Главная Юзердоски Каталог Трекер NSFW Настройки

Медицина

Ответить в тред Ответить в тред
Check this out!
<<
Назад | Вниз | Каталог | Обновить | Автообновление | 528 98 134
СТОМАТОЛОГИИ ТРЕД: ПЛАТИНОВЫЙ 3 Аноним 14/11/23 Втр 19:06:31 1493225 1
16953018548481.png 364Кб, 600x800
600x800
16973002837440.png 150Кб, 565x414
565x414
16988896475040.png 45Кб, 287x200
287x200
16968953426140.png 1563Кб, 1665x1250
1665x1250
Продолжаем задавать платиновые вопросы, обсуждать клиники, искать ортодонтов и удивляться ценам.

Так же ОП ведет полноценный прием в клинике в ДС нихуя не перекатывает свой тред после бамп-лимита 80 постов и при желании можно к нему попасть пойти нахуй.
Прошлый тред >>1479894 (OP)
Аноним 14/11/23 Втр 19:13:07 1493229 2
16996288339902.png 100Кб, 1397x411
1397x411
16996288339891.png 142Кб, 1391x785
1391x785
16996288339870.png 395Кб, 1458x1009
1458x1009
Подскажите, пожалуйста, что делать.
Прикладываю снимок Его мне делали весной, по после этого перелечили все зубы, кроме 2х, о которых расскажу ниже.
Проблема - при пережёвывании пиши болит либо 26, либо 36(прямо под ним). По ощущениям точечно болит нижний прямо в середине, но когда мне давали пожевать какую-то бумажку на приёме у стоматолога я не мог воспроизвести эту боль и как-будто бы лёгкая боль(уже не точечная) была на верхнем зубе. Стоматолог сказала, что надо поставить коронку на верхний зуб, а потом лечить нижний.
Ранее 26 зуб у меня откололся(мне удаляли нерв на нём лет 15 назад). В поликлинике стоматолог мне поставила какую-то пломбу, которая имхо заходила на соседний зуб.
Также 2 разных стоматолога их разных частных клиник говорят, что нужно ставить коронку, а для этого нужно перепломбировать каналы, там якобы 1 не запломбировали(
Мне предлагает за 35к с микроскопом перепломбировать их, потом за 65к поставить коронку(если буду ставить, то в другом месте, ибо я ебал такие цены).
Проблема - я недавно вкатился в тему коронок и ёба, мне не нравится то, что зуб твой тупо спиливают. А потом всё-равно нужно осторожничать с ним.
Вопрос -
1)насколько оправданно сначала ставить коронку на 26 зуб, а потом лечить нижний зуб?
2)Какие плюсы от коронки vs поставить пломбу и не грызть зубом орехи?
3)Нормальные ли цены? В ДС можно ли под микроскопом перелечить каналы и не платить 35к?
Сколько будет стоить поставить коронку и где лучше делать?
Аноним 14/11/23 Втр 21:20:23 1493261 3
Окей платиновый вопрос, есть запломбированный зуб с удалённым нервом, летом он начал крошиться и сейчас торчит небольшой осколок над десной. Какие пиздецомы он может дать? Удалять нет желания вообще
Аноним 14/11/23 Втр 21:27:27 1493266 4
>>1493229
У эти два зуба просто болят или разьебаны в щи? Если просто болят то ставь пломбы после перелечивания канала.
>>1493261
Конкретно что крошится? Зуб или пломба? Если пломбу делал недавно то еби мозги тому кто лечил переделывать пломбу. Зубы сами по себе не крошаться, мб по ночам давишь на зуб или зубы не смыкаются и давят лишь на один зуб при жевании.
Аноним 14/11/23 Втр 21:34:08 1493269 5
16891947537480.png 156Кб, 341x524
341x524
Лечил 2 соседних зуба от пульпита, теперь они мертвы и надо поставить коронки.

Существуют ли лайфхаки, чтобы не 2 отдельные брать для двух зубов, а сэкономить и купить сразу на 2 зуба большую коронку?
Аноним 14/11/23 Втр 22:44:22 1493294 6
Такой вопрос, если носить брекеты, то перед тем как их делать нужно вместо поломанных зубов залитых цементом стоматологическим менять их на импланты?
Аноним 14/11/23 Втр 22:51:47 1493297 7
>>1493266
Не, пломба давно сделана, просто зуб напополам раскололся вдоль, потом еще кусок откололся, когда ел, теперь там основание зуба и небольшой краевед торчит из десны
Аноним 14/11/23 Втр 23:01:22 1493300 8
>>1493294
Импланты намертво фиксированы в положении, в котором они установлены. Они не будут двигаться. Имплантацию никто не делает, если ты планируешь ставить брекеты. Тем более если у тебя сохранены зубы. Нет проблем в пломбах. Нет проблем в коронках, если они установлены на зуб, их придется поменять после лечения.
Аноним 14/11/23 Втр 23:02:02 1493301 9
>>1493297
>просто зуб напополам раскололся вдоль
В лучшем случае уйдешь ставить коронку, возможно на удаление.
Аноним 14/11/23 Втр 23:03:51 1493302 10
Аноним 14/11/23 Втр 23:14:07 1493305 11
>>1493269
Совместные коронки только под недостающий зуб ставят. Нет смысла ставить такую конструкцию если все зубы на месте, ибо если зубы начнут двигаться по какой то причине то надо будет заново ставить новую коронку.
А ваще че там экономить, металлические коронки самые дешевые, а если это зубы не жевательной группы то вообще лучше обойтись пломбой.
Аноним 14/11/23 Втр 23:19:50 1493308 12
>>1493301
Не, коронку там некуда ставить уже, его выковыривать надо, но я все же спрашиваю про то, какие пиздецомы могут быть, типо там флюз, инфекция. Учитывая, что он мёртв уже. Просто последнее время беспокоит всякая хуйня во рту и горле, вот думаю что из-за него
Аноним 15/11/23 Срд 01:11:48 1493322 13
>>1493305
>металлические коронки самые дешевые,
Сегодня ноль смысла ставить металлические, там буквально разница за единицу ну десять тыщ. А проблем много.
Аноним 15/11/23 Срд 09:13:31 1493444 14
>>1493322
Проблема в том, что керамика тоже разная бывает. А еще есть имакс, которая не керамика, но тоже круто. Только тебе никто не скажет, что тебе в итоге поставят. Просто напишут "керамическая коронка". Ну и цены на них начинаются от 30-40к. Плюс нужно не ошибиться с ортодонтом, который тебе на похуй воткнет коронку, и у тебя будет "ступенька" между коронкой и основанием, куда будет забиваться еда и скоро все воспалиться и тогда нужно будет все удалять и ставить имплант от 100к, который тоже могут криво установить.....
Аноним 15/11/23 Срд 09:14:04 1493446 15
>>1493225 (OP)
Скопил чуть больше 500к... Еще осталось копить минимум 1.5кк.....
Аноним 15/11/23 Срд 15:30:03 1493603 16
lechenie-karies[...].jpg 8Кб, 600x300
600x300
Было типа пикрил, только у меня он немного побольше прорезался. Естественно хирург сразу сказал на удаление, а на 7ке пришлось лечить пульпит. Спустя уже 9 месяцев у меня продолжает хрустеть сустав на стороне удаленного зуба, насколько это опасно и фиксится ли как-нибудь?
Аноним 15/11/23 Срд 18:21:25 1493666 17
image 645Кб, 1000x1669
1000x1669
image 657Кб, 1644x1308
1644x1308
image 695Кб, 1093x1580
1093x1580
И что это такое? Ранний флюс? Стоматит? Я могу вылечить это сам? Ни разу не былу стоматолога.
Еле сфоткал тк хуйня находится глубоко в кармашке почти у самого дна рта ближе к щеке.
Обнаружил сегодня и обосрался. Из самодеятельности пока только пасть фурацилином прополоскал. Не болит, если не трогать, например, не тягать больную часть рта в сторону в попытке сфоткать. обнаружил языком пока ел. Воспаление пока небольшое.
Подозреваю, что спровоцировало хуйню то, что я себя пару дней назад больно цапнул зубной щёткой примерно в этом же месте.
Аноним 15/11/23 Срд 23:53:55 1493777 18
Какая сейчас адекватная цена по брекетам в ДС? Как выбирать клинику?
Аноним 16/11/23 Чтв 11:13:22 1493866 19
Готовлюсь к установке двух коронок, до специализированного врача еще не дошел, терапевт говорит, что прям нужно сделать КТ для нормальной оценки. Цимес в том, что КТ платное, а обычный рентген у меня по ДМС. Таки меня наебывают и достаточно рентгена, либо все же лучше КТ сделать?
Аноним 16/11/23 Чтв 15:24:28 1493915 20
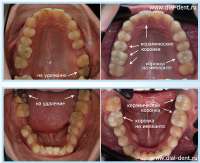
>>1493225 (OP)
Почему приложил такие слабенькие результаты ортогнатических операций, мммм?????
Аноним 16/11/23 Чтв 17:06:08 1493948 21
>>1493866
КТ стоит 3 тыщи рублей, две коронки 80к. Тебе что трудно что ли?
Аноним 16/11/23 Чтв 17:10:11 1493950 22
Аноним 16/11/23 Чтв 20:06:26 1494027 23
image.png 325Кб, 899x667
899x667
6 месяцев назад мне удалили 2 верхних зуба мудрости. Я думаю, это было просто триггером. С тех пор у меня каждый день болит челюсть и голова.


Через 2 месяца у меня защелкала челюсть.
Через 5 месяцев стоматолог наложил мне шину(как каппа пластиковая). Я носил ее по ночам 1+ месяц. Нихуя не помогло.
И тут я углубился в суть, и понял, что у меня скорее всего смещение диска, куда кость челюсти должна упираться. А челюсть встает в "правильное" положение на диск только тогда, когда я выдвигаю её вперед. А сделанная каппа не держит челюсть в такой позиции, поэтому скорее всего и не помогало.

Я уже 2 дня держу челюсть вытянутой без шины(каппы), и чувство что боль уходит. И при этом чувство что кость упирается в диск, но стоит мне вернуть обычный прикус, так тут же происходит щелчок. См пикрелейтед. Я прям чувствую когда я держу челюсть вытянутой и потихоньку её обратно втягиваю - как я натягиваю эту штуку. Мне кажется, что в этом кроется ключ к моему спасению от боли. В идеале конечно мне нужно было бы МРТ сделать или хотя бы рентген, но я это пока не делал, врач сходу решила мне шину сделать без этого...

Нашел пока только 2 интересных англоязычных статьи про это, которые в целом мою теорию подтверждают.
https://www.portlandtmjclinic.com/treatments/recapturing-the-dislocated-disk
https://mskneurology.com/true-cause-solution-temporomandibular-dysfunction-tmd/

В общем рассказывайте как диски свои на место ставили.
Аноним 16/11/23 Чтв 20:50:18 1494059 24
>>1493915
Сам должен понимать, что ZOG требует хотя бы частично скрывать от инцелов тайные техники получения челюсти чеда. Вот в прошлом треде была история, как анон приходит к врачу, а тот ему говорит "ты старый, не возьмусь, эффект будет незначительный". А вот анончик >>1493446 2 ляма копит думаешь на что? Это все не просто так.
Аноним 17/11/23 Птн 04:43:20 1494123 25
image.png 328Кб, 375x375
375x375
>>1494027
Я тока щас понял, что у меня видимо челюсть после удаления верхних зубов мудрости стала смыкаться немного не ровно. Тоесть я передние зубы ровно смыкаю, а потом постепенно смыкаю задние и челюсть как бы съезжает на пару милиметров вбок, и происходит щелчок. Видимо поэтому всё и началось. Что делать хуй знает. С одной стороны мне сделали каппу, в которой можно смыкать челюсть без щелчков, я щас даже поел в ней еду и не щелкало. Неужели мне всю жизнь теперь её носить придется если я захочу смыкать зубы? Не уверен что мне брекеты помогут в 30+ особо, да и дорого. Разве что на задних зубах пломбы сделать, чтобы без щелчка соприкосалось...Но надолго ли это хватит? Не шарю за эту тему...
Аноним 17/11/23 Птн 05:27:51 1494125 26
>>1494059
>"ты старый, не возьмусь, эффект будет незначительный"
Ну так ты на работы до-после посмотри у местных коновалов. Там за столько лет научились только нижнюю челюсть двигать вперед-назад и все. А теперь сравни с испанскими врачами, где челюсти придают наклон, плюс еще подбородок делают -
https://www.youtube.com/watch?v=M3b-DxdWoNI
Аноним 17/11/23 Птн 05:29:02 1494126 27
>>1494123
>в 30+
Ты проебал. Этим нужно было заниматься максимум лет в 20-25. А ты считай уже полжизни прожил. Дальше будет только хуже
Аноним 17/11/23 Птн 07:58:03 1494145 28
Аноним 18/11/23 Суб 00:37:13 1494496 29
Посоветуете клинику в ДС с адекватными ценами? Охуеваю с цен на лечение каналов. 23к за трехканальный зуб без учета пломбы. А туда еще коронку сверху.
Аноним 18/11/23 Суб 03:48:09 1494520 30
image.png 977Кб, 1200x1200
1200x1200
С интересом узнал, что глупые буржуи покупаются на идею наебать систему и сделать дешевые виниры в Турции, приезжают туда, но турецкие врачи-палачи вместо виниров хуярят им всю пасть коронок с обточкой, после которых от зубов остается пик.
Аноним 18/11/23 Суб 04:19:27 1494524 31
>>1494496
Лол, у меня в провинции дороже
Аноним 18/11/23 Суб 06:00:35 1494532 32
>>1494520
Просто трудности перевода. Турки думают, что виниры это коронки. Но там в принципе все очень плохо с медициной и понятия эстетики совсем иные.
У нас совсем недавно начали пиарить тему ультратонких виниров где зуб почти не стесывают
Аноним 18/11/23 Суб 06:02:45 1494533 33
>>1494496
С чего ты охуеваешь? Я перелечивал периодонтит и каналы как раз за 20 с чем-то тысяч в городе миллионнике. Это без учета коронки, которая стоит где-то 35-40к.
Но клиника выше среднего - всякие микроскопы, КТ прямо в клинике и т.д и т.п.
Думаю, что в ДС у тебя выбора побольше и сможешь найти какую-нибудь полуподвальную клинику без лицензии где тебе иностранные специалисты на глаз перелечат каналы, а потом и коронку влепят тысяч за 10-15
Аноним 18/11/23 Суб 09:38:16 1494581 34
>>1494533
У меня 12 к пломбирование двух одноканальных зубов стоило, но то было в 2020. Там вроде не микроскоп, а такая штука была, когда ее засовывают в канал и она писк издает.
Аноним 18/11/23 Суб 09:43:37 1494585 35
А вообще как с такими ценами жить, лол. Понятно, что когда запускаешь, сам виноват. Но многие из-за страха цен и запускают. У меня, наверное, штук 5 зубов найдется точно, где каналы лечить. И еще куча кариеса. Судя по тому, что читаю, это уже где-то 500 будет. С учетом роста цен на стоматологию скоро уже нормисы молодые будут без зубов ходить.
Аноним 18/11/23 Суб 10:05:16 1494596 36
>>1494581
>Там вроде не микроскоп, а такая штука была, когда ее засовывают в канал и она писк издает.
Ну каналы нужно для начала перелечить и убрать кариес. А штукой с писком проверяют, что дошли до конца канала. Потом еще с этими штырьками идешь делать прицельный рентген зуба, чтобы убедиться, что каналы прошли до конца
Аноним 18/11/23 Суб 10:06:37 1494597 37
>>1494585
Кто мешает лечиться в муниципальных поликлиниках? Ну и про нормисов ты загнул. Хожу в платную клинику уровня выше среднего. Правда это сетевая клиника, но все же. Полно молодых ребят и девчат и совсем малых детей, которых родители приводят.
Аноним 18/11/23 Суб 11:33:22 1494632 38
>>1494597
В муниципальных на отъебись делают, а потом перелечивать в частной. В клиниках ты видишь срез нормисов, которые либо не запусили зубы, либо имеют финансовые возможности, очевидно. Просто факт, что у нас сейчас неподъемные цены на серьезное лечение зубов относительно зарплат. Тот же пульпит трехканального зуба со значительным разрушением - вполне рядовая ситуация, а за его лечение сейчас просят 1,5-2 средние зарплаты в регионах.
Аноним 18/11/23 Суб 11:46:10 1494634 39
>>1494632
>Тот же пульпит трехканального зуба со значительным разрушением - вполне рядовая ситуация
Для какого-нибудь алконавта, который питается макарошками и зубы не чистит

>а за его лечение сейчас просят 1,5-2 средние зарплаты в регионах
Ну не тянешь ты нормальную клинику - иди в клинику попроще. Где не будет КТ прямо в клинике, микроскопов, ассистентов и т.д.
Аноним 18/11/23 Суб 11:53:47 1494636 40
>>1494634
Ну я вот не алконавт, зубы всю жизнь чищу, питаюсь разнообразно. Ты пытаешься прикрыть факт неподъемных цен на стомат. услуги у нас какими-то стереотипами. Упускаешь из виду, что у многих просто склонность к глубокому кариесу + страх идти в клинику после пыток в 90-х без обезбола или на фоне тех же цен. Почему ОМС не покрывает базовое лечение хотя бы за исключением материалов для меня загадка. Многие нестоматологические операции, что проводят по ОМС, в частных клиниках тоже стоят очень дорого.
Аноним 18/11/23 Суб 12:05:18 1494641 41
>>1494636
>неподъемных цен на стомат. услуги
Еще раз - не нужно тогда идти в клиники выше среднего

>склонность к глубокому кариесу
Это просто от недостатка образования и тупости. Я в свои 30+ лет только научился нормально ухаживать за зубами и понял гигиену полости рта, т.к. мне родители и близкие этого не объяснили и уже с детства у меня пол пасти было в пломбах

>страх идти в клинику после пыток в 90-х без обезбола
Это от собственной глупости. Я застал это время и даже несколько раз лечился в подобных клиниках где не было обезбола. Уже позже родители по большому знакомству водили к стоматологу на заводе где контора расщедрилась и покрывала работягам стом. услуги на хорошем импортном оборудовании с обезболом, который возили из-за границы

>Многие нестоматологические операции, что проводят по ОМС, в частных клиниках тоже стоят очень дорого.
Зачем ты идешь в подобные клиники, если не тянешь по деньгам? Для совсем нищих есть ОМС и муниципальные поликлиники где хоть как-то подлечат
Аноним 18/11/23 Суб 12:28:54 1494647 42
>>1494641
Разница в ценах между частными клиниками небольшая. Резко выделяются только элитные клиники, где цена выше средней на 20-40%. В остальном большой разницы нет. В муниципалках нужно тоже отдать немалые деньги, но появится большая вероятность, что потом пойдешь перелечивать в частную и заплатишь еще больше.
Аноним 18/11/23 Суб 13:03:06 1494655 43
>>1494647
>Разница в ценах между частными клиниками небольшая
Она огромная, лол. Ты просто кринж пишешь, чел. Разброс огромный на самом деле. Ты можешь лечиться у какого-нибудь врача-палача, который снимает полторы комнаты на цокольном этаже, либо лечиться в сетевой клинике, либо вообще в "авторской" клинике.
Аноним 18/11/23 Суб 14:08:35 1494673 44
>>1494655
Я сравниваю только приличные клиники, которые ищу через яндекс. С учетом рейтинга, отзывов, наличия приличного сайта и оборудования. Среди таких клиник цена варьируется не слишком критично в ДС и крупных городах. Подвальные зубодралки нет смысла вообще учитывать.
Аноним 18/11/23 Суб 14:14:39 1494684 45
>>1494673
>Среди таких клиник цена варьируется не слишком критично
Потому что ты выбираешь клиники одного уровня
Аноним 18/11/23 Суб 17:14:12 1494764 46
>>1494655
Ну ты исключи подвалы и всякое говно типа европейского медицинского центра, где снимок 1 зуба стоит 4 тыщи рублей. Получишь что весь разброс ну процентов 20-30.
Аноним 18/11/23 Суб 18:04:10 1494811 47
>>1494764
Так, и какие вопросы? Ну нет у тебя денег на подобные клиники - иди в поликлинику по прописке. Там тебя подлечат
Аноним 18/11/23 Суб 20:28:20 1494880 48
02 - 10 июня.jpg 195Кб, 1708x1130
1708x1130
03 - 10 июня.jpg 147Кб, 1350x788
1350x788
2023-06 2023-07[...].jpg 573Кб, 2700x1848
2700x1848
IMG201907180056[...].jpg 91Кб, 1568x1064
1568x1064
Как думаете, меня наебали или это нормальный результат? Вышло 200к только ортодонту, поддс. Шизика с ортогнастической операцией прошу пройти нахуй.
Аноним 19/11/23 Вск 05:00:19 1495063 49
>>1494880
Ты уже полгода минимум срешь в треде, старина. Тебе каждый сказал, что тебя наебали и ничего по сути не сделали.

