[Ответить в тред] Ответить в тред

02/12/16 - Конкурс визуальных новелл доски /ruvn/
15/11/16 - **НОВЫЙ ФУНКЦИОНАЛ** - Стикеры
09/10/16 - Открыта доска /int/ - International, давайте расскажем о ней!

Check this out!


Новые доски: /2d/ - Аниме/Беседка • /wwe/ - WorldWide Wrestling Universe • /ch/ - Чатики и конфочки • /int/ - International • /ruvn/ - Российские визуальные новеллы • /math/ - Математика • Создай свою

[Назад][Обновить тред][Вниз][Каталог] [ Автообновление ] 29 | 3 | 12
Назад Вниз Каталог Обновить

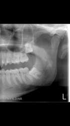
Сап медач. Релейтед — снимок моих зубов. Очень Аноним 31/01/17 Втр 23:04:55  567459  
tmp19690-Screen[...].png (621Кб, 1080x1920)
Сап медач.
Релейтед — снимок моих зубов.
Очень хочется узнать, это зубы мудрости причиняют такой лютый дискомфорт?
Из-за них остальным не хватает места и всё перекосилось?
Верхний уже в гайморовой пазухе?
Какие будут подводные камни, если их удалят?
Аноним 01/02/17 Срд 01:33:41  567520
Ох ебать, снимок почти как мой. Тупо пиздуй и удаляй как можно быстрее, да, зубы искривлены из-за растущих восьмёрок, а потом будет ещё хуже, вплоть до того, что может встать необходимость установки брекетов. Я сам тянул, пока не почувствовал, что восьмерка реально давит. Удалил недели 2 назад, всем доволен, десна ныла первые 5 часов, потом лёг спать и на следующий день нихуя не было нужно, даже анальгетик купил впустую получается, лол
Аноним 01/02/17 Срд 09:26:06  567572
>>567520
Спасибо, анон, немного успокоил.
Брекеты мне давно нужны, собственно, ради них я и пошел в клинику.
Реально стрёмно, если что-то пойдёт не так, например, я тут начитался о перфорации гайморовой пазухи и последствиях...

А было больно при удалении?
Тяжело от наркоза отходить?
Сам доберусь домой, после процедуры?
Аноним 01/02/17 Срд 11:24:26  567601
>>567572
Неприятно при введении анестетика в десну, немного неприятно, когда пилили и ковыряли зуб. Слабость была после удаления, сам доберешься, думаю, если не совсем рахит
Аноним 01/02/17 Срд 16:15:00  567692
>>567572
Судя по снимку там тебе нехилое дупло сделают, прежде чем вырвать его (нижний), ыыыы
Аноним 01/02/17 Срд 21:03:50  567782
>>567459 (OP)
Не боись, дружище - были у меня целых две таких нижних восьмерки - одну удалил лет 12 назад, вторую - только в этом году. Если честно - пздц процедура, но главное - реабилитационный период. У меня восьмерка лежала на нерве, после удаления пропал вкус с левой стороны. Ну то есть анестезия отпустила, чувствительность вернулась, холодное-горячее - все в норме, а вкусовые рецепторы оказались отключены. Я чуть кирпичей не выложил от впечатлений. Длилось месяца три, потом начало покалывать слева, перешло в как бы прострелы в десне - вкус полностью восстановился в итоге. Зато теперь с зубом мудрости проблема навсегда решена. По поводу верхней - обычно намного проще их удалять, но у тебя она неритинированная, придется десну разрезать, похоже.
Аноним 01/02/17 Срд 21:06:21  567784
>>567572
Первую нижнюю удаляли в "совковой" поликлинике, какой-то коновал вырвал - больно было шопиздец. Три раза колол, ни хрена не брала анестезия. Пару дней температурил. Вторая в разы легче прошла - хотя удаляла хрупкая дама. Видимо, не в силе дело, а таки в квалификации.
Аноним 01/02/17 Срд 21:10:34  567787
>>567784
Лучше таки заплатить и сделать всё качественно, реально, с зубами и деснами шутить не стоит - в совковой тебе могут занести инфекцию какую-нибудь, начнется пиздецома такая, что будешь потом только на лечение её работать.
Аноним 01/02/17 Срд 21:15:22  567789
>>567787
Ну я по наивности просто попал тогда к терапевту на прием, а тот отказался удалять - мол, квалификация не та - и направил к хирургу. А я сдуру пошел. Я еще застал настоящую совдеповскую бормашину - ыыы - один из зубов ПО-ЖИВОМУ БЛЕЯТЬ пломбировали и удаляли нерв. Помню даже обстановку в кабинете до сих пор и какой был день и даже погоду за окном. Ну его нахер такой опыт.
Аноним 01/02/17 Срд 22:17:56  567814
>>567601
Сколько времени заняло?
Аноним 01/02/17 Срд 22:19:49  567816
>>567692
Тогда, пожалуй, с верхних начну. От них куда больше неприятностей, особенно когда ем чувствуется
Аноним 01/02/17 Срд 22:29:53  567818
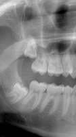
tmp18296-Screen[...].png (788Кб, 1080x1920)
>>567782
Вот вторая.
Дёсна везде придётся резать.
Я этого не особо боюсь, самое главное чтоб корни никуда не затолкали.
И челюсть не выломали, лол.

Вообще задумываюсь, стоит ли их все вырывать...
Аноним 01/02/17 Срд 22:30:23  567819
tmp18296-Screen[...].png (788Кб, 1080x1920)
>>567782
Вот вторая.
Дёсна везде придётся резать.
Я этого не особо боюсь, самое главное чтоб корни никуда не затолкали.
И челюсть не выломали, лол.

