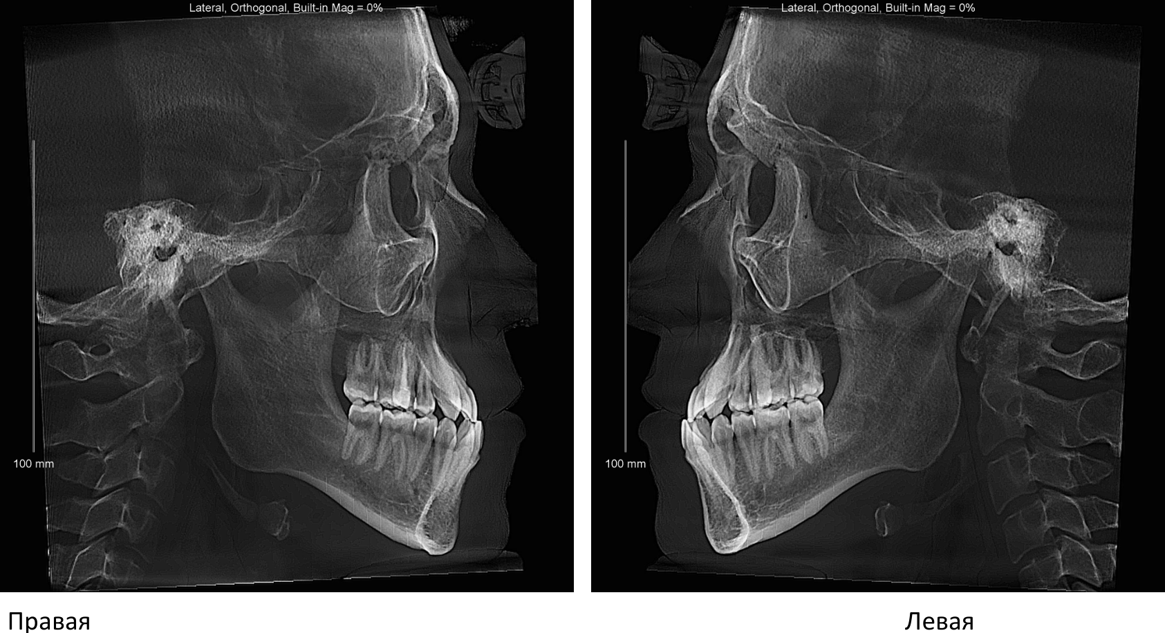
призвыаю всех пиливших челюсти по квоте в тред похоже, мой путь только начинается, чё раскажете инте
Аноним
24/07/25 Чтв 20:37:43
№
1

