[Ответить в тред] Ответить в тред

09/10/16 - Открыта доска /int/ - International, давайте расскажем о ней!
30/09/16 - BREAKING NEWS ШОК АБУ ПРОДАЛСЯ МЭЙЛУ (на самом деле нет)
25/09/16 - Персональное обращение Абу - СБОР ПОЖЕРТВОВАНИЙ НА ДВАЧ



Новые доски: /2d/ - Аниме/Беседка • /wwe/ - WorldWide Wrestling Universe • /ch/ - Чатики и конфочки • /int/ - International • /ruvn/ - Российские визуальные новеллы • /math/ - Математика • Создай свою

[Назад][Обновить тред][Вниз][Каталог] [ Автообновление ] 551 | 80 | 171
Назад Вниз Каталог Обновить

Стоматотред №3 Аноним 31/08/16 Срд 16:41:29  511739  
14726508893490.jpg (49Кб, 720x350)
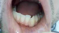
Делайте панорамный снимок!

Если у тебя что-то случилось - соизволь предоставить фото в НОРМАЛЬНОМ качестве.

Я до усрачки боюсь стоматологов, хочу под общий наркоз!
Такого лучше не делать, это дорого, вредно, опасно и мало кто на такое согласится.
Можем тебе посоветовать премедикацию, ты будешь в сознании, но с седативными препаратами внутревенно, это заметно уменьшит волнение, но это не бесплатно и для лечения кариеса не рационально, если у тебя не 6 дыр за раз делают.

Посоветуйте доктора в моей мухосране!
Не посоветуют тут тебе доктора, нас не настолько много чтоб знать всех докторов, обычно все ходят туда куда удобно, а не носятся по городу в поисках лучшего врача

У тебя щёлкает челюсть и ты не знаешь нормально ли это?
Нет, это не нормально, почти всегда это связано с неправильным прикусом. Тебе нужно отправится к ортодонту, скорее всего, он отправит тебя ставить брекеты.

У тебя болит половина челюсти и ты не знаешь с чем это связанно?
Вполне возможно, что у тебя лежачие зубы мудрости прут вперёд, определить точно это можно по панорамному снимку.
Если это так - однозначно удаление, если не удалить переебёт весь ряд.

Сложно ли удалять восьмёрки, можно ли удалить все за раз?
Если лежачие - сложно, за раз удалять охуеешь.

У меня кривые зубы и неправильный прикус, я хочу это исправить!
К ортодонту и ставь брекеты.

Хочу поставить брекеты, сколько это стоит, какие ставить и куда идти.
Идти к ортодонту, в гос клинику или к частному, разницы нет, цена не сильно разнится.
Ставить имеет смысл метал, всё остальное выебоны для приезжих.
Цены посмотри сам, но читай внимательно, одни пишут цену за весь курс обслуживания, а другие будут драть отдельно деньги за каждую смену дуги и за каждый визит.

У меня зубной камень/налёт, хочу почистить, куда идти?
В любую клинику, стоит не дорого, запороть невозможно.

У меня воняет из рта/налёт на языке, что я делаю не так.
Это может быть как и плохая гигиена ротовой полости с гниющими зубами, так и проблемы по части ЛОРа или ЖКТ, так что, вполне вероятно, тебе не к нам.

Хочу жемчужную улыбку, где сделать, чистка зубов отбелила не так как я хочу!
Отбеливание весьма вредная процедура и все будут тебя отговоаривать, но если уж совсем горит - частные клиники, там за дохуя денег тебя отмочат в перекиси.

У меня появился какой-то странный прыщик на губе/десне, что это?
Скорее всего это стоматит.
Аноним 01/09/16 Чтв 15:33:29  512045
14727332101890.jpg (314Кб, 1564x1146)
14727332101951.png (13Кб, 435x554)
Закачусь в новый тред. Мухосрань 300к, Антон 27ми лет планирует ставить брекеты уже лет 10 и вот наконец решился-накопил-всей семьей. Периодически буду добавлять, по ходу дела. Пока что краткая история:
Полгода назад залечил три кариеса, нарастил зуб от которого осталось меньше 30% с помощью стекловолоконного штифта. Встало в 10к за этот зуб и еще столько же за кариес. Удалил 8ку за 3000р, распидорасило пол-ебала, состояние было пиздец, думал подохну. И вот спустя полгода я нашел денег и кредитов на брекеты.
Вначале чистка, врач охуел, что за полгода наросло столько говна. В очередной раз мне сказали пользоваться нитью(но теперь с брекетами и не попользуешься). Сказали, что есть кариес.
Сегодня делал обий снимок. Хуй знает, как его описать, мне выдали диск с ним, там такая хуйня, что доктор может колесиком водить-приближать-отдалять и снимок меняется, как будто 3D или хуй пойми. Мне не во что диск вставить, лол, не могу посмотреть, что там. Доктор нашла 3(!) кариеса, 1 сверху справа, второй сверху слева и третий на соседнем зубе начинающий. Причем на том зубе, который я полгода назад восстановил-нарастил. С восьмерками пока что нихуя не делать сказала, но чую, что потом они вылезут криво. Она сказала, что они будут выходить "повернутыми". Пока что еще внутри десен они(верхние).
Самая жопа в том, что под нижней 6кой, под самым корнем у меня образовалась киста(если не путаю). Док показала на компе большую черную точку. Сам зуб с удаленными каналами 12 лет назад, сказала, что залупа тебе. Или удалять или находить какого-то стоматолого с микроскопом, разбирать зуб и пытаться чистить. Пиздец, блядь.
Короче, она мне поверила на слово, что до 15 сентября, за две оставшихся недели я заделаю свои верхние зубы и приду к ней на установку. Пока что отдал 500р+2000р+36кусков сразу за заказ верхних брекетов. Полностью расчитанную смету прикладываю к посту. Но вангую, что тут еще не посчитаны удаления зубов, которые явно будут.
Кароче я расстроен, блядь. Почему у некоторых гладкие ровные 28 белых зубов, а я каждый прием у стоматолога нахожу по 2 кариеса минимум? Пиздец, денег на жизнь не останется, все отношу туда.
Аноним 01/09/16 Чтв 15:35:10  512046
>>511745
Во, Антоша. У тебя первым в списке идет "с использованием микроскопа". Это что за хуйня, тебе для чего?
Аноним 02/09/16 Птн 20:51:47  512549
Где в ДС сделать голливудскую улыбку за дешево? *полный комплект - брекеты, импланты и пр.
Аноним 02/09/16 Птн 23:00:22  512587
14728464230520.jpg (18Кб, 453x236)
Привет, местные стоматологи! Что скажете? Коронки/виниры?
Аноним 02/09/16 Птн 23:30:55  512597
>>512045
> Док показала на компе большую черную точку. Сам зуб с удаленными каналами 12 лет назад, сказала, что залупа тебе. Или удалять или находить какого-то стоматолого с микроскопом, разбирать зуб и пытаться чистить.

Ну перелечит пусть каналы и на кальцее ведет. Какие проблемы? лол.
Тем более есть снимок, может посомтреть в срезе - есть перфо или нет.
а да, потом дочитал и понял, что это тебе кукарекала ортодонт. Тогда похуй на неё. Идешь к толковому терапевту, который чекает твой снимок , смотрит сколько каналов и пролечивает их. В течение года-другого вполе эта "ОГРОМНАЯ ЧЕРНАЯ ДЫРКА НА СНИМКЕ" можт схлопнуться и не останется следа.

Мне говорят что у меня ровненькие прямые зубы. но я то знаю , что это не так.

>>512046
Микроскоп сам по себе и есть. Доктор смотрит в такой аппарат, который настроен на твой рот. Т.е. не лезет тебе в рот всей головой.

>>512549
Глупый вопрос.

>>512587
Суть вопроса? Игра в угадайку? качество говно.
Коронки\виниры равноценны внешне.
Аноним 03/09/16 Суб 08:30:14  512648
14728806146190.jpg (989Кб, 1944x2592)
Суть понятна, надеюсь, сложно словить фокус. Не вовремя удалил криворостущие восьмерки, в следствии чего, те подвинули один передний. Прошлый стоматолог был дурак и не замечал их.
Двое стоматологов, у которых был после (один из них удалял), говорили, что после брекетов со временем зубы возвращаются в положение как были до и ортодонты разводят на даллары как могут. Говорили, что челюсть будет расти и должен встать на место сам (17 лет), если давить на него языком и пальцами двигать. Насколько это правдиво, а то время идет, а вдруг брекеты ставить чем раньше, тем лучше? Чернота - налет от слюны, не знаю как бороться.
Аноним 03/09/16 Суб 11:21:26  512681
14728908871110.jpg (138Кб, 590x885)
Аноним 03/09/16 Суб 17:45:59  512790
>>512648
>Чернота - налет от слюны, не знаю как бороться
На чистку
>что после брекетов со временем зубы возвращаются в положение как были до
Если не поставить ретейнер, то да. Ретейнер ставят нынче всем ебана
>если давить на него языком и пальцами двигать
Медицина уровня /me
Аноним 03/09/16 Суб 17:50:30  512791
14729142303980.png (24Кб, 666x849)
>>512597
>Ну перелечит пусть каналы и на кальцее ведет. Какие проблемы? лол.
Нарисовал, как мог. Под шестым зубом, под запломбированными стопицот лет назад каналами растет НЕХ. Каналы залиты цементом или чем там блядь мне заливали сто лет назад.
Ортодонт сказала, что надо вскрывать каналы, чистить, снова заливать каналы. Так и есть - она права? Это сколько вообще по деньгам, как у того куна с прошлого треда - 12к за работу с микроскопом или что?
Аноним 03/09/16 Суб 18:36:41  512802
14729170013080.png (315Кб, 450x368)
Зубы в этой хуйне. Как оказалось, два зуба почти полностью, УЗ чистка поможет?
Аноним 03/09/16 Суб 18:48:32  512805
>>512648
>говорили, что после брекетов со временем зубы возвращаются в положение как были до и ортодонты разводят на даллары как могут
Не ортодонт, но придерживаюсь мнения , что нормальные ортодонты не разводят и делают нормально а этому пиздюку стоит пообщаться с ортодонтами лично. Ну или хотябы загуглить про ретейнеры блять! Да и вообще он нахуй зубы удаляет, но не знает о перестройке костной ткани. И вообще основы "почему зубы движутся в том или ином направлении и какие векторы силы испытывают на себе" - он видимо нихуя не знает.

>если давить на него языком и пальцами двигать. Насколько это правдиво
Правидиво офк. Но только ВНЕЗАПНО дохтор именно то , что называл "наебом" сам и советует". Брекеты "тянут" зубы. На том их принцип. Давить пальцем и языком это дрочню надо делать самому и контроллировать это аналогично будут "тянуть зуб" только это более шаманский способ. И в совете дохтора не учитывается факт, что поскольку зуб УЖЕ выдвинут, то могут соседние дать наклон. Следовательно надо "двигать" не один зуб , а комплексно вообще на хую вертеть надо людей , которые рассматривают что-то не комплексно. В любой сфере. Узколобые мудаки блиать.

>Чернота - налет от слюны, не знаю как бороться.
Если налет, то чистить у стоматолога. Научиться НОРМАЛЬНО ! чистить самому у самого есть небольшой ободок офк, но я хуй знает когда вообще чистку делал себе. Алсо можешь провериться на другие заболевания Кишечника, если прям вот очень быстро это все набирается.

>>512791
Да и без микроскопа могут , но насчет цен - в этот тред не спрашивай вообще. Гугл у тебя есть. Вот и гугли "перелечивание корневых каналов". Или тип того.

>>512791
>Ортодонт сказала, что надо вскрывать каналы, чистить, снова заливать каналы. Так и есть - она права?
Вскрыть - чистить- закинуть лекарство кальций божественный - через пару неделек мб повторно смена лекарста либо постоянная пломбировка. Без закладывания хуйца тебе за щеку лекарства - такой зуб будет считаться вылечен "неверно".

>>512802
Да. Либо аир флоу.
Аноним 03/09/16 Суб 19:43:08  512821
Почему стоматологи любят задавать тупые вопросы во время операции? Они так пытаются успокоить пациента или им реально интересно узнать на кого я учусь, когда у меня из десны кровь ручьем хлещет?
Аноним 03/09/16 Суб 19:58:29  512825
>>512821
Почему пациенты любят начать пиздеть, когда у них во рту крутится адская машина со скоростью 400 000 оборотов в минуту, что сравнимо с двиглом у самолета и этой хууйней можно просто устроить кровавое месиво во рту ? В этом реально какая-то необходимость или отсутствие инстинкта самосохранения?

видишь дружище? У меня тоже есть вопросы , как и у тебя , на которые никогда не узнаем ответа.
Аноним 03/09/16 Суб 22:38:11  512880
>>512825
А ну мне это, мне интересно чем мой доктор живёт, но по человечески поговорить, по душам, так сказать, а потом может и скидочку даст.
Аноним 03/09/16 Суб 22:42:29  512884
>>512880
>по человечески поговорить, по душам
>может и скидочку даст
лёль.
Знаешь сколько у доктора таких "говорунов"?
Скидочки обычно делаются "своим" пациентам, которые не с улицы первый раз лечатся. А достаточно так нормально. Или уже не первый раз на нехуевую сумму работу заказывают.
Если по бомжевски , то чисто по человечески док может просто на шару тебе какуюто херню сделать. Ну например какойнить изи кариес за 5 минут полечить. Если там хуйня вот совсем мелкая , бонусом к остальным зубам если они рядом. ну или еще что. Но в целом на мелкие работы скидки - это как-то моветон. Хочешь скидку - бери купоны . лёль.
Аноним 03/09/16 Суб 23:02:37  512889
Не поздно ли ставить брекеты в 25?
Аноним 03/09/16 Суб 23:08:58  512890
>>512889
нет
Аноним 03/09/16 Суб 23:15:03  512892
>>512889
25лвл с брекетами, полёт збс.
>>512648
> Прошлый стоматолог был дурак и не замечал их.
Этим хирурги занимаются а не стоматологи, стоматологи - дырочку залить, да камень сбить.
> говорили, что после брекетов со временем зубы возвращаются в положение как были
Если просто выравнять так и будет.
Чтоб такого не было нужно норм ортодонта, который поймёт хватает ли зубам места или удалит что-то чтоб хватало, восьмёрки допустим.
> Чернота - налет от слюны, не знаю как бороться.
Чернота - налёт из-за того, что не можешь нормально счистить из-за кривизны + дёсны стирают налёт, но опять же из-за кривизны не стирают.
На чистку сходи.
Аноним 03/09/16 Суб 23:17:49  512895
Что такого общего у парикмахеров и стоматологов? В кресле стоматолога я чувствую прям себя как на приёме у цирюльника, и поэтому инстинктивно заигрываю, иногда.
Ебал-парикмахера-кун.
Аноним 03/09/16 Суб 23:49:27  512907
Несколько дней назад, при чистке начали болеть десна на левой верхней части. Именно когда прикасаешься. Что это и чем черевато?
Аноним 04/09/16 Вск 16:37:22  513056
>>512805
>такой зуб будет считаться вылечен "неверно".
Настаивать на лекарстве?
>Да. Либо аир флоу.
Был в клинике на чистке, док сказала, что есть Аир Флоу, а есть еще у них какой то метод каким то божественным порошком, только название я хуй запомнил. Фазэр Фьюжен блядь или хуй пойми, говорит гораздо лучше, чем аир флоу. Пиздит или это все одна и та же технология, только вид сбоку?
Пасиба за ответы!
Аноним 04/09/16 Вск 17:58:10  513089
14730010909350.jpg (88Кб, 915x579)
>>513056
>Настаивать на лекарстве?
Сама положит. Это ОЧЕНЬ шаблонный протокол. разве что доктор не владеет чудо методиками.

>>513056
>у них какой то метод каким то божественным порошком
Честно - не ебу. Я пока не слышал о новых наноспособах чистки зубов в стоматологии.
Да в принципе всем на это похуй как-то. потому что это не то, на чём сделаешь миллионы. кек
Аноним 04/09/16 Вск 18:55:19  513108
>>511739 (OP)
>Ставить имеет смысл метал, всё остальное выебоны для приезжих.
Чойта? Чем керамические или сапфировые плохи? Про то, что они красятся или чем-то хуже металла пиздят же. Я не хочу светить железяками на зубах в 23 года.
Аноним 04/09/16 Вск 19:04:02  513111
>>513108
Металл дешевле и он не выглядит уебанским прилипшим куском хлебом к зубам.

Хотя кому как. Если комплексы и в 23 года, ты ссикаешься , как школьник, что у тебя брекеты , то тогда да - ставь какие угодно. В остальном - люди повзрослей, сознательней и не желающие сливать бабло на сомнительную хуню - ставят обычные железные и не ебут себе мозги.
крч выбор основывается на наличии лишнего бабла и тараканах в голове
Аноним 04/09/16 Вск 19:20:11  513114
14730060113960.jpg (1696Кб, 3584x2016)
14730060114311.jpg (1712Кб, 3584x2016)
14730060114662.jpg (1558Кб, 3584x2016)
>>511739 (OP)
Мои зубки. Запломбировал все дырки коих было много, но внешний вид всё равно оставлял желать лучшего, на последнем приёме у стоматолога спросил насчет отбеливания зубов, какие есть варианты и т.д. она мне ответила, что у меня и так фиговая эмаль и мне нельзя делать отбеливание, дальнейшие расспросы особых результатов не дали. Собственно вопрос - и вправду нет адекватного способа отбелить зубы без вреда для самих зубов? Не очень то хочется бегать желторотиком всю жизнь. И какие еще могут быть способы привести зубы в более привлекательный вид?
Аноним 04/09/16 Вск 19:30:11  513117
>>513114
Виниры\коронки.

Аноним 04/09/16 Вск 19:45:42  513122
>>513114
>И какие ещё могут быть способы привести зубы в более привлекательный вид?
Нормальные зубы в смысле цвета, чё.
Аноним 04/09/16 Вск 21:14:20  513196
Врываюсь со своим вопросом.

Зубы некрасивые, клыки в общем немного выпирают над зубами, и еще парочку зубов не наружу сдвинуты, а внутрь.

Так вот, вопрос.

Я уже 30лвл, есть ли смысл ставить брекеты? Поможет или уже поздняк? Как долго носить придется?
Реально ли будет результат типа голливудской улыбки?
Аноним 04/09/16 Вск 21:16:15  513198
>>513196
Да
Аноним 04/09/16 Вск 21:19:28  513201
>>513198
а сколько по времени их придется носить?
Аноним 04/09/16 Вск 23:37:01  513252
Ктонибуть носил брекеты? Сколько по времени носили?

Как же у меня бомбит. Скоро третий год пойдет как ношу эту хуйню, а конца и края не видно. Линия улыбки все равно как мне кажется по пизде, в зеркало еще не так заметно видимо привыкаешь к своей роже, но на фото пиздец видно.
Аноним 05/09/16 Пнд 00:34:10  513280
>>513114
На чистке зубов был? Что то у тебя между зубов какие то отложения. Или это еда?
Аноним 05/09/16 Пнд 00:34:26  513281
>>513201
18+ месяцев
Аноним 05/09/16 Пнд 11:50:29  513376
>>513252
Носил почти три года. Думал, охуею первый год. Потом как-то похуй стало, подпривык.
Последние месяцы когда уже врач говорил "ну вот аноннейм скоро снимать будем" ссался кипятком и бугуртил когда говорили "ну еще пару раз придешь и точно снимем".

Зато после того как сняли было охуенно. Ретейнер хоть и доставлял сначала некий дискомфорт, сейчас вообще похуй, даже не замечаю.
Аноним 05/09/16 Пнд 15:24:16  513427
>>511739 (OP)
>У меня зубной камень/налёт, хочу почистить, куда идти?
>В любую клинику, стоит не дорого, запороть невозможно.
Отдал 4к за удаление зубного камня и налёта, плюс полировка зубов. Процедура белезненная, делается БЕЗ анестезии. Дёсны все распидорашены, гигиенист сказал болеть пару недель будут, пока не заживут. Метрогил помогает, ещё ромашкой полоскать можно. В общем, если есть возможность - лучше обойтись без этой хуйни (процедуры).
Аноним 05/09/16 Пнд 15:33:17  513431
>>513427
> В общем, если есть возможность - лучше обойтись без этой хуйни (процедуры).
Не пиши хуйни больше в этом треде.
Аноним 05/09/16 Пнд 15:51:39  513437
>>513431
>Не пиши хуйни больше в этом треде.
Хорошо, больше не буду. Я к чему, собственно. Один раз сделать можно, но лучше научиться чистить зубы нормально и юзать ирригатор хотя бы. Чтобы через этот ад больше не проходить.
Аноним 05/09/16 Пнд 16:42:16  513446
>>513437
Опять хуйня же. Это к какому упорку нужно было пойти, чтобы запорость такую простую процедуру, как профчистка зубов?
Мне чистили за 1500, дёсны только пару раз задели, и то считаю своего стоматолога криворуким. Ни боли, ни хуя вообще, только приобретённая в советской карательной стоматологии боязнь звука бормашины давала о себе знать.
Аноним 05/09/16 Пнд 16:50:17  513449
>>513446
>Мне чистили за 1500
>и то считаю своего стоматолога криворуким
Какое же ты чмо и уебок. Скажи еще , что это был купон на чистку и это будет эпик
Аноним 05/09/16 Пнд 17:54:52  513469
Сегодня поставили брекеты, я тот самый кун, что в прошлом треде удалял зубы мудрости и семерку.
За пару дней до этого залечил еще два зуба, небольшой кариес, вообще за лето посещал эту клинику не менее 10 раз, врачи узнают и спрашивают как дела, а мой врач всячески помогает по разным зубным делам - типо снимков и советов к кому лучше сходить.
Сегодня же пришел к ортодонту, смутила одна вещь - я всегда считал, что у меня мало места и поэтому зубы кривые, ортодонт же решил зубы не удалять и посоветовал поставить брекеты диамант, делал только слепки и боковой снимок, панорамный же вышел мутный (спасибо аппарату в гос клиннике) и его ортодонт даже особо не смотрел. Но его все-равно надо сделать более четким и принести врачу. Так вот, это норм вообще, ставить диагноз по слепку и одному снимку?
Рассказали что как, что неправильный прикус и потом нужно будет двигать не только нижние зубы, но и всю челюсть целиком, носить резинки это больно?, показали расчеты, какие-то проценты наклона и прочее, о чем я мало понимаю, но врач вызывает уверенность в своих действиях, да и очень плотная запись на прием тоже хороший знак. Еще такая новость, хотя и не новость - как все будет готово, то переделывать практически все пломбы которые у меня на каждом зубе т.к. прикус изменится + имплант на удаленную семерку, сколько денег на всё это уйдет не хочется пока даже считать, мысли о покупке тачки отложу как минимум на год другой.
Сама процедура не болезненная, только горький клей попадал изредка на язык, по времени занимает где-то полтора часа, это чистка и установка на одну челюсть.
Сейчас ничего не болит, немного тянет, но терпимо. Сходил купил ершиков и щеточек почти на 700 рублей, покупать набором стоит еще больше, хотя мне кажется, ершика и одной щетки будет достаточно, ну да ладно.



Аноним 05/09/16 Пнд 18:34:08  513480
>>513469
> Так вот, это норм вообще, ставить диагноз по слепку и одному снимку?
МОдели - основное что им нужно . Там все видно по ним + расчеты делаются.
Также расчеты делаются по ТРГ (рентген сбоку). Там рисуются точки , линии считается и т.д. Но хз - всегда ли нужно скорей всего да.
По крайней мере на циклах по ортодонтии учили именно этому и базовым навыкам расчета при помощи этих методов обследования (модели + трг)

Орто хз что там можно считать. Скорей всего для того чтобы ситуацию в целом с зубами увидеть. Состояние корней , наличие заболеваний пародонта, восьмерки и т.д.

МОжешь потом какнить у неё попросить модели тебе подарить, если они ей будут не нужны. Заодно посомтришь , что на них все нанмного пизже заметно, чем если просто смотреть в зеркало.
Аноним 05/09/16 Пнд 19:22:00  513495
>>513480
Спасибо за ответ, прям то, что хотел услышать, теперь я спокоен)
Аноним 05/09/16 Пнд 20:11:18  513504
Аноны, пара вопросов.
Что делать если я аллергик и боюсь что будет аллергия на обезбаливающее? Есть ли что=то нормальное и точно без риска аллергического шока?
Еще интересует, на зубах нижних какие то темные хуевины небольшого размера. Они сковыриваются иглой, но все же, что это? Зубной щеткой они плохо удаляются, удаляю обычно швейной иглой;
Аноним 05/09/16 Пнд 20:16:47  513505
>>513504
>Что делать если я аллергик и боюсь что будет аллергия на обезбаливающее?
Врача сразу предупреди. Поверь , твоя склонность отправиться на тот свет в кресле стоматолога радует доктора намного меньше чем тебя.

>Есть ли что=то нормальное и точно без риска аллергического шока?
Ты алергик, но аллерголога никогда не посещал? лол. Идёшь к аллергологу, консультируешься. При необходимости сдаешь пробы на анестетики. но это уже сам разберешься

>Они сковыриваются иглой, но все же, что это?
либо налет , либо кариес скорей первое.
Аноним 05/09/16 Пнд 20:47:03  513518
>>513505
Мне уже пару зубов лечили без анестезии. В принципе норм, особой боли не было.
Просто сейчас живу и работаю в азиатских ебенях, стоматология тут есть, но объяснить все очень трудно. Плюс проблема с зубом мудрости - там точно кариес, его без обезболивающего вряд ли удалят и я не уверен что вытерплю.
И сразу вопрос, реально ли как нибудь заморозить кариес, чтобы он не разрушал дальше зуб? Может полоскания и чистка по 5 раз в день?
Аноним 05/09/16 Пнд 20:57:38  513523
>>513518
Тогда тебе Убестезин или Артикаин как анестетики должны помочь. Они САМЫЕ гиппоаллергенные и щадящие считаются. Ну и иже с ними . вообще любой врач должен спрашивать про наличие аллергии. Чисто для сохранности своей сраки от сгухи и бутылки шампусика в честь новоселья на зону

По русски у тебя там не говорят? Если да , то они сами тебя отправят на алергопробу. Либо доктора уже от безысходности сами на месте проводят экспресс тест не очень точный, но хоть что-то , чем ничего. Суть такова - тебе НЕМНОГО анестетика капают на слизистую в полости рта и смотрят. Если реакция аллергическая появилась, то тогда нахуй. Если нет , то все ок

>реально ли как нибудь заморозить кариес
Нет.Анрил. Кариес либо есть и зубу пизда потихоньку идет, либо нет кариеса.