Вообще задумываюсь, стоит ли их все вырывать...
Аноним 01/02/17 Срд 22:33:02  567822
делай все сразу! а то потом на второй заход будешь оттягивать как я. один хрен после каждого раза мучатся 2 недели, питатся йогуртами через трубочку.

делай за раз и пиздец. если решишь делать за 2 захода, то обычно делают по одной стороне, чтобы можно было другой жевать.

боли вообще нет во время операции, после конечно ноет но на обезбаливающих терпимо. но у меня нижние вообще горизонтально были, десну резали и долбали прилично чтоб достать, у тебя может даже и резать не прийдется.

Аноним 01/02/17 Срд 22:35:14  567825
>>567784
>Видимо, не в силе дело, а таки в квалификации.
Думаю многое от самих зубов зависит
Аноним 01/02/17 Срд 22:55:48  567836
>>567822
Может ты и прав анон, очень бы хотелось избавиться от всех ублюдков сразу.
Звучит слишком радикально, но если ортодонт разрешит — соглашусь.
Однажды пережить и забыть, было бы охуенно.

Пошел выбирать себе блендер
Аноним 01/02/17 Срд 23:41:49  567846
>>567822
Не, лучше по одному - задолбаешься потом через соломинку все пить и есть с неоткрывающимся ртом. После удаления сильно будет болеть соответствующая сторона при открывании челюсти. У меня очень болела, вот так на одну сторону и жевал кое-как. Да вроде и стоматологи не рекомендуют сразу оба удалять.
Аноним 01/02/17 Срд 23:44:09  567848
>>567822
Читал где-то - вроде в Штатах под общим (Карл) наркозом такое делают. Слабаки и педерасы какие-то. Да и лучше контролировать ситуацию, мозгу меньше вреда в итоге. У меня лично были опасения не столько по самому удалению в процессе, сколько - не сломает ли хирург челюсть - уж очень мощные движения проводил, пытаясь вытащить зуб.
Аноним 01/02/17 Срд 23:46:26  567849
>>567846
Нихуя там не болело, лол. Не пугай ОПчанского
Аноним 02/02/17 Чтв 00:25:36  567854
>>567846
Врачи решат
Аноним 02/02/17 Чтв 03:29:04  567888
>>567520
Больно удалятт? Дорого?

У меня фобия докторов зубных
Аноним 02/02/17 Чтв 04:35:22  567893
>>567888
За 4к в местной клинике удалял, было малёха неприятно терпеть уколы анестетиков, дальше боль была по убывающей, нормасик, в общем
Аноним 02/02/17 Чтв 16:12:33  568029
>>567782
>Если честно - пздц процедура
прямо настолкьо больно?

пиздец я боюсь врачей, особенно стоматологов.

лет в 11 или 12 у меня в задних зубах(в двух врод бы, нижний слева и справа) были большие кариесные дырки, удаляли нервы. с анестетиком.
АДСКАЯ БОЛЬ БЫЛА, просто очень больно

мб анестетик плохой? а что насчет морфия? его нельзя?
Аноним 02/02/17 Чтв 16:14:39  568030
>>567893
А нервы трогали?

Мне >>568029 в детстве кололи некое обезболивающее - всё равно боль была ужасная, особенно когда какими-то супер-тонкими тонюююююююююююююсенькими, как хоботок комарика, иглами нервы трогали
Аноним 03/02/17 Птн 01:04:24  568202
>>568029
Да не, не столько больно, сколько себя жалеешь. Типа - что там они со мной такое делают. Если абстрагироваться - вполне терпимо. Не из той категории боль, когда просто орать остается от безысходности.
Аноним 03/02/17 Птн 01:09:25  568203
>>568029
Чувак, мне в 14 лет удалили нервы в трех каналах без обезболивающего (переходный период такой был в 90-х от советской к импортной технике). Ну почти обосрался в кресле, это да. Но самое смешное - спустя лет так 20 посыпас=лась таки эта пломба, я уже в современную клинику пришел, а там нашли, что был еще, сука, четвертый канал (редко, но бывает) - и его просто не заметили тогда. А я все эти годы что-то такое чувствовал на погоду - то кольнет, то стрельнет - списывал на показалось. Ни хера не показалось - там киста уже наросла за это время. Месяца два закладывали лекарства - выходили, короче, люди в белых халатах, за что им респект. Так что никогда не ходите в бюджетные клиники. Лично я лучше в рваных лохмотьях похожу, если денег нет, но на стоматологию все отдам - сколько бы ни стоило.
Аноним 20/02/17 Пнд 04:59:46  575061
ОП снова в треде.

Бампаю вопросом: заберут ли с таким в армию?
Аноним 20/02/17 Пнд 06:12:38  575068
>>575061
Безусловно.
Аноним 20/02/17 Пнд 12:44:52  575191
>>575061
А если случится неприятность, армейский зубодер удалит их тебе совершенно бесплатно.
Аноним 21/02/17 Втр 14:15:10  575611
>>575191
Двачую. Вырывала зуб мудрости мне милая дама в медицинском центре дивизии. Успокаивала, говорила, что все хорошо будет.
Потом три дня на УФЗ не ходишь.

[Назад][Обновить тред][Вверх][Каталог] [Реквест разбана] [Подписаться на тред] [ ] 29 | 3 | 12
Назад Вверх Каталог Обновить

Топ тредов
Избранное