[Ответить в тред] Ответить в тред

02/12/16 - Конкурс визуальных новелл доски /ruvn/
15/11/16 - **НОВЫЙ ФУНКЦИОНАЛ** - Стикеры
09/10/16 - Открыта доска /int/ - International, давайте расскажем о ней!

Check this out!


Новые доски: /2d/ - Аниме/Беседка • /wwe/ - WorldWide Wrestling Universe • /ch/ - Чатики и конфочки • /int/ - International • /ruvn/ - Российские визуальные новеллы • /math/ - Математика • Создай свою

[Назад][Обновить тред][Вниз][Каталог] [ Автообновление ] 577 | 63 | 203
Назад Вниз Каталог Обновить

Стоматотред №6 Аноним # OP  12/02/17 Вск 16:56:48  572041  
кек.JPG (458Кб, 537x342)
кек2.jpg (47Кб, 670x446)
Делайте панорамный снимок!

Если у тебя что-то случилось - соизволь предоставить фото в НОРМАЛЬНОМ качестве.

Я до усрачки боюсь стоматологов, хочу под общий наркоз!
Такого лучше не делать, это дорого, вредно, опасно и мало кто на такое согласится.

Можем тебе посоветовать премедикацию, ты будешь в сознании, но с седативными препаратами внутревенно, это заметно уменьшит волнение, но это не бесплатно и для лечения кариеса не рационально, если у тебя не 6 дыр за раз делают.

Посоветуйте доктора в моей мухосране!
Не посоветуют тут тебе доктора, нас не настолько много чтоб знать всех докторов, обычно все ходят туда куда удобно, а не носятся по городу в поисках лучшего врача

У тебя щёлкает челюсть и ты не знаешь нормально ли это?
Нет, это не нормально, почти всегда это связано с неправильным прикусом. Тебе нужно отправится к ортодонту, скорее всего, он отправит тебя ставить брекеты.

У тебя болит половина челюсти и ты не знаешь с чем это связанно?
Вполне возможно, что у тебя лежачие зубы мудрости прут вперёд, определить точно это можно по панорамному снимку.
Если это так - однозначно удаление, если не удалить переебёт весь ряд.

Сложно ли удалять восьмёрки, можно ли удалить все за раз?
Если лежачие - сложно, за раз удалять охуеешь.

У меня кривые зубы и неправильный прикус, я хочу это исправить!
К ортодонту и ставь брекеты.

Хочу поставить брекеты, сколько это стоит, какие ставить и куда идти.
Идти к ортодонту, в гос клинику или к частному, разницы нет, цена не сильно разнится.
Ставить имеет смысл метал, всё остальное выебоны для приезжих.
Цены посмотри сам, но читай внимательно, одни пишут цену за весь курс обслуживания, а другие будут драть отдельно деньги за каждую смену дуги и за каждый визит.

Мне 25/30/35 лет, хочу брекеты, но я слишком стар
У тебя ещё половина жизни впереди, брекеты можно ставить в любом возрасте, нет, это не стыдно когда взрослый дядя ходит с железками, стыдно когда взрослый дядя с кривыми зубами хочет их исправит, но не исправляет, по тому что какой-то мимокрок считает, что это не "по пацански"
у нас тут как минимум 3 человека 25+ с брекетами

У меня зубной камень/налёт, хочу почистить, куда идти?
В любую клинику, стоит не дорого, запороть невозможно.

У меня воняет из рта/налёт на языке, что я делаю не так.
Это может быть как и плохая гигиена ротовой полости с гниющими зубами, так и проблемы по части ЛОРа или ЖКТ, так что, вполне вероятно, тебе не к нам.

Хочу жемчужную улыбку, где сделать, чистка зубов отбелила не так как я хочу!
Отбеливание весьма вредная процедура и все будут тебя отговоаривать, но если уж совсем горит - частные клиники, там за дохуя денег тебя отмочат в перекиси.

У меня появился какой-то странный прыщик на губе/десне, что это?
Скорее всего это стоматит.

прошлый:
https://2ch.hk/me/res/551516.html
Аноним # OP  12/02/17 Вск 16:58:53  572044
В общем стоматолог в треде, задавайте свои ответы.
Аноним 12/02/17 Вск 19:52:51  572099
>>572044
Сколько будет заживать дырка после удаления ретинированной и дистопированной восьмёрки?
Аноним 12/02/17 Вск 19:58:43  572104
>>572099
Пару недель или доплати и пусть тебе её зашьют
Аноним 12/02/17 Вск 22:11:13  572144
>>572044
Может быть что хуйня, которую запихивают в лунку после удаления, может мешать заживлению раны?

Гемофилик
Аноним 12/02/17 Вск 22:16:10  572146
>>572144
Все что пихает в лунку врач - для заживления.
Аноним 12/02/17 Вск 22:17:46  572148
>>572104
Сразу после удаления зашивали, через неделю швы сняли, а там все равно дыра.
Аноним 12/02/17 Вск 22:20:11  572154
>>572148
>через неделю швы сняли

>Сколько будет заживать дырка
>Пару недель

Не болит и не беспокоит? Тогда не ссы.
Аноним 13/02/17 Пнд 05:01:23  572242
>>572154
Ебейший стоматолог походу вкатился, ты гистологию хоть сдал уже? Стоматолог
Аноним 13/02/17 Пнд 11:51:40  572315
Надо удалять ретинированную восьмерку, а я ссусь, и денег жалко, что делать?
Аноним 13/02/17 Пнд 13:18:15  572335
>>572315
Удалять и тут без вариантов вообще
Аноним 13/02/17 Пнд 15:58:58  572380
Дублирую:
Анон, режется зуб мудрости (вернее, он еще не показался, но десна болит). Два дня болело горло, сегодня прошло, но начался жар. Если не пойду к стоматологу, мне пиздец?
Аноним 13/02/17 Пнд 16:53:25  572410
Поясните за съёмные протезы , удалил 2 рядом стоящих зуба на верхней челюсти , времени вставлять импланты пока нет , обтачивать соседние тоже не хочу , нормальное ли решение делать съемные протезы ? Если ходить с ними буду где то пол года-год.
Аноним 13/02/17 Пнд 17:55:07  572461
Аноны, подскажите. К врачу в лучшем случае утром завтра смогу сходить. Неделю назад слег на день-два с температурой под 39, потом под губой у десны появилось покраснение с белой язвочкой или типа того. Сначала от любой хуйни (язык, слюни, еда) жглось, пару дней назад стало легче гораздо, но сама штука в лучшем случае едва меньше стала. По картинкам из гугла - стоматит 1 в 1, но он вроде должен пройти за неделю, а у меня уже чуть больше недели держится. Вчера начал метрогил на ватке совать, вроде как уже и при еде, и при разговоре не ощущаю что там что-то есть, только если улыбаюсь или еще как-нибудь губы "натягиваю". Что это может быть? Надеюсь, плюс минус понятно передал.
Аноним 13/02/17 Пнд 20:46:51  572559
>>572461
У каждого пл своему афтозный стоматит проходит, у меня может и две недели проходить. Бесплкоиться стоит, если он не проходит более трех недель.
Аноним 13/02/17 Пнд 21:44:07  572580
>>572559
Спасибо, анончик, добра тебе.
Аноним # OP  14/02/17 Втр 00:07:22  572631
>>572242
Гисту сдал в году 10м. К чему ты о ней заговорил? Считаешь её самым сложным предметом? Значит писать киллометровые циклы превращений по бх в формулах для тебя изи? гисту сдал заведующей кафедры. По баллам правда на отлично не выходил. В течение семестра с преподшей были на разной волне

>>572315
Стоит удаление 2-3к в среднем. Удали.

>>572380
Нет , не пиздец. Но если десна не "порвется" чтобы зуб прорезался, то будет тебе ОЧЕНЬ неприятно. И лучше уж сходить к хирургу , чтобы хотябы разрез сделал.

>>572410
Одномоментная имплантацию можно было провести. Удалил- сразу имплант. Ну и сразу же запротезироваться.
В целом твой варик тоже сгодится.


Аноним 14/02/17 Втр 01:55:39  572665
>>572410
У меня один отсутствуют на верхней, причем его отсутствие видно при улыбке. Тоже были мысли насчет съемного. Однако он стОит практически как полноценная коронка. К тому же, есть в нем нельзя, только ходить да улыбаться. Проигрываю, представляя, как снимаю этот накладной зуб в кафе где-нибудь
Хуйня затея, короче, точить тоже не хочу. Коплю на имплант
Аноним 14/02/17 Втр 09:56:54  572713
Поставил мост металлокерамику на 3 зуба верхние правые. Прошел почти год и между средним и десной появился маленький зазаор где-то в миллиметр. Врач которая делала, сказала что для мостов это все ок. Так ли это, что мне делать.
Аноним # OP  14/02/17 Втр 14:26:25  572774
>>572713
Зазор будет увеличиваться. Нет нагрузки на кость - она "убывает". Ну и сами по себе делаются с зазором, чтобы была "промывка" и еда не скапливалась.

во сколько мост обошёлся? за всю работу

Аноним 14/02/17 Втр 15:10:48  572792
>>572631
>>572380
Зуб вроде вот показался. А жар - это норма? У меня уже есть один зуб мудрости, но чтобы жарило, когда он рос - такого не припомню.
Аноним # OP  14/02/17 Втр 15:22:38  572797
>>572792
8ки режутся часто проблемно.
Алсо мб у тебя вообще простуда сама по себе есть. Сам писал , что горло болело .

Если будет сильное покраснение около зуба, болеть при надавливании, накусывании, то сходи в госку на осмотр. там уже по ситуации решать будут - резать\удалять, или таблетки временно попить
Аноним 14/02/17 Втр 16:12:23  572818
>>572774 делал 3 моста за 75к р. ЗП 25р, для меня деньги за зубы довольно ощутимая дыра в кармане.
32года.
Аноним 14/02/17 Втр 16:29:31  572829
>>572774
Если можешь заодно посоветуй зубную щетку (жесткая/мягкая) и пасту. Из ответа, как я понял, это норм, но почему у меня на другом мосту слева сверху все нормально и нет такого зазора?
Аноним 14/02/17 Втр 18:06:55  572878
>>572829
Пасты в принципе любые (не отбеливающие только и не повышенной абразивности). Можешь с корой дуба , как профилактика для десен. Но с антисептиками пасты тоже не бери и без нужды не пользуй.
Щётка средней жёсткости- остальное нахуй. Можешь даже самую дешевую брать.

Верхняя и нижняя челюсти отличаются по строению. Их не стоит рассматривать как одинаковые кости.
Просто так происходит у тебя. Атрофия кости не обязательно симметрично происходит.

Как давно мосты ставили и какой протяженности?
Аноним 14/02/17 Втр 19:07:46  572889
zybi-cheloveka[[...].jpg (40Кб, 670x538)
>>572878
В конце мая 2016 ставили. 3 моста по 3 зуба верхние левые, верхние правые и нижние правые. 17, 16, 15, как на картинке, остальные симметрично.
Спасибо за ответы.
Аноним 14/02/17 Втр 20:39:37  572951
Сап, анон,
что лечить и обследовать, если 5 дней беспокоит сильное жжение и зуд по всей полости рта, полоскания не помогают. Визуально говорит - изменений нет, только вены под языком стали сильнее выражены. Курит, выпивает умеренно. В анамнезе рак яичек 4 года назад и интенсивная химиотерапия, которая сильно подорвала здоровье.
Стандартный стоматолог точно пошлет куда подальше, если не увидит явных изменений.
Аноним 14/02/17 Втр 22:03:27  573004
>>572878
У меня лицо стало очень ассиметричным. Это связано с тем, что я уже четыре года хожу без зуба?
Если да, то есть ли вероятность, что все придет в норму после установки импланта? Или я уже навсегда останусь таким уродом? Мне 21, а зуб выпилили лет в 17
Аноним 14/02/17 Втр 22:09:50  573005
>>573004
Отсутствие 1го зуба не даст адской ассиметрии
Тем более я хз что именно ты подразумеваешь под ассиметрией и что у тебя поменялось.
Вкидывай фоточки тогда чтоль в субботу один пациент мне тыкал пальцем в "язву", хотя на десне нихуя вообще не было. Даже маленькой эрозии . Но он смотрел в зеркало и тыкал пальцем. лол

>>572951
> Курит, выпивает умеренно
Ты за кого-то пишешь? лол.
Металоконструкции?
с такой хуйней по разным стоматологам над пошляться. И искать че там во рту видно или нет.
Аноним 14/02/17 Втр 22:49:17  573024
>>573005
Да, знакомый.
Металлоконструкций вроде нет пока, хотя после х/т зубы сильно поредели.
> курит, выпивает умеренно
посоветовал бросить хотя бы на время, да думаю сам додумается, не идиот вроде.
Аноним 14/02/17 Втр 23:04:03  573026
>>573005
> И искать че там во рту видно или нет
Спасибо, анончик. Если что - допишу.
Правда по собственному опыту - лучше всего ты сам видишь и чувствуешь, что там во рту делается. Хотя, думаю, дело ещё и в том, что мне правильные стоматологи не попадались

Аноним 14/02/17 Втр 23:07:57  573027
>>573024
> не идиот вроде
стресс так снимает, ну как обычно, в общем
Аноним 14/02/17 Втр 23:15:26  573035
>>573024
Тут над очно смотреть, а не в телефон играть. Как уже говорил - пусть по стоматологам походит. Консультации осмотры бесплатные обычно. Без очной консультации в инетах искать ответы - пустая трата времени.

>>573027
Пусть шарики купит или эспандер.

>>573026
>лучше всего ты сам видишь и чувствуешь
Ну как сказать... Этот парень с "язвой", которой и не было - так и не пришел в след прием над будет завтра написать, что не пришел. И пошёл нахуй он тогда, если какие вопросы будут. При этом , когда я ему хуйнул зуб, который его беспокоил - он рассматривал через фронталочку айфона (отлучился из кабинета и тут он решил посмотреть, что ему делают. Все ж умные дохуя). Ну и сказанул мне про "черноту которую даже он видит он блять язву видит, так что я вообще не удивлен , что он увидел "черноту". лол. Ну а сидеть пояснять, что "черное" не всегда значит что все плохо и ужасно - мне было лень и хуй ты это пояснишь. Ведь везде в инетах написано "черное = кариес". Так что я , как и другие стоматологи, предпочитают, чтобы пациент не видел что там у него делают. Пусть получит свой итог и на него любуется, а не мозги ебет себе и особенно врачу вопросами и ахуительностями, которые вычитал в инетике.
Аноним 14/02/17 Втр 23:29:31  573040
>>573035
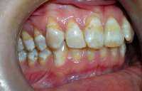
> парень с "язвой"
ну тут гипердиагностика, это бывает. А так, чтобы че-то у себя пропустить...
Но в общем я понял, ты прав, ещё раз спасибо.
Аноним 15/02/17 Срд 01:57:17  573130
>>573005
>Отсутствие 1го зуба не даст адской ассиметрии
Разве это не зависит от места положения удаленного зуба?
Не, показывать я это не хочу здесь, но могу заверить, что это не мои иллюзии, и люди со стороны подтверждают.
Алсо, я понимаю, что ассиметричен каждый человек, но у меня это слишком заметно стало. Выражается это, например, в том, что угол губы на той стороне, где отсутствует зуб, заметно опущен. На той же стороне подбородок выступает вниз сильнее, чем на другой. В целом овал лица кривой, как будто с одной стороны шире, а с другой более впалый. Ну и другие моменты
Я хуй знает, может, мне предначертано было иметь кривое ебло, и с зубом никак не связано, только ведь так не всегда было
Аноним 15/02/17 Срд 22:44:00  573363
>>572041 (OP)
Всем привет, у меня плохие зубы, почти у всех зубов у корней твердый белый налет, прозрачная эмаль, похоже парадонтит(десна немного слезает, и побелела), и уже штук шесть перелопачено и пара по мелочи. И что делать, просто к кому идти, что бы анализы там сдавать и искать причину, я все это должен излить лечащему врачу? Но ведь все это зависит от органов, значит типа в поликлинику идти?
Аноним 15/02/17 Срд 23:58:37  573388
>>573130
>На той же стороне подбородок выступает вниз сильнее
Уже точно нет и 1 потерянный зуб не может быть тому виной.

>>573363
Приди к стоматологу. Он сначала тебя послушает, потом забьет на твой сумбур, сам посмотрит и скажет что тебе нужно. налет - это проф чистка. УЗ\аир флоу\щётка.
Если из ДСов , то вполне гуманным ценам могу замутить. Если ты еще и пенсионер , то скидка . лол дааа, шеф у нас решил для бабушек и дедушек скидки замутить. Ибо сам уже не молод и в общем хуй знает
Аноним 16/02/17 Чтв 02:09:11  573442
1.JPG (34Кб, 465x621)
2.jpg (57Кб, 467x620)
3.JPG (37Кб, 824x617)
4.jpg (57Кб, 468x619)
Сегодня совершенно случайно обнаружил, что сломал кусок зуба, решил, что это уже край краев и пора что-то делать.
Я просто типичный гнилозубый петард нищеброд, гнию заживо уже несколько лет, даже много лет, около 4-6. Вопросы у меня тоже платиновые: сколько стоит вылечить этот пиздец в частной стоматологии? В гос не хочу идти по такой же платиновой причине: у меня страх и холодный пот от одного только звука бормашинки, я даже на гуглкартинках на нее не могу спокойно смотреть.
Какой диванный диагноз, кариес?
Восьмерки, думаю, сразу удалять, верно?
Что делать-то, я жить хочу!
Аноним 16/02/17 Чтв 06:44:21  573467
>>573442
Но в частной тоже тебя будет ждать бормашина...
Аноним 16/02/17 Чтв 08:56:59  573474
>>573442
Пока непонятно, нетипично сломался
Дуй к врачу и делай фотку
Аноним # OP  16/02/17 Чтв 13:02:46  573518
>>573442
снизу - 7,6,5 с обеих сторон лечить от кариеса. Скорей всего не глубоко.
8ку черную к хуям удалить Другую в принципе тоже.

на верхней челюсти (пик2) всосьмерки нахуй. все зубы с чернотой лечить как кариес.

В целом пока все как кариес лечится чтото может будет совсем глубоко и дойдет до пульпы-нерва.

Вопрос цены.
Анестезию если делать - то это около 500р (не ледокаин) . Химические композиты как вариант - дешего и сердито. Чисто залить то , что получится после борм машинки. Совсем бичевский вариант. Ставлю одному парню такие. По 800р за пломбу (но я ему и по 2 на 1 зуб ставил.)
Световой композит 2200. В среднем по дс цена 3к.

Догниешься до нерва , то к цене пломбы добавляй в среднем по 1.5к за 1 канал (в жевательном зубе их 3 в среднем) Ну и шанс , что уже пломбой нельзя будет (если только доктор не сжалится и не сделает хуйню на анкерных штифтах и наваяет пломбу. В остальном это может получиться как вкладка + коронка. Еще около 10кминимум. Итого хуевый жевательный зуб выйдет порядка 15к (при условии что не разъебался под десну ибо в этом случае гарантии на долговечность не дадут и вообще показание к удалению, либо искуственному удлинению зуба - срезать десну\либо тянуть ортодонтически)

Либо можешь идти в гос и смотреть что они там по омс поставят . Вроде цементами перекроются, поставят залепухи . Вроде хим. композит по ОМС ставится. Но я хезе точно.

И да, бор машина ждет тебя везде. Ну ты ведь не такой богатый , чтобы тебе лазером кариес лечили, да?
Аноним 16/02/17 Чтв 13:58:31  573542
ебанутая бабка, развалила в бесплатной клинике 2 года назад зуб . А на всю хуйню фобия лютая , так и если есть проблемы терплю до последнего.
Кароче болел 3 дня 18 зуб , левая сторона , прошла боль , стал болеть только при нажатии на него, опух лимфоузел под щекой.
Спасайте как фиксить и не пиздовать до последнего
Аноним # OP  16/02/17 Чтв 14:05:20  573547
>>573542
18 удаляются и все.
Я бы его лечить не полез - бессмысленный развод на даллары. Да и к нему хуй доберешься.
Иди удаляй.
Аноним 16/02/17 Чтв 14:07:10  573551
>>573547
Так, блять . Я один хуй знаю что его нужно удалять.
Но как оттянуть момент . Снять воспаление и прочую хуйню ?
Аноним # OP  16/02/17 Чтв 14:10:04  573553
>>573551
антибиотики и противовоспалительные в помощь
Аноним 16/02/17 Чтв 14:12:08  573554
>>573553
можешь в пашке или скупе со мной попиздеть .
Ибо меня аж трясет , начал пить Амоксициллин и Кетанов .
Аноним 16/02/17 Чтв 14:21:13  573559
>>573553
а еще пью левомицетин
Аноним # OP  16/02/17 Чтв 15:13:42  573577
>>573554
Бездумно пьешь антибиотики? Успех.

Короче смотри . У тебя если пошло нагноение а всоьмые очень круто гноятся в итоге ты можешь оказаться на столе у хирурга и тебе будт резать еблет и глотку , откачивая гной.
Так что не еби мне и себе мозг, а пойди уже в ебучую госку и скажи "ебать зуб болит". либо сделают бесплатно, либо отхуярят гной и пропишут дозировки тебе, чтобы не откинулся.
Аноним 16/02/17 Чтв 15:50:11  573595
123694162983.jpg (113Кб, 1440x900)
>>573467
>>573518
Я про бормашинку неудачно выразился просто, понимаю, что придется сверлить в любом случае.
А что-нибудь касательно расколовшегося зуба скажешь?
Глубина кариеса определяется по снимкам, которые обязательно попросят сделать?
При средней цене фикса зуба в 3к мои 20 гнилых зубов мне выйдут в 60к - неприятно.
А что по времени? Можно как-то оценить, сколько ходок к дантисту придется сделать? Удаление, наверное, еще и требует какого-то времени на восстановление?
Кстати, к слову о времени, зубы не болят и не реагируют на сладкое/горячее уже давно, раньше были такие проблемы, но то ли прошли, то ли я настолько привык уже, поэтому могу ли я их лечить в течение, может даже, нескольки месяцев, по мере поступления средств? А то мало ли, там ололокариесраспространяется на только что залеченный зуб, поэтому лечить надо только все сразу.
Как оценишь (кроме восьмерок, которые один черт рвутся) степень кариеса? Чуваки на сайтах своих садистских контор пишут прайс в зависимости от степени: "до 30%, после 30%" или "50/50".
Подскажи, возможно ли и имеет смысл ли делить работу над зубами на частную клинику за доллоры и бюджетную по омс? То есть, может быть, какие-то зубы имеют совсем легкий налет кариеса, с которым справится любая бабка в бюджетной стоматологии? Если так, поможешь определить работу с низкой степенью ответственности: удаление восьмерок, лечение расколовшегося, лечение каких-то конкретных из зубов, где кариеса пару пятнышек, что-то еще?
Ты, похоже, сам врач, берешь к себе битардов с доски?
Спасибо, что консультируешь, анон.
Аноним 16/02/17 Чтв 15:54:09  573596
>>573595
насчитал 15 кариозных зубов. по фоткам мельком.
Вечером приду подробней распишу.
сколько времени будут ковырять - зависит от сложности, навыков доктора ну и соответственно материала и насколько доктор захочет из говна лепить что-то кошерное или ебануть "не мешает? ну ок".
И кариес по снимку не всегда определяется. Определится по мере того как будут удалять.
Аноним 16/02/17 Чтв 16:00:40  573597
F9ESCypasX4.jpg (85Кб, 604x604)
>>573596
>насчитал 15 кариозных зубов. по фоткам мельком
В зеркале увидел 20 зубов, на которых присутствует минимум черная точка (с учетом четырех восьмерок).

>Вечером приду подробней распишу.
Спасибо, до вечера.
Аноним 16/02/17 Чтв 16:08:08  573600
>>573577
Я ссусь неадекватно от всей этой хуйни,посоветуй хоть , какую анестезию выбрать из платных , и чем можно закинуться ,чтобы уж точно не сраться . Ибо я становлюсь неадекватны от страха .
Аноним 16/02/17 Чтв 16:53:04  573612
Аноны, не бойтесь ничего, идите лечить зубы. Я долго стремамлся, потому что полный рот кариеса. Но нужно понимать, что откладывание на потом не решит проблему, а только усугубит. Идти к стомалогу придется так или иначе. Только ты можешь сделать это сейчас, когда все поправимо, а можешь дотянуть до пиздеца. В итоге преодолел страх и пошел в гос. В первый раз в кресле трясло, теперь уже спокойно отношусь. С радостью понимаю, что еще пара визитов, и ебучего кариеса как не бывало.
Ставлю световые пломбы за 1,5к
Аноним 16/02/17 Чтв 16:55:43  573615
>>573612
Почему платишь деньги, раз лечишься в гос?
Аноним 16/02/17 Чтв 16:56:27  573617
>>573612
>не бойтесь ничего
Лол, мне однажды сделали укол прямо внутрь зуба, так у меня аж ноги с кресла взлетели - такая это была резкая боль.
Аноним 16/02/17 Чтв 16:57:08  573618
>>573615
Потому что я решил не экономить и ставить сразу нормальные
Аноним 16/02/17 Чтв 16:59:28  573619
>>573617
Укол — это неприятно, да. Но согласись, длится это не вечно и можно потерпеть. У меня больше страха вызывало выкорчёвывание зуба из десны. Кажется, что тебе вот-вот щеку порвут или еще чего
Аноним 16/02/17 Чтв 16:59:40  573620
>>573618
А в гос типа бесплатно можешь поставить пломбы только из говна и палок, а за нормальные все равно придется платить деньгу?
faq бы какой найти по зубным проблемам, ничего же нипонятна
Аноним 16/02/17 Чтв 17:02:38  573621
>>573620
Ну, в гос, насколько я знаю, ты платишь только за материал. Световая пломба лучше и крепче обыкновенной, даже эстетически, поэтому надо платить, а хуле ты хотел. У частника это будет стоить в два рада больше
Аноним 16/02/17 Чтв 17:04:24  573622
>>573621
>а хуле ты хотел
Да откуда я знаю, я никогда в жизни не лечил зубы.
Аноним 16/02/17 Чтв 17:08:13  573629
>>573622
Нет нужды?
Аноним 16/02/17 Чтв 17:12:58  573635
>>573629
Нет, просто долбоеб, нужда появилась на днях.
Записался на завтра в какую-то рандомную шарагу из поиска гугла (вроде отзывы на различных сайтах более менее норм), до сих пор еще не было возможности познакомиться с матчастью, поэтому и не знаю, как тут все заведено, и как это вообще работает. Понял только, что анон отговаривает идти в госбюджетные заведения
Аноним 16/02/17 Чтв 17:18:37  573637
>>572041 (OP)
В начале сентября восьмёрку лечили от кариеса - удалили нерв, наложили мышьяк, убрали его, запломбировали.
После при сдавливании зубов, там болело. Недельки три. Потом пропала боль.
Вот сейчас болит просто так и при надавливании.
Ходил пару дней назад к стоматологу, осмотрели визуально, сказали, что ничего нет.

Похоже придётся опять идти. И настаивать на чём? На снимке общем?
Я бы сказал бы что болит челюсть (сантиметр от того места где она закругляется, около уха) под этим зубом, мышца.

Что это вообще может быть?

В основном к вечеру или после еды.
Аноним 16/02/17 Чтв 17:23:13  573638
>>573637
Может хреново залечили, нагноилось? Гной в таком случае виден под снимком?
Аноним 16/02/17 Чтв 19:18:25  573682
tSMleA.png (8Кб, 625x239)
Сколько шекелей готовить в моей мухосраниЧелябинск? Месяца 4 назад делал снимок 15(который развалился до корня с пометкой Х), стоматолог сказал что вполне можно накрутить коронку, прошу учесть это в примерной итоговой сумме..
Аноним 16/02/17 Чтв 19:26:09  573687
>>573682
И ещё по поводу нижних восьмерок.
Их можно сразу выдрать, или ждать пока они начнут крошится и гнитьКак произошло с верхними?
Аноним 16/02/17 Чтв 21:38:32  573737
>>573600
> какую анестезию выбрать из платных
хирурги тебе сами вколят заморскую или отечественную. лол

В принципе и обычной государственной должно хватить. Но если платную импортную ебануть, то она действует в принципе дольше и возможностей осложнений от неё меньше. Если нет проблем с сердцем и здоровьем в целом, то в принципе можно и бюджетную. Но если ты доку подкинешь денег в карман перед удалением - лишним не будет.

>>573595
>А что-нибудь касательно расколовшегося зуба скажешь?
Ну я не вижу прям расколовшегося. Чтото откололось. В принципе должно обычной пломбы залатать хватить.

>При средней цене фикса зуба в 3к мои 20 гнилых зубов мне выйдут в 60к - неприятно.
Всегда есть вариант с гос. Алсо там мимо кассы чуть дешевле. В ДС-1 в госах платная стоматология. Пломбы вродь тоже стоят 3к или около. Мимо кассы чуть дешевле. Можешь по омс. Но тут уже от доктора зависит и что там по омс будет.