Если он у тебя не глубокий , то без анестезии могут полечить мне тож лечили без анестезии. переживешь норм.
Аноним 05/09/16 Пнд 22:01:22  513550
14731020827970.jpg (1504Кб, 3264x2448)
Аноны и врач-куны, такие проблемы. Для начала, чищу зубы 2 раза в день, но в выхи иногда хиккую и максимум 2 дня могу их не чистить. Перед работой всегда чищу, и если перед этим день не чистил, долго стою и надраиваю
1. У меня иногда чешутся десны, пока я я не похуярю их жесткой зубной щеткой минут 5. После этого появляется немного крови, видимо сильно тру, и все становится збс.
Пару раз в клинике делали удаление зубного камня тонким сверлом, я был на 7 небе от ощущений во время процедуры. Один раз использовали пескоструйную машину, я чуть оргазм не получил. Что с моими деснами не так? Сам врач говорит, что десны здоровы и нормальны.
2. Пару лет назад начал использовать зубную нить. В результате, у меня каким-то хуем стали появляться места, куда зубная щетка не достает и раз в несколько дней надо оттуда вынимать новую порцию белого налета. В частности, это между самыми задними зубами. Причем иногда появляютя залежи через 2 дня, ингда их неделю нет. Что не так?
3. Периодически из горла выходят какие-то ширики, будто бы слежавшегося налета. Даже не шарики, а скорее в форме эритроцитов с увеличением в центре. Что это за нех и нормально ли это? Как избавиться навсегда? Детектируется эта хрень по появляющемуся запахуизо рта, даже после чистки зубов.
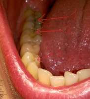
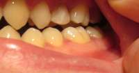
4. Уже давно заметил во рту на щеке, прям у зубов, какие-то бугорки. Но недавно увидел их в зеркало и обосрался. ЧТО ЭТО, РАК??? см пик. Они с обеих сторон, оба нижних поменьше, верхние побольше.
5. На одном зубе десна будто оголила его внутреннюю часть и если дотронуться до нее ногтем, то ощущения как 1/10 бормашины без наркоза. Ну и если туда попадет зубная паста прям с зубной щетки, неприятно становится, незнаю, как описать. Врач ничего не говорит, типа это норма. Но это нифига не норма же.
Аноним 05/09/16 Пнд 22:29:25  513562
>>511739 (OP)
Собираюсь ставить брекеты, установка на одну челюсть вместе с брекетами 27к. Врач посоветовала ставить металические безлигатурные, говорит с моим прикусом придется носить года 2, а потом еще какую-то хуйню, я даже не понял какую и каждую ночь надевать на зубы капу. Еще возможно в будущем придется удалять 2 зуба потому что там не хватает места передним зубам чтобы встать нормально, но тогда могут остаться большие промежутки между зубами. Это из того что мне объясняли. Но сначала конечно нужно залечить кариес, а у меня там по нескольку дырок сверху и снизу, откуда они беруться блядь? Я же все таки зубы чищу, поясните секреты белоснежной улыбки, как жить чтобы у тебя стабильно раз в год не образовывалось по 100500 дырок? Помню я когда первый раз пришел к стоматологу всерьез, то есть к нормальному стоматологу, а не тете глаше из гос. поликлинике, то у меня нашли 15 дырок!
Аноним 06/09/16 Втр 07:35:31  513623
14731365318020.jpg (28Кб, 640x419)
Анон, хелп!
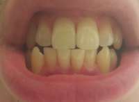
Запустил зубы, не чистил в течении пары месяцев. Недавно как раз обратил внимание на них, и понял что слишком желтые.
Чистить было больно. Особенно первый раз, когда я сильно давил щеткой на зубы. Десны кровоточили пиздец. Прям струйки крови между зубами текли, и язык весь в крови был. Второй раз чистил уже осторожно, слабо давя на зубы. Но кровь все равно была.
Так же нащупал языком небольшое воспаление десны изнутри, только у одного зуба. Увидеть я это без специального зеркальца к сожалению не могу, но по ощущениям похоже на то что на пике.

Самое печальное в моей ситуации, что к стоматологу я смогу пойти только зимой. Т.к. нахожусь в другой стране, без страховки, а медицина дорогая невероятно, у меня на нее денег нет. В Рашке буду как раз зимой.
Но до зимы ждать долго.
Я хотел бы помочь зубам уже сейчас. Регулярную чистку я себе наметил. Но не мало ли этого будет?
Прошу советов. Надеюсь у меня не совсем все запущенно.
Аноним 06/09/16 Втр 07:38:44  513624
>>513623
>только у одного зуба
fix
конечно, имел ввиду между двумя зубами
Аноним 06/09/16 Втр 12:53:04  513672
>>513623
>Запустил зубы, не чистил в течении пары месяцев.
Как так? Ты в коме был?
Аноним 06/09/16 Втр 13:16:58  513676
>>513623
Пиздец даун, поделом.
Стоматологические клиники Москвы Аноним 06/09/16 Втр 15:39:21  513720
14731655613160.jpg (466Кб, 1200x800)
Друзья! Посоветуйте, где лечить зубы в ДС. Интересует СЕТЬ клиник стоматологии в Москве, хорошо себя зарекомендовавшая. Ну, например, если мне нужно сделать анализы, я иду в Инвитро. Вот и интересует примерно то же самое по цене и качеству, только в стоматологии.
Аноним 06/09/16 Втр 17:06:12  513757
>>513449
>что это был купон на чистку
Чем тебе купон не угодил, паскуда?
Аноним 06/09/16 Втр 17:08:28  513760
>>513469
>Сходил купил ершиков и щеточек почти на 700 рублей
Расскажи про это? Где вообще покупать, что нужно купить, какие цены и нахуя оно все надо?
Ты это я, но на 2 недели быстрее все делаешь. И кинь фоток зубов то своих, челюсти всмысле. Посмотреть хоть, что у тебя там как с зубами.
Аноним 06/09/16 Втр 17:34:42  513779
>>513550
>Периодически из горла выходят какие-то ширики
Это тебе к лору глотку смотреть.

>Они с обеих сторон
Рак вряд ли будет симметричным.
Проток слюнной железы + прикусываешь щеку. Либо не прикусываешь, а прост слизистая такая. если параноишь, то сходи на прием к врачу

>На одном зубе десна будто оголила его внутреннюю часть
Рецессия. Обратись к врачу. Такое лечится пластикой.

>>513562
>Я же все таки зубы чищу
Технику чистки контролируй. Можешь нагуглить материалы из учебников по гигиене по определению гигиены у пациентов. так в целом можно потом прикупить таблетки , которые окрашивают налет , либо самому красить зубы себе фуксином. не попади на одежду. В итоге - сначала окрашиваешь зубы. Оцениваешь пиздецому. Потом чистишь зубы как ты обычно чистишь считая , что делаешь это как божешька. Опять окрашиваешь зубы и смотришь как ты хуево\хорошо чистишь. Скорей будет хуево.

> откуда они беруться блядь?
Тебе процесс описать или хочешь услышать "плохо чистишь + возможная низкая кариесрезистентность эмали"?

>>513623
>язык весь в крови был
шта? лол

>>513623
>Надеюсь у меня не совсем все запущенно.
Ты надейся, а нам не видно. Купи ирригатор + зубную нить. Если десна кровоточат, то упарывай ополаскиватели ромашки, пасты с корой дуба и т.д. Но надо всё вычестить. Всё вычистить - НЕ ЗНАЧИТ ДАВИТЬ И ДРАКОНИТЬ ЗУБЫ И ДЁСНА к хуям. Больше травмы десны- больше воспаления - больше пиздеца делаешь.

Короче твой вариант - купить ирригатор и вымывать ВСЕ что у тебя забилось между зубами и под дёсна.

>>513757
Это ты паскуда. Значит с очередным выебистым купонщиком я попал в точку? Вся суть пидорахи ебаной - заплатить нихуя, а выебываться будто на лям ага , столько тоже выкладывают пациенты.
Аноним 06/09/16 Втр 19:12:12  513811
>>513760
Где покупать и что именно тебе должен рассказать доктор после установки брекетов. Цены - самая простая щеточка (с 10 ворсинками черт побери") от 200 рублей, щетка обычная рублей 250, можешь погуглить набор "президент", его рекомендовали, но я думаю хватит обычной щетки и ершиков вполне. Пока ими справляюсь. Вопрос знатокам - какую зубную пасту использовать во время лечения? Пока чищу рандомной, но уже десна у одного зуба закровоточила.
Тебе фото челюсти или слепка, я не понял.
Если первое, то позже кину, сейчас второй день и адово всё начало болеть, поел в первый раз за день и выть от боли хочется, утром съел один банан, предварительно превратив его кашу вилкой.
Аноним 06/09/16 Втр 19:14:34  513813
>>513811
>хватит обычной щетки
Обычной в смысле специальные ортодонтические - с прорезью для брекетов, а эти супер маленькие щеточки не нужны.
Аноним 06/09/16 Втр 19:18:41  513814
>>513811
Готовься похудеть, брекетоносец.
Аноним 06/09/16 Втр 20:33:13  513837
>>513720

ээээээй, ну не жмитесь, посоветуйте какую-нибудь клинику! 26 лет, до этого не было никаких проблем с зубами, у стоматолога никогда не лечился
Аноним 06/09/16 Втр 21:10:33  513855
14731854341280.jpg (2Кб, 121x90)
Завтра иду удалять нижний зубы мудрости. Верхние очень безболезненно и легко удалили и вообще ничего не болело, а тут сказали будет сложное удаление и тд. Какое обезболивающие дает самый лучший эффект (название) ? Сильно ли лицо распухнит и как этого избежать? А то я учусь и в универ приходить с огромными раздутыми щеками и отек если честно просто не по себе. Если доктор не захочет швы ложить это нормально ? Читал что в некоторых случаях на это забивают, требовать чтоб наложили ? Полоскать на следующие сутки или можно после 2 часов удаления ( иду удалять вечером). Чистить зубы нельзя перед сном ради этого сгустка или можно легонько? Перед удаление плотно поесть можно или не стоит, как анестезия себя поведет? Извините за такое кол-во вопросов.
Аноним 06/09/16 Втр 21:24:48  513858
>>513855
>Какое обезболивающие дает самый лучший эффект (название) ?
Сам пойдешь купишь ? или колоть сам собрался? лол

>Сильно ли лицо распухнит
Факторов много

> Если доктор не захочет швы ложить это нормально ?
да

>ребовать чтоб наложили ?
За свои деньги , тебе достаточно просто "попросить". Зачем сразу требовать.

Ну а дальше мне лень писать. Сходишь удалишь - дадут рекомендации.
ебать ты поехавший. Невротик какой?
Аноним 06/09/16 Втр 21:30:46  513861
>>513855
Удалял все восьмерки, всегда охуеваешь первые сутки-двое, потом норм. Жрал анальгин и нимесулид, но у меня тогда еще уши застудились. Нижние хоть и с рассечением надо было, но стоматолог попробовал, ивырвал так, дело полутора минут. Ебло может чуть и распухло,но не критично. С нижними и едой больше мороки, гравитация-с, поэтому лучше со швами один нижний зашивали, он вроде быстрее зажил И вообще следи за гигиеной, у меня после зубов дохуя горлопроблем вылезло, а еще, возможно, мне так занесли впч, а может дело в бывшей. Зубы чистил всегда, просто первые дня 4 не трогал сгусток, а потом уже близко к нему чистил. Всегда легонько полоскал ротоканом.
Аноним 06/09/16 Втр 21:32:45  513862
>>513858
>Сам пойдешь купишь ? или колоть сам собрался? лол
лол. Купил анальгин и колол в бедро, когда не мог заснуть, и надо было побыстрее. Так можно и не колоть.
Аноним 06/09/16 Втр 21:41:57  513865
>>513779
>Значит с очередным выебистым купонщиком я попал в точку?
Нет, я другой анон, просто не вижу причин бомбежки
Аноним 06/09/16 Втр 21:42:55  513868
>>513811
>Тебе фото челюсти
Зыс
>>513811
>и адово всё начало болеть,
Ну не стукай. А насчет таблеток врач что говорила? обезболивающее можно?
Аноним 06/09/16 Втр 21:45:02  513872
>>513865
перечитай пост, дурашка. Там ответ.
Аноним 06/09/16 Втр 21:46:38  513876
>>513858
Я имел ввиду какие таблетки после удаления !
Аноним 06/09/16 Втр 21:55:31  513881
>>513720
Восток-Мед, стоматологический центр
Малый Гнездниковский переулок, 12 www.vostok-med.ru
Я там лечусь, еще мать туда водила, да и все её знакомые там лечили зубы. Современная клиника, не накручивают на большой ценник. Алсо там спасли у одного знакомого хиккана там пару зубов, которые ему везде предлагали только рвать.
>>513779
Спасибо большое.
Аноним 06/09/16 Втр 23:30:05  513911
>>513881
Спасибо!
Аноним 07/09/16 Срд 01:51:36  513931
>>513504
Камень.
Боишься шока - сходи в любую лабу и попроси сделать алергопробы на всякие -коины
>>513855
Доктор сам скажет чем обезбаливать.
У меня от одного распухло пиздец, от другого - норм было.
Иногда надо, иногда нет, мне и так и так делали, норм.
Я после такого удаления лежал почти двое суток и пускал кровавые пузыри под сотнями обезболивающих.
Плотно есть не стоит, но поесть нужно обязательно.
>>513876
Мне эскинеф прописали, збс, но таблетки на сутки не хватало немного.
И антибиотики и противовоспалительное какое-то.
Аноним 07/09/16 Срд 03:34:40  513940
студент мгмсу 5 курс вкатывается в тред.
работающие стоматологи, поясните за ординатуру, стоит ли она своих бабок? цены в мгмсу на неё - ебнешься(от 250к/год), да и не учат нихера, по словам знакомых.
какой вариант лучше и почему:
1 - ординатура
2 - год работы + первичка
думаю после Универа идти отработать год (есть у кого) по факту ассистентом, в трудовой - врачом общей практики, а дальше получить первичку по выбранной специальности, а дальше уже, как получится.

ещё интересует заработок каждой из специальностей. раньше делал идти на ортодонта, но бабок на обучение резко не стало, остался выбор между остальными специальностями. как нынче живут терапевты, ортопеды, хирурги? желательно ответить в цифрах, актуальных в дс
Аноним 07/09/16 Срд 03:35:38  513941
студент мгмсу 5 курс вкатывается в тред.
работающие стоматологи, поясните за ординатуру, стоит ли она своих бабок? цены в мгмсу на неё - ебнешься(от 250к/год), да и не учат нихера, по словам знакомых. в остальных местах тоже не особо чему учат, да и бабок жалко
какой вариант лучше и почему:
1 - ординатура
2 - год работы + первичка
думаю после Универа идти отработать год (есть, у кого) по факту ассистентом, в трудовой - врачом общей практики, а дальше получить первичку по выбранной специальности, а дальше уже, как получится.

ещё интересует заработок каждой из специальностей. раньше желал идти на ортодонта, но бабок на обучение резко не стало, остался выбор между остальными специальностями. как нынче живут терапевты, ортопеды, хирурги 3+ года стажа? желательно ответить в цифрах, актуальных в дс
Аноним 07/09/16 Срд 04:29:59  513943
14732117995720.png (2245Кб, 2480x2803)
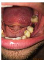
Анон, у меня тяжёлый случай. Большинству зубов полная гнилая пизда, и фоткой моего рта можно сагать неугодные треды; больше половины рта надо вынимать и вставлять импланты.

Расскажи, пожалуйста, про такую тему как all-on-4 (all-on-6 итп), а точнее про её минусы, подводные камни и неочевидности (про плюсы мне и реклама расскажет).

Есть тут те, кто через это прошёл?

Реально работает или наебалово?

Четыре винта в самом деле держат ебейшую жевательную нагрузку? Оно не отвалится через полтора года грызения орешков?

Вероятность отторжения больше/меньше, чем у обычных имплантов? Требует ли какого-то хитровымученного обслуживания?

Я не приму ислам, от того, что мне вынут все мои 30 гнилых пеньков?

На каком-то из сайтов клиник читал, что они дают "пожизненную гарантию", значит ли это, что эта штука убьёт меня быстрее, чем закроется клиника?
Аноним 07/09/16 Срд 12:40:18  513992
>>513943
>и фоткой моего рта можно сагать неугодные треды
И где блядь она? Каждый первый пишет "у меня вот то то и это", но фоток блядь нет. Сфоткай нормально, кого стесняться
Аноним 07/09/16 Срд 14:06:00  514011
>>513940
Закончил мгмсу пару лет назад. Сижу без работы ибо нет военника. С ординатурой на бюджет в этом году не взлетело 10человек на место. десткая стоматология.
В кармане первичка 1 семестр в ординатуре моники по ортопедии, но понял, что это шляпа и денег не наскребу - слился на первичкупо ортопедии + общая практика (интернатура) которая в москве нахуй никому не нужна. На это никто не берет аккредитацию, потому что это как правило интерны и в ДСе при 4х вузах, выпускающих стоматологов - это как-то не имеет смысла. Проще сразу узких спецов брать. А вот за мкадом вполне согласны на общую. При том, что делать с этим сертефикатом можно дохуя и больше по всем разделам стоматологии..

В ординатуре МГМСУ учат , как и везде. Зависит от того - куда попадешь. Но ты не понимаешь главного. Я хотел в ординатуру - лишь бы рабочим местом обеспечили. Ибо пиздец.

Если есть где поработать ассистентом , чтобы и стаж записали, то можешь идти. Мне часто отказывали даже ассистентом по причине "у вас высшее. С таким дипломом мы не можем брать". Либо платили совсем копейки с 12и часовым рабочим днём с дорогой в один конец от полутора часов. Либо отказывали в виду военника в принципе и врачом не взяли из-за его отсутствия..
Щас думаю сделатьна время перекат по программе "земский доктор". Получить годик стажа для начала , позадрачиваться. Ибо уже год хуй пинаю считай.

Касательно бабосиков, то это спрашивай у тех, кто готов тебя взять. Знакомые ж есть?
В целом - ортодонты сразу киллотонны денег со старта тоже не зарабатывают. А в остальном - как себя покажешь и какую славу обретешь. При том , что ,как видишь по тредику, люди часто склонны первым делом думать не о том, что их вылечить хотят , а о том , что на даллары разводят.

алсо в ординатуре многие левачить умудряются. Офк если ты вполне социо с друзьяшками и приятелями , которые готовы к тебе придти.
Но ты какой-то странный. В первую очередь ставишь вопрос заработка, а не приоритет интереса для себя.

>>513943
>все мои 30 гнилых пеньков?
Нкоторые из пиньков возможно и не достаточно гнилые , чтобы их удалять и не использовать в качесте опоры.
Да работает. Импланты , в данном случае выполняют роль больше как для фиксации протеза. Если твои пеньки не слишком гнилые , то могут использовать и их даже. Но если они не настолько гнилые, то можно восстанавливать обычными мостами\единичками без необходимости ставить полные съемные протезы.
Аноним 07/09/16 Срд 15:25:02  514021
14732511028450.jpg (440Кб, 1866x1140)
14732511028541.jpg (378Кб, 2068x1160)
14732511028612.jpg (939Кб, 3060x1640)
>>513992
Ну ок. нимношка сажи этому треду =)
ОПТГ восьмимесячной давности. Сейчас всё, по идее, хуже уже. Но свежее снимка нету.


>>514011
"Единички" - это один зуб-один имплант? Ну да. Это мне предлагают в каждой первой клинике. Но я нищехуй и у меня нет и не будет сумм 1-1,5+ ляма, как они мне насчитывают. Нет, свалить на полгода-год из ДС лечить где подешевле тоже не могу.

Про all-on-4 потому и спрашиваю, что оно дешевле, и на это 300-600К бабла, вроде, кое-как наскрести можно попробовать. Но ссу того, что дешевый сыр бывает в мышеловке.
Аноним 07/09/16 Срд 15:32:09  514023
>>514021
Ну вон у тебя сверху еще 4 зуба более менее ничего! Ты чтоле в пещере жил, как маугли? Расскажи, как не стать таким, как ты?
Аноним 07/09/16 Срд 15:56:33  514026
>>514021
Как вообще можно было до такого состояния довести себя?
Аноним 07/09/16 Срд 16:04:51  514029
>>514026
Можно стать наркоманом, например.

>>514021
Как не удивительно, но есть и вполне норм по снимку зубы. И даже что-то когда-то даже лечил. Лол.
Возможно как вариант, могут оставить тебе корни некоторых зубов конечно их надо пролечить. По сути они нихуя не будут помогать тебе в жевании, но покрайней мере замедлят убыль кости. Возможно когда разбагатеешь или продашь почку, то на их месте поставишь себе импланты.

Но если ты СОВСЕМ бомж, то можешь и без имплантов - тупо съёмники ставить. лол. Выйдет дешевле и виксация только за счет слизистой и клапанной зоны.
дешевле было по 300 р раз в пол года на зубную щетку и пасту тратить

Касательно съемников на имплантах - штука хорошая. останется раз в несколько месяцев ходить - менять резиночки.
Аноним 07/09/16 Срд 16:12:25  514030
14732539454290.jpg (44Кб, 480x360)
>>514023
>>514026
Не наркоман ни разу. Это слишком дорого. Вообще, я вкатился сюда не рассказывать, как я докатился до жизни такой, и не самобичеваться, а выслушать прохладных историй о конкретной зубоврачебной технологии и послушать советов, решаться мне на неё или нет.
Но мне для тебя не жалко. Держи пошаговую, няша.

Не надо:
1. Иметь хуевую наследственность.
2. В позднем сосачестве 5 лет носить бреккеты, потому зубы торчат во все стороны кроме правильной.
2.1. Все пять лет не слушаться ортодонта. Пить горячее @ есть холодное @ убивать себе эмаль. Ведь ты же молод и бессмертен, хуле.
3. Недоносить бреккеты, снять их по ошибке индуса-практиканта, плохо понимающего фразу "сними ему дугу". Не прийти через две недели ставить обратно. Никогда больше туда не прийти.
4. Бухать много кока-колы и другого убивающего зубы говна.
5. Плохо чистить, но вовсе не так плохо и редко, как ты думаешь, потому что ты заебался прыгать вокруг своих зубов и начинаешь их ненавидеть.
6. Не обращать внимания, что у тебя явно что-то не то с обменом веществ и не ходить к эндокринологу.
7. Быть нищебродом. При первых, вторых, третьих звоночках тешить себя маня-планами "ща подтяну деньжат и сделаю как надо". Регулярно фейлить маня-планы.
8.1. Ссать идти лечиться в бесплатную районную по месту прописки. Ведь там же больно и плохо делают.
8.2. Перестать ссать сходить в бесплатную районную, почистить разочек каналы без заморозки, потому что она у них кончилась. Поклясться больше никогда не ходить в районную, пока ты в сознании.
9. Не мочь в социализацию по схеме "нормальная работа - нормальные деньги". Смотреть как стоимость твоего лечения растет быстрее, чем бабло, которого у тебя и так нет.
10. Ненавидеть свои зубы, вытеснять мысли что с ними надо что-то делать и прокрастинировать ими заниматься.
11. Жить в пещере.
Аноним 07/09/16 Срд 16:29:56  514032
14732549963390.jpg (67Кб, 600x450)

>>514029
Бомж, но не совсем. Условно, если разбить свою свинью-копилку, потрясти мамкину свинью копилку и залезть в анальное кредит-рабство, то до полуляма наскребу.

Но во всех клиниках ДС, где я был, даже стартовые суммы начинаются свыше этой цифры. И они еще такие "ну это мы примерно". Местами честно называют в джва-джва с половиной раза больше.

Вообще, когда я прихожу и сажусь в кресло, врач смотрит мне в рот, после чего с горным акцентом говорит "погоди", зовет Главного и они смотрят мне в рот уже вместе. И в глазах у них пикрелейтед. А над головой неоновая надпись "никуда ты от нас не денешься".

А я какбэ понимаю, что я лузер, ситуация у меня жопная и я должен платить. Но я от этого не могу заплатить больше, чем у меня есть.

А вот на это "оллонфо" вроде как наскребается. Вот я и пришел спрашивать про подводные камни.
Аноним 07/09/16 Срд 16:51:14  514036
>>514032
Еще раз - подводных по факту нет.
Но и для имплантации должна кость соответствующей быть. Если не хватит , то без "наращивания" тебе закручивать винты в твою кость никто не станет. А "наращивание" стоит приличненько.

На крайняк удалить зубы ты можешь в принципе и в обычной поликлинике за бесплатно. Это должно ходить в омс. Потому что в частной они еще расценивают и удаление твоих зубов - соответственно ты им башляешь за это. количество корней - разный ценник
Аноним 07/09/16 Срд 16:55:56  514038
>>514032
А за рубеж поехать не выйдет дешевле? Куданить к бульбашам или в киев?
Аноним 07/09/16 Срд 18:00:00  514057
>>514021
Ну они у тебя хотя бы есть, эти зубы.
Аноним 07/09/16 Срд 18:10:59  514064
>>514057
Лучше без зубов, чем с таким пиздецом.
Аноним 07/09/16 Срд 18:17:18  514065
>>514064
Вырвать всегда успеется, а этот пиздец местами подлечить можно и использовать в качестве опор съёмных протезов.
Аноним 07/09/16 Срд 22:00:32  514126
>>514011
вопрос заработка ставлю в первую очередь только по той причине, что жрать хочется больше, чем думать о том, каналы ли мне сегодня поковырять или протезик намутить бабушке. не та сейчас ситуация, чтобы нос воротить

по поводу того, что тебя разворачивали в клиниках, когда ты искал работу ассистентом - хз, какая-то дикая неудача либо ты совсем непрезентабельно выглядишь, т.к. вакансия ассистента примерно равна вакансии продавца-консультанта в связном, текучка кадров пиздец.
ну а то, что у тебя высшее, а не среднее, так это плюс во всех аспектах, имхо.

военник у меня есть, в этом плане подфартило

а по опыту твоих бывших одногруппников? как у них дела сейчас? половина тоже сидит без работы или ушли в другие сферы, а добились хотя бы чего-то только те, у кого папка с клиникой?
Аноним 07/09/16 Срд 22:11:28  514134
>>514011
тот же кун 5 курс мгмсу

что-то жопа моя чует, что стоит взять первичку по терапии и идти работать помаленечку
пусть за небольшие бабки, пусть работая весь день за то, что ортопед заработает за пару часов, но это лучше, чем сидеть на жопе ровно и думать о том, какого хера я потратил столько времени на обучение и до сих пор сижу у мамки на шее, имея ординатуру по ортопедии той же самой
Аноним 07/09/16 Срд 22:25:51  514140
>>513449
Не понимаю причину агрессии.
Аноним 08/09/16 Чтв 00:44:02  514182
14732846429870.jpg (43Кб, 741x273)
14732846429881.jpg (214Кб, 1280x720)
>>513868
Как и обещал. Забавно, в зеркале кажется не так криво.
Боль на третий день похожа на второй день, спасаюсь болеутоляющим. Но целом уже привык.
Вчера делал панорамный снимок. Всё как >>513480 сказал, ортодонт взял его только посмотреть. Внимание, вопрос знатокам, ортодонт посмотрел на второй пикрелейтед и сказал, что зуб в котором штифт нужно переделывать - канал не полностью залечили, а так же второй зуб - там тоже проблема с каналом и что если ставить брекеты, то им обоим придет пизда. Когда это лечить не понятно, времени в обрез, завтра пойду к своему врачу который год-полтора назад мне эти зубы лечил, послушаю что скажет. В то, что она плохо сделала не хочется верить, но нужно быть реалистом.
Еще вопрос, сегодня пидорю зубы и вижу ДЫРУ, ЧЕРТОВУ ДЫРУ В ДЕСНЕ около места, из которого мне выпилили зуб мудрости. Еще вчера этой дырки не было, засунул туда ершик, дырка оказалась глубокая, вытащил оттуда петрушку, попутно отложив немало так кирпичей. Завтра побегу к хирургу. Всё это уже знатно так заебало, за лето потратил на брекеты, пломбы, снимки, лекарства и прочие операции больше 40к и конца этому не видно.