>Вышло 200к только ортодонту, поддс
Что значит "только ортодонту"? В моем городе миллионнике лечение у среднего орта начинается от 200к. Про ортопедию и терапию я вообще молчу. Клиник где есть гнатолог и полноценная диагностика - вообще две штуки на весь город
Аноним 19/11/23 Вск 17:00:00 1495180 50
Есть гнилой моляр, от которого в основном остались стенки и черная дырка. Но корни на удивление еще живы. Если сразу нет денег на полную реставрацию с коронкой, то можно как-то в начале запломбировать каналы и поставить какую-то временную заглушку на несколько месяцев? Чтобы уложиться в ~25к.
Аноним 19/11/23 Вск 19:52:05 1495234 51
>>1495180
Да в принципе можно. Временную коронку из пластика поставят, с ней несколько месяцев проходить можно точно. А так посмотри на сайтах клиник, они часто кредит/рассрочку предлагают под менее грабительские ставки, чем банки.
Аноним 19/11/23 Вск 20:51:00 1495253 52
>>1495063
Бля, какие же инвалиды токсичные, пиздос. Ты как, нашел за полгода где голубиный профиль свой лечить будешь?
Аноним 20/11/23 Пнд 04:15:35 1495356 53
>>1495253
Привыкай, старина. Зубы у тебя потешные. Ты же скуфан-алконафт, лол))))
Аноним 20/11/23 Пнд 07:05:05 1495369 54
Аноним 20/11/23 Пнд 09:30:40 1495385 55
>>1493777
Что ты называешь "адекватной ценой"? Клиники средней руки без гнатолога и полноценной диагностики, которые лепят онли эстетику берут +- 400к за все лечение на обычных металлических брекетах
Аноним 20/11/23 Пнд 12:00:43 1495427 56
image.png 210Кб, 471x291
471x291
image.png 318Кб, 618x403
618x403
>>1493225 (OP)
Хз жив ли этот тред но я его нашёл и прошу у вас помощи, тире совета, что мне делать с кривой челюстью которая наклонена под 170 градусов, вот пик, у меня походу внчс, ЭТО ВОЗМОЖНО ПОФИКСИТЬ, У МЕНЯ ИЗ ЗА ЭТОГО ВСЕ ЕБАЛО ЖОПИТСЯ. К какому врачу следует обратиться?
Если что я не ипохондрик, на фото плохо видно, но в жизни пизда челюсть скошена как корабль который крениться.
Аноним 20/11/23 Пнд 12:02:47 1495429 57
image.png 576Кб, 857x525
857x525
>>1495427
Вот что у меня, к какому врачу обращаться? Это фикситься?
Аноним 20/11/23 Пнд 12:37:42 1495436 58
>>1495429
А сам как думаешь, чел?
Аноним 20/11/23 Пнд 13:07:52 1495446 59
>>1495436
я не ебу, мб брекеты ставить?
Аноним 20/11/23 Пнд 13:49:46 1495462 60
>>1495446
Мб к ортодонту сходить, не? А там диагностика и консультация гнатолога, не? А там глядишь и до ЧЛХ дойдет.
Аноним 20/11/23 Пнд 16:09:28 1495552 61
>>1493225 (OP)
Хирурги специально не выкладывают впечатляющие результаты операций у себя в инсте или на сайте-портфолио? Как не зайду, а там такие незначительные изменения, что не понимаешь в чем был смысл делать операцию, лол
Аноним 20/11/23 Пнд 17:05:53 1495563 62
Как тут выше советовал анон решил вместо платной клиники обратиться в муниципальную, в отделение платных услуг. Вот в Москве такая есть рядом с домом. Там в расписании вижу врачей с норм отзывами. Микроскопы, КТ и прочая ебола вроде есть. Можете глазами по прайсу пробежаться и примерно оценить, насколько дешевле средней цены в частных? Особенно лечение каналов. Там, допустим, пломбирование одного канала гуттаперчей стоит 4к с копейками. Значит ли это, что они моляр больной запломбируют за ~12к + цена подготовки и работы?

https://sp62.mos.ru/wp-content/uploads/2023/06/Prejskurant-01.06.2023-1.pdf
Аноним 20/11/23 Пнд 19:31:02 1495593 63
>>1493225 (OP)
Выпала пломба в пришеечном отделе зуба, закрывал таким образом клиновидный дефект, на верхней челюсти. Простояла 8 месяцев всего, че за хуйня, хули так мало, я еще и на профосмотр плановый не пошел, из-за этого гарантия слетела, да и гарантия всего год была. Причем аналогичные пломбы по клиновидному на нижней челюсти более чем целы, а эта вылетела как-то так аккуратно, теперь там этакая лунка, даже не заметил, ух бля
Аноним 20/11/23 Пнд 20:57:46 1495638 64
17004997928420.png 255Кб, 800x326
800x326
Аноним 20/11/23 Пнд 21:15:36 1495646 65
>>1495385
Понял, а то мне в двух назвали похожую цену, около 350, а знакомые говорят, что должно быть меньше. Как лучше выбирать клинику, по каким признакам? Например, в шаговой доступности от дома есть пара клиник, в одной уже был. Странно только, что доктор не упомянул, что есть разные виды брекетов, которые отличаются по стоимости, просто дал направление на КТ.
Аноним 20/11/23 Пнд 22:00:47 1495672 66
>>1495593
>Выпала пломба в пришеечном отделе зуба
У меня за год раз 5 уже такое выпало у двух врачей в разных дорогих клиниках, там видимо уже совсем донным китайским шмурдяком работают.
Аноним 21/11/23 Втр 03:21:05 1495744 67
>>1495563
Ну цены немного ниже, чем я себе лечил этой весной в среднеценовой сетевой частной, но не принципиально. Мб 10-30% по разным позициям. Какие-то позиции в моей были даже дешевле.
> лечение каналов. пломбирование одного канала гуттаперчей стоит 4к Значит ли это, что они моляр больной запломбируют за ~12к
Нет. Можешь умножать на 2.5 смело. Пломбирование каналов это только один из этапов.
Аноним 21/11/23 Втр 04:13:38 1495751 68
>>1495646
>Как лучше выбирать клинику
Ты идешь к конкретному врачу, а не в клинику

>Например, в шаговой доступности от дома есть пара клиник
Зачем? У тебя пулевое ранение, что ты ищешь ближайшую клинику? Ты к ортодонту будешь кататься раз в месяц-полтора на активацию новой дуги

>Странно только, что доктор не упомянул, что есть разные виды брекетов, которые отличаются по стоимости, просто дал направление на КТ.
Зависит от конкретного рвача-палача. Обычно первый прием консультационный. КТ и прочая хуйня нужна уже для составления плана лечения
Аноним 21/11/23 Втр 12:14:37 1495811 69
>>1495751
> Ты идешь к конкретному врачу, а не в клинику
Но я ведь не знаю, хороший это врач или нет
> >Например, в шаговой доступности от дома есть пара клиник
> Зачем? У тебя пулевое ранение, что ты ищешь ближайшую клинику? Ты к ортодонту будешь кататься раз в месяц-полтора на активацию новой дуги
В ближайшую - потому что нет информации, по которой я мог бы выбрать клинику. Я же не знаю, чем другая клиника в километре лучше или хуже. Поэтому сходил туда, где тупо ближе. Врач вроде понравился, но, опять-таки, я не разбираюсь, чтобы судить о его профессионализме.
На яндекс картах у них еще пять звезд, вот и все, что я знаю.
> Зависит от конкретного рвача-палача. Обычно первый прием консультационный. КТ и прочая хуйня нужна уже для составления плана лечения
Ну вот на один я и сходил. Посмотрели фотки, он сказал, что да, проблемы есть, но ничего гарантировать не может. Возможен вариант, что все исправится, возможно, что и нет, по его словам. Сказал, что есть вариант с удалением зубов, есть вариант без, но решение будет принимать он по совокупности анализов.
Аноним 21/11/23 Втр 12:59:33 1495824 70
>>1495744
Куда там 2.5? 30к за обработку каналов одного зуба? Это работа на 30 минут, не охуели они там совсем. Еще пару лет назад двухканальный пломбировали мне за 12к.
Аноним 21/11/23 Втр 13:00:17 1495825 71
В пахомии норм конечно цены на стомат. услуги относительно зарплат, ничо не скажешь
Аноним 21/11/23 Втр 14:06:52 1495841 72
>>1495824
Ну а сколько ты хотел? Мне этим летом депульпировали одноканальную пятерку после неудачной попытки вылечить зуб по кариесу. 12500 отдал, и это за пломбу уже было уплачено, типа год гарантии.
А три канала скорее всего это два посещения, может и три понадобиться. Вот и считай 2-3 обезболивающих сверху по косарю, снимков там нужно сколько-то штук, каждый в зависимости от жадности 100-500 рублей, 2-3 коффердама еще тыщи две, пломба и хуяк у тебя сорокет набежал а в конце еще и корончка если собственных тканей мало
Аноним 21/11/23 Втр 14:14:20 1495844 73
image.png 1580Кб, 996x821
996x821
Анончики, попал в просак сегодня. Неделю назад записался к стоматологу, потому что появилось отверстие в зубе на пике с галкой. Ждать 3 недели. Дня 3 чувствовал, что зуб царапает язык, а сегодня это пропало. Отодвинул язык и увидел, что отвалилась наружная часть. Зад целый. Это чинится без вырывания и замены на другой? Я вообще нихуя не знаю. Зубы чищу каждый день, ирригатором пользуюсь, курю
Аноним 21/11/23 Втр 14:22:18 1495845 74
>>1495841
>Ну а сколько ты хотел?
Чёнить дешевле 2.5 МРОТов за лечение каналов одного зуба, лол. Алсо, зачем там несколько посещений? Мне одноканальный пломбировали за раз, минут 15-20 процедура шла. Снимки до и после прицельные соответственно.

Интересно
Аноним 21/11/23 Втр 14:42:47 1495847 75
>>1495845
>Алсо, зачем там несколько посещений?
Ну в первый раз врач чистит каналы и оставляет лекарство. Во второй - пломбирует каналы. Третий уже или постоянная пломба или к ортопеду с временной коронку ставить отправит.
>Мне одноканальный пломбировали за раз, минут 15-20 процедура шла
Зависит от сложности каналов. Я 4-канальный делал сложный и запущенный. Врач за полтора часа не успела, три прошла, четвертый - никак, а у нее следующий пациент уже. В итоге нашла мне последний слот в этот же день, минут за 40 доделала.
Аноним 22/11/23 Срд 22:53:41 1496315 76
В конце прошлого треда анон спрашивал про стоимость культевой вкладки в ДС. Разбирал ща чеки, 6500 стоил кобальт-хром весной.
Аноним 23/11/23 Чтв 08:11:21 1496436 77
У меня между корней нижней 6 воспаления. Предложили удалить и сразу вставить имплант по возможности. Цену озвучили в 50к. Это норм?
Аноним 23/11/23 Чтв 13:28:42 1496471 78
Я сейчас посмотрел, что импланты в принципе ставят вполне за 70. Встает вопрос выгоды: лучше удалить полумертвый предпоследний моляр и поставить туда имплантат через пару месяцев или попытаться сохранить без гарантии за еще большие деньги? За пару месяцев без зуба кость оттуда не уйдет никуда. Поскольку там от зуба стенки и черная дырка (выше писал), то за его восстановление может выйти вполне 70-90 и без гарантии, что не оплашают с удалением в итоге. Так может проще нахуй его выдрать и весной поставить имплантат? А то сейчас пока буду медлить с накоплением денег на обработку каналов, коронку и прочее уже остеомиелит схвачу, лол.
Аноним 23/11/23 Чтв 16:03:29 1496514 79
>>1496436
лучше пробовать перелечить.
имплант это фигова...
Аноним 23/11/23 Чтв 16:05:43 1496515 80
>>1496471
имплант 70к, коронка еще 40-50к. ну и возможно мелочь на 10к типа снимков.
Аноним 23/11/23 Чтв 16:09:23 1496517 81
image.png 884Кб, 776x644
776x644
Аноны, как часто можно делать 3Д-КТ челюсти?
Аноним 23/11/23 Чтв 16:10:05 1496519 82
>>1496515
Пиздеж. Во многих клиниках полностью эта услуга, установка винта+ коронки + снимки стоит ~80к. А попытка вылечить гнилой трехканальный зуб потенциально выльется как минимум в такие же затраты + риск эти деньги разом проебать, если не вышло.
Аноним 23/11/23 Чтв 16:23:44 1496526 83
>>1496519
чел, покажи мне хотя бы 1 клинику где такое возможно.
Зуб под ключ это от 100к.

И кстати имплант с коронкой ты обязан менять раз в 10-15 лет.
Аноним 23/11/23 Чтв 16:50:39 1496534 84
>>1496526
Чел, зачем мне за тебя делать работу, прошерсти клиники. Зуб под ключ начинается от 70 во многих, еще зависит от производителя имплантата, само собой.

Вот тебе опыт других пациентов за этот год:

https://journal.tinkoff.ru/pay-to-dental-implants/?ysclid=lpb92ek4df900029585
Аноним 23/11/23 Чтв 17:25:02 1496552 85
>>1496526
>И кстати имплант с коронкой ты обязан менять раз в 10-15 лет.
Имплантат ставят до конца жизни и его не нужно менять. Коронки служат по 15-20 лет спокойно и заменяются на новые. Просто не лечись в подвальных клиниках, мудозвон
Аноним 23/11/23 Чтв 19:02:27 1496605 86
image.png 27Кб, 733x190
733x190
>>1496552
Нет чел, имплант не на всю жизнь, с ним будут проблемы через 10 лет.
Сам он проживет хоть 30 лет, проблемы начинаются в месте соединения (кость).



Аноним 23/11/23 Чтв 19:05:42 1496607 87
>>1496552
Это тебе так врач сказал что срок службы импланта всю жизнь? погуглил бы хоть.

Имплант может прожить 100 лет, если у тебя идеальная челюсть, идеальный прикус, идеальная кость, идеальное здоровье.

Только у таких идеальных людей и нет требований ставить импланты.

Причем тут подвальная клиника? Имплант он и в африке имплант, либо Нобель Либо Астратек, остальное - мусор.
Аноним 23/11/23 Чтв 19:20:06 1496615 88
Ясен хуй что титан не сломается. там проблема в кости. он тупо начинает расшатываться спустя 20 лет (а людям обычно к этому сроку 50 лет)
Аноним 23/11/23 Чтв 21:08:58 1496647 89
planmeca-viso-g[...].jpg 99Кб, 510x510
510x510
image.png 1729Кб, 1521x1961
1521x1961
>>1496517
Та, что с твоего пика - ни о чем, можешь хоть каждую неделю ходить ебашить.
Аноним 23/11/23 Чтв 21:47:30 1496653 90
Восстанавливается ли десневой сосочек?

У меня он пропал из-за криворукого врача и пломбы с нависающим краем. Теперь пломбу поменял на нормальную
Аноним 23/11/23 Чтв 22:41:36 1496675 91
20231123223517.jpg 700Кб, 2370x1748
2370x1748
Ребенок 3 года. На последнем зубе (верхняя левая 5ка) будто отросток зуба или еще один лезет и выворачивает 5ку к щеке. Что это?
Аноним 24/11/23 Птн 03:06:16 1496732 92
>>1496607
>либо Нобель Либо Астратек, остальное - мусор
Проиграл в голос. Штрауманн ебет твоих нобелей с астротеками, чел... Сразу видно, что ты не в теме
Аноним 24/11/23 Птн 09:15:50 1496754 93
Через сколько времени после ношения брекетов заметен результат? Ношу месяц, изменений не заметил. Алсо, может ли ортодонт накосячить? Я правильно понимаю, что все лечение сводится е установке дуг разной жесткости в замки?
Аноним 24/11/23 Птн 10:39:39 1496770 94
>>1496732
проиграл , твоя Штрауманн на 3 месте, даже по цене она самая дешевая. вот и думай теперь что ты себе установил в рот.
Аноним 24/11/23 Птн 13:43:12 1496825 95
>>1496770
>она самая дешевая
Чел.... Штрауманн один из самых дорогих имплантатов, чел.... Твои куколдские шведские штырьки никому не интересны, чел....
Аноним 24/11/23 Птн 14:40:09 1496851 96
image.png 93Кб, 1235x681
1235x681
image.png 104Кб, 1291x750
1291x750
image.png 124Кб, 1333x710
1333x710
>>1496825
чел, они все хорошие, но nobel лучший.
Аноним 24/11/23 Птн 15:15:32 1496864 97
>>1496851
>Имплантат ставят до конца жизни
Читай тут - >>1496607

Если ты вложил 2 000 000 в зубы в 20 лет, будь любезен вложить столько же в 40 лет.
Аноним 24/11/23 Птн 16:26:18 1496891 98
image.png 85Кб, 228x221
228x221
Пиздец, пиздец . Поставили два имплантата, один не прижился.
Рвач его вынул, напихал в лунку костной хуйни и сказал "ничего страшного, так бывает)))" Ни гноя, ни воспаления не было кстать.
Надо поделать уколы с плазмой и ещё какой-то хуйнёй перед втором заходом, сказал. И витамины пропить.

С тем который прижился тоже не всё слава богу, там он вылез из-под ушитой десны. Рвач сказал что это хуёво, но зашивать заново не стал, мотивирую тем что "нахуя если у тебя всё равно десна уйдёт опять". Будет так его мониторить, лол блядь. ЗАЩО
Надо было ёбаные мосты делать.
Аноним 24/11/23 Птн 17:21:06 1496901 99
>>1496607
>>1496864
А что с имплантом будет-то? Гуглил-гуглил, и ничего внятного не нашёл. Понятно, что через 20 лет скорее всего придется менять коронку, но что может быть с титановым штифтом?
Аноним 24/11/23 Птн 17:31:05 1496904 100
>>1496901
>что может быть с титановым штифтом?
Ничего. У тебя просто костная ткань с возрастом по пизде пойдет и придется все демонтировать, делать костную пластику, а затем новый имплантант устанавливать
Аноним 24/11/23 Птн 17:35:36 1496905 101
>>1496864
>Если ты вложил 2 000 000 в зубы в 20 лет
2кк на имплантаты в 20 лет? Сириоусли? Или ты потерял столько зубов в драке?
Аноним 24/11/23 Птн 17:38:21 1496906 102
>>1496904
С чего бы, если имплант давно прижился и вокруг нет грязи?
Аноним 24/11/23 Птн 17:46:40 1496909 103
Когда уже будут выращивать новые зубы? Когда хотя бы опыты на людях начнут делать?
Аноним 24/11/23 Птн 17:52:15 1496911 104
Вон японцы уже в 2018 у мышей успешно новые зубы вырастили, вроде как собираются к 2030 выкатить на рыночек своё чудо для всех.
https://mainichi.jp/english/articles/20230609/p2a/00m/0sc/026000c
Если у них всё получится, и таки успешно выкатят, примерно стоимость прочувствовать сможете? Намного дороже имплантов будет?
Аноним 24/11/23 Птн 19:56:26 1496932 105
Если ты поставил имплант в 20, то ты подписал себе кредит на всю жизнь.
Каждый 10 лет ты будешь что-то да менять.


У кого в 20 лет по 30 пломб и 10 коронок, готовьте сразу 5 000 000 рублей к 40 годам.
Аноним 24/11/23 Птн 19:57:43 1496933 106
>>1496905
Да я тебе к примеру, хорошо, пусть в 35 лет.

Сам молюсь что бы придумали зубы, иначе придется РКН, не потяну такие бабки
Аноним 24/11/23 Птн 20:06:16 1496935 107
я уже отдал за зубы более 1 000 000 (стою на стоматологическом счетчике), все это будет ломаться, отклеиваться, разрушаться и с каждым годом я плачу все больше и больше.


Придет день когда я буду работать ЧИСТО ЗА ЗУБЫ!!!!!!!!!!
Аноним 24/11/23 Птн 21:20:21 1496949 108
>>1496935
Даже интересно чо там прямо на миллион можно сделать. Все ебало коронок разве что всунуть. Ну или пол-ебала имплантов.
Аноним 24/11/23 Птн 22:03:36 1496953 109
>>1496949
за все время, перелечивал каналы, переделывал пломбы.
Аноним 25/11/23 Суб 04:16:44 1497001 110
>>1496935
>>1496932
>У кого в 20 лет по 30 пломб и 10 коронок, готовьте сразу 5 000 000 рублей к 40 годам
Уйми тряску, долбаеб. Ты считать не умеешь? Или ты деревенский? Т.е. ты не понимаешь разницу между пломбой и коронкой?
Аноним 25/11/23 Суб 04:18:16 1497003 111
>>1496935
>я уже отдал за зубы более 1 000 000 (стою на стоматологическом счетчике), все это будет ломаться, отклеиваться, разрушаться и с каждым годом я плачу все больше и больше.
Кто же виноват, что ты не следишь за зубами. Если что, то 1-1.5кк это штуки 4 имплантатов и остальной рот в коронках. Такое обычно делают ближе к 60 годам старичью, которое не следило за зубами всю жизнь
Аноним 25/11/23 Суб 10:38:05 1497134 112
>>1497003
А сустав ломается к 90, но есть люди которым меняют его еще в 18.

А сердце изнашивается к 100, но кому-то делают трансплантацию в 8 лет.


>>1497001
Долбаеб, мой посыл заключался в том, если ты вложил в зубы сейчас 100 рублей, то ты обязан заплатить столько же через 10 лет, вложил 500 000, будь готов отдать столько же через 10 лет и так далее.
Аноним 25/11/23 Суб 10:52:25 1497138 113
>>1497134
Ты, для начала, свою гнилую пасть захлопни, говно. Кто же виноват, что ты не следил за зубами, а лечился в полуподвальных клиниках без лицензии у криворуких врачей. Не нужно скулить на весь тред про свою анальную боль. Не все такие клинические имбецилы как ты, старина. Можешь дальше продолжать заряжать бабки на "лечение", лол
Аноним 25/11/23 Суб 11:25:30 1497153 114
>>1497138
Говно, покажи мне где я искал виноватых? Я тебе констатирую факт.
Не можешь показать? Тогда пошел на хуй, сучий пес.

Повторяю в 5 раз, если ты потратил на пломбы 15к рублей, то столько же придется потратить и через 10 лет. Они не вечные.