>А что по времени? Можно как-то оценить, сколько ходок к дантисту придется сделать? Удаление, наверное, еще и требует какого-то времени на восстановление?
Ну ты можешь и за одну ходку все сделать. Вопрос навыков врача, времени у него и желания с тобой весь день возиться. Но буду честен - вряд ли ты из тех, ради кого клиника будет готова даже ночью остаться и работать , не взирая на окончание часов работы. В среднем бери в расчет на 1 зуб 30-60 минут.

>>573595
>зубы не болят и не реагируют на сладкое/горячее уже давно, раньше были такие проблемы
Надосмотреть очно. Возможно нерву пизда. А это уже вытекает в лечение каналов (иголочки в зубы тыкают). Добавляй стоимость лечения каждого канала. В принципе по омс такое тоже можно сделать бесплатно. Но сам понимаешь, что это скрей всего будет старый добрый "резорцин-формалин" красный русский в терминологии иностранцев но тоже имеет место быть.

>поэтому могу ли я их лечить в течение, может даже, нескольки месяцев, по мере поступления средств? А то мало ли, там ололокариесраспространяется на только что залеченный зуб, поэтому лечить надо только все сразу.
Можно лечить постепенно офк. И начать с самых проблемных. На консультации я обычно так и говорю , что какойто зуб вот РЕАЛЬНО надо лечить, а на другие пока можно подзабить и отслеживать.

>>573595
>степень кариеса?
Ну вот мне кажется жевательные зубы - есть которые уже с дохлым нервом. Хтя мб отделаешься кариесом. По факту кариес любой глубины лечится одинаково.

>>573595
>с которым справится любая бабка в бюджетной стоматологии?
Врачи часто совмещают омс в госке и платную. Почему... Потому что в госке график примерно 8 и до 14. Дальше ты свободен. Ну даже до 15 если. + у тебя какие-то пациенты , которые готовы тебе доплатить. Соответственно это удобно , что можно их уже лечить в частной. Так что в прицнипе все однохуйственно. Если бюджетно по омс, то это сравни как по купонам в частной. Также слепят из говна и палок. Но не значит что прям все хуйня. Ну каналы лечить в платной. Чтобы было время как минимум на более качественную обработку. В госке можно за бабло также их пролечить. Так в целом если тебе похуй, то кариесы можешь и по омс нашлепать залепухами.

За любую работу идет ответственность. Так или иначе всегда могут быть осложнения. Но в целом , если человек не с улицы , одели залат и сказали "принимай пациентов", то в принципе нехуй ссать.

Аноним 16/02/17 Чтв 21:42:02  573740
>>573637
Снимок надо делать. И сравнивать с тем , что было на снимке после лечения.

>>573682
>Сколько шекелей готовить в моей мухосраниЧелябинск?
Гугли.

>>573687
>Их можно сразу выдрать, или ждать пока они начнут крошится и гнить
Можно сразу если растут криво или еще что. Ну или если средства позволяют.
Аноним 16/02/17 Чтв 22:06:45  573743
>>573740
Ты анонов с доски лечишь?
Аноним 16/02/17 Чтв 22:40:04  573753
>>573743
Да , в принципе могу глянуть че там.Но клиника частная. Соответственно ОМС и за бесплатно ничего не светит.
Аноним 16/02/17 Чтв 22:42:03  573754
>>573753
кроме консультации* офк. Благо такого в прайс не ввели
Аноним 16/02/17 Чтв 22:42:56  573755
>>573753
Кинешь линк на клинику?
Аноним 16/02/17 Чтв 22:47:26  573757
>>573755
http://cosmo-dent.ru
Та лови.

офк лечение кариеса не 6к. Как пояснили - для ебанутых сайтов купонов эт накрутили. Хуй знает. Не лезу в это. Удаление тоже гдет от 2.5 по прайсу
Аноним 16/02/17 Чтв 22:51:20  573758
IMG94111.jpg (50Кб, 500x333)
>>573757
Ололо только не говори, что ты пикрелейтед
Жаль вы находитесь далеко, очень уж неудобно будет добираться. Но все равно спасибо, сохраню и буду иметь в виду.
Аноним 16/02/17 Чтв 22:55:40  573759
>>573758
Нет кек
Если что , катай в тредик. Фоточки\снимки . Пока тут посиживаю
Аноним 16/02/17 Чтв 23:05:46  573766
Курьер.jpg (119Кб, 1317x587)
>>573759
Да ты меня уже выше проконсультировал, спасибо.
Завтра иду к стоматологу, посмотрю, какой приговор вынесут.
Аноним 16/02/17 Чтв 23:10:03  573767
>>573759
Нахуй так наёбывать народ? ИмплантАТ за 10к.
мимо студент-стоматолог 4 курс
Аноним 16/02/17 Чтв 23:41:55  573779
>>573757
Стоматолог, насколько тебе противно работать с курящими поциентами?
И вообще, насколько вы гнилозубого гуро насмотрелись, вам уже поебать, что там у клиента во рту?
Аноним 16/02/17 Чтв 23:46:52  573781
>>573767
Наёбка в чем? что человек реально платит в кассу 10к?

Вообще с инглиша имплант, это наши надмозги заебашили перевод кривой. Так что всёж таким рьяным граммар наци я бы поссал на еблет. Чтобы петухов не способных в перевод не поддерживали с криками "ВОТ ТАК ПРАВИЛЬНО ГОВОРИТЬ!" слово иностранное то. Соответственно и звучать должно как оригинал с поправкой на фонетику для других народов
https://en.wikipedia.org/wiki/Dental_implant


Я тебе по секрету скажу - их себестоимость вообще ни о чем. Ставится не альфа био\астра\нобель. Ставится другая система без йоба наворотов. Спизжено с немецкой системы нашей профессурой для доступности совесткому гражданину!, но в меру долбаебства годы проебаны и чтобы работа не проебалась - профессор опять обратился к шефу, с которым этим и занимались давно. Ну а как ты сам понимаешь, студент 4го курса, то импланты по своей сути - йоба винты в челюсть из титана. Которые не отторгаются если нормально установили с охлаждением и стерильно+если пациент не долбаеб, который прикладывал грязевые комки на рану и потом "проростают" костью. Остеоинтеграция. И по факту смысл оверпрайснутых нобелей которые хуже других импортных но там КИЛОТОННЫ бабла влиты в их раскрутку были, можешь у преподов поинтересоваться и прочего отпадает. По сути саморез из титана ты спокойно можешь вогнать в кость и будет заебок лечение перелома костей титановыми спицами, пластинами, думаю ты знаешь и вполне оставляют и все ок. Без всех чудо лазерных насечек как делают у дентальных имплАНТОВ. Но конечно потом придут дяденьки из нобеля, астры и прочих прочих реально тысячи их! и выебут тебя. За демпинг.
Как-то так. Скажу честно - данную систему по началу смотрел малеха скептично, но! Она вполне имеет место быть, но не всегда уместна офк абатмант сразу у импланта имеется. Так что в ситуации когда надо индивидуальный хуйнуть - тут надо другие ставить.да. Ну и вродь как там уже есть пациенты профессора и смотрели их недавно, которым их ставили лет 15-20 назад и все ок. Так что я не дефаю это все. Мне похуй. Я не ставлю импланты и не получаю с оверпрайснутой процедуры свой ЖИРНЫЙ процент, но в целом как вполне доступная вещь для людей - я был бы рад.

В общем поинтересуйся у преподов про титановый саморез в челюсть. Будет ли он стоять также хорошо как крутой имплант при условии, что охлаждение и это все соблюдается или нет.

>>573779
Без разницы. Главное чтобы сильно не воняли сигаретами. Но это от любого человека чтобы не воняло и мне норм.
Да, смотришь в рот и видишь поле работы. Я концентрируюсь на нём. В перерыве можешь полюбоваться волосами в носу пациента, усиками, порами и прочим, что у наштукатуренной тяночки ты не увидишь с расстояния обычно. А тут в упор все очень видно. лол
Но в целом класть. Проктологам аналогично. Концентрируешься и работаешь и все.
Аноним 17/02/17 Птн 08:59:49  573866
Хочу белоснежную улыбку, чтобы дома самому себе в зеркало блестяще улыбаться
блендамед 3д уайт и глистер до конца не вывезли желтизну курильщика
есть смысл в каких нибудь домашних системах отбеливания типо этой параши с 1й ссылки гугла http://globalwhite.ru/catalog/otbelivayushchie-sistemy/otbelivayushchaya-sistema-intensiv/ ?
В стоматологию не особо охота, как насветят мне в ебало этой кварцевой лампой и найдут все мои кариесы, да начнут счет выставлять, нахуй оно не сдалось
Аноним 17/02/17 Птн 11:47:29  573904
Зубам полная пизда, легче посчитать сколько целых осталось, больше всего беспокоят две лунки где когда-то рассыпались два зуба и остались осколки и два зуба рассыпалась вся эмаль, пеньки одни торчат, мне все лицо не изрежут в стоматологии? Я в панике.
Аноним 17/02/17 Птн 19:51:12  574066
РЕБЯТ над зубом мудрости появлся капюшон, от него пиздец воняет нахуй но ниче не болит, рот открывается без боли и тд. че поможет?
Аноним 17/02/17 Птн 20:19:28  574075
>>574066
Удаление зуба. А так иди к хирургу, он тебе скальпелем порежет этот капюшон
Аноним 17/02/17 Птн 23:10:51  574127
w83sS4u9CxI.jpg (33Кб, 604x403)
Записывался на прием к стоматологу, там при оформлении надо было перечислить свои болячки и прочие "курю\не курю", я задумался, а как-нибудь пересекаются ли вещества, используемые для анестезии и мдма/лсд/трава? Потенциальный проказник-"наркоша" не двинет ли на кресле у врача, если пару дней назад триповал?
Аноним # OP  17/02/17 Птн 23:32:24  574135
>>573866
По ссылке смотреть лень. Домашнее отбеливание имеет место быть. Потом отпиши о результатах экспериментов.

>>573904
Лицо порежут , если у тебя гной излился туда. Но в таком случае ты уже будешь лежать на столе хирурга, а не сам ковылять в местную стоматологию

>>574066
Промывай хорошенько.
Сходи к доктору. Он его отрежет лазером, скальпелем, расскаленной гладилкой, бором, голыми руками оторвет азазазаза!

Ну и зуб потом можешь удалить , если стоит по уебански.

>>574127
В наркотическом угаре\алкогольном опьянении тебя скорей всего на хуй пошлют. По тому что
1- бухать весело вместе, но не когда к тебе дебил бухой\укуренный на работу пришел, где ты сосредоточен и серьезен
2- от синьки анестезих хуже пашет , ну и кровить может лучше.

В остальном если запару дней до этого дул\пил, то все должно быть ок. но это не точно :)
Аноним 17/02/17 Птн 23:37:13  574137
>>574135
Приходить убитым к врачу на прием - это вообще край.
>В остальном если запару дней до этого дул\пил, то все должно быть ок. но это не точно :)
Можешь перечислить, какие анестетики используются стоматологами или какие там действующие вещества? Хочу попробовать полуркать гугл по ключевым тегам.
Аноним # OP  17/02/17 Птн 23:39:16  574138
>>574137
>Приходить убитым к врачу на прием - это вообще край.
такие ебантяи находятся. Лол.
Но в 99% убитые алкоголем а не веществами. По понятным причинам>>574137
>какие анестетики
Короче гугли платные Артикаин \ убистезин\примекаин
бюджетный - ледокаин
Аноним 18/02/17 Суб 00:21:08  574151
Поставили штифт и световую пломбу, при попадание на этот зуб горячей еды чувствуется вкус лекарства, уже где-то недели три этот вкус (только когда ем), само пройдет или переделывать пломбу?
Аноним # OP  18/02/17 Суб 00:25:10  574152
>>574151
Пломба после засвета вкус не дает и не "течет", хуй знает что у тебя там такое наделали. Спроси того кто сделал это. Сириосли.

сейчас чекнул платные услуги в госке. Цены блять как в частной прям. только это госка. лол
Аноним 18/02/17 Суб 00:25:13  574153
kista.jpg (35Кб, 434x377)
Смотри какая хуйня, анон. Пару лет назад делал объемный снимок из-за гайморита и там явно видна то ли пустота над зубом то ли киста. Почему не знаю точно - до этого удалил рядом растущий зуб, и возможно это пустота от его кисты уже удаленной, а может именно киста того зуба над которым она высветилась.
Так-как снимок делал по поводу гайморита, вся пазуха была заполнена гноем, а сама то ли пустота то ли киста соприкасается с пазухой, вощемта всё одного цвета, поэтому не понятно что же там.
В итоге я на всю эту хуйню забил и до сих пор так нормально и не пролечился. Сейчас вот хочу всё же выяснить в чем причина. К кому первее идти? Допустим, если к стоматологу, есть смысл делать снимок с полной пазухой гнойных соплей? И если он начет выдирать зуб, оттуда же вся эта хуета потечет, аппарат сможет её всосать в полном объеме, лол?
Аноним # OP  18/02/17 Суб 00:32:05  574156
>>574153
Я нихуя не понял, если честно, что ты хочешь, а главное - НАХУЯ?
Тебя что-то беспокоит? Вот конкретно сейчас\вчера\завтра - что тебя беспокоит? Гной течет? болит? Или ещё что?

Аноним 18/02/17 Суб 00:32:38  574157
А расскажите интересное о кровяных сгустках наудаления зубов? О.о а то чет какие то вампирские детективы вокруг них.
Как кровь может перевратиться в кость?
Почему на месте удаленного зуба могут начать рости кости, в том числе и вылезая из десен О.о

Или ткните что почитать? А то по гуглу - бессвязная нарезка текста на сайтах клиник.
Аноним # OP  18/02/17 Суб 00:41:23  574158
>>574157
не напишу щас точно до мелочей . Но суть такая- сгусток это что-то вроде матрицы. Туда транспортируются клетки , которые запускают синтез костной ткани.Так что не кровь превращается в кость, а она приносит туда то , что и будет образовывать эту кость.

>Почему на месте удаленного зуба могут начать рости кости, в том числе и вылезая из десен
Хуй знает что у тебя там растет. Послу удаления - лунка заживает и все. Могут потом остатки корня "вылезти". Но точно ничего там расти не начинает

>Или ткните что почитать?
Физиология человека - учебник
Хирургическая стоматология - учебник (Робустова). В одном из них точно должно быть подробно все изложено.

Аноним 18/02/17 Суб 00:41:46  574159
>>574156
Из носа гной идет, второй год. Промывания/прокалывания не помогают, думаю, что дело в зубе, так-как видно что над ним круглая пустота. Но как точно узнать в зубе или нет (сам зуб мертвый, когда лечил по омс не успел предупредить чтобы его не трогали, так-как уже тогда подозревал что с ним что-то не то).
Показывал этот снимок в больничке когда прокалывал, но местный стоматолог послал к каким-то своим знакомым на панораму, и на ней ничего не раглядел. Хотя эта круглая пустота никак не могла зарасти за это время. А потом я забил на лечение, так-как отпуск закончился, и в итоге до сих пор не знаю в чем причина.
Аноним # OP  18/02/17 Суб 00:48:45  574164
>>574159
Сходи к толковому стоматологу и пусть 3д снимок тебе замутит . КЛКТ или МРТ что-то из этого. А там будет видно - причина в зубе или как. но чую что в нём. А там либо пролечить его каналы нормально, либо верхушку корня нахуй отрежут.

да , часто из-за косяка стоматолога у человека гайморит.

Алсо можешь сюда снимки покидать какие есть

Ах да. У ЛОРов вроде есть игрушка - камеру могут в пауху загнать и посмотреть че по чем.
Аноним 18/02/17 Суб 01:00:51  574165
Я тупой, видимо, никак не пойму в чем суть вкладки. И вообще какие альтернативы есть коронке? У меня имеется хуевый зуб на штифте, большая часть которого — цемент. Стомотологиня в госе сказала, что пора ставить коронку. Но я не хочу чтобы он у меня там под коронкой гнил, слово КОРОНКА меня вгоняет в тоску, от него веет безысходностью. Неужели нельзя обойтись без нее?
Аноним 18/02/17 Суб 01:05:31  574166
zub4sr3.JPG (82Кб, 1117x557)
ch5.JPG (44Кб, 745x458)
1-panorama.JPG (64Кб, 929x559)
>>574164
Как-то так. Это я сам на компьютере просматривал 3D и сделал как мне казалось лучшие срезы, на которых всё видно. Сам диск сейчас не знаю где.
Первый пик - тот самый зуб. Второй - срез прямо над корнями, вид сверху, соответственно. Третий - панорама.

Меня интересует главным образом, можно ли по такому снимку что-то определить, или деньги на ветер.
Аноним 18/02/17 Суб 01:08:14  574168
>>574166
алсо, гайморит у меня начался до вынужденного лечения зубов. одновременно заболел зуб, который рос вторым рядом за подозреваемым и пошел гной. Зуб тот я удалил, но почему-то снимок мне никакой не делали. Хирург просто заткнул нос и попросил дунуть, лол. Давление не стравилось, значит всё заебца, перфорации нет, гуляй вася.
Аноним 18/02/17 Суб 02:26:05  574179
P70217-172230.jpg (1446Кб, 2680x2744)
Пикрелейтед расколотый шестой зуб отсюда >>573442
Врач сказал, что пульпита нет, обычный средний кариес (на остальных зубах почти везде "скорее всего поверхностный кариес"), будет пломбировать.
Дашь секонд опинион, стоматолог-кун?
Аноним 18/02/17 Суб 11:08:43  574250
>>574166
Первый пик смотри. Самый дальний зуб тоже к пазухе лезет. Имхо пролечить зубы и гайморит уйдет
Алсо зуб на котором стоит перекрестие - вроде пролечен по типу каналов, но они пустые . Панорама как вижу старая. На ней все зубы стоят, да? А то пишешь , что что-то удалил, а там все стоит.
В общем 6 и 7й у тебя до пазухи доходят корнем.

>>574179
Ну вот видишь. Все не так страшно. Скол там не критичный, так что до пульпита не дотягивало б. если бы сломалось до нерва, ты давно б это почувствовал и побежал его удалять нахуй как сломанный
Аноним 18/02/17 Суб 13:20:47  574281
Как поставить эту пластинку на зубы? Как только не засовываю в рот - не держится.
Аноним 18/02/17 Суб 14:48:51  574322
Уже полгода ноет челюсть слева, снизу. Что это может быть? На самом дальнем зубе несколько тёмных пятнышек на жевательной поверхности. Но вряд ли это кариес (кариес, говорят, болит только при присутствии раздражителя, пульпит тоже, они не болят постоянно), так как боли на сладкое, кислое, холодное и горячее нет. Но уже как полгода беспрестанно ноет и ноет, это не то, чтобы боль, а просто неприятное ощущение, и днём, и ночью. Я уже заебался. Что это может быть, анон?
Аноним 18/02/17 Суб 15:16:19  574336
зубб.JPG (10Кб, 454x366)
>>574250
>В общем 6 и 7й у тебя до пазухи доходят корнем.
Лол, это не шестой и седьмой (если ты про первый пик). Срез же. 6-7 по Y-координатам идут ближе к зрителю поэтому их не видно.
Это 4-й и 6-й. Но седьмой и восьмой, что на панораме, по моему тоже в пазухе корнями.
> На ней все зубы стоят, да?
не, тот с которого всё началось уже удален до снимка. 5-й ещё в детстве выдавило соседними 4-м и 6-м назад, поэтому он как бы был во втором ряду. Справа тоже, кстати, такая мутация, лол, но там всё нормально, если не считать большой кисты самой гайморовой пазухи.
Нарисовал пикрелейтед как было. Получается, что три зуба как бы соприкасались в одной точке. 5-й с 4-м по моему буквально корнями, так-как хирург говорил что чувствует как шатается 4-й пока он расшатывает 5-й.

Ладно, в общем, спасибо за ответы. Наверное всё же к стоматологу пойду первее, распечатаю на бумаге, скажу так то и так то, че делать, снимать повторно или идти к лору и снимать у него.
Аноним 18/02/17 Суб 15:18:07  574338
>>574336
>6-7 по Y-координатам
то есть если считать как было от рождения то 7-8, два последних.
нутыпонел
Аноним 18/02/17 Суб 18:46:33  574455
>>574322
Снимок и на очный осмотр. По другому никак

>>574281
Это которая для того чтобы выровнять зубы? Так сходи к ортодонту, который её тебе намутил. Пусть разбирается. Мб косяк в изготовлении вообще. Ну или научит её правильно одевать\снимать

>>574336
Я про панораму.
Сходи к лору . Скорей всего отправит к стоматологу конечно, но малоли что. Да и ,как говорил, вроде как скопы есть. Может трубку загнать и посмотреть чет
Аноним 18/02/17 Суб 20:05:51  574499
Пару лет назад мне поставили несколько пломб в частной стоматологии, на неделе при плановом осмотре врач сказал, что в перспективе года-двух надо будет ставить на запломбированные зубы коронки, даж показал что там сейчас с внутренней стороны - на зубах темно-желтые расплывчатые пятна. Это в порядке нормы или мне изначально ставят пломбы не слишком хорошие, чтобы потом поставить коронки?
Аноним 18/02/17 Суб 21:13:27  574549
>>574455
Ясно, спасибо.
Аноним 18/02/17 Суб 21:18:13  574552
>>574499
Пломбы не обладают идеальной прочность, имеют усадку и прочее прочее. Поэтому это "временная реставрация", которую надо стабильно проверять\обновлять.

Проще сразу поставить коронки, чем устраивать бизнес уровня /b с перспективой , что вернешься через пару лет за коронкой. и вернешься ли А не проебешься и забьешь или не уйдешь в другую клинику\госку, где поставят залепуху новую и все.
Аноним 18/02/17 Суб 21:49:02  574570
Целесообразно ли лечить хронический катаральный гингивит Трихополом? Я не про мазь, а именно таблетки.
Чистку делали, гигиену соблюдаю.
Аноним 18/02/17 Суб 21:50:11  574572
>>574570
Фотки зубов своих с гингивитом запили.

Аноним 18/02/17 Суб 21:52:39  574573
>>574572
а ты врач? воспаление там не особо видно, на за 5 лет уже конкретно оголилась десна, ибо последний год вообще перестала проходить. и еще сосочек позади передних воспален.
я к тому, что врачи говорят, что особо воспаления там не видят, но я- то его ощущаю.
Аноним 18/02/17 Суб 21:56:38  574578
>>574573
>и еще сосочек позади передних воспален
дай угадаю - глубокий прикус, да?

>а ты врач?
курьер. А ты?

>но я- то его ощущаю.
Я так понимаю врачей у тебя сменилось много.
Аноним 18/02/17 Суб 22:02:16  574581
>>574578
это воспаление у меня много лет, но врачей было немного, ибо РАНЬШЕ оно проходило. а меж передними зубами я сам инфекцию занес как- то, но теперь тоже не проходит.
сука, я задал вопрос про трихопол, не знаешь- не заебывай.
Аноним # OP  18/02/17 Суб 22:04:33  574582
>>574581
Какой-то ты неприятный. Давай ты пойдешь нахуй и делай что хочешь.
Аноним 18/02/17 Суб 22:08:06  574585
>>574582
взаимно. если с самого начала не знал, то помалкивал бы
Аноним # OP  18/02/17 Суб 22:13:01  574587
>>574585
Да да да. Другие тоже не знали. А ты знаешь лучше. Потому что
>особо воспаления там не видят, но я- то его ощущаю.
>не видят
>но я- то его ощущаю.
Так что , шизик, давай ты покинешь мой тредик с мыслями , что на дваче безграмотный хуй и пойдешь к другому доктору и за бабки? Ну или пожрешь таблеток как и хотел. Я не обижусь. Просто пойди на хуй к другому доктору, который знает и будет рад тебе помочь :)
Пока пока :3
Аноним 18/02/17 Суб 22:20:11  574589
>>574587
Ты совсем ебанутый?
Я не говорил, что каждый врач, который осматривал, не знал. Это твои слова, не мои.
Я процитировал, что особого воспаления они не видят, однако я ощущаю нефиговые такие ощущения и попутно с этим десна оголяется, что не может меня не тревожить, учитывая что все меры соблюдаются. И пока я не могу позволить себе ортодонтическое лечение, но хочу минимизировать ущерб, так сказать.
А ты, подозреваю, сверхсензитивная тян, находящаяся в ПМС? Иначе как объяснить эту неадекватную "ранимость"..
Аноним 18/02/17 Суб 22:26:36  574592
>>574552
> Проще сразу поставить коронки, чем устраивать бизнес уровня /b с перспективой , что вернешься через пару лет за коронкой. и вернешься ли А не проебешься и забьешь или не уйдешь в другую клинику\госку, где поставят залепуху новую и все.
Возможно, врач руководствовался желанием сделать деньги на пломбах?
Аноним 18/02/17 Суб 22:47:03  574599
>>574135
>Домашнее отбеливание имеет место быть.
Поясни за подводные камни. Это же влияет как-то негативно на эмаль?
Аноним # OP  18/02/17 Суб 22:51:02  574600
>>574592
Не пытайся везде найти развод. Так и крышей поехать с годами можно.

>>574599
Отбеливание безопасно для эмали. Пигмент разрушается и не более. Но вот то , что ты можешь обмазать себе не только зубы этим гелем - вот это уже один из подводных камней. Ну и хз насколько рабочие эти китайские лампы они ж вроде как одноразовые.
Алсо стоматологи могут замутить тебе домашнее отбеливание. Делается ИНДИВИДУАЛЬНАЯ каппа. И ты её одеваешь и просто с ней ходишь\спишь или хуй хнает что. Но некоторые промышлят.
Аноним 18/02/17 Суб 23:03:17  574603
>>574600
>Отбеливание безопасно для эмали.
Интересно. А почему многие пишут про повышенную чувствительность после процедур?
Аноним # OP  18/02/17 Суб 23:12:38  574605
>>574603
Микропространства которые имеются в эмали обнажаются + продукты реакции в эмали при распаде пигмента\геля.
В принципе не у всех оно бывает -1
2- в последующем чувствительности как таковой нет
3- проходит достаточно быстро если сделано грамотно

Себе отбеливал зубы 2 раза. В первый раз неприятно прострелы возникали в передних зубах. Просто без причины. Просто сидишь , рот закрыт. И тут внезапный "прострел". Но ничего. Прошло.

Эмаль слоями не слезает. Зубы не выпали, кариеса не прибавилось.

у некоторых отношение негативное, т.к. раньше зубы реально травили, чтобы они были белые. Серной кислотой ебашили. Лол . И сошлифовывали. Сейчас перекись и выводят пигмент.

По окончанию отбеливания рекомендовано делать ремотерапию. фтор запечатывает микропространства.
Аноним 19/02/17 Вск 04:12:58  574658
>>574165
Бамп
отбеливание Аноним 19/02/17 Вск 16:47:20  574847
смотрю на сайте обычной муниципальной клиники про отбеливание: Применение системы поддерживающего дневного домашнего отбеливания Philips ZOOM - 1700р. Есть с применением лампы за 12к но это дорого. Кто что думает?
Аноним 19/02/17 Вск 17:08:28  574853
Кто в курсе про эту Philips ZOOM и почему нельзя купить данную систему самому за 3к? Нужно ли фторировать перед этим?
Аноним 19/02/17 Вск 17:17:39  574856
Некоторое время назад прорезались зубы мудрости с правой стороны. Сегодня заметил, что они иногда прикусывают щеку. Их можно хоть немного выпрямить или наркоз наркоз скальпель удаление?
Аноним 19/02/17 Вск 21:50:52  574925
image.jpg (162Кб, 577x374)
image.jpg (368Кб, 828x687)
image.jpg (92Кб, 427x309)
image.jpg (153Кб, 420x495)
Сап. 21 лвл тянТакая проблема. С детства у меня какая-то херня с уздечкой, большая очень, говорили, что надо подрезать. Но делать этого нельзя, пока все зубы не вырастут. Несмотря на все, были изначально кривыми, но в итоге неплохим прямым рядом стоят. Знаю, что есть проблемы с нижним рядом, но стоматолог сказал, что небольшие, брекеты буду ставить в любом случае из-за прикуса. Так вот вопрос, собственно, в том, можно ли сейчас и как резать уздечку. У нас ортодонты в районной очень плохие, даже мой стоматолог сказала я хожу к детскому стоматологу с районной платно, но она очень крутой специалист. Еще осложняется все тем, что зубы лезут неохотно. Последний молочный зуб вырвали только в 11 классе, когда начинал расти новый правый верхний клык. Соседняя четверка, несмотря на то, что была удалена задолго до этого, вообще только в универе выросла и то не до концасказали, потому что зубы большие. Восьмерок нет пока даже в зачатках. Можно ли делать пластику уздечки сейчас, уберет ли это щель между резцами, или забить хуй?
Фотки с плохим качеством, извиняюсь, но меня интересует не кариес, а именно уздечка.
Аноним 19/02/17 Вск 22:57:58  574968
>>574925
Подрочил. Ты ведь не против? Хотя какая разница.
Так а в чём проблема вообще? Щель? Я тебе так скажу, на такие мелочи никто кроме тебя внимания не обращает, типа О БОЖЕ ДА У НЕЁ ЖЕ ЩЕЛЬ ЧУТЬ ШИРЕ ЧЕМ НАДО, ДА Я С НЕЙ ТЕПЕРЬ ОБЩАТЬСЯ НЕ БУДУ! Мда.
Аноним 19/02/17 Вск 23:49:56  574995
>>574925
Кариес лучше полечи 4.4
Аноним # OP  20/02/17 Пнд 00:40:36  575007
>>574658
Сорян. Не заметил.
С телефона не удобно,а с работы прихожу поздно.