Аноним 08/09/16 Чтв 01:17:18  514191
>>514182
> ДЫРУ, ЧЕРТОВУ ДЫРУ В ДЕСНЕ
Не знаю что ты думал, но дыра затягивается года за пол, а заростёт костью так вообще хуй знает за сколько времеи, вполне норм, не переживай.
> вытащил оттуда петрушку,
чисти, по тому, что иначе вонять будет и гнить.
Можно ещё протез на время еды ставить из орешка или кукурузки, чтоб не забивалось.
Аноним 08/09/16 Чтв 01:29:53  514192
>>514126
>что жрать хочется больше
Ты дохуя прожорливый ? и не надо лукавить . Каждый сознательный человек понимает, что будучи стоматологом - бабло поднимается на пожрать. Даже в госке. А зп в госке , я думаю, ты чекал. Так что вопрос "лишь бы чем заниматься- только б с голоду не умереть, то это скорей пойти в ссаные ассистенты, а не каналы ебашить. .


>ну а то, что у тебя высшее, а не среднее, так это плюс во всех аспектах, имхо.
Эт ты так думаешь. Как бы играет фактор, что на роль ассистентов не хочется в очередной раз брать новую обезьянку и учить её стандартным трюкам. Т.к. чел с вышкой явно чуть что соскочит куда угодно на вакансию доктора.
Офк. Есть варик тип "остаться там же". Я такое рассматривал, но это не всегда так и не всегда ты там кому-то нужен будешь. Вопрос коммуникабельности но в таком случае ты уже после универа будешь иметь прозапас место доком, а не искать как бы пристроиться через ассистентство

>какая-то дикая неудача либо ты совсем непрезентабельно выглядишь
Если ты не тянка , то твои шансы попасть ассистентом - снижаются. Еще в студенческие годы такое многие уже уяснили чекаешь вакансии , и там порой даже указывают, что шкура должна быть внешне впечатляюще выглядеть. На навыки вообще похуй
Алсо пробовал ,как писал ранее, пристроиться через ассистентство в госку. Там вакансия весела на ассистента, мол интернов тоже берут. Позвонил пообщался с кадрами , но внезапно оказалось, что касательно интернов у них тоже там не все так просто , чтобы их пристроить таки диплом врача не позволяет по официалке работать средним мед персоналом. Слишком умный , чтобы быть на побегушках . лол. так что там не взлетело.

Ну и опять же - многие вакансии на ХХ висят мертвым грузом. Давно закрыты по факту.

Но на 12и часовое рабство что-то найти можно. Либо пойти во "все свои". но я ебал опять с ними связываться поработал ассистентом 4 месяца - съебался. Коллектив был так себе. И отношение к ассистентам такое же - т.к. многие это кыргызки. Да и штрафы с камерами стали кумарить.. Доктором на первичку так к ним и не попал. Тупо съебал в какойто момент во время "стажировки".

>>514126
>а по опыту твоих бывших одногруппников? как у них дела сейчас?
Ординатуры\знакомые\родители\притерлись, когда были ассистентами - там и остались\устроились замкадом где и живут.

> половина тоже сидит без работы
ктото тож сидел без работы. По дсу трудно найти работу не имея опыта. Если отпахал ассистентом и к тебе присмотрелись , чтобы оставить у себя, то ок. Но в целом - ординатура тем и хороша , что там ты можешь получить "стаж для себя". Т.е. даже если будет работодатель кукарекать , что в трудовой у тебя нет нихуя, то тебе похуй и найдешь другое место. Т.к. практики у тебя было достаточно как у меня горел пердак, когда спросил у девки , в этои году окончившую интернатуру, как у них прошла она. Сначала поныла, тип в поликлиники распределили и не особо много давали делать. Сука. у меня просто полыхало с этого. Год интернатуры моей у Арутюнова (чурка ебаная, который свою жопу там удачно пригрел и создает дохуя видимости только и не более) - был просто пустым. Только 1 цикл в госе , где принимали пациентов. 3 месяца. И то выпали на НГ праздники к тому же, да еще после праздников нас нахуй от туда послали. за 1 год интернатуры - полтора месяца была возможноть принимать СВОИХ пациентов. И то не каждый день и по утрам, когда все на работе-учебе и ты можешь наделать себе портфолио. Да и какие -никакие пациенты могли свои появиться.
В общем печалька, что с ординатурой у меня не задалось. В прошлом году проебался чет . Эх... да вообще там у меня по факту был пиздец. Начиная с конца универа перед ГИА. Потом все планы порушились нахуй и пошло наперекосяк.

>>514134
> идти работать помаленечку
>пусть за небольшие бабки
У меня настроение , что я готов работать за еду. Вот просто поместить меня жить в поликлинику, дать возможность вести прием и все. Я буду счастлив на ближайшее время. Ортопедия-терапия - похуй вообще. Вопрос денег вторичен на данный момент. Я просто хочу поработать, начать этим заниматься и продолжить развиваться. Причем по всем основным направлениям. Без хуйни типа "ой бля, я ортопед, идите нахуй с каналами". тем более не многие пациенты могут позволить себе коронки , так что восстанавливать на штифте будут терапевты, не отдавая пациентов ортопеду. Да и ортопедию делать на каналах, в которых ты уверен - както приятней. Так что не вижу ничего плохого в смешанном приёме. алсо и чистку тоже не стоит забывать + отбеливания всякие

>>514134
>имея ординатуру по ортопедии той же самой
Нуууу после ординатуры, как и писал выше, вряд ли кто будет сидеть на жопе ровно. Если нормальная ординатура с практикой-то.
У меня вот не было ординатуры по факту. И первичка - все формальности. Но есть план, что делать. К нг планирую начать это реализовывать начать алсо и лень за это время накопилась ж нехуевая. Как представлю что надо в 8 утра быть на работе- аж ахуеваю! Эх... а помнится как катались в томилино на ебаное материаловедение и много других странствий по учебе.

>>514140
там пост дальше, почитай. Если не поймешь, то видимо ты слишком тупая пидораха.
Аноним 08/09/16 Чтв 01:45:00  514193
>>514182
Да, надо перелечивать тот что левый (без штифта). Там Уже процесс в области верхушки корня есть как мне кажется, а то что я прав 99.9999% , а тот что со штифтом надо вообще посмотреть на прицельном снимке. Мне он не очень нравится.
>>514182
> вытащил оттуда петрушку
Ты ж блять... А стараться не жевать на этой стороне ты не мог?
1- дыра будет затягиваться достаточно долго. но нет,ты не будешь ходить год с отверстием. Десна затянется + там уже начнет образовываться кость. Нормальной структуры она будет только через месяцев 6 и чуть более. Но дырка закроется много раньше. не ссы.
2- НЕ СУЙ НИЧЕГО В ЭТУ ДЫРКУ! НЕ ВЫЧИЩАЙ ОТ ТУДА КРОВЬ, И БЕЛУЮ ФИБРИНОВУЮ ПЛЕНКУ! НЕ ЖУЙ НА ТОЙ СТОРОНЕ ПАРУ НЕДЕЛЬ ПОСЛЕ УДАЛЕНИЯ будешь нарушать этуй хуйню - удалишь сгусток и мало того , что нарушишь заживление, то еще и воспаление начнется. Будет тупо болеть. Потом доктору придется опять скрести у тебя в дырке -собирать кровяной сгусток + принимать вещества

>>514182
>за лето потратил на брекеты, пломбы, снимки, лекарства и прочие операции больше 40к и конца этому не видно.
У меня лечение брекетами от и до , сами только брекеты и лечение у ортодонтаассоциируются с ценником 100к за челюсть. Так что хз чем ты недоволен.

>>514191
>чисти, по тому, что иначе вонять будет и гнить.
Ну давай, насоветуй ему. А потом будет у него альвеолит. Потому что дурашка сгусток к хуям удалил и не дает ему образоваться , с последующим преобразованием в кость.
Хирург, к которому он вернется, будет очень рад ему, за эту хуйню.
Аноним 08/09/16 Чтв 02:10:42  514194
>>514191
>>514193
Так дело в том, что зуб удаляли мне около 3х недель назад, швы сняли 25 августа и после этого у меня не было никаких дырок том месте, после удаления шва уже всё заросло как на соседнем удаленном зубе, хирург же про лунку и сгусток ничего не говорил. В понедельник делали чистку и ставили брекеты - ортодонт бы мне сказал про дырку. Вчера её тоже не было, обнаружил только сегодня вечером. Она очень узкая и где-то сбоку, около 7ки.
Аноним 08/09/16 Чтв 02:24:30  514199
>>514192
кинь фейко (или не очень) мыльце или впашку, похуй, напишу туда тебе, поговорим

по поводу бабок и сидения на жопе ровно. ординатура - очередной повод посидеть у мамки на шее лишние 2 года, имхо, ты просто сам себя вроде успокаиваешь, типа ты учишься, не до работы нихуя, да и никому ты не нужен без должного образования и т.д. да по сути-то, даже с должным образованием никому ты нахуй не нужен.

по поводу работы ассистентом - хз - пол группы работает, и куны, и тяны. на шару на авито кидали резюме - им перезванивали. работают за еду, офк, но там больше для того, чтобы опыта хоть какого-то набраться. там около 2к/смена что ли 12 часовая + снимки, короче пиздец гроши.

кстати, ни один из них официально не трудоустроен, лол, поэтому, я думаю, что тебе лучше попробовать податься в частные клиники, не настаивая на официальном трудоустройстве, лишние налоги платить ни одному работодателю не хочется, а все эти отмазы, типа военника нет, типа у тебя вышка, а не среднее - хуита для отвода глаз.
хоть как-то работать начнешь
знакомые многие начинали именно так: 2/2 работали ассистентом, набирались опыта, 1/3 вели прием в другой клинике и потихонечку перебирались туда с концами

а что касается всяких арутюновых))) камон, весь универ такими арутюновыми кишит просто. я за 5 лет учебы могу назвать 2 преподавателя, которые научили хоть чему-то, действительно годному
Аноним 08/09/16 Чтв 04:30:22  514208
14732982223850.png (304Кб, 505x554)
>>514036
>Но и для имплантации должна кость соответствующей быть. Если не хватит , то без "наращивания" тебе закручивать винты в твою кость никто не станет.

А ты точно зубной Айболит? А то про это самое all-on-4 везде написано, что оно не требует наращивания костной ткани, потому что задние винты вставляются под хитровыебанным магическим углом в 45 градусов. Врут?


>>514038
>А за рубеж поехать не выйдет дешевле? Куданить к бульбашам или в киев?
Классическая имплантцаия это ж небыстро. А надолго из ДС сваливать не могу. Да и не уверен, что сильно выиграю, хотя надо погуглить их цены.
Незначительный выигрыш в цене, во-первых, не спасёт. Ну будет прайс не 1300К, а 900К? В два-то раза врятли цена уронится. А во-вторых, совсем не спасёт, потому что встают вопросы трат на проезд, проживание, отпуск на работе за свой счёт в зависимости от длительности плавно переходящий в увольнение и прочее хуёмоё.
inb4 пустят ли еще "москальского агрессора" в Киев, ХЗ чо там сейчас с этим - не слежу.
Так-то не обязательно за бугор, можно и в условный Воронеж.

К тому же, не отбеливание ануса делаю. Хочется чтоб исполнитель был под боком, чтоб, если что не так,то с него спросить за доработку или переделку можно было. У шапошной знакомой тут пожилую мать по оказии в Индию скатали сделать зубы. Та вернулась, а потом воспаление-отторжение-чёртзнаетчтоещё, и проблема стала только больше.

>>514065
Ну вот потому пока и не дернул. К тому же, после того как зуб удалён, костная ткань начинает атрофироваться без нагрузки, и потом вставлять что-то уже сильно проблемнее и еще дороже.
Аноним 08/09/16 Чтв 09:21:52  514219
Когда я лечил 7-8 зубы с каждой стороны - всегда не действовала инфильтрационная анестезия - изворачивались по разному, то ставили "антисептик", то трепел, то еще что.
Анестезия не виновата - в разных нормальных клиниках результат был один и тот же.
Осталась еще одна лежачая восьмерка. Не беспокоит, но удалять когда-нибудь скорее всего придется.
Как получить нормальную анестезию? Другую лежачую восьмерку удалял установив заблаговременно "антисептик" (типа мышьяка, ну вы поняли).
Оставшаяся восьмерка более лежачая, надо десну резать чтобы установить мышьяк.
Аноним 08/09/16 Чтв 12:05:57  514241
>>514219
> Как получить нормальную анестезию?
Пойти к нормальному доктору и попросить нормальную.
У меня есть стоматолог, он колит какую-то хуйню, медленная и слабая, а может ещё и не много колит, для пломб - самое оно.
А есть хирург лицевой, за 30 секунд я не чувствую половину лица, я даже не понял когда мне разрезали десну и когда её зашили.
Аноним 08/09/16 Чтв 12:22:34  514246
>>514241
Ну да, я неправильно спросил. Получается, нормальная инфильтрационная (вторая у тебя) мне не подходит. С проводниковой опыта нет. Нужна инфа, будет ли толк от проводниковой или внутрипульпарной в моем случае, или какая еще есть.
Аноним 08/09/16 Чтв 14:40:28  514295
>>514199
>впашку
https://vk.com/id231378626

>ординатура - очередной повод посидеть
Твое мнение

>да и никому ты не нужен без должного образования и т.д. да по сути-то, даже с должным образованием никому ты нахуй не нужен.
Ты не уловил моего посыла. На образование всем похуй Всем интересен твой СТАЖ. Потому что он подразумевает навыки. таки да, работодатели не идиоты и знают, что студенты выпускаются в 99% случаев почти без практических навыков

>>514199
>пол группы работает
Ассистирование мне не усралось сейчас. Зимой гдет еще тыркался тип ассистентом поработать. Но потом пара вакансий врачом слетели военник , ага. . Сейчас вопрос военника решаю. А там либо в ДС пристроюсь на время куда-нить за еду в так себе гос конторку, либо перекат за мкад.

>тебе лучше попробовать податься в частные клиники
Никогда не настаивал на официальном, тем более ассистентом. Но ассистентом сейчас поиск работы мне нахуй не сдался. Это дно.

>работали ассистентом, набирались опыта
Опять же - хуйня. Ассистирование дает опыт , когда ты что-то впервые видишь. Скорей это не опыт , а первичные знания .

>1/3 вели прием в другой клинике
Такие и у меня были . Но там как правило родаки под крыло брали, либо где ассистировали - хорошо пригрелись и само руководство было заинтересовано оставить их себе в дальнейшем в качестве врачей. Ну а кто-то просто работодателю безбожно ссал в уши тип "да да , я умею бла бла бла" , но это такое.

>>514208
>А ты точно зубной Айболит?
Нет.

>>514246
Наркоз.

Аноним 08/09/16 Чтв 15:54:27  514314
>>514192
>там пост дальше, почитай.
Читал. Мне скинуть фортки хуёво залеченных зубов?
Я прекрасно понимаю, что стоматолог делает хуёво. Но зато дёшево, мне пару зубов там за 7000 сделали вхлам сгнивших, а в часной сразу 20000 запросили.
И да, тут аноны говорят, что им чистили вообще не задевая дёсен, а у меня таки пару раз задели. Не это ли признак криворучия?
Аноним 08/09/16 Чтв 16:21:44  514322
>>514182
>Забавно, в зеркале кажется не так криво.
Я тоже когда фоткаю свою пасть, тот еще адок получается на фото. Не завидую своим собеседникам, если мои зубы и правда так выглядят.
Аноним 08/09/16 Чтв 16:30:12  514328
Технологии уже дошли до того, что можно зашпаклевать зубы так, чтобы это вообще не было заметно даже на свету?
Аноним 08/09/16 Чтв 17:06:00  514334
>>514193
>ассоциируются с ценником 100к за челюсть.
То есть 200 за весь рот? Это ты про ДС говоришь сейчас? Потому что я в мухосрани за 200 сделаю брекеты+зубы все починю. И мб на имплант останется.
Аноним 08/09/16 Чтв 17:31:06  514339
Ортопед-куны, а когда говорится "имплант прослужит вам не менее X лет", то что имеется ввиду?

Прошли, например, эти плюс-минус X лет и чо будет? Отторгнется? Рассыпется в мусор? Самоуничтожится вместе с челюстью? Начнет служить другому господину?

Короче, что происходит по протуханию срока годности?
Аноним 08/09/16 Чтв 17:49:29  514347
>>514314
>тут аноны говорят, что им чистили вообще не задевая дёсен
>Не это ли признак криворучия?
Ой , да иди ты на хуй, а? А я тебе говорю, что задеть десну - это вполне нормально. Только у одного , такого ебанутика она дерьмовая потому что в лотерею генетику проебал или пидарас, который запустил свое грызло и он сразу орать и визжать будет, а другому похуй.

>Мне скинуть фортки хуёво залеченных зубов?
К чему твои фотки и то , что задеть десну это вполне нормально и не критично? Ты даун шоле?

>Я прекрасно понимаю, что стоматолог делает хуёво
>Но зато дёшево
>сидит потом поносит его говном
Знатный говноед и типичный пидораха. Иди на хуй короче)

>>514339
>Ортопед-куны, а когда говорится
Импланты - это ИМПЛАНТОЛОГ .

>то что имеется ввиду?
Хуй знает. Скорей всего , что к нему не будет никаких претензий. А так с возрастом чуток оголяться начнет. И то это ОЧЕНЬ долгий и мало заметный процесс.

При соблюдении протоколов , прижившийся имплант по факту служит вечно. Хули титану то будет? Не рассасывается- нихуя.
Аноним 08/09/16 Чтв 18:22:42  514355
>>514347
>Ой , да иди ты на хуй, а?
>Иди на хуй короче)
Я не понял, ты тот самый стоматолог, что мне пидорасил зубы за 1500, и тебе обидно, что так мало?
Аноним 08/09/16 Чтв 18:43:04  514367
>>514355
Слушай, я тебя послал на хуй, потому что ты туповатая пидораха, которая нихуя всё равно не поймёт достаточно того факта, что ты знаешь, что тебе делают ХУЁВО , но ты идешь и ОСОЗНАННО ЖРЁШЬ ГОВНО

Так что просто "иди на хуй". Это ты хоть способен понять?
Аноним 08/09/16 Чтв 19:23:45  514382
>>514367
Значит обидно.
Аноним 08/09/16 Чтв 19:31:23  514384
>>514382
Пидораха-говноед, ты уже вернулся?
Аноним 08/09/16 Чтв 20:20:14  514401
Вчера удалили нижний зуб мудрости. Удаление было довольно сложным, 25 минут его выковыривали. Вот прошел день и у меня досих пор во рту кровь, я бы не сказал что совсем плохо но есть. Это нормально или стоит бить тревогу? Осложнений особых вроде нет. Небольшой отек почти незаметно, пью антибиотик что выписали и вроде боли никакой нет, лишь какие то пульсации, из-за швов неприятно и иногда глотать не очень. Спасибо за ответ заранее. В инете на одних сайтах написано одно на других другое.
Аноним 08/09/16 Чтв 21:00:15  514418
>>514401
еще пару дней и если ничего не изменится - то бей тревогу.
Аноним 09/09/16 Птн 10:54:54  514503
14734076948630.jpg (62Кб, 718x219)
Расскажите про расширяющие пластины. Насколько они дикцию портят? Насколько болезненно их устанавливать/носить? Есть какие-то альтернативы их установке?
Пикрилейтед мой диагноз. Прогнозируют 2-2.5 года ношения брекетов. Встанет все это в 150-200 штук. Это адекватная цена для моего случая?
Аноним 09/09/16 Птн 11:20:57  514509
>>514401
Всё норм.
>>514503
> Это адекватная цена для моего случая?
Брекеты на обе челюсти + пластины, ну если ДС - думаю норм.
Аноним 09/09/16 Птн 11:44:26  514517
>>514509
>ну если ДС - думаю норм.
Не, замкадск.
Аноним 09/09/16 Птн 14:06:33  514554
>>514503
МНожественны кариес это сколько зубов? Дай фотку.
Я ставлю брекеты сейчас в мухосрани и вместе с лечением 4 зубов 130к выходит за полтора года. Но там как пойдет еще на сеансах - резиночки, дуги, всякая срань - мб и больше в итоге набежит.
А у тебя "множественная" + на год дольше носить и от 150к. Вангую, что цена указана примерно верно.
Аноним 09/09/16 Птн 15:07:10  514583
>>514554
>МНожественны кариес это сколько зубов? Дай фотку.
Последний раз полгода назад проверялся, штук 8 лечить надо было. Как заебал меня этот кариес, вроде зубы каждый день 2 раза чищу, полощу после еды, а зубов здоровых уже не осталось, все в пломбах считай, кроме резцов, будут.
Аноним 09/09/16 Птн 16:18:05  514606
>>514583
панорманый снимок делал/не? Вангую, что найдется еще
Аноним 09/09/16 Птн 16:32:16  514610
>>514606
Год назад делал. Да вроде ничего не болит, надеюсь нет скрытого кариеса.
Аноним 09/09/16 Птн 16:43:12  514615
>>514554
Бля, стоит оно вообще того - 150к отдавать? Я вот не могу решиться на лечения из-за денежного вопроса. Какого хуя они вообще такие дорогие? Может вообще протезы нахуй поставить?
Аноним 09/09/16 Птн 16:55:55  514619
>>514503
> Встанет все это в 150-200 штук
Хуй знает где вы там такие цены находите, наверно специально ищете. У меня 54к брекеты на обе челюсти вместе с установкой, затем нужно посещать ортодонта раз в 2 месяца по 500р за челюсть (1к за прием), тут вроде даже 100к не набежит хоть 2 года носи.
Аноним 09/09/16 Птн 18:19:50  514654
>>514619
Мы постим цены вместе со всеми-всеми работами по чистке-заделывании-лечении и прочему. Так то я тоже могу сказать: посоны, ставлю брекеты за 72 куска на обе челюсти. Базарю, еще захотите!
Вот только я умолчал о снимках, кариесе, удалении, ретейнере, приемах, дугах, щетках и хуй пойми чем еще. А там еще набежит 70 тысяч. Вот тебе и 150.
Аноним 09/09/16 Птн 18:39:40  514662
14734355806570.jpg (1325Кб, 1404x1076)
Антуаны, снова нид хелп. Я все тот же Антоний >>512791
Заделал все верхние зубы, в четверг иду ставить брекеты на "верх". Снизу остался 1 зуб с кариесом, его я удалю и вот эта вот хуйня, что я пытался нарисовать на пике выше. Под зубом 46 живет-растет НЕХ. Я оставил КТ терапевту или как там его, он посмотрел и сказал, что видимо когда то залечили мне тот зуб хуевасто, что-то осталось и вот эта хуйня развилась и по-тихоньку хуует там внутри меня. Сказала, что гарантий никаких на лечение дать не может: мб каналы не "пройдет", мб ухудшится ситуация, мб лечение не поможет и придеться удалять - очень шаткая ситуевина. В чем мой вопрос, казалось бы? А вопрос в том: что блядь делать то мне с этой хуйней? Она где то там внутри, жить не мешает, не чувствуется, не видится(ну кроме как на снимке), зуб я тот делал уже и не помню сколько лет назад. МБ 10-12. Но и она и ортодонт говорят одно и тоже: это бомба замедленного действия, может выскочить в любой момент и будет пиздец. Вроде терапевт сказала, что кость там задета этой хуергой или костная ткань. Что-то типа того.
Варианты следующие:
1. Пока есть месяц-полтора до постановки на нижнюю челюсть заняться зубов, просверлить его, положить "лекарство", временную пломбу заделать, надеяться, что пронесет и ставить брекеты. Но есть шансы, что все накроется пиздой, зуб в итоге хуй сохранишь, все мне там распидорасят и будет у меня дыра. А как же тогда брекет лепить? Слепок то делался под все зубы.
2. Нихера не трогать, ставить брекеты, а заняться через полтора года, когда систему сниму. Надеяться, что пронесет. Деньги пустить на сами брекеты, а когда уже все зубы будут как надо, ровные и тд - заниматься этой хренью. Если тогда уж удалять, то думать там - мост/имплант или что.
3. Есть еще мутный третий вариант это ходить по клиникам с этим моим КТ и спрашивать, кто возьмется мне эту херню лечить и будет уверен в результате. Но чувствую, все будут говорить, что гарантий никаких, давай неси бабки и раскрывай рот.
Встанет это все не меньше 10 тысяч, а я так вангую, что 15 точно отвалить придется и хуй бы с ним, если бы результат был, а так можно 15 отдать и в итоге получить дыру.
Грамотный анон, что делать то мне? В четверг пойду к ортодонту, скажу ему, что сказал терапевт, надо будет решение принимать какое-то. В какую сторону мне смотреть?
Аноним 09/09/16 Птн 18:42:05  514665
>>514662
Добавлю. Там выше кто-то отвечал на мой пост
>смотрит сколько каналов и пролечивает их
Терапевт сказала, что три. Это оче плохо?
Аноним 09/09/16 Птн 19:52:23  514691
14734399434650.jpg (61Кб, 960x720)
14734399434661.jpg (64Кб, 960x720)
>>514662
Грамотный терапевт с микроскопом тебе нужен. На крайняк - апикальная хирургия.
пики из паблика, который чекаю. Кейс одного из докторов. Мб что-то поймешь. Сравни со своей НЕХ и вот что с ней можно сделать
Ты кажется стрелку не на тот зуб показал на своём пике. У тебя там зуб без пломбы даже. кек.
Мосты - хуйня. Избегай их. Только имплант если уж решишь удалять



>>514665
Нет. Ценник лечения увеличивается.
Аноним 10/09/16 Суб 00:40:28  514802
>>514691
Нихуя по пикам не понял. Зуб куда то 16й исчез, лол. Насчет стрелки - ну мб я дебил. 46й зуб, кароч.
Так док, какой прогноз, если я забью хуй и через 1.5 года вернусь к этому вопросу? Доживу я/нет?
Аноним 10/09/16 Суб 00:42:55  514804
>>514802
>Доживу я/нет?
ты - да. Зуб - хз.
на пике - твоя НЕХ пропала.
Аноним 10/09/16 Суб 00:55:56  514813
Это снова я про зуб мудрости. Вот уже 2 день прошел с момента удаления. Досих пор в слюне кровь. Везде пишут что это плохо. Ничего вроде не болит. Я не знаю что делать, швы сказали снимут через неделю не раньше, если болевые симптомы больше 3 дней то звоните. Выходные вот и что делать, как остановить кровь. Ее не много вроде но все равно чувствую во рту.
Аноним 10/09/16 Суб 01:40:38  514818
>>514813
У тебя там льет потоком кровяка ? Или слегка "подтекает"? Если второе , то не ссикай.
Можешь дать себе третий день
Аноним 10/09/16 Суб 02:18:14  514826
>>514182
Сходил к хирургу и заодно заглянул к терапевту, терапевт говорит что на таком снимке трудно сказать что с каналом, надо делать прицельный, а где штифт нужно пломбу поднять, вообще из-за неправильного прикуса у меня все пломбы и зубы стерты и практически не имеют никаких бугорков, считай плоские.
Хирург же говорит что всё в норме и типо я это дыру не заметил но я бы заметил, мол не ссы, все заживет,. Хотя в душе сомнения, как-то посмотрел он на отъебись.
>>514619
Разброс в ценах огромен, есть простые брекеты, можно поставить за 18к, а если договориться с врачом, то за все 15 на одну челюсть, ах да, еще слепки и снимки допустим 5к, прием раз в 1.5 месяца по 1-2 к в течение полутра лет, вот и считай, не так уж и много, да?
Я поставил себе за 27.5, это в моем замкадье и в гос. клинике, в частной уже 36, а в дс-2 около 50к.
>>514813
Когда мне удаляли 8ку и 7ку в первый день крови выплюнул целый стакан, течь перестала только на 3-4 день. Сейчас прошел месяц, выглядит так, будто бы ничего и не было.
Аноним 11/09/16 Вск 15:20:59  515242
В дженерале вашем меня проигнорили, так что продублирую:

Как же меня заебали стоматиты. У меня во рту последние пару дней 4 или 5 этих белых хуевин. Как, блядь, с ними бороться, боль иногда такая, что пиздец, даже укол в десна бывает не так болен, как это ебень временами. Они у меня с самого детства. И что самое хуевое, чем не пытайся их обмазывать, метрогилом, прижигать зеленкой, полоскать рот хлогексидином, пить прополис, как-будто толку вообще нет, борись ты с ними или нет, хоть на стадии зарождения, но дней 5 они проживут. А это пиздец как раздражает и отвлекает, если че-то учить надо, не говоря уже о приеме пищи.
Как вы с этим боритесь, есть ли эффективные методы, которые лечут эту хуйню за день-два? Ну или хотя бы боль нейтрализиют, те кто страдают ими, наверняка знают, что под конец дырени остаются и могут быть крупными, но уже не болят.
Аноним 11/09/16 Вск 15:27:18  515244
>>515242
тантум верде\холисал снизят болезненность

Сходи к стоматологу.
Если из ДС, то на тимирязевской на ул. Вучетича стомат комплекус МГМСУ. Кафедра терапевтической стоматологии.