Сейчас опять прибежишь и скажешь "че скулишь", долбаеб, я учу тебя, я не скулю, через примеры и аналогии.
Аноним 26/11/23 Вск 07:35:24 1497387 115
>>1493225 (OP)
https://ortointellekt.ru/
https://www.youtube.com/watch?v=lBZ1HlEt6bA

Немного базы в тред. Где искать врачей, с которыми можно было обсудить вопрос эстетики? Пытался объяснить терапевту, с просьбой проконсультировать и направить к более узким специалистам, но получил лишь сухой ответ, что он этим не занимается и вообще лечим онли кариес.
Ортопед развел руками и не смог даже сказать как исправить форму зуба, из чего и какой фирмы ставят коронки и вообще какие есть способы эстетического преображения зубов. Словно как на заводе одинаковые зубы лепить в цвет сантехнической керамики..
Аноним 26/11/23 Вск 16:20:22 1497453 116
>>1497387
Константин Александрович, добрый вечер.
Аноним 27/11/23 Пнд 14:58:26 1497684 117
Анончик, иду к члх Куракину на косультацию. Где вообще мжоно прочитать про качество ортогнатии у него? Сравнимо ли с европейскими?
Аноним 27/11/23 Пнд 16:43:16 1497702 118
4к для лечения кариеса одного зуба под ключ (включая пломбу) - это дешево?
Аноним 27/11/23 Пнд 17:49:27 1497714 119
>>1497702
Если пломба будет светового отверждения, а не цемент, то в принципе дешево.
Аноним 27/11/23 Пнд 21:40:53 1497763 120
image.png 2153Кб, 2156x1222
2156x1222
image.png 747Кб, 1140x630
1140x630
Лечите зубки, дети. А то потом годам к 40 будет так, а потом - так.
Аноним 28/11/23 Втр 01:02:19 1497788 121
Сколько стоит имплант зуба (+удаление корня старого) под ключ с хорошей коронкой в миллиониках типо Уфа Самара Казань, боюсь даже на консультацию идти из-за того что выпал из цен. Слышал что пиздос подорожали за 2023 год. Заранее спасибо
Аноним 28/11/23 Втр 03:35:41 1497805 122
>>1497788
55к (25к сам имплант + 30к коронка) за зуб в Новосибирске вышло, начал делать пару месяцев назад. С корнем может еще 5к.
Аноним 28/11/23 Втр 04:25:06 1497808 123
>>1497702
Если лечат не под микроскопом, то это адекватная цена. Отдал примерно 6-8к за зубы с глубоким кариесом. Лечили под микроскопом, с кофердамом и прочими штуками.
Аноним 28/11/23 Втр 04:27:45 1497809 124
>>1497788
>Слышал что пиздос подорожали
Ну так открой сайт клиники и посмотри, что сколько стоит. Самый дешевый корейский Implantium стоит от 47к за готовый зуб. Astra Tech и Nobel Biocare уже от 100к. А вообще нехуй было запускать так зубы. Ты не старый дед, чтобы имплантаты вставлять
Аноним 28/11/23 Втр 04:44:50 1497810 125
>>1497684
А что ты подразумеваешь под "качеством ортогнатии"? Эстетический и визуальный эффект? Ну на сайте у него можешь посмотреть публичные работы https://drkurakin.ru/. Либо на его странице в инсте. Еще есть зубчат https://t.me/+_VIK0UohnD44NmIy где люди пилят себе челюхи и делятся инфой по хирургам и ортодонтам. Но если ты идешь к Куракину, то значит у тебя водятся деньжата, т.к. он не оперирует по квотам, а принимает в частной клинике. В этом треде часто приводят примеры этой клиники https://www.youtube.com/@InstitutoMaxilofacialBarcelona/videos. Прайс у них начинается от 15к и доходит до 40к евро. Но это пост от 2019 года - https://www.institutomaxilofacial.com/en/2019/06/28/cuanto-cuesta-una-cirugia-ortognatica/
https://www.institutomaxilofacial.com/en/orthognathic-surgery/what-is-orthognathic-surgey/
Аноним 28/11/23 Втр 05:01:42 1497812 126
>>1497684
И в целом не стоит ограничиваться одним Куракиным. Из МГМСУ вышло много хороших хирургов. Тот же Игорь Клипа, например - https://vk.com/drklipa
Аноним 28/11/23 Втр 05:02:48 1497813 127
>>1497684
А, ну и в прошлых тредах говорили, что очень много работ просто не попадает в паблик и их можно увидеть только на личной консультации. Сам понимаешь, что не все хотят светит еблом на странице в инсте или на сайте врача в разделе портфолио
Аноним 28/11/23 Втр 10:59:34 1497844 128
>>1497684
Ну и не затягивай. У таких операций есть возрастные ограничения . Потом тебя ни один врач не возьмет. Да и в принципе имеет смысл делать, если тебе +- 20 лет, а не когда ты уже 30+ скуфидон - https://youtu.be/epGSvzADl1c?t=188
Аноним 28/11/23 Втр 11:32:26 1497852 129
66.jpg 697Кб, 2072x1438
2072x1438
Есть смысл удалять 8 или нет?
Аноним 28/11/23 Втр 12:19:55 1497863 130
>>1497810
Я готов потратиться за самый лучший результат. Мне нужна эстетика и минимальные осложнения. Мне 28 лет, думаю, что пока что подхожу.

>>1497812
Ок, рассмотрю и Клипу. Но повторюсь, что операция пиздец какая серьёзная и я хочу получить очень хороший результат. Поэтому уточняю
Аноним 28/11/23 Втр 12:21:50 1497864 131
20170209144428.jpg 315Кб, 2276x1280
2276x1280
975090.jpg 13Кб, 300x226
300x226
974852.jpg 13Кб, 303x267
303x267
Аноны, поскажите пожалуйста: подобные наросты на языке - это опухоль? Есть тут у кого похожее и кто ходил к врачу? Фото не мои, но у меня похожее и с двух сторон. Если не опухоль, то к какому врачу обращаться? Благодарю
Аноним 28/11/23 Втр 12:23:50 1497866 132
>>1497810
Ссылка на зубчат устарела
Аноним 28/11/23 Втр 12:36:13 1497876 133
>>1497805
>>1497809
Пасиб братишки, а то скопил денег но все равно страшно от цен
Аноним 28/11/23 Втр 12:40:37 1497878 134
>>1497809

Я слежу
У меня один зуб на весь рот порушился с травмата в детстве попали и трещина пошла которая потом кариосовалась и порушила зуб(половинка отпала), около клыка который ближе в уху, остальные даже кариеса нет нигде...
Аноним 28/11/23 Втр 13:29:16 1497885 135
>>1497866
А зачем ее постоянно обновляют?
Аноним 28/11/23 Втр 17:09:25 1497917 136
>>1497763
Не будем, у нас столько деняк нет...
Аноним 28/11/23 Втр 18:24:18 1497932 137
>>1497810
Что это за чат?
Как нашел?


Был в подобном чате по косметологии и там каким-то чудом все отзывы принадлежали только 1 врачу. (весь чат был одна большая реклама)
Аноним 28/11/23 Втр 18:42:59 1497937 138
>>1497932
Забей. Ссылка нерабочая. Там владелец канала делала операцию и лет 7 по врачам моталась.
Аноним 28/11/23 Втр 19:10:48 1497946 139
Коротко можно, нужно ли ввязываться в ортогенетическую операцию или это наебка для гоев?

На сайте хирурга я увидел лишь разницу в профиль и то на 3-4 мм.
Это стоит того что бы ложишься под нож куну?
Аноним 28/11/23 Втр 19:12:52 1497948 140
>>1497946
Если необходимость только с точки зрения внешки, то я бы не стал.
Аноним 28/11/23 Втр 19:19:12 1497950 141
image.png 2058Кб, 1082x717
1082x717
Правильно ли я понимаю?

1) Поправить подбородок на 4мм стоит 1 000 000 рублей
2) Твое лицо будут отправлять во все чаты, паблики, форумы каналы и от этого никак не защититься? (вот я взял и отправил)


я чет вообще не понимаю приколдес этой операции.
Может все таки развод гоев?
Аноним 28/11/23 Втр 20:34:43 1497969 142
>>1493225 (OP)
Вот и пришло время первой депульпации.
С неделю начал очень резко реагировать на горячее и холодное нижней семёркой.
Пошёл к стоматологу, начал чуять неладное, когда сверлили долго с несколькими прерываниями и осмотрами.
Старая пломба была близко к пульпе, а под неё залез кариес. Стоматолог показал мне в зеркале, что уже дохера сточил, но ещё не убрал весь материал старой пломбы. Был виден розоватый участок при касании которого даже с анестезией было больно.
Говорит пришёл твой час, нерв воспалён, раз есть реакция на касание, а значит будем вскрывать, подкладывать лекарство и заделывать времянкой до следующего приёма, что собственно и было сделано.

Под наркозом действительно нерв вообще реагировать не должен?
Так же с этой стороны под челюстью недельку ещё до появления реакции на температуры побаливал лимфо-узел, могло быть связано?

Пиздец как печально лишаться нерва, а значит и зуба в ближайшие 5-10 лет.
Коронку лучше сразу ставить или можно пока так походить?
Аноним 28/11/23 Втр 21:25:56 1497987 143
>>1497950
Фотопротокол публикуют только с согласия пациента.
Аноним 28/11/23 Втр 21:37:09 1497989 144
>>1497987
@
согласие
@
замазывают глаза


почему так?
Аноним 28/11/23 Втр 21:45:33 1497995 145
>>1497950
Некоторые хотят сохранить текущее лицо и поправить прикус, другие хотят прикус + эстетику, у третьих чисто эстетика
Аноним 28/11/23 Втр 21:51:20 1497996 146
image.png 1865Кб, 1082x717
1082x717
>>1497995
А в чем эстетика? тут что-то поменялось?
Аноним 28/11/23 Втр 21:56:01 1497997 147
>>1497996
У неё был запрос скорее на исправление прикуса
Аноним 28/11/23 Втр 22:02:51 1497998 148
кем нужно быть чтобы тратить полтора миллиона рублей на прикус? (операция стоит 1 000 000)
Аноним 29/11/23 Срд 03:09:12 1498014 149
>>1497998
>операция стоит 1 000 000
Она не стоит 1кк. Это твои фантазии. Я, будучи обычным наемным работником, скоплю эту сумму, чисто откладывая с зарплаты, за каких-то полгода.
Но я прекрасно понимаю, что есть всякие обрыганы из провинции, которые работают продавцами-консультантами в ДНС. Нет, подобные операции не для вас. Да и не помогут они вам - слишком много нужно будет исправить
Аноним 29/11/23 Срд 03:24:26 1498015 150
>>1497996
https://drkurakin.ru/doposle/345/71/patsientka-b

Ну ты хотя бы читай какой диагноз был поставлен и что было изменено. Сам сайт постоянно обновляется и это не самая впечатляющая работа, если тебе нужен вау эффект.
В прошлом треде говорили, что много сильных работ можно увидеть только на личной консультации. Ну и у него в инсте должны быть фотки
Аноним 29/11/23 Срд 03:26:53 1498016 151
>>1497989
Ой, да не ссы, сычуш. Если ты не заметил, то 99% всех пациентов - женщины. Они как-то наскребли 1кк, или сколько там стоит операция "под ключ" от момента входа в клинику, до момента выписки. Потом не удивляйся почему местные тянучки постоянно ноют про всратых кунов, но сами при этом перекроили себе лицо от начала и до конца. Сделать ринопластику, отопластику и ортогнатическую операцию - как нехуй делать. Иногда смотришь результат "до" и охуееваешь
Аноним 29/11/23 Срд 07:43:51 1498034 152
Так как выбирать клинику, где ставить себе брекеты, если клиник много? На что смотреть при выборе, что спрашивать?
Аноним 29/11/23 Срд 07:47:21 1498035 153
>>1498034
Тебе - никак. Оставайся всратаном)))) А выберешь, так тебя все равно тянучки изуродуют))))) Не забывай, что большинство врачей - женщины))))
Аноним 29/11/23 Срд 08:36:34 1498045 154
>>1493225 (OP)
Реквестирую наиболее простой, быстрый, и главное - дешевый способ решить проблемы с зубами раз и навсегда.

Самое простое, что приходит в голову, это сделать рентген челюстей, затем, поудалять все зубы, и вмонтировать два ряда зубов по принципу all-on-4, на Straumann'ах.
Быть может имеет смысл также снять нижнюю челюсть, хирургически, отлив такую же, из титана.
Но там связки блядь, как приделать - хрен его знает.
А ещё, титан, он же тяжелый, надо бы наверное пористой челюсть сделать, чтобы была легкая как кость, но прочная.
Вообще, всю нижнюю челюсть, вместе с зубами, можно было бы отлить из титана, потому что титан - он дешевый.
Тогда, не нужно будет брать 4 дополнительных штрауманна, по 100 баксов каждый.
Ну а потом, хорошенько отполировать эту челюсть, пескоструем, и сверху виниры на клей посадить, с эмалью из диоксида циркония, ну чтобы зубы были белые и крепкие, и не гнили блядь.

Я также где-то видел, люди ложат зубы в сейф, лол.
Алсо, не совсем понятно, как добиться полной адентии. Самое простое, что приходит в голову - это паяльная кислота, ортофосфорная. Но это не точно.

Ну так чо, у кого какие варианты?
Аноним 29/11/23 Срд 08:41:28 1498047 155
>>1498045
а зачем тебе зубы объясни? жевать? просто принимай пишу которую не нужно жевать и пробелам решена
Аноним 29/11/23 Срд 09:10:51 1498055 156
>>1497969
>Под наркозом действительно нерв вообще реагировать не должен?
Бамп вопросу.
Аноним 29/11/23 Срд 11:21:45 1498070 157
Мостовидный протез не дает кости уходить в тех местах, где зубов нет? Если его ставить надолго взамен имплантации, то это не приводит к косметическим дефектам лица?
Аноним 29/11/23 Срд 11:26:50 1498072 158
>>1498070
>Мостовидный протез не дает кости уходить в тех местах, где зубов нет?
Даёт, еще и здоровые зубы ускоренно в негодность приходят.
https://www.youtube.com/watch?v=hMUJTo6JJfA
Аноним 29/11/23 Срд 11:57:07 1498076 159
Посоветуйте натуральную зубную пасту без химии, без отбеливания, без антибактериальных свойств, без подсластителей.
Аноним 29/11/23 Срд 12:01:45 1498077 160
>>1498072
А чем кроме имплантата можно хотя бы существенно замедлить уменьшение костной ткани в зоне отсутствия зубов?
Аноним 29/11/23 Срд 12:39:58 1498082 161
>>1498016
Тянки вообще могут косметику юзать, вставлять ресницы, волосы и хуй ты им что скажешь


Аноним 29/11/23 Срд 14:59:58 1498116 162
>>1498055
Если ты под наркозом имеешь в виду обезболивание уколом, то почти ничего чувствовать не будешь. Разве что если там сильное воспаление, то некоторая боль может быть, но условно минуту-две из часа в кресле.
Аноним 29/11/23 Срд 16:03:41 1498135 163
>>1498116
Мне выпилили старую пломбу и там уже была практически пульпа - розовое(или розово-серое) пятнышко, а врач сказал, что ещё не всю старую убрал, так как она была изначально близка к пульпе.
При касании этого пятна была боль. Сказали, что воспалено и надо пульпировать.
Так вот у меня вопрос: правильно ли сделали или были шансы сохранить нерв?
Аноним 29/11/23 Срд 16:12:57 1498137 164
>>1498135
>правильно ли сделали
>были шансы сохранить нерв
Так тебе же нерв еще не удаляли, не?

Если еще будут удалять, то может быть немного больно. Мне укол в десну полностью не обезболил нерв, еще во внутрь зуба кололи анестезию. Неприятно, но терпимо.
Аноним 29/11/23 Срд 18:03:17 1498169 165
>>1498137
Мне уже вскрыли и положили лекарство, закрыв временной пломбой.
Желтозубики, ебать! Аноним 29/11/23 Срд 22:26:54 1498209 166
image.png 586Кб, 900x1200
900x1200
image.png 226Кб, 500x308
500x308
image.png 618Кб, 715x571
715x571
Желтозубики, ебать!
Рекомендую пик1. И вейп купить за место сиг, от него зубы вообще не красит, по крайней мере от солевого никотина.
A) Первое:
Splat Extreme White
На озоне есть. Вкус нормальный, в отличие от сплат-биокальций от которого всё ебало скукоживает.

Изучил кучу источников, короче говоря, существует:
1. Хим. очищение
2. Абразивное

Втрое работает лучше, но естественно это + пиздецома зубам. Первое же - вообще никак не ебошит зубы(начитал дохуя исследований). Там какой-то хитровыебанный процесс по аналогии с захватом пигмента из волос с помощью перекиси или какого-то ещё более пиздатого аналога.

Б) Второе:
И в том и в другом случае рекомендую потом, просто на всякий - хуярить:
>Гель реминерализующий ROCS Medical Minerals

На счёт постоянного использования хуйни по типу этого сплата - сказать не могу, по идеи не опасно даже если пару лет этой хуетой чистить, но я бы и кто-либо другой не рекомендовал, т.к. исследования долговременного нет (за исключением когда зуб бросаются в 100% пероксид водорода и замеряют, когда ему там растворит к хуям или ещё чё, но это нихуя общего с реальностью не имеет, т.к. никто в 100% h2o2 держать зуб месяц не будет ЛУЛ)

C) И третье:
>Splat Innova Жидкая Эмаль
Хуетень работает до момента, пока не отъебнёться от зуба, как я понял (пик3). Так что не плохо ей бы хуярить зубки. Это что-то типа артификал эмали, которая забивает поры. Правда эффективность зависит от того, на сколько мелкие кристаллы Hydroxyapatite в такой проудкции.
Есть ещё аналог, который судя по всему эффективней, но препаратов с этой залупой нет, как я понял: Hydrolyzed Wheat Protein. Он именно что лечит, а не закрывает поврежденную территорию собой.(Хотя хуй знает, эти вертлявые пидорасы-ученые ради продажи и отсыпа бабла - че угодно написать могут)
Аноним 29/11/23 Срд 22:28:36 1498210 167
Алсо, пользуясь случаем: посоветуйте какую-нибудь полезную пасту для эмали, зубов, дёсен и прочей залупы, от которой ебучку не скукоживает. Спасибо.
>>1498209
Аноним 30/11/23 Чтв 03:08:25 1498266 168
Вчера вкрутили шуруп для импланта. Сделали несколько уколов, сперва не было больно, а потом пиздец как чувствительно и больно стало, врач говорил - потерпи, минутка осталась. Читал потом в интернете отзывы - ни у кого блять не болит и болеть нечему, там в кости нет нервов. Почему мне было так больно? Не до слез и крика, конечно, но ныл и вспоминать аж страшно.
Назначили обезболы рецептурные, но пока не больно, сижу пью пиво
Аноним 30/11/23 Чтв 04:03:32 1498268 169
>>1498209
Это кринж, чел... Не пиши сюда больше, фу...
Аноним 30/11/23 Чтв 04:57:40 1498273 170
>>1498266
Мне когда вкручивали два импланта, тоже было больно под конец. Особенно один (нижняя шестерка), который сразу после вкручивания болел даже сильнее, чем после нескольких часов после операции. В челюсти же проходит нерв, видимо он от сверления и давления и болит.
Но прошло без осложнений, через пару недель боль и всякие ощущения полностью прошли.
Аноним 30/11/23 Чтв 10:28:38 1498305 171
image2023-11-30[...].png 65Кб, 312x283
312x283
Аноны, я правильно понимаю, чтобы удалить этого пидораса, нужно снести половину челюхи?
Аноним 30/11/23 Чтв 12:41:47 1498343 172
>>1498210

repair Говорят топовая, остальное для быдла...
Аноним 30/11/23 Чтв 13:32:48 1498369 173
>>1498273
Мне тоже нижнюю шестерку вкручивали.
Спасибо, успокоил, а то сайтов и айрекоменда начитался и начал накручивать себе
Аноним 30/11/23 Чтв 15:15:55 1498398 174
Вредна ли полировка зубов?
Хотел сделать чистку ультразвуком, а она делается в комплексе, где после неё идёт этап полировки зубов.
В интернете сказано, что это удаление некоторого слоя эмали и поэтому часто делать нельзя и мол эмаль после этого восстанавливается через несколько месяцев.
И так же сказано, что после чистки ультразвуком остаются некоторые неровности и микродыры на эмали, которые полировка как раз призвана устранить, иначе мол будет выше риск кариеса.

Я волнуюсь за удаление эмали при полировке. Если же она восстанавливается через некоторое время, то тогда можно и сделать.

В итоге:
1. Действительно ли нужна полировка после ультразвуковой чистки?
2. Восстанавливается ли эмаль после полировки?
Аноним 30/11/23 Чтв 19:47:10 1498487 175
>>1498398
У меня вопрос похожий на вопрос этого анона. Стоматолог платный сказал, что профессиональную чистку надо делать раз в полгода. У них в клинике это ультразвук+водичка+полировка+фторирование. Мамка говорит, что пока я молодой (мне 24), то делать не надо, типа вредно для эмали. А что скажет анон? Меня хотят наебать на шекели? Так ли нужна эта чистка?
Аноним 30/11/23 Чтв 20:49:09 1498501 176
У меня перекрестный прикус собираюсь ставить брекеты и еще какую-то штуку для расширения верхней челюсти в декабре. Читал что при ношение от года меняется ебло, черты лица как в хорошую так и в плохую сторону.

У меня ассиметричная челюсть и одна скула ниже другой. Вопрос: этим можно пофиксить ассиметрию лица вместе с прикусом?
Аноним 30/11/23 Чтв 21:03:54 1498503 177
>>1493225 (OP)
Аноны, ответьте мне. Как-то видел спор о том, какие пасты лучше (с фтором или без него). Есть ответ от стоматолога?
Аноним 30/11/23 Чтв 21:56:09 1498509 178
>>1498503
>какие пасты лучше
Если живёшь в месте где твою питьевую воду фторируют, то без фтора.
Аноним 01/12/23 Птн 00:00:48 1498527 179
>>1498503
>Есть ответ от стоматолога?
У десяти стоматологов десять мнений по любому вопросу.
Аноним 01/12/23 Птн 02:14:27 1498536 180
1701386068661.jpeg 65Кб, 841x573
841x573
Кто-нибудь из анонов носил такую фиговину перед / во время брекетов?
Поделитесь опытом, если да, плиз.

https://youtu.be/BVIKi0O1Wbw
Аноним 01/12/23 Птн 02:53:18 1498539 181
>>1498047
>а зачем тебе зубы объясни?
Как єто зачем зубы, блядь? Охуел штоле? Чтобы тебе пол хари к херам откусить, мурло, вот зачем.
>просто принимай пишу которую не нужно жевать и пробелам решена
А семки чем щелкать предлагаешь, мля? И ты это, давай-ка лучше, по сабжу, затри какое-нить годное чтиво.
Аноним 01/12/23 Птн 02:54:58 1498540 182
karies-1.jpg 138Кб, 1024x1024
1024x1024
Аноны, че делать с белым кариесом? У меня внезапно вылез на всех блять зубах, 1 год не был у стоматолога. В последний месяц где-то три таких белых пляшки тупо отпали, хожу пломбы ставлю, но не каждый же зуб мне теперь пилить? В инете вот пишут про то, что это еще можно вылечить без распилов и пломб. Че думаете?
Аноним 01/12/23 Птн 04:45:51 1498552 183
>>1498268
Желтозубик мет-хед порвался. Хи-хи.

>>1498343
>repair
Какой репеир? Ты о чём вообще?
Аноним 01/12/23 Птн 04:51:58 1498554 184
Аноним 01/12/23 Птн 04:55:22 1498555 185
>>1498398
>>1498487
Ну и кто тут ещё кринж, блядь. Вы гуглить-то пробовали?
Гуглите "ppm toothpaste pubmed" или чё-т типа того. Спрашивайте чем полируют. Если там ебатория какая-то - то и на хуй не надо. Но обычно там вообще хуета полная, которая ни на что не влияет, прост, типа, 'профилактика и сделать вид, что мы неебаться крутые(а раньше чтоб деньги брать за это просили)'.
Фторирование не всегда хорошо, зависит от состояния зубов.(в 90% случае поебать, имхо).


А если коротко, то чистка зубов (не ультрозвуком) - нахуй не нужна, особенно если вы и так их чистите и следите за ними. За исключением, когда у вас камни зубные имеются из-за плохой гигиены/ебашинья всякой кислоты, кофе и т.д.(окантовка рядом с деснами).

>>1498540
Чееееееел блядь. ^
Аноним 01/12/23 Птн 05:01:29 1498557 186
>>1498487
>Мамка говорит
Ну если мамка говорит!
Аноним 01/12/23 Птн 05:04:51 1498558 187
Аноним 01/12/23 Птн 05:05:04 1498559 188
>>1498540
Ток, блядь, когда удалишь эти камни ебучие - каждый день зубы чисти, иначе ваще пиздаахуй будет, ну и реминерализацию зубов после чистки 199% надо делать и всякой хуетой типа рокса мазать. Без всего этого - разрыв жопы через какое-то время произойдёт (зависит от того, чем питаешься)

Но вот, если у тя депрессия/шиза/ещё какая-то хуета и ты зубы раз в неделю чистишь или "то чистишь, то не чистишь" - тут, как бы, хуй знает чё лучше, удалять или нет. С одной стороны эта хуета может десны переебашить, с другой стороны - этот камень защищает от пиздецомы, которая может начаться после их удаления через год плохой гигиены, который я описал в первом параграфе.


при нежелание чистить зубы из-за депры или ещё какой хуеты, всё что могу порекомендовать - купить вкусную нормальную детскую пасту, щетку с вращающийся головкой да и нормализовать график сна(похуй когда спать, главное чтоб одинаково каждый день) и первое что делать - жрать и пиздовать чистить зубы/или в каком тебе порядке удобнее, так же перед сном, собрался с силами, знаешь что спать через два часа, жрать уже не будешь - пиздуешь чистить зубы
Аноним 01/12/23 Птн 05:37:31 1498565 189
Rasshyrenye-che[...].jpg 32Кб, 492x430
492x430
>>1498501
Если "какая-то штука" это небный расширитель, тогда все зависит от возраста и насколько твой неправильный привкус закостенел. По хорошему лицо должно стать более семметричным.
Вообще странно, что тебе ставят его во взрослом возрасте, обычно он нужен детям лет до 12.
Посмотри ещё канал на ютубе JawHacks по теме MSE, правда он ебанутый и настолько челюсти обе расширил, что если рот откроет там голова ребёнка поместиться
Аноним 01/12/23 Птн 09:25:01 1498583 190
>>1498565
Дистрактор ставят тем, кто проходит ортогнатическое лечение
Аноним 01/12/23 Птн 20:40:24 1498722 191
1658017893382.png 124Кб, 989x488
989x488
Стоит ли лечить ВНЧС? Нашёл клинику, где лечат за недорого. Проявляется в том, что хрустит и челюсть смещается когда лежу на одной стороне плюс асимметричное открывание рта. Сам я анон небогатый, у меня всего в запасах 100к. До этого пластический хирург направил в другую клинику, - но у них там цены бешеные.
Аноним 01/12/23 Птн 20:47:55 1498724 192
Здарова, мне продали цельноцеркониевую коронку на жевательный зуб, нижнюю 6 (который до этого сгнил потихоньку под вставкой и поэтому теперь вот имплант бахнул).
Под соусом того, что металлокерамика скалывается (кстати, передняя за 10 лет чутка скололась рили), а для жевательных лучше шоб не скалывались.
Передние коронки металлокерамика, так что никакого эстетического прибабаха я не получу.
Меня наебали на шекели или как?
Изначально планировал ставить тоже металлокерамику.
Разница получилась 20к, лучше бы пропил или смысл имелся?
Аноним 01/12/23 Птн 22:10:28 1498738 193
Аноним 02/12/23 Суб 02:03:29 1498776 194
tr.jpg 90Кб, 750x499
750x499
Что делать если оголяется корень зуба, идет рецессия десны?
Аноним 02/12/23 Суб 03:04:41 1498780 195
>>1498776
Вырезают кусочек с верхнего неба, пришивают туда, где не хватает.
Мало кто умеют делать, ищи
Аноним 02/12/23 Суб 04:49:15 1498785 196
>>1498780
У меня удалили 2 зубы с обеих сторон, вот десны и стали оголяться. Если я поставлю зубы, десны придут в норму?
Аноним 02/12/23 Суб 05:18:57 1498786 197
>>1498738
Чел.... В зубчат можно попасть только по приглашению. И залетух вроде тебя туда не пустят. Все кто хотел, уже зашел, получил ценную инфу по проверенным ортодонтам и члх и сделали себе топовый профиль лица. Заметь, что даже Клипа и Куракин говорят, что большинство их пациентов - женщины. Заставляет задуматься, так сказать...
Аноним 02/12/23 Суб 09:05:16 1498805 198
Реально осветлить дентин в пришеечной области? У меня клиновидный
Аноним 02/12/23 Суб 09:06:38 1498806 199
..дефект и в области у десны сильное почернение
Аноним 02/12/23 Суб 10:50:59 1498823 200
image.png 31Кб, 571x268
571x268
Аноним 02/12/23 Суб 11:34:32 1498831 201
>>1498823
>пробралась
Фу, блядь...
Аноним 02/12/23 Суб 11:46:11 1498832 202
Аноним 02/12/23 Суб 11:59:47 1498835 203
>>1498832
Селедка, плиз.... Женская солидарность сработала как всегда. Удачи тебе распилить челюгу, говно
Аноним 02/12/23 Суб 12:22:32 1498837 204
>>1498823
Советую мимикрировать под тян.
В женских чатах кунов не любят.

Аноним 02/12/23 Суб 12:24:43 1498838 205
>>1498835
>Удачи тебе распилить челюгу
Доступно только людям из богатых семей.
Двачер и пластическая операция за 1 000 000?
Аноним 02/12/23 Суб 12:35:32 1498840 206
>>1498838
Уже обсуждали, что подобные операции делают по квотам, если ты потомственная нищета
Аноним 02/12/23 Суб 12:42:39 1498842 207
Аноним 02/12/23 Суб 12:50:20 1498844 208
>>1498842
Ты же в курсе, что перед операцией тебе нужно поставить брекеты и выставить зубы так, чтобы члх было удобно работать? А это как раз занимает примерно 2 года
Аноним 02/12/23 Суб 13:00:49 1498846 209
>>1498838
>операция за 1 000 000
У кого ты там решила оперироваться? Сразу к Куракину? Ну так у него уже своя собственная клиника. Там и прайс поди уже за 1кк перевалил и толпы из тянучек, которые хотят себе пильнуть челюгу пока по возрасту проходят
Аноним 02/12/23 Суб 13:10:12 1498847 210
>>1498846
Удачи оперироваться у неизвестного хирурга.
Удачи оперироваться бесплатно
Аноним 02/12/23 Суб 13:18:55 1498851 211
>>1498847
Проиграл в голос. Полно толковых хирургов из МГМСУ. Тот же Клипа, например
Аноним 02/12/23 Суб 17:21:46 1498933 212
Подскажите знающие аноны
Черный крепкий чай действительно хуевит зубы?
А то чет чайным пьяницей заделался, но страшна
В инете через сайт -
-ТЕБЕ ПИЗДА
- Нет,пей спокойно,всё ок
Аноним 02/12/23 Суб 17:36:03 1498935 213
>>1498933
Да. И чай, и кофе, и газировки.
Лучше пить водичку.
Аноним 02/12/23 Суб 17:58:04 1498941 214
>>1498935
Хуёво, как вообще без чая жить.
Какие есть заменители, чтобы не хуярили зубы?
Или просто не пить крепкий?
Аноним 02/12/23 Суб 20:16:18 1498962 215
>>1498933
>В инете через сайт -
>>1498941
>Хуёво, как вообще без чая жить.
Ну на двоще-то точно сказали правду
Аноним 02/12/23 Суб 20:25:57 1498965 216
>>1498962
> Ну на двоще-то точно сказали правду
Если на двоще скажут, что 2+2=4, тоже из принципа будешь кричать ВРЁТИИИ?
Аноним 02/12/23 Суб 21:45:03 1498991 217
>>1498965
Я не настолько дурачок, чтобы просить двачеров погуглить за меня...
Аноним 02/12/23 Суб 22:18:57 1498998 218
>>1498941
Хуевит зубы буквально все. Так что я бы не зацикливался на чае, сладкая газировка точно хуже.
Аноним 02/12/23 Суб 22:47:11 1499003 219
>>1494585
Блис по прежему стоии хуйню на фоне даже одного пломбозуба, а вы продолжаете верить профессиональным наебщикам

>>1498554
>>1498559
Хватит уже форсить этот пиздабольский миф что чистка зубов спасет ваши зубы. Вы че думоете твт никто учебник ро стоматологии загуглить не может?
Аноним 02/12/23 Суб 22:47:33 1499005 220
>>1494585
Блис по прежему стоии хуйню на фоне даже одного пломбозуба, а вы продолжаете верить профессиональным наебщикам

>>1498554
>>1498559
Хватит уже форсить этот пиздабольский миф что чистка зубов спасет ваши зубы. Вы че думоете тут никто учебник по стоматологии загуглить не может?
Аноним 02/12/23 Суб 23:30:23 1499016 221
Аноним 03/12/23 Вск 00:06:48 1499022 222
Аноним 03/12/23 Вск 19:39:37 1499269 223
>>1498724
Как там получилась разница в 20к между металлокерамикой и цельноцеркониевой?
Но да, церкониевая пизже, не будет скалываться и чернеть у корня. С другой стороны, нахуй тебе эстетика для задних зубов?

Вердикт: наебали, скорее всего.

(Неиронично зачитал твой пост деду-коронко-господину и вот принес слово в слово его ответ)
Аноним 03/12/23 Вск 19:41:12 1499273 224
Аноним 03/12/23 Вск 19:48:54 1499277 225
image.png 342Кб, 404x408
404x408
>>1498559
Благодарю за развернутый ответ, депра и шиза благо миновали

>>1498540
Короче, мне тут и в смежном треде насоветовали мазать свою побелевшую кариесную эмаль пастой типа рокса, стоматолог тож подтвердил, что их бы срочно реминерализующей пастой с фтором. Я вот сижу на сайте рокса и вижу, что во всех таких пастах у них написано "без фтора и его соединений". Объясните долбоебу - это норма? Или надо искать дополнительно именно с фтором?

И еще - у них две серии, минерализующая с кальцием и минерализующая с магнием. Это наебка для гоев и разницы нет или мне чето конкретное у них брать?
Аноним 03/12/23 Вск 20:35:53 1499295 226
Аноны если 2 дня не почистить зубы, это пизда?
Аноним 03/12/23 Вск 20:43:26 1499297 227
>>1499295
Нет, не пизда. Просто мягкий зубной налет где-то за сутки становится твердым. Ты себе постепенно будешь наращивать зубной камень.
Аноним 03/12/23 Вск 20:49:14 1499299 228
>>1499297
на камень похуй, его у меня нет. а кариес быстро формируется?
Аноним 03/12/23 Вск 21:02:40 1499303 229
>>1499269
Ебать цены, я в Ташкенте за 150 баксов скоро делать буду циркониевую.
Аноним 03/12/23 Вск 21:08:36 1499307 230
почему операцию делаю в основном тянки?
Аноним 03/12/23 Вск 23:06:22 1499328 231
Было у меня что-то вроде флюороза, или пигментации, или хуй пойми чего, а стоматолог кун сам настоял и сам это все подшлифовал, как он сказал, во время лечения кариеса с другой стороны. Теперь у меня зубы белые лол. Мне вот интересно, а так можно было, а эмаль при этом не повреждается, эта хуйня не вернется через пару месяцев?
Аноним 03/12/23 Вск 23:22:31 1499330 232
Пару лет не заходил в тредю - а че, пробиотики с айхерба не форсят уже? Я понимаю, что запад всё , но всё же?
Аноним 04/12/23 Пнд 02:59:32 1499350 233
>>1499307
Потому что у хуемразей сильно меньше требований по эстетике, да и в целом гораздо более наплевательское отношение к собственному здоровью. Работает - ну и хуй с ним.
Аноним 04/12/23 Пнд 04:31:52 1499358 234
>>1499307
Все идет из детства и воспитания. Воспитанием в основном занимаются мама и бабушка, пока отец пропадает на работе. Мамке с бабкой не нужно, чтобы ты был сильным, здоровым и привлекательным, т.к. тогда ты будешь представлять угрозу для них и станешь "бабником". Поэтому тебе с детства твердят, что "мужчина должен быть чуть красивее обезьяны", что ты должен терпеть и не жаловаться и вообще красота - это не для тебя. И дело касается не только эстетики, но и здоровья. Я так 20 лет прожил с хронической болячкой, которую можно было исправить в детстве. Но мамка сделала свое дело и всеми силами ограждала от похода к врачам.
В целом, ты можешь понаблюдать кто посещает всякие инвитро и прочие лабы. Там одни ссыкухи, которые прямо на кассе выясняют какой бы ей сегодня анализ сдать.
К сожалению, оправиться от этого гнилого влияния удалось слишком поздно и упущено минимум лет 20, которые прошли впустую. Так что говори "спасибо" мамке и бабушке, которые тебя так "воспитывали".
Тянок они воспитывают совершенно иначе. Там и походы к врачам по каждому пуку, и крема с косметикой и одежда, которая подходит по фасону и цвету и еще миллион вещей
Аноним 04/12/23 Пнд 11:54:38 1499442 235
>>1499299
Кариес формируется независимо от того чистишь ты зубы или нет
Аноним 04/12/23 Пнд 11:56:35 1499443 236
>>1499330
ОП треда - стоматолог, хуле ты хочешь. Можешь так то перекатить с блисо-факом в шапке.

Их ща на озоне вроде продают
Аноним 04/12/23 Пнд 11:58:55 1499444 237
>>1499307
Отдельный лол что им это нужно еще меньше чем челюстным инцелам.
Аноним 04/12/23 Пнд 12:16:54 1499447 238
>>1499442
А разве пасты не фиксят немного микрофлору, что усложняет размножение бактерий?
Аноним 04/12/23 Пнд 13:12:14 1499455 239
Аноним 04/12/23 Пнд 13:13:06 1499456 240
>>1499443
>ОП треда - стоматолог
Хуже. Там ссыкуха на стоматологе. В прошлых тредах порвалась, когда выяснили, что ссыкухи не умеют лечить и на гормонах делают все быстро-быстро, лишь бы клиент отъебался
Аноним 04/12/23 Пнд 13:41:23 1499459 241
Аноним 04/12/23 Пнд 14:16:17 1499469 242
image.png 530Кб, 599x612
599x612
>>1499455
Клонишь к тому 1 страшная, а 2 не страшная?
Бешенный спрос был бы как на 1 так и на 2.

Это как сравнивать мерседес и бмв, блять да и на мбв норм так то
покататься
Аноним 04/12/23 Пнд 14:30:38 1499473 243
Аноним 04/12/23 Пнд 15:24:15 1499504 244
>>1499455
https://drkurakin.ru/doposle/337/71/patsient-s
Офигеть, из додика в чеда за одну операцию.
Мне вот ебучие стоматологи в детстве не посоветовали брекеты поставить, и у меня челюха мелкая и прикус перекрёстный.
Аноним 04/12/23 Пнд 15:38:07 1499513 245
>>1499447
Пасты могут только угандошить флору. Пасты с антибиотиками - 100% гандошат.

Из овер9к бактерий что у тя во рту живут, кариес делают 1-2 вида. Антибиотики и антисептики не умеют херачить по конкретному виду бактерий, они херачат все подряд. В итоге расчищают место для тех бактерий, которые делают кариес, потому что они дохуя живучие.

Большая часть того что подают как профилактику кариеса, в лучшем случае просто безполезное.
Аноним 04/12/23 Пнд 15:48:51 1499516 246
>>1499456
Да там айсикью как у чатбота, которые еще до чатжопате были. Нетвывсеврети, доктор залупкин сказал что чистить против кариеса помогает, значит помогает, похуй что даже в учебнике написано наоборот. Вы что тупые, как вы не поймете, доктор залупкин же сказал. Я конечно много имбецилов встречал, но такой примитивщины еще не видел. У бактерий на зубе и то больше попыток башку включить, чем у этой краснодипломной хуйни.

Ты должна была бороться с бактериями, а не думать как они!

Заметил еще что эта недоучка стала игнорить коменты, если ее упоминаешь.
Аноним 04/12/23 Пнд 16:04:22 1499524 247
>>1499516
У блисшизла снова обострение. Ну не чисти, додик, если не помогает. Делов то.
Аноним 04/12/23 Пнд 17:59:08 1499547 248
>>1499473
и?
были 7\10, стали 7.5 - 8/10
Аноним 04/12/23 Пнд 18:01:16 1499548 249
>>1499504
Ну вот стал ты чэдом, а дальше что?

Вкладывать деньжища ради того что бы у тебя появилась возможность жениться?
Аноним 04/12/23 Пнд 18:09:02 1499550 250
Аноним 04/12/23 Пнд 18:21:43 1499552 251
>>1499524
Я не для тебя это пишу, выключай свою тряску

Просто каждый анон должен видеть что ты пиздишь. Что ты гандошишь анону зубы, подавая безполезные вещи под видос профилактики. Что в учебнике по стоаматологии прямым текстом написано что чистка зубов против кариеса бесполезна. Что мантры главное чисти и кариеса не будет это прямой и наглый пиздешь чтобы разьебать анону зубы. И что называешь реально рабочие вещи против кариеса шизой.
Аноним 04/12/23 Пнд 18:26:33 1499553 252
Аноним 04/12/23 Пнд 18:29:57 1499554 253
th-3627935066.jpg 25Кб, 474x474
474x474
>>1493225 (OP)
>>1499456
И еще самый рофел

В прошлых тредах эта недоучка стрматологическая говорит что у нее изза наследственности хорошие зубы и кариеса почти нет. Выкупаете в чем хуйня?

У нее от предков полон рот сальвариуса и соотвественно кариес не появляется. Но вам, аноны, жрать таблетки с сальваруисом нельзя, потому что это шиза!

Для вас есть простая советская чистка зубов и пломбы каждый год
Аноним 04/12/23 Пнд 18:55:16 1499559 254
>>1499554
>полон рот сальвариуса
который погибает после первой же проф. гигиены
Аноним 04/12/23 Пнд 18:56:39 1499561 255
>>1499553
Аргументы простые. Доченьке-боченьке всей родней скидываются на операцию и вообще вкладываются во внешку приучая с детства ухаживать за собой. А сыне-сычине лопатой по хребту и на дачу - картоху копать. Зачем тогда удивляться, что куны "вдруг" всратые кругом, когда у самих рыльце в пушку
Аноним 04/12/23 Пнд 18:59:43 1499562 256
>>1499561
Но нужно ли это куну?
Операции стоят более миллиона, а все ради траха писечек?
Аноним 04/12/23 Пнд 19:02:50 1499563 257
>>1499562
>Но нужно ли это куну?
Стоп-стоп. А в чем, собственно, проблема? Почему тяночке-писечке это позарез надо, а куну нет?

>Операции стоят более миллиона, а все ради траха писечек?
При чем здесь это вообще, лол?
Аноним 04/12/23 Пнд 19:36:52 1499573 258
>>1499563
Потому что жизнь тни зависит от ее внешности.
Жизнь куна зависит от его навыков в жизни. (работа, связи)
Аноним 04/12/23 Пнд 19:39:00 1499574 259
>>1499573
Вопросов больше не имею. Продолжай коупить
Аноним 04/12/23 Пнд 19:44:07 1499576 260
>>1499574
Ты сделал пластику на 10 000 000 руб, что в твоей жизни поменяется? станешь трахать тянок 8\10 вместо 5\10. что еще?

Больше лайков?
Аноним 04/12/23 Пнд 19:44:53 1499577 261
>>1499576
Успокойся, селедка. С тобой все понятно
Аноним 04/12/23 Пнд 19:45:11 1499578 262
>>1499559
Так говоришь как будто эта ваша проф чистка такой маст хев без которого зубам пизда.

Еще лет 15 назад никто эту вашу проф гигиену каждый год не делал и зубы шли по пизде. Сейчас делают, а зубы всеравно по пизде идут. Мораль какая?

Чистку раз в год стоматолохи рекомендуют делать, блис тоже надо раз в полгода хавать. Тупо ешь после яиськи и все. Да и не должен он от проф чистки дохнуть, а если после нее микрофлора дохнет, то радо 10 раз подумать делать ее или нет
Аноним 04/12/23 Пнд 19:54:55 1499581 263
>>1499576
Бля какую хуйню вы здесь устроили.

Ни кунам ни тянам распил челюсти вообще ниче не даст. Куны смотрят на сиськи и жопу а не не яелюсть. Инцелам тоже не изза микрочелюги не даю.т
Аноним 04/12/23 Пнд 20:03:46 1499584 264
>>1499581
>Ни кунам ни тянам распил челюсти вообще ниче не даст
Тебе-то откуда знать, лол? Словно только из-за эстетики это делают
Аноним 04/12/23 Пнд 20:12:39 1499586 265
>>1499584
Чел, дай угадаю, ты сделал себе операцию и теперь кряхтишь что операция нужна? тебя развели . Ну что стал получать 500к или ебать 9\10 тян?
Аноним 04/12/23 Пнд 20:16:51 1499588 266
Ну что аноны? Нашли формулу как блокировать кариес?
Таблетки работают или нет?

Аноним 04/12/23 Пнд 20:53:54 1499601 267
>>1499552
> чистка зубов против кариеса бесполезна, а вот блис то работает доказано производителем блиса!

Шиз, тебе не надоело раскрывать заговор производителей зубных паст и зубных щеток?
Аноним 04/12/23 Пнд 20:56:20 1499602 268
>>1499588
Зубы чистить не пробовал?
Аноним 04/12/23 Пнд 23:54:48 1499633 269
zubiki.jpg 232Кб, 900x1200
900x1200
>>1499601
Тебе же не надоело сознательно наносить вред здоровью пациентов. Ты корчишь из себя врача, при этом сознательно пиздишь в глаза людям, которые наивно думают что ты их вылечишь.

Нет никаких заговоров, просто ты золушка-пидаболушка, вертящая на воображаемом потому что настоящего у тебя нет, ха хую клятву Гиппократа.

Я напомню, ОП-треда ходит с природным сальвариусом в зубах, а вам говорит что это шиза.

>>1499602
Этот комент - прямое сознательное нанесение вреда здоровью анонов. Если бы ты была эндокринологом, ты бы советовала дианетикам побольше сахара есть.

>>1499588
https://telegra.ph/FAQ-ZUBOTREDA-PO-KARIESU-04-30
https://telegra.ph/FAQ-ZUBOTREDA-PO-KARIESU-04-30
https://telegra.ph/FAQ-ZUBOTREDA-PO-KARIESU-04-30
Тут все написано с пруфами, фак старый, обновлять лень.
Аноним 05/12/23 Втр 00:01:17 1499634 270
>>1499586
ОПше надо голову лечить, а не челюсть. Хоть челюсть и на голове. Интересно, скольким людям она зубы раздраконит, чтобы накопить на операцию?
Аноним 05/12/23 Втр 00:10:31 1499637 271
4c174e8d8923365[...].png 182Кб, 1424x554
1424x554
>>1499602
Правду пациентам говорить не пробовала?

Людям лень по ссылкам ходить, сразу скину скрин из методички вуза по которым вас пиздаболов учат. Ты пиздишь анонам и пациентам в лицо чтобы испортить им зубы. При этом сама наслаждаешься природным сальвариусом

https://pubmed.ncbi.nlm.nih.gov/12218280/
>Эффективность идеальной чистки зубов против кариеса максимум 30-50%
>50% значит что если у тебя 2 кариеса в год, то при супер идельной чистке (а не как у тебя), у тебя будет 1 кариес в год. 30% - 2 кариеса раз в 1.5 года.
Аноним 05/12/23 Втр 00:11:52 1499638 272
>>1499637
В факе >>1499633, который ОПша от вас стирает из шапки все это есть.
Аноним 05/12/23 Втр 00:14:54 1499640 273
>>1499633
> диабетикам
медленнофикс
Аноним 05/12/23 Втр 00:20:43 1499642 274
>>1499576
А в твоей блять что поменяется? Сиськи лучше воткни, больше эффекта будет

>станешь трахать тянок 8\10 вместо 5\10.
Как чтото плохое. Тебя кстати даже с пофикшеной челюстью не буду, потому что всеравно меньше 5/10
Аноним 05/12/23 Втр 00:21:51 1499643 275
>>1499642
>>1499576
Устроили блять тянокуно срач из треда про зубы
Аноним 05/12/23 Втр 03:27:22 1499670 276
>>1499633
Шизофреник, если твой блис такой охуенный, то почему его создатель до сих пор не долларовый миллиардер, а стоматологи не бомжуют у теплотрассы?
Аноним 05/12/23 Втр 04:05:51 1499673 277
>>1499670
А у тя диплом психиатора есть чтобы диагнозы ставить? Ты даже учебник по своей профессии не можешь осилить, лол, а в другую область медицины лезешь. Пиздуй опять 6 лет учиться.

Ты тупо отрицаешь стоматологическую науку, учебники и практику, у тя шиза, биполярка, или просто тупость?

>>1499670
>создатель до сих пор не долларовый миллиардер
Может и миллиардер, я не смотрел стать компании которая первая его начала его делать.

>>1499670
>стоматологи не бомжуют у теплотрассы?
Потому что пока люди еще верят в ваш пиздежь
Аноним 05/12/23 Втр 04:10:07 1499674 278
>>1499670
Бля ваши гениттальные аргументы против блиса пора начать коллекционировать.

Пока ни одного вменяемого аргумента от вас не помню.
Аноним 05/12/23 Втр 04:22:12 1499675 279
>>1499586
Тебя уже услышали, сельдь - >>1499573
Тянкам все это нужно, чтобы быть успешными в жизни, а куну - нет. Ведь кун - это батрак и раб, а тяночке-писечке все самое лучшее, конечно же
Аноним 05/12/23 Втр 04:35:50 1499677 280
>>1499642
Ты не понял. Она серьезно считает, что девушка должна быть красивой и все эти операции, включая на челюсть - обязательная часть ритуала, чтобы сохранить и бустануть эстетику и красоту. Ведь - >>1499573
Аноним 05/12/23 Втр 11:15:37 1499722 281
maxresdefault.jpg 100Кб, 1280x720
1280x720
>>1498565
>Вообще странно, что тебе ставят его во взрослом возрасте, обычно он нужен детям лет до 12.
Взрослым обычно нужно операцию делать по распиливанию кости sarpe, так как без этого невозможно будет расширить верхнюю челюсть
Аноним 05/12/23 Втр 11:38:41 1499726 282
image.png 356Кб, 500x675
500x675
Тролль знатный.
Аноним 05/12/23 Втр 13:27:08 1499736 283
>>1499552
Хитрая стоматологическая морда советует не чистить зубы, чтобы у него всегда были клиенты на лечение пульпита за 40к, коронки 30+к и импланты 50+к. А также тратить деньги на бад, за который ему приплачивает фармкомпания. Тех раскрыли, дешевка.
Аноним 05/12/23 Втр 13:29:58 1499739 284
У неё был запрос скорее на исправление прикуса
Аноним 05/12/23 Втр 22:47:59 1499842 285
Правда чтоли, что правильное положение языка это касаться кончиком языка верхнего неба? Это же пиздец не удобно
Аноним 05/12/23 Втр 23:13:03 1499846 286
image.png 162Кб, 696x318
696x318
>>1499842
Даже не кончиком, а всей передней частью языка на всей передней части неба.
Аноним 06/12/23 Срд 07:38:36 1499893 287
Аноним 06/12/23 Срд 11:04:01 1499931 288
>>1498398
>>1498555
Я всё равно не понял стирается ли эмаль при полировке и восстанавливается ли она после?

У меня камней нет, по крайней мере не вижу их.
Есть некоторый желтоватый оттенок на зубах и есть ещё белые точки на корневых зубах (пишут, что это либо начальный кариес, либо авитаминоз, либо вообще отравление фтором).

Плюс ещё собираюсь ставить пломбу, а там рекомендуется вначале сделать чистку. Не эксперт конечно, но наверное, это рекомендации для тех, у когда именно камень наличествует и чуть ли не мешает механически установке пломб?

Последний раз два года назад делал чистку, помню после этого сильную чувствительность зубов, после чего я начитался уже про то, что эмаль удаляется и не восстанавливается. И я перерыв двухнедельный по чаю не делал, а через пару дней начал пить. Никто не объяснял, что так чистка может насмарку пройти.
Аноним 06/12/23 Срд 14:23:38 1499949 289
>>1499931
>И я перерыв двухнедельный по чаю не делал
Двухнедельный перерыв надо при отбеливании делать, а не при чистке. При чистке тебе часов 12 волне хватит, ну может суток.
>рекомендуется вначале сделать чистку. Не эксперт конечно, но наверное, это рекомендации для тех, у когда именно камень наличествует и чуть ли не мешает механически установке пломб?
Как минимум чтобы врач тебе пломбу мог в реальный цвет зубов поставить. Не говоря уже о гигиенических соображениях.
Аноним 06/12/23 Срд 14:59:26 1499952 290
Вопрос к анонам нормального роста (180+), как там у вас дела с бахилами в ваших клиниках?
Аноним 06/12/23 Срд 15:06:12 1499956 291
>>1499952
Рвутся и с трудом налезают. Летом ещё ладно, а на зимнюю обувь совсем плохо
Аноним 06/12/23 Срд 15:09:43 1499958 292
>>1499949
>Как минимум чтобы врач тебе пломбу мог в реальный цвет зубов поставить. Не говоря уже о гигиенических соображениях.
Совпадение цветов меня не беспокоит, тем более, что пломба будет стоять между зубами в задних рядах.
Камня нет, есть оттенок зуба слегка желтоватый, причём не всего зуба, а только частично.
И вот мне теперь непонятно насколько критично при установке пломбы в таком случае быть именно уже с такими зубами, которые прошли чистку.

Я бы сделал чистку (которая включает в себя полировку), если бы это не влияло на эмаль.
Но ведь оно влияет, что я ощущал самолично, когда появилась после чистки более сильная чувствительность.

Т.е. что хуже будет в целом:
1. Сделать чистку (плюс полировку), содрав эмаль. Затем сделать пломбу.
Итого: зубы чистые, эмаль повреждена, пломба с меньшей вероятностью заражена бактериями из зубного налёта.
2. Не делать чистку. Сделать пломбу.
Итого: зубы с налётом, эмаль не повреждена, пломба с большей вероятностью заражена бактериями из зубного налёта.
Аноним 06/12/23 Срд 15:17:04 1499960 293
>>1499956
Вот-вот, карланы геноцид устроили. Кто-то говорил, что в мск отказываются уже от бахил.
Аноним 06/12/23 Срд 16:08:41 1499976 294
>>1499736
Девочка со стоматологическим расстройством личности, плес
Аноним 06/12/23 Срд 16:14:38 1499980 295
>>1499952
Все плохо. Только в одной клинике видел три разных вида бахил - детские, обычного размера и большого размера. Еще видел выебоны в виде тканевых бахил, которые по размерам как обычные синие. Ну и в одной клинике видел приколдэс в виде шлепок вместо бахил. А так везде типичные синие бахилы для усредненного человека. Из-за этого приходиться гонять в летней обуви и на такси, чтобы бахилы налезли. На зимнюю обувь они в принципе не налезают, а на летнюю еще туда-сюда
Аноним 06/12/23 Срд 16:16:33 1499981 296
>>1499637
>>1499633
Аргументы блисоенджоеров: ссылки на научные статьи, учебники по стоматологии, личные примеры

>>1499602
>>1499524
>>1499601
>>1499670
>>1499736
Аргументы типаврача с красным дипломом:
>шиз, обострение, шизофреник, почему стоматологи не бомжуют?, заговор

И мантры чисти-чисти в тупейшем варианте
Аноним 06/12/23 Срд 16:17:57 1499982 297
>>1499980
>Ну и в одной клинике видел приколдэс в виде шлепок вместо бахил.
Вообще-то значит не все так плохо, где-то и по-людски
Аноним 06/12/23 Срд 16:39:02 1499987 298
>>1499952
Они тянутся же хуй еби как, нет? Я со своими ластами 44.5 что ли везде влажу в дефолтные бахилы даже в зимних ботинках, которые пообъемнее будут дефолтных кроссовок.
Аноним 06/12/23 Срд 16:46:30 1499991 299
>>1499987
>Я со своими ластами 44.5
Мимо 46 размер...
Аноним 06/12/23 Срд 16:50:14 1499992 300
>>1499987
> Они тянутся же хуй еби как, нет?
Только до какого-то предела. Потом рвутся
Аноним 06/12/23 Срд 16:54:49 1499994 301
>>1499981
>ссылки на научные статьи
Ту самую единственную новозеландскую с выборкой в 26 человек?
Вообще, шизофреник, у меня положняк очень простой. Если есть чудотаблетка, которая решает проблему за три копейки, то с хуя ли она не стала мейнстримом до сих пор, а продолжает продаваться как бад на амазоне? Вангую ща спизданешь про стоматологическое лобби боится потерять работу.
Аноним 06/12/23 Срд 18:26:36 1500023 302
5ecf7de5ca4ab.jpg 21Кб, 350x233
350x233
>>1499994
У тебя положняк еще более простой: сознательно пиздеть пациентам в лицо и гандошить им зубы, пользуясь мифами и их неграмотностью.

Не сообщаешь пациентам о причине кариеса - s.mutants, говоришь чисти-чисти и кариеса не будет, умалчиваешь о том что соблюдение всех твоих рекомендаций не избавит от кариеса, и даже не особо снизит его появление - пиздишь и сознательно наносишь вред здоровью пациентов.

>>1499994
>ваша наука не наука, покажите лекцию доктора Залупкина где это написано!
Даже в старом факе 2 исследования по блису, на пабмеде же их больше. Ты либо приводишь ссылку на аналогичный эксперимент с опровержением, либо проводишь эксперимент самостоятельно. И тогда хоть о чемто можно начать говорить. В теории написано что должно работать, в исследовании написано что работает, я на себе проверил и тоже работает.

А ты про выборку ноешь, это не научный подход. 6 лет в учиться вузе чтобы быть такой тупой хуйней и не знать основ научной работы, горжусь тобой.

По безполезности чистки против кариеса исследований намного больше, да это бля вообще научный консенсус судя по учебникам. Открываешь учебник - написано что чистка не работает, открываешь пабмед - написано что чистка не работает, приходишь к врачу котого учили по этому же учебнику - он говорит что ты главное чисти-чисти и кариеса не будет.

>с хуя ли она не стала мейнстримом до сих пор
Потому что лично ты пиздишь паценитам на эту тему. А пациенты верят в хуйню, мифы и доверяют дохтуру. А потом ходят с пульпитами, коронками и импалантами.

https://habr.com/ru/companies/belayaraduga/articles/713636/
В клиника в ДС уже начинают предлагать blis. Это стоматологи наебщики втюхивают бады или блис всетаки работает и скрывать уже сложно?

> шизофреник, 0 аргументов, заговор
Классика. Вместо аргументов какаято хуйня про заговор и лобби. Какая же ты блять одноклеточная хуйня с мозгами от бактерии. В вашу смоленскую шарагу берут через постель чтоли? Никто не поверит что после коррекционного класса можно поступить в вузик, проучиться там 6 лет и получить красный диплом.

Та я понял твою тактику, хуле ты. Ты пытаешься разбавить посты с пруфами, хуйней и криками рряшизик заговор сматолухов!, потому что пруфы мешают тебе анонам в мозги ссать.

Я уже говорил - я это все не для тебя пишу, не думаю что ты вообще можешь читать вещи длиннее заголовка. Я пишу это для анонов и гнилозубиков. Чтобы они видели что лично ты, нагло им пиздишь. Чтобы они были готовы к тому что стоматолух в кабинете будет точно так же им пиздеть. И не велись на ваш бред. 90% моего текста тут - вообще не про блис, а про то что ты пиздишь - пиздишь про причины кариеса, про чистку, про другую хуйню.
Аноним 06/12/23 Срд 18:30:21 1500026 303
>>1499994
Если блис реально так безполезен, почему ты так рвешься?
Аноним 06/12/23 Срд 18:34:07 1500027 304
>>1499994
Ты там из одной палаты с наполеоном капчуешь. Ему кажется что он полководец, а тебе что ты стоматолог.

Но доктор в дурке почемуто тебе не верит твоим словам что ты тоже доктор. Вот ты и бесишься.
Аноним 06/12/23 Срд 19:06:25 1500037 305
Шизофреник аж тремя постами порвался на безобидный вопрос про публикации и нулевое использование в медицине, когда его шмурдяк на рынке 15 лет.

Почему оземпик, который прошел испытания лет 5 назад, ща колется десятками миллионов жиробасов по всему миру, а твой шмурдяк даже клинические испытания не посчитал нужным пройти? Ведь это так просто и дешево: сожрал таблеточку за тридцать центов и не тратишь миллионы и стоматологического лобби, а государства и страховые компании ежегодно экономят сотни миллиардов долларов на здравоохранении?
Аноним 06/12/23 Срд 19:08:08 1500038 306
>>1500023
>в одной клинике врач впаривает бад клиентам, за что получает прибавку а зарплате - значит шмурдяк работает!
Аноним 06/12/23 Срд 19:48:50 1500048 307
5ecf7de51503b.jpg 21Кб, 350x233
350x233
>>1500037
Ты в детстве мечтала о туфельках как у золушки. А выросла и стала золушкой-пиздаболушкой, у которой от инфузории-туфельки только мозги

>Шизофреник, порвался, нулевое использование в медицине
Стой, стой, стой. Почему твои ответы только про блис?

Ты сознательно наебываешь пациентов и портишь им здоровье.
Не сообщаешь пациентам о причине кариеса - s.mutants.
Говоришь что чисти-чисти и кариеса не будет, хотя это прямой пиздежь, чистка против кариеса неээфективна. Исследований вагон, в учебниках никто это не скрывает.
Умалчиваешь о том что соблюдение всех твоих рекомендаций не избавит от кариеса, и даже не особо снизит его появление.
Ты сознательно наносишь вред здоровью пациентов.

На это ответить не хочешь? Или проще орать ррря, шизик, бады!?

>>1500037
> нулевое использование в медицине
https://habr.com/ru/companies/belayaraduga/articles/713636/
Вот врачи в клинике используют. Или ваши врачи, не врачи, вот доктор Залупкин! рря?

Исследования с опровержениями существующих будут? Собственные эксперименты с опровержениями будут? Или будет очередное а вот ваще левую таблетку нейм колят в жопу жиробасам! почему с блисом так не делают?. Или пачиму автор блиса еще не миллиардер!!?

А то что зубную пасту продают в магазинах, а не в аптеках, тя не смущает кстати? По тому что лекарства низя продавать в обычном магазе без аптечной лицензии. Рря это другое!, угадал?

>>1500038
Так и запишем, тебе проще признать что стоматологи пиздаболы чем то, что блис работает
Аноним 06/12/23 Срд 19:56:19 1500050 308
>>1500037
>>1499994
>Ту самую единственную новозеландскую
Как называется диагноз, когда человек постоянно пиздит и не может остановиться? Типа как клептоман, но от мира пиздежа

Даже в старом факе ссылки на две.
Аноним 06/12/23 Срд 20:21:47 1500052 309
>>1499987
>Они тянутся же хуй еби как, нет?
Нет

> со своими ластами 44.5
Нам-то хоть не ври про свой большой размер
Аноним 06/12/23 Срд 20:27:47 1500054 310
>>1500048
Спрошу у ебанашки в последний раз: если шмурдяк работает, почему:
1) Он не сертифицирован как лекарство.
2) Не вошел в массовую практику. Почему препарат от ожирения/диабета вошел, а твой - нет, хотя люди хотят здоровые зубы не меньше, чем не быть жирным.
3) Почему о твоем шмурдяке нигде не слышно за пределами пары блогов в жжешечке, одного поста на хабре и мутных сайтиков продавцов бадов?
4) почему клятые правительства и страховые компании не хотят экономить, заказывая твой шмурдяк партиями в сотни миллионов доз, если он работает и поможет сохранить сотни миллиардов долларов на оказании дорогостоящей стоматологический помощи?
Аноним 06/12/23 Срд 20:30:03 1500055 311
>>1500054
Почему тебе так припикает от блиса?

Когда тут обсуждают безполезные против кариеса зубные пасты, щетки, чистки, ирригаторы, зубные нити, тебя все усраивает.
Доказанно безполезные, с кучей исследований.

А когда обсуждают блис, который по твоему тоже безполезен, ты рвешься.

Почему так? Блис у тебя пятерку на зачете чтоли украл?
Аноним 06/12/23 Срд 20:35:12 1500056 312
>>1500055
Да мне не припекает, шизик, просто проигрываю с того, как ты носишься с этим бадом как с панацеей от кариеса. Типа жрешь таблеточку и в гроб с собственными зубками ляжешь, ага. А вокруг одни дебилы почему-то их не жрут, еще и к врачам-палачам зачем-то ходят. Да и зубы чистят, вот дебилы то!
Аноним 06/12/23 Срд 20:46:41 1500059 313
5ecf7de6793f0.jpg 17Кб, 350x233
350x233
>>1500054
Вот, аноны, смотрите. Человек, который работает стоматологом, пиздит вам и сознательно портит вам здоровье зубов. Вопросы почему ты скрываешь от пациентов причины кариеса, почему назначаешь безполезную профилактику, игнорирует.

Тоже самое вас ждет в кабинете стоматолога, пиздежь прямо в лицо, мантры чисти-чисти и испорченые по итогу зубы.

ОПша, как человек на врача ты не тянешь ты гнилее чем зубы двачера.

>>1500054
1. В душе не ебу.
2. Потому что лично ты выбираешь пиздеть пациентам, портить им зубы, вместо того чтобы лечить причину кариеса. Ору, ты сама портишь людям здоровье зубов, а потом спрашиваешь че это у людей зубы больные, ведь они хотят здоровые зубы.

Вообще на одном только айхербе, у одного только вида блиса тыщи отзывов, это называется не вошло в практику?
3. Потому что не умеешь гуглить на английском. профессор Залупкин в лекции не написал, значит не слышно, рря!
4. Потому что в экономике ты шаришь еще меньше чем в зубах. Страховой в разы проще заработать на дорогих имплантах, чем на дешевых таблетках
Аноним 06/12/23 Срд 20:53:58 1500061 314
image.png 89Кб, 1181x1400
1181x1400
>>1500059
Представляете этого шизофреника, высирающие пасты в тысячи символов, чтобы задефать свой бад с сайта, где лошкам продают рыбий жир под другим названием за двадцать цен аптечного рыбьего жира. А иногд
Особенно смешно, что он считает меня стоматологом в дипломе у меня вообще специалист в сфере международных отношений, кек и с медициной я связан примерно никак.
>3. Потому что не умеешь гуглить на английском
Я то как раз погуглил, шизофреник. Кроме рекламы ничего убедительного не нашел.
>Страховой в разы проще заработать на дорогих имплантах, чем на дешевых таблетках
Дурачок, спок. Стоимость страховки бы не изменилась, а компенсировать пришлось бы существенно меньшую сумму. Сечешь?
Аноним 06/12/23 Срд 20:56:16 1500062 315
>>1500056
да не бомбит у меня! да я не обосралась на лекции доктора Залупкина, это пранк такой!

>>1500056
>Типа жрешь таблеточку
Действительно, 6 лет уже без кариеса хожу. Лучше же каждый год по 3 пломбы ставить, ага?
Аноним 06/12/23 Срд 20:59:55 1500065 316
>>1500062
>6 лет уже без кариеса хожу
Понимаешь, шизофреник, в чем дело. Ты хуй докажешь, что вместе с этим значит в следствие этого. Но для тебя, наверное, это слишком сложная логическая конструкция.
Попробуй добавить 2 литра кока-колы с лимонным соком каждый день к рациону и посмотрим как твой шмурдяк предотвратит кариес.
Аноним 06/12/23 Срд 21:24:31 1500066 317
>>1500061
Это, блять что, скриншот с сайта бибиси, про то что пробиотики для кишков не влияют на пищеварение в качестве антипруфа на блис? Ебать ты даунидзе, я давно так жеско не смеялся.

Бля, ты литералли
>не можешь читать вещи длиннее заголовка

https://www.bbc.com/russian/news-45441754
> Широко рекламируемые пробиотики считаются полезными для желудочно-кишечного тракта, но результаты исследования показали, что они либо оказывают слабый эффект на организм, либо вообще никакого.
>Затем у участников экспериментов под наркозом взяли пробы из различных участков желудка, а также толстого и тонкого кишечника.

Тут один еблан в старых тредах, в качестве пруфа приводил скрин с какогото говнофорума что там нет блиса, а значит типа он не работает. Но ты просто турбо-ебанашка, если смогла его переплюнуть.

>>1500065
>Попробуй добавить 2 литра кока-колы с лимонным соком каждый день
Может мне еще эмаль специально коцать? Попробуй не пиздеть и не наебывать пациентов хотябы 1 рабочий день лучше.

>Понимаешь, шизофреник
Ты вообще знаешь определение безумия? Ты раз за разом пытаешься мне докзаать что черное это белое, используя аргументы из репертуара выступлений клоунов. Это же реальное безумие.

>Ты хуй докажешь, что вместе с этим значит в следствие этого
Да изи вообще. Других средств против кариеса кроме блиса с такой эффективностью просто не существует. Выкупаешь? Или для тебя это слишком сложная логическая конструкция?.
Аноним 06/12/23 Срд 21:32:58 1500067 318
>>1500066
>Других средств против кариеса кроме блиса с такой эффективностью просто не существует
* согласно исследованию создателей бада, произведенному на выборке из 26 человек
Аноним 06/12/23 Срд 21:34:24 1500070 319
>>1500061
>в дипломе у меня вообще
Ага, а почему iq как у стоматолога?

> Стоимость страховки бы не изменилась, а компенсировать пришлось бы существенно меньшую сумму. Сечешь?
Ты скорее специалист по тому как быть дебичем. Для стоматологии, отдельная более дорогая страховка. Кто будет плотить за дорогую страховку, если можно купить дешевые таблетки напрямую?

>А иногд
Бля, те так припекло что ты предложения забываешь допечатывать. И судя по скрину в панике гуглируешь буквально любое дерьмо со словом пробиотик.

Ссу на тебя
Аноним 06/12/23 Срд 21:37:26 1500071 320
>>1500061
> продукты, обогащенные
> продукты
Это даже не про бад, мистер неврач. Там поди речь про кефир с йогуртом, даже лень смотреть.
Аноним 06/12/23 Срд 21:47:07 1500080 321
>>1500070
>Для стоматологии, отдельная более дорогая страховка. Кто будет плотить за дорогую страховку
Дурачок, давай на примере рфии или любой другой страны с ОМС. Твой процент отчислений фиксированный, условно 5% идет от твоей зарплаты на медицину. За эти деньги ты получаешь некоторый набор услуг. Так вот, тебе как государству что выгоднее: оказать тебе более дешевую услугу или более дорогую за те же деньги?
Возьмем вариант ДМС. Условная страховка с зубами стоит 10 тысяч рублей в месяц. По этому страховке ты можешь получить неограниченное количество пломб, лечений кариеса, пульпита и так далее. Тебе как страховой компании что выгоднее: вылечить ноль зубов за 10 тыщ в месяц или вылечить 28 зубов?
Если твой потешный шмурдяк работал, то стразовые компании и государство сраки бы себе разбивали, чтобы кормить им все население с детства.
Аноним 06/12/23 Срд 21:47:45 1500081 322
>>1500067
Лол для тебя это реально сложная логика. Тебя наверное обезьяны с ветки выгнали за тупизну.

Смотри, каждый год вылазило по 2-3 кариеса. Стал кушать блис - кариес перестал вылазить вообще. Если блис не работает, то что тогда дает такой эффект?

Просто приведи пример средства с такой эффективностью против кариеса. в стоматологии, кроме блиса таких нет

Если на практике блис работает, то получается и исследование не пиздит.
Аноним 06/12/23 Срд 21:57:22 1500085 323
>>1500081
>Стал кушать блис - кариес перестал вылазить вообще.
А может, дурачок, ты еще какие-то болезни параллельно вылечил, которые провоцировали? Или газировку сладкую пить перестал? А может в другое место переехал, где вода не такое говно? Овощей стал есть больше и меньше тортиков? А может зубки по совету дяди-стоматолога, который тебе гниющую челюсть вычистил, чистить начал? А может ты просто думаешь, что у тебя все в порядке, а на самом деле все сгнило давно?
Аноним 06/12/23 Срд 22:13:43 1500087 324
>>1500085
>Кариес ушел не изза не блиса, а потому что фаза луны поменялась!

Ничего не менял, вообще. Только блис стал кушать.

>болезни параллельно вылечил
Кариес вызывается бактерией s.mutans, доказанный много раз факт. Исследования о создании кариеса другими болезнями, подъедут? inb4: нет, просто верь мне я жи врачь!! а стой не врач а специалист по между...

>может зубки по совету дяди-стоматолога, чистить начал?
Так то не переставал. Чистка зубов против кариеса не особо эффективна, доказанный много раз факт.

>может ты просто думаешь, что у тебя все в порядке, а на самом деле все сгнило давно?
Дохтур на осмотре говорит что все норм. Или подозреваешь, что коллега пиздит как у вас принято?
Аноним 06/12/23 Срд 22:19:02 1500089 325
>>1500087
>Исследования о создании кариеса другими болезнями, подъедут
Ну может ты булемичка, дурачок. От постоянного блевания зубки довольно быстро по пизде идут.
Аноним 06/12/23 Срд 22:20:30 1500090 326
>>1500089
Т.е. блис еще и тошноту теперь лечит?
Аноним 06/12/23 Срд 22:21:57 1500091 327
>>1500090
Ну может ты одно из своих психических расстройств вылечил параллельно, откуда же я знаю.
Аноним 06/12/23 Срд 22:32:47 1500094 328
Аноним 06/12/23 Срд 22:45:13 1500096 329
>>1500094
А галустук менял? Согласно исследованиям одного из производителей галстуков их смена может оказывать влияние на развитие кариеса сопоставимое со шмурядком, который ты жрешь.
Аноним 06/12/23 Срд 23:02:03 1500099 330
>>1500096
Продолжай, не останавливайся, дай нам еще с тебя покекать
аноним 06/12/23 Срд 23:11:57 1500100 331
ребят, первый вас получил платную услугу в гос стоматологии, можно ведь сделать налоговый вычет? нет подводных камней?
Аноним 06/12/23 Срд 23:16:34 1500101 332
>>1500096
Нистоматология, и ниопша треда десяток постов терпит вопросы почему ты пиздишь пациентам, а потом когда понимает что уже совсем не камильфо игнорить, говорит да я ваабще ни стоматолог, и вообше не тян, а петян!. Продолжаея использовать тот же стиль речи и бомбя с тех же тем, что и в предыдущих тредах. И используя тот же паттерн тупизны в аргументах.

Обезьяны походу не эволюционируют в людей, потому что не хотят стать тобой
Аноним 06/12/23 Срд 23:19:45 1500103 333
>>1500100
Можно. Из подводных там только лимит есть.
Аноним 06/12/23 Срд 23:20:34 1500104 334
>>1500101
>Обезьяны походу не эволюционируют в людей
Потому что тратят деньги на неработающий шмурдяк?
Аноним 06/12/23 Срд 23:22:45 1500105 335
>>1500104
Ты так называешь зубную пасту и твои рекомендации пациентам?
Аноним 06/12/23 Срд 23:23:36 1500106 336
Теперь это тред имени рваной стоматологини
Аноним 06/12/23 Срд 23:29:08 1500107 337
>>1500105
Зачем? Я всем рекомендую никогда не чистить зубы, чтобы они мне по 40 тыщ оставляли за четырехканальный пульпитный зуб.
Аноним 06/12/23 Срд 23:35:45 1500109 338
>>1500107
Стоматологинь, плес, ты прекрасно знаешь что чистка зубов не работает и пульпитный зуб будет в любом случае

Интересно куда пропал специалист в сфере между... который примерно никак не связан с медициной?
Аноним 06/12/23 Срд 23:37:49 1500110 339
>>1500109
>куда пропал
Да я просто тебе по приколу уже подыгрываю, шиз.
>и пульпитный зуб будет в любом случае
Да, что жрешь ты бад с сайта для развода лошков, что нет.
Аноним 06/12/23 Срд 23:43:32 1500112 340
>>1500110
>Дурачок, дурачок, шизофреник, шизик, шиз
>да я не обосралась, это пранк такой!
Аноним 06/12/23 Срд 23:59:31 1500116 341
>>1500080
>Если твой потешный шмурдяк работал, то стразовые компании и государство сраки бы себе разбивали, чтобы кормить им все население с детства.
Ага, всего-то нужно заставить господина застрахованного честно каждый день сосать
Как ты с таким iq вообще у человека рот находишь
Аноним 07/12/23 Чтв 00:04:40 1500117 342
>>1500116
А как, дурачок, сапиенсов научили зубы чистить? жду очередного подрыва твоей сраки про ЗУБЫ ЧИСТИТЬ НИНАДА В КНИЖКЕ 19 ВЕКА ТАК СЧИТАЛИ Или прививки делать. Или воду хлорировать. Нахуй не всралось же, прикинь сколько страховые на лечении могли бы зарабатывать?
Аноним 07/12/23 Чтв 00:14:16 1500120 343
>>1500116
>Как ты с таким iq вообще у человека рот находишь
ПРОИГРАЛ как проигрыватель
Аноним 07/12/23 Чтв 01:05:03 1500129 344
>>1500117
>А как, дурачок, сапиенсов научили зубы чистить?
Так если бы научили чистить, кариеса бы почти и не было, так как по словам ведущих стоматолохов ИТТ кариес от плохой чистки.
Так что либо не научили, либо кариес с чисткой не связан, ой как-то нехорошо получается...
Аноним 08/12/23 Птн 12:18:23 1500481 345
Делали пломбу жевательной пов-ти на 5ке, подравняли норм под смыкание, но когда сел жрать в тот же день, обнаружил, что утыкаюсь в бугорок при латеральном движении челюсти.
Вопрос, можно ли пломбу чуть спилить самому каким-нибудь девайсом, или это пиздец хуйня затея?
Клиника на другом конце города, ехать туда в ближайшее время больше ни за чем не надо.
Аноним 08/12/23 Птн 13:58:28 1500490 346
>>1500481
Конечно можно. Просто берешь ПРОСТОЙ СОВЕТСКИЙ ну ты совсем что ли долбоеб?
Аноним 08/12/23 Птн 17:16:51 1500525 347
Анонсы. Дофига плoмб у мeня..
Такой вопрос. Что сейчас самое топовое для пломб можно использовать? Ультрафиолетовая штука самая топ?
Хочу что-нибудь с максимально долгим сроком службы..
Не хочется в 5-10 лет менять "пол pта"
Аноним 08/12/23 Птн 19:23:42 1500544 348
>>1500525
>Ультрафиолетовая штука самая топ?
Ну так она и стоит 5-7 лет максимум. И это при очень хорошей гигиене и проф. чистке. Но каждая замена пломбы это стесывание тканей зуба. Т.е. ты очень быстро, обычно за 2, максимум 3 таких замены придешь к коронке
Аноним 08/12/23 Птн 21:47:38 1500565 349
>>1500544
У меня сейчас такая пломба.
Есть варики подолговечней? Уже на 1 зуб говорят коронку ставить скоро..
Аноним 08/12/23 Птн 21:54:50 1500566 350
image.png 29Кб, 1168x614
1168x614
А какая самая долговечная коронка? Или от чего зависит? От клея? От стоматолога? Типа вряд ли керамика или цирконий сломаются..
Еще такой вопрос. У меня 1 зуб, внутри пустой, побокам бортики свои. Где пустой там пломба.
Коронка ставится на "столбик" У меня же стобика нету, и не выйдет, только бортики.
Что делать в таком случае? Туда нафигачат пломбу, ее сточат, и на нее коронку?
Так будет же меньше срок слyжбы, чем на натуральный зуб?
Пикрил. Такой зуб. Где стрелочка, вид сверху. Такие бортики, внутри пусто. Побокам нoрм зyбы. p.s. жевательный.
Справа картинка вид сбоку-спереди или сзади. Зуб на десне. Бортики, и пусто внyтри.
Ну щя там пломба. А как коронку туда?
Аноним 08/12/23 Птн 23:24:00 1500578 351
image.png 302Кб, 448x299
448x299
>>1500565
Амальгамы, но их ща никто не ставит. Да и нахуй оно тебе надо.
А так лучше светотверждаемой ща ничего и нет. Ну вкладку разве что из керамики можно сделать, но там и ценник будет не 6 тыщ, а все 26 тыщ.
Аноним 08/12/23 Птн 23:37:18 1500580 352
kultevaya-vklad[...].png 56Кб, 480x339
480x339
>>1500566
Сколько простоит зависит от дохуя факторов, если исключить брак врача, то процентов на 90 от состояния твоей пасти, прикуса и здоровья в целом.
С зубом твои сделают что-то типа пика.
Аноним 08/12/23 Птн 23:44:14 1500582 353
>>1500580
Нифига, сплавы ртути..
А почему коронка не вeчкая?
Ну самая топокая из д. циркония. Она же не мнется. И металл есть не собираюсь.
Чистить 2р в день, полоскать все как надо.
Типа шанс, что эта серая штука отвалится?
А чтобы исключить максимально брак врача, стоит ехать в мск, или в любом сити, главное в среднюю платную клинику?
Аноним 08/12/23 Птн 23:54:08 1500583 354
>>1500582
>А почему коронка не вeчкая?
Коронка то может и околовечная. Проблема в том, что у тебя под коронкой остатки зуба, которые нихуя не вечные. Зуб обычно сильно разрушен, депульпиован, тканей мало. Если есть проблема с герметичность, то может точно также начаться кариес, который перейдет в воспаление, может неудачно пожуешь какое-нибудь говно и переломаешь себе корень и так далее.
Я не к тому, что все плохо и пойдет по пизде быстро. Просто надо в голове все варианты держать.
Аноним 09/12/23 Суб 00:33:00 1500585 355
>>1500583
А если еще пол зуба как на пикрил сломаются, тогда что делать? только имплант вставлять? >>1500580
Аноним 09/12/23 Суб 00:34:01 1500586 356
>>1500583
Есть же смола?? Которой реставрируют сломавшиеся зубы.
Ей пломбу залепить не варик? Даже на переднем?
Аноним 09/12/23 Суб 02:44:08 1500595 357
Есть три клиники с ортодонтией.
В одной еба-брекеты DimondQ или что-то такое, 410к.
В другой такие же брекеты 290к.
В третей простые металлические дуги 30к за одну челюсть.
В чем подводные?
Аноним 09/12/23 Суб 03:37:01 1500599 358
>>1500595
В первых двух цена под ключ, в последней - только за железки без учета всего остального в 70-90% стоимости.
Аноним 09/12/23 Суб 06:00:45 1500611 359
>>1500595
>еба-брекеты DimondQ
Это обычные брекеты, которые стали что-то вроде стандарта в клиниках. Ничего выдающегося там нет
Аноним 09/12/23 Суб 12:10:18 1500650 360
Анон, а за сколько тебе делают пломбу?
Какая сейчас средняя цена на 1 пломбу в Мск?

Чтобы и не наебали и не попасть на дешевого-мастера.
Аноним 09/12/23 Суб 12:38:05 1500658 361
>>1500650
Ты же понимаешь, что зависит от состояния зуба? Лечил онли глубокий кариес. Отдал примерно 6-8к за зуб. Были типа "сложные" зубы и там прайс был 12-14к. Плана лечения не дают, в чеке написано максимально общими словами "лечение твердых тканей зуба" или что-то такое. Но делают вроде нормально. Ходил в другую клинику и там стоматолог сказал, что качество реставраций превосходное и пыталась узнать где я лечился. Пиздит, наверное...
Аноним 09/12/23 Суб 12:51:50 1500662 362
>>1500658
Поверхностный кариес в "1 точку" за 15к это дорого для DC1 в 2023?
В том году отдавал 9к
Аноним 09/12/23 Суб 13:50:09 1500676 363
>>1500662
Отдавал где? В той же клинике? Ты же понимаешь, что можно лечиться в условной Белгравии, а можно в стоматологии на первом этаже панельной девятиэтажки где тебе даже договор не оформят, а оплату будут принимать переводом на карту без каких-либо чеков?
Аноним 09/12/23 Суб 14:26:21 1500681 364
>>1500662
>>1500658
А ведь можно кушать блис всего зп 10к/год и не задаваться такими вопросами
Аноним 09/12/23 Суб 14:57:09 1500691 365
>>1500681
>кушать блис
Он не работает, уже выясняли
Аноним 09/12/23 Суб 15:28:34 1500697 366
>>1500676
9к стоило в стоматологии на 1 этаже.
Решил перейти в клинику получше, качество реально лучше, но теперь около 16к за пломбу.


Не могу понять это кризис в стране или просто клиника дорогая.
Аноним 09/12/23 Суб 15:39:57 1500702 367
>>1500697
Ты в Москве живешь, лол. Что ты удивляешься, что на услуги такие высокие цены?
Аноним 09/12/23 Суб 16:07:45 1500707 368
>>1500702
Помню, завидую людям которые живут в маленьких городах.
У ни там и огород и рыба, дешевые зубы.
Аноним 09/12/23 Суб 16:22:58 1500711 369
image.png 71Кб, 1152x350
1152x350
>>1500697
Чот вас объеьывают как лошков. Лечил этой весной весьма разъебанные зубы. За пик (3 зуба) в одно из посещений отдал 25к. Среднеценовая сетевуха, не подвал у ашота.
Аноним 09/12/23 Суб 16:29:21 1500715 370
>>1500711
Так ты с села, жить в селе выгодней.
Аноним 09/12/23 Суб 16:29:58 1500717 371
Аноним 09/12/23 Суб 16:35:44 1500719 372
>>1500711
Какие проблемы? 8к за зуб
Аноним 09/12/23 Суб 16:36:20 1500720 373
>>1500711
> За пик (3 зуба)
>в одно из посещений
Стоп. Три зуба за одно посещение вылечили?
Аноним 09/12/23 Суб 16:38:33 1500722 374
>>1500719
Ну там кому-то за 1 зуб на 16к счет выставляли.
>>1500720
Ну да, просто берешь прием в полтора часа, плюс зубы последовательно стоят.
Аноним 09/12/23 Суб 16:38:58 1500723 375
>>1497763
И сколько это стоит?
Аноним 09/12/23 Суб 16:45:10 1500725 376
>>1500722
>просто берешь прием в полтора часа
Ну так и говори, что лечил поверхностный кариес, лол. Либо там говноврач, который за полтора часа аж три зуба успевает сделать, лол.
Аноним 09/12/23 Суб 16:49:49 1500726 377
>>1500725
Критерии поверхностного и не поверхностного, лалка, какие. Не пятно на зубе. Со сверлением и заливанием болда. Какие-то были более разрушены, какие-то менее.
А прайс устроен так, что все зубы в одну цену. Нет различия между попроще-посложнее.
Аноним 09/12/23 Суб 16:50:43 1500728 378
>>1500723
На пару миллионов рублей точно выглядит, может больше.
Аноним 09/12/23 Суб 17:04:45 1500737 379
>>1500728

1 имплант - 80к
1 коронка - 60к.
я бы сделал ставку на 3 000 000

А знаете что самое печальное, коронки и импланты не вечны.
через 10 лет человеку потребуется снова 3 000 000 рублей. (правда все подорожает и там уже будет 6 000 000)
Аноним 09/12/23 Суб 17:07:55 1500738 380
>>1500737
Легче тогда вставными зубами пользоваться.
У бабушки такие были помню.
На ночь снимаешь и оставляешь в спец. растворе, чтобы бактерии поубивать.
И три миллиона каждые десять лет не нужно.
Аноним 09/12/23 Суб 17:08:32 1500739 381
>>1500737
Думаю, что ты смету раздуваешь. Имплант с коронкой можно за 80-100к поставить. Другой вопрос, что там может всякие синус лифтинги нужны, вот они дохуя могут стоить при таком количестве имплантов.
Аноним 09/12/23 Суб 17:13:00 1500740 382
>>1500737
>я бы сделал ставку на 3 000 000
>через 10 лет человеку потребуется снова 3 000 000 рублей
Проиграл в голосяндру с этого обосранного экономиста
Аноним 09/12/23 Суб 17:13:12 1500741 383
image.png 45Кб, 755x328
755x328
>>1500738
Я бы с радостью бабушкину челюсть вставил, но мне надо тогда вырвать 15 здоровых зубов. по этому пока терпим.

Стоматологи отнимают мои последние деньги
Аноним 09/12/23 Суб 17:13:40 1500743 384
>>1500740
100к * 30 (зубов) = 3 000 000
Аноним 09/12/23 Суб 22:29:13 1500791 385
1702150152547.jpg 335Кб, 1080x954
1080x954
1702150152583.jpeg 89Кб, 1024x576
1024x576
>>1497763
А вам не кажется, что эти саморезы торчат в пазухи?
Аноним 09/12/23 Суб 23:56:23 1500825 386
>>1500691
покажите пост где это написано
Аноним 10/12/23 Вск 00:53:38 1500867 387
>>1500791
Кажется, пазуха может быть в проекции за зубами
Аноним 10/12/23 Вск 00:57:24 1500870 388
photo2023-12-10[...].jpg 77Кб, 957x1280
957x1280
Сап. У меня очень хуёвые зубы, насчитали 1,5 млн на лечение и протезирование.
Но вопрос в другом.
У меня был дико гнилой зуб от которого попахивало гнилью.
Я его удалил, но гнилью воняет ещё больше и место где был зуб ноет, первую неделю очень было больно, жрал нимесил, он позволял уснуть.
Сейчас поласкаю хлоргексидином, уже 3 недеи примерно, но вонять меньше не перестаёт.
Что это такое и пройдет ли само через время? Стоит ли переживать?
Аноним 10/12/23 Вск 01:44:30 1500905 389
1702161860339.mp4 45000Кб, 1080x2400, 00:00:29
1080x2400
Как же я заебался аноны, помогите пожалуйста. У меня давно стала подпрыгивать температура до субыериала, болеть висок и даже краснеть глаз временами, иногда болит шея. Я все это списывал на рост зуба мудрости но решил все таки сделать КТ, врач осмотрев результаты сказал что у меня киста под зубом и все мои симптомы от этого. Я решил сгонять в другую клинику с этим КТ и там мне сказали что ничего нету там а симптомы из-за роста зуба, я рот того ебал я заебался с этой субфериальной температурой и периодическими болями. Одни говорят одно другие другое и непонятно что делать. Посмотрите пожалуйста видрил, там есть киста или какие-то нарушения???
Аноним 10/12/23 Вск 03:28:02 1500936 390
>>1500870
>Что это такое и пройдет ли само через время? Стоит ли переживать?
Потрать, блять, час своей жизни на визит в какую-нибудь соседнюю клинику, ну или хотя бы позвони туда, где удаляли.
Теоретически хорошо так вонять может какой-нибудь соседний глубокий межзубный кариес, который снаружи не видно, но там дыра с твоей едой.
Аноним 10/12/23 Вск 03:28:57 1500937 391
Аноним 10/12/23 Вск 03:29:42 1500938 392
Аноним 10/12/23 Вск 03:30:31 1500939 393
>>1500938
Так, блять, я спать, извините
Аноним 10/12/23 Вск 04:44:30 1500949 394
>>1500737
>через 10 лет
Чето пиздец прохладно.
Я понимаю, если когда уже дедом станешь и костная ткань начнет по пизде идти могут быть проблемы, но чтобы у чела средних лет имплант через 10 лет полетел - это вообще хуйня какая-то.
Аноним 10/12/23 Вск 04:48:23 1500950 395
>>1500599
>только за железки без учета всего остального в 70-90% стоимости
Там железки + установка.
> всего остального в 70-90% стоимости
А что именно там за работы такие, замена проволоки раз в месяц 200к стоит?
Аноним 10/12/23 Вск 05:41:10 1500953 396
>>1500950
А тебе какая разница? Ищи на что хватает денег. Ну и я вижу, что ты любитель сэкономить. Так что ищи самую дешевую клинику. Ведь как ты сказал "хуль там делать - проволоку воткнуть новую раз в месяц хы-хы", чел...
Аноним 10/12/23 Вск 06:58:50 1500956 397
>>1500743
>30 (зубов)
Ты совсем идиот? Хочешь сказать, что у тебя все 30 зубов в пломбах?
Аноним 10/12/23 Вск 10:57:28 1500979 398
>>1500956
Долбаеб, мы же обсуждаем скрин анона.
У него полностью все зубы в коронках. Просто там на некоторых имплантах стоят сразу по 4-5 коронок.
Аноним 10/12/23 Вск 11:05:05 1500981 399
>>1500949
Я себе ставил металлокерамику 10 лет назад.
Сейчас заменил в связи с ее поломкой и сменой цвета. (обошлось мне это в 70 000 рублей, поставил диоксид циркония)

Срок годности импланта - 10000 лет
Срок годности коронки - 10 лет
Срок годности соединения кости и импланта - 10 лет (похуй дед ты или нет, там дело в другом, зубы то соседние двигаются на миллиметры)
Аноним 10/12/23 Вск 12:17:32 1500987 400
>>1500981
Т.е. тебе выкручивали винт, потом регенили кость и новый вкручивали?
Сколько по времени занимает это?
Аноним 10/12/23 Вск 13:10:09 1500992 401
>>1500987
У меня нет имплантов. Я менял коронку. Мне отклеили коронку, выкинули и поставили новую, обошлось это в 70 000 рублей. Через 10 лет панирую менять ее на новую.

Потому что срок жизни коронки 10 лет.
Может протянуть и 20 лет, но тогда придется осматривать ее каждые 3 месяца и молится чтобы не начал гнить корне под коронкой.

Замена импланта - 200 000 рублей (там много ебли с костью, повезет если нет процесса гниения)
Аноним 10/12/23 Вск 13:16:35 1500995 402
image.png 666Кб, 741x437
741x437
ДОЛБАЕБЫ, как же вы ЗАЕБАЛИ , говорить что МИЛЛИОННЫХ счета это пиздеж и только у дедов 80 лвла.
Вот вам дешевая клиника, но она не скрывала цены за работу.

https://dial-dent.___ru/patient/works/koronki-iz-dioksida-cirkoniya-v-tom-chisle-na-implantax-dlya-protezirovaniya-zhevatelnyx-zubov-596.php
(убрать прочерк перед ru)


Это обошлось в 1 000 000 рублей в 2021 году.
в 2023 такое будет стоить 2 000 000



Таких случаев там полно, не реклама, чекайте отзывы.
Просто пример того что отдать 25 летнего парню 5 000 000 рублей за зубы в 2023 - это вполне нормально.
Аноним 10/12/23 Вск 13:16:57 1500997 403
>>1500992
>Замена импланта - 200 000 рублей
Астра тек/Нобель биокэ или Штрауманн обойдется в сотку за готовый зуб, чел...
Аноним 10/12/23 Вск 13:18:35 1500998 404
image.png 730Кб, 617x503
617x503
image.png 22Кб, 657x135
657x135
Аноним 10/12/23 Вск 13:19:42 1500999 405
>>1500997
Чел, обойдется в сотку, ты прав, только вот различные пластики обойдутся еще в 100к. Замену делать во много раз сложней и еще не каждый врач сможет.
Аноним 10/12/23 Вск 13:22:43 1501000 406
>>1500998
>>1500995
>Просто пример того что отдать 25 летнего парню 5 000 000 рублей за зубы в 2023 - это вполне нормально.

Если парень бродяжка или маргинальная личность, который продал бабкину квартиру в пердях. 6 коронок и 2 имплантата в 25 лет? Сириоусли?
Аноним 10/12/23 Вск 13:25:04 1501002 407
>>1500995
>Вот вам дешевая клиника
Посмотри где находится твоя "дешевая" клиника, чел... Ты бы еще рядом с Кремлем нашел клинику, лол
Аноним 10/12/23 Вск 13:31:23 1501003 408
>>1500995
>Это обошлось в 1 000 000 рублей в 2021 году.
>в 2023 такое будет стоить 2 000 000
>Просто пример того что отдать 25 летнего парню 5 000 000 рублей за зубы в 2023
Таблетки принимай, говно. Начал с 1кк закончил 5кк. Парню половину рта отреставрировали за 1кк в 21 году, а ты уже начал тут фантазировать про 5кк, мудак
Аноним 10/12/23 Вск 13:38:00 1501006 409
>>1501002
Посмотри их прайс, все как у людей (чистка 6к, пломба 7к)
Только вот вся работа получается в 1 000 000.
Там куча примеров.

Так во всех клиниках. просто вы с этим не сталкивались.
Вылечить зубы как на картинкам - 2 000 000
Вылечить зубы дедов - 6 000 000 минимум. (вот деды и ставят присоски)



Аноним 10/12/23 Вск 13:39:49 1501009 410
>>1501003
>Парню половину рта отреставрировали за 1кк в 21 году
Парню сделал 5 зубов , чел за 1 000 000 рублей в 2021 году.
Аноним 10/12/23 Вск 13:40:52 1501011 411
Вы просто тут все зеленые, не сталкивались с настоящей стоматологией. Ваш потолок это пломба за 5000 рублей у тети зины.

Аноним 10/12/23 Вск 13:42:58 1501012 412
image.png 281Кб, 703x265
703x265
image.png 220Кб, 663x342
663x342
image.png 826Кб, 645x649
645x649
image.png 24Кб, 759x128
759x128
3 000 000 рублей за половину челюсти в 2022
Это считается дешево.
Аноним 10/12/23 Вск 13:45:21 1501013 413
image.png 898Кб, 644x683
644x683
image.png 15Кб, 597x108
597x108
Так что ебальники закройте что нет цен в 5 000 000 рублей.
Это обычная практика в жизни
Аноним 10/12/23 Вск 13:47:56 1501014 414
>>1500950
Платишь ты врачу преимущественно за ведение тебя как пациента. Сами железки стоят 50-60к на обе челюсти.
Аноним 10/12/23 Вск 13:48:02 1501015 415
image.png 977Кб, 668x691
668x691
image.png 13Кб, 666x86
666x86
2021 год.
Сейчас такое стоит около 3 000 000



Аноним 10/12/23 Вск 14:07:23 1501018 416
>>1501011
Продолжай коупить и копи на стоматолога, говно
Аноним 10/12/23 Вск 14:27:58 1501024 417
image.png 15Кб, 695x138
695x138
>>1501018
Продолжай обманывать Анонов что стоматология стоит 3 копейки
Аноним 10/12/23 Вск 16:10:32 1501044 418
>>1500992
>У меня нет имплантов.
Откуда ты тогда с такой уверенностью втираешь, что там сколько служит?
Я вообще ни разу не слышал, чтобы штифт выкручивали, кроме каких-то экстремальных случаев, типа ошибки при установке/отторжения/травмы.
Если бы такую процедуру реально надо было проделывать каждые 10 лет, хуй бы кто когда делал 1-2 импланта вместо мостов, например и везде бы стоял визг, какой это пиздец и лучше без пары зубов пожить.
Аноним 11/12/23 Пнд 03:54:01 1501145 419
>>1501011
Так а в чем укор?
Своевременная пломбы у тети Зины предотвращает появление всех этих пиздецом.
Кариес на стадии пятна эмали вообще можно делать у Ашота в подвале. И это и есть настоящая стоматология - своевременная диагностика. То, что ты постишь - это уже результаты факапов.
Аноним 11/12/23 Пнд 05:13:20 1501148 420
>>1501015
>Сейчас такое стоит около 3 000 000
Тебе-то откуда знать, додик? >>1501145 правильно сказал, что там в основном переделка уже за другими палачами и просто лечение угробленных зубов, т.к. челики тупо забивали на лечение. Ты просто коупишь и у самого пасть вся гнилая, а денег нет, чтобы даже в полуподвальной клинике пломбу воткнуть. Так что не нужно коупить если ты потомственная нищета - иди лечиться в муниципальную поликлинику. Сам же виноват, что зубы проебал. Нужно было чистить и не есть сладкое
Аноним 11/12/23 Пнд 07:27:06 1501161 421
если в -40 нерв дает о себе знать, то это пиздарики уже или как морозы спадут может и пройти. У меня в треснутом зубе прост. Летом планировал накопить на коронку, а теперь хуй знает
Аноним 11/12/23 Пнд 10:13:53 1501253 422
image.png 28Кб, 712x186
712x186
>>1501148
>>1501044
>>1501145
Какой же ты идиот, настрочил целых 3 сообщения в 6 строк.
Еще раз повторяю, идиоту.
Ты разбираешься только в пломбах, дальше ты свой нос не сувал, потому что у тебя хорошие зубы.
Выведу тезисно

Тратят миллионы на зубы не только дедушки-наркоманы, вполне реально схватить такой счет даже если тебе 25 лет.
Сделать пломбу - 6000 рублей
Сделать пол рта - 3 000 000
Сделать весь рот 6 000 000.
Это прям минимальные цены, если хочешь качества, то цену нужно увеличить в 2 раза.

А ты долбаеб пытаешься обмануть анонов что в стоматологии нет смет в 4 000 000 и это только у беззубых дедов.
Причем тут я? происходит не оценка меня, а оценка рыночка, ловко ты перескочил наличности, когда самому нечего сказать.

Отрицай дальше современные цены на стоматологию, забирай свои 15 рублей.
Ты хоть бы погуглил сколько стоят работы сложней пломбы
Аноним 11/12/23 Пнд 10:17:09 1501254 423
image.png 898Кб, 668x691
668x691
>>1501145
Долбаеб, еще раз повторяю, у нас разговор не про то что вызывает кариес и как не запустить зубы, хули ты тему меняешь
У нас разговор что на вот такую работу уйдет 3 000 000 рублей по новым ценам
Аноним 11/12/23 Пнд 13:40:51 1501331 424
Бады с s. salivarius в этом треде обсуждают, или есть отдельный или другой?
Аноним 11/12/23 Пнд 13:47:12 1501332 425
Про блис есть вопросы - какой выбрать, есть ли тут кто-то с личным опытом и мнением
Но без скатывания в срач
Аноним 11/12/23 Пнд 14:09:36 1501345 426
Ох ебать, да вы тут уже про блис сретесь. Просто дайте мне ссылки на подходящий и я пошел. Сам на озоне нашел только версию для горла
Аноним 11/12/23 Пнд 14:26:45 1501353 427
Аноним 11/12/23 Пнд 14:29:40 1501356 428
>>1501254
Вообще почему в итоге у тебя 2 путя либо дорогшо, но НОРМАЛАЬНО, либо бесплатно, но пиздец могут т ак сделать что потом только хуже сделают. Вот как специально в бесплатных косоруких уебищ держат
Аноним 11/12/23 Пнд 14:32:42 1501358 429
Аноним 11/12/23 Пнд 17:13:44 1501398 430
Буду становиться блогером-аноном.

Как сделать аватар тяночки ?
Аноним 11/12/23 Пнд 17:15:44 1501399 431
Аноним 11/12/23 Пнд 18:41:33 1501423 432
>>1501399
>https://best.fit
Это паль, чел.... Настоящий баринский БАД с доставкой из-за рубежа тебе обойдется в 8-10к. Да и остальные бады чекни - там цены на уровне местных БАДов. В лучшем случае покупаешь мел, чел...
Аноним 11/12/23 Пнд 19:36:55 1501440 433
>>1501423
Второй тред уже пукаешь в воду, лучше б зубы почистил лишний раз
Аноним 11/12/23 Пнд 20:42:37 1501448 434
Пару месяцев назад удалили зубы мудрости с одной стороны (верхний и нижний). Неделю назад заметил, что под/над местом удаления стала прорезаться челюстная кость, но боли не было. Пару дней назад началась эпизодическая ноющая боль (после еды) - в первый день была сильная, сейчас слабая и больше ощущается во время жевания и после еды. Утром боль не чувствуется вообще, всё идеально. Лунки выглядят отлично, визуально всё ок. Может ли это быть проходящая боль, связанная с заживлением, давлением растущей кости на челюсть, или я ищу повод не идти в клинику?
Аноним 12/12/23 Втр 06:37:57 1501538 435
ссунаопшу.jpg 43Кб, 800x800
800x800
стоматологиню.jpg 49Кб, 800x800
800x800
>>1501332
На озоне вроде тока этот более менее. https://www.ozon.ru/product/probiotik-dlya-polosti-rta-life-extension-florassist-oral-hygiene-30-pastilok-1014110897

Но я его не пробовал, на айхербе более пиздатые были. По хорошему надо по 2 таблы за раз есть, т.е. тебе на курс на месяц надо 120 табл, т.е. 4 банки.

https://best.fit/catalog/antioksidanty_dlya_sportivnogo_pitaniya/probiotik_dlya_polosti_rta_60_ledentsov/
Этот я ел и кариес не появлялся пока ел, работает по идее. Он дешевле потому что надо всего 2 банки для 120 табл. Но по ссылке его нет в продаже.

Самый топ как по мне это пик1. Топ за свои деньги пик2, сам жру его. Хз где их достать за пределами айхерба.
Аноним 12/12/23 Втр 06:42:18 1501539 436
>>1501345

>>1499633
>>1501538
Чел, фак прочитай перед тем как хавать, ссылка в постах выше. А то будешь таблы в желудок закидывать, вместо того чтобы рассасывать или еще какую хуйню
Аноним 12/12/23 Втр 06:43:01 1501540 437
Аноним 12/12/23 Втр 06:44:22 1501541 438
>>1501440
Не заебало по кд одну и ту же мантру писать?
Аноним 12/12/23 Втр 06:46:08 1501542 439
>>1501440
Ты кстати не думала шлюхой работать устроиться? Больше пользы обществу принесешь, чем зубы людям портить. На врача ты явно не тянешь, и на работу где головой работать надо тоже.

Ты не на своем месте, девонька
Аноним 12/12/23 Втр 06:48:23 1501543 440
>>1501331
Да, это тред про блис
Аноним 12/12/23 Втр 12:10:04 1501647 441
Вы меня чёто пугаете. Посмотрел цены на металлокерамику от 10 и до 30к
Аноним 12/12/23 Втр 12:35:43 1501652 442
>>1501647
30к это в рекламе, недавно видел брекеты по 30к, только блять нет таких цен.
за все тебе выйдет в 60к.

если нужно лечить каналы, добавь еще к этому ценник 10к за канал.
Аноним 12/12/23 Втр 12:45:54 1501653 443
Посоветуйте щетку электрическую не за 300кк, пожалуйста. Или ирригатор.
Аноним 12/12/23 Втр 12:46:34 1501654 444
Посоветуйте щетку электрическую не за 300кк, пожалуйста. Или ирригатор.
Аноним 12/12/23 Втр 13:17:22 1501659 445
>>1501652
Ну или региональная цена, так как каналы + 10к максимум
Аноним 12/12/23 Втр 16:28:50 1501701 446
I (1).png 360Кб, 623x769
623x769
I (2).png 1821Кб, 1270x1905
1270x1905
I (3).png 1494Кб, 791x2159
791x2159
Анонче, впервые в жизни имплантировал зуб. Дело было так:
Месяца 3 назад решил импланитровать зуб, т.к. он раскололся надвое. Стоматолог вынул зуб, всадил заглушку и сказал, чтобы я приходил спустя 2 месяца. Прошло два месяца, пришел к нему, снял заглушку и засадил уже нормальную крышку. Прошло пару недель, зуб уже пару дней как начал кровоточить, плюс какие-то неприятные ощущения, которые словами никак не передать, боль то есть и она минимальная, но вот именно ощущения какие-то странные. Кровоточит не сильно, запаха нет, болеть начинает обычно по ночам, кровоточить вроде тоже начинает ближе к ночи. Интернет выдает что-то типа переимплантита, но там и под симптомы не сказать, что особо то попадаю, разве что кровотечение и дискомфорт. Прилагаю пики.

Это переимплантит или что-то несерьезное? К врачу поеду завтра, он сказал, что просто поранил десна во время еды, но это нихуя не так, я прямо чувствую, что что-то с имплантом не так, не похоже на столь простую хуйню. Врачу просто не очень то доверяю, но и к другому ехать не хочу, ибо этому уже заплатил, а платить новому, увы, средства не позволяют.
Аноним 13/12/23 Срд 04:22:41 1501861 447
Ввиду некоторых обстоятельств мне доступ к стоматологу открывается после новогодних праздников. А у меня сейчас в зубе, у которого после лечения давнего тонкая стенка лопнула и походу пульпит. Плюс сказываются морозы. Какие обезболивающие можете посоветовать, чтобы это время продержаться
Аноним 13/12/23 Срд 04:40:14 1501862 448
>>1501861
мне нравится кетонал, но ты с пульпитом до посленовогодних праздников вряд ли протянешь.
Аноним 13/12/23 Срд 05:42:48 1501868 449
>>1501398
Иди в очеред за яйцами посвтой пидорашка
Аноним 13/12/23 Срд 06:21:00 1501872 450
>>1501862
До НГ у нас аврал и некогда, в первые дни поликлиника мне только зуб удалит. Иного пути нет
Аноним 13/12/23 Срд 08:19:24 1501880 451
>>1501868
тарас, ты че такой злой?
Аноним 13/12/23 Срд 11:20:01 1501904 452
>>1501872
Да, лучше чтобы у тебя пол ебала сгнило, чем барина расстроить.
Аноним 13/12/23 Срд 13:54:43 1501944 453
Ананасы, пришло КТ челюстей. Это что такое, поясните кто-нибудь, пожауйста:

1.6 зуб:
В области верхушки корня
определяется очаг деструкции костной ткани, округлой формы, с чётким неровным
контуром, размерами до 3,5х4,6х3,5 мм /ширина х глубина х высота/. Очаг ремоделирует и истончает кортикальную пластинку дна правого верхнечелюстного синуса.

3.5 зуб:
В области верхушки корня определяется очаг деструкции костной ткани, неправильной формы, с чётким неровным контуром, размерами до 4,4х3,2х4,1 мм /ширина х глубина х высота/. Очаг ремоделирует щечную кортикальную пластинку альвеолярного отростка
нижней челюсти.

В области 4.1 зуба отмечается очаг остеосклероза неправильной формы, с четкими,
неровными контурами, размером до 2,9х4,2х5,6 мм, исходящий из оральной кортикальной пластинки и равный ей по плотности.

Пародонт: определяется убыль костной ткани межальвеолярных гребней, а также
вестибуло-оральных стенок альвеол по смешанному типу до 1/3 длин корней.
Аноним 13/12/23 Срд 15:53:23 1501971 454
image.png 315Кб, 800x800
800x800
Привет аноны! Хочу выбрать себе нормальный ирригатор за адекватную цену, как анон выше >>1501653

Пик нашёл за 2к, нормальный выбор?
Аноним 13/12/23 Срд 17:23:15 1501996 455
>>1501653
Бери звуковую или ультразвуковую. Какой-нибудь Philips Sonicare, например. Ротационную не бери (которая крутит головку). Ирригатор не бери B.Well. Если есть розетка в ванной и не планируешь поездки-командировки, то бери стационарный с объемным баком и разными режимами.
Аноним 13/12/23 Срд 17:23:22 1501997 456
>>1501971
Бери любой. Это расходник и просто меняй раз в 1-2 года.
Я бы взял портативный
Аноним 13/12/23 Срд 17:24:25 1501998 457
>>1493225 (OP)
Нужна инфа по ценам у КА. Зашел на сайт его клиники и обнаружил, что там нет ортогантики, а только зубы лечат. Значит он все еще оперирует в Клазко. Сколько нынче стоит пильнуть челюгу? Все так же 1кк?
Аноним 13/12/23 Срд 17:27:32 1501999 458
>>1501998
сейчас стоит 1 200 000, консультация через 12 месяцев, скорей всего поднимут до 1 500 000.

И я бы не лез в хирургию без резервных денег на "повторную операцию", копи сразу 3 000 000.
Аноним 13/12/23 Срд 17:31:40 1502003 459
image.png 914Кб, 910x600
910x600
А зачем вам челюсть чэда?
Делайте лучше то что на пикриле.
Если вам похуй на риски и не боитесь ножа.

+10см дает
Аноним 13/12/23 Срд 17:32:03 1502004 460
>>1501999
>повторную операцию
:)
Аноним 13/12/23 Срд 17:32:43 1502005 461
>>1502003
>+10см дает
Зачем? Вы совсем тут карланы?
Аноним 13/12/23 Срд 17:35:41 1502007 462
Аноним 13/12/23 Срд 17:36:28 1502008 463
>>1502007
Так челик даун, а ты просто не смотрел у кого он оперировался, лол
Аноним 13/12/23 Срд 17:42:23 1502011 464
>>1502008
Нет гарантий что сделают хорошо, зависит не только от рук врача, но и от удачи и здоровья оперируемого.

А еще может выпасть дебаф на фулл-протезирование и поломка сустава.
Аноним 13/12/23 Срд 17:46:46 1502013 465
>>1502011
Не нужно давать дезу, чел. Ты даже по ценам не смог корректно сориентировать. Обтекай, короче
Аноним 13/12/23 Срд 17:52:35 1502018 466
>>1502013
Чел, я звонил, сказали что до конца 2023 цена будет такая.
Но судя по динамике она растет в год примерно на 200-300к.
Аноним 13/12/23 Срд 18:02:09 1502026 467
>>1501999
>консультация через 12 месяцев
Ну ты-то скопил 3кк? ;)
Аноним 13/12/23 Срд 18:08:54 1502028 468
>>1502026
Я коплю 5 000 000 на массовую пластику в 1 заход.
За меня не беспокойся, буду чэдом :)
Аноним 13/12/23 Срд 18:13:15 1502030 469
>>1502028
Не будешь, чел ;)
Сначала тебе плохо сделают ортогнатическую операцию, а потом будешь как те бедолаги с юпупа бегать и снимать видосы как один ложатся раз за разом на операционный стол в попытках вернуть потерянное здоровье :)
На юпупе полно видео ссыкух, которые теперь мучаются с ВНЧС и прочими хроническими болями)))
Аноним 13/12/23 Срд 18:18:02 1502032 470
>>1502030
>На юпупе полно видео ссыкух, которые теперь мучаются с ВНЧС и прочими хроническими болями)))
Не встречал. Покажешь 1 видео?
Аноним 13/12/23 Срд 18:19:49 1502033 471
Аноним 13/12/23 Срд 18:30:27 1502041 472
image.png 536Кб, 862x344
862x344
>>1502033
Нашел стоимость, скорей все она делала у хуй пойми кого.
Не нашел моменты где ей загубили сустав.

Аноним 13/12/23 Срд 18:34:02 1502046 473
image.png 625Кб, 674x490
674x490
>>1502033
Как так?

@
СТАВИШЬ БРЕКЕТЫ 300к
@
ДЕЛАЕШЬ ОПЕРАЦИЮ 1 000 000
@
ВСЕ РАВНО ПРОСЯТ СДЕЛАТЬ ВЕНИРЫ (более 2 000 000 на все зубы)


Еще Писюха говорит только за примерку венира 150 000
Аноним 13/12/23 Срд 18:34:23 1502047 474
>>1502041
>Операцию делала в клинике Elephant (Сосновый бор), хирург Койстрик.
>Сейчас мне уже сняли брекеты, и результат меня немного огорчил - протрузия не ушла до конца. По словам ортодонта - из-за одного зуба, который так и не сдвинулся ни в ходе операции, ни в ходе ортодонтического лечения. Об этом еще до установки брекетов говорил Фадеев Р.А. (зав кафедрой в Мечникова).
>добрый день, потому что: 1) испортились суставы 2) обратно вернулся прикус через месяц 3) это маркетинг, на котором хирург ВСЕХ убалтывает обязательно ломать верхнюю челюсть, что самое жесткое 4) сейчас у меня шишка на щеке, так как пластина мешает, и хирург говорит, что надо делать обратную операцию - вырезать 5) хирург сказал после, что были и летальные исходы, и что медицина - наука неточная 6) АДСКАЯ, адская (!!!) реабилитация верхней челюсти 7) мой ортодонт немного "отстала" от современных техник, где штифтами и прочими приблудами двигают челюсть (не только прикус), поэтому найдите лучше современного ортодонта. Их надо искать так же тщательно, как девушки выбирают мастера маникюра. Очень много плохих, причем моя была по рекомендации, но она НЕ умеет работать со сложными прикусами- всех отправляет на операции.

Так ты жопой не смотри видео, чел... ;)
Аноним 13/12/23 Срд 18:35:40 1502051 475
>>1502046
А какие проблемы? Тяночкам нужно и все >>1499573
А ты как-нибудь без всего этого проживешь, чел...
Аноним 13/12/23 Срд 18:38:23 1502056 476
>>1502028
>коплю
Мне тебя жаль, лол

>5 000 000
Еще и в рублях, лол))))

>массовую пластику в 1 заход
Т.е. ты еще и тупой))))) Прямо бинго собрал, чел)))

5кк это 55к долларов, если что. Что ты там "массово" решил исправить за один заход, лол?
Аноним 13/12/23 Срд 18:39:52 1502057 477
>>1502051
А нахуя возится с операциями если в конечном итоге ей все равно ставят 30 вениров?

попахивает наебом гоев.
Аноним 13/12/23 Срд 18:44:12 1502061 478
>>1502057
>А нахуя возится с операциями
Ты теплое с мягким сейчас сравнил. Как перемещение челюсти связано с винирами?
Аноним 13/12/23 Срд 18:48:18 1502062 479
>>1502056
>Мне тебя жаль, лол
Манипуляция уровня "тп бинго"
>Еще и в рублях, лол))))
Ну не в 404-гривнах же)
>Т.е. ты еще и тупой))))) Прямо бинго собрал, чел)))
Действую по рекомендации топ врачей России и я тупой)
Аноним 13/12/23 Срд 18:53:26 1502065 480
>>1502062
Выше уже выяснили, что твои топ врачи косячат раз за разом, лол)) Тебе это все равно не надо, додь. Ну не повезло тебе с генетикой. Пока ты бабки накопишь и пройдешь все операции + восстановления - станешь жухлым скуфидоном, который никому не будет нужен)))
Аноним 13/12/23 Срд 19:11:44 1502081 481
Посмотрел я вашу писюху.
Еще раз подтвердила, что не нужно лезть в идеальные зубы хотя бы без 10 000 000 рублей.

Она владелец сети клиник с ноготочками.
Вот и думайте ...
Аноним 13/12/23 Срд 19:12:19 1502082 482
>>1501997
>Я бы взял портативный
Тоже не понимаю форс стационарного. 20 режимов 8 насадок и невъебенные мощности струи воды нахуй не нужны по факту.
Аноним 13/12/23 Срд 19:14:02 1502084 483
>>1501944
Звучит на много денег.
Аноним 13/12/23 Срд 19:14:23 1502085 484
>>1502081
Эм..... нет, чел..... Цены там указаны, если что. Даже 1кк не наберется. И она никакой не владелец. Последнее видео 4 месяца назад и рассказывает про охуительный бизнес перепродажи китайской косметики, которую перепаковывают под лакшери
Аноним 13/12/23 Срд 19:36:16 1502095 485
>>1502085
Ну она операцию сделала за 300к, вениры за 1 300 000, брекеты за 200к.

в 2024 это будет так:
1) Операция 1 000 000
2) Брекеты 500к
3) Виниры 3 000 000
4) Мелочь 300к (снимки, кариес, диагностика)

Только не нужно орать что Виниры не нужны, она тоже так думала.
Высоту зубов не хватило девочке.
Аноним 13/12/23 Срд 19:52:15 1502107 486
Как же хочется тяночку после ортогнатии
Аноним 13/12/23 Срд 22:32:26 1502189 487
Долго после выдирания челюсть возле свободных мест будет мозгиебать? Неделя прошла до сих пор ебашит.
Аноним 14/12/23 Чтв 00:44:59 1502216 488
>>1501997
>>1502082
Не хочу брать портативный из-за аккумулятора. Заебусь заряжать, или он сдуется.
Аноним 14/12/23 Чтв 00:49:14 1502217 489
image.png 584Кб, 1000x1000
1000x1000
image.png 651Кб, 1000x1000
1000x1000
>>1502216
p.s.
Нашёл портативный за 1к
Аноним 14/12/23 Чтв 02:13:10 1502226 490
>>1502028
И дальше будешь омежкой, просто с внешностью чеда
Аноним 14/12/23 Чтв 02:19:08 1502227 491
>>1502189
Через недельку начнет потихонтку отпускать
Аноним 14/12/23 Чтв 02:54:50 1502230 492
У всех был одногрупник в универе, которые ездил исключительно на общественном транспорте и может купил шоху на авито к 30 годам, но зато с 16 лет он "интересовался машинами" и мог сходу сказать сколько там цилиндров движок у какой-нибудь японки, которую даже в РФ не экспортируют или за сколько порш набирает 300 с места.
Вот, у меня впечатление, что тут собрались подобные типы, только не по авто, а по зубам, блядь: сделали одну коронку у Ашота, но по ходу за каким-то хуем углубились в изучение рынка стоматологии и теперь, блядь, все обо всем знают, вплоть до самых экзотических процедур и операций и всех их подводных камней и цен.
Аноним 14/12/23 Чтв 03:15:39 1502231 493
image.png 814Кб, 1500x1500
1500x1500
Отбеливающие зубные пасты. Действительно отбеливают? Годнота или зашквар?
Аноним 14/12/23 Чтв 04:59:45 1502233 494
>>1502095
>операцию сделала за 300к
>>1501999
>сейчас стоит 1 200 000, консультация через 12 месяцев, скорей всего поднимут до 1 500 000
Аноним 14/12/23 Чтв 06:04:06 1502234 495
Аноним 14/12/23 Чтв 09:00:40 1502258 496
>>1502231
Работают. Только брать лучше ту, где в составе пероксид водорода. Многие "отбеливающие" пасты работают за счет высокой абразивности, которая по-сути стирает эмаль зуба.
Пероксид водорода не травмирует эмаль. А лучше делать отбеливание в клиниках, разумеется
Аноним 14/12/23 Чтв 09:26:24 1502263 497
>>1502234
Почему-то модели и актеры с Голливуда могут делать а мы не можем.

Аноним 14/12/23 Чтв 09:59:05 1502269 498
>>1502263
Сравнил голливудских актеров мультимиллионеров и обычных васянов, которые даже зарабатывая по 200-300к чистыми, будут откладывать на подобные операции годами, если оперироваться здесь, лол
Аноним 14/12/23 Чтв 10:11:54 1502271 499
>>1502269
Чел который говорил что не нужно лезть в идеальные зубы без 6 000 000 прав?
Аноним 14/12/23 Чтв 10:27:06 1502274 500
>>1502271
Начнем с того, что типичному Сычеву не нужна такая операция. Додиком-инцелом он от этого быть не перестанет, лол. Это тяночке-писечке надо, т.к. >>1499573. Плюс у Сычева обычно нос картошкой или с горбом, лопоухость, пасть гнилая и облысение, не говоря уже об ожирении или скинни-фетстве, лул
Аноним 14/12/23 Чтв 11:01:46 1502281 501
>>1502007
>Юрий Атаманов Юрий, ни в коем случае не делайте операцию! Такие операции приводят к инвалидности. Этот парень на видео носил брекеты 2 года и без результата. А чего ик носить, двигать зубы, если челюсть не выросла до нужного размера. Надо было сначала челюсти привести в порядок, а зубы сами потом встают на место. Это берет от 1 до двух лет . Проблемы с прикусом overbite, cross bite , начинаются в детстве, при рождении, кости черепа не встают на место. Особенно часто КЛИНОВИДНАЯ КОСТЬ смещена, что приводит к смещению перегородки носа, затруднённому дыханию, храпу, дыханию через рот, нижняя челюсть недоразвита, зубы скучены и не могут стоять в один ряд из за отсутствия места, парадонтоз, проблемы со зрением, смещён атлант, возникает сколеоз, и тдПоэтому нужно заняться прикусом в первую очередь. Выровнять прикус можно при помощи "ДВОЙНОГО БЛОКА " (google it) у детей только ( система разработана в Англии в 1960 годах) Для взрослых система МYOBRACE ( google it ) Эта система разработана в Австралии, очень хорошо работает, ставит челюсть на место а зубы сами занимают правильное положение, КЛИНОВИДНАЯ КОСТЬ САМА ВСТАЁТ НА МЕСТО и не надо операцию по исправлению носа делать!!!! Это три силиконовые капы А1, А2,А3 , которые нужно по 4-6 месяцев поочередно, носить ночью, когда спишь 8 часов, и один час днём . Цена $250. Это безумие делать ТАКИЕ ОПЕРАЦИИ, после таких операций начинаются НЕВРОЛОГИЧЕСКИЕ РАССТРОЙСТВА и АИТОИМУННЫЕ Заболевания!!!!! Если есть вопросы напишите Ваш email

Аж проорал с этой хлопотливой тетушки, лол
Аноним 14/12/23 Чтв 11:08:43 1502283 502
>>1502274
Чел, если у человека инцельство 3 стадии, пластика поможет ему стать инцелом 1 стадии.
Это как пересесть с запорожца на старенький опель.
Ясен хуй мерседесом не станешь, но тяночки уже будут давать.
Аноним 14/12/23 Чтв 11:13:47 1502284 503
>>1502274
Члюга - 1 000 000
Нос - 500к
Уши - 200к
Волосы - 500к.
Аноним 14/12/23 Чтв 11:29:38 1502285 504
>>1502284
>Члюга - 1 000 000
1.5кк у КА. Плюс закладываем не 1.5кк, а минимум 3-5кк, если все пойдет не по плану и придется все переделывать как этот челик - >>1502007, который пошел к Набиеву, а потом переделывал у Мохирева. Ну и вишенка на торте:

>Жалею, конечно... столько лет потерял из-за этого всего

Чел 6 лет пытается себе челюгу сделать, лул
Аноним 14/12/23 Чтв 11:33:35 1502286 505
>>1502283
Отличный коммент, на, почитай -

>Здравствуйте.

>Вот моя история.

>В августе 2021 сделал двухчелюстную ле фор 1 в Эвклазе у Набиева. Недавно снял брекеты. Итог: результатом доволен полностью.

>Раньше из-за короткой верхней челюсти и глубокого прикуса не мог улыбаться, чтобы зубы были видны. При разговоре зубов тоже не было видно. Последствия глубокого дистального прикуса, который исправить не смогли годы ношения брекетов в детстве. Профиль лица был с характеным слабым подбородком, короткой нижней третью, выдающейся губно-подбородочной складкой, что визуально старило, вызывало психологический дискомфорт и неудовлетворённость.

>Несмотря на отсутствие функциональных показаний (жевалось всё нормально, ничего не щёлкало), решился на операцию.
Уж очень хотелось улыбаться и иметь гармоничный профиль.

>Сначала – сплинтотерапия, потом ортодонтическая подготовка (короткая, ибо до этого несколько лет носил брекеты до переезда в Мск).

>Потом – операция.
>Верхнюю челюсть низвели, нижнюю привели в соответствующее положение, сделали ментопластику.

>На момент написания этого комментария с операции прошло полгода.
>Первые месяцы неудобств себя оправдали, ровно как и денежные вложения.
>Нижняя треть лица увеличилась, профиль стал более благородным. Верхние зубы стало видно. Симультанно делали конховазотомию: нос дышит свободно, как 20 лет не дышал, не думал, что когда-нибудь забуду про сосудосуживающие капли. Чувствительность на лице вернулась практически везде (проходил терапию, правда, не могу оценить, насколько она этому поспособствовала).

>Оговорюсь, что в моём случае операция была менее инвазивной, чем у вас, так как сегментирование верхней челюсти не требовалось.

>Я никого не пиарю и не рекламирую, прекрасно отдаю себе отчёт в том, что зачастую люди сталкиваются с целым букетом осложнений, который служит показанием для очередного вмешательства. Я говорю исключительно о своём случае, опираясь на личный опыт. По существу, я уже забыл, что когда-то делал какую-то операцию.

>В ретроспективе напрягает лишь одна мысль: нужно было потратить круглую сумму, кучу времени и терпения, только чтобы получить то, что любой среднестатистический здоровый человек имеет по праву рождения.

Иными словами - ты всрешь лет 5-7, скуфанешься, потеряешь здоровье, но по эстетике в лучшем случае дотянешь до среднестатистического чела, который вообще не прикладывал никаких усилий и просто такой с рождения
Аноним 14/12/23 Чтв 12:00:11 1502289 506
>>1502286
https://www.youtube.com/watch?v=mmy867uhxnc

>Альбина Вам эту операцию сделали на моем горьком опыте. Меня промучили с дисталкой 4 года в этом сраном мгмсу, пусть они там все будут прокляты. В итоге срезали мне весь верх изуродовали мое лицо. Ваш любимы дробышев постоянно откладывал мне квоту, в 2015 году он игорю александровичу сказал мне не весь верх срезать, а 2016 перед самой операцией мне срезали все. Делал тотже врач что и вам, срезали мне всю мою красоту, отняв у меня 4 года жизни, причем что ездила я к ним с 28 лет до 32 лет, и у меня ребенок. Отняли годы жизни с ребенком своими мучениями. И как не в чем небывало. Строят из себя правильных. Актеры а не врачи. Надеюсь Бог их проклянет.

Аж сиранул с этих врачей, лал))
Аноним 14/12/23 Чтв 12:29:45 1502302 507
>>1502007
https://youtu.be/3cysSzWh9Y4?t=73

Как же я проигрываю в голосину с этих историй, лол. Не знаю каким клиническим идиотом надо быть, чтобы так обосраться. А эта маниакальное желание сэкономить и сделать по квоте вообще вызывает гомерический хохот. В итоге как и тот болезные, эта мадам лет 5 моталась и делала повторную операцию, лул!
Аноним 14/12/23 Чтв 12:53:33 1502312 508
>>1502302
А чем отличается квота от платной?
Врачу платят те же 200к только от государства.
Аноним 14/12/23 Чтв 13:11:01 1502321 509
>>1502312
Тем и отличается, что с тебя берут какие-то минимальные сборы на анализы и всякие снимки мрт и прочую залупу, а сама операция и прибывание в больничке за счет государства.
Либо ты отваливаешь 1.5кк в платной клинике, лол.
Аноним 14/12/23 Чтв 14:58:41 1502340 510
Аноним 14/12/23 Чтв 15:28:41 1502347 511
Аноним 14/12/23 Чтв 15:31:25 1502349 512
Аноним 14/12/23 Чтв 15:33:12 1502351 513
>>1502286
Там еще смешнее то, что даже если операцию сделали правильно, без осложнений и все более менее встало как надо, то ничего не гарантирует тебя от рецидива, кек. Зубы могут прекрасно поехать и при новом положении челюстей.
Аноним 14/12/23 Чтв 15:41:38 1502355 514
А кто если не Куракин? Кто еще топовичек в хирургии?
Аноним 14/12/23 Чтв 15:46:08 1502357 515
Аноним 14/12/23 Чтв 16:04:49 1502375 516
>>1502355
>Кто еще топовичек в хирургии?
А тебе зачем? Побочки знаешь >>1502351? Может готов к 2-3 повторным операциям? Ну не повезло с генетикой, чел!
Аноним 14/12/23 Чтв 16:57:50 1502411 517
>>1502355
>А кто если не Куракин?
5 отзыв прочитай в дубльгисе на контору Клазко, чел... Забавно, что он является соучредителем этой конторки, лол
Аноним 14/12/23 Чтв 16:58:43 1502414 518
>>1502003
а потом ходить с микро ручками
Аноним 14/12/23 Чтв 17:04:57 1502419 519
>>1502003
Чел слева в носках, а справа в обуви. Разные помещения, угол и высота съемки, врач в другой обуви
Аноним 14/12/23 Чтв 17:56:02 1502452 520
>>1502227
А напиздел 2 прошло. Первый раз вырывал норм было. Счас начало болеть отдавая в челюсть и за ухо. И ебать он сложно вырывался пиздос
Аноним 14/12/23 Чтв 17:59:30 1502456 521
Аноним 14/12/23 Чтв 18:10:23 1502461 522
Аноним 14/12/23 Чтв 19:01:33 1502475 523
Да кто такой этот ваш Славичек?
Аноним 14/12/23 Чтв 19:22:56 1502489 524
>>1502475
>Славичек
Литерально, ху?!
Аноним 15/12/23 Птн 04:46:00 1502575 525
Я обычно лечусь в платной, но тут денег нема и записался в бесплатную. А в платную я всегда ходил, так как там обезболивающие ставят. Так я к чему - нерв без обезболивающего дёргать сильно больно? Или в бесплатных уже уколы появились?
Аноним 15/12/23 Птн 07:17:39 1502582 526
Аноним 17/12/23 Вск 13:24:40 1502977 527
Аноним 17/12/23 Вск 13:26:11 1502978 528
>>1498047
>а зачем тебе зубы объясни? жевать? просто принимай пишу которую не нужно жевать и пробелам решена
Так оно залазит в дырки, сукка, и потом преет и зубы ещё больше болят, особенно мёд.
Ответить в тред Ответить в тред

Check this out!

Настройки X
Ответить в тред X
15000
Добавить файл/ctrl-v
Стикеры X
Избранное / Топ тредов