Короче, чтобы одеть на зуб искуственную коронку- нужно, чтобы было на что одеть. Если одеть не на что, то вставляется в зуб аналог как у тебя штифты стоят. Но там конструкция отливается по слепку индивидуально под твой зуб. Это штифтово-культевая вкладка. Штифт в канал зуба, а сверху культя (как обточенный зуб выглядит). На неё оденут коронку.

Когда распидорашен зуб, то конено вкладка надежней штифтов, которые ставят терапевты и лепят на них композитные пломбы а у тебя вообще цемент. лол бля. По той причине что штифты дают трещины корня зуба. И композитная реставрация менее точная и долговечная чем если сделает коронку техник из металло керамики\ тупо сплошной метал\просто керамика.

В целом если денег нет, то можно до последнего лепить из говна и палок штифтов и пломб подобие зуба. Но когда случится трещина , то зуб пойдет на удаление.

>>574847
>Кто что думает?
Я думаю , что норм.Тред не о том.
Поразмышлять как на кухне - это не в этом треде.

>>574853
http://www.geosoft.ru/shop/otbelivanie-i-profilaktika/otbelivanie-zubov-zoom/lampa-zoom/

ты на 150к ошибся где-то.

"фторируют" после процедуры

>>574856
>Их можно хоть немного выпрямить
можешь брекеты одеть на него. Можешь обточить и коронку одеть(чтобы ровно стоял). Можно дохуя чего сделать. Вопрос только - нахуя?

>>574925
> У нас ортодонты в районной очень плохие, даже мой стоматолог сказала
>я хожу к детскому стоматологу с районной платно, но она очень крутой специалист
Лолбля :)

>Можно ли делать пластику уздечки сейчас
её давно можно было делать. Я даже не понимают чем руководствовались , когда говорили "жди пока все прорежутся" хотя мб я неуч. лол. Я б ебанул её. И себе надо бы ебануть, хоть щели у меня нет.

Щель у тебя никуда не денется, если сделаешь пластику.Но и ухудшения ситуации также не будет происходить. Так что делай.

>>574968
Только из твоего поста понял, что это тян.
Ну я смотрю на щели. Сегодня ебся с пациенткой, которой менял пломбу на передних зубах. Были залепухи ну и зубы стоят не ровно. В итоге получилась "щель". Ну хуле делать. Заебала меня малеха, но подзамазал это добро и чуть добавил, чтобы казалось, что он ровней стоит чем есть. Была довольна.
Так что... Пусть фиксит. Ну а по первому пику то могу сказать, что в принципе тут можно сделать косметическую реставрацию тупо композитом. ПОсмотреть че как и как долго стоять будет. А дальше думать - или в будущем опять закрыть щель композитом, если наебнется по какой-то причине. Либо виниры ебануть

Аноним 20/02/17 Пнд 01:44:55  575027
>>574995
Только что лечила зубы, идеально все, нигде кариеса не осталось. Это налет, чистку позже сделаю
>>575007
Ок, тогда отхуячу к черту уздечку
насчет стоматолога несмешно, она мне даже без анестезии делала максимально безболезненно, вылечила почти пульпит, не дошло до удаления нерва
Аноним 20/02/17 Пнд 07:47:37  575089
Где вообще грань между кариесом и налетом? В интернете вижу, как обычной проф чисткой такую чернь с зубов удаляют, а у меня на жевательных зубах маленькие коричневатые образования были, и мне это все пломбировали
Аноним 20/02/17 Пнд 11:01:23  575145
От большого зуба справа внизу откололся кусок во время еды, там внутри кариес, надо лечить. Но живу я в ДС-2, переехал год назад и зубы обычно ездил лечить в свой мухосранск к знакомому доктору. Сейчас же такой возможности еще месяц не будет, а запускать не хочу.

Подскажете что по клиникам с Петербурге, я бедный студент и желательно что-то не особо дорогое, но чтобы пломба не вылетела через полгода (как было однажды когда в гос стоматологии платно полечился).
Аноним 20/02/17 Пнд 11:58:33  575167
Знающие аноны, скажите, если у меня большие промежутки между передними зубами на верхней челюсти - между двумя 1 и между 1 и 2 и между 2 и 3 с обоих сторон, это можно брекетами пофиксить?
Аноним 20/02/17 Пнд 13:01:13  575199
>>575007
>ты на 150к ошибся где-то.
>"фторируют" после процедуры

Я имел ввиду набор для домашнего отбеливания(каппы гели вот это все). Стоит примерно 3к. В клинике 1700р за этот же метод(наверное эту цифру надо умножать на количество дней и каждый раз отсегивать эти 1700), тогда как самому все можно за 3к сделать(вроде как).
Аноним 20/02/17 Пнд 15:02:41  575232
>>575089
Если ничего не болит, не ноет, то трогать не нужно. Это пигментация фиссур. Вещь совершенно нормальная. Если бы это был кариес, то ты сразу бы это понял и почувствовал бы. При кариесе холодное, кислое, горячее вызывает неприятные ощущения, а то и вовсе боль.

А то ебанутые стоматолухи начинают сверлить совершенно здоровые зубы из-за чёрного небольшого пятнышка или бороздки.
Аноним 20/02/17 Пнд 22:56:33  575444
Такая проблема, стал разваливаться зуб стояла пломба. Лучше зуб удалить или восстановить? пока 1\4 часть отвалилась только.
Аноним 20/02/17 Пнд 23:01:40  575447
>>575007

Сука. А мне на обе шестерки композитные заебашили пару месяцев назад.

Через пару лет импланты?
Аноним 20/02/17 Пнд 23:13:49  575451
>>575007

Вдогонку вопросы
1. что мне делать сейчас?

Мне 25 всего, минуснули нервы на нижних шестерках. На одну ебанули штифт, на другую хз что.

Я все ссу, что они развалятся, зубы придется удалять, кость уйдет, челюсть пойдет по пизде и потянутся остальные зубики.

Я не могу спокойно спать уже несколько месяцев вот как удалили, эти мысли не дают покоя, я не хочу к 35 без зубов остаться...

План пока такой – если шестерки идут на удаление СРАЗУ (ну или как там все заживет) ставить импланты, пока кость не рассосалась.

Если ставить импланты, вопрос 2:
2) в РФ нормально? Я не особо ограничен в финансах, могу и слетать куда-нибудь, в Израиль там хз. Но слышал в Питере нормальные клиники есть...

3) сделал недавно чистку, прямо по зубам проводили (хз можно или нет?) после операции недельку постреливало спереди, это норма?

4) давно уже заметил, что на кончиках зуб полупрозрачный, читал, что это хуево и не восстанавливается, у меня зубы будут ломаться пополам?

Пиздец, мало того, что почти ЛЫСЫЙ в 25 еще и с зубами проблема.
Аноним # OP  20/02/17 Пнд 23:55:46  575467
>>575089
>Где вообще грань между кариесом и налетом?
Это разные вещи совсем.
В целом - можно покрасить, прозондировать или попробовать отчистить + нетипичное расположение для кариеса.

>>575167
да

>>575232
Не пиши хуйни плес.
Секрет мироздания под спойлером Кариес может протекать бессимптомно! ахуеть? И не только он

>>575444
Хочешь удаляй, хочешь сохраняй. лол
И то и другое имеет место быть.
пломбируй\покрывай коронкой, дурашка


Аноним # OP  21/02/17 Втр 00:14:40  575477
кек.JPG (620Кб, 748x690)
>>575447
Ты анон с коронками и вкладками?
В целом ничего страшного. Не обязательно что он возьмет и развалится тут же. Не ссы.
Тем более всегда можно пойти и перелечить.

>>575451
>кость уйдет
она не по щелчку пальцев уходит . Не ссы.
>что мне делать сейчас?
перестать ссаться. лол

>>575451
>в РФ нормально?
>Но слышал в Питере нормальные клиники есть...
они везде есть. Даже в мухосранске обычном. >>575451
>прямо по зубам проводили (хз можно или нет?) после операции недельку постреливало спереди, это норма?
чем провели и что за операция?

>4) давно уже заметил, что на кончиках зуб полупрозрачный, читал, что это хуево и не восстанавливается
Читай меньше хуйни. Ты говоришь в финансах не стеснен. Так возьми денег, занеси стоматологу и пусть он возьмет себе весь головняк твой себе. Поверь, даже если он будет тебе ссать в уши и делать какую-то хуйню, но ты будешь спать спокойней и жить счастливо без головняка и не придется читать хуйню в инете про кончики.

Потому что зуб "слоеный". Снаружи прозрачная эмаль, а внутр темный дентин. И соответственно поскольку эмаль СВЕРХУ покрывает дентин , то этот кончик - и есть эмаль
Обвел. Не оч , но гуглится плохо и лень, спать пора б.
Вот ты про то что в круге , где "прозрачность"? у соседнего зуба тоже видно Вот это и есть участок слоя тупо эмали
Аноним 21/02/17 Втр 00:16:17  575479
>>575467
Бля, вот тебе делать нечего после работы то))
Аноним 21/02/17 Втр 00:21:07  575480
>>575477

Нет, не тот анон, другой.

Да вот там у меня прозрачно, где ты на пике показал.

Я пока в ебенях живу, тут стоматолог в гос. клинике (нормальная клиника, серьезно) – у него наблюдаюсь, она меня давно лечит, претензий к ней нет.

Заграницей был, забил на зубную нить и за полтора-два года проебался до пульпита. В планах, конечно, хорошую клинику найти и там наблюдаться.

Спасибо, врач, постараюсь быть спокойнее.

Аноним 21/02/17 Втр 02:24:12  575495
Аноны, в конце января удалял зуб мудрости (сложное удаление), полторы недели назад сняли швы, сказали всё ок. А теперь появился запах неприятный при надавливании на десну. Есть предположение, что еда забивается, хотя там лунки нет, просто ебано кость расположена. Но я всё щеткой стараюсь выметать при чистке (тут еще предположение, что щеткой распидорасил там всё). Стоит идти к стоматологу вновь или пройдёт? Рот полоскаю хлоргексидином после чисток утром и вечером и иногда после еды.
Аноним 21/02/17 Втр 12:17:23  575574
hg7.jpg (52Кб, 638x420)
hg8.jpg (46Кб, 514x420)
>>575467
>Не пиши хуйни плес.
>Секрет мироздания под спойлером Кариес может протекать бессимптомно! ахуеть? И не только он
Пример изуродованного стоматолухами совершенно здорового зуба.
Аноним 21/02/17 Втр 12:20:51  575577
Нормальный стоматолог начинает сверлить зуб только при среднем кариесе, когда уже действительно видно невооружённым глазом.
Аноним 21/02/17 Втр 18:37:04  575687
image (1).jpg (37Кб, 500x500)
>>572041 (OP)
Сап, медач. У меня проблемес с зубами, похоже застудил нижний ряд мужу по красноте дёсен, потому что 3 месяца назад было тоже самое и прошло через неделю-полторы. Но сейчас боли в передних зубах почти нет, но есть боль в левой части зубов, а точнее в одном, там десна тоже покраснела, и боль прям как будто ногтем давят под зуб. Чем уменьшить боль до выздоровления или вообще я проебался с диагнозом?
Аноним 21/02/17 Втр 20:25:38  575727
>>575574
Ой иди на хуй и не возвращайся. Пигментация блять.... налёт...
Просто закрой тред. Стоматология это не твое. бляяяяя, какой же ты дебил. блиаааааа. Мне даже стыдно за тебя.

>>575577
Среднего кариеса нет . Есть кариес эмали и дентина. А глазомер, как у дауна выше, у всех разный.

>>575687
> я проебался с диагнозом?
А ты его вообще озвучил?

>Чем уменьшить боль
Обезболивающее жри, если боль решил понижать и ждать пока "само пройдет". Очевидно ж.
Ну а там что получится
Аноним 21/02/17 Втр 22:11:54  575810
Расскажите о стоматологии когда вместо бура используют лазар. Хуйня нет? как ощущения?
Аноним 21/02/17 Втр 23:30:53  575848
>>575810
Учился когда наша преподша говорила что типа как бы и не то что бы хуйня но смысла особо в нем нет, просто хайп и что бы бабла поднять

Не оп
Аноним 22/02/17 Срд 03:11:27  575932
14453262559800.jpg (176Кб, 728x974)
12 числа ходил к стоматологу. Он вылечил и запломбировал 2 зуба без убийства нерва. Сейчас не могу заснуть из-за нытья зубов. Найз не помог от слова совсем. Как совладать с ноющими зубами?
Аноним 22/02/17 Срд 12:23:52  576028
>>575932
>
>
>12 числа ходил к стоматологу. Он вылечил и запломбировал 2 зуба без убийства нерва. Сейчас не могу заснуть из-за нытья зубов. Найз не помог от слова совсем. Как совладать с ноющими зубами?
>
я не стоматолог, но у меня была такая хуйня. петуч недочистил там чегото в итоге под пломбой воспаления было с гноем и прочей хуетой, не тяни дуй к врачу.
Аноним 22/02/17 Срд 14:10:47  576061
летом осенью запломбировал все зубы. После этого заметил, что в двух местах у меня есть черные точки.

Сейчас посмотрел свой ротешник и увидел, что у меня опять дохуя черный всякий хуйнюшек. Какого хрена у меня снова появляется кариес ?
Придумали ли что-нибудь в 2017 году, чтобы заменить все зубы и больше никогда не волноваться о кариесе ?

Чищу зубы только по утрам. И в 40 случаях из 100 споласкиваю рот после еды
Аноним 22/02/17 Срд 16:04:13  576096
>>576061
Нужно законодательно запретить кариес.
Аноним 22/02/17 Срд 16:12:53  576098
>>576061
>После этого заметил, что в двух местах у меня есть черные точки.
>

у меня на некоторых зубах (нижние тройки и четверки) черные точки уже более 10 лет, стоматолог по прежнему говорит что не надо пока их трогать. хотя он мне туеву хучу других зубов уже переделал.
Аноним 22/02/17 Срд 19:07:40  576147
>>576061
>Какого хрена у меня снова появляется кариес ?
>Чищу зубы только по утрам
А ты чего-то другого ожидал?
Утром и вечером после еды:
1) Зубная нить;
2) Чистка зубов (посмотри на ютубе или спроси у стоматолога как это делается);
3) Ополаскиватель.
И можно ещё щетку на электрическую поменять.
Аноним 22/02/17 Срд 20:37:46  576164
Не дают покоя белые пятна на передних зубах, так как знаю, что это может перерасти в кариес. С ними можно что-то сделать? За гигиеной рта тщательно слежу.
Аноним 22/02/17 Срд 21:37:29  576180
>>576147
Пиздец, нахуй так жить, а что насчет замены зубов ? Биологический зубы нинужны !
Аноним 22/02/17 Срд 23:37:03  576213
Можно ли допломбировать зуб без замены пломбы?
В чем суть, ставили седня пломбу и немного поправили правую, она в десну врезалась с внутренней стороны и десну бывает напухала немного.
Но доктор походу переусердствовал и у меня теперь между этих зубов немного не хватает пломбы, типа дырки.
Аноним 23/02/17 Чтв 00:12:43  576223
>>575495
Анон, расскажи про свой случай. Почему удалял, ретенированный или открытый, наклоненный ли?
И как проходила операция, в какой клинике, анестезия или седация.
И еще что интересует - предварительно делали хоть какое-нибудь исследование на риск задеть альвеолярный нерв?
Аноним 23/02/17 Чтв 00:15:14  576225
>>576147
>Чистка зубов (посмотри на ютубе или спроси у стоматолога как это делается)
Ты сам-то знаешь как это делается, советчик?
Аноним # OP  23/02/17 Чтв 01:51:51  576254
>>575932
Пульпит походу. Топать нервы удалять
Лечить пошёл по какой причине? Возможно и раньше были предпосылки. В общем обратись к дельцу который делал и пусть разбирается с этим. Потом сюда отпиши.

>>576061
>Придумали ли что-нибудь в 2017 году, чтобы заменить все зубы и больше никогда не волноваться о кариесе ?
Покрыть зубы коронками, например.


>>576147
Чищу зубы по утрам. Щётка обычная, паста тоже -какую мамка купит. Нить не юзаю. Ирригатор крайне редко. Ополаскиватель на хую вертел. Потому что в них добавляют антисептик, что просто ЗАПРЕЩАЕТ юзать его постоянно или вырастишь такую пиздецовую бацилу у себя во рту, что хуй чем залечишься, если заболеешь.

>>576164
Пятна разные бывают. Если флюороз, то пробовать отбелить но это тот еще рандом. Виниры-коронки.



Аноним # OP  23/02/17 Чтв 01:57:02  576257
>>576180
коронки на свои \ коронки на имплантах \ полный съемный пластиночный протез.

Гугли и выбирай. ПО вкусу и бюджету.

>>576213
в принципе можно, но будет так себе. МОжет отлететь.

>>576254
ладно. Напиздел. Могу еще и днём после обеда почистить. Если кудато собираюсь на встречу и все такое. В остальном , то могу лениво пробежаться щёткой даже без пасты за пол минуты. кек%%надо бы чтоль попросить сделать чистку себе и пломбочки поставить...
Аноним 23/02/17 Чтв 07:30:17  576275
Ебашу зубной нитью через день-два, чищу зубы полтора раза в день...

Нить мастхев, я так двух шестерок лишился, о которых выше писал – тупо еда меж зубами застряла и два зубы сгнило + семерка с нихуевым кариесом..
Аноним 23/02/17 Чтв 08:59:35  576287
>>576225
>Ты сам-то знаешь как это делается, советчик?
Да
Аноним 23/02/17 Чтв 13:27:10  576340
>>147361843
Сломался зуб предпоследний справа на нижней челюсти. В нем огромная дырка, а еще он острый и теперь режет язык. Вырывать или ставить пломбу?
Аноним 23/02/17 Чтв 14:46:25  576363
image.jpg (197Кб, 1042x1042)
>>576254
Вот эти пятна.
Аноним 23/02/17 Чтв 16:07:24  576391
>>576363
Нетипичное место для кариеса. Ну если только у каких-нибудь всратышей или задротов-копутерщиков бывает. Но потому что нихуя не чистят зубы.

Пользуйся пастами с фтором, намазывай и оставляй на пару минут. Можешь купить гель со фтором и капы для него разовые. Вроде Тус-мус называется и вполне подойдет тысячи их. Вполне может "пройти".
Аноним 23/02/17 Чтв 16:52:00  576402
Сап. Задам очень дебильный вопрос: почему у меня такие плохие зубы, анон? Я их каждый год лечу, чищу тщательно, уже и щетки/пасты подороже беру. И каждый раз пятна темные и белые появляются, как у анона выше, и вот кариес опять, хотя лечил все хорошо. Уже очень много денег вбухал. Один передний зуб вообще пришлось наполовину спилить и новый нарастить, потому что он потемнел. Так теперь те участки, где виднеется остаток зуба, тоже потемнели, что за хрень. Я уже устал.
Аноним 23/02/17 Чтв 16:56:24  576405
>>576402
> пришлось наполовину спилить и новый нарастить, потому что он потемнел
шта? зубы без нервов темнеют, если что. Можно обточить и поставить винир или коронку.

> почему у меня такие плохие зубы, анон?
не ебу, я тебя не видел. Генетика\гигиена\карма\экология
Что тебе твой доктор ответил на этот вопрос?
Аноним 23/02/17 Чтв 20:41:25  576495
>>576257
> в принципе можно, но будет так себе. МОжет отлететь.
Лучше старую пломбу тогда убрать и поставить новую?
А это не опасно если у меня корни зуба в гайморовую пазуху вросли?
Сам нерв наверно целый, так как мне пломбу без обезболевания ставили.
Аноним 23/02/17 Чтв 20:47:35  576498
>>576495
>Лучше старую пломбу тогда убрать и поставить новую?
да, можно и так

>А это не опасно если у меня корни зуба в гайморовую пазуху вросли?
у многих людей корни доходят до пазухи
Аноним 23/02/17 Чтв 21:38:15  576525
>>576391
Слушай, а я вот сейчас планирую пасту отбеливающую приобрести, ее можно со фтором чередовать? Или лучше на потом отложить?
Еще хочу через месяц другой на проф чистку впервые сходить. Не скажется ли все это комбо в виде чистки, пасты и фтора на моих зубах хуево? Короче, какая последовательность лучше, и что в моей ситуации лучше сделать в первую очередь?
Аноним 23/02/17 Чтв 21:57:18  576529

Сломался зуб предпоследний справа на нижней челюсти. В нем огромная дырка, а еще он острый и теперь режет язык. Вырывать или ставить пломбу?
Аноним 23/02/17 Чтв 23:06:21  576553
1.gif (2852Кб, 480x270)
А есть какой-нибудь лак/адгезив/вотэвар, в общем что-нибудь для заполнения фиссур. У меня в фиссурах премоляров постоянно образуется темный налет, несмотря на то что очень хорошо чищу. И я подумал, может изобрели что-нибудь в 2017, чтобы заполнять такие проблемные места, чтобы там не скапливался налет? Типа сделал чистку, "замазал" и до следующего обследования. Как-то так. Было бы логично.
Аноним # OP  23/02/17 Чтв 23:13:10  576557
>>576525
>а я вот сейчас планирую пасту отбеливающую приобрести
нахуя?
Паста курсом используется , на сколько помнится.

>Не скажется ли все это комбо в виде чистки, пасты и фтора на моих зубах хуево?
нет

>Короче, какая последовательность лучше
Похуй

>>576529
Надо смотреть очно. Дырка дырке рознь.
Ну а так из того что ты написал - можно удалить, а можно и пломбу поставить - от твоего желания зависит.

>И я подумал, может изобрели что-нибудь в 2017, чтобы заполнять такие проблемные места
Изобрели пиздец как давно. И процедура в прайсе называется "герметизация фиссур".Правда делать желательно в первый же год как прорезался, но можно и позже. В общем по сути это постановка обычной пломбы "для профилактики".
Аноним 24/02/17 Птн 01:06:30  576594
>>576557
>герметизация фиссур
Погуглил немного. Одни дети.
У взрослых вообще что-ли не практикуют инвазивное запечатывание пломбой не рассматриваем, только греметик?
Аноним 24/02/17 Птн 01:17:18  576597
>>576594
>инвазивное запечатывание пломбой не рассматриваем
>только греметик
шта?


>делать желательно в первый же год как прорезался
>Одни дети

>>576594
>У взрослых вообще что-ли не практикуют
А взрослым это до пизды и они обычно уже с кариесом приходят.
Аноним 24/02/17 Птн 13:39:17  576695
blob (202Кб, 400x256)
сап,аноны
уже много лет на зубах обнаружил был какой-то налет,недавно только нагуглил что это флюороз,а думал что просто зубы плохо чищулол
в инетрнетах кучу разных способов как лечить,но хотелось бы узнать,может тут сталкивался с этим кто-то и как лечили? что посоветуете? долго ли это и какой эффект
налет послабее чем на пикрил,и на 3-4 верхних и 3 нижних передних зубах,свои сфоткать возможности нет
Аноним 24/02/17 Птн 14:24:54  576715
>>576695
Мож это зубной камень обыкновенный? На проф. чистку ходил за эти много лет?
Аноним 24/02/17 Птн 15:57:26  576748
>>576715
нет,не ходил
это именно флюороз,много где чекал,хочу теперь вылечить
читал что это даже можно без помощи стоматолога сделать
Аноним 24/02/17 Птн 23:29:23  576921
>>576748
>можно без помощи стоматолога сделать
удачи.

>хочу теперь вылечить
Ты очень хуево чекал. И при этом решил лечить без помощи стоматологов. Ебааааать. Лучше уж тогда нихуя не трогай.

>>576715
Нет, флюороз у него
можно сделать бочку, отбеливание и попытаться это все вот так размутить, но самый верный способ - виниры. И все. Больше НИ ХУ Я. Но при желании - можно попробовать посливать деньги на процедуры отбеливания. Вохможно что-то и получится, что его устроит. Но он собирается пользоваться советами домохозяек, так что лучше пожелаем ему здоровья крепкого для экспериментов.
Аноним 24/02/17 Птн 23:37:50  576925
image.jpg (287Кб, 517x1076)
Это зуб мудрости? Вроде болит семёрка хз
Аноним 25/02/17 Суб 00:27:06  576937
>>576925
Очевидно, режется. На рентген и удаление.
Аноним 25/02/17 Суб 01:15:51  576953
IMG201702250104[...].jpg (51Кб, 577x644)
Черные точки - кариес?
Аноним 25/02/17 Суб 01:18:50  576956
1.jpg (19Кб, 236x322)
Подскажите по поводу рисков удаления 8-к.
Для нижних есть серьезный риск - задеть альвеолярный нерв.
А для верхних какие есть риски?
Аноним 25/02/17 Суб 12:07:20  577056
>>576223
Наклонённый был, совсем немного вылезал наружу. Очевидно стали смещаться зубы передние, плюс между ним и соседним зубом кармашек был, в который могла попадать еда. Предварительно делали только снимок челюсти, консультировал хирург-ортодонт. Удаляли под анестезией в частной клинике. После удаления сделали укол с антибиотиком, после еще курс антибиотиков.
Аноним 25/02/17 Суб 12:08:13  577057
>>576953
Вряд ли.
Аноним 25/02/17 Суб 13:11:54  577077
>>577056
Спасибо за рассказ.
А он у тебя только один такой был или ты их решил по одному удалять?
Почему не выбрал седацию, не боялся?
Алсо, я бы на твоем месте по любому вопросу ходил/звонил врачу.

>Очевидно стали смещаться зубы передние
Кстати, не очевидно. Как раз изучаю эту тему и пишут, что исследования показывают, что нет очевидных доказательств того что зубы мудрости влияют на скученность передних зубов.
Аноним 25/02/17 Суб 14:30:26  577100
>>576953
у тебя столько черноты, так что уточни какие именно черные точки. да, у тебя там кариесом все и пломбы менять.

>>576925
Да, восьмерка режется. Будет неприятно

>>576956
Пазухи\отлом бугра челюсти.

Аноним 25/02/17 Суб 14:36:49  577104
Погуглил свою проблему, видимо к вам, а не к лору.

Анон, выручай. Недавно заметил, что при курении(при втягивании дыма) увеличиваются подчелюстные железы, становятся как камни. когда выдыхаю дым и расслабляю челюсть, то они опять становятся мягкими, но всё равно как бы немного воспалёнными. Ходил делал узи мягких тканей и лимфоузлов, всё норм, лифмоузлы с горошенку где-то, не болят. Что это за хуйня? Есть не больно, пить не больно. Просто небольшой дискомфорт.
Аноним 25/02/17 Суб 15:09:51  577112
>>577100
>Пазухи\отлом бугра челюсти.
Можно подробнее про пазухи.
Ну и про отлом тоже, в результате чего он может случиться?
Аноним 25/02/17 Суб 15:10:46  577114
>>577104
Переходи на пар.
Аноним 25/02/17 Суб 15:58:10  577136
>>577114
Аноним 25/02/17 Суб 17:15:32  577155
1.jpg (325Кб, 3000x1875)
2.gif (5815Кб, 320x240)
2.jpg (70Кб, 720x960)
Хочу попросить анонов, которым пришлось удалять зубы мудрости, рассказать о своем опыте. Расскажите, почему, какая была сложность, сколько зубов за раз, какая анестезия и как себя чувствовали во время.

Мне нужно будет удалить все 4 зуба и два из них под десной. Разумеется боюсь. Помимо страха пугают возможные осложнения, типа задетого нерва. Поэтому интересно во сколько заходов это делается, насколько успокаивает седация, как предварительную диагностику проводят. Какие есть признаки хорошей клиники, может типа использования пьезотома, PRF или еще каких технологий.
Аноним 25/02/17 Суб 17:53:18  577171
>>577155
2 марта иду удалять по омс в бесплатную клинику. Врача выбрал по отзывам в интернете. Отпишу, если не забуду.
Аноним 25/02/17 Суб 18:00:36  577173
Меня немного беспокоит сколотый зуб. Сколот совсем немного, но прям сверху и иногда есть болезненные ощущения, когда прям туда что-нибудь давит. Я вообще не ебу и не в курсе, что с зубами бывает и на сколько опасно, ибо в жизни не было никаких проблем с зубами.
Короче надо с ним что-то делать?
Аноним 25/02/17 Суб 18:11:15  577178
>>577112
пазухи - корни в пазухе или близко. Перфорация.
Отлом бугра - отломили при удалении

>>577155
На кафедре. Во время пары по терапии отпросился с другом . Сходили на хирургию. Там и удалили. Верхняя хуево шла. Срослась с костью. Накололи анестетика дохуя достаточно. Но в области верхушки корня таки чувствовалась некоторая болезненность при удалении. Но норм. Нижний вышел быстро. С другой стороны решили потом удалить снимок не делали и возились долго потому что . До сих пор не удалил. Но скоро мб и удалю.
В принципе все в 1 заход можно сделать. Но лучше разделить сначала одну сторону, потом другую.

>>577173
>Короче надо с ним что-то делать?
да. лечить.

>>577104
сходи на очный осмотр ну там покури при враче, пусть посмотрит
Аноним 25/02/17 Суб 18:34:38  577186
>>577077
Остальные три тоже придётся удалять. Если сложное удаление, то не советую делать все сразу, питаться будет проблематично, да и опухоль большая и очень заметная на дня 4, а то и больше. Бояться нечего, зачем себя лишний раз пичкать наркозами. Анестезия, кстати, сначала не слишком взяла, сделали еще пару уколов и ок.
Аноним 25/02/17 Суб 20:49:12  577229
>>577155
Удалил два правых, нижний пытались лечить и покрывать лаком, не вышло, верхний был со сколом. Сказали что язык большой, поэтому ассистентка поджимала язык инструментом в процессе. Укол куда-то в глубину и рядом с зубом, минуты за три анестезия схватила, тут же минут за пять вытаскивали каждый. Без распилов, с элеватором, нижний док хватал каким-то щипцами, и там же они развалились, доделывал уже другими щипцами. Лунку верхнего ушивали с вложенным лекарством. Из последствий, пару дней не слишком хорошо чувствовал, на следующий день после удаления в район верхнего вкололи два мелких шприца антибиотика
Аноним 25/02/17 Суб 20:51:37  577231
>>577229
Не добисал, опухолей и крови не было, после верхнего пару дней вонял лекарством, полдня плевался кровью
Аноним 25/02/17 Суб 22:46:24  577277
Сука, врач в клинике почистил налет, или хуй знает что это было, прошелся по зубам дробилкой, теперь когда пью\ем холодное пару зубов болят.
Он мне эмаль нахуй стер? Хули теперь делать??
Аноним 25/02/17 Суб 22:53:18  577279
>>577155
Удалял две нижних лежачих восьмерки хорошо, что сверху их вообще не было. Обе были сложные и рядом с нервом. Анестезия (не седация) была хорошая, боль чувствовал несколько раз, но, как объяснил хирург, из-за того что корни близко к нерву, т.е. боль (небольшая) была в момент, когда вытаскивался один из корней, близких к этому нерву. А вот ощущения от сверления и ломания зуба на части очень неприятные.
По времени оба удаления были минут 35-45 (это время на всё, анестезия, удаление, швы).
После удаления в первый день достаточно сильная боль, потом нормально.
Опухоль на щеке была только после второго удаления хз почему так, после первого ничего не было. Удалял с перерывом в 3 недели.
Больше всего сейчас бесят эти дырки за семёрками, постоянно еда набивается и нихрена оттуда не достаётся, даже полосканием. Сказали месяц будет заживать.
Клинику выбирал ещё до удаления, нужно было нерв в зубе удалять, поэтому искал клинику с микроскопом и горячей гуттаперчей.
Можешь про удаление восьмерок тут ещё почитать http://stsvv.livejournal.com/tag/%D0%B7%D1%83%D0%B1%D1%8B%20%D0%BC%D1%83%D0%B4%D1%80%D0%BE%D1%81%D1%82%D0%B8
Аноним # OP  25/02/17 Суб 22:59:07  577281
>>577277
>прошелся по зубам дробилкой
> почистил налет
шта?

>>577277
>теперь когда пью\ем холодное пару зубов болят
Обнажил то что было скрыто под налетом.

Аноним 25/02/17 Суб 23:02:44  577282
>>577281
> шта?
Ну у меня нижняя часть зубов с каким-то прозрачным налетом желтого цвета.
И налет был только возле десен.
Врач достала какую-то хуйню, которой наверно зубы сверлять и немного убрала, говорит теперь заебись будет.
> Обнажил то что было скрыто под налетом.
И что теперь делать?
Аноним # OP  25/02/17 Суб 23:06:50  577283
>>577282
У тебя не было налета, вот прям дома мог почистить , но поперся к стоматологу делать чистку. Что-то тут не сходится. И в гугле найти картинку хуевины этой ты тоже внезапно не нашел.

>И что теперь делать?
Ну хуй знает че у тебя там. Шапку читай. Мб кариес, мб клин дефект, мб пародонтоз с оголением , а мб и еще что угодно. Ведь тебе какой-то хуйней, которой зубы сверлят, что-то там наделали.
Аноним 25/02/17 Суб 23:13:56  577288
>>577283
> но поперся к стоматологу делать чистку.
Не, я пломбу ставить ходил, а она говорит давай заебись сделаем, ну ок.
Ладно, схожу опять туда же спрошу что за хуита.
Аноним 25/02/17 Суб 23:21:14  577290
>>577279
>Больше всего сейчас бесят эти дырки за семёрками
А сколько времени прошло уже? Или это так и остается?
Аноним 25/02/17 Суб 23:26:31  577292
>>577290
Месяц после первого, неделя после второго
Аноним 26/02/17 Вск 00:07:22  577316
https://ru.aliexpress.com/item/teeth-whitening-home-gel-CE-best-teeth-whitening-gel-zoom-best-home-use-teeth-whitening-gel/32690155092.html?spm=2114.41010708.4.15.UosXIW

Стоит ли этим отбеливать зубы?
Аноним # OP  26/02/17 Вск 00:12:16  577319
>>577316
Попробуй потом поделишься впечатлениями
Аноним 26/02/17 Вск 00:28:44  577331
>>577316
Как отключить гребаный транслэйт?
Аноним 26/02/17 Вск 05:48:19  577371
Стоит ли идти в платные кабинеты при госках? Понимаю, что все конкретно от врача и его рук зависит, но мало ли, может там больше времени выделяют и вообще стоматологи без напряга работают.
Пару лет назад вылетела пломба - не пошел новую ставить и стал жевать другой стороной. Как итог, за этот месяц откололась вторая половина верхней шестерки тремя крупными кусками прям видно слои дентина и эмали, хотя на момент вылета той самой пломбы в зубе была маленькая дырочка. От шестерки осталась почти не выглядывающая из десны воронка с острыми краями.
Не будьте долбоебом, как я.
Аноним 26/02/17 Вск 12:27:36  577421
>>577319
Да ну нахуй. Там еще на Ебэе есть Зум - дешевле чем в рашке покупать. Но он какой-то другой...
Аноним 26/02/17 Вск 12:32:10  577423
>>577371
>Стоит ли идти в платные кабинеты при госках?
там материалы , которые по ОМС не используются. Тут уже сам думай.

>>577421
зумовский светить надо. Не?
МОжешь погуглить домашнее отбеливание от нормальных фирм, а не китая. Который тип в капы на ночь.
Аноним 26/02/17 Вск 12:53:46  577434
Какой пиздец. Сверху справа восьмерка вылезла вперед и теперь царапает щеку, а снизу ничего нет, т.е. зуб не замыкается, так сказать.
Верхняя левая режется с трудом, видимо вообще не выйдет хер пойми.
Снизу слева тоже самое, уже полгода половина зуба торчит.
Благо справа снизу нету или не выросло еще.
Проблема в том, что у меня рот не широко открывается, всякий стоматолог это говорил, и если им было тяжело лечить нижний ряд, то как мне будут наверху крайний удалять я вообще не представляю, т.к. пальцем до него с трудом достаю. Аноны, мне пизда?
Аноним 26/02/17 Вск 13:49:53  577461
Анон, почему среди ортодонтов так много врачей ближневосточных этносов? Очень много армян, например, арабов. Это какая-то национальная фишка или в чем дело?
Аноним 26/02/17 Вск 15:15:05  577534
2.png (345Кб, 1195x540)
>>577461
Аноним 26/02/17 Вск 15:52:07  577560
>>577423
знаток по отбеливанию?
вот мне и надо чтобы не китай но в то же время не платить рашкинским барыгам из интернет-магазинов
Аноним 26/02/17 Вск 17:43:43  577608
>>577371
Блять, да не ходи ты в эти ебанные госки, я видел как там работают, просто поверь мне.
Аноним 26/02/17 Вск 18:47:20  577653
Так, я понимаю, что никто не ответит, но спрошу.
Посоветуйте авторитетные клиники и/или врачей в Москве. Тут тусуются какие-то стоматологи, знаете же наверняка. Даже я знаю, например Илья Мер и его клиника, Агами. Интересуют специалисты-ортодонты.
Аноним # OP  26/02/17 Вск 23:31:13  577816
>>577434
а ч е это у тебя рот открывается плохо? сустав ебанутый?
блокады наделают, мышцы отключатся и открется рот стандартно. Ну если только у тебя там не артроз сустава нахуй.

>>577560
>знаток по отбеливанию?
Ну есть немного. Стоматолог всё ж.
Обращайся к поставщикам. Причем тут барыги то. Это не бизнес "на алике заказал - сам потом х2 продал".


Аноним 27/02/17 Пнд 08:48:54  577867
Посоветуйте отбеливающую пасту, может, кто пользовался. Но чтоб эффект был хоть какой-то, а не деньги на ветер
Аноним 27/02/17 Пнд 09:23:01  577871
>>577867
Colgate optic white.
Аноним 27/02/17 Пнд 13:26:20  577929
Анон, какие снимки нужны для ортодонта? Хочу пойти на консультацию уже сразу со всем необходимым.
Знаю, что есть 3D и есть ортопантомограмма. 3D исключает необходимость второго? Что еще бывает? Эти "3д" чем-то отличаются или пофиг и можно в любом месте делать?
Аноним 27/02/17 Пнд 13:58:32  577935
>>577929
>ортопантомограмма
Делай это. Ему нужен всего один. Ещё можешь заранее сходить на проф. чистку к стоматологу.
Аноним 27/02/17 Пнд 14:17:47  577939
>>577929
>>577935
Почитал тут, может кому интересно. Короче:
- Ортопантомограмма (ОПТ и ОПТГ - панорамный снимок всей зубочелюстной системы). Просто снимок челюстей, на котором видно все зубы. Можно увидеть, если что не так.
- Телерентгенография (ТРГ - панорамный снимок черепа в боковой и прямой проекциях, без проекционных искажений; используется для рассчетов). Снимок всего черепа в реальную величину. По ним делаются измерения и рассчеты движения зубов.
- Компьютерная 3D-томография (КЛКТ - конусно лучевая компьютерная томография). Трехмерная модель, можно крутить и делать срезы.

Остался вопрос про КЛКТ и чем они могут отличаться помимо сканируемых участков. И еще при этом может производиться сканирование лица. Короче не до конца ясны нюансы.

Второй вопрос - форматы хранения. Оказывается для всего этого есть стандарт DICOM (Digital Imaging and Communications in Medicine). Но на многих сайтах встречал формулировку "сохранение на диск jpg". А зачем jpg, если врач должен будет проводить замеры, например по ТРГ.
Аноним 27/02/17 Пнд 15:44:27  577960
>>572041 (OP)
Вопрос: действительно ли Живица обладает положительными свойствами для десен и зубов?
Аноним 27/02/17 Пнд 15:51:01  577962
Stomatit.png (922Кб, 923x677)
Пару дней назад на нижней губе изнутри почувствовал что-то похожее на онемение или эффект от леденцов типа halls. Губа опухла изнутри вдоль всего края, на щеках изнутри слизистая тоже припухшая и есть красные точки/пятнышки. Губа не болит, даже если прикусить. Что это за хуйня? Почти как на пике, только на прыще нет белой хуйни.

Раньше бывал стоматит, но это был один прыщ, губа так не опухала.
Аноним 27/02/17 Пнд 17:40:32  578004
Кто-нибудь, поясните по хардкору. У тян 26лвл были говняные зубы, были все в кучу, много пломбированных, потом были брекеты, теперь. Тян удалили зуб, в котором давно не было нерва и он начал просто рассыпаться. Сейчас вопрос в том, нужно ли вместо него ставить имплант. Есть версия врача, который говорит, что зубы съедутся в дырку и потом поставить будет невозможно. Тян говорит, что дыра жевать не мешает и ей похуй, но возможно потом имплант захочется. Также у импланта наверняка есть срок годности, и поставить его на пару лет позже думаю не повредит.

Блядь, короче, суть вопроса - стоит ли дыру сразу затыкать имплантом? Или можно ждать сколько угодно? Какие подводные камни? вопрос не в деньгах
Аноним 27/02/17 Пнд 17:51:20  578009
>>578004

> Тян говорит, что дыра жевать не мешает и ей похуй

Поздравляю, твоя тян – чуханка.

Врач прав, кость может уйти нахуй и вся челюсть может пойти по пизде – потом имплант будет некуда ставить.

Вообще у имплантов от 20 до пожизненного "срок годности". Какому-то таксисту вон первый в мире имплант (тупо железку) в кость захуячили и ничего, стояла (стоит).

Какой зубик-то?
Аноним 27/02/17 Пнд 17:55:30  578010
>>578009
шестёрка, схуяле чуханка, не видно же зуб.

А вот это про 20летнюю гарантию это безответный пиздёж или подтверждается документами клиники?
Аноним 27/02/17 Пнд 18:02:55  578014
>>578010

Подтверждается. Имплант долговечная штука, главное что бы прижился и нормально установили.

Шестерка это вообще главный зуб наравне с клыками.

У меня тоже две шестерки без нерва, я прошарился по этой теме т.к. параноик. Вот жду пока развалятся и бегом пойду имплант устанавливать.

Аноним 27/02/17 Пнд 18:10:13  578017
mit1.jpg (146Кб, 560x747)
mit2.png (110Кб, 275x275)
Освящаю тред Митом Ромни (кандидатом в президенты США).

Поясните че у него за конструкция на 4-5 зубе сверху? Мост?

С золотыми (или металлическими) коронками ходит и не комплексует. Снизу на шестерке тоже коронка золотая.
Аноним 27/02/17 Пнд 18:12:50  578018
rom3.jpeg (23Кб, 400x400)
>>578017

Сори за шакалье качество, другого нет.
Аноним 27/02/17 Пнд 18:20:23  578021
>>577939
3D-цефалометрия точнее расчетов ТРГ, поэтому нужно выбирать специалиста, который работает с трехмерной моделью.
Аноним 27/02/17 Пнд 19:05:56  578040
>>577816
где брать этих поставщиков? видел только интернет-магазины.
Аноним 27/02/17 Пнд 21:35:52  578103
А зачем вообще удалять зубы мудрости?
Аноним 27/02/17 Пнд 22:22:37  578115
>>578103
Мне все 4 надо удалять, лол.
Аноним 27/02/17 Пнд 22:52:03  578124
>>578010
> шестерка
Тоже шестерки проебаны, вместо левой имплант, на право в мае коронку сделают
Аноним 27/02/17 Пнд 22:54:14  578125
>>578124
Расскажи как имплант ставят, ощущения и вообще как процедура происходит
Аноним 27/02/17 Пнд 23:49:56  578139
>>578103
>>578115
Обычно их удаляют из-за проблем или предвидящихся проблем. Например, если мало места, он может упереться в соседний зуб и повредить его, или частично прорезаться и создать негигиеничные условия для десны и соседнего зуба или не прорезаться, подняв кожу, которую начнет царапать зуб-антагонист. Есть еще мнение именно мнение, что если ему не хватает места, то зуб мудрости может стать причиной скученности передних зубов.
И так как в целом считается, что зуб мудрости эволюционно не нужен современному человеку, то есть практика их удаления. Некоторые стоматологи чуть более старой школы считают, что их удалять нужно вообще всегда, даже если они не вызывают проблем. Но сейчас эту точку зрения разделяют не все.
В итоге общая практика такая: если зуб может вызвать потенциальные проблемы, то их рекомендуется удалить. Причем это делается, когда корни зуба сформированы на 2/3, это происходит в возрасте 20-25 лет. После 30 лет, если зубы не вызывают проблем их рекомендуется не трогать, потому что корни сформированы, ткань костей более крепкая и удаление может быть травматичным - т.е. риск становится не оправдан а при удалении зубов мудрости есть особые сложности и риски. Но в этом случае рекомендуется проводить рентгеновское обследование раз в 3 года, чтобы следить за их состоянием.
Еще против зубов мудрости есть такой факт: из-за своего расположения обеспечить необходимую гигиену для этих зубов сложно и по статистике не рашкинской само собой к 65 годам только у 2% людей зубы мудрости не имеют проблем.

А тебе зачем все 4, ортодонтия?
Ходил уже на консультацию к хирургу, что сказали, как удалять будут?
Аноним # OP  28/02/17 Втр 00:42:34  578151
>>577929
>Анон, какие снимки нужны для ортодонта?
трг

>>577960
Лечение народными средствами оставь для бабушки если она от них еще копыта не откинула

>>577962
на пике нет прыща , а афтозный стоматит. А то что ты описал - вообще хуй знает что. В таком сумбуре может и сифак третичный даже быть. лол.

Иди на очную к врачу.

>>578004
> Есть версия врача, который говорит
> Тян говорит
Я тоже на твоем месте сидел и на двачах спрашивал КОГО ЖЕ СЛУШАТЬ?! Тян , которая проебалась, носит брекеты и ей до пизды что зубы могут поползти, или врача. Задача так задача ну ты голову вруби то, а . Для этого даже образование мед не нужно

>>578010
С того чуханка, что врача игнорит, а все аргументы "ну бля, мне ж жрать не мешает!" тем более шестерка. Йобаный стыд.
Ты заключаешь договор. Если ты являешься на все осмотры вовремя, то гарантия есть. Если твоя чуханка проебется типа "лучше в дотан погоняю, потом какнить схожу", то спокойно делают пометку в карте и обязательства с клиники снимаются.

>>578017
в гейропах до сих пор амальгамовые пломбы ставят. МОжешь погуглить.

>>578021
Боже, да допизды. +\- милипуська погоды не сделает. Или ты думаешь если на бумаге ровно расчитают, то и брекеты ровно и пиздато все сделают? делается эта хуйня на глаз. ПОтом сидят смотрят "бляяяя... тут перетянул, тут недоятнул. Давай теперь тут подкрутим, и еще переправим". И вот такой ебаный цирк и рандом творят, пока более менее побожески не получится. И я вот сомневаюсь, что брекетами ровняют приблизительно до того как надо, а потом последние микро штрихи додрачивают за счет кап , которые выстроены расчетами на компе и прочем. Скорей просто снимут брекеты и гуляй вася. Ибо тогда было бы пиздец дорого.
Аноним # OP  28/02/17 Втр 00:57:53  578153
>>578040
Бля. Утомил. Нашёл фирму, которая производит оборудование и материалы для отбела. Нашёл дистрибьюторов. Заказал у них. Все. И не хуйня бадяжная и не перекупы.

>>578103
растут криво, болят.

>>578125
анестезия, разрез десны, пропиливают направляющим сверлом, пропиливают сверлом след размером и так до нужного, вкручивают имплант, зашиваются.

>>578139
Ты в интернете статью про 3е моляры почитал? лол
Аноним 28/02/17 Втр 09:33:46  578186
Недостаток витаминов влияет на прогрессию кариеса?
И нормально ли, что старая пломба разъёбывается? Сколько они вообще живут?
Аноним 28/02/17 Втр 11:38:51  578232
Почему у меня в городе не хотят удалять ретинированные восьмерки в частной стоматологии? В интернетах пишут, мол нормальная практика, но обошел несколько стоматологий у себя, все отправляют в челюстно-лицевую хирургию, а тем нужно направление от муниципального врача и куча анализов.
Аноним 28/02/17 Втр 11:54:15  578238
>>578232
Ну так и спроси у них почему не хотят.
Ни фоток ни снимка. Видимо не хотят с тобой связываться по разным причинам.

>>578186
нет
да
по разному. В зависимости от материала,расположения,эксплуатации и др.
Аноним 28/02/17 Втр 12:42:01  578258
>>578238
Есть у меня снимок, показывал им. Обычный случай, восьмерки лежат под небольшим углом, давят на соседние зубы, неглубоко, но не прорезались. Стоматологи говорят, что не умеют такое делать, хотя перед приемом всегда уточнял, умеют ли у них хирурги удалять сложные восьмерки, и мне всегда отвечали, что умеют, но уже на приеме отказывали, типа резать надо челюсть и вообще это все в лежачем положении делается бла-бла-бла.
Аноним # OP  28/02/17 Втр 12:45:18  578261
>>578258
>Обычный случай
сказал пациент.

>Стоматологи говорят, что не умеют такое делать,
>всегда отвечали, что умеют, но уже на приеме отказывали
С первого раза не понял, поэтому повторюсь:
> Видимо не хотят с тобой связываться

Так что топай в члх, спрашивай что по чем и насколько геморно удалять. Либо пиздуй в стоматологию в госку в отдел платных услуг нахуя ты именно по частным попёрся - непонятно.
Аноним 28/02/17 Втр 13:00:49  578265
>>578261
В частную пошел, потому что не хочу заморачиваться. Плюс большинство в интернетах пишет, в том числе в этом треде, что удаляли ретинированные восьмерки на приеме у стоматолога, а не в больнице.
Аноним 28/02/17 Втр 13:34:14  578276
>>578265
Город какой?
Аноним 28/02/17 Втр 13:39:55  578278
>>578276
Мухосрань, 200к.
Аноним 28/02/17 Втр 14:36:49  578293
>>577461
Бамп вопросу.
Аноним 28/02/17 Втр 15:14:38  578299
>>578153
И они отправят в рашку хочешь сказать?
Аноним 28/02/17 Втр 15:38:53  578305
>>578153
Нашел. Здесь 3.5К хотят за 3 шприца
https://stomdostavka.ru/day-white-nabor-13324.html

На ebay то е самое за 2к(почему-то в сша дешевле).

http://www.ebay.com/itm/Philips-Zoom-Whitening-Day-White-14-3-syringes-/172517413590?hash=item282ad6d2d6:g:~KQAAOSwo4pYl9Hq
Аноним 28/02/17 Втр 15:49:04  578309
>>578305
Боже, небо, небо не видело таких нищебродов, как ты.
Я очень скорблю.
Аноним 28/02/17 Втр 15:59:13  578315
>>578309
Толсто. Не могу понять нахуя там нужна лампа(синяя такая и в рот вставляется) и почему ее нужно покупать отдельно.
Аноним 28/02/17 Втр 16:15:43  578323
>>578309
Все. Разобрался. Единственное что осталось непонятным - надо ли после всех процедур идти к стоматологу и восстанавливать эмаль
Аноним 28/02/17 Втр 16:17:53  578324
>>578309
У тебя есть 2-3 тысячи лишних? Отдай их мне.
Аноним 28/02/17 Втр 19:44:30  578411
Можно ли поставить брекеты при отсутствии 6-рки?
Хочу поставить брекеты на верхнюю челюсть, чтобы выпрямить оба рязца. Полтора года назад удалил верхнюю 6-рку, т.к. расколол. Протез не вставлял, т.к. влом, да и дорого пока, деградации челюсти нет, т.к. при удалении в отверстие залили костную ткань.
Аноним # OP  28/02/17 Втр 19:48:55  578417
>>578299
Блять. Ну что ты за человек такой и еще хочешь сам себе зубы отбеливать... не рискуй.
В РФ у них есть или свои отделы продаж ИЛИ ЕСТЬ ТЕ , КТО ПРОДАЮТ ИХ ПРОДУКЦИЮ ЛЕГАЛЬНО а не йоба васян , который мог их гдето купить\спиздить\загонять китайскую копию. Смекаешь?

>>578305
Я себе хотел форму купить на ебей. Только ты кроме цены товара посмотри цену доставки. По твоей ссылке она стоит на пару деревянных дешевле, чем сами шприцы.

>>578315
Бляяяяя. Ну ты ж читал про отбеливание. Читай опять.
лампа засвечивает гель, благодаря чему происходит активация действующего вещества. Другими словами - катализатор. Если положить удаленный зуб в стакан и налить обычной перекиси , то через пру дней ты ахуеешь от того каким зуб стал неебически белым. Но если пордержишь часик , то нихуя

>>578323
Тебе скорей придется и слизистую восстанавливать , ибо пожжёшь все к хуям.

>>578324
Нахуя отбеливаться если нищееб? Лучше потратить на лечение кариеса.

>>578411
>Протез не вставлял, т.к. влом, да и дорого пока
>Хочу поставить брекеты на верхнюю челюсть,
Математику прогуливал? Давно имплант 1 зуба дороже постановки брекетов? Я уж не говорю про движение зубов, убыль кости, феномен попова-годона.

>деградации челюсти нет
Тут должна быть острота. Гугли цену брекетов и имплантации.
Аноним 28/02/17 Втр 20:41:08  578442
Черное на зубах это кариес? Когда начинал лечить зубы лет 10 назад, сказали не трогать. Теперь говорят пломбы ставить.
Аноним 28/02/17 Втр 20:43:07  578444
>>578442
мб да , мб нет
Аноним 28/02/17 Втр 21:43:58  578470
Безымянный1.png (231Кб, 477x268)
чернота за передними нижними зубами, что это может быть?
чищу зубы редко (собственно они и желтоватые, но не критично), единственную пломбу ставили в детстве
если начну нормально чистить и пользовать нить, можно избавиться?
всегда было покс, но щас влюбился
Аноним # OP  28/02/17 Втр 21:48:26  578472
>>578470
ты спрашиваешь то же , что и анон>>578442
соответственно ответ будет такой же>>578444

качество фотки ахуенное. налет\камень скорей всего
Аноним 28/02/17 Втр 21:49:04  578473
>>578417


>В РФ у них есть или свои отделы продаж ИЛИ ЕСТЬ ТЕ , КТО ПРОДАЮТ ИХ >ПРОДУКЦИЮ ЛЕГАЛЬНО а не йоба васян , который мог их гдето >купить>>спиздить>загонять китайскую копию. Смекаешь?

Нашел один такой в рашке. На 2 тысячи дороже выходит, чем на Амазоне покупать. Лучше уж там.

>Бляяяяя. Ну ты ж читал про отбеливание. Читай опять.
>лампа засвечивает гель, благодаря чему происходит активация действующего >вещества. Другими словами - катализатор. Если положить удаленный зуб в стакан и >налить обычной перекиси , то через пру дней ты ахуеешь от того каким зуб стал >неебически белым. Но если пордержишь часик , то нихуя

Это то я понял. Я не понял почему нигде об этом не сказано что надо лампу еще покупать? Даже в наборе из 6 шприцов про лампу - ничего. Может быть лампа не нужна вовсе а требуется на других гелях, но не на этом?

Вот еще, нашел другой набора за копейки с этой самой лампой в комплекте за 300р. https://krasota.gramix.ru/sistema-otbelivaniya-zubov-white-light.html?gclid=CjwKEAiA3NTFBRDKheuO6IG43VQSJAA74F77cUYeEIZsuGDQXtXq46OrzLpIrjd7yQD9fG78OPDINhoChFHw_wcB


>Тебе скорей придется и слизистую восстанавливать , ибо пожжёшь все к хуям.

Почему?


>Нахуя отбеливаться если нищееб? Лучше потратить на лечение кариеса.

Это само собой. Но тяночки уважают только белозубых.
Аноним 28/02/17 Втр 21:54:25  578474
Зуб практически разрушен, сказали будут ставить коронку , перед этим будут прочищать каналы. Расскажите про прочистку каналов, стоимость коронки, какую коронку выбрать. Если металлокерамика-будет ли она выглядеть эстетически красиво? И про белезненность данной процедуры. Аноны, ответьте пожалуйста, очень боюсь
Аноним 28/02/17 Втр 21:58:48  578475
Безымянный.png (366Кб, 592x271)
>>578472
вот еще, можешь сказать, желтизна зубов в норме или нет? (с задней стороны нижних всё понятно - пойду к стоматологу)
Аноним 28/02/17 Втр 22:03:34  578476
Сколько стоит отбеливание в норм клинике в ДС2? Какая клиника вообще годная там?
Аноним 28/02/17 Втр 22:08:25  578479
Зуб практически разрушен, сказали будут ставить коронку , перед этим будут прочищать каналы. Расскажите про прочистку каналов, стоимость коронки, какую коронку выбрать. Если металлокерамика-будет ли она выглядеть эстетически красиво? И про белезненность данной процедуры. Аноны, ответьте пожалуйста, очень боюсь
Аноним # OP  28/02/17 Втр 22:12:29  578481
>>578473
АААААААААААААААААААААААА! БЛЯ
Ты за е бал.
Иди учи мат часть. Иди читай про отбеливание. Смотри видео на ютубе.

Еще раз. Китайское гавно с алика сразу с лампой. Потому что там типа "клиническое отбеливание" которое типа можно делать дома. Я не интересовался особо это темой и хуй знает насколько безопасно и лень пока что сливать свои деньги и ставить эксперимент. возмоно в будущем рискну. По крайней мере опробую лампу , засветив ей обычную пломбу.
То что ты смотришь "шприцы" это хуита для клинического отбеливания скорей всего . Эта хуета покупается в клинику. Там наносят пациенту и засвечивают лампой от того же зума, например. Также есть домашнее отбеливание. Но там надо сделать индивидуальную каппу, в которую будет наноситься гель. И он уже НЕ засвечивается потому что с каппой ты ходишь долго. На ночь или тип того - не интересовался углубленно и не вникал. Делается ИНДИВИДУАЛЬНАЯ каппа, чтобы йоба гель не вытек тебе в рот.

>Почему?
Потому что ты нихуя не разобрался в сути вопроса и не понимаешь, что эта хуита для слизистой не слишком то и безопасна. По этой причине , когда делают отбеливание в клинике , то десна изолируют. Чтобы не попадал свет от лампы и гель или будет ожог.

>>578473
>Но тяночки уважают только белозубых
Хуйню сказал. Если у тебя во рту помойка из налета и камней, то отбеливаться нет смысла. Во-первых эффект будет хуже, во вторых у тебя зубы все равно в говне . И какие профиты?
Телки то по жизни будут, а вот здоровье у тебя одно. И его проебав - возвращать дороговато выходит.

>>578475
Зубы как зубы. Успокойся.

>>578474
>стоимость коронки
шапку читай, блиать. А потом гугли прайс клиник своей мухосрани

снимок-анестезия- вскрытие полости зуба-прохождение каналов-снимок-опять тыкать иголочками и промывать растворами- что-то засунут - снимок- что-то опять начнут заталкивать - потыкают инструментом который грели на пламени горелки\зажигалки- пломба(снимок). один из двух последних снимков могут и не делать. Потом снимают слепок и отправляют гулять. Если оплатил временную коронку, то сделают временную коронку, а не отправят гулять с обпиленным зубом.

Аноним 28/02/17 Втр 22:18:13  578484
>>578481
Анон, ну а все остальное? Какую коронку выбрать лучше? Болезненно ли?
Аноним # OP  28/02/17 Втр 22:21:49  578485
>>578484
> Болезненно ли?
>анестезия
Блиать, ну ты гугли хотя бы незнакомые слова

>Какую коронку выбрать лучше?
Я ебу какой зуб, какие материальные у тебя возможности и прочее?

Аноним 28/02/17 Втр 22:28:34  578488
>>578485
Анестезия не убирает полностью болевые ощущения. Даже если двойную дозу вколят, болевые ощущения могут остаться
Аноним # OP  28/02/17 Втр 22:33:52  578491
>>578488
Ой , иди на хуй.
Откуда ж вы такие знатоки беретесь то...
Аноним 28/02/17 Втр 22:35:02  578492
>>578488
>Откуда ж вы такие знатоки беретесь то...
Тот же самый вопрос, к тебе дауну. Сколько раз лечил зубы под анестезией , все равно всегда было очень больно.
Аноним 28/02/17 Втр 22:36:12  578493
Тут есть нормальные стоматологи , а не школьники которые на закончили даже 7 классов?
вот вопрос>>578479
Аноним # OP  28/02/17 Втр 22:43:43  578498
>>578492
Тот момент, когда даун без образования еще и огрызается. Ты хоть базовую инфу почитай в инете. Что ж ты тупой такой?

>>578493
Зарепортил. Твоего вопроса тут слишком много.
Аноним 28/02/17 Втр 22:46:52  578499
>>578498
Какую мне базовую инфу читать? То что анестезия не может полностью избавить от боли, тем более в 100% случаев? Это и так понятно. Или я боль сам себе придумал когда лечил зубы, и на самом деле её не было?
Аноним # OP  28/02/17 Втр 22:57:07  578507
>>578499
> Это и так понятно.
Это тебе шкальнику понятно? Если в твоём маня мирке это так , то в реальном мире, в котором живу я, не все так просто.

> Или я боль сам себе придумал когда лечил зубы, и на самом деле её не было?
Ты в край тупой. Я тебе ответил, что НЕ ИЗБАВЛЯЕТ ОТ БОЛИ и НЕ СМОГЛИ ОБЕЗБОЛИТЬ - это разные вещи. Почему ты такой тупой?


>Какую мне базовую инфу читать?
Ну хотябы как вообще работает анестезия коротко для дебилов с деффектом развития и детей : боль передается по нервам как по проводам электричество. Когда вводят анестетик, то он как бы "выключает" этот провод. И по нему не идет электричество. Таким образом можно делать что угодно, но чувство боли в мозг не приходит, потому что нерв не пропускает сигнал. Тоже самое , что если ты перерубишь кабель у своего монитора, то он не будет показывать картинку. Также и тут. Но может случиться так , что после анестезии все равно чувствуешь боль. Это может быть связано с тем, что врач сделал укольчик не слишком точно, либо сигнал проходит по другим нервам, т.к. люди индивидуальны и могут быть отличие от стандартов. Теперь тебе , дебилушка, понятно? Вот больше и не пиши своей хуйни , не имея ни капли представления как это работает. А свои аргументы "ну у меня ж болело- сунь себе в жопу. С такими ахуенными аргументами - уебывай.
Аноним 28/02/17 Втр 23:05:10  578513
>>578507
Ты ответил на мой вопрос: Больно ли?
>Анестезия
Даун блядь а теперь сам говоришь о том что боль может все равно быть. Где хоть грамм логики в твоих словах? Уёбывай с медача школьник. Мне нужен медик кун, а не тот у кого Биология только началась по школьной программе.
Ответье знающие>>578479
Аноним 28/02/17 Втр 23:15:04  578517
>>578481

>То что ты смотришь "шприцы" это хуита для клинического отбеливания скорей всего > Эта хуета покупается в клинику. Там наносят пациенту и засвечивают лампой от того >же зума, например.

Я могу это сам купить и использовать? Не хочу врачам платить.

>Также есть домашнее отбеливание. Но там надо сделать индивидуальную каппу, в >которую будет наноситься гель. И он уже НЕ засвечивается потому что с каппой ты >ходишь долго. На ночь или тип того - не интересовался углубленно и не вникал. >Делается ИНДИВИДУАЛЬНАЯ каппа, чтобы йоба гель не вытек тебе в рот.

Это тоже через врачей? Есть ли системы для полностью автономного использования?


Аноним 28/02/17 Втр 23:16:58  578519
>>578517
>>578473

Алсо, врачи пидорахи кариес не могут вылечить. Поставили платную пломбу - все равно болит. Буду теперь бесплатные ставить. Все равно переделывать придется...
Аноним 28/02/17 Втр 23:18:43  578520
>>578481
>Хуйню сказал. Если у тебя во рту помойка из налета >и камней, то отбеливаться нет смысла. Во-первых >эффект будет хуже, во вторых у тебя зубы все равно >в говне . И какие профиты?

Это все самой собой после лечения и удаления налета все делать надо. Я так...прицениваюсь


Аноним 28/02/17 Втр 23:27:35  578523
Болят некоторые зубы со старыми пломбами. Снимок ничего не показал. Так же болит зуб после лечения будто и не лечили. Боль при нажатии острым на пломбу будто под ней кариес.
Аноним 28/02/17 Втр 23:35:22  578525
Безымянный.JPG (61Кб, 878x477)
Отбеливание в местной клинике.

За что я плачу 1700?
Аноним 28/02/17 Втр 23:37:02  578528
>>572041 (OP)
Зубач, проясни одну вещь, у меня пломба между верхними резцами проебалась, и кусочек снизу откололся, в прайсе платной клиники прочитал,что лечение кариеса одна поверхность одна сумма, две другая, у меня прям посередине меж резцов пломба отвалилась, оба зуба задеты, это две поверхности считаются?
Аноним 28/02/17 Втр 23:38:55  578529
>>578513
Просто идешь на хуй)))000))

>>578517
Купи китай. Он полностью автономный. Как видишь - капа и лампа прилагаются. Заодно отпишешь результаты.
МОжешь и другие фирменные купить и изъебнуться и сделать все сам.

>>578520
забудь про отбеливание лей фотку в норм качестве чтобы и еблет было видно. А именно - соотнести цвет кожи и зубов. Делал себе его 2 раза в клинике. За бесплатно офк. Делать за бабло - щас даже и не подумаю. Если захочу голливудскую улыбку - наскребу насосу на виниры. Потому что отбеливание как и ботекс-гиалуронка - эффект временный. Но получив эффект раз - мозг требует "повторить".

>>578523
как болит, на что болит, как быстро проходит, бывает ли сама по себе ?
Вот это все описывай. А твое "болит у меня" - нихуя не информативно.

>>578525
Я отбеливался Сапфиром. Без вот этого последнего.
И получается не 1700, а еще и капы добавляются. Но я не понимаю прикола почему они делятся на "с" и "без" резервуара.

>>578528
2 щуба. очевидно, что у каждого зуба по одной поверхности задето. Значит и платить будешь соответствующе
Аноним 28/02/17 Втр 23:46:35  578531
>>578529
Отбеливание же на пару лет, не?
Аноним 28/02/17 Втр 23:49:15  578533
>>578479
Ну я могу рассказать только про прочистку каналов, а точнее про удаление нерва их в этом же случаев вроде только чистят.
Короче у меня была очень сильно поражена 6-ка. Большинство врачей говорили, что нужно удаление нерва и коронка. Но так как я собирался ставить брекеты, то поставил пломбу, а не коронку. Но нерв все-таки удаляли.
В общем-то сказать тут нечего - ничем не отличается от обычного лечения, кроме того, что длится дольше и придти нужно несколько раз. Так что бояться нечего. Хотя, как я уже потом узнал, процедура серьезная и врача лучше выбрать хорошего. Врач эндодонт этим занимается.
Аноним 28/02/17 Втр 23:52:56  578535
>>578519
А это потому что, как в шапке написано
>Посоветуйте доктора в моей мухосране!
>Не посоветуют тут тебе доктора, нас не настолько много чтоб знать всех докторов, обычно все ходят туда куда удобно, а не носятся по городу в поисках лучшего врача
кто-то не думает и идет в ближайшую шаражку за углом, где такие как местный стоматолог-кун стажируются он видимо эту шапку и писал.
Аноним # OP  01/03/17 Срд 00:33:23  578550
>>578531
Рандом. И на сколько светлей станут - тоже рандом. И есть такой прикол, что после отбеливания как все смоют - зубы пиздецки белые. В свой более менее стабильный цвет придут через пару дней. Но расцветку сравнить "до\после" тебе сунут в тот же день. И скорей всего даже не предупредят, что они чуток еще изменятся в цвете.

>>578535
>акие как местный стоматолог-кун
Обиженка, угомонишься, не? Будто я тебе в каналы насрал. Типичный двачер - обиженный и озлобленный ну и тупой по дефолту
Аноним 01/03/17 Срд 00:44:20  578556
>>578529
>забудь про отбеливание

Почему?

>как болит, на что болит, как быстро проходит, бывает ли сама >по себе ?
Просто болит. На температуру и если давить острым на пломбу. Будто под ней кариес. Другая(старая пломба. которой делал снимок) иногда ноет. В основном на температуру и с бодуна.


>Вот это все описывай. А твое "болит у меня" - нихуя не информативно.
>
>>>578525
>Я отбеливался Сапфиром. Без вот этого последнего.
>И получается не 1700, а еще и капы добавляются.

Я плачу 1700 врачу тупо за изготовление капп+доплачиваю врачу 6500 за 6 шприцов(мне потребуется столько) - он отдает это мне домой и я дома сам доделываю? Или 1700 за все и зубы белые?
Аноним 01/03/17 Срд 00:58:22  578560
Чем отличается герметезация фиссур от пломбирования? Можно ли делать ее если 22? Беспокоят эти мелкие точки коричневатого цвета, если залить все это то это все равно не навсегда типа?
Аноним 01/03/17 Срд 01:03:15  578561
>>578556
>Почему?
потому что оно тебе нахуй не нужно. Давай уже фотку. Заебал.

Ну смотри. Если боль длится пару секунд, и проходит по типу "затухания", если само по себе ныть начинает (особенно вечер-ночь) то тут уже скорей пульпит.
Короче кариес это когда "кольнуло" и прошло моментально, а пульпиты всякие и прочее говно , когда "заныло и потихоньку отпускает".


>Я плачу 1700 врачу тупо за изготовление капп
да нет же. у тебя там даже в прайсе написано 2 разные позиции и кода. За изготовление кап 1.3к с кодом 0 003 , потом за 1700 сама процедура поддерживающая с кодом 0 004. погугли или в самой клинике поинтересуйся что это из себя представляет. Но суть в чем - тебе снчала сделать должны отбеливание в клинике, а потом "добивающий" эффект уже от капп. алсо проблема зума в том, что у возникает достаточно сильная чувствительность зубов на время.
В общем забей на эту идею фикс. При отсутствии свободного кеша это не то , на что стоит слить бабло . Особенно если тип "тянкам нравится".
Алсо даже после сапфира (хотть это уже плазменное отбеливание) была болезненность у мня. Точней "стреляющие боли". Вот прикинь сидишь за пека и тут внезапно у тебя в зубе прострел. будто нерв чем-то кольнули.гдет часов 8 прошло, чтобы эта хуйня отпустила.

>>578560
герметизация - залить фиссуры пломбой = пломбирование.

>Можно ли делать ее если 22?
если пат. процессса нет , то смысла нет. Эмаль зрелая. Чисть зубы да проверяйся время от времени

> Беспокоят эти мелкие точки коричневатого цвета
сходи к врачу. пусть глянет. А там видно будет кариес или просто пигментация.

>если залить все это то это все равно не навсегда типа
точки заливать? лол Если кариес то их надо выпилить и пломбировать. Если пигмент, то очистить\не трогать стоматологи мрятся письками и кто реалистичней на реставрациях нарисует пигмент в фиссурах.

В целом меньше сумбура в вопросе и конкретней вопрос задавай и жалобу указывай.
Аноним 01/03/17 Срд 01:12:40  578566
>Почему?
>потому что оно тебе нахуй не нужно. Давай уже фотку. Заебал.

Надо. С белыми смотрюсь намного лучше т. к. на некоторых фоточках зубы белые из-за света и я няшнее.


>Короче кариес это когда "кольнуло" и прошло моментально, а пульпиты >всякие и прочее говно , когда "заныло и потихоньку отпускает".

Со старой пломбой ноет. Врач сказала что может ее заменить. С новой - больно при надавливании резкая боль.

>Я плачу 1700 врачу тупо за изготовление капп
>да нет же. у тебя там даже в прайсе написано 2 разные позиции и кода. >За изготовление кап 1.3к с кодом 0 003 , потом за 1700 сама процедура >поддерживающая с кодом 0 004. погугли или в самой клинике >поинтересуйся что это из себя представляет. Но суть в чем - тебе снчала >сделать должны отбеливание в клинике, а потом "добивающий" эффект >уже от капп. алсо проблема зума в том, что у возникает достаточно >сильная чувствительность зубов на время.

Это значит уже 3к + 6 тысяч за шприцы?

>В общем забей на эту идею фикс. При отсутствии свободного кеша это не >то , на что стоит слить бабло . Особенно если тип "тянкам нравится".

Да. Если меньше 5к получается - то сейчас сделаю. Если больше - сначала имплант в подбородок захуярю для няшности а зубки потом отбелю.

>будто нерв чем-то кольнули.гдет часов 8 прошло, чтобы эта хуйня >отпустила.

8 часов небольшой боли ради красивой улыбки - не так уж и плохо.
Аноним 01/03/17 Срд 01:23:52  578567
>>578566
если ты делаешь отбелиивание в клинике то шприцы и прочее покупать уже вряд ли должен. Они сами должны подогнать. Но в целом каппа останется и будет вполне годной. Если потом будет желание , то можешь экспериментировать с отбеливанием.

>>578566
> имплант в подбородок
ты слишком закомплексован. Не надо так.
Аноним 01/03/17 Срд 06:35:54  578629
А есть каппы, чтобы туда щелочь заливалась и кариес не развивался короч? Есть ли вообще какие-нибудь подвижки в развитии стоматологии, чтобы от выпиливания, выдалбливания и вырезания перейти к лечению и регенерации?
Аноним 01/03/17 Срд 14:03:54  578763
>>578567
>ты слишком закомплексован. Не надо так.

Не, это реально дохуя дает. Гугли результаты пластических операций.

Блять что за врачи-пидорахи, съел конфету и зуб леченный разболелся.

>если ты делаешь отбеливание в клинике то шприцы и >прочее покупать уже вряд ли должен. Они сами >должны подогнать.

Тогда сколько это получается выходит в итоге? Они же могут и с себя наценку на шприцы накинуть. Там 10К минимум уже есть.


>Но в целом каппа останется и будет вполне годной. >Если потом будет желание , то можешь >экспериментировать с отбеливанием.

Т.е. смогу дома сам делать потом?
Аноним 01/03/17 Срд 15:48:59  578802
>>578763
Позвони в клинику и узнай, там тебе точно скажут все, что тебя интересует. Зачем ты спрашиваешь это здесь?
Аноним 01/03/17 Срд 18:21:01  578867
over.png (63Кб, 260x260)
Удалили недавно зуб и заполнили дырку типа какой-то белой хуетой, "костная ткань", как они сказали. Ну эт чтобы имплант туда ставить. Прошел месяц в общем, зуб не то зажил, не то нет, непонятно, как будто щель какая-то осталась. А эта белая фигня вообще отвалилась - та ее часть, которая была снаружи. Правда я не в курсе, есть ли там что-то внутри вообще. К врачу я конечно же записался, но сейчас сомнения гложут - это нормально, или это типа костная ткань не прижилась и фейл типа?
Аноним 01/03/17 Срд 19:06:12  578893
>>578519
Ну што, мне два раза пломбы переставляли, в первом случае поленились сделать снимок и не нашли канал, во втоом снимки делали, но опять-таки не нашли. Переделывал там же забисплатна, ничего не болит теперь
Аноним 01/03/17 Срд 20:45:11  578947
>>578561
В /dev/ сестры рассказывают что можно и самому сделать а не переплачивать врачам. Так что зря пугаешь меня.
Аноним 01/03/17 Срд 22:38:17  579004
>>578947
А , ну если в дев сказали то ок.
А еще одна баба сказала "да не , нахуй мне надо скайск клеить. У меня подруга его на лак от ногтей клеит. Она мне и сделает"

>>578893
поди шестерка верхняя?

>>578763
>Не, это реально дохуя дает.
Пусть будет по-твоему.
Прогугли отбеливание опалесценс или как-то так крч. На этом всё.
Аноним 02/03/17 Чтв 20:39:23  579313
>>579004
> поди шестерка верхняя?
Обе нижних
Аноним 02/03/17 Чтв 21:51:28  579351
>>579313
Там тоже каналы рандомно по кол-ву бывает. Порой на КТ отправляют, когда вроде все круто сделали, но все равно "болит".
Аноним 03/03/17 Птн 08:47:41  579498
Анан, в среду около 11=30 делал пломбу, все как обычно. Когда делали укол, то мне всю правую часть тела стрельнуло нехуево. Суть- у меня до сих пор в правой части языка неприятное ощущение. Когда пройдет?
Аноним 03/03/17 Птн 10:32:28  579521
>>579498
Отпишись часов через 5.
Аноним 03/03/17 Птн 11:07:13  579529
Есть тут кто сталкивался с деминерализацией зубов?Обмазываюсь гелем Rocs'ов уже месяц но чёт эффекта не замечаю, есть ли какие то каппы или более эффективные гели?
Аноним 03/03/17 Птн 13:30:54  579560
>>579004
та сис говорит что сама себе сделала чтобы не платить врачам.
Аноним 03/03/17 Птн 13:34:42  579562
>>579004
>отбеливание опалесценс

Стоматологи рекомендуют?
Аноним 03/03/17 Птн 15:48:30  579608
Анан, в среду около 11=30 делал пломбу, все как обычно. Когда делали укол, то мне всю правую часть тела стрельнуло нехуево. Суть- у меня до сих пор в правой части языка неприятное ощущение. Когда пройдет?
Я погугли, прихуел, пишут задели нерв? Буду как Сталоне теперь?
Аноним 03/03/17 Птн 15:54:06  579610
>>579608
Пройдет. Не факт, что быстро, но пройдет.
Аноним 03/03/17 Птн 20:10:30  579706
Сап. Был вчера был у стамотолога и они потом рассматривали со студентом мою пасть и говорили что-то в духе
-Восьмерки потом удалять?
-Да нет, не думаю
-И четверки тоже вроде нормальные
Что это значило?
Аноним 03/03/17 Птн 20:13:37  579707
>>579706
И да, зубы все оказались здоровыми, вроде там еще что-то про зуб мудрости говорилось
Аноним 03/03/17 Птн 20:30:23  579711
>>579707
Уже разобрался, что восьмерки это зуб мудрости. Ну а четверки им чем не угодили тогда? Зубы же все здоровые. ничего не просил, потому что обосрался со страху, еще с детства дико пугаюсь стоматологов, cпасибо ебанутой маман, которая пугала меня дантистами и что мне будет больно, если не буду чистить зубы.
Аноним 03/03/17 Птн 21:55:50  579744
>>579711
А что за врач был? Может это что-ортодонтическое, а они обсуждали, можно ли тебе брекеты ставить. У тебя зубы кривые?
Аноним 03/03/17 Птн 21:59:57  579745
>>579744
Да да. Но это был хирург. Я пришел с проблемой, что у меня передний зуб начал шататься, а врач сначала послала к хирургу, потому что там не ясно что-то было, ну а вот хирург подтвердил, что тут только прикус исправлять и отправил к ортодонту теперь
Аноним 04/03/17 Суб 11:39:21  579881
Не был у стоматолога 5 лет. С тех пор:
Нижний зуб мудрости слева вырос по-уебански в сторону языка, своей боковой частью вверх, проблем не доставляет, просто непривычно
Зуб, который рядом с тем зубом развалился и от него. Кажется, остался только корень, проблем тоже не доставляет, просто неудобно без него
С другой стороны такой же зуб тоже развалился примерно в то же время и тоже остался корень
Сверху, между длинным зубом(клык?) и тем, что за ним образовалась дырочка, которую стало видно извне.

Насколько накладно всё это исправлять? Дырочку эту можно замазать чем-то, и не пидорасить зуб? Вырвать корень и забетонировать чем-то чтобы в будущем поставить нормальный зуб можно или его хуй достанешь теперь из челюсти? Удалять кривой зуб мудрости прям таки необходимо?
Аноним # OP  04/03/17 Суб 11:51:43  579889
>>579881
>Насколько накладно всё это исправлять?
Шапку читай.
В остальном ничего не подскажу, потому что тратиться и заниматься лечением ты не настроен.
Мб какому анону будет нех делать и проконсультирует.
Аноним 04/03/17 Суб 11:55:14  579891
>>579889
Я наверное неправильно выразился, просто у меня большие напряги с деньгами и я хочу узнать, какие процедуры надо сделать в первую очередь. У меня перед ней вообще зуба нет, может это облегчит задачу по удалению?
Аноним 04/03/17 Суб 11:55:41  579892
>>579881
>проблем не доставляет
>Зуб, который рядом с тем зубом развалился и от него

Аноним 04/03/17 Суб 11:56:20  579895
>>579891
>вот например, лежачая восьмерка. У меня перед ней вообще зуба нет
Аноним 04/03/17 Суб 11:56:56  579896
>>579892
Ну уже не доставляет. Не болит, не царапается.
Аноним 04/03/17 Суб 12:40:52  579916
Тупой вопрос: наличие большой бороды у пациента стоматологу не мешает?
Аноним 04/03/17 Суб 17:00:48  579977
>>579916
Плохому(неумелому)- МЕШАЕТ1.
Аноним 04/03/17 Суб 21:05:58  580036
WP2017030220474[...].jpg (1599Кб, 3264x1840)
WP2017030220483[...].jpg (1417Кб, 3264x1840)
WP2017030418531[...].jpg (1525Кб, 3264x1840)
Пару дней болела десна между двумя зубами. Сходил сегодня к стоматологу. Врач сказал, что кариес глубоко, удалил нервы, поставил временную пломбу и записал на новый прием для установки постоянной уже пломбы. Лечили полтора часа. Вышло 6к рублей. Меня наебали?

Аноним 04/03/17 Суб 23:47:18  580103
>>580036
Второй пик,это реально так резцы могут выглядеть?
Аноним # OP  05/03/17 Вск 00:50:58  580143
>>580103
Там резцы только частично в кадр вошли. На втором пике они у левого края фотки.
Клык , 2 премоляра, 3 моляра.
Аноним 05/03/17 Вск 10:05:00  580204
>>580103
>>580143
А что с нервами? Нужно было удалять или можно было обойтись?
ЧТО ЕСТЬ КАРИЕС? Аноним 05/03/17 Вск 11:48:41  580217
mordac256.png (84Кб, 402x294)
Прочитал, что бактерии не едят зубы сами по себе, им необходима еда, после которой они выделяют кислоты, разъедающие зубы.
А если появился кариес, бактериям уже ненужна еда - они могут кушать зуб?
Если нет, то идеальная чистка зубов может остановить/сильно замедлить кариес?
Аноним 05/03/17 Вск 12:16:40  580223
>>580204
Раз удалили, значит нужно было.
И не забывай зубной нитью пользоваться.
Аноним 05/03/17 Вск 14:05:18  580260
>>580223
Прочитал, что удаление нерва - одна из самых распространенных схем мошенничества стоматологов, чтобы бабосы срубить.
Аноним 05/03/17 Вск 14:06:50  580262
>>580217
Принимай пробиотики для зубов. Штампы Blis M18 и скоро появится A1. Борются как раз с такими бактериями, которые вызывают кариес. Дешевле потом лечения выйдет.
Аноним 05/03/17 Вск 14:07:25  580263
>>580262
фикс: штамп A12
Аноним 05/03/17 Вск 14:32:25  580273
>>580223
> зубеую нить
Поясните. Раньше пользовался, сказал врачу, тот руками замахал - типа после использования она уже не стерильная, нельзя все промежутки за раз одной нитью прочищать
Аноним 05/03/17 Вск 18:20:50  580380
>>580260
Ну для недалеких стоматологов может это и выгодно. А по сути зуб из которых удалили нерв уже никакая терапевтическая работа не ждет и я как терапевт с него больше не заработаю.

Знаешь, что выгодно мне? Чтобы человек хорошо следил за полостью рта и приходил ко мне на проф. осмотр каждые пол года. Я убираю ему камни и налет и мы с ним расстаемся на пол года до следующей чистки. В итоге и у него с зубами все хорошо и я зарабатываю. А лечить каналы - это выгодно в краткосрочной перспективе.
Аноним 05/03/17 Вск 20:52:45  580458
>>580036
чухан, ты зубы сколько лет назад чистил последний раз?
Аноним 05/03/17 Вск 22:33:55  580505
>>580458
Люди живут и действуют так,как им надо, а не тебе моралфагу и перфекционисту судить
Аноним 05/03/17 Вск 23:37:26  580532
>>580458
Зубы как зубы. У большинства такие.
Аноним # OP  06/03/17 Пнд 00:54:26  580564
>>580204
Хз что там было., только твоя прохладная с твоих же слов.
Мб все так и надо было.

>>580217
Изначально идеально чистить не судьба?

>>580262
> Штампы Blis M18
про 18 нихуя не гуглится, а пиндосские рыть мне лень. Почитал про 12, который форсят как ПРОТИФ КАРИИСА! Но есть одно но. 12- это стрептококус саливарис. А если ты загуглишь какие микробы вызывают кариес, то ты оный и увидишь. Мб он какой-то там волшебный, но я хуй знает. А еще менять микрофлору полости рта без видимой на то причины... Удачи тебе! Это примерно как пить чай для похудения , вместо того , чтобы пойти в зале позаниматься.
в полости рта порядка 700 видов разных бактерий. Ты собираешься свой гомеостаз менять. Дурачек или как?

>>580273
>она уже не стерильная
Она изначально не стерильная. Упаковки не стерильные, не 100% герметичные и все такое. Суть нити - в чистке зубов. Налет "соскаблить". Зубная щетка у тебя тоже не стерильная, но не срать ли? хотя мол каждые 3 месяца надо менять, потому что там микробов много и все такое. Но как по мне - хуйня это. Менять надо, потому что щетинкам пизда

>>580380
>А по сути зуб из которых удалили нерв уже никакая терапевтическая работа не ждет и я как терапевт с него больше не заработаю.
Нихуя ты бизнесмен. Один канал сколько в рубликах? А теперь посчитай многоканальный зуб. А теперь посчитай "перелечивание", либо посчитай периодонтитный на кальции. Открой, промой , кальций заложи, закрой. Потом опять открой, промой , гуту затолкай, закрой. Потом пломбу ещё захуярь (либо ортопедия ) Нихуя ты математик там . не заработаешь. Ой бля, а разрушение ниже десны? А удлинение ? А внутриканальное отбеливание?

>>580380
>Чтобы человек хорошо следил за полостью рта и приходил ко мне на проф. осмотр каждые пол года
Когда человек ъорошо следит за полостью рта - он не приходит чиститься, либо ему эта чистка не нужна . Либо он купит купон и почистится по купону. Тебе подсказать сколько на биглионе стоит чистка по купону?)
А учитывая что редко кто по полной цене чистится (у клиник прям перманентная акция - 3к за полную чистку, вместо 7), то ты про "выгодней" басни не рассказывай.
И расскажи мне как часто каждые пол года к тебе ходят на осмотр? была на днях девица, которыая 3-4 раза в год чистится, но там и чистить нечего было.
Аноним 06/03/17 Пнд 05:44:22  580600
>>580564
>про 18 нихуя не гуглится
http://glagolas.livejournal.com/151372.html
В статье есть ссылки.
Аноним 06/03/17 Пнд 14:01:57  580700
Сап, стоматологи.

Значится в пятницу себе удалял восьмерку, все было относительно без проблем, заложили в дырку какой-то антисептик, зашили и отпустили. Пью антибиотики, полощу рот хлоргексидином.

Сегодня утром проснулся с жуткой вонью изо рта, после чистки стало получше, но все равно чувствуется.

Это нормально или надо бежать ко врачу?
Аноним 06/03/17 Пнд 14:56:33  580729
>>580700
>Пью антибиотики, полощу рот хлоргексидином
>Сегодня утром проснулся с жуткой вонью изо рта
Это ты убил часть 700 видов бактерий, живущих у тебя во рту, а на их место заселились другие, либо часть старых бесконтрольно размножилась: >>580564
Аноним 06/03/17 Пнд 18:05:01  580800
>>572041 (OP)
Сегодня мне "почистили" зубы. Я показал чёрный зуб, сказали "налёт". Посмотрели зубы, сказали "везде налёт надо чистить пескоструем", хотя когда я смотрел, я видел налёт только на 3х передних нижних зубах. Я спросил "вы уверены, что налёт везде"? Мне сказали "да везде". Я спросил "эмаль не повредит"? "Не повредит". Короче, я отдал 5600 за чистку, по 200 за зуб. Это пиздец. Порошок пробил и нашпиговал нёбо, щёки и язык, всё омертвело. Оголён корень зуба - нет целых кусков дёсен в форме полумесяцев. Судя по всему мне и дентин этим обработали, т.е. сточили, так как порошок состоит из соды. Ещё был кислый на вкус, я спросил "лимонная кислота входит в состав"? "Нет в составе кислоты". На одном из зубов вижу дырку чёрную, я стоматолога спрашивал, всё ли с тем зубом в порядке - он сказал, что всё в порядке. Прописал какой-то грёбанный гель. Верхние зубы прошли быстро, сдаётся мне с ними меня наебали. В нижние зубы после пескоструя ещё тыкали и водили ультразвуковым наконечником, как бы у меня там кариеса после этого не было, может стоматолог себе работу на будущее готовил? Ещё он нашёл на каком-то зубе кариес, но это уже в другой раз.

Лох ли я? Какой вред моему здоровью нанесли? Что делать?
Аноним 06/03/17 Пнд 18:07:21  580801
>>580800
>Прописал какой-то грёбанный гель

для дёсен. Для зуба ничего не прописал. Я его ещё про белые пятна спросил, "ничего нет". Краситель не наносил, уф не светил.
Аноним 06/03/17 Пнд 18:10:11  580803
>>580564

Почему ты посоветовал отбеливание опалесценс?
Аноним 07/03/17 Втр 00:44:32  580944
>>580600
то он как 12 , то как 18 преподносится. Читать в целом чет даже лень.

>>580800
порошок со вкусом лимона.
зубы не разъебутся, не ссы.

>>580803
потому что анон меня заебал, и его мания сделать все самому за недорого дома - тоже. А у этих, насколько помню, есть домашнее отбеливание
Аноним 07/03/17 Втр 05:50:39  580994
Сап, медач.
Как вылечить кровоточивость десен? Чистки хватает на какое-то время, потом опять начинает кровоточить. Первым делом меня все время посылают сдавать кровь на ВИЧ, его у меня нет. Зубы, вроде, нормально чищу, но камней все равно дохуя. Да и я знаю людей, которые никогда в жизни не удаляли камни, и у них все нормально с деснами. Чем полоскать? Может таблетки какие пропить?
Аноним 07/03/17 Втр 08:17:58  581010
>>580944
K12 и М18, К и М - разные буквы, как и штаммы.
Аноним 07/03/17 Втр 09:10:02  581015
IMG201703070801[...].jpg (49Кб, 480x640)
IMG201703070801[...].jpg (49Кб, 480x640)
Анончики. Платиновый вопрос. Лет 15 назад выдрали зуб 6-ку нижнюю. Как следствие, сейчас я косорылый. Ирл в динамике вроде не заметно но на фотках, челюсть поехавшая. Пикрелейтед. Реально ли это пофиксить? Станет все на свои места хотяб через годы, если я имплант вкручу? Вкрутят ли его, т.к. там кость просела немного? Может брекеты? Боюсь хуйня будет прогрессировать и ещё через 10 лет я стану совсем уродом. Или не будет?
Аноним # OP  07/03/17 Втр 15:09:56  581127
>>581010
бля. ты можешь в чтение? И чтение статей которые кидаешь? Написано САЛИВАРИС.
Теперь открой йоба учебник и посмотри список бактерий который вызывает кариес. И пока твой саливарис (который блиать есть в этом списке) конкурирует с мутанс, то остальные вполне успешно ебут твои зубы. И я вот более чем уверен, что если ты пиздюк , который не умеет в чистку зубов, то ты хоть антибиотиками заливайся и стерилизуй свой рот - все равно проебешься и получишь кариес.
Но продолжай дрочить на пробиотики как панацею от кариеса.

>>580994
>камней все равно дохуя
>Чем полоскать?
"вода камни точит"©
Только теперь представь сколько времен на это надо. Иди снимай камни. Хуле не очевидно то? Есть воспаление - есть кровточивость. Все просто.

>>581015
Прикус ровняй.
кость подсаживают при необходимости.

Аноним 07/03/17 Втр 15:34:26  581136
Какой пастой чистить зубы? Со фтором или без? Как узнать много ли у меня фтора в воде?
Аноним # OP  07/03/17 Втр 15:37:59  581139
>>581136
Если ты не болеешь флюорозом , то можешь чистить со фтором. Он замещает вакантные места у кристаллов гидроксиаппатитов если кальций отвалился и встраивается. Также противокариозное действие.
Аноним 07/03/17 Втр 16:13:10  581154
>>579881-дегенерат репортинг ин.
Ходил в городскую стоматологию, там в общем мне сказали, что перед остальными процедурами надо вылечить дёсна, чтобы . Ну и почистили мне их ультразвуком(тян-стоматолог практически в голос радовалась огромным сталагмитам на зубах которые ей видимо в кайф было сбивать), кровищи ебать было. Ну и выписала мази какие-то неделю полоскать и мазать. И сказала, что если не взлетит, то будет уколы какие-то ставить.
Так вот - какие подводные камни с этим могут быть, что там вообще должно произойти?
1300 рублей отдал, вроде по-божески, не?
Аноним 07/03/17 Втр 16:56:04  581172
>>581127
>пока твой саливарис (который блиать есть в этом списке) конкурирует с мутанс, то остальные вполне успешно ебут твои зубы
>Oral microorganisms form dental plaque on the surfaces of teeth, which is the cause of the caries process, and shows features of the classic biofilm. Biofilm formation appears to be influenced by large scale changes in protein expression over time and under genetic control Cariogenic microorganisms produce lactic, formic, acetic and propionic acids, which are a product of carbohydrate metabolism. Their presence causes a decrease in pH level below 5.5, resulting in demineralization of enamel hydroxyapatite crystals and proteolytic breakdown of the structure of tooth hard tissues. Streptococcus mutans, other streptococci of the so-called non-mutans streptococci group, Actinomyces and Lactobacillus play a key role in this process.
>In addition, some S. salivarius strains have been shown to produce the exoenzymes dextranase and urease, the activities of which could potentially help limit the progression of dental caries by reducing plaque accumulation and plaque acidification, respectively S. salivarius M18, a strain originally isolated from a healthy adult subject during a specific search for S. salivarius capable of inhibiting MS, has subsequently been shown to have relatively broad-spectrum bacteriocin-like inhibitory substance (BLIS) activity against MS, and to produce both dextranase and urease enzymes.
>While only small numbers of children were successfully colonized with M18 during the study period, the plaque scores of the nine who were well colonized showed a greater plaque reduction than both the entire M18- and placebo-treated groups.
>Ninety days of treatment with strain M18 produced in the treated group a statistically significant reduction, by more than 30%, in the global Cariogram outcome
>Others, such as “plaque amount”, “mutans streptococci”, and “buffer capacity” could be a direct consequence of the treatment because salivarius M18 releases bacteriocins able to kill mutans streptococci, and dextranase and urease enzymes, which are capable of counteracting plaque formation and increasing saliva pH, respectively. Noteworthy, “plaque control” and “mutans streptococci” were reduced by approximately 50% and 75%, respectively.

>продолжай дрочить на пробиотики как панацею от кариеса
Corby et al. (10) examined the bacteria associated with dental caries and health in a subset of 204 twins aged 1.5 to 7 years old. A strain of an Actinomyces species, S. mutans, and Lactobacillus spp. were associated with disease. In contrast, bacterial species, including Streptococcus parasanguinis, Abiotrophia defectiva, Streptococcus mitis, Streptococcus oralis, and S. sanguinis, predominated in the indigenous bacterial flora of caries-free subjects (10). These findings concurred with those of our earlier study (1), demonstrating that there is a distinctive microbiota of the healthy oral cavity that is different from that associated with oral disease.
Буду дрочить и, может быть, пидоры типа тебя, которым важна прежде всего собственная нажива, соснут хуйца.
Аноним # OP  07/03/17 Втр 17:14:04  581177
кек.JPG (93Кб, 1148x330)
>>581172
>пидоры типа тебя
За одно только заочное суждение людей - можно тебя считать за уебка и не считаться с твоим голосом.
>>581172
>Streptococcus mutans, other streptococci of the so-called non-mutans streptococci group, Actinomyces and Lactobacillus play a key role in this process.
Долбаебина. Ну прочти ты свою статью. Я устал повторять, что ты тупорылый неуч, который не вникает и пытается заливать хуйню про свою чудо панацею. Читай грин текст, тупица. Посмотри какие еще стрептококи там есть кроме Мутанс, о которых только и повторяется в статье. Почему ты такая тупица?

Еще раз, для вкрай тупорылых даунов, обиженных на весь свет, которые думают , что каждый стремится ограбить на бабки мерзкий червь пидор, почему ты так озлоблен на других и у тебя такие параноидальные мысли?
Если ты как тупая мразь упарываешь свои пробиотики, но как и раньше - нихуя не умеешь чистить зубы, то это тебе нихуя не поможет. Понимаешь столь простой посыл или ты совсем у мамы долбаеб?

Начни выращивать свой хлеб, скотинку и сам шить одежду. А то тебя там тоже наебывают ради собственной наживы, дурачёк
Аноним 07/03/17 Втр 17:30:03  581185
>>581177
>Посмотри какие еще стрептококи там есть кроме Мутанс, о которых только и повторяется в статье.
Ты дебил, я специально процитировал часть о том, из-за чего "остальные стрептококки" разрушают зубы. Процитирую еще раз:

>Cariogenic microorganisms produce lactic, formic, acetic and propionic acids, which are a product of carbohydrate metabolism. Their presence causes a decrease in pH level below 5.5, resulting in demineralization of enamel hydroxyapatite crystals and proteolytic breakdown of the structure of tooth hard tissues.

И специально процитировал часть о том, как влияет штамм М18 на работу этих бактерий:
>M18 has subsequently been shown ... and to produce both dextranase and urease enzymes
>the exoenzymes dextranase and urease, the activities of which could potentially help limit the progression of dental caries by reducing plaque accumulation and plaque acidification

Дальше твое "кококо" не читал.
Аноним # OP  07/03/17 Втр 17:35:40  581187
>>581185
Просто иди на хуй, даун. Научись в чтение. Жопные маневры утомили уже
Аноним 08/03/17 Срд 16:44:14  581510
>>581127
Говорю же, чищу постоянно. Почистил буквально пару дней назад, поэтому и спрашиваю, чем можно полоскать, чтобы на дольше хватило. Денег никаких не хватит каждые 2 месяца чистить.
Аноним # OP  08/03/17 Срд 16:55:39  581513
>>581510
Купи таблетосы красящие. Зажевал. Налет окрасился. Сфоткал. Смыл все. Почистил зубы щёткой по своей "правильной методиге" как ты чистишь всегда. Без читов.
Опять жуёшь таблетос. Смотришь результат - сравниваешь с фоткой. Если очистилось идеально и так проверяешься в течение пары недель с некоторым интервалом не каждый день и все равно камни, то тут может играть роль тупо твой состав слюны.
Алсо после хавки не забывай полоскать рот. Ну и вообще периодически это делать в течение дня заодно и дышать вонью не будешь.
Но за пару месяцев вырастить камни - это надо постараться.

Алсо если у тебя есть поддесневой камень, то тут другая песня. Тут уже нужно работать вместе с парадонтологом. Который уже будет в ручную скрести твои корни от камня, накладывать лекарства и заниматься твоими деснами. В ином случае даже если ты будешь божественно чистить , то налет будет забиваться под десну и там давать "базу" для роста выше. Возможно стабильное пользование ирригатором может сыграть роль. Но надо смотреть что у тебя там.

В остальном пользуйся пастами всякими с корой дуба, ромашкой и прочим "для дёсен".
Аноним 08/03/17 Срд 17:21:17  581516
Насколько долго можно принимать пробиотики k12 и m18?
Упарываю уже больше года. Почти не болел. Раньше хронические болезни горла были.
Аноним 08/03/17 Срд 17:57:11  581525
>>581513
Как такие таблетки называются?
Нашел зубную пасту с таким же эффектом Plaque HD. Есть ли аналогичные зубные пасты в рашке?
Аноним # OP  08/03/17 Срд 18:05:21  581529
кек.JPG (106Кб, 657x697)
>>581525
Аноним 08/03/17 Срд 18:20:39  581533
Как правильно наносить метрогил дента на десну? Он сладкий и из-за этого во рту каждую минуту скапливается слюна, которую охота то ли проглотить то ли сплюнуть. Это норм или эффект от мази этой сходит на нет?
Аноним 08/03/17 Срд 18:23:04  581535
>>581516
Упарываешь без перерыва?
Аноним 08/03/17 Срд 19:48:40  581575
>>581535
Каждый день перед сном
Аноним 08/03/17 Срд 20:27:53  581591
>>581513
Спасибо, попробую.
Вонь, кстати, только кровяная, когда этот пиздец снова наступает.
Раньше я чистил камни редко, и так сильно кровь не шла. А вот полтора года назад у меня очень дико воспалилсь десны и опухли лимфоузлы, и с тех пор чистки хватает на несколько месяцев.
Алсо, лет пять назад мне парадонтолог выписывал какие-то антибиотики. Почему сейчас не выписывают? Может, какая-то хуета занеслась?
Аноним 09/03/17 Чтв 15:50:05  581905
>>573637
Завтра иду к зубному, буду просить снимок.
Но мне кажется это невриескит нерва.
Когда мне делали анестезию, то похоже попали в нерв, потому что у меня всё правое лицо заискрилось, от челюсти до глаза и уха, услышал такой металлический скрежет/писк высокочастотный.

Теперь тупо болит челюсть, там где она закругляется около уха. Раздражает неимоверно.
Боюсь остаться с этим на всю жизнь.

Что это? Действительно похоже на неврит?
У кого было так же - вылечились ли вы?

Если на снимке ничего не обнаружат, то куда идти? К неврологу/невропатологу? Похоже придётся просить МРТ, да?

Случилось это всё в сентябре. Боли в челюсти помню точно быыли уже где-то в середине декабря. Они были редкие и под вечер. Думал что от усталости, мол, пройдёт. Теперь молюсь чтобы не на всю жизнь.
Аноним 09/03/17 Чтв 15:50:34  581906
>>581905
>невриескит
неврит
Аноним 09/03/17 Чтв 16:33:49  581915
>>581905
Почитал, посмотрел.
Эта хрень плохо лечится. Только купируется.
Причём врач на одной из передач выбрал физическое повреждение как самый наименее худший вариант причины возникновения невралги,и тройничного нерва. Среди остальных причин таких как рассеянный склероз, опухоль.
Аноним 10/03/17 Птн 11:24:00  582260
tumblrnj4ie6DM1[...].jpg (303Кб, 667x1000)
Док, у меня передние резцы лопатообразные.
Довольно длинные, как у ёбаного кролика.
Современные зубодёры могут мне как-то шлифануть зубы и затем кромку обработать, чтобы не крошилось?
Хотет ровный ряд зубов.Чтобы быдло пищало и тян боялись.
Аноним 10/03/17 Птн 17:27:16  582382
Сколько стоит почистить зубы в среднем? 500-2к?

У меня мезо-прикус(большая нижняя челюсть), с годами челюсть отходит все больше и больше. В итоге сейчас зубы толком не стыкуются. Только дальняя половина нижней и средняя часть верней челюсти работают на правой части, на левой хуже, ибо у меня кривой позвоночник и следственно челюсть к тому же под углом(ппц, да).

Я к тому что-доктор, мне пиздец? Не сильно ли большая нагрузка на зубы? Я понимаю, что эмаль быстрее сточится, но ведь я просто буду чуть чаще ходить к зубному и все будет ок, да? Мне не наступит хана в последующие года?

Также, клыки и вообще передние зубы нужны чтобы откусывать большие куски, мясо там, а если я мяса не ем, только веганскую пищу, то в принципе, все норм, да? Ведь для зерен нужны только перемалывающие зубы.

И таки насколько тщательн нужно перемалывать еду? Просто я замечаю что я спокойно заглатываю целые куски еды, неперемолотые зерна риса там, перловки. Это же нормально, несмертельно для человека? Просто у меня паника, я уже рассчитываю что буду пить только космонавтские коктели.

Ппц, я так молод, а со стороны наверное представляется что я пиндский 90летний реднек.


И да, У меня на середие всех зубов налет белой молнии, это эмаль отходит, я понимаю? Как этого избежать? Думал что проблема в сладостях, так я последние полтора года старался есть правильную пищу для зубов, меньше нуги и налета. А эта херня все равно есть. Зубы чищу каждый день.
Аноним # OP  10/03/17 Птн 23:53:36  582526
>>582260
МОгут.

>>582382
>Сколько стоит почистить зубы в среднем? 500-2к?
я ахуел, когда узнал , что у нас в прайсе чистка 1к. сука блять 1к за полную чистку! пиздееееец. Даже в ебаучей госке дороже. У меня горит сука.
В среднем по дс 3к. Но это тип "по акции". В основном выйдет от 5к рублей. Или покупай купоны, но если во рту тотальный пиздец, а врачей заебали халявщики, то тебе скорей всего сделают "частично" чистку и пошлют нахуй. Ибо в клинику ты заплатишь 500р и 500р сайту купонов, и ради это ссаной пятихатки ебаться будут больше часа.

>Просто я замечаю что я спокойно заглатываю целые куски еды
Учись пережевывать. Или желудку хана будет.

В целом над смотреть очно.
нахуй вообще я сижу в этих ебаных тредах посиживаю, если в 90% случаев все надо смотреть очно, а в остальных 10 даже не пилят фотки
Аноним 11/03/17 Суб 02:42:12  582573
>>582526
>Учись пережевывать. Или желудку хана будет.
Двачую тебя люто, я вот так себе в два счёта сфинктеры желудка посадил быстрыми перекусами, теперь всю жизень с этим буду
Аноним 11/03/17 Суб 08:06:44  582599
Вчера заболел зуб без нерва, сегодня уже болит вся правая сторона внизу. Мне пиздец?
Аноним 11/03/17 Суб 10:08:10  582614
>>582599
Может влияние давления-температуры, такое бывает, что пустоты продувает как бы.
Советуют солнце, соль, теплоту, пляж, море и так далее.
Аноним 11/03/17 Суб 10:08:57  582615
>>582573
Как просадил, какие симптомы?
Просто я заглатываю пищу сколько лет, тфу-тфу, вроде пока норм( или давно уже нет, просто я привык).
Аноним 11/03/17 Суб 10:11:21  582616
>>582614
Я его трогаю и он начинает ещё сильнее болеть. Дождусь понедельника и пойду на приём, иначе пиздец.
Аноним 11/03/17 Суб 10:13:58  582617
>>582526
А что ты чувствуешь когда смотришь человеку в рот?
Ну, то есть очень ведь все деликатно. Нужна очень точная, аккуратная работа.
Лично я считаю(так проще) таких врачей эдакими богами-биороботами.
Аноним 11/03/17 Суб 13:01:47  582639
031020173007.jpg (1489Кб, 2592x1944)
>>581905
Бампану.
Делал снимок (лечили зуб на снимке слева внизу восьмой), врач ничего не обнаружил, направил к хирургу, у которого буду через неделю. Плюс в понедельник записываюсь к неврологу.
Аноним 11/03/17 Суб 13:10:43  582643
Здорово, стоматологи,
Неделю назад вылечил кариес на зубе. И до сих пор болит и чутка увеличено место, куда обезболивающий укол делали. Это норма, или пора к врачу?
Аноним 11/03/17 Суб 15:48:17  582693
>>582643
Это норма, может до трех недель побаливать под пломбой при нажатии.
Аноним 11/03/17 Суб 16:09:11  582703
>>582599
Если начнется появляться припухлость, то у тебя переостит. лёль.

Нерв убрать мало.
На холодное\горячее реагирует?

>>582617
>А что ты чувствуешь когда смотришь человеку в рот?
желание положить туда свой хуй! ХА!
Да ничего. Просто рабочее поле и оценку , что там делать надо. Но если какой-то пиздец и срач, то могу почувствовать запах, например. А в голове крутятся мысли - пиздец тут засрано... Большой хуй на себя положен.
Читал на пикабу пост "заметки проктолога". Там тоже жопа-доктор пишет, что "я просто вижу рабочее поле и что надо что-то пофиксить. Больше в принципе я ни о чем не думаю и все.

>>582639
Травма нерва - это вполне предполагаемое осложнение анестезии. Собсно по этой причине бумажки и подписывают. Проходит через время. Витаминки пропишут. Поупарываешь - пройдёт чуть быстрее
Не ссы. Нервная ткань восстанавливается как бы не говорили, но очень медленно.

Аноним 11/03/17 Суб 16:48:32  582721
>>582703
>Проходит через время.
Прикол в том, что прошло полгода.
До этого я особо не замечал ничего, а сейчас вдруг ощущения начали постепенно усиливаться.
Аноним 11/03/17 Суб 16:52:17  582725
>>582721
Может это у меня периостит в хронической форме?
Или снимок это исключает?
Да, я паранойю, но без этого никак.
Аноним 11/03/17 Суб 18:22:47  582780
>>582615
Периодическая изжога, и живот в том месте, где желудок, сам по себе болезненный
Аноним 11/03/17 Суб 19:38:33  582821
Когда чищу зубы обычными зубными щетками (не мягкими), десны всегда кровоточат. Это серьёзно или хуйня? У меня зубы выпадут раньше чем надо?
Аноним 11/03/17 Суб 20:30:56  582838
>>582703
На холодное и горячее не реагирует, припухлости тоже нет. Боль при глотании усиливается и отдаёт в челюсть.
Аноним # OP  11/03/17 Суб 20:37:54  582842
>>582838
Пиздуй к врачу.
Аноним 11/03/17 Суб 20:39:14  582843
>>582842
Это и собираюсь сделать, вот только мало кто работает по выходным.
Аноним 11/03/17 Суб 20:59:47  582849
Гнилозуб итт, мало того же у меня во рту тихий ужас с разрушившемися до основания зубками, так ещё на днях появилось ощущение что левый верхний резец шатается, лол.
Аноним 11/03/17 Суб 21:10:14  582851
>>582849
Сходи в госклинику, все равно терять нечего.
Аноним 11/03/17 Суб 23:12:57  582884
Какой метод удаления зубного камня лучше - ультразвук или лазер? Можно ли удалять камень с кариозных зубов?
Аноним # OP  11/03/17 Суб 23:17:43  582886
>>582884
>лазер
Лолшто? Где ты такое нашёл и сколько килобаксов ты решил за это отбашлять? Я даже почитать хочу про эту нано разработку.
да хоть святой водой. Лишь бы камень сняли. Очевидно ж

>Можно ли удалять камень с кариозных зубов?
нужно
Аноним 11/03/17 Суб 23:20:46  582888
>>582886
Спасибо, анон, добра тебе. Я просто боялся, что удаление с кариозных разрушит их сильнее.
Аноним 12/03/17 Вск 01:43:31  582915
IMG201703120129[...].jpg (2221Кб, 2448x3264)
Болит дыра где раньше была пломба. В чем может быть пр чина боли? На фото эта дыра там что чёрное но рассмотреть не могу.
Аноним # OP  12/03/17 Вск 13:42:47  583006
>>582915
ты б кружочком обозначил где именно смотреть.

В целом - болит , потому что там уже нет пломбы. Зуб реагирует на раздражители. Короче это как у тебя кожу содрать, а потом не прикрыть рану а оставить открытой. будешь трогать - будет также болет.
Аноним 12/03/17 Вск 18:40:28  583141
heh.png (40Кб, 179x91)
ss+(2015-10-29+[...].png (32Кб, 177x73)
Привет, можно ли это дерьмо исправить и во сколько обойдется? В детстве жрал металл и все что плохо лежит, в итоге все пошло по пизде.
Аноним # OP  12/03/17 Вск 19:00:29  583149
>>583141
Можно
Зависит от клиники и плана лечения.
Размер фоток збс.
Аноним 12/03/17 Вск 19:09:26  583155
>>583149
Извини, снимал на кирпич, а потом обрезал. Я вот думаю, может просто на верхний ряд пломбы поставить или даже поменять передние зубы, нижние вроде более менее. Страшно к стоматологу идти.
Аноним # OP  12/03/17 Вск 19:16:40  583159
>>583155
Пломбы всё равно стоматолог ставит.
Аноним 12/03/17 Вск 19:19:21  583161
>>583159
Это в полость зуба которую пихают? Мне ее делали лет 10 назад.
Аноним 12/03/17 Вск 19:27:26  583165
>>583161
Я хз. Ты сам про пломбы заговорил
>>583155
>Я вот думаю, может просто на верхний ряд пломбы поставить
Аноним 12/03/17 Вск 19:31:17  583169
>>583165
Ой блин, не, я не про эти, а про коронки, их же еще не рано ставить? Чтобы выпрямить ряд зубов, прикус хочу оставить как есть.
Аноним # OP  12/03/17 Вск 19:33:59  583172
>>583169
в принципе их когда угодно можно ставить, если условия позволяют, а ты хочешь косметику
Аноним 12/03/17 Вск 19:36:47  583173
>>583172
Что за косметика?
Аноним # OP  12/03/17 Вск 19:45:38  583177
>>583173
Косметический результат
Чтобы внешне было красиво.
Аноним 12/03/17 Вск 19:51:41  583181
>>583177
Тогда все здорово, а то у меня такой зазор между зубами, что можно шерстяные нитки прогонять, как через прялку. Спасибо за информацию.
Аноним 12/03/17 Вск 19:54:08  583184
>>572041 (OP)
Уже год не могу вылечить 37,36,35 зубы
Каждый раз мне ставят ебанное лекарство,при лекарстве всё норм,потом ставят пломбу и охуеть,зубы опять пиздец болят и я жую одной половиной челюсти
Посоветуйте че делать
Аноним 12/03/17 Вск 20:05:45  583185
сап, медач
несколько лет назад лечил пульпит, все запломбировали, но вот недавно видимо пломба прохудилась, вместе с ней разрочился зуб и пару недель назад во время еды он сломался и к хуям отпала внешняя половина.
но суть не в этом. позавчера был на приеме у стоматолога, она все почистила, вставила штифт в канал и нарастила зуб пломбой. все бы хорошо, но через сутки от начал ныть, а ночью уже конкретно заболел. сегодня весь день сижу на обезболе, ибо пиздец болит, а эта врач работает только завтра с утра.
итак, вопрос: в чем она могла накосячить? почему болит мертвый зуб? придется ли мне его удалять к хуям?
Аноним # OP  12/03/17 Вск 20:06:30  583186
>>583184
Пусть тебя уже на КЛКТ отправят. И посмотрят что там . А не только рентген смотрят.
Алсо искать доктора с микроскопом
Ну или же чтобы хотябы посмотрели не только рентген, но и посидели посмотрели твой зуб на компе, со всеми срезами и прочим.
Аноним 12/03/17 Вск 20:07:24  583187
>>583185
заранее извиняюсь за кривой подчерк/мелкие ошибки/общую сумбурность изложения, ибо подзаебался от сегодняшнего дня зубной боли
Аноним # OP  12/03/17 Вск 20:09:08  583188
>>583185
Возможно перелом корня и зуб распидарасился еще когда сломался. Если так , то перелом корня = удаление. МОжно шаманить , но лучше тогда нахуй удалить и заебашить имплант
Завтра доктору задай эти вопросы.
Аноним 12/03/17 Вск 20:16:50  583198
image.jpg (3243Кб, 3264x2448)
image.jpg (2320Кб, 3264x2448)
>>583188
когда зуб сломался - ничего не болело, ток вонял немного от того что еда внутрь попадала
вот пара шакалистых снимков, говнофон не может в макросьемку
Аноним 12/03/17 Вск 20:52:44  583217
>>583188
Как часто вообще корни после наращивания ломаются?
Аноним 12/03/17 Вск 23:20:49  583259
>>583217
Там овер дохуя факторов.
Аноним 13/03/17 Пнд 04:47:04  583297
короче, доктор частник поставил мне раз пломбу на второй зуб, она сразу же немного скололась, я пришёл к нему ещё раз, он мне опять(уже бесплатно) поставил ещё одну, и опять она почти сразу же развалилась и пошла к хуям.(теперь огромная дыра между зубами, лол.)

Вот думаю, идти к нему лечиться опять или он кривожоп, который нихуя не умеет и так мне весь зуб нахуй сточит пидорас.
До этого дохуя у него делал зубов, но в целом всё было нормально.
Аноним 13/03/17 Пнд 06:14:03  583301
Анончики помогите!
Зуб мудрости растёт, левая половина челюсти болит, а так же горло и ухо со стороны этого самого зуба мудрости
Вроде такое может быть от лежачего зуба мудрости но я смотрю и у меня вроде он обычно вертикально растёт
Че делать? Учитывая что денег немного, смогут ли чем-то помочь в городской стоматологии? Это вроде бесплатно же, нет?
Аноним 13/03/17 Пнд 06:17:59  583302
>>583188
ломозуб-кун репортинг ин
только что от доктора, она сказала что какая то хуйня видимо осталась в каналах, сняла пломбу, вытащила штифт, почистила каналы (сука даже через обезбол было неприятно)
короче оставила мне эту дырку до среды, сказала полоскать 6 раз в день чтоб вымыть все говно, потом поставит временную пломбу и посмотрит как ее зуб примет
Аноним 13/03/17 Пнд 06:29:06  583303
>>583302
Тебе ренген хоть делали?
Аноним 13/03/17 Пнд 06:29:46  583304
>>583303
второй раз не делала, грит на первом все видно итак
Аноним 13/03/17 Пнд 06:37:49  583305
>>583304
ну а хули на втором делать, ибо тебе же его не запломбировали обратно.
Ну хуево братан.

А когда тебе пломбировали канал тебе в него эту хуйню противную заливали(хлор-чё-то-там)?
Аноним 13/03/17 Пнд 06:42:26  583306
>>583305
вот этого уже не помню. ну она покопалась там какой-то горькой хуйней
энивей я думал что скажут удалять зуб к хуям, так что все прошло лучше чем я ожидал
еще и половина ебала онемела от обезбола, лол
Аноним 13/03/17 Пнд 06:46:41  583307
>>583306
>горькой хуйней
Ну это оно и есть, скорее всего.
Ну ладно, удачи тебе.
Аноним 13/03/17 Пнд 07:20:32  583308
Сап, анончики.
Полтора месяца назад лечил зубы от кариеса, также камни поубирали, мб еще чего, ол инклюзив в общем. До сих пор реакция на холодное/горячее. Это нормально? Когда оно обычно проходит? До лечения не было.

Алсо у меня стояли бреккеты, через 2 года сняли, потом на нижнюю челюсть с задней стороны прихуячили проволоку, уже 6 лет, наверно, с ней хожу. При каждом приеме раз в полгода/год ортодонт что-то минут 5-10 делает, и отпускает, беря 300-400 рублей. Дантист, который недавно лечил мне кариес, посоветовал сходить к другому и проконсультироваться насчет этого. Меня действительно наебывают? Кстати уже 2 года не заходил, т.к. в городе не часто появляюсь.
Аноним 13/03/17 Пнд 07:23:07  583309
>>583307
спасибо
в среду напишу еще
Аноним 13/03/17 Пнд 09:15:08  583330
>>583301
Смогут удалить, что тебе собственно и нужно скорее всего.
Аноним 13/03/17 Пнд 09:19:27  583331
>>583302
Чувак, лучше тебе сейчас после качественного пролечивания каналоа вкладываться в коронку. Потому что пломба на штифте в лучшем случае простоит года 4, а коронка минимум 10.
Аноним 13/03/17 Пнд 09:22:36  583332
>>583308
Если чувствительность у всех зубов, то попробуй какую-нибудь sensitive зубную пасту.

Алсо ретейнер (та самая проволока) в идеале носится пожизненно, потому что без нее зубы могут разъехаться обратно.
Аноним # OP  14/03/17 Втр 01:42:53  583702
>>583331
А коронка на штифте ? Вместо пломбы?

>>583332
Не носится пожизненно. Срок зависит от того, как поздно поставили брекеты. Если шкальнику, то потом можно снять и всё ок. Но в целом она вродь как нихуя не мешает, так что не особо есть смысл заморачиваться. Разве что налет наседает.

>>583308
Иди к доктору. Пусть смотрит где реагирует.
>>583308
Т что он делает? вообще не видел? Чувствительность атрофирована? похоже на наёб уже. Ставь ему конкретно вопрос - что за хуйня и сколько носить? Алсо что за контора, которая чек не выдаёт ?

Аноним 14/03/17 Втр 09:54:03  583747
>>583702
Коронка на культевой вкладке.
Аноним 15/03/17 Срд 11:02:24  584171
Привет анон, вчера был удален один зуб мудрости.
У меня целый список тупых вопросов:
1. утром при чистке зубов (по близлежащим зубам щеткой не проходились) пошла кровь. Кровь быстро прекратилась, сейчас не идет. Сгусток крови просто немного повредился или ему ГРОБГРОБКЛАДБИЩЕПИДОРСМЕРТЬМЕРЗКАЯОТЗАРАЖЕНИЯКРОВИ?
2. что вообще с этим сгустком? Его можно эээ смыть при питье или это не так просто? Если он смоется, мне пиздец?
3. что блядь значит нежная чистка зубов? И как это можно не полоскать рот при чистке?
4. как понять, что все нормально зажило, если ничего не видно? Нужно ли записываться к врачу, чтобы он посмотрел как все заросло, или это лишнее?
Аноним 15/03/17 Срд 11:24:47  584180
Сап двач у меня депрессия. Походил по модным клиникам нашего города на платные осмотра, суть все говорят удалять 8ки, пломбы на больших зубах что ставили 10 лет назад и которые меня не беспокоят, говорят что под ними кариес и пизда всему там, надо удалять все нервы ставить коронки и т.д+едва замтные пятнышки на шайке зуба идентифицируют как кариес и ваще надо лечить, счет выдают от 150 до 300 тысяч рублей.
А теперь вопрос: есть ли какое госсофинансирование всего этого дела и хуе во ли лечат в гос клиниках по страховому полису?
Аноним 15/03/17 Срд 11:29:43  584182
>>584180
Третья ссылка в гугле:
http://orisfirm.ru/stomatologic-services/
Аноним 15/03/17 Срд 13:35:33  584226
>>584171
где удалял , мудрец?
Почему ты не можешь во время приема уточнить вопросы у стоматолога, а не ждать до дома и строчить на дваче?

Да, можно смыть. Потому и сказали "нежно и не полоскать". И языком туда лезть не надо. Короче если не болит и не беспокоит , то все ок.

>>584180
По омс могут и подлечить. Хуй знает по каким ты клиникам шаришься или какой пиздец у тебя во рту , что счета от 150к и выше.

>>584182
Хуйня. Напихают ему пломбы и в каналы ровно то же самое, что и в госке. ОМС в частной клинике это больше "Замануха" с перспективой , что пациент останется там, потому что по омс надо РЕАЛЬНО ХОРОШО писать карты для проверки и получают хуй да нихуя, но при этом штрафы неебаться какие. Так что частная клиника - это не тот сегмент , которым выгодно работать по ОМС. Тем более почитай - протезирование и эстетическая в омс не входит. Да и в государственной поликлинике за коронки тоже будет башлять деньгу, потому что протезирование не оплачивается (кроме съёмных протезов, когда зубов совсем нет)
Аноним 15/03/17 Срд 14:51:43  584252
>>584226
Так сгонял ща в частный кабинет, там работает женщина с очень быстрыми руками. посмотрела, говорит да так и есть, ни одного здорового зуба, надо типа перелечивать все пломбы что есть(я их ставил 10лет назад), 8ки удалять однозначно, но говорит что большие зубы типа можно и перепломбировать без коронок и прочей хуйни. насчитала сотыгу, что в принципе дохуя но терпимо. чесно я в ахуе, для понимания у меня не развалины нихуя, так пришеечный кариес на 4х зубах, да пару сколов, но вот чета они считают все что все перелечивать. инфекция гроб пидор кладбище.
Аноним 15/03/17 Срд 15:19:39  584267
>>584226
Потому что стоматолог сказал "ну я вам все расскажу после удаления", а после удаления, как ты понимаешь, особо не побеседуешь по душам
Аноним 15/03/17 Срд 15:29:52  584271
Сам из ДС. Наследственно хуёвые зубы, у бати к 21 уже почти вся челюсть была железной.
Мне 27, нижние шестёрки и т.д. - ебаные кратеры уже. Из-за хуёвого прикуса.
Короче, хочу начать заниматься зубами постепенно. Каждый месяц выделять сумму и хуярить. Но ссыкую выбирать клинику. Я приписан к челюстно-лицевому госпиталю на тульской где-то, можно ли делать там?
Лечил там один зуб, но не долечил, до сих пор как мудак хожу со временной пломбой.
Сколько примерно может выйти в месяц на подобные вещи, чтобы залечить, зубы мудрости вырвать нахуй, что б из-за них не гнило ничего.
Ещё эмали пизда на клыках снизу. На одном кариес у десны - это лечится?
Аноним 15/03/17 Срд 15:42:39  584275
>>584252
Я пломбу сколотую менял, тоже насчитали 6-8 зубов с кариесом. Хожу делаю. Так сначала врачиха сказала, что не большой, а начала снимать эмаль там пиздец говорит.
Аноним # OP  15/03/17 Срд 16:31:34  584292
>>584271
>можно ли делать там?
да , там стоматология. От метро минут 10 идти. ЧЛХ госпиталь для ветеранов войны.

>Лечил там один зуб, но не долечил, до сих пор как мудак хожу со временной пломбой.
как моя бывшая прям азазазазза! ебанутая, силы и нервы тратил , чтобы затолкать, чтобы делали за бесплатно, а она слилась.

>Сколько примерно может выйти в месяц на подобные вещи, чтобы залечить, зубы мудрости вырвать нахуй, что б из-за них не гнило ничего.
Открой прайс клиники и посчитай. Я не ебу , что у тебя во рту. Фоток нет, а я тебя не видел.

>Ещё эмали пизда на клыках снизу. На одном кариес у десны - это лечится?
Лечится

Аноним 15/03/17 Срд 21:56:03  584412
>>584271
>зубы мудрости вырвать нахуй, что б из-за них не гнило ничего
Анончики, а из за зубов мудрости может что-то сгнить? Каким вообще образом?
Аноним 16/03/17 Чтв 01:29:58  584490
23
Аноним 16/03/17 Чтв 01:37:39  584493
Сап анон , есть вопрос : почему на зубачистке осталось кровь после того , как я провел палочкой по боковой поверхности зуба?
(Десну не трогал )
Аноним 16/03/17 Чтв 08:08:44  584519
zubmudrosti-06.jpg (89Кб, 770x634)
>>584412
Между седьмым зубом и зубом мудрости набивается​ пища. Такие далекие Промежутки между зубами вычищать тяжело. Разрушается и седьмой и восьмой зуб.

Либо ситуация как на картинке.
Аноним 16/03/17 Чтв 08:09:18  584520
>>584493
Значит всё-таки трогал.
Аноним 16/03/17 Чтв 18:13:58  584717
Анон, пожалуйста, помоги: если удален зуб во вторник (примерно в 17:00) мне уже можно курить, или ждать вечера пятницы, чтобы истекли полные трое суток? Или нужно ждать еще дольше?

Трубы горят!
Аноним 17/03/17 Птн 11:53:42  585009
Может ли быть адская зубная боль (типа как при пульпите) из-за проблем с деснами?
Аноним 18/03/17 Суб 00:22:04  585342
>>585009
Может если у тебя переодонтит, скорее делать снимок
Аноним 18/03/17 Суб 00:55:49  585349
7f058a110d.jpg (54Кб, 588x343)
Аноны, у меня просто полный пиздец, полнейший. Нет 5 зубов, остальные запломбированы, но это еще хуйня.
На половину сломаны вот эти два зуба, просто вертикально блядь поломаны + покоцан клык как на картинке. В бесплатной стомотологии те два зуба мне сделали, просто блядь ебанули пломбу по верх и все. Нужно ли говорить, что это смотрится мега уебищно?

Я просто не могу говорить с людьми, я стесняюсь открыть свой рот.
Денег у меня нет почти нисколько.
В моем случае поможет ли мне коронка на те два зуба? (я просто не знаю что это такое - каронка) или мне нужно протезировать каждый и ставить новый зуб? И что делать с этим клыком?
Аноним 18/03/17 Суб 21:22:54  585655
Как правильно выбрать клинику? Живу в ДС
Аноним 18/03/17 Суб 21:39:51  585657
удалил верхний зуб мудрости. Он был с кариесом и постоянно воспалялся. Сходил через 4 дня ко врачу - заживает нормально, но.
прошло уж две недели, а у меня почему то больно жевать этой стороной челюсти
иногда отдает в ухо боль
нос со стороны удаленного зуба заложен
немного болит горло, точнее под горлом, там где обычно лимфоузлы щупают. К какому врачу мне пиздовать и надо ли? Могу как к стоматологу завалиться, так и в поликлинику.
Аноним # OP  18/03/17 Суб 23:15:46  585674
>>585349
Реставрация пломбой или коронкой (одевается на кусок твоего зуба - "новый зуб")

>>585655
ПО кошельку подбирай. Как ты еще можешь выбрать? лол.
ну хочешь я тебе во рту поковыряюсь. Ну или просто проконсультирую чё да как там у тебя. Ток пиздовать тебе к РУДНу надо будет.

>>585657
К ЛОРУ сходи. А еще есть трюк. Сделай будто ты после самолёта и уши заложило (зажимаешь нос и пытаешься через него выдохнуть. Если из места где был зуб - начал воздух выходить, то пазуха перфарнулась)
Аноним 19/03/17 Вск 07:27:41  585751
>>585674
Да там уже дырки то нет. Затянулось. Я взял талон к терапевту, ща пойду к нему. А вообще тоже думаю на гайморит после удаления верхнего зуба,кек
Аноним 19/03/17 Вск 19:52:24  585946
>У тебя щёлкает челюсть и ты не знаешь нормально ли это?
Нет, это не нормально, почти всегда это связано с неправильным прикусом. Тебе нужно отправится к ортодонту, скорее всего, он отправит тебя ставить брекеты.

У меня верхние зубы больше выпирают, если хочу к примеру выровнить нижнюю - хруст, без боли. Нихуя не делать - опасно или жить можно?
Аноним # OP  19/03/17 Вск 21:48:31  585979
>>585946
Можно. Но осторожно и ожидать нехорошего.
Аноним 19/03/17 Вск 23:22:31  585999
>>585979
например?
Аноним # OP  19/03/17 Вск 23:23:21  586000
>>585999
Развития проблем с суставом.
Аноним 19/03/17 Вск 23:24:05  586001
>>586000
ну вот мне 21 и пока эта проблема никаких мне не мешает, не считая визуальных признаков. я же могу еще лет 5 нихуя не делать?
Аноним # OP  19/03/17 Вск 23:25:24  586002
>>586001
Можешь даже всю жизнь
Аноним 20/03/17 Пнд 09:09:03  586082
Если дёсна кровоточат при чистке - это как-то влияет на здоровье полости рта? Не хочу чтобы зубы раньше времени повыпадали. У меня это дохуя лет уже, у стоматолога был относительно недавно.
Аноним 20/03/17 Пнд 14:16:09  586142
Если зубы мудрости вылезли нормальные, ровные, стоит ли их все равно удалять?

Один врач сказал что можно, другая сказала что не стоит, все заебок. Это нижние.
Аноним 20/03/17 Пнд 17:51:12  586228
>>586142
Если действительно хорошо вылезли, то удалять пока они здоровые не нужно.
Аноним 20/03/17 Пнд 19:38:12  586266
Половина зубов кривые. Можно ли исправить в возрасте 27+?
Аноним # OP  20/03/17 Пнд 19:52:08  586271
>>586082
и че тебе стоматолог сказал?
это уже показатель наличия проблемы со здоровьем.

>>586142
если нет оснований, то трогать не обязательно.

>>586266
Можно. Брекеты\коронки\виниры\импланты\полные съемные протезы.



есть варик замутить тотальную чистку в ДС от 1.5к рублёв зубов. Ну вот этот стандартный УЗ\Аир флоу\полировка. Ну там и осмотр с консультацией за шару следом. Лечение\протезирование тож организовать вполне. Кого интересует - пишите на мыльце [email protected]
Аноним 20/03/17 Пнд 23:08:06  586361
>>572041 (OP)
Анон, выручай. Белый налет в ротовой полости, на щеках, языке и на небе. Напоминает белую пленку. Позвонил в больничку - отправили к кожнику. Тот взял соскоб, сказал, что кандида нет и все ок. Сказал протирать бурой в глицерине, и что с этим лучше к стоматологу, чем к нему. Мажу перед сном бурой, но прогресса нет , как быть, продолжать мазать или сходить к стоматологу?
Аноним 21/03/17 Втр 17:29:48  586606
Короче суть вкрации. Мне парадантолог как то скзал что мне нельзя пользоваться отбеливающей пастой,но но время я как то это подзабыл. И вчера у меня на восьмёрке верхей выпала пломба при чистке зубов, это как то связанно с этим? Может ли паста зубная так повлиять на зубы лол?
Аноним 21/03/17 Втр 18:18:10  586613
>>586606
Нет
Аноним 21/03/17 Втр 18:22:08  586615
После удаления корней проебавшегося зуба ведь можно поставить на то место новый? Какие технологии самые хорошие, если да? Можно ли поставить и забыть нахуй про него до старости? А если рядом с ним еще и восьмерка удалена?
Аноним 21/03/17 Втр 18:33:15  586618
>>586615
> А если рядом с ним еще и восьмерка удалена?
В смысле если рядом с ним восьмерка удалена, то не будет проблем с установкой протеза туда, чтобы он крепко держался?
Аноним 21/03/17 Втр 19:47:30  586656
14812011969363.jpg (91Кб, 823x1100)
Насколько вредно и опасно удалять зубы под наркозом? У меня уже сгнила половина из-за того, что не могу лечить их так, пиздец какой-то, анестетики тупо не работают, разве что в тройной дозировке и в двойном количестве уколов, но никто не хочет так делать, ебут голову, врут что сделали, а потом хуею от боли.

Могу ли вылечить все зубы под наркозом за раз? Сколько вообще можно за раз вылечить зубов под наркозом?

Насколько сильно отличается сервис в зависимости от цен? Они очень сильно колеблются, на дорогие клинике даже гей-шлюхой не заработаешь.

Думаю сначала сделать всё под наркозом в дешевой клинике, включая протезирование, а потом (если что) переделывать/доделывать в более дорогой, под местным.
Аноним 22/03/17 Срд 00:09:02  586775
Панорамный сним[...].jpg (166Кб, 1435x768)
!!IMG6882.JPG (2878Кб, 3456x2592)
!!IMG6885.JPG (3023Кб, 3456x2592)
!!IMG6887.JPG (3484Кб, 3456x2592)
Анон, я тут с запущенным пиздецом. У меня стоят две коронки в виде моста на передних. Уже 3 год. Когда нажимаю на них изнутри нижними зубами, то появляется во рту ощущение гноя, ну запах такой. Из под того, где вкладка.И еще он кровоточит при чистке.

Далее. Тот зуб мудрости однозначно удалять? У меня денег нет, в частной могут нормально удалить?

Щелкает челюсть, да.
Аноним 22/03/17 Срд 00:10:31  586777
!!IMG6888.JPG (3396Кб, 3456x2592)
!!IMG6889.JPG (3335Кб, 3456x2592)
!!IMG6893.JPG (3391Кб, 3456x2592)
>>586775
Во сколько станет все починить, не сильно запустил? Может вообще кредит взять и сделать зубы?
Аноним # OP  22/03/17 Срд 00:37:51  586790
>>586615
Да. Называется "имплантация".

>>586656
наркоз - уже не дёшего.
Тут нет ясновидящих, чтобы определить твоё "всё сгнило" и сколько за раз тебе сделают.

>>586775
Над смотреть состояние корней и "десны". нет , не на снимках. А в живую

ВИдимо ты имел в виду бесплатную? ну могут. но вряд ли бесплатно будет.

>>586777
Смотря где лечиться.
Если по своим расценкам, то наверху 1-2 зуба кариеса это по 2.2к за зуб анестезия по необходимости 500р . Внизу кариес 4х точно. + удалить как минимум 1 нижнюю восьмёрку это около 3к точно щас не скажу ибо идёт как сложное. Вот и получается порядка 12к за кариес (без учета анестезии) +~3к за удаление 1й восьмёрки , которая лежит. Вторую в принципе тоже надо бы на тот свет ибо сучка черная. Касательно вот этого "мостика" сказать щас ничего не могу ибо надо смотреть на месте. Но если корню пизда, то удалить оба (1.8к за каждый) и одномоментно поставить импланты (по 10к за каждый в принципе подойдут). через пару месяцев поставить на них коронки (5к за каждую). как-то так.
Офк не обязательно все за раз сделать. Но то что передние зубы с мостом надо в первую очередь делать - это точно. Т.к. внешне десна пиздец , так еще и говоришь, что вкус гноя.
Аноним 22/03/17 Срд 00:42:22  586795
>>586790
Блин. Импланты? Я думал это дорого пиздец. Корень там вроде живой, где вкладка, мне когда ставили сказали что я сделал все что мог, надеюсь кариес не пойдет дальше. У меня нихуя денег нет, я могу кредит взять на зубы, но максимум 50к. Проклятье.
Аноним 22/03/17 Срд 00:43:01  586797
>>586795
И еще, а просто не удалять коронки а эти оставить можно? Ну удалить зубы мудрости и вылечить кариес, десну, и все.
Аноним # OP  22/03/17 Срд 01:13:55  586809
>>586795
>>586797
Я ж говорю - надо смотреть. И "удалить- имплант" это как вариант. Не факт что это будет. Но судя по описанию - дело с корнями плохо. Просто "десну полечить".... Ну вот прдеставь у тебя ботинок неудобный и натирает постоянно до мозоли. Ну помажешь ты себе её чем-нить. Всякими травками, мазями обезболивающими. Ну подзаживет. И толку? Потом ты опять одеваешь ботинок, а он всё трёт до мазоли и трёт... Поэтому я говорю - в таком случае надо смотреть и думать над вариантами.
Аноним 22/03/17 Срд 01:27:07  586825
А как вообще лечат кариес? У меня на одном из верхних плоских маленькое темное пятнышко, его обязательно нужно сверлить или есть какие-то другие процедуры? И еще по поводу имплантации, денег у меня тоже не особо, если удалю корень и там всё заживет, через какое-то время можно будет это провернуть?
Аноним # OP  22/03/17 Срд 01:29:17  586827
>>586825
черные пятнышки сверлят
Можно поставить и потом. Вопрос только , чтобы это "потом" не затянулось и не пришлось "наращивать кость".
Аноним 22/03/17 Срд 01:36:32  586829
Кошмар короче. лежащая(в сторону языка, а не как у куна выше) восьмерка, два корня по бокам, которые надо заменить, пульпит, кариес, еще кариес, еще кариес.
Аноним # OP  22/03/17 Срд 01:38:02  586830
>>586829
Ну так не запускай. Дальше будет хуже.
Аноним 22/03/17 Срд 01:41:58  586831
>>586830
Крипово просто, когда столько всего сразу. Вот меня эта восьмерка не беспокоила, а начал лечить десна, соскреб камни так она сразу же стала впиваться в десну(или как так вышло хз) да так что рот открывается с болью скрипом.
Аноним # OP  22/03/17 Срд 01:44:18  586832
>>586831
Составь план лечения и постепенно лечением занимайся. В чем трабла?
В месяц хотябы по 1 зубу делай. К концу года боле менее в порядок приведешься.
Аноним 22/03/17 Срд 01:52:31  586834
>>586832
Не знаю, напрягает количество искусственного барахла во рту - импланты, пломбы, коронки. Я еще хотел как-то исправить прикус, это всё может являться помехой в дальнейшем?
Аноним # OP  22/03/17 Срд 02:01:50  586836
>>586834
>напрягает количество искусственного барахла во рту
Оставь как есть. Потом количество "корешков" у тебя значительно увеличится. Зато всё своё и родное.

>Я еще хотел как-то исправить прикус, это всё может являться помехой в дальнейшем?
Сначала кариесы\пульпиты свои залечи, а там уже думай о исправлении прикуса думай денег нет, но прикус фиксить думаешь. ох лол....
? Аноним 22/03/17 Срд 07:11:11  586864
Думаю стоит сходить залечить кариес как минимум на 5-ти зубах и вырвать нижнюю 8-ку. Вот только встаёт вопрос: куда?
1) Гос, в которой я успешно лишился зуба после удаления нерва и херовой пломбы.
2) Медси. Просто потому что рядом с домом. Что о ней скажете?
3) Другая частная клиника.

Город: Москва.
Аноним 22/03/17 Срд 07:26:24  586866
От кариеса бывают прыщи на лице? Я уже долго не могу от них избавиться и начал лечить всё остальное, мало ли поможет. И слегка серый зуб - это сильно плохо или его ещё можно спасти?
Аноним 22/03/17 Срд 13:13:38  586920
IMG201703221045[...].jpg (749Кб, 2048x1536)
aka 30lvl slesar reporting in был у орта - въебали еще две резинки, пикрилейтед и такую же справа. Челюсть тупо не открывается лол.
Аноним 22/03/17 Срд 13:31:31  586923
прост вопросец, почему под запломбированными зубами развивается кариес? че за хуйня? ведь это бактерии жрут ткань зуба, а как они там без кислорода еще и под слоем полимера?
Аноним 22/03/17 Срд 17:17:29  587012
>>586829
Спросил у хирурга(гос.клиника), который удалял мне 7ку возле той лежащей 8ки, что за имплант/протез можно поставить на то место и он ответил, что не знает, так как там надо цепляться(?) за 8ку, а она лежит вбок, а не как у всех и типа лучше оставить как есть, с ёбаной пустотой вместо зуба.
Может лучше обратиться к спецу пока время есть? Сколько времени надо, пока там всё окончательно не зажило?
Аноним 22/03/17 Срд 17:26:10  587017
>>587012
Погугли что такое имплант, его не надо за что-то цеплять, это просто саморез в твоей десне, на который приделывается зуб.
Аноним 22/03/17 Срд 17:30:29  587020
>>587017
Дак я гуглил вчера и знаю про эти саморезы, но вдруг у него были основания так сказать или же он просто мудак.
Аноним # OP  22/03/17 Срд 19:49:21  587122
>>586864
читай шапку.

>>586866
Не влияет. Можно

>>586923
Микропространства\нарушение герметизма. Аэробная микрофлора.

>>587012
Видимо он о чем-то своём, а не о твоём вопросе.
Заживет- поставишь. Новая кость той же структуры образуется на 3-6й месяц. Ну или щас ищи и на консультацию где ставить будешь.
Аноним 22/03/17 Срд 20:49:50  587146
ок. надела брекеты верхняя челюсть. прошло 2 месяца. зубы как не родные. как-будто их лешили нервов. что блин нитак или норма?
Аноним # OP  22/03/17 Срд 20:52:22  587147
>>587146
Почему бы не задать этот вопрос доктору, который тебя лечит и которому ты отбашляла кучу денег?
Аноним 22/03/17 Срд 20:58:48  587149
>>587147
вот хочу сначала в дваче
Аноним 23/03/17 Чтв 00:08:59  587202
Снимок.PNG (194Кб, 370x227)
Аноны, подскажите. Заметил у себя на клыке небольшую точку черную (на пике отмечена красным, картинка из инета). Если ее хуярить зубочисткой, то совсем чуть чуть чувствуется боль. Так вот, скажите, что мне будут делать? Шлифовальной машинкой счистят немного или пломбу уже ставить? И если пломбу - это в бесплатной делается поликлинике?
ХАЛП Аноним 23/03/17 Чтв 00:59:16  587212
IMG2017-03-2300[...].jpg (431Кб, 1920x1080)
Доктор, я буду жить? несколько дней назад поел недоварённого мяса, после этого как обычно бывает оно застревает в зубах и воспаляется десна. Но в этот раз опухлость десны затянулось на несколько дней. Стало больно жевать левой челюстью. Там, где мышцы кароч. Сейчас сфоткал рот, там еще ощущается шероховотасть и ямка, что ли какая то.
Аноним 23/03/17 Чтв 01:04:09  587213
>>586923
Разве перед тем, как пломбируют, из полости под пломбу абсолютно все лишнее вычищают и стерилизуют её? Что-нибудь для еды остается или слюна попадает и все, колония под пломбой будет жить. И процветать. Не всегда, конечно, но шанс есть.
Аноним 23/03/17 Чтв 04:43:42  587243
Сап, аноны. У меня есть убитый второй премоляр с удаленным нервом, который заделан временной пломбой уже больше года. Врач, когда его заделала, сказала "Походи так полгода где-то, чтобы убедиться, что болеть не будет. Потом штифт ставить будем." Да, зря я пошёл в гос. Стоматологию. Ещё и врач плохой. Но это был мой первый опыт обращения в стоматологию. За это время пломба нехило так подточилась, хоть я и старался не жевать на этой стороне, и держится она, наверное, уже на сопле. А сам остаток этого зуба уже подгнил или что-то типа этого, в общем на нём края почернели. Да, я - мудак. Запустил. Понимаю, что восстановить его уже вряд ли можно и стоматолог скажет, что только удалять. Но он находится в таком месте, что другие зубы начнут съезжать на его место, поэтому нужно сразу вставлять имплант - а этого позволить я себе пока не могу.
Собственно сам вопрос: Можно ли попросить врача не удалять его, а как-нибудь залатать на время покрепче пломбой (новой или укрепить старую, если так вообще делают), при условии, что пользоваться я им не буду. Главное - чтобы он был пока на своём месте. В плане боли он меня не беспокоит - нерва-то нету. Согласится ли на такое врач или пошлёт меня куда подальше и скажет удалять?
Аноним 23/03/17 Чтв 06:11:36  587247
Лечится ли кариес спиртом, трихополом, хлоргикседином?
Кариозная 8ка плохо чистится, можно ли бороться с бактериями, прикладывая тампон с каким-нибудь антисептиком?
Аноним 23/03/17 Чтв 08:35:50  587256
как вы относитесь к тайским зубным пастам? купил одну,очищает хорошо,зубы гладкие и заметно,что отбеливает немножко. беспокоит состав(его там не полностью указывают) и можно ли такой постоянно пользоваться.
Аноним 23/03/17 Чтв 09:52:56  587276
Как быстро готовится протез?
Есть ли вообще у стоматологов тулзы, которые могут быстро сделать копию ключа, пока поциент в отрубе?
Аноним 23/03/17 Чтв 16:27:56  587383
Зуб с отколотой боковой частью можно как-то довести до своей первоначальной формы?
Аноним 23/03/17 Чтв 17:08:20  587399
>>572041 (OP)
Что за бадяга сейчас, а не лидокаин. Или это только мне попадается? Действует на полчаса. После первого зуба (пару лет назад) у меня дома еще часа 2 было все онемевшее. А последние разы еще домой не пришел, а уже все отошло.
Аноним 23/03/17 Чтв 17:38:00  587407
>>587383
Винир. Если что, могу посоветовать хороший частный стоматологический кабинет в екб местным.
Аноним 23/03/17 Чтв 18:04:36  587413
>>587256
Отбеливающие средства - это замкнутый круг, пигментируются зубы потом гораздо легче, так что нужно бросать курить, пить чай кофе и есть ягоды.
Аноним 23/03/17 Чтв 18:50:34  587429
>>587399
Врач может регулировать дозировку. Зачем тебе анестезия дома? Главное чтобы у врача ничего не чувствовал.
Аноним # OP  23/03/17 Чтв 20:51:49  587481
>>587212
то что справа кружком - это рельеф нёба. Это норма. А то что у тебя слева в кружке какие-то следы - это не ок. Сходи к стоматологу , пусть посмотрит все во рту и оценит.

>>587213
>и стерилизуют её?
Погугли, что такое стерилизация. Дезинфекция это потолок, которого можно добиться.

>>587243
>заделан временной пломбой уже больше года
>Походи так полгода
Точно стоматолог плохой? Вроде он тебе зуб собирался спасать, штифт ставить. Логика заебись.
Если ты аутист и гуляешь с времянкой больше назначенных полугода , то у тебя в кабинете могут и аппендикс вырезать. язык из жопы достаешь и общаешься с доктором. Спрашиваешь перспективы и просишь не удалять. Оставит "законсервированный" корень , потом удалят и туда имплант вкрутят. Но вообще ты еблан и мразь, которая потратила время доктора , который возился и делал эндо. Забрал время другого пациента. Короче ты мудак если честно.

>>587247
Нет.

>>587413
откуда такая инфа?

>>587256
Как к говнотовару, которым баружат на авито домохозяйки. Но если нравится, то упарывай. Обычной пасты мне лично заглаза хватает.

>>587276
>Как быстро готовится протез?
какой протез? Руки ноги челюсти зуба? В стоматологии дохуя протезов разных срок изготовления разный.

>быстро сделать копию ключа
В металлоремонт и "изготовление ключей" сходи.

>>587383
Можно.

>>587399
Это кагбе норма для него.

>>587407
Ты не видел зуб, и боковая стенка и рекомендуешь винир? Блиать.... йоб твою мать...


Аноним 23/03/17 Чтв 21:21:09  587494
>>587202
Бамп
Аноним # OP  23/03/17 Чтв 21:44:28  587498
>>587494
Фотиком у телефона религия не позволяет? Да поставят тебе пломбу и отправят.
Аноним 23/03/17 Чтв 21:56:45  587504
5130silverenl.jpg (42Кб, 800x600)
>>587498
Это говно фоткать нормально не умеет.
Бля, пломба на лицевой стороне зуба?! Пизда. Она ж сразу будет выделяться. А обычной шлифовкой (или как это называется) нельзя будет обойтись?
Аноним 23/03/17 Чтв 23:05:03  587534
>>587481
Блин, я думал тут стоматологи сидят, ну ок пойду завтра в больничку смотреть, что это за высыпания. Хотя я думаю на герпесный стоматит похоже, до этого только на губах был.
Кружочки-кун
Аноним # OP  23/03/17 Чтв 23:39:00  587542
>>587504
погугли "реставрация зуба". А потом посмотри на свою "точку". и подумай будет заметно или нет. Ну и хуй знает что у тебя за точка. Мб просто зуб ебанулся , а там просто пигмент. Тогда только почистить и всё. Короче как и все остальное в медицине - точно скажут только при очном осмотре.

>>587534
В больничке скажи, что в инете просил помощи и обиделся , т.к. послали на очный осмотр. Они поржут и пальцем у виска покрутят.

>на герпесный стоматит похоже, до этого только на губах был.
Мб и герпес. Но я ж не знаю, а ты мне полный анамнез не написал. Да и мне его собирать как-то лень. между нами - иногда врачи отправляют к онкологам. Ну в смысле когда ты в кресле сидишь, а они видят хуйню непонятную и отправляют провериться "А не рак ли это случаем". Ну человек конечно ссытся такого. Но тем не менее. Но это ИРЛ, там и потрогать и посмотреть можно и опрос устроить легко. А теперь представь , что ты в инете совета спрашиваешь.
Аноним 24/03/17 Птн 01:21:28  587563
>>587481
> >Как быстро готовится протез?
> какой протез? Руки ноги челюсти зуба? В стоматологии дохуя протезов разных срок изготовления разный.

> >быстро сделать копию ключа
> В металлоремонт и "изготовление ключей" сходи.
Я не просто так хуйню спросил, вопрос криминальный. Помню, мне делали коронку, в рот вставляли какой-то "пластилин", чтобы сделать слепок, по которому потом делали коронку. Вопрос: можно ли за короткое время (15мин) такими вот средствами и тулзами, которые есть в современной стоматологической клинике, сделать слепок ключа?
Аноним 24/03/17 Птн 01:28:06  587564
>>587563
А ты кому-то в клинике ключ в руки передавать собрался?
Аноним 24/03/17 Птн 01:35:20  587566
>>587429
Да в том и дело что когда меня вызвали оно отходить начало. Чувствовал прилично.
Аноним 24/03/17 Птн 02:45:40  587575
На верхней восьмёрке выпала здоровеная сука пломба , и терь дыра а кратер уже несколько дней. Но не болит нихуя, не помню удалял ли корни, суть у той которой я лечусь запись чуть ли не на неделю в перед , стоит ли ждать или мне лучше бежать к первой попавшей, все равно это пизда мне платной все делает. Уже несколько дней прошло, а я все забывают ей позвонить.
Аноним 24/03/17 Птн 04:31:47  587586
>>587575
А ещё меня печалят то что я молодой , а мне 26 лет, а лет пять назад я успел рроебать две семерки нижние просто я их не лечил долго. Пришёл к врачу а там два больших кратера нахуй. И типо удаляй, сейчас читаю интернете и понимаю что их можно было сохранить. Нахуй я их удалил? Ведь зубы не болели ну просто да большие дырки. Боядт жалко их , без зубов буду совсем скоро.
Аноним 24/03/17 Птн 07:24:14  587602
>>587481
>откуда такая инфа
От моего стоматолога.
Аноним 24/03/17 Птн 10:06:01  587632
>>587564
В куртке был.
Аноним 24/03/17 Птн 11:33:55  587659
>>587632
Ууу, теперь у Них есть ключ от квартиры где деньги лежат. Тут рядом тред есть, тебе туда, парень.
Большинство стоматологий сделают так чтобы ты им сам все до последней копейки принес, ебанько.
Аноним 24/03/17 Птн 11:58:51  587668
TEETH2.png (222Кб, 646x229)
Советуйте мне, ставить брекеты или нахуй их?
Аноним 24/03/17 Птн 13:30:13  587689
>>587012
Прошло уже два дня, а та часть, где должен был быть 7й корень гудит люто, что аж на щеку переходит, не знаю как описать ощущение, но точно еще и побаливает. Это нормально или лучше пиздовать к врачу раньше назначенного срока в неделю?
Аноним 24/03/17 Птн 15:48:13  587737
>>587659
> Ууу, теперь у Них есть ключ от квартиры где деньги лежат. Тут рядом тред есть, тебе туда, парень.
> Большинство стоматологий сделают так чтобы ты им сам все до последней копейки принес, ебанько.
Уже не лежат, блядь. Я подозреваю, что ключ кто-то скопировал, а не брутфорсил. Тредом я не ошибся, только тут, видимо, сидят мимокроки, не могущие в простой вопрос. Если бы ты был дантистом, а не мимокроком, ответил бы, не выебываясь, подходят ли ваши тулзы для черных дел в руках всяких с странных пидоров, достаточная ли у них точность, реально ли снять слепок ключа.
Аноним 24/03/17 Птн 15:53:39  587739
>>587659
> Большинство стоматологий сделают так чтобы ты им сам все до последней копейки принес, ебанько.
Не знаю, не помню, чтобы платил больше 3к вообще
Аноним 24/03/17 Птн 19:35:41  587794
6NA-qwMhtzk.jpg (81Кб, 826x286)
4500 в гос клинике приемлимая цена за лечения кариеса 4х нижних зубов?
родион родя !YzjctMqyEA 24/03/17 Птн 20:27:43  587801
>>587794
Я столько в среднем за 1 зуб с кариесом отдавала. В частной правда. Так что да, я думаю. Хотя всё зависит от стадии.
Аноним 24/03/17 Птн 20:28:36  587802
Бля, трипак ебучий.
Аноним # OP  24/03/17 Птн 22:17:26  587829
>>587563
> Вопрос: можно ли за короткое время (15мин) такими вот средствами и тулзами, которые есть в современной стоматологической клинике,
Изъясняешься ты пиздец короче. Да, можно сделать слепок и захуярить по бырику коронку. Но это временная коронка, у которой малая прочность, не высокая эстетика и не очень такой герметизм. А могут тебе коронку и на станке отфрезировать прямо на месте. Но ждать придётся подольше. Около часа . Ну и заплатить соответственно не 5к. Но это уже постоянная коронка, которая моделируется на компе, фрезируется аппаратом, а потом тебе её ставят и ты с ней уходишь.

>>587575
Не ебу че там во рту, но я б удалил их.

>>587586
В интернете много чего написать могут. А можо было ли спасти твои - вопрос.

>>587602
Делал себе 2 отбеливания. Зубы не стали быстрей пигментироваться. Как раньше попивал лайтово чаёк, кофе и красящие продукты, так и продолжаю. После отбеливания выдерживал неделю диеты.

>>587737
>подходят ли ваши тулзы
> реально ли снять слепок ключа
Блять, научись ты в человеческий язык, поехавший. Какие тулзы, какие слепки ключа? Слепок зуба\зубов\челюсти. НЕ КЛЮЧЕЙ. Понимаешь? Есть силиконовый ключ. Но не слепок ключа.

Аноним 24/03/17 Птн 23:46:14  587848
25-03-23-2017.jpg (974Кб, 1536x2048)
IMG201703221045[...].png (1608Кб, 1024x768)
Аноны, только сейчас понял, что 1.5 года ношения брекетов это хуйня по сравнению с ношением 3 тяг, 2 из которых которые зигзагом на 3 зуба из-за которых невозможно открыть ротельник, да даже облизать губы нереально, а они пересыхают пздц. Попробуйте ради фана хотя бы час посидеть не облизывая губ, получите охуительное удовльствие.
Аноним 25/03/17 Суб 09:31:38  587911
IMG201703242329[...].jpg (233Кб, 720x960)
IMG201703242324[...].jpg (2171Кб, 2448x3264)
IMG201703242327[...].jpg (184Кб, 960x944)
IMG201703242327[...].jpg (2090Кб, 2448x3264)
Че с языком? Это же не нормально
Аноним 25/03/17 Суб 10:39:03  587919
>>587911
язык чистишь?
как с иммунитетом? это похоже на кондиломы
Аноним 25/03/17 Суб 10:52:20  587922
>>587919
Сижу, когда как
Белые хрени на языке не постоянно
Аноним 25/03/17 Суб 10:54:45  587923
IMG201703250053[...].jpg (2113Кб, 3264x2448)
IMG201703250053[...].jpg (1483Кб, 3264x2448)
>>587919
Вот две фотки прямо сейчас сделаны
Аноним 25/03/17 Суб 10:55:21  587924
>>587922
>Сижу
Чищу
Желаю смерти тому кто изобрел Т9
Аноним 25/03/17 Суб 11:14:09  587929
>>587919
И да, я привит от двух форм HPV
Аноним 25/03/17 Суб 11:22:50  587931
>>587929
а к врачам обращался? что они говорят?
Аноним 25/03/17 Суб 11:24:01  587932
>>587931
Пока не обращался
Аноним 25/03/17 Суб 11:30:53  587935
>>587931
Я думаю это географический язык
Аноним 25/03/17 Суб 15:56:19  587995
>>587848
Гигиеническая помада
Аноним 26/03/17 Вск 03:24:33  588171
>>587848
как кушаешь то?
Аноним 26/03/17 Вск 04:33:00  588179
>>585342
Сходил в районную к дежурному. Он постучал по зубам (больно не было) и послал к пародонтологу, который, блядь, на больничном. А сегодня пиздец аж вся правая часть головы болела, чуть не сдох. Такие дела.
Аноним 26/03/17 Вск 05:00:32  588181
>>588179
РоSSийская медицина.
Аноним 26/03/17 Вск 10:43:45  588214
>>588171
я их только на ночь одеваю, ебал я их целый день носить
>>587995
ну эт понятно, просто психологически попробуй хотя бы час просидеть с сомкнутым ртом не приоткрывая дажи.
Аноним 26/03/17 Вск 17:58:50  588292
перекат пилите
Аноним 26/03/17 Вск 18:48:06  588301
Разрушились несколько зубов (жевательные снизу слева и справа по бокам до состояния торчащего одинокого куска зуба, и сверху 3 от клыка слева и 2 от клыка справа) без боли, был в такой ситуации что не было возможности зайти к стоматологу, переодически к вечеру (раз в месяц) начинают побаливать, но вообщем то ничего такого в видео боли нет.
Что с ними делать, сколько будет стоить, и насколько больно это все будет?
Аноним 26/03/17 Вск 22:32:20  588372
как чистить зубы электрощёткой? много крови из дёсен
Аноним 27/03/17 Пнд 19:32:46  588702
ипохондричная ебанашка на связи. поставила брекеты на верхнюю челюсть. После активации второй дуги зубы начали хрустеть при надавливании, а потом стали как не свои. вопрос: могли ли перетянуть и повредить нервно-сосудистый пучок и как это проверить, чтобы дальше не паранойить?
Аноним 28/03/17 Втр 04:04:56  588853
Пиздец, долбоеб на видео. Что он, блеать, советует?! Этой техникой можно самому себе дёсна к хуям проебать! Поправьте меня, если не прав. Но все же я прав.https://www.youtube.com/watch?v=zIJvqkj8c0s
Аноним 28/03/17 Втр 05:36:41  588868
>>588853
Именно. Вообще, слушая советы стоматологов нужно все делать наоборот, потому что нездоровые зубы и десны - хлеб этих пидорасов, вот и дают советы, чтобы самим потом навариться.
Аноним 28/03/17 Втр 17:07:23  589050
Привет медач, решил ставить зубную коронку металлокерамика, мне посчитали 1 зуб=20 тысяч, я просил почему так дорого-мне ответили, мол надо ставить Мост и два штива. Обьясните мне в чем необходимость ставить мост и два штива на одну коронку?
Аноним 28/03/17 Втр 19:59:17  589095
Только более менее вернулся в этот мир после похода к стоматологу. Удаляли вторую лежачую восьмерку. Первую удалили еще пару лет назад, долго копались пиздец, но таки вытянули за раз. В этот раз ситуация интереснее. Проблем со страхом не испытываю, но в этот раз было как-то не по себе. В итоге после укола обезбаливающим и начала процедуры начался пиздец. Он уже разрезал десну и как-бы пытался вытянуть зуб, но все пошло не так. Вначале я начал нехило потеть, потом потихоньку начали затекать конечности. Я об этом сразу начал говорить, и мне начали вводить кофеин и еще какую-то хрень. Но это не помогло. Ко всему еще добавилось потемнение в глазах и явное ощущение что я сейчас вырублюсь, о чем опять же я спокойно сказал доктору, все это время давление стремительно падало, но дыхание было ровным, и я в целом отдавал себе отчет в том что происходит. Когда давление упало до 60 мне вкололи адреналин, ну и начался хардкор, впрочем что и должно происходить при уколе адреналина. Давление поднялось до 150, треш угар содомия, но в итоге отпустило и меня вернуло в нормальное состояние, кроме конечно неприятных последствий адреналина. В итоге приехала скорая, проверили давление посмотрели на меня, спросили че кололи, махнули рукой и уехали. Вопрос что это было такое? Каков был шанс помереть, и что теперь делать? Ведь мне зуб не удалили. Сказали пойти сдать анализ на аллергию к анастетикам. А по сути че произошло мне не сказали. Теперь даже не представляю как спокойно закончить начатое. Реально стуканул по психике этот случай нормально так.
Аноним 29/03/17 Срд 00:22:01  589220
>>589095
Прежде чем спрашивать здесь, ты не додумался погуглить про аллергии?
Аноним 30/03/17 Чтв 19:11:48  590011
>>588292
Тут вот в чём дело, пришёл стоматолог и давай в новом треде отвечать на вопросы, может, туда все пойдут? https://2ch.hk/me/res/588321.html
Аноним 01/04/17 Суб 12:51:51  590667
>>579529
Бамп вопросу.
Тоже юзал рокс около 2ух месяцев, не особо помогает. Только унимает зудец на время.
Хочу заказать Нанофлюор, есть у кого опыт по нему? На сколько его хватает, может мне сразу два комплекта купить.
Впрочем, вряд ли кто-то ответит, и наверно куплю два.
Может кто нибудь ещё что-то посоветует? Сверлить зубы пока не хочу, у меня некий начинающийся кариес + чувствительные зубы, хочу сперва зубы укрепить.
Аноним 02/04/17 Вск 17:56:00  591008
IMG201704022140[...].jpg (22Кб, 477x375)
За шестеркой забилось что-то, ниткой не могу достать, только больно становится, придется ли к врачу идти, самому никак?
Аноним 02/04/17 Вск 23:50:59  591120
zuby-mudrosti[1].png (113Кб, 600x469)

Что скажите про государственные стоматологические поликлиники в ДС?

Все прямо хуево?
Если договориться, то нормально сделают?
А если официально через кассу, лучше сделают?
Аноним 03/04/17 Пнд 08:49:39  591178
Посоветуйте обезболивающее. Парацетамол нихуя не помогает. 37 после лечения.
Аноним 03/04/17 Пнд 22:57:38  591409
>>591120
В ДС оборудование почти везде относительно новое, но работают там старые бабки, которые сносно делают в обход кассы
>>591008
Зубочистками не ковыряй
Аноним 04/04/17 Втр 01:36:32  591444
.png (96Кб, 277x222)
Я сейчас еду между щекой и зубами убирал пальцем, нащупал сверху в глубине по обе стороны то ли новые зубы, то ли их корни. Из десны буквально на пару миллиметров выступает что-то острое. Если нажать пальцем, то чувствуется будто зуб тянет (но я не знаю какой - седьмой или не выросший восьмой). К стоматологу пока нет возможности сходить. Копить бабло на удаление зубов мудрости или че?
Аноним 04/04/17 Втр 09:15:34  591479
>>591444
сделай рентген и попали че там.
Аноним 04/04/17 Втр 15:17:02  591584
>>591409
>Зубочистками не ковыряй
Уже пробовал, нихера кроме крови не достал.
Аноним 06/04/17 Чтв 14:37:52  592215
Через час иду удалять пятёрку в бесплатную клиннику и видимо с отечественной анастезией. Это больно? Сколько заживать будет? Кариес-Дырка-Всё к хуям раскололось гранулёма кладбище, не болит.
Аноним 06/04/17 Чтв 17:53:12  592291
Чтобы не плодить трэды, спрошу здесь.

Есть у меня такой симптом: когда жую еду, постоянно кусаю себя за губу с внутренней стороны, т.е. внутри полости рта нутыпонел Причём кусаю всегда в одном месте, там уже образовалось что-то типа язвы. Хотелось бы выяснить:
- что это может означать?
- как перестать кусать себя?
Аноним 06/04/17 Чтв 21:17:58  592354
РЕЗЕКЦИЯ ВЕРХУШКИ КОРНЯ ЗУБА
Опишу тут свой опыт, может кому пригодится. Ну и вопрос задам напоследок.

С чего началось. Началось с дырки в коренном зубе. Как она появилась я не помню, вроде выпал кусок пломбы распидорасив зуб. С этой дыркой я ходил года два постоянно откладывая лечение - не болит и ладно. Единственное неудобство - еда постоянно там застревает, приходилось обмазываться зубочистками.

Привело это все к тому, что в один прекрасный день зуб накрыла неебическая боль. Выпил обезболивающего, на следующий день к стоматологу. Диагноз заключался в попадании инфекции в корень зуба. Лечение заключалось в удалении корня зуба и установки пломбы. После установки простейшей пломбы, спустя пару дней, на очередном осмотре стоматолог постучала по этому зубу металлической хреновиной - больно. Спустя очередь умозаключений, сопровождаемых парой рентгеновских снимков, было принято решение - отправлять меня на операцию по удалению верхушки корня зуба, она же - резекция верхушки корня зуба, она же - Resection of root apex.

Операция заключается в проделывании дыры в десне и челюстной кости, вынимания гнойного "шарика" из области корня зуба, засовыванием кости-формирующего состава в эту дырку, зуб и все прочие новые отверстия, зашивание десны и очередное пломбирование зуба (да, его сначала опять "открывают").

Все это дело заняло минут 30-40, 5 из которых - ввод анестезии и ожидание ее эффекта. Дальше тряпка на лицо, открывающая только рот, звуки бормашины и прочего медицинского инструмента. По большому счету, напрягает только осознание процесса, вибрации, и в какой-то момент я таки почувствовал это "ковыряние" в десне. До сих пор противно при мысли об этом. Спустя минут 15 после начала операции началась вторая часть - все то же самое, но со стороны языка (или нёба в моем случае). Потом пломбирование и наложение швов. После этого только очередной рентген.

На выходе мне выдали рецепт на сильное обезболивающее, и небольшую записку-напоминалку о том что два(!) дня(!) нельзя курить, пить алкоголь, употреблять в пищу молоко, черный чай, кофе и сильно-сладкие продукты, после чего отправили домой.

Дома сразу же выпил обезболивающие и уебался спать.

А ТЕПЕРЬ ВОПРОС:
я не знал что запретят молоко и сыры и затарился кучей йогуртов, растишек (кальций хуле..) и растворимых супов, чтобы пить их через трубочку. Теперь с этим полный облом, или нельзя только молоко в чистом виде, а всякие йогурты можно?

Да и вообще что можно есть то? Картофельное пюре с макаронами на гарнир как-то немного расстраивает.
Что на счет роллов? Они вроде довольно мягкие?

Тред мягко пищи, иди
Аноним 08/04/17 Суб 19:12:37  592824
Поставили пломбу на зуб недели две назад, теперь ощущаю все горячее и холодное. Идти перелечивать?
Аноним 10/04/17 Пнд 07:36:26  593247
Зубаны, а вы часто сладкое едите? Рот полоскаете после еды? Зубы сколько раз в день чистите? Нитью пользуетесь? Может, дело не столько в генетике, сколько в пищевых и гигиенических привычках?
Аноним 10/04/17 Пнд 09:55:50  593260
images (4).jpg (4Кб, 192x263)
Эх ребят, запустил я свои зубы, 11 лет не был на приёме, в конце марта таки начал, врач проиграл как сука с моего рта т.к Ссыкотно что из за поломанных зубов что то по-серьезней со мной произойдёт, а так же с людьми говорить стесняюсь, постоянно хожу и гружусь по этому поводу.
Аноним 10/04/17 Пнд 14:43:24  593332
Парни, стоматолог в военкомате диагностировала короткую уздечку языка, где в Питере относительно недорого и качественно можно ее подрезать?
Аноним 10/04/17 Пнд 17:16:38  593409
1.jpg (56Кб, 500x348)
2.jpg (29Кб, 456x263)
3.jpg (45Кб, 640x355)
Здравствуй, зубач.

Уже очень давно думаю исправить зубы, но никак не решусь. Не в последнюю очередь из-за того, что не знаю, куда именно идти. Клиник много, врачей еще больше.

Проблема как на пике - диастема, плюс неправильный прикус. Жить не мешает, беспокоит эстетика. Сейчас 25 лет, столько времени уже упущено, дальше тянуть совсем нет желания.

Кто подскажет, где в ДС-2 хороший ортодонт? Желательно на юге, московсий-ленинский-славы, но не принципиально.
Аноним 11/04/17 Втр 01:35:27  593570
>>593332
мне по направлению бесплатно сделали в муниципалке, но там реально минутная херня
Аноним 12/04/17 Срд 14:34:47  594141
>>578475
кто-нибудь знает, это диастема?
Аноним 12/04/17 Срд 15:09:23  594151
Сап. 2 года назад сняли брекеты. Теперь хожу в каппах. Заметил одну вещь , очень обильно выделяется слюна. Стоит сказать несколько предложений и вся полость рта в слюне. При разговорах приходится постоянно глотать слюну. В чем проблема?
Аноним 12/04/17 Срд 17:21:50  594190
сууууууука опять дырки, ебать, да я разорюсь с этим говном. 22 года, у уже нет ни одного целого зуба пиздей.
Аноним 14/04/17 Птн 05:41:37  594649
Вопрос к стоматологам! Чем отличаются платные пломбы от бесплатных? Стоит ли экономить? Если что, вопрос про Мухосрань 1млн населения.
Аноним 14/04/17 Птн 06:10:29  594650
>>594649
По опыту скажу - не стоит.
Аноним 14/04/17 Птн 19:36:08  594884
Когда ставил пломбу на верхнюю восьмёрку , стоматолог когда в конце подтачивает пломбу под прикус и чтоб не мешало, так вот как мне кажется я слишком увлёкся и стоматоша мне стачил немного больше чем надо. Как думаете эту хуёво или на это не стоит обращать внимания?

[Назад][Обновить тред][Вверх][Каталог] [Реквест разбана] [Подписаться на тред] [ ] 577 | 63 | 203
Назад Вверх Каталог Обновить

Топ тредов
Избранное