Для самолечения - качаешь учебник Баровского "терапевтическая стоматология". В какой-то из частей будет про заболевания слизистой . В частности стоматиты. Читаешь причину наследственность причины которые приводят к обострению стресс ну и способы лечения антисептики ,обезболивание , уменьшить кол-во стресса в жизни. Заодно консультация с гастроэнтерологом и др. Препараты и манипуляции там описаны.
Аноним 11/09/16 Вск 19:21:26  515322
14736108869120.jpg (303Кб, 1824x1368)
Во сколько примерно обойдется лечение такой хуйни на передних зубах и за сколько походов?
Аноним 11/09/16 Вск 20:04:49  515332
>>515322
1-2 захода, 10-15к
Аноним 12/09/16 Пнд 02:29:58  515464
>>514517
Тогда наверное дорого.
>>514615
Не знаю как у тебя, у меня всю челюсть перекосоёбило и лицо стало уёбищным, было противно в зеркало смотреть, сейчас уже збс.
>>514813
удвою того кто ниже, кровил как баба, это норм.
Аноним 12/09/16 Пнд 04:31:30  515469
>>515242
У меня не меньше недели эти ебаные язвы держатся без лечения.Внезапно, очень помогает стрептоцид, которым присыпаю ранки после еды - на начальных этапах просто не разрастается до пиздецомы, а пиздецома начинает заживать через сутки примерно.
Аноним 12/09/16 Пнд 09:33:30  515493
>>515244
>>515469
Грац, ребята.
Аноним 13/09/16 Втр 13:33:45  515957
14737628253170.jpg (312Кб, 1098x1199)
14737628253231.jpg (201Кб, 1133x1170)
Анон, помогай. На следующей неделе иду пломбировать зуб №1
Также есть запломбированный 10 лет назад зуб №2 и возле пломбы появилось черное пятно, нужно ли заново пломбировать зуб, или что обычно делают в таких случаях?
И есть зуб №3 с небольшим черным пятнышком, нужно ли его удалять? (пятнышко в смысле)
Аноним 13/09/16 Втр 15:35:13  515989
14737701137820.jpg (269Кб, 1133x1170)
>>515957
Готовь туза бабки
Аноним 13/09/16 Втр 16:00:56  516009
14737716562070.jpg (286Кб, 1484x812)

Сейчас заметил коричневые точки и линии на передних зубах. По такому запросу гугл выдает гниение, которые идет от десны.

Снимал на тапок, плохо видно коричневые линии и точку на левом - обвел их красным. Также с белыми хуйнями(кариес?) сверху зубов.

3 года назад лечил дырки на 2 задних. Проебал дохуя бабла(уже не помню сколько) за какие-то махинации с кариесом. Мне еще тогда сказали не запускать и лечить передние тоже. Получается, запустил или еще не поздно идти фиксить? И поясните, она там кариес мне могут убрать и как-то восстановить эмаль?
Аноним 13/09/16 Втр 16:44:10  516025
14737742506770.jpg (274Кб, 1331x1302)
>>515989
Сегодня ставил пломбу на верхнем зубе, правильно ли я понимаю что стоматолог криворукий уебан и должен был убрать весь кариес с этого зуба?
Аноним 13/09/16 Втр 16:45:13  516027
14737743139210.jpg (422Кб, 1331x1302)
>>516025
Вот это имею ввиду
Аноним 13/09/16 Втр 16:47:13  516028
>>516009
Вангую, что тебе просто нужна чистка зубов, пока окончательно все не пизданулось
>>516027
Бля, анон, я хз. Мб ты уголь активированный ел и потом сфоткал? Выглядит, как что-то, чего быть не должно. Но я не док.
Аноним 13/09/16 Втр 16:50:27  516029
>>516028
Ну меня интересует мнение анона-стоматолога, нужно ли идти бить ебло моему врачу или это норма?
Аноним 13/09/16 Втр 18:01:27  516053
Аноны, заболел зуб.
Не могу дотронуться, жевать.
Иногда побаливает даже если не трогать.
Аноны, это всё, надо удалять нерв 100%?
Проблема в том, что я лечусь у знакомого стоматолога в частной клинике занидорого, а тут пиздец, у них ремонт 2 недели.
Что делать?
Идти в бесплатную? Я боюсь мне там нахуевертят, мышьяка наложат.
2 недели терпеть? А не опасно?
Аноним 13/09/16 Втр 18:35:59  516061
Доктор, можно я попью колы после стоматолога? Она же не красит?
Аноним 13/09/16 Втр 19:00:12  516072
>>516061
Красит. 2 часа не пей.
Аноним 13/09/16 Втр 19:04:25  516074
>>516072
2 часа уже прошло. Стоматолог говорит не есть красящее сегодня.
Аноним 13/09/16 Втр 19:42:45  516093
Аноны, помогите советом. У мамки и бати были проблемы с зубами. Так вот батя ходит со вставной челестью (на нем сэкономили), а вот мамке что-то там поставили за 2 штуки баксов и все стало заебись. Но спустя четыре года конструкция, которую ставила мамке пошла по пизде. И теперь врачи в поликлинике пожимают руками, мол ниче сделать не можем. Там суть в том, что в десну вставляли какие-то винтики или шурупы, и вот эти шурупы за 4 года от еды разломались. И теперь врачи этой клиники говорят что мол хуй его знает что делать, типа у вас теперь проблемная челюсть и не за что держаться протезу или что-то такое. Вообщем мать сегодня весь день проплакала, ну и я вот хочу спросить. Может ли вообще такая ситуация возникнуть, что из-за челюсти нет вообще никаких вариантов поставить зубы и человеку всю оставшуюся жизнь придется есть жидкую еду. Или это просто в этой клинике такие пиздаболы и для нормального стоматолога не будет проблемой как-то исправить ситуацию. Удалить остатки этой старой конструкции и поставить заново зубы. Хочу как-то мамку успокоить
Аноним 13/09/16 Втр 22:57:28  516174
>>516093
Деньги у тебя есть? много денег? я не спец в этом вопросе, но можно нарастить кость, чтоб в неё можно было вкрутиться, но это пиздец дорого.
Аноним 13/09/16 Втр 23:11:44  516179
>>516174
Много это сколько ? Ну пара штук наверное найдется у родителей в заначке, но вряд ли больше. Наращивание - это единственный способ ? Я нагуглил, есть еще какой-то там синус-лфитинг
Аноним 14/09/16 Срд 02:03:18  516225
>>516009
бамп
Аноним 14/09/16 Срд 16:08:15  516392
>>516093
>и человеку всю оставшуюся жизнь придётся есть жидкую еду.
Хуита. Моя мама с 4 зубами на нижней челюсти кости доедает ест вполне нормальную пищу.
>>516179
>Ну пара штук наверное найдется у родителей в заначке, но вряд ли больше.
Для начала хватит, дальше ещё.
>>516009
Белые участки это просто перефторированная эмаль, жить будешь. Зубная паста же с фтором?
Аноним 14/09/16 Срд 18:34:48  516460
>>516392
>Белые участки это просто перефторированная эмаль, жить будешь. Зубная паста же с фтором?

"новый жемчуг КАЛЬЦИЙ", есть существенный профит от паст дороже? и че это за коричневые точки линии?
Аноним 14/09/16 Срд 18:57:30  516467
>>516025
Возможно это просто пигментация. Судя по пломбе - в госке ставил за бесплатно ?

>>516009
нихуя не видно. На всех зубах такое? или только эти 2??
>>515957
Кариес и ппигментацию стоматолог сам деференцировать будет.

>>516053
>Не могу дотронуться, жевать.
>Иногда побаливает даже если не трогать.
this
>надо удалять нерв 100%

>лечусь у знакомого стоматолога
А контактами обменяться и его доебывать - не судьба?

>>516061
Можешь попить и после гениколога. Какая проблема?

Аноним 14/09/16 Срд 19:04:50  516470
>>516093
Ни снимков - нихуя.
Винтики поламались. Импланты шоль? лол.

Либ пили больше конкретики , либо бегай сам по клиникам на консультации.

>>516179
>Я нагуглил, есть еще какой-то там синус-лфитинг
Это считай и есть "нарашивание". только для верхней челюсти.

Аноним 14/09/16 Срд 19:05:13  516471
Расскажите про отличие лигатурных брэкетов от дэймонов. Сильно они отличаются в плане эффективности? Стоит переплачивать за дэймоны?
Аноним 14/09/16 Срд 19:08:12  516473
Можно рассматривать протезирование как дешевую альтернативу брэкетам?
Аноним 14/09/16 Срд 19:11:46  516476
>>516471
Работает одинаково, не устраивает вид обычных - ставь хоть залупу с брилиантами, похуй на вид - обычные стальные.
>>516473
> протезирование
> дешевую
Ебанутый?
Аноним 14/09/16 Срд 19:12:56  516478
>>516473
>протезирование
>альтернативу брэкетам
>дешевую

Я серанул аж.ты хотябы загугли сколько стоит тотальное протезирование на верхней и нижней челюсти.

И даже если не брать вопрос цены, то это разные вещи. хотя если поудалять к хуям зубы и воткнуть импланты, то да. Можно сказать, что протезипование это альтернатива
Аноним 14/09/16 Срд 19:13:18  516479
>>516476
>Ебанутый?
Заменить 4 зуба выйдет дороже 150-200к?
Аноним 14/09/16 Срд 19:16:52  516481
>>516479
имплант + коронка + удаление.
Гугли цены и считай.

Аноним 14/09/16 Срд 20:31:17  516506
Аноны болит зуб иногда ночью. Бывает пару дней подрят а потом всё впорядке месяц два. Был в морях поэтому ничего не делал. Сейчас пришел думал удаление нерва.
Стоматолог посмотрел зуб а там всё в порядке ни кариеса ни сколов сказала что там ей делать нечего. Что это могло быть?

Просто интересно что это могло быть. Скоро опять рейс. И если посреди рейса заболит зуб это будет пиздец. Потому что кроме вырывания там особых вариантов нет.
Аноним 14/09/16 Срд 20:39:43  516510
>>516506
>Потому что кроме вырывания там особых вариантов нет
обезболивающим запасись тогда. До суши дотянуть.


>болит зуб иногда ночью
Классика для пульпита.
Давай сюда снимочки. Алсо точно этот зуб? иногда может причиной быть соседний.



Аноним 14/09/16 Срд 22:31:28  516537
>>516506
Хуле снимок первым делом не сделал?
Аноним 15/09/16 Чтв 00:39:49  516574
>>516506
Снимок, блять!
Это как к хирургу прийти и не говорить рука болит, а он в ответ 'с виду норм, че ты переживаешь ', а на снимке перелом.

>>516479
Внезапно дороже, даже если учитывать твои фантазии про 4 зуба, откуда ты вообще взял это число?
Аноним 15/09/16 Чтв 12:13:13  516631
>>516537
>>516510
>>516574
Да откуда мне ньюфагу знать о снимках. Когда я обычно ходил как и сейчас когда зубам пиздец и от боли хочется лесть на стену.
Она мне весь рот просмотрела было всего 2 кариеса. И то на другой стороне рожи.
Буду запасаться обезболивающим на всякий случай.
Аноним 15/09/16 Чтв 12:19:15  516632
>>516631
Снимок делается за 15 минут в любой платной клинике занедорохо, беги пока не уплыл и делай.
Аноним 15/09/16 Чтв 14:55:29  516676
>>516632
Двачую. Да даже в госке той же спокойно делается.
Цена снимка прицельного по ДС -150-200р за зуб.

>>516631
Если есть деньги - отбашляй 1к рубликов на панорамный снимок (обычно предлагают выбор - на диске тебе или на пленке) . Потом кидай сюда если пленка и фотик твой говно, то через сканер прогони. Топовый способ будет, чтобы снимок качество не потерял и могли оценить

Аноним 15/09/16 Чтв 16:36:15  516717
14739465759580.jpg (1247Кб, 1685x697)
14739465759831.jpg (1232Кб, 1373x773)
14739465760072.jpg (1258Кб, 773x1373)
14739465760323.png (17Кб, 430x496)
Анон, который ставит брекеты репортинг ин.
Сходил, поставили. За сам прием нихуя не взяли, я как заплатил пару недель назад заранее 36к за верх - так и на этом все. Ставили час+, не больно, просто сидишь и смотришь в потолок.
Дали "стартовый набор", там воск, щеточка с выемкой под брекеты и щеточка с двумя насадками для чистки: тонкая и толстая.
Приходить ровно через 6 недель на постановку "низа".
Привел текущую смету по зубам, если кому будет нужно.
Всё. Пасиба что прочли. Укатываюсь нахуй. Пока что не болит.
Аноним 15/09/16 Чтв 17:00:56  516727
>>516717
> Пока что не болит.
хе-хе
Аноним 15/09/16 Чтв 18:25:43  516764
Аноны, ай нид хэлп.
Режется ебучая нижняя восьмерка дней уже 5, из которых 2 хочется лезть на стену, особенно ближе к вечеру.Эти же 2 дня постоянно кровоточит район "прорезания", я с удивлением обнаружил, что полоскание перекисью водорода часто не останавливает кровотечение, ложил тампон с перекисью - аналогично, помогает только аккуратно зажимать тампон не менее, чем на час, и то, он успевает насквозь пропитаться.Записался к хирургу на субботу, но как мне а)не истечь кровью за двое суток, б)заглушить боль (Кетанов ВНЕЗАПНО оказался по рецепту, ибупрофен, который валялся дома, практически не помогает).Гели-хуели (Холисал, Камистад) - эффект аж на время нанесения, через пару минут все возвращается.
Аноним 15/09/16 Чтв 21:01:02  516828
Поставили мышьяк в восьмёрку на два дня.
Зубы чистить можно и кушать той стороной? Или может лучше не рисковать? И ещё какая то белая хрень растеклась по. Десне около зуба, такая же, что и на зубе стоит, я так понимаю это остатки пломбы растеклись?
Поставили на два дня, этоне мало? Или это значит у меня самый херовый советский мышьяк, который долго лучше не держать? Ставил в гос.поликл бесплатно.
Аноним 15/09/16 Чтв 21:07:53  516831
>>516764
У тебя не останавливается кровотечение? Збс. Вот ты у себя и гемофилию случайно обнаружил шутка. А мб и правда.
Есть такой прием . Называется "по острой боли". Можешь завтра опробовать.
Найс попробуй прикупить и сожрать.

>>516828
Мышьяк ставится на 1 день, если зуб однокорневой.И 2 - если больше. можешь походить недельку - будет веселый пиздец. А такие случаи бывали, когда люди месяцами ходили . лол.Обычный мышьяк крч.

Жри и чисть так , чтобы пломбу не повредить. Если не уверен, что сможешь так , то другой стороной.
Аноним 15/09/16 Чтв 22:09:20  516853
>>516828
>мышьяк
>>516828
>Мышьяк
Его ещё где-то ставят?
Мимокрок
Аноним 15/09/16 Чтв 22:15:25  516859
>>516853
Ты из ДСов шоль такой мажор?
Да даже в ДСах его ставят еще.

запомни : в эрафии делают такое, что цивилизованный мир уже давно признал не только архаичным и кощунственным, но и даже вредным для здоровья.
Аноним 15/09/16 Чтв 22:24:58  516862
>>516859
>Ты из ДСов шоль такой мажор?
Нет, но в моём городе миллион человек и я всегда делал платно, даже в госклинике немного отсыпал, чтобы совсем хуйню не делали.

>запомни : в эрафии делают такое, что цивилизованный мир уже давно признал не только архаичным и кощунственным, но и даже вредным для здоровья.

Я то знаю, но иногда хочется верить в лучшее.
Аноним 15/09/16 Чтв 22:50:19  516879
14739690199560.jpg (1303Кб, 3920x2204)
Вот тут побаливает уже месяц когда воздух втягиваю в зубы и когда трогаю ногтем чуствую боль, че это такое? Идти в стоматологию?
Аноним 15/09/16 Чтв 22:57:21  516890
>>516879
Если беспокоит, то идти.

такой налет ахуенный. Так бы и почистил.
Аноним 15/09/16 Чтв 23:03:01  516898
>>516890
Никогда не ходил к стоматологу, поясни за чистку что и как
Аноним 15/09/16 Чтв 23:09:53  516902
>>516898
Платишь деньги. тебя сажают в кресло и чистят зубы камень\налет.. Ультразвуком, порошком с водой под давлением , щеткой с пастой
Процедура не сильно дорогая, но позволяет сэкономить в будущем кучу бабла на возможных осложнениях. Да и избежать оных рецессии , пародонтит, кариесы.
Бонусом - в зависимости от засранности у некоторых зубы становятся "белей" офк , нихуя не становятся. Просто отмывают от говна и внезапно оказывается , что они менее желтые.
Аноним 15/09/16 Чтв 23:58:04  516918
>>516898
это не очень приятно, но потерпишь.
Аноним 16/09/16 Птн 03:47:21  516955
14739868414440.jpg (1437Кб, 1456x2592)
Лет пять назад сверху вылез лишний зуб, и мне на него было похуй до недавнего времени, когда он то ли подрос, то ли заточился и начал царапать мне язык. Хочу его сейчас удалить, всё правильно делаю? Сложно ли такой удалить, дорого ли, сколько заживать будет?
Аноним 16/09/16 Птн 09:43:35  516996
14740082157280.jpg (69Кб, 541x600)
>>511739 (OP)
Сап медач, назрел вопрос о брекетах, в свои 27 меня заебала кривозубость, решил поставить, немного погуглив понял что носить их нужно не меньше года, но у меня существует трабла в виде рассеяного склероза, в связи с этим мне приходится делать МРТ 2 раза в год до конца жизни.
Так собсна вопрос, можно ли их ставить на пол года, снимать и снова ставить? Или есть какие нибудь не железные брекеты?
Аноним 16/09/16 Птн 10:17:18  517001
>>516996
Я думаю, что за твои бабки - хоть каждую неделю снимай/ставь, но придется каждый раз платить за это и в итоге ты отдашь хуй знает сколько. А мб я не прав, поправь, Док!
Аноним 16/09/16 Птн 10:29:12  517004
>>516996
Потом еще до конца жизни ретейнеры носить (хуйня у тебя на пике снизу, чтобы зубы не разъехались после лечения).
Аноним 16/09/16 Птн 10:33:10  517005
>>516717
Ты из дс? Почему в моем мухосране слепок 3к стоит.
Аноним 16/09/16 Птн 10:34:51  517006
>>516996
Ставь керамику, перед мрт приходишь, говоришь что нужно снять дугу на пару дней, вот и все.
А вот ретейнер, да, придется от него отказаться
Аноним 16/09/16 Птн 10:40:43  517009
Чистку зубов больно делать? Анестезию сразу на все зубы можно сделать?
Аноним 16/09/16 Птн 11:19:22  517014
>>517009
Не приятно, но не на столько, без анестезии справишься.
Аноним 16/09/16 Птн 12:12:36  517023
>>517006
>А вот ретейнер, да, придется от него отказаться
И как без него? Зубы не разъедутся? И смысл тогда ставить брекеты без этой хуеты
Аноним 16/09/16 Птн 13:02:22  517031
>>517023
Есть съемные ретейнеры.
Аноним 16/09/16 Птн 13:22:18  517039
>>517006
В большинстве керамических брекетов на последние зубы ставят железо. Может быть проблемой.
Аноним 16/09/16 Птн 13:25:27  517044
>>516996
Проконсультируйся с ортодонтом. Как вариант - тебе будут снимать дугу %%брекеты не металл поставить можно%.
ретейнер ... Мб и похуй на него. Людям ставят металлокерамику, вкладки металические и вряд ли их снимают каждый раз, когда делают мрт.

Либо же найди нормального рентгенолога куна, который в этой теме давно и пояснит.
Аноним 16/09/16 Птн 16:15:11  517095
>>511739 (OP)
>Идти к ортодонту, в гос клинику или к частному, разницы нет, цена не сильно разнится
>разницы нет, цена не сильно разнится
Инфа 100%? Мне в частной такую цену назвали за все лечение, что ну его нахуй.
Аноним 16/09/16 Птн 16:22:58  517098
>>516955
Да ты мутант.
Ничего сказать нельзя, рентген делать нужно, откуда он вообще взялся и в какую сторону его капать.
>>517095
>Мне в частной такую цену назвали за все
Частная от илитной отличается. Есть нормальные частные, а есть ылитные, где с тебя сдерут столько, сколько есть, и ещё немного.
Аноним 16/09/16 Птн 17:21:17  517128
14740356777020.png (84Кб, 1304x905)
>>517005
Потому что тебе не повезло. Я хуй знает, Антоша
http://www.med-aprel.ru/price/3dscan
На сам смотри, 1к. Вся голова стоит 2к.
>>517095
Только сегодня болтал с ребятками, которые ходят зубы заделывать в государственную. Я хз, как они умудряются, ведь там 3 талона на весь город и то, если ты успел и пришел с 7.10 до 7.15 утра и записался.
Но меня все равно смутные сомнения одолевают и я не хочу идти в государственную, где тебя наверняка спросят "платить будем и делать нормально, либо же сделаем по-государственному?". Нахуй, нахуй.
Аноним 16/09/16 Птн 17:25:09  517129
>>517128
>слепок
>кинул скрин со СНИМКОМ

>>517128
> где тебя наверняка спросят "платить будем и делать нормально
И поэтому ты идешь в платную , где ты сразу платишь.
Аноним 16/09/16 Птн 17:45:26  517138
14740371265890.png (19Кб, 378x576)
>>517129
>И поэтому ты идешь в платную , где ты сразу платишь.
Именно так. С них я по-крайней мере могу спросить.
Со слепком проебался, да. В прайсе найти не смог, так что тебе придеться просто поверить, что я отдал 2к за прием. У меня даже квитанция есть за тот день, могу сфоткать лал.
Вот вам обновленный прайс промежуточный.
Сука, передний зуб начал болеть, если на него давить.
Аноним 16/09/16 Птн 17:55:41  517143
>>517138
>С них я по-крайней мере могу спросить.
Маня, в БЕСПЛАТНОЙ поликлинике есть отдел платных услуг ортодонтия , ортопедия не входит в услуги БЕСПЛАТНОЙ медицины по ОМС. И брекеты за бесплатно в госке тебе не поставит никто.
А твоё "с них я могу спросить" будет точно таким же , как и лечение за левак - тебе ответят "ой , сорянчик, мы все исправим".
В целом лень опять пояснять как это все работает.

>так что тебе придеться просто поверить, что я отдал 2к за прием
Мне не придется. Потому что мне откровенно говоря - похуй что и сколько ты потратил. Это для меня бесполезная инфа.

Аноним 16/09/16 Птн 19:55:01  517201
>>517143
Тогда не вижу смысла с тобой больше разговаривать
Аноним 16/09/16 Птн 21:31:00  517231
>>516828
Опишу ещё ощущения, когда мне делали анестезию лидокаином.
Воткнули иглу и тут я охуел. Резко пошли по всей правой челюсти и лицу такие точечки колющие, покалывания.
Такое бывает, когда отсидишь ногу, затем встаёшь на неё, а в стопе появляются покалывания.
Здесь это было в разы сильнее.
Я даже услышал какой-то звук в правом ухе, буто скрежетание металла, высокочастотный такой звук.
Мне кажется это был криворукий стоматолог.
Вот что за хуйня была?
Причём анестезия так и не помогла, немного очень чуточку почувствовал онемение около зуба и всё.
Потом мне воткнули железяку в зуб, чтобы мышьяк положить. Когда воткнули - заорал, такую боль не испытывал никогда.

Даже когда восьмёрку удаляли, там хирург сделал норм анестезию - сразу же полчелюсти онемело вместе с языком и никакой боли не почувствовал при удалении.

Теперь появилась проблема. Мышьяк всё ещё стоит, завтра достают.
Чувствую как немеет потихоньку челюсть.
Вечером сегодня ноющая боль переключилась почему-то на верхний зуб/ряд. То ли восьмёрка там начала мудрить то ли что.
Мышьяк поставили, а ноющая боль не кончилась. Может восьмёрка эта ретинированная у меня пытается вылезти? Ноет то не только она а будто весь ряд. Т.е. сейчас вылечат его (уже боюсь идти, очень боюсь криворуких стоматологов и каки-либо осложнений), а окажется, что его надо было удалять.
Аноним 16/09/16 Птн 22:00:40  517250
>>517231
>Мышьяк поставили, а ноющая боль не кончилась.
Да ничего, моей маме в СССР два раза ставили, и болело. В итоге нерв наживую хирург выдрал.
Сейчас есть нормальные средства, но ты походу напоролся на отголоски карательной стоматологии СССР, так что готовься к мучениям.
Аноним 17/09/16 Суб 00:04:35  517280
>>517250
>так что готовься к мучениям.
Не хочу страдать.

Онемение губы нижней и под ней увеличивается, если выпячь челюсть вперёд.

Ещё кое-то, перед тем как херачить мышьяк, мне не делали никакой снимок. Хотя, судя по статейкам в интернете, должны были.
Аноним 17/09/16 Суб 00:32:11  517286
>>517201
С тобой я и не говорил. Касательно темы треда - знаю больше тебя в разы. А просто пообщаться - у меня есть для этого знакомые.

>>517231
>Мне кажется это был криворукий стоматолог.
Сделай лучше.
>очень боюсь криворуких стоматологов и каки-либо осложнений
А как стоматологи боятся шизоидов... А поток пациентов огромен и шансы напороться на очередного проблемного и мутанты всякие попадаются. Ты им анестетик - а им похуй. Ты им 3 карпулы, а их только слегка. А ещё и сдохнуть многие пытаются в кресле. А тебя хорошего из-за этого пидора немощного и посадить могут! Ух красота!

Короче - шапку не читай, снимки не кидай, гадание на кофейной гуще заказывай.

>>517280
>Хотя, судя по статейкам в интернете, должны были.
Боже, ну мб ты уже расскажешь более интересную инфу? Например что за мухосрань, что это госка и омс приём ? ясен хуй , что не частная
А я тебе ахуительные истории расскажу, что твои "статейки" в интернете для ПРАВИЛЬНОЙ стоматологии. А в НАШЕЙ стране в большинстве случаев по ОМС такого НЕ ВОЗ МОЖ НО. я не удивлюсь, если тупо не хватает пленки для рентгена и врачам тупо запрещено направлять пациентов на снимок без ВЕСКОГО повода.
Аноним 17/09/16 Суб 13:00:07  517362
14741064081140.jpg (129Кб, 591x780)
Снимок обнаружил кисту 47 зуба, ремонтированного лет 10 назад. Снимок на момент обнаружения, сейчас, уверен, она подросла.
Хирург-стоматолог сказала, что есть вариант не удалять, а пожить так, пока не прорвет гной и потом промывать через свищ. После недели антибиотиков, обезболивающих и полоскания содой отек спал и она забила на меня хуй, отменив запись. Сейчас отек появился опять, но уже ничего не болит, накусывание не ощущается, гной почти без крови (в прошлый раз шла плазма с кровью) выдавливается вверх по стенке зуба. Сам явно не гуру, но подозреваю, что лечение было выбрано неверно.

Вопросы уважаемым знатокам:
- поясните за действенные варианты решения проблемы;
- наебали ли меня и как не быть наебанным в дальнейшем;
- как найти годного специалиста среди сотен (ДС2), если косяки могут вылезти через несколько лет, зубов всего 32 и даже блат не гарантирует ничего?
Аноним 17/09/16 Суб 13:17:04  517369
>>517280
>Не хочу страдать.
Иди в платную, отваливай кучу денег, будет и нормальное обезболивание, и современные заменители мышьяка.
>>517362
>поясните за действенные варианты решения проблемы;
В общем распломбировать каналы, через ближайший канал промывать кисту, заложить лекарство, запломбировать временной пломбой, повторять до затягивания кисты. Ебли на пару месяцев и тысяч 15 рублей минимум.
Аноним 17/09/16 Суб 13:19:38  517370
>>517362
1- киста или нет - по снимку диагноз не ставится это надо проводить гистологию\цитологию и похуй вообще на самом деле всем.
2- с таким надо идти к терапевту , а не хирургу хирург должна была врубить режим доктора, а не удалятора всего согласно учебнику совковому (офк, такой пат. процесс - показание к удалению.) и направить спасать к терапевту. В госке чтоль лечишься? лол
3- лечения как такового и не было по сути. либо удалять\либо лечить каналы- это лечение. Остальное - хуйня
4-Идёшь в частную клинику либо в госке в платные услуги, либо доктору платишь в карман. Похуй, но тут ОМС способом вылечить не получится. ПОэтому только платно Даёшь снимок. Мб даже переделаешь его. Далее док тебе зуб вскрывает и смотрит ситуацию изнутри. Если все ок , то будет банальное лечение каналов в несколько посещений.

>>517369
>через ближайший канал промывать кисту
Втф?
Аноним 17/09/16 Суб 13:36:08  517373
>>517231
Стоматолог не то что криворукий, он просто мудак.
Во время укола он попал тебе в сосуд, это бывает, это не страшно, но, блять, мог бы тебе и объяснить что произошло.
А начало операции когда пациент говорит, что все чувствует - вообще верх уебанства.
Меняй врача, этот ублюдошный.
>>517286
>Сделай лучше
Нахуй иди.
Аноним 17/09/16 Суб 13:46:51  517377
>>517373
Попала в сосуд... бля....
Маня , с каких времен ПОПАДЕНИЕ В СОСУД приводит к болевым ощущениям или чему-либо , описанному из поста? Ты конченный или просто ОЧЕНЬ хуево учился? это это даже интересней , чем промыть через ближайший канал кисту.

>Нахуй иди.
Ты уже там. А свиданочка меня не интересует. Прости.
Аноним 17/09/16 Суб 13:48:34  517378
>>517370
>Втф?
Знакомому делали, подробностей он не знает. Из гугла вот похожее:
>Терапевтический метод лечения позволяет избавить пациента от кисты без проведения операции. Он идеально подходит для лечения гранулем.
>
>Конечно, такое лечение является меньшим стрессом для пациента. Однако оно может занять достаточно много времени и не гарантирует 100% избавления от кисты.
>
>Стоматолог-терапевт ничего не режет, он добирается до кисты окольным путем. На первом этапе лечения он рассверливает больной зуб и прочищает корневой канал снизу доверху. Глубоко в десне корень зуба переходит в кисту, поэтому ее содержимое через получившийся ход теперь может свободно вытекать наружу. Врач тщательно промывает корневой канал дезинфицирующими растворами, вводит антимикробные препараты и вещества, разрушающие оболочку кисты. Продолжать лечение можно только после того, как кистозная полость будет полностью очищена от поврежденных клеток и микробов.
>
>На следующем этапе врач заполняет ее специальной пастой, которая поможет вырасти здоровой костной ткани на месте повреждения. После этого зуб пломбируют и ждут. Если через полгода на рентгенограмме киста не обнаруживается, значит, лечение прошло успешно. С помощью этого способа уничтожить кисту удается примерно в 70% случаев.
>
>Более прогрессивным безоперационным методом лечения кист и гранулем стоматологи считают депофорез. Он позволяет уничтожить инфекцию сразу во всех корневых каналах зуба, а не только в одном, рассверленом врачом. Суть метода сводится к следующему. В расширенный канал больного зуба вводят особую суспензию — гидроокись меди-кальция. Под действием слабого электрического тока вещество начинает перемещаться и проникает во все недоступные для бормашины уголки (в том числе, и в кисту) и уничтожает поврежденные клетки и всех микробов.
>
>Через три сеанса депофореза на очищенный зуб ставят пломбу, а оставшаяся внутри гидроокись меди-кальция продолжает контролировать процесс выздоровления. Преимущества метода: помогает избавиться от кисты в 95% случаев. Недостаток: не в каждой стоматологической клинике есть техническое оснащение для депофореза.
Аноним 17/09/16 Суб 13:52:14  517380
>>517370
Спасибо, что расписал.
Она с утра принимает в государственной, потом работает в частной. Хожу в обе, как время ляжет. Терапевты в нашей поликлиннике не терапевты, на скорой (обращался туда по другому вопросу) мне даже рекомендовали обращаться в областную, типа местные терапевты ни о чем вообще. В частных тоже косячат - вот эта фигня ведь от распространения заразы вниз от недозаделанных каналов при прошлой пломбе, верно? А делалось в другой частной.
Пока записали на осмотр к удалению на следующей неделе. Жаль будет опять выкидывать бабки на перепломбирование, если таки в конце все равно удалят, но, я понимаю, ты рекомендуешь провериться в другой платной, эт можно.
Лечить канал? А этот кусок говна под зубом должен рассосаться?

Кстати, если что, нормально стоящая восьмерка может сама потом притянуться к шестерке, чтоб дыры такой не было?

>>517369 >>517378
>не гарантирует 100% избавления от кисты
Конечно, все имеет вероятности, но как-то хотелось бы уверенности.
Аноним 17/09/16 Суб 14:02:06  517386
>>517377
> с каких времен ПОПАДЕНИЕ В СОСУД приводит к болевым ощущениям или чему-либо
Внезапно так было всегда.

Гугли сам
Аноним 17/09/16 Суб 14:15:48  517392
>>517378
>Более прогрессивным безоперационным методом лечения кист и гранулем стоматологи считают депофорез
Депофорез... бля... Не читая , наткнулся на это в посте и стало очевидно , что хуйня и ересь будет. Даже стало интересно что в этот раз за говно пичкают в головы пациентов.
И то что ты принес - такаааааая хуйня. не забыли и про правило 95% лолбля.
Про депофорез писал в предыдущих тредах, повторяться лень. Но это лютая хуйня, на которую даже не надо тратить время.
А текст вообще писал какой-то обыватель, у которого корень зуба "глубоко в десне" а мозг гдето под волосами на голове.

Как должно быть правильно : вскрыть (если есть гной - откачать\высушить), обработать инструментами\медикаментами , закинуть лечебную пасту на основе кальция. Могут и на основе йода, но это если долго и упорно кальций не помогает. Последний шаг, чтобы не удалять зуб. И закрывают пломбой временной. На пару недель (не больше 2х). Повторный визит. оценивается результат. Повторное пломбирование лечебной пастой , если результат не удовлетворил врача. Либо постоянное пломбирование если все ок. САМ организм справляется с "кистой".
Киста есть результат защитной реакции организма, на продукты жизнедеятельности микрофлоры в канале зуба. сидят и бомбят. А киста - как линия обороны. Но бомбежка если не прекращается, то линию фронта приходится отодвигать. Заканчивается бомбежка - все возвращается на круги своя

Ну а в 2016м пиарить депофорез - это вообще дно ебаное.

Короче это говно больше никому не показывай. Ты еще принеси сюда , что резорцин-формалин заебатый способ лечения.

>>517386
Это тебе гугл сказал? Тупица, еще раз почитай что ты написал и открой учебники за первые курсы универа если ты их вообще закончил.
Нет аргументов - идёшь на хуй вместе с гуглом.
Аноним 17/09/16 Суб 14:51:40  517401
>>517392
> Это тебе гугл сказал?
Мне это сказал анестезиолог при котором случилась такая вот со мной неприятность, а потом, спасибо обширной домашней библиотеке, я узнал из-за чего.
Аноним 17/09/16 Суб 14:54:47  517403
>>517401
>очередная ахуительная история
>никакой конкретной аргументации.
Аноним 17/09/16 Суб 15:03:15  517404
>>517403
Гугули сам.
Аноним 17/09/16 Суб 15:07:05  517405
>>517404
>доктор , что это?
>гугли))00))000
Медицина в эрафии как есть.
Аноним 17/09/16 Суб 15:51:06  517422
>>517392
>Как должно быть правильно
И чем это описание отличается от моего первого?
>>517369

>>517392
>Ну а в 2016м пиарить депофорез
Кто пиарит? Ты спросил- я ответил. А изначально написал, что есть способы лечения кисты без вырывания зуба, в этом и был основной посыл.
Аноним 17/09/16 Суб 16:58:54  517456
>>517286
Да я же сразу написал, что это госка.
Хорош сраться анончики.

Вот подумал может попросить анестезию получше, чем стандартная бесплатная.
Какую просить в таком случае для чистки каналов и удаления нерва? Мышьяк уже ставили, но челюсть всё равно поднывает.
Аноним 17/09/16 Суб 17:10:22  517464
14741214224600.jpg (722Кб, 1536x2048)
14741214224751.jpg (692Кб, 1536x2048)
>>512889
нет не позно, мимобрекетоносец, 26лвл, на пиках: конец октября 2015 и сентябрь 2016
Аноним 17/09/16 Суб 17:17:52  517469
>>517464
Сколько еще носить и сколько уже отдал суммарно, не записывал траты?
на первом снимке пиздец ты уебан конечно был
Аноним 17/09/16 Суб 17:21:03  517470
>>516027
>>516028
черны точки это норма, главное следить, каждый полгода посещать стоматолога, ежегодно делать панормаки. У меня пару таких черных точек после пломбирование уже лет 6, на панорамках никакого кариеса.
Аноним 17/09/16 Суб 17:22:58  517471
>>516460
белые участки - дисплазия эмали - это микротрещины с которых и начинается кариес, коричневые - начальный кариес, который потом переростает в черные точки. Дисплазию лечат пастой специльной - r.o.c.s.
Да и кстати забудьте за всякое гвоно типа колгейта/блендаметов, только vitis и r.o.c.s.
Аноним 17/09/16 Суб 17:26:06  517474
>>517422
>И чем это описание отличается от моего первого?
Промыванием кисты ?
>>517422
>Кто пиарит?
Я про статью. Не про тебя ж.

>>517456
Попроси снимок, а не анестезию в первую очередь. Разница между бюджетным ледокоином и платной заморской вот в чем колоть тебе будут тоненькой иголочкой, время наступления анестезии побыстрей, но хуйня(можно не брать в расчет). Держится дольше (но в госке на тебя больше получаса не выделят, а столько держится ледокоин. Даже поболее чутка), меньший шанс словить побочку в виде аллергии и прочего прочего.
Но если сам факт , что тебя анестезия херово берет бывают и такие особенности организма у некоторых людей , по разным причинам, то да. Лучше проси буржуйскую платнуюдок достанет железный шприц, запихает туда карпулу, а не ебанет из одноразового пластикового.
Мышьяк уже убрали? В каналы залезали?
Снимок делали ?
Короче иди и делай снимок хоть как. Хоть платно хоть бесплатно.

>>517464
первый пик - спецом челюсть сдвигал в сторону? если нет, то с суставом проблем нет? Не щелкает?

>>517470
>панорамках никакого кариеса
панорамки для кариеса - это забей диагностика.особенно при том, что к стоматологу бегаешь раз в пол года. Где он сам поковыряет точки, посмотрит на состояние эмали и дентина. А снимок, даже прицельный может нихуя не показать.

>>517471
Не путай анона неверной инфой.
Аноним 17/09/16 Суб 17:26:21  517475
>>516717
>там воск
анон воск хуйня, ищи силикон - пижже в сто раз, он у меня даже после жратвы не отклеивался. стоит даже дешевле воска. хотя я юзал их только в первую неедлю брекетов, дальше слизистая привыкла и уже не натирало. Да, приготовься скорее всег ок удалению внизу ону или две четверки/пятерки. Даже по фото видно что места маловато внизу
Аноним 17/09/16 Суб 17:31:20  517476
14741226802980.png (44Кб, 625x679)
>>517469
все выплатил ужи (1.5к уев). Только за приемы плачу когда дуги меняет по 250 грн (10 баксов/650 руб)
Аноним 17/09/16 Суб 17:34:10  517478
>>517469
носить еще года 2 точно, зубной ряд полностью выровняется примерно к декабрю/январю. потом нахуй на удаление 3 восьмерок (1 уже удалил лет 6 назад). Ну поотм долгих процесс выравнивания челюсти (на пике видно симметрии у челюстей нихуя нет). Удалял внизу одну 4ку ибо места хуй да нихуя. Кстати ортодонт няша - использовала 8ки, чтобы под их давлением вытянуть с завала 7ки. Потом 8ки в расход сказала.
Аноним 17/09/16 Суб 17:36:10  517480
>>517474
>первый пик - спецом челюсть сдвигал в сторону?
нет конечно, поотму и пошел к ортодонту, что начала щелкать. При сильном зевании заскакивает сустав и обратно его закрыть бывает оч трудно, кек.
Аноним 17/09/16 Суб 17:41:12  517483
>>517480
От армии уже откосился, да?
Аноним 17/09/16 Суб 17:43:08  517484
>>517474
>>>517456
>Попроси снимок, а не анестезию в первую очередь.
Попробую, а какой лучше снимок? Всей челюсти или только одного зуба?

Просто если всю челюсть делать, там ведь особо не увидишь, что происходит именно в одном зубе, детализация маленькая.
Если делать снимок одного зуба - детализация выше, кажись. Но зато другие зубы не увидишь. Я прав?

Зачем мне видеть другие зубы? Потому что боль не могу локализовать, такое чувство, что она всё-таки на шестёрке нижней - а не на восьмёрке нижней, которую мне сейчас лечат, в том же ряду.
Мне там - на шестёрке - меняли старую пломбу и ставили новую в той же госке. Причём это была практикантка. Я об этом узнал только потом.

Да, мышьяк сегодня сняли. Ноет челюсть, по вечер нытьё чуток спало.

Наверное, два раза придётся делать снимок (в идеале). Перед чисткой каналов и пломбирования и после пломбирования.
Главный вопрос - какой снимок делать? Панорамный (все зубы)?

У меня такой уже есть за прошлый год. Делал перед удалением восьмёрки.

>Но если сам факт , что тебя анестезия херово берет
Ведь анестезия меня хорошо взяла на полчелюсти вместе с языком, когда мне удаляли восьмёрёку. Никакой боли. Был неприятно немножко, когда под конец что-то выдернули, я так полагаю - нерв.
Аноним 17/09/16 Суб 17:49:58  517487
>>517483
Еще в 2010м) Кстати военкомовский стоматолог не хотела давать направление на обследование, а я говорил мол не пизди не имеешь права уменя челюсть щелкает, давай направление. В итоге статья какая-то там по зубам: нарушение жевательной эффективности по Агапову норма 45%, у меня 42% было, потому непрыдатный в мырный час, обмежено прыдатный у военный.
Аноним 17/09/16 Суб 17:52:55  517488
>>517469
Еще потом 2 винира на двойки надо будет ставить, ортодонт сказала у тебя двойки тральски не симметричные по размерам к первым, потому как выровняешь все равно будет по уебански.
Аноним 17/09/16 Суб 17:53:57  517490
>>517484
>Попробую, а какой лучше снимок?
Прицельный вообще это не просить надо, а должны сделать сами. Такой регламент. Но это госка, так что...

>Но зато другие зубы не увидишь. Я прав?
Можно сделать снимок на который попадет 2и более зубов. Чекни тред, даже в нём видно, что на снимок попадает больше 1го зуба.
сейчас надо для начала "причинный" отфоткать. Посмотреть что с ним вообще и почему беспокоит

>>517484
> Перед чисткой каналов и пломбирования и после пломбирования
Вообще - да.
в идеале делается "до лечения- с чем пришел". После прохождения каналов инструментами на рабочую длину. с помещеной гуттаперчей, после полного пломбирования. Итого 4. Это совсем идеал. Но это госка и поэтому идеально 3 снимка (т.к. пломбировать бесплатно будут скорей пастами, чем гуттаперчей).

>У меня такой уже есть за прошлый год. Делал перед удалением восьмёрки.
И чому ты его до сих пор не залил? заливай хотябы старый. И обознач о каких зубах идет речь.

>>517487
Щас тоже буду через сустав пытаться скоситься по крайней мере хоть на шару обследование пройду.

>нарушение жевательной эффективности по Агапову норма 45%, у меня 42%
Щито блять? лёль. запили сторри , если помнишь\статью из военника.
Аноним 17/09/16 Суб 18:05:07  517505
14741247075680.png (35Кб, 1114x185)
>>517490
>Щито блять? лёль. запили сторри , если помнишь\статью из военника.
Если какол, то вот тебе сайт по которому я статьи искал. У каждого будет хоть одна болячка, которая дает право не служить, просто надо знать свои права (если ты не сталоне коненчо). Я вообще нагло себя вел: брал еще кучу направлений, одно из них в аллергоцентр, где на шару сделал кучу аллерго тестов (около 15, а они дохуя стоили, примерно 1проба 20 баксов, так что счетик военкомунор мвыставили)+ там же с помощью хитрости сделал так, чтобы тест на астму показал положитеьнйы результат (хоть даже астама самая легкая типа перситсивная, но запасной вариант как для откоса пойдет). Анон же может откосить даже по дефициту веса: есть таблица соответсивия и если у тебя дефицит - сначала отсрочка на полгода, а если по истечению полугода тоже самое - списуют. Если главврач военкома залупается, можешь смело обжаловать решение медкоммисии и подавать жалобу в суд. Я же главврачу сразу сказал - доставайте список статей и ищите такую-то, на что он мне ответил типа САМЫЙ УМНЫЙ ЧТОЛИ, я сказал, что просто знаю свои права и вежливо ему намекнул, чтобы не залупался, так как я прав в любом случае буду. Щас наверное каклов сразу с военкомов в котлы бросают. Вот статья на пике, у русни думаю такие же статьи.
http://www.no-army.kiev.ua/49-56.html
Всегда на своем надо стоять в военкому, показать им, что ты их все равно сделаешь, пусть даже через суд.
Аноним 17/09/16 Суб 18:10:02  517508
14741250023750.jpg (1333Кб, 2592x1944)
14741250024021.jpg (453Кб, 1944x2592)
>>517490
>И чому ты его до сих пор не залил?
Сейчас лечат нижнюю 8 слева на снимке. Правая уже удалена.
Шестёрка там же слева внизу на снимке была перепломбирована этим летом. Так что снимок не покажет, что именно там сейчас.

Ну и снимок вживую покажет как моя 8 не вышла до конца. Стоит так с января. Снимок сделан этим июнем. Там даже кариеса не видать, надо отодвигать щеку. На снимке этом втором он слева около щеки должен быть. Кариес обнаружил в начале весны.

Вот есть ноющая боль, найзом закинуться будет норм? Мама говорит, мол, снимает воспаление. А я как-то обычно не привык пить без особой нужды таблетки. Может действительно в плюс будет, то что снимает воспаление? Боль то я ещё могу терпеть, из-за боли пить не буду.

И ещё, в госке, там где делают снимок, сотрудник берёт своим пальцем без перчаток, залазает тебе в рот и прикладывает эту чёрную штучку, на которой будет снимок.
Это же неправильно? Без перчаток, до этого ещё к другим лазила, хваталсь за дверные ручки. Если попрошу воспользоваться перчатками и откажется, что делать то? Занести же может чего-нибудь. К главном уврачу идти что-ли?
Аноним 17/09/16 Суб 18:28:06  517518
>>517508
8ки любой адекватный стоматолог будет советовать удалять, так как никакой эффективность кроме как служить опорой для протезов в 60 лет они не имеют и все равно к тому времени они нахуй сгниют. 8ки никак не учавствуют в жевательной функции, это наследие от хомоэректусов всяких, которые кости мамонта грызли этими зубами.
Аноним 17/09/16 Суб 18:35:52  517523
>>517505
> У каждого будет хоть одна болячка, которая дает право не служить, просто надо знать свои права (если ты не сталоне коненчо)
Я свои права знаю и их пояснял. Вот даже наряд полиции в результате для меня вызвали. кек
Я из эРаФии. У нас тоже есть откос по зубам, там меньше 60% по Агапову. Но как я помню - жевательная эффективность по агапову вычисляется по одонто-пародонтограмме есть в открытом доступе в сети, разобраться не сложнои чтобы было эти 60% надо нехуевые проблемы с зубами иметь нехуевый пародонтит, отстуствие зубов. Либо как у анончиков тут - разобщение прикуса.
Алсо можно проскочить вот как-раз по суставу.

>>517505
>Анон же может откосить даже по дефициту веса: есть таблица соответсивия и если у тебя дефицит - сначала отсрочка на полгода, а если по истечению полугода тоже самое - списуют
В рашке такое не прокатит. Уже поменялось давно это. проебал шанс. Сейчас если нехватка , то всем похуй. ну могут дать на 1 призыв "Г" , а на следующий повторно проходишь врачей и если вес не снизился , то годен. Если снизился, то отправляют искать причину почему он снизился и по причине заболевания, из-за которого снизился вес, тебя уже и освидетельствуют на годность.

>>517505
>Если главврач военкома залупается, можешь смело обжаловать решение медкоммисии и подавать жалобу в суд.
Обжаловать можно. Но это дохуя времени. Частенько отсутствие военника - причина нихуя не устроить на работу в ДСах поэтому щас сижу в проебе. Жду суда по событиям минувших дней. Вообще у меня уже ОГРОМНАЯ стопка писем с военкоматом и другими организациями. хех.

Запили стори как по агапову тебе мерили жевательную эффективность. Прост хуй знает , как-то с этим не сталкивался, чтобы кто-то реально сидел и задрачивался. Только в расписании болезней военкомата вижу, что это надо высчитывать.

>>517508
>Сейчас лечат нижнюю 8 слева на снимке.
Я сторонник того, что восьмёрки нахуй ненужные зубы. Я не понимаю нахуй их лечить

>>517508
>Шестёрка там же слева внизу на снимке была перепломбирована этим летом.
Надо делать прицельный. По этому снимку видно, что она была запломбирована уже и там было близко к полости с нервом. у 7го тоже просматривается разряжение , вокруг пломбы на снимке. возможно кариес тоже есть. Надо смотреть

>>517508
> снимает воспаление
Супрастины\тавегилы всякие снимают воспаление. Но щас хз . Если нерв в зубе воспален, то таблетосами его не унять. Только обезболивающими. А найз - обезболивающее.

>>517508
>Это же неправильно? Без перчаток, до этого ещё к другим лазила, хваталсь за дверные ручки.
Не правильно, но адекватные работники моют руки опять же - это гос. И я в душе не чаю, есть ли у них перчатки. Или главврач запиздил бабосики себе в карман.
>>517508
>Если попрошу воспользоваться перчатками и откажется, что делать то?
Скорей сошлётся , что их нет что в 99% будет правдой.
>>517508
>Занести же может чего-нибудь.
Вряд ли. Если только это не отбитое существо, которое руки не моет и в перерывах хоронит чумных животных.


> К главном уврачу идти что-ли?
Это тот человек, по причине которого у тетки в рентгене нет перчатки , а у доктора нет нормального материала для лечения. Хотя в принципе может отреагировать как-то на жалобу но сразу с тобой за ручку бежать исправлять твою проблему вряд ли помчится. Система гнилая шо пиздец. Лучше тебе этого и не знать, антош.

В общем касательно данного случая - делай прицельные снимки 8,7,6 и пили сюда.
Аноним 17/09/16 Суб 18:35:56  517524
>>517518
Знаешь, когда я обнаружил кариес на восьмрке и пошёл в эту госку, то стоматолог мне сказал, что, мол, ему сложно достать до моего кариеса, чтобы просверлить. Сказал, что лучше удалить.
Хирург сказал так же.
Так я и забыл про свой кариес, думая, что удалю его, когда появятся проблемы.
И вот они появились, заболел какой-то из зубов или 8 или 6. Я пошёл в госку и мне начали его лечить, я спросил может лучше удалить. Ответ - дело ваше, но зуб, мол, стоит в ряду, хоть и потеснил немного остальные.

Сейчас я сам тоже в раздумьях. Может ну его лечить то, а удалить сразу?

В прошлый раз удалял в той же госке, прошло, хвала хирургу, всё хорошо. Я даже таблеткой только одной найза обошёлся ночью после удаления. Мог бы и стерпеть, но спать не давала боль.
Аноним 17/09/16 Суб 18:59:15  517534
>>517523
>Запили стори как по агапову тебе мерили жевательную эффективность.
Точно не помню, но вроде ложили какую-то тонкую пластинку на 6 и 7 зубы, сначала говорили прижать зубы, а потом типа поерзать челюстью сомкнутой и вроде по отпечатку они смотрят насколько эффективно зуб ну зуб попадает. (да я опечатался у нас тоже если меньше 60% по Агапову, у меня 44 было лол, специально докуи откопал)
Аноним 17/09/16 Суб 19:18:49  517550
>>513252
Почему так долго носишь? Что врач говорит?
Я ношу три месяца, ну мне говорить пока даже нечего.
Аноним 17/09/16 Суб 19:26:18  517554
>>517550в основном столько носят, когда пиздецовый прикус как у меня >>517464
ровнять надо да еще смещать его в сторону. Сам зубной ряд выравнивается за 1.5 года.
Аноним 17/09/16 Суб 19:32:18  517555
>>517554
Тебе пластину не ставили, чтобы верхний ряд расширить?
Аноним 17/09/16 Суб 19:33:33  517558
>>517555
> пластину
неа, а что это и как оно выглядит?
Аноним 17/09/16 Суб 19:33:47  517559
>>517095
У нас в гос. стоматологии цены примерно раза 2 ниже, чем в частных. Там самые дешевые брекеты от 13к, в частных где-то с 27к начинаются.
Аноним 17/09/16 Суб 19:38:37  517561
>>517558
Сам особо не в курсе, ортодонт сказал, что возможно ставить придется, потому что зубной ряд узкий. Гугли "ортодонтическая пластинка".
Аноним 17/09/16 Суб 19:40:47  517562
>>517524
Боль поутихла и тут я почувствовал, что семёрка стала шататься.
К слову, боль возникла с месяц назад, только в последние дни увеличилась.
Не хочу терять зуб. Почему он шатается? Может восьмёрка давит, а?

Или может за месяц он внутри сгнил и умер и скоро отвалится?

Хотя внешне семёрка выглядит норм, к чему ему отваливаться? Правда пломба десятилетней давности немного впала сбоку и желтоватый оттенок появился на границе пломбы, не более.

Очень настораживает, что боль поутихла и начал шататься зуб.
Аноним 17/09/16 Суб 19:42:15  517563
>>517562
У меня шатается под пальцем, когда отек раздувает. Но без осмотра, кто тебе точно скажет?
анон с кистой
Аноним 17/09/16 Суб 21:05:34  517612
>>517561
>ортодонтическая пластинка
так это ж вроде старая херня и именно их заменили брекеты
Аноним 17/09/16 Суб 21:09:55  517615
14741357953120.jpg (82Кб, 604x603)
14741357953131.jpg (48Кб, 604x597)
14741357953142.jpg (55Кб, 604x600)
14741357953153.jpg (44Кб, 600x604)
>>517612
Ты очень ошибаешься. Ортодонтия это не только брекеты.
Аноним 17/09/16 Суб 21:10:14  517617
14741358147280.jpg (67Кб, 591x604)
14741358147291.jpg (82Кб, 604x604)
>>517615
Аноним 18/09/16 Вск 12:17:24  517771
>>517475
Воск так и не заюзал.
Про удаление: странно, что тебе видно, а моему врачу не видно и она сказала, что удалять нихуя не нужно будет.
Аноним 18/09/16 Вск 12:23:54  517775
>>517771
Не слушай его, нормально там места, просто внутрь завалились зубы.
А воск носи с собой, рано или поздно будет момент когда он будет нужен.
Аноним 18/09/16 Вск 12:24:57  517776
>>517476
Подскажи про полоскатель для рта, нити, пасты и ершики.
1. Полоскатель - нужен ли и какой брать? Для чего?
2. Нить - неудобно же нихуя с брекетами, нахуй она тебе?
3. Паста - похуй дым или особую юзаешь какую? Если да, то почему
4. Ершики - юзаешь, потому что еда забивается или потому что НАДО? Я вот 4 дня с брекетами - ничего не забилось в них, полощу водой после еды + чищу зубки аккуратно, чтоб ничего не отвалилось. Смотрю 2-3 раза в день внимательно на брекеты, не попало ли что-нибудь куда, не застряло ли. Но пока все чисто. Или надо все равно ершиками проходить, даже если ниче не застряло? Как часто их меняешь?
Аноним 18/09/16 Вск 12:31:00  517779
14741910601760.jpg (352Кб, 970x597)
14741910601831.jpg (374Кб, 988x657)
>>517775
>просто внутрь завалились зубы.
Разве? Никогда мне не казалось, что они завалились. Наоборот передний вон вываливается наружу, скотина Всякая хрень на зубах это я ем сижу шоколадку
Алсо, я больше верю доку, который мне делает мои зубы, чем анониму на дваче. Иначе нахуй я тогда пошел это делать? По советам двача бы руками выравнивал зубы, лол.
Подскажите, кто вкурсе: в конце лечения мне прилепят ретейнер - а можно только им и обойтись? Я не хочу эту хуйню на зубы(капу или как там ее), которую на ночь нужно одевать. Или от нее не уйти и придеться ночью в ней спать, даже с проволокой?
Аноним 18/09/16 Вск 13:52:24  517793
>>517776
1. Полоскатель - Vitis ортодонтический, нужен но не критичен, увлекаться не стоит. Я покупаю редко. Последние полгода ваще ополаскиватель не юзал.
2. Нить - неудобно по началу, за неделю так надрочишься, что все удобно, но имхо нить идет нахуй, когда есть ирригатор waterpik WP-300 E2 3. Я дублирую - 2 месяца ортодонтической, 2 месяца фторосодержащей. Ни в коем случае нельзя чистить отблеивающими пастами.
4. Ершиками желательно проходить хоть даже если и тебе кажеться, что все чисто. Ершики у меня ломаються примерно за месяц.
Аноним 18/09/16 Вск 13:54:46  517794
>>517779
Потому и смотрят модели. На них видно многое лучше , чем во рту. мне говорят, что у меня ровные красивые зубы, но я то знаю. Тем более что и модельки смотрел вертел. И речь шла о наклоне оси зуба, нежели самой его дистопии.

>>517793
>Ни в коем случае нельзя чистить отблеивающими пастами.
Нахуй вообще отбеливающими пользоваться . лол

>>517779
>Я не хочу эту хуйню на зубы(капу или как там ее), которую на ночь нужно одевать.
В чем проблема ночью её носить? не днем же перед всеми козырять.
Аноним 18/09/16 Вск 13:54:58  517795
>>517779
ну смотри мне ортодонт сказала, что надо удалять 4ку, потому что места нихуя нет только спустя почти год лечения, как только поставили брекеты на нижнюю (но у меня внизу две восьмерки полностью вылезли и ровнять ряд ну анриал карочи было). Если у тебя там за 7ками места еще примерно 5мм есть, то ниче рвать не будут.
Аноним 18/09/16 Вск 14:25:05  517802
>>517793
Пасиба. На ирригатор нету денег. Ершиков докуплю, буду юзать. Как нить то юзать, если дуга мешает?
>>517794
>В чем проблема ночью её носить?
Так то ни в чем, просто неудобство в жизни будет доставлять. Вот и спрашиваю - можно ли без нее? Как она вообще - всем/не всем прописывается, от чего зависит?
>>517795
Одну 8ку удалил, одна осталась, но она рекомендовала после брекетов и ее снести. Растет в щеку. Я удалю. Спецом с ней говорил, сказала, что ей ничего не мешает и удалять зубы не будем. Но бывают случаи, когда нужно удалять. Я сказал, что раз ей не мешает, то я тогда отношу брекеты и потом начну удалять 8ки и прочую поеботу.
Аноним 18/09/16 Вск 14:31:41  517809
>>517802
>я тогда отношу брекеты и потом начну удалять 8ки и прочую поеботу.
ага и поплывет у тебя зубной ряд сразу после удаления 8к. 8ки надо удалять когда уже есть брекеты, чтобы костная ткань закрепилась в связи с отсутсвием 8к. А так ты относишь брекеты, вырвешь 8ки, зубной ряд почувствует свободу и поплывет.
>Как нить то юзать, если дуга мешает?
да нихера она не мешает, ортодонтическая нить имеет на конце жесткий участкой типа как леска, ею очень удобно пролазить под дугами.
Аноним 18/09/16 Вск 14:42:01  517815
>>517802
купи китайский на кран . Накручивается насадка на кран в ванной с винтилем, от которой идет трубка и ирригатор. Офк как блатные вотерпики не сможешь заправить ополаскивателем бессмысленная хуйня и струя будет сплошная, а не подаваться пульсирующей струёй, но тем не менее имеет место быть и такое прочем вроде есть и не китайские, а вполне нормальных фирм. Ну и такую разновидность рекламировали своим пациентом врачи , где я работал ассистентом. Тип "он точно не сломается в отличие от стационарных. Хуле ему - вода из крана идет - вот и работает"
У самого такой. Купил давно. Пользуюсь редко. Но недавно воспользовался. У меня у зуба пломбу надо корректировать- контакт хуевый и пиша попадает между зубов часто. И в какойто момент началось воспаление и побаливать. Щёткое не вычищается, визуально нихуя нет. Да и пока ешь - продолжало травмироваться. Взял ирригатор - промыл. Оттуда кусочек мяса волокна вывалились и закровило малёха. пару дней десна была с чувством дискомфорта, вот и взялся за ирригатор. И заебись. Воспаления больше нет , десна не беспокоит. Над за правило взять - раз в недельку хотяб прочищать зубы ирригатором , хоть и чищу по правилам ну и в дальнейшем пломбу переделать

За удовольствие 1к отдал. 4 насадки разного цвета. Так что может вся семья пользоваться.

иногда его юзаю для просистки очков. лол. Там где резиновые дужки на переносицу - со временем забивается грязь. Ну и не разкручивая винтики - просто вымываю все иррикатором и норм

>>517802
>просто неудобство в жизни будет доставлять.
Привыкнешь быстро и вряд ли доставляет неудобство.
Занимался БИ? Каппу боксерскую носил?
Аноним 18/09/16 Вск 16:44:58  517848
14742062982010.jpg (1741Кб, 2448x3264)
14742062982361.jpg (50Кб, 597x900)
14742062982372.jpg (98Кб, 737x1000)
14742062982393.jpg (76Кб, 1071x565)
Сап.
Это снова тот хуй, кому не тот зуб выдрали.

Хирург как-то пропал из клиники — хз что там у них, позвонили, извинились, мол, хирурга у нас больше нет, мы вам позвоним, когда появится — потому я пошел в другую. Там мне удалили тот зуб, на который я рассчитывал изначально. Вон он, белеет. Это потому что его уже успели в перекиси водорода искупать.
Процесс прошел быстро и гладко. Совсем не больно — разве что губа, на которую опирались клещами, припухла — но ужасно мерзко ощущать как зуб трещит и скрепит.
Сижу, голодаю, сплевываю в стаканчик. Содрали около 3К.

Да, еще та хуита, что сперва приняли за гайморит, оказалась кистой или даже кистами в гайморовой пазухе. Вон, те пузыри на снимке.
Теперь нужно пиздошить то ли к ЛОРу, то ли в челюстно-лицевую хирургию и надеяться, что ебло там не сильно разебошат.
Врач обнадежил, что сейчас есть японские эндоскопы, которым совсем нетравматично могут через нос все сделать.
Буду надеяться.
Аноним 18/09/16 Вск 16:49:49  517849
>>517815
>купи китайский на кран
Название то хотя бы скажи?
БИ не занимался. Вопрос все же мой был не про это, а про то, в каких случаях ее дают носить.
>>517809
Ну, увидим через 1.5 года, вобщем.
Аноним 18/09/16 Вск 16:51:38  517852
>>517849
>Название то хотя бы скажи?
Я не он, но ирригатор же и называется. На кран или под смеситель, или еще как-нибудь.
Аноним 18/09/16 Вск 19:25:09  517891
>>517849
>Название то хотя бы скажи?
В гугл зайди, это не мне нужно.

>Вопрос все же мой был не про это
Тебе тонко намекнул, что носить капу, ПО НАЗНАЧЕНИЮ ДОХТОРА, не обломно и не приносит дискомфорта. Впрочем мне похуй. Делай как знаешь.
Сами ковыряйтесь со своей ортодонтией

>>517848
> сплевываю в стаканчик
Мммм бабы в порнухе сплевывают. Но там то понятно. А ты нахуя? Пить потом будешь? %типо возврат крови в организм? лёль
>>517848
>сейчас есть японские эндоскопы
А в другой пазухе у тебя что за нахуй?
через рот тоже в пазухи норм залезают. Но это не лоры офк.%%

>>517848
>кому не тот зуб выдрали
Лоооол бля. Не видел этой стори , как ни странно. Чё удалили и каким хуем ошиблись?
Аноним 18/09/16 Вск 19:55:42  517901
>>511739 (OP)
Кривозубка перекатывается из /b/
Такое дело: 25 лв, стал расти зуб мудрости и пошла к херам вся нижняя челюсть. Вот думаю - есть ли смысл это править вообще? Верхняя вроде не полный пиздец. А имплантами не проще/дешевле? Клыков не было и нет.
Аноним 18/09/16 Вск 19:57:49  517902
>>517901
подожди пока вырастут 8ки, удали их нахуй и полгода поноси брекеты.
Аноним 18/09/16 Вск 19:58:25  517903
14742179053050.jpg (574Кб, 1389x770)
14742179053181.jpg (1819Кб, 2620x1225)
>>517901
Отвалилось
И да - чем эту хуйню можно отбелить?
Аноним 18/09/16 Вск 20:05:59  517907
почему у меня руки и ноги холодные, а подмышки потные?
Аноним 18/09/16 Вск 20:19:02  517914
Поясните за внутренние брекеты, ну те, что на внутренней стороны зуба. Намного хуже результат?

Имею сильно выпирающие зубы вперёд. Хочу быстро и, главное, незаметно для окружающих всё исправить. Деньги вопрос последний.
Аноним 18/09/16 Вск 20:29:29  517920
Когда подпрыгиваю, то в 2х противоположных друг другу зуба начинается показывающая резкая боль, а потом прекращается. Нервам пизда? Сколько стоит примерно это пофиксить?
Аноним 18/09/16 Вск 20:30:01  517921
>>517920
>показывающая
покалывающая, фикс
Аноним 18/09/16 Вск 21:09:32  517942
14742221729580.jpg (1732Кб, 2325x1592)
>>517902
Восьмерки это злоебучие зубы мудрости? Один остался, другой влез вместо вырванного соседа. А тот что остался лезет на соседний. Знал бы что так будет - удалил бы его к херам... Столько лет ровная была.
Аноним 18/09/16 Вск 21:33:47  517949
Что такое белое и полупрозрачное кладут на раздолбанную десну в видео https://www.youtube.com/watch?v=VuE08jWUGGQ ?

Промотайте тем до 9:30 и 17:30
Аноним 18/09/16 Вск 21:37:26  517951
>>517942
да, мудрости это 8ки, тем более они у тебя лезут куда зря - в расход.
Аноним 18/09/16 Вск 21:40:31  517952
Когда вставляют импланты, они же там всю десную разрезают, копошатся там, сверлят. Все в крови, огромный риск же подцепить инфенкцию.
И когда они ввинчивают импланты в десну, то кровь же остается и открытая рана. Это может к чему-то привести нехорошему?

И когда десна изрезана, то получается после имплантации у тебя больше не десна, а кусок соединительной ткани, так как каппиляры, артерии, нервы, которые были в десне не срастутся же.
Аноним 18/09/16 Вск 21:42:44  517954
>>517914
во-первых - неудобно (мне временно цепляли на внутрь 2 брекета, чтобы усилить давление на 3 и 5 чтобы сближались после удаления 4ки), начнеш шепелявить, разговаривать неудобно, неудобно чистить, процесс более долгий. Это тебе кажется, что будешь стесняться - у меня тоже перед установкой было такое ощущение - потом 2 недели проходишь - ты их даже не чувствуешь и на окружающих похуй. Даже тянкам куни в брекетах делал - говорили, что без брекетов делал хуже, кек. Не понимаю как парню можно стесняться брекетов - ты что 15 летня забитая в усмерть хикка?
во-вторых обычными метталическими быстрее всего. Тем более ты говоришь у тебя сильно выпирающие вперед зубы, а это правка прикуса, она за 1,5 года не сделается.
Аноним 18/09/16 Вск 21:48:20  517955
>>517949
Эта белая "сопля"?
Точно не скажу ибо имплантацией не интересовался. Рано пока мне о ней думать, но насколько помнится - продукт цинтрифугирования. Берут твою кровяку или тип того и ебашут в цинтрифуге, чтобы отделить форменные элементы крови от непосредственно жидкости. И получается такая соплюшка.

>>517952
Ты мнительный. Прежде чем начать читать книжечки - почитай азы. Особенно про асептику и антисептику.

>>517914
Результат один и тот же, но вопрос времени. И можно будет ли установить внутренние в твоем случае - другой вопрос но нахуя так стесняться брекетов- я хз. Школьник? У меня одноклассник вообще с пластинкой ходил

>>517903
Плломбы ставить.
Аноним 18/09/16 Вск 21:55:32  517956
>>517955
Ясно, спасибо.

А если делать полное удаление зубов, ввинчивание имплантов и установку протеза. Они же не сразу установят протезы после вкручивания имплантов. Ждать придется недели. Что тогда делать?
Как есть, еда же в разрезанную десну будет попадать и гнить там? Полость рта не почистить. Да и жевать невозможно будет. Да и эстетически - как на людях появляться? И разговаривать трудно без зубов будет.
Аноним 18/09/16 Вск 21:57:31  517957
>>517955
А зачем эту соплю кладут то?
Аноним 18/09/16 Вск 22:02:45  517958
>>517956
> если делать полное удаление зубов, ввинчивание имплантов и установку протеза. Они же не сразу установят протезы после вкручивания имплантов
Нет , не сразу. Сначала тебе сделают , чтобы ты мог жевать , говорить и не быть стремным уродом, протез как у бабушки с дедушкой >>517956
> Ждать придется недели.
Ага, целых 24 пол года.

>>517956
>в разрезанную десну
Если ты не заметил, то все зашивается. И даются РЕКОМЕНДАЦИИ не выполнение которых снимает с клиники всякую овтетственность и сам мучайся с неприжившимся имплантом - плати по новой. о том , как поддерживать гигиену полости рта. На остальные вопросы ответил в этом посте ранее.

>>517957
Для лучшего заживления жи
точно что и как , я тебе не расскажу, ибо этим не интересовался. Только общие представления.
Аноним 18/09/16 Вск 22:15:34  517963
14742261344410.jpg (57Кб, 757x456)
>>517891
>Мммм бабы в порнухе сплевывают. А ты нахуя?
Потому что не хочу часто бегать из-за пеки в ванную.
Наплевал чуть не полный стакан. Кровь там свернулась. Получился этакий кисель. Я его вылил, и он медленно потек по раковине и в трубу. Бэээ.

>А в другой пазухе у тебя что за нахуй?
Да, вроде, ничего. Разве что какая-то перегородка, или что там такое.

>Чё удалили и каким хуем ошиблись?
Нужно было удалить 8 сверху, слева. Шел, вспоминал о всякой хуй, типа, почему зеркало меняет лево и право, а верх и низ - нет. Ну и волновался еще. В первый раз же.
В общем, лег в кресло. Говорю, удалить зуб справа. Он полез: нахрен тогда пломбировать. Это как-то пролетело мимо ушей - я готовился страдать.
Ну, выдрал. А я только дома перед зеркалом понял, что ой, не тот.
Аноним 18/09/16 Вск 22:28:14  517965
14742268950850.jpg (1328Кб, 3425x2217)
Сильно комплексую из-за зубов и прикуса, который кстати никак не равняется. Наверное комплекс всей моей жизни с самого детства это зубы. (
Аноним 18/09/16 Вск 23:01:51  517982
14742289117380.jpg (356Кб, 900x873)
>>517965
Ты сам выбираешь мучить себя этим.
Выбери смирение.
Аноним 19/09/16 Пнд 00:32:04  518020
Аноны, меня кажется пытаются наебать.

Пришел значит сегодня на прием к врачу, чтобы побазарить за лечение кариеса на одном зубе.
А он мне нашел еще кариозные зубы, там где они уже проводили лечение с год назад. И выписал типа квиток о том какие зубы лечить и т.д. и т.п. и скока стоить это будет.

Я только когда домой пришел заметил, что там пара зубов, тех же, которые они лечили менее года назад - то есть гарантия по сути еще действует.

Как им вежливо намекнуть на это, чтобы не платить за эти 2 зуба?
Аноним 19/09/16 Пнд 00:32:59  518021
>>518020
так и скажи не плачу
Аноним 19/09/16 Пнд 00:34:55  518022
>>518020
Пусть твою карту историю болезни находят, где указано , что они эти зубы лечили и год не прошел.
Аноним 19/09/16 Пнд 00:47:10  518025
>>517952
могут даже одномоментку делать. гнилой удоляют и тут же туда в лунку инплант вкручивают. прикинь там скоко микробов в гнилье и ниче сраслось норм у меня.
Аноним 19/09/16 Пнд 07:29:57  518046
>>518025
удолил
Аноним 19/09/16 Пнд 09:22:47  518056
14742661680130.jpg (49Кб, 737x372)
Будут серьезные последствия, если вот эти вот хуйни подрезать?
Аноним 19/09/16 Пнд 10:48:32  518077
Стоматологи-кун, помогите!
Неделю назад вырвали нижний зуб мудрости. До сих пор болит, ночью так вообще на стену лезу. Нормально ли это?
inb4 Ухаживал как прописал врач, таблетки, полоскания со второго дня итп.
Аноним 19/09/16 Пнд 11:34:13  518084
>>518077
Неделя и до сих пор что АЖАСТЕНУ - ну как-то не оч, у меня через неделю ещё болел, но не на столько.
Какие таблетки прописывал, как удалял? что со швами? опухоль есть?
Аноним 19/09/16 Пнд 11:43:13  518086
>>518084
Делали надрез, потом высверливали отверстие под инструмент и какой то железной отверткой расшатывали и выкорчевывали. Потом сшили, положили йодосодержащее лекарство, тампон на 15 минут и будь здоров.
Пил амоксиклав по 2 табл. в день, 4 дня, супрастин и полоскал хлоргексидином. Так же жру обезболивающее по 1-2 табл. в день (смотря как болит). Выраженной опухоли нет.
Аноним 19/09/16 Пнд 15:14:08  518179
>>518056
не будет.

>>518077
Зачем удаляли?
Иди в к врачу. Пусть смотрит.
Аноним 19/09/16 Пнд 15:31:35  518188
Дохтур, такие дела, был на приеме.
Врач грит, зубами скрипите? Я отвечаю уклончиво: никогда не замечал за собой. Может быть, неосознанно.
В общем, он сказал, что у меня характерное повреждение зубов и жевательные мышцы сильно развиты.

Ну и что это за херня? Куда теперь, к неврологу?
Аноним 19/09/16 Пнд 15:49:46  518202
>>518179
>Зачем удаляли?
>>518077
>зуб мудрости
Как бы очевидно.
Мимо проходил
Аноним 19/09/16 Пнд 15:50:27  518204
>>518188
Чому сразу у доктора на месте не спросил, что делать?

Причин бруксизма дохуя. Так что можешь погуглить на досуге что это и развлечься его лечением.
Начни с снижения стресса и обращению к соответствующим специалистам за консультацией. Также и терапевты туда тип причиной может быть и глистная инвазия.
Аноним 19/09/16 Пнд 15:52:31  518205
>>518202
>Как бы очевидно.
проходи мимо. Просто так мало кто бежит делать снимок, найти зуб мудрости и бежать его удалять. Особенно если НИЧЕГО не беспокоит.
Аноним 19/09/16 Пнд 16:13:26  518214
>>518179
>Зачем удаляли?
Удаляли, так как рос горизонтально и начал давить на соседние.
>Иди в к врачу. Пусть смотрит.
Спасибо, капитан. Но вопрос был не об этом.
Реставрация Аноним 19/09/16 Пнд 16:48:41  518233
14742929216310.jpg (153Кб, 640x480)
14742929216341.jpg (149Кб, 640x480)
>>511739 (OP)
Сап зубач. У стоматолога не был лет 12. Хочу нормальную
неуебанскую улубку. Живу в мухосранске. Бюджет небольшой. Посоветуй с чего начать, как, где и за сколько лечить.
Аноним 19/09/16 Пнд 16:52:51  518236
>>518233
>Посоветуй с чего начать
>>511739 (OP)
>Делайте панорамный снимок!
Кариес Аноним 19/09/16 Пнд 17:08:19  518247
14742940993010.jpg (51Кб, 639x426)
14742940993031.jpg (56Кб, 713x390)
>>511739 (OP)
Сегодня утром увидел, что у меня кариес. Выглядит как у тянки на первом пике. Болей нет, только черное поражение оболочки. Обязательно ли идти к врачу?
Можно ли вылечить в домашних условиях, например прополисом?
Наткнулся в интернете на статью:
"Прополис является одним из самых известных и эффективных способов лечения кариеса в домашних условиях. Вам нужно положить на больной зуб, и держать на нем в течении получаса предварительно подготовленную горошину прополиса, сверху положив еще ватный тампон."
Аноним 19/09/16 Пнд 17:18:32  518253
>>518247
>Обязательно ли идти к врачу?
Да, иначе как минимум потеряешь нервы в зубе, а как максимум и сам зуб.
>Можно ли вылечить в домашних условиях, например прополисом?
Невозможно.
>Наткнулся в интернете на статью:
Если там есть система комментарием, то сделай добро человечеству, обоссы пидорах.
Аноним 19/09/16 Пнд 17:40:47  518261
В пиздючестве мне лечили кариес, и поставили свето-пломбу(хз как называется).С тех пор ничего не беспокоило и не болело.Но пару дней назад началась такая херня, что при прыжках, ходьбе, или просто от резкого движения отдает в зуб с пломбой.
Стоит идти к стоматологу или ничего страшного?
Мне пиздец?
Аноним 19/09/16 Пнд 17:53:33  518265
>>518261
>В пиздючестве
Сколько лет назад? СО-пломбы держаться лет 10-15, после чего их нужно менять.
Аноним 19/09/16 Пнд 18:02:25  518268
>>518265
Лет 8 назад, +- год, точно не помню.
Вроде еще должна стоять.
Аноним 19/09/16 Пнд 18:03:00  518269
>>518214
Ну тогда капитан отправляет тебя в плавание на хуй. Ибо мне денег ты не платиь в отличие от своего дока , но пиздеть вздумал, будто это мой косяк.

>>518233
За недорого не выйдет.
Цены сам гугли. Никто не ебет в какой ты иухосрани и гуглить за тебя не станет.

>>518247
Ты еще женские журналы читать начни и уринотерапию практиковать начни.
Кариес дома не лечится.

>>518265
держатся анлим. А истирание - это уже другой вопрос. И сроки там меньше 10 лет.

>>518261
Иди к врачу, пусть смотрит что с пломбой и что под ней, делает снимки и т.д.
Аноним 19/09/16 Пнд 18:12:43  518274
>>518269
И на том спасибо.
Аноним 19/09/16 Пнд 18:24:50  518277
>>518269
Если не можешь ответить на простой вопрос, то уебывай сам. Тоже мне консультант уровня /b/ нашелся. К врачу любой мимодолбоеб отправить тут может.
Аноним 19/09/16 Пнд 18:29:06  518280
>>518277
Ты задал вопрос, ты получил на него ответ. Перечислишь мне бабосики на карту и я начну больше интересоваться твоей персоной конечно же нет. Страдай пидарас. и продолжу спрашивать анамнез, жалобы и т.д.

А пока что уебывай, озлобленная чмоха.
Аноним 19/09/16 Пнд 18:42:14  518285
14742997344990.jpg (112Кб, 1200x626)
Надо добавить в шапку:
"Прежде чем воинствующий анон-пидарас начнет выебываться в данном треде, пусть сначала задумается:
1- правильно ли он задал вопрос, на котороый получил ответ, его не устраивающий
2- Смог ли он прочитать шапку и запилить ПОДРОБНУЮ инфу и фоточки\снимочки в тредик
3- Должен ли ему вообще кто-либо помогать, при том, что анон-пидарас башляет своему докукоторого и надо ебать вопросами и предъявлятть жалобы, а не анону из тредика который помогает и отвечат на одни и теже вопросы даже не за еду
4- вариант "спиздуй к врачу" означает , что надо пиздавать к врачу, т.к. данную ситуацию по интернету не решают. и вообще даже твой ебучий кариес банальный , в клинике перейдет в лечение каналов. А ты лезешь с более серьезной проблемой.

У меня всё. Тащем-то перекатываюсь в чтение ибо и правда - нахуй не сдалось. Хуяришь бабки на курсы-хуюрсы, тратишь годы в вузике, читаешь сайтики\книжечки\видосики и потом помогать озлобленным чмохам на двоще за дарма? кек
никто даже и не заметил, что в медаче вообще аноны-врачи не слишком сидят.

Аноним 19/09/16 Пнд 19:42:13  518306
>>518086
Я бы сказал, что всё нормбоялся что без антибиотиков.
> ак же жру обезболивающее по 1-2 табл. в день
> вообще на стену лезу
Чёт у тебя не сходится.
Короче, не ссы, всё будет збс в течении недели.
>>518269
Блять, иди на хуй, ЧСВшный мудак, ты уже заебал.
Пиздишь какую-то хуйню, что-то от кого-то требуешь, а потом сливаешь всё "к врачу", пидор, блять.
Не знаешь что ответить - промолчи, мы тут и сами справляемся.
Это же тоже ты, ведь правда?
>>512805
>>512825
>>513089
>>513111
>>513523
>>513449
>>513779
>>514011
>>514192
>>514199
>>514295
>>514347
>>514367
>>514384
>>517286

и прочие...

Это же всё твои посты, агрессивные, с оскорблениям, по ним явно читается явная тяга к деньгам, немного тупости, обидка и нежелание ничего делать за бесплатно, а то что ты будешь делать за деньги ты будешь делать спустив рукава.
Серьёзно, хоть ты и выпускник своего вузика, иди ка ты нахуй, за все твои посты я не увидел не одного толкового ответаза бесплатно же ты не хочешь никому помогать, всё уровня "сделай снимок", "так сложно сказать", "спроси у врача" и каким-то окологовном. Давай мы тут как-то справимся сами, без тебя. Можешь повышать своё ЧСВ в каком-то другом треде.

Аноним 19/09/16 Пнд 19:55:10  518314
>>518285
> Надо добавить в шапку:
Иди на хуй, уёбок конченый.
Если не нравится вопрос - не отвечай, не нравится оформление - не отвечай, не нравится отвечать за бесплатно - не отвечай, не хочешь помогать - не отвечай, Считаешь что вопрос можно решить только очно - не отвечай
На всё это ответят люди которые думают иначе.
> который помогает
> за дарма?
> перекатываюсь в чтение
Катись к херам, гниль ЧСВшная.

мимоавторшапкисделано бесплатно

> никто даже и не заметил, что в медаче вообще аноны-врачи не слишком сидят.
а нахер вы надо, если мимокроки менее ЧСВшные, советов(правильных) дают больше и не требую чтоб им ботинки лизали
Аноним 19/09/16 Пнд 21:25:33  518339
>>518204
>Чому сразу у доктора на месте не спросил, что делать?
Нда. Это я ступил. Но все равно пойду еще к ортодонту на консультацию, там и спрошу.

Спасибо.
Аноним 19/09/16 Пнд 21:33:05  518344
>>518314
Ты сам себе противоречишь.
Не нравится что-то — не отвечай.
Аноним 19/09/16 Пнд 21:34:32  518346
>>518306
Спасибо, анон!
Аноним 19/09/16 Пнд 22:05:22  518369
>>518344
> Не нравится что-то — не отвечай.
Слышь, блять, ты тут меня не перевирай, покажи где я такое говрил.

Ты уёбок решил своим ЧСВшным говном изговнякать мою кривую, но соответствующую теме, шапку, ИДИ НА ХУЙ, создай своё - и там говнякай, хочешь - создай свой тред, а отсюда уёбуй.

Мы тут как-то без тебя жили и дальше проживём.
Аноним 20/09/16 Втр 00:26:41  518415
>>518285
Присоединяюсь к Антошам выше. Пошел ка ты нахуй отсюда. Нахуй тогда вообще твои посты нужны, если ты посылаешь всех или нахуй или к врачу?
Аноним 20/09/16 Втр 00:47:12  518419
>>518369
Лооол. Пуканы горят то.
Ты вкурсе, что ты этим постом отбомбился другому анону?)

>Мы тут как-то без тебя жили и дальше проживём.
Ну давай , поживи. Через пару деньков зайду лоллировать с ахуительных советов как один долбаёб пишет анону "У тебя места мало! по фоткам вижу! удаляй зубы!" :D Сук. Просто огонь.

>>518306
> тяга к деньгам
>нежелание ничего делать за бесплатно
>будешь делать за деньги
>за бесплатно же ты не хочешь никому помогать

О боже, пидораха нищая угомонись. Стоило уебанкам сказать "не выебывайся, ты мне денег не платишь чтобы так со мной разговаривать и предъявлять", как хуйло порвалось)
Но ты думай как хочешь.
>>518306
> за все твои посты я не увидел не одного толкового ответа
Мб потому что ты безграмотный обрыганец, который не все мои посты видел и способен видеть только негативное?) Про порвавшуюся жопу при разговоре о кеше уже говорил впрочем это типичное поведение большинства двачеров

>советов(правильных) дают больше
Ага. Благодаря этим правильным советам у частников всегда есть клиентура, а в интернете - куча ахуительных историй.

>не требую чтоб им ботинки лизали
Никто у тебя нихуя не требует, угомонись, рвань. Это скорей ты тут выебываешься, что тебе должны прислуживать)
Аноним 20/09/16 Втр 00:58:50  518421
>>518415
> если ты посылаешь всех или нахуй
Не всех. Только конченных дебилов.

>>518415
>или к врачу?
Мб потому что стоит РЕАЛЬНО обратиться к врачу на очный приём? Почитай ж ты блять пост про шапку. Хули вы такие шавки, которым лишь бы попиздеть и со своими комплексами ущербов сразу начать агриться?)

Ах да. Я всё вру. Я тут третий тредик подряд ЧСВ тешу и на кредиты анонов развожу.

из вас пидарасов спасибо не всякий рах дождешься. Какие нахуй деньги?
Но ничего. Вот порванка посоветовал анону с разъёбанной челюстью , которому даже обезболивающее не помогает просто потерпеть и всё будет ок. Всё правильно . Так и надо. Нахуя обращаться ж к врачу! Он же в тред отписался, а его к врачу направят , которому он денюжку башлял такие удаления за бесплатно не делаются. Но вместо этого проще выебываться в интернетах и ждать , что через монитор его починят. А сам анон, ссыкливый и мерзкий по натуре, даже и не подумает беспокоить дока.

так что попизди мне тут.
Аноним 20/09/16 Втр 15:16:37  518505
>>518077
Сходил к врачу - сказали страдать дальше. Может есть что то еще кроме обезболивающих, чем можно уменьшить боли? Таблетки уже значительно хуже стали действовать.
Аноним 20/09/16 Втр 18:26:29  518594
>>518505
Кетанов пробовал? Сильнее таблеток от боли не знаю.
А кроме таблеток поможет курение марихуаны, но это как бы не законно.
Аноним 20/09/16 Втр 18:48:10  518609
>>511739 (OP)
>Я до усрачки боюсь стоматологов, хочу под общий наркоз!
>Такого лучше не делать, это дорого, вредно, опасно и мало кто на такое согласится.

Пошел к врачам, сказали, что сделают севораном, погуглил, вроде бы ничего опасного.
Какие подводные камни?

Пульпит, зуб самый дальний на нижней, рот открытым заебусь держать так долго, кривой прикус и вот это все. И боюсь до такой степени, что пошевелиться не могу вообще, тело в напряжении.
Аноним 20/09/16 Втр 18:56:35  518613
>>518609
в рот тебе могут такую хуйню вставить, чтоб он не закрылся, не ссы
Аноним 20/09/16 Втр 23:24:40  518731
>>518594
Эврика!
Аноним 21/09/16 Срд 00:07:48  518738
Ты, главное, когда тебе укол анестетика сделают, не ощупывай это место языком. Он тоже онемеет, и начнется пиздец.

Для меня вообще невероятно сложно одновременно держать рот широко открытым, контролировать язык, да еще и дышать носом.
Аноним 21/09/16 Срд 05:46:36  518777
Взяли на работу, до работы захотел отбелить свои желтые-желтые зубы, а чтобы их отбелить, их надо вылечить. Скоро пойду, пожелайте удачи.
Аноним 21/09/16 Срд 07:35:15  518784
14744325151760.png (11Кб, 495x554)
Обнаружил дырку на зубе мудрости верхнем.
Зуб не болит.
Он у меня одним краем вышел, а другой ещё в десне.
Зуб выпирает к стороне щеки сильно, поэтому дырку наверное только щас заметил, потому что всегда прикрыта была щекой.

Чо с ним делать? Имеет смысл лечить или сразу удалить лучше? Погуглил за удаление - пиздец ад, у меня ещё кровь очень плохо останавливается, вангую фонтан крови и геммор после удаления.

Больно ли по ощущениям удаление? Мне когда зубы лечили - бывало больно даже с анестезией.
Аноним 21/09/16 Срд 08:46:34  518793
>>518784
Удаление - не больно, больно потом. Мне уже вторую неделю как.
Аноним 21/09/16 Срд 09:11:24  518795
>>518777
Когда пришел, назначили удаление небного зуба. Не болел, но весь раскрошился и очень хуево рос.
Это был ад, его час ковыряли, сверлили, хуй знает что еще делали, он сидел намертво. Вроде удалили, записали на повторный осмотр. Подозреваю, что скоро начнутся дикие боли.
Аноним 21/09/16 Срд 09:20:36  518796
>>518784
На днях удалял 2 верхние 8ки. Причем одна росла в сторону щеки. Хирург аж удивился: 4 корня, торчат в разные стороны.
В общем, в процессе было больно лишь губе, когда в нее инструментом упирались. В плане зубы было лишь очень противно от треска и скрежета. Да, и еще ощущения от анестезии гадкие.
После же, уже на 2 день я нихрена неприятного не ощущал.
Такие дела.
Аноним 21/09/16 Срд 11:37:12  518816
>>518795
Онемение почти прошло, боль, на удивление, не увеличивается, а уменьшается. Отпишусь в пятницу, когда схожу на повторный прием.
Аноним 21/09/16 Срд 14:46:01  518862
>>518796
Верхние хуита по сравнению с нижними.
Аноним 21/09/16 Срд 19:26:21  518942
>>518784
>Имеет смысл лечить или сразу удалить лучше?
Удалять, восьмёрки ненужны.
>>518795
>Вроде удалили
Рентген не сделали что ли?
Аноним 22/09/16 Чтв 00:55:35  519018
>>518505
Сиган, ибупрофен я уже не помню.
можешь всякими ромашками поливать.
Просто, блять, перетерпи, не 15 же лет тебе, на ночь снотворного бери.
>>518609
расскажешь потом.
>>518738
А чому ртом не дышишь?
>>518777
удачи
>>518784
Я бы удалил, да и доктор скорее всего скажет что ебал его лечить.
> вангую фонтан крови
ручеёк и не зависит от твоей сворачивоемости
> геммор после удаления.
вот это есть, степень гемора можем тебе сказать по снимку
> Больно ли по ощущениям удаление?
По ощущениям скорее пиздец чем больно ощущения просто ебанутые но не могу сказать что это боль.
Прошу заметить, что у меня лежачий был, так что вполне возможно у тебя будет проще намного и вообще збс.

Из подводных - к хирургу удалять, у нас тут был один, у стоматолога удалял, ему расхуярили пол рта, потом сказали,что слишком сложно, что не могу, пиздуй к хирургу.
>>518793
терпи, блять.
>>518796
Кстати да, мне инструментом губы побили сильно. Но верхние намного проще.
>>518816
Чё за зуб то, не понял.
Аноним 22/09/16 Чтв 04:48:43  519030
>>519018
>Чё за зуб то, не понял.
Рядом со вторым моляром, со стороны неба, был лишний зуб.
>>518942
Не сделали. В пятницу иду на повторный осмотр.

Боль полностью прошла, ничего не опухло.
Аноним 22/09/16 Чтв 04:52:50  519031
>>519030
*рядом со вторым премоляром
Аноним 22/09/16 Чтв 11:07:42  519069
Чистить зубы после каждого приема пищи (раз 5 в день) - безопасно? И нормально ли то, что на зубной нити остается кровь?
Аноним 22/09/16 Чтв 11:17:19  519071
>>519069
Мне хирург поведал, что если особо усердстовать с чисткой вдоль ряда зубов, то получишь клиновидный дефект.
Аноним 22/09/16 Чтв 11:58:30  519085
>>519069
Мягкой щёткой и простой пастой можешь до посинения чистить, мне кажется.
Аноним 22/09/16 Чтв 16:44:00  519158
14745518414840.jpg (53Кб, 535x528)
Стоматологи, у меня такой вопрос: можно ли как-то отбелить нарощенный зуб? Не хочется просто заново его делать или вставлять пломбу, т.к он не болит и крепко держится, вот только по цвету слегка желтее, чем родные. Попробовал содой потереть, слегка посветлел, но где-то слышал, что это надо раз в неделю делать. Хотя это относилось к родным зубам. Можно ли каждый день тереть нарощенный? Или какие еще способы есть. Подскажите, пожалуйста, а то аж улыбаться стыдно, он как-раз спереди. Аж грустно
Аноним 22/09/16 Чтв 18:17:29  519186
>>519069
>>519071
>>519085
Ходят слухи про истирание эмали, но вот правда это или же проказни продаванов - тайна за семью замками
>>519158
> Попробовал содой потереть
Блять, не трогай зуб, потереть он надумал, полировка не так происходит, ты бы ещё наждаком тиранул.
Сходи к стоматологу, по тому, что ты сейчас наделаешь делов со своими познаниями, что потом уже менять прийдётся, а так есть шанс, что просто налёт снимут и всё зб станет.
Аноним 22/09/16 Чтв 19:59:27  519217
Няши, очень не хватает в оп-посте пика с названиями (номерами) всех зубов, вот.

А у меня такой вопрос: один коренной зуб у меня распидорашен. Было большое воспаление, нерв умер, зуб попилили, гной вылили, поставили пломбу. Через месяц выппла, поставили еще одну, опять выпала. Тут я и забил на эти пломбы, потому что зуб функцию и так выполняет, от пломбы мне только неудобно, а тут они и выпадают еще... единственный минус - зуб весь черный и некрасивый. Вот, так я пару лет ходил без пломбы и не жаловался.

А тут начал ощупывать языком зубы напротив этого коренного (верхние) и осознал, что там углубление слишком глубокое, ненормально глубокое. Чищу зубы после каждого приема пищи, гигиену вроде как соблюдаю, ничего не болит. Но там практически дыра уже, если верить ощущениям с языка.

Вопросы: бежать к стоматологу? Боюсь их до усрачки, ага. Эта "практически дыра" связана с тем, что у меня черный зуб без пломбы? Вообще, пломба обязательна или нет? Можно как-нибудь убрать черноту с зуба без пломбы? Что мне еще надо делать, кроме чистки после еды? Выходит, чистки недостаточно?
Аноним 22/09/16 Чтв 20:38:54  519229
Пацаны, а стоматолог может дать больничный при стоматите?
Аноним 22/09/16 Чтв 20:40:54  519230
>>519229
Ну, если ты в вип-эскорте работаешь, то точно даст.
Аноним 22/09/16 Чтв 20:55:40  519234
>>519230
А если я с жалобами на стоматит пойду к терапевту? Просто температура 38, хуево пиздец
Аноним 22/09/16 Чтв 21:00:36  519235
>>519234
Если температура - то да, дадут, без разницы, чем она вызвана.
Аноним 22/09/16 Чтв 21:30:49  519246
>>519217
>ничего не болит
потому что
>нерв умер

Вполне возможно, что ты запустил до такого состояния, что зубу пизда.

> бежать к стоматологу?
Лететь нахуй, только не к тем, кто тебе прошлый раз пломбы ставил.
Они по 10 лет должны стоять, если не всю жизнь.

> Эта "практически дыра" связана с тем, что у меня черный зуб без пломбы?
У тебя был кариес, кариес удалили, поставили пломбу, пломба выпала - получилась дыра.
Дальше, скорее всего, без пломбы зуб продолжил разрушаться и гниль частично откалывалась, что сделало дыру больше.

>Вообще, пломба обязательна или нет?
Если ты не удалишь полностью кариес - он будет расти дальше и уничтожит весь зуб, и может пойти дальше и затронуть челюсть.
После удаления кариеса ставят пломбу, чтобы восстановить прежнюю форму зуба и защитить его остатки.
Пломба обязательна. Здоровый зуб защищает эмаль, но даже с эмалью у всех людей бывает кариес, а представь, что будет без эмали? Сгниёт моментально.

>Можно как-нибудь убрать черноту с зуба без пломбы?
Поступаешь в мед, учишься много лет на зубного, покупаешь инструмент, удаляешь себе кариес, и не ставишь пломбу, чтобы гнило дальше.

>Что мне еще надо делать, кроме чистки после еды?
Во-первых, чистить нужно правильно и тщательно.
Большинство людей чистит не правильно и не тщательно, поэтому у них бывает кариес, а у подавляющего большинства зубной камень.

В целом ничего особенного делать не надо, по-меньше ешь сладкого, если съел и тем более оно осталось во рту - пополоскай рот. Правильно питайся, если зубы слабые, делай акцент на пище, укрепляющей кости.





Аноним 22/09/16 Чтв 21:56:47  519257
э, невротики, я вам покушать принёс
https://www.youtube.com/watch?v=4Y8BFM8RvUM
Аноним 22/09/16 Чтв 22:12:57  519263
>>519217
Да, бежать к доктору нормальному и ставить нормальную пломбу.
Я вообще хуею, за последние 10 лет у меня не выпала ни одна пломба, что за говно вам ставят, что оно выпадает?
> Няши, очень не хватает в оп-посте пика с названиями (номерами) всех зубов, вот.
гуглится за 10 секунд, справитесь и без инструкции в ОП посте
И да, плохие новости, светлым зуб не будет уже никогда((
>>519229
> стоматите
> больничный
Лол
>>519234
> температура 38
Иди к терапевту, можешь даже не говорить, что из-за стоматитаможет рили не от него
>>519257
не интересна, хуета уровня УМИРОТПЮРЕ
Аноним 22/09/16 Чтв 22:28:44  519267
>>519263
>Я вообще хуею, за последние 10 лет у меня не выпала ни одна пломба, что за говно вам ставят, что оно выпадает?
Двачую. Меня в 2000ых мамка водила в платные, был небольшой кариес, два раза пломба выпадала, в итоге достаточно много зуба проебалось, пошло восполнение. Потом пошли в свою районную больницу В СЕЛЕ, поставили, и ей уже больше 10 лет. По цвету такая же как зуб до сих пор. И ставили то мне её, когда я был ребёнком, кость растёт - не растёт - хуй знает, пломба держится. Щас 23 лвл и всё норм. С тех пор только к той врачихе и хожу. Делает бесплатно, чистка камней тоже бесплатно, только пломба и укол платные, хотя опять же - могут поставить бесплатную пломбу и уколоть бесплатным обезболивающим, которое на меня хуй действует, зато два дня потом пухлый ходишь. В итоге вся работа бесплатная, а за мед средства выходит чуть больше 1000р. Сходил к ней с 8кой больной - сказала удалять, и что это не её тема, удаляет хирург, и это очень жалко, ибо боюсь других врачей. Пойду в бесплатную областную удалять.

Мать опять предлагала в платную, но в рот ебал я частные клиники, и мать и отец ходили и по знакомствам и по полису (платит организация) в платные и постоянно у них какие-то проблемы, то что-то не доделают, то не дочистят, то отвалится. Даже когда коронку не того размера сделали.
Аноним 22/09/16 Чтв 22:41:49  519271
>>519030
>Не сделали.
И куда ты теперь со всем этим? При выдалбливании зуба по кускам рентген после проведения процедуры обязателен. Ибо больше никак забытые куски зуба не обнаружить.
Аноним 23/09/16 Птн 01:02:25  519306
>>519271
> обязателен
Маняфантазии
Аноним 23/09/16 Птн 10:37:15  519369
14746162359500.png (13Кб, 1104x394)
Сходил в областную, всё бесплатно.
Вводили обезболивающие как положено, а не за 1 секунду. По ощущениям не особо сильно онемело, сказал об этом хирургу - он сказал, что только так кажется. И полез мне в рот хернёй, похожей на плоскогубцы. Выдернул за 2 секунды, ничего не почувствовал. Щас сижу с закусанным бинтом, уже часа два прошло, но всё боюсь его выплёвывать.
Крови особо нет, чуть-чуть совсем в слюну подтекает.

Теперь думаю сходить на консультацию с нижним. Он у меня вроде ровно растёт, но из под десны так и не вылез до конца. Уже пол года прошло, а дело без изменений.
Десна из-за этоуй хуйни пухнет иногда и всякое дерьмо туда забивается.
Алсо, верхний зуб, который удалили, эту самую десну тоже натирал, может теперрь без давления верхнего и нижний вылезет.

Вообще, канеш в хуёвое эволюционное время мы живём, ещё не мало поколений надо сменить, чтобы эти зубы перестали вырастать вообще.

>>518784 кун


Аноним 23/09/16 Птн 11:39:18  519388
>>519369
Сказал бы ему сразу, снятие капюшона задача на две минуты.
Аноним 23/09/16 Птн 11:48:03  519389
>>519388
да я чёт затупил, а вспомнил, когда уже мне бинт в рот запихнули
Аноним 23/09/16 Птн 13:58:14  519423
>>517023
Ортодонт сказала, что по причине того, что у меня узкий зубной ряд, нужно ставить именно деймон систему, т.к. будут ставить какие-то широкие дуги, которые, видимо с лигатурными брекетами не работают. В этом есть правда вообще?
Аноним 23/09/16 Птн 13:59:22  519424
>>519423
Бля, ответ не в тему нажал.
Аноним 23/09/16 Птн 19:41:50  519529
Увидел в дс цены по 10к за чистку+покрытие фторлаком. ЭТО ВООБЩЕ НОРМАЛЬНО БЛЯДЬ ТАКИЕ ЦЕНЫ ДРАТЬ?
Аноним 23/09/16 Птн 20:16:33  519545
>>519246
Няш, спасибо тебе большое за развернутый ответ, но ты меня немного неправильно понял. Я вроде бы написал, но видимо надо было сильнее акцентировать на этом внимание.

Еще раз: я беспокоюсь не по поводу нижнего зуба, который у меня воспалялся, на который ставили пломбу, и который уже два года у меня без пломбы и ничем не беспокоит, кроме самого факта своей неэстетичнгй черноты. Я беспокоюсь по поводу верхнего зуба, который прямо напротив этого нижнего. На нем нет черноты, он меня тоже никак не беспокоит, но ощупывая его языком я заметил, что углубление в его центре гораздо глубже, чем у такого же зуба с другой стороны. Вот.

Я потому и спрашиваю: это из-за кариеса, который перекинулся с нижнего зуба на верхний (но ведь тогда бы верхний зуб был черным, не?)? Или это может быть особенностью строения? Раньше никогда не обращал на это внимания.

А насчет пломбы - ну смотрите. Аналогия с эмалью ведь не совсем корректная, ты сам понимаешь. Эмаль покрывает зуб полностью, а пломба - только прикрывает его сверху, все-таки совсем разные вещи. Насчет хуевых пломб - ну, не знаю, вот какие есть. Чтобы поставить нормальную пломбу, мне, видимо, надо ехать в другой город, в платную клинику, тратить на это кучу денег - и это при том, что этот зуб уже несколько лет так живет, без пломбы, и ничего с ним не происходит. И при этом нет гарантии, что пломба опять не выпадет (в местной клинике ведь тоже говорили, что не выпадет). И при этом я к тому же до усрачки боюсь стоматологов, не надо и это забывать.

Так что вот, резюмирую: пломба выпала больше двух лет назад, зуб не сгнил, с челюстью все в порядке, никаких жалоб нет. Беспокоит другой зуб, который напротив этого, сверху. Он не болит, но как будто бы на нем плявилось углубление. Стоит ли из-за этого идти в местную поликлинику, и что они мне смогут предложить, кроме пломбы, которая у них выпадает через месяц? Вот.
Аноним 23/09/16 Птн 20:18:54  519547
Над дырявым зубом в стыке десны и щеки нащупал языком 2 шишечки, размером наверное не сильно больше игольной ушки большого размера. При нажатии на одну ощущаю боль, вторая не болит. Дико ссусь зубных, в 23 года ни разу не был. Собственно я бы и дальше не ходил, если бы не эта хуйня. Что это? Как долго лечить? Больно будет? Планирую пойти и удалить нахуй зуб, чтоб не сидеть 20 минут и не терпеть всю хуйню.
Аноним 23/09/16 Птн 20:30:21  519552
>>519545
Я тебе так скажу - тебе либо лет 8, либо ты конченный, как ты живёшь и нахуя - это большая загадка.
Аноним 23/09/16 Птн 20:32:16  519553
>>519552
Ты промазал доской. Это /me, а тебе надо в /b. Спасибо за понимание.
Аноним 23/09/16 Птн 20:35:03  519556
>>519069
Нет, чистить нужно два раза в день [/b]правильным ОБРАЗОМ.
Если организм по пизде, то в течение дня нужно полоскать постоянно после еды. Брат жив, зависимость есть, налёта нет.

Алсо - жвачки действенны, потому что вырабатывают дохуя слюны, которая не даёт налёту образоввывается, но есть мнение, что такая слёновая обманка губительна для желудка, поэтому проще полоскать.
Аноним 23/09/16 Птн 20:36:18  519557
>>519553
Я не промазал доской, а вот ты как вообще за компуктер то сел? Неужели твоего уровня интеллекта хватило для этого? или ты просишь маму это сделать?
Аноним 23/09/16 Птн 20:41:33  519560
>>519423
Вот что-то есть у меня сомнения... впервые такое слышу, но хрен его знает, не сильно то я слежу за исследования в этом плане.
>>519529
Чёт какие-то маняцены даже для ДС
>>519545
> который уже два года у меня без пломбы и ничем не беспокоит
Не будь мадаком, когда он забеспокоит будет уже пиздец, иди ставь пломбу
> но ощупывая его языком я заметил, что углубление в его центре гораздо глубже
Не, блин, это каке-то фантазии, возьми у мамки небольшое зеркальце, подойди к настенному зеркалу, открой пасть и засунь в неё зеркальце и посмотри что у тебя там внутри.
Вполне возможно что это тебе кажется субъективно или же может за дыру ты принимаешь щель между зубамив ней тоже может быть дыра или может это просто другой угол поворота зуба.
Короче "ощупывание языком" - хуёвый метод диагностики, добавь к нему хоть осмотр зеркалом.
> зуб не сгнил
Ты в этом уверен? у меня тоже был полностью здоровый зуб с виду, не болел, не тревожил, а потом отвалилась четвёртая часть когда яблоко жрал, всё так же безболезненно.
Короче, гниение, как и рак может протекать вполне незаметно, а когда за беспокоит - гроб-гроб-кладбище-пидор, удаляй-умирай.
> Стоит ли из-за этого идти в местную поликлинику
Банально стоит просто на осмотр, только прямо скажи, что хочешь чтоб только посмотрели, пока ничего не делайте, а то они любят сразу после осмотра начать хуярить всё что видят.
>>519547
чёт не понятно нихрена да и из того что я понял - может быть что угодно, ты хоть фото сделай, скажи когда появилось, сколько существует.
>>519553
Не обращай внимания, это наш недоврач-шизик
Аноним 23/09/16 Птн 20:49:20  519564
>>519560
>Не обращай внимания, это наш недоврач-шизик

С таким темпераментом тебе бы в детсад идти сопли и дерьмо подтирать за личинками.

Я вижу неразумного говно - я его давлю.
Потому что оно жить права не имеет, само не может и другим мешает.

Шизофрения - не приговор.
Аноним 23/09/16 Птн 20:56:19  519567
>>519560
>Чёт какие-то маняцены даже для ДС
Братишь, скажи, сколько оно реально стоит? Без омс и прочего, года ты платный пациент.
Аноним 23/09/16 Птн 21:02:18  519569
>>519567
В чём сложность получить омс?
Государство вам полис дало, лечись бесплатно, нет, хочу жрать говно и платить по 10к.


В большинстве частных клиник оверпрайс, такая политика у ребятишек. Кто-то и зуб вырывает за 6 кусков, а дел на 3 секунды, кто-то отбеливает весь рот за полторы, всё очень относительно. Адекватные цены есть только в старых клиниках и больших сетях, гугли такие. Если пару слов связать умеешь - приди в муниципальную больницу и попроси доктора за деньги принять без полиса, многие этим зарабатывают после рабочего дня или во время него.

Аноним 23/09/16 Птн 21:16:07  519578
>>519557
Зарепортил.

>>519560
Так лол, блин, пиздец-то уже был, с воспалением и вздутием десны. Я как раз после этого и стал тщательнее следить за гигиеной, и после этого никаких проблем не было. То есть я с одной стороны понимаю, что выгляжу немножко как мудак, но с другой стороны - я же рационально, блждад, поступаю. Работает - не трогай! Да и когда эту пломбу будут ставить, они же еще расхуярят больше - а вдруг она опять через месяц отвалится? В итоге получается, что риск себя будто и не оправдывает.

Зеркалом я смотрел, да. Мало что понятно: черноты нет, углубление небольшое есть. То есть выглядит хуже, чем тот же зуб с другой стороны, но... у меня вообще с другой стороны все зубы лучше и главное ровнее, блин. Так что я хз, вариант нормы это углубление - или начало пиздеца.

Короче, в одном ты меня точно убедил: надо просто сходить, чтобы они посмотрели, ничего не трогая, а там уже можно будет думать, что с этим делать и копить ли на платную клинику. Да, это логичнее всего, так и сделаю. Спасибо. :3

Ах, да, насчет "не сгнил": в том и дело, что он с виду совсем не здоровый. Черный и половина от него только осталась. Я имел в виду, что сперва тоже думал, что не поставлю пломбу - и все, он совсем по пизде пойдет и дезинтегрируется. А потом когда она во второй раз выпала было не до этого, времени не было сразу сходить и поставить новую, а потом как-то забил... и все, с тех пор ничего не изменилось. Он какой был тогда, такой и сейчас, спустя два с лишним года. Не развалился окончательно и никуда не делся. Видимо, все дело в тщательной гигиене и том, что у меня вошло в привычку меньше жевать той стороной. Вот, как-то так. Не то, чтоб я тут ратовал за отказ от пломб, лол, не. Просто они тоже не панацея, и без них ад и израиль тоже не наступит (по-крайней мере сразу). Видимо, гигиена таки важнее. Вот.
Аноним 23/09/16 Птн 21:37:14  519586
>>519560
Извиняй, фотку сделать не могу - нечем, да и так оно не видно, только на ощупь. В общем месяца 2 назад у меня опухла область над верхним зубом сразу за крыком который, пару дней так и была опухоль, еще температура немного совсем. На третий день прошло, ну я подумал что и хуй с ним, а сейчас вот на том месте заметил шишечки. Я бы и не заметил, если бы руку не подставил и боль не почувствовал.
Аноним 23/09/16 Птн 21:51:46  519595
>>519567
Я не из ДС, так что не ебу, но как по мне ну как минимум в 2 раза дороже а то и раза в 4 дешевле.
>>519569
> омс
Чёт не уверен, что он работает на такие вот услуги, это уже скорее косметика.
> Кто-то и зуб вырывает за 6 кусков, а дел на 3 секунды
Хех, тут пол треда с лежачими восьмёрками, и там не на 3 секунды дело, драл за ~3к
> приди в муниципальную больницу и попроси доктора за деньги принять без полиса
Вот это годно, сам так хожу, зависимость есть.
>>519578
> В итоге получается, что риск себя будто и не оправдывает.
Ну смотри, тут немного другой подход нужен.
Есть два варианта:
Парвый - ставят и всё збс - охуенно и пиздато только выиграли.
Второй - ты не делаешь ничего, но ёбнуть оно может в любой момент, да есть все шансы, что ты так проходишь ещё 2 десятка лет, а потом тебе его выбьют гопники, а возможно, что через месяц другой внезапно наступит пиздец и не дай бог ты будешь где-то на отпуске в тае или у тебя завал на работе, да даже банально новый год.

Короче, первый вариант не играть в лотерею.
Второй - играть в лотерею с возможным лютым пиздецом или же, если будет победа не ебаться раньше времени.

> копить ли на платную клинику
Не знаю на сколько там плохо, но не уверен, что уж прям так дорого, а если ты не совсем в мухосране - можешь пойти в другую договориться с врачом.
> с тех пор ничего не изменилось.
Это очень рисково, в раке между третей и первой стадией рака ты тоже можешь не ощутить разницу
> по-крайней мере сразу
У зубов самая подляна, что в 90% случаев адъ и изгаиль наступает очень стремительно не спрашивая можешь ли ты сейчас заниматься лечением.

Удачки с доктором, береги здоровье.
>>519586
Рили, у меня даже вариантов нет, может свищь какой или пиздецома серьёзней, а может это просто зуб так выпирает или просто пока ел что-то загнал, если не беспокоит - я бы у доктора спросил на плановм приёме, заодно и зуб полечил бы.
Я сам параноик, в плоть до потери сознания в кресле, но нужно быть сильным.
Аноним 23/09/16 Птн 21:59:03  519600
>>519595
Может еще рассказать про шишки? Они твердые, если надавить пальцем - болят, языком их можно туда-сюда водить. А опухла щека до этого как при флюсеили как он по научному называется, я не знаю. На другой стороне десны такие же шишки есть над каждым зубом, но они не болят и маленькие. И еще сейчас нащупал то же самое на нижней челюсти, тоже маленькие кружочки на стыке десны и щеки/губы.
Аноним 23/09/16 Птн 22:03:28  519604
>>519600
Не не надо, я не разбираюсь, может кто ещё подскажет, но чёт ты так рассказывешь, что не думаю что тебе помогут.
Ты не ипохондрик часом?
я укатил
Аноним 23/09/16 Птн 22:17:55  519612
>>519595
Спасибо еще раз - ты правда не зря текст набирал, это действительно сделало меня задуматься. Добра.
Аноним 23/09/16 Птн 22:44:50  519624
https://www.youtube.com/watch?v=Owxkvfl7d-4
няшу-щелку принёс вам
Аноним 24/09/16 Суб 11:37:23  519716
14747062438810.jpg (119Кб, 868x443)
14747062438841.jpg (103Кб, 875x463)
Подскажите, что делать с воспаленными деснами?
Спереди у меня давно уже эта проблема. Полтора года назад чистил камни. После этого кровоточивость прошла, но воспаление осталось.
Еще недели две назад поранил десну зубной нитью и появилось стойкое воспаление (второе фото). Если сильно надавить, то между зубами появляется кровь. С утра болит это место.
Аноним 24/09/16 Суб 11:40:24  519717
Сколько сделать коронку стоит примерно нынче? У меня 6й зуб снизу почти полность разрушен, и если ставить брекеты, придется его как-то наращивать, похоже. Удалять его нельзя, потому что он для прикуса очень важен, как мне сказали.
Аноним 24/09/16 Суб 20:17:39  519838
>>512790
>Ретейнер?
Что это? Лень гуглить.
Аноним 24/09/16 Суб 20:27:42  519843
>>516898
>Никогда не ходил к стоматологу
Ты сын Иисуса?
Аноним 24/09/16 Суб 20:32:19  519845
14747383397720.jpg (24Кб, 350x272)
14747383397721.jpg (31Кб, 444x299)
>>518247
>Сегодня утром увидел, что у меня кариес. Выглядит как у тянки на первом пике. Болей нет, только черное поражение оболочки. Обязательно ли идти к врачу?
Можно ли вылечить в домашних условиях, например прополисом?
Наткнулся в интернете на статью:
"Прополис является одним из самых известных и эффективных способов лечения кариеса в домашних условиях. Вам нужно положить на больной зуб, и держать на нем в течении получаса предварительно подготовленную горошину прополиса, сверху положив еще ватный тампон."
Аноним 24/09/16 Суб 20:32:37  519846
>>519845
Вот ета абасрамс(((
Аноним 25/09/16 Вск 13:43:59  519913
>>519838
Проволоку сзади к зубам припаивают, чтоб зубы не убежали обратно
Аноним 25/09/16 Вск 15:58:59  519951
14748083401450.jpg (19Кб, 360x480)
Сап,медач.
Мне 17 лет и я просто неистово всрат.

У меня огромное уродливое кривое ебало,очень похоже на пик в начальной стадии.

Нижняя челюсть с правой стороны ниже чем с левой.Скулы так же не симметричны,левая выступает примерно на сантиметр больше правой,если смотреть анфас.Рот кривой,нижняя губа сдвинута в правую сторону.

Нос и губы утолщены.У меня на лице постоянный отёк и покраснение,который сходит только после того,как я пропотею.Опять же - пик.

А ведь когда-то я таким не был....
Когда-то я был абсолютно нормальным,даже симпатичным ребёнком с красивой ровной улыбкой и симметричным лицом.

Примерно в 6 лет я начал быстро набирать вес.В 8 уже был знатным жиробасом,но при этом еще человеком.Потом,в 14 лет у меня внезапно произошёл скачок роста,я был самым высоким в классе.К 15-ти годам я был 181 см ростом и застыл на этом моменте.Больше я не рос.

Кароче,аноны,прошу вас,помогите.
Что можно сделать с таким ебалом? Как это фиксится? Операции какие-нибудь или что?

Больше всего волнует не нормальное строение челюстей.Как у акромегалов каких-то,все что ниже глаз - пиздецово вытянуто и уродливо.Челюсть валуева просто,да еще и кривая.

Я просто не узнаю себя в зеркале последние годы...
Думаю на какую-то эндокринную патологию,хотя гормоны щитовидной железы и половые сдавал,все нормально.
Аноним 25/09/16 Вск 16:16:46  519958
>>519951
Исправление прикуса может неплохо так преобразить рожу, но непонятно, что там у тебя в этом плане.
Аноним 25/09/16 Вск 16:53:30  519965
>>519951
Мы не волшебники и не гадалки.
По тому что ты написал - может брекеты, а может и опреация.
Плюс к этому другие врачи.
Да и если ты жырбас - похудей иногда спасает лучше всех операций и брекетов.
Аноним 25/09/16 Вск 17:50:21  519985
>>519965
Очень криво в этом плане.Причём под каким-то углом вообще не заметно,а под каким-то пиздец как видно.На фотках вообше всегда криво пиздец как,сколько там не двигай.В зеркале слабо заметно
>>519965
Похудел уже.182/68
А если операция,что это за операция? Это уже пластическая хирургия? И разве брекеты исправляют асимметрию? Зубы ровные вполне.
Аноним 25/09/16 Вск 18:23:13  519990
>>519985
> что это за операция?
Откуда нам занать?
Во первых мы тут не назначаем планов лечения, во вторых ты так и не показал что у тебя за пиздецома.
> И разве брекеты исправляют асимметрию?
Брекеты - рай на замле, они и асимметрию исправляют и зубы ровняют и челюсть правильно ставят, рили брекеты революция в плане челюстей.
> Зубы ровные вполне.
Что-то сомневаюсь.

Иди к ортодонту, жалуйся ему, тут тебе не помогут, а с твоим подходом и говорить то не будут.
если прочитаешь шапку, тогда может поговорим поговорим
Аноним 25/09/16 Вск 18:25:56  519991
>>519985
Зубы могут быть ровными, а прикус неправильным. Погугли, какие бывают аномалии прикуса и посмотри есть ли какая-либо у тебя. Может ты вообще себе накручиваешь по поводу внешности, чёрт его знает. Телепаты в отпуске.
Аноним 25/09/16 Вск 18:51:05  520005
14748186660250.jpg (1062Кб, 1440x2560)
>>519990
Да что я теряю... Нате
Про отёк я не случайно писал.Вот скажи,есть он?
Аноним 26/09/16 Пнд 22:51:22  520013
>>520005
Иди /б тралируй, всрат он.
если по сути - вроде как есть кривость челюсти, если дохуя богат - 100 тыщь на брекеты и будет збс через годик, если нет - ну терпи.Отёка не вижу
Аноним 27/09/16 Втр 01:10:12  520017
Банальный вопрос но везде разные ответы. Утром зубы чистить до или после завтрака ? У стоматологов разное мнение , я думаю что все мои проблемы из за того что зубы чищу утром после еды а надо видимо до. Что скажите эксперты?
Аноним 27/09/16 Втр 15:22:40  520037
>>520005
Лицо как лицо, ничего необычного, обычное башкир-лайк лицо. Тебе к психологам, а не стоматологам походу, в /пси.
Аноним 27/09/16 Втр 15:25:40  520038
>>520017
После еды чистят. Как проснешься, можешь прополоскать горло, а потом в рот немного пасты положить, чуть-чуть совсем, подержать, потом добавить воды и прополоскать. Я так делаю обычно.
Аноним 27/09/16 Втр 15:56:17  520039
>>519716
парадонтакс специальный для таких случае, 2 раза в день 2 недели
Аноним 27/09/16 Втр 15:58:38  520040
>>519951
Скулы часто у людей не симметричны, и это так же часто не из-за зубов.
Присмотрись даже к ведущим по тв, у многих не симметричные скулы, так что это хуита.
Аноним 28/09/16 Срд 05:31:34  520117
Ме, у меня раз в полгода режется один и тот же зуб мудрости. И болит. Это норма или иди к врачу, чтоб десну резали? Это дорого?
Аноним 28/09/16 Срд 09:26:31  520131
> У меня появился какой-то странный прыщик на губе/десне, что это?
Скорее всего это стоматит.

Вот об этом как раз хотел спросить. Есть такая беда, появляется раз в месяц или реже на внутренней стороне нижней губы, вроде белого пузырька, начинает болеть при движениях, со временем растет. Примерно через 5 дней проходит полностью, как и не было там ничего, но всегда появляется в одном и том же месте, нигде больше, вот только там. Когда-то давно это происходило, но значительно реже, может раз в год или типа того, сейчас же, как я и говорил, периодичность возросла оче заметно. Что бы это могло быть? Рак?
Аноним 28/09/16 Срд 13:17:02  520148
>>520117
норма, если на стену не лезешь. У меня также уже года 3-4. Иногда ноет и проходит за день
Аноним 28/09/16 Срд 13:50:22  520154
>>520131
У меня тоже такое есть, в одном месте. Правда не растет, совсем маленькое, и я его постоянно прикусываю и оно как бы лопается и исчезает. Периодически появляется, но меня не беспокоит, ибо совсем крошечное и не болит. А тебе наверное надо к стоматологу умудриться попасть, когда эта штука у тебя будет.
Аноним 28/09/16 Срд 19:29:36  520192
толкового ответа не увидел..
так вредно ли после каждого приёма пищи чистить зубы
И второй вопрос...насколько вредны отбеливающие пасты
Аноним 28/09/16 Срд 20:41:33  520223
https://lenta.ru/news/2016/09/28/narofominsk1/
Аноним 28/09/16 Срд 21:05:52  520228
>>520192
Хуй его знает, я бы чистил после приёма пищи.
Пасты - используй как написано и тогда всё збс.
>>520223
и что?
Аноним 29/09/16 Чтв 05:02:20  520287
>>520228
так и чищу, брат жив, кариес и камень уже давненько не беспокоют, только начал упарывать отбеливающие, я не думаю,что щётка с пастой хуже стоматологический операций по отбеливанию с абразивами бор машинкой
Аноним 29/09/16 Чтв 18:18:52  520418
14751623323250.jpg (6Кб, 219x187)
Гнилозубка вкатился. Вчера начался пиздец с зубом. Он у меня когда то сломался от кариеса наполовину и я забил хуец на него Да и зубы как то особо не болели никогда. Короче к моим 20 у меня кариес на всех нижних и на половине верхних и местами нет эмали из за моего распиздяйства в плане здоровью и гигены, пиздец короче, но не суть. Сижу уже 2й день на парацетамоле, ну и полощу свою пасть всякими шалфеями и проч таким, полоскание кстати как то нихуя не помогает. А еще прикладываю хлебушек к поломанному больному зубу и как не странно перестает болеть
Думаю завтра утром попидорю в "бесплатную" городскую больничку ибо нищееб полный страшно сука. Там что то кроче удаления делают? Поди еще и пиздарукие все, но терпеть уже сил нет, пиздец болит зуб ебаный и в ухо отдает еще. Может и в платную было б лучше, но там поди за 1 мой зуб 5к+ возьмут. Вот тут хз как быть конечно. Я последний раз у стоматолога был еще в школе лет в 15, [CODE]придется еще клинику в городе искать бесплатную. Хотя в мухосране она всего одна и наверное найду.[/CODE]
Так вот, если у меня полный пиздец с зубами и кариес пиздецовый, то мне в любом случае придется лечить все зубы вначале или можно только 1 зуб вылечить который оч болит, пломбу/коронку или еще какую хуйню поставить, а остальное как нибудь потом? Ведь если вся пасть в кариесе то наверное не так то все просто с этим да? А то я 1 зуб мб и потяну если пару тысяч всего уйдет, а на лечение всего пиздеца там же как на новую пеку в лучшем случае блядь. Еще и у мамки придется клянчить если больше 2к выйдет.
Как же мне стремно идти в клинику блядь. Ведь полюбому врач будеть охать ахать и всякую хуйню нести насчет моих зубов. Ну или не будет, но неприятно, но сука я ебал так дальше жить. Думал еще день протяну, травки там попью и пройдет, но к вечеру совсем пиздец пиздец заебло все это и все же надо впервые в жизни посетить завтра будет.
Аноним 29/09/16 Чтв 20:10:38  520446
14751690386380.jpg (1160Кб, 773x943)
С утра отлетел брекет. Пошел к доку, он сказал, что налепит мне какую то хуйню на зубы и таки налепил. Жрать теперь вообще пиздец квест. Несколько месяцев носить, пока зуб на место не встанет, потому эту шнягу снимем. Теперь понимаю, что только с брекетами и БЕЗ этой шняги было еще ок кушать
Аноним 29/09/16 Чтв 20:12:15  520448
>>520418
Конечно оставь другие зубы в покое. Так и будешь раз в два года ходить с болью, а потом идти в "бесплатную" и выдирать по 1му зубу. Збс план!
Аноним 29/09/16 Чтв 20:51:52  520455
>>520418
Никто тебе удалять ничего не будет. Остальнве зубы тоже лечить не будут - посмотрят, конечно, и скажут, что тебе надо делать, но вообще-то там запись на полмесяца вперед, тебя как бы в качестве скорой помощи только без очереди примут, а за остальными - записывайся как все, не срочно же. Алсо, врачи там не хуже, а то и лучше, чем в платных. Но вообще зависит от конкретного человека. Если нормальный\ая попадется - запомни фамилию и ходи к ней\нему дальше.
Аноним 29/09/16 Чтв 21:03:46  520458
14751722271110.gif (350Кб, 450x370)
>>520448
Анон у меня денег нету. Совсем. После такого пиздеца который я познал у меня как то больше нет желания еще раз такое испытать. У меня вобще впервые зубы болят я незнал что это настолько пиздец. Но думаю вот у мамки денег попросить, ну и у родственников занять, если нехватит наверное. Хуй знает. Но оставлять все так как есть желания никакого.
>>520455
Да у меня чета пиздец под вечер ебануло и я у мамки денег попросил так что завтра в ближайшую платную побегу. Когда с самым больным зубом вопрос решиться там уже можно будет и врача поискать для нормального лечения, если деньги позволят конечно.
Еще сука так в висок и ухо отдает каждую секунду что я чуть ли тут не ору нахуй
Аноним 29/09/16 Чтв 21:14:52  520460
>>520458
Ну беги в платную. Мог бы и в бесплатную с таким же успехом тащем-то.
Аноним 30/09/16 Птн 15:58:30  520544
>>520458
Совсем нет потому что не работаешь или что? ХУле дотянул то тогда?
Пиздуй работать, ну или откладывай по 2-3тысячи с каждой получки и пиздуй делать по одному зубу за раз. Скинь фоточку? Посмотреть, что там у тебя такое.
Хз, что тебе еще добавить. Ты думал - что всю жизнь проходишь так и нихуя не заболит?
Аноним 30/09/16 Птн 19:33:59  520612
>>520446
чем вам клеят, что они у вас отваливатся? одному моему другану ваще о тшаурмы отклеились, второму ставили - до дома не дошел - отпал 1 (но они ставили какое это говно за 500 баксов). Я пошел в норм клинику, где за весь курс лечения 1500 баксов, 500 я отдал сразу и по 100 отдавал раз в месяц. С меня еще ржали - мол лох-пидр, тебя развели коко-кокок зачем так мноха денег, я вот за овердешево поставил да еще в клинике с большим пациентопотоком. В итоге я жру все подряд вместе с орехами, мороженками, горячими чаями и все на месте.
Аноним 30/09/16 Птн 19:45:37  520616
>>518233
примерно такая же хуйня во рту, пасть не лечил класса с 5.
Дико стремаюсь идти показываться стоматологу.
Аноним 30/09/16 Птн 23:31:47  520687
>>520418
> Ведь по-любому врач будет охать ахать и всякую хуйню нести насчет моих зубов
>>520616
>Дико стремаюсь идти показываться стоматологу
Им похуй, глубоко похуй на ваш пиздец, они на него смотрят только с точки зрения зароботка, и охают лишь для проформы.
Аноним 01/10/16 Суб 13:01:37  520768
14753160971000.jpg (94Кб, 1661x993)
Утро доброе
Последний год стали светлеть и истощатся десны, буквально вчера обнаружил у себя пикрелейтед на зубахобведено зеленым
Скажите, что это и насколько проблемно это будет вылечить? Во вторник пойду получать пизды от своего стоматолога, а пока может пополоскать пасть чем-нибудь, или тут уже только сверление?

курю по пачке в день, кофе тоже почти каждый день, зубы, к сожалению, чищу редко
Аноним 01/10/16 Суб 15:23:28  520805
>>520768
пиздец тебе.
Самое ужасное - видишь белое говно на зубах рядом? скоро и там такое будет.
Аноним 01/10/16 Суб 15:37:31  520807
>>520612
У меня один брекет получается горизонтально почти лежит - вот он и отвалился. Я нижней челюстью по нему стучу, когда ем. Вернее стучал, теперь из-за ебаных бугорков этих челюсть не закрывается.
>>520768
Что то у тебя левый зуб как то нездорово тоже выглядит.
Во вторник врач и скажет тебе, что это и сколько стоит. Ты только 6 зубов показал, мб у тебя там 26 надо лечить все
Аноним 01/10/16 Суб 16:24:46  520818
>>520768
белое говно - дисплазия эмали - лечится курсами минерализации. Потом эта белая хуйня превращается в корчневую (это уже разрушение слоев эмали) ну и потом уже кариес.
Аноним 01/10/16 Суб 19:22:36  520868
14753389568550.jpg (5Кб, 271x258)
>>520807
С левым все нормально, там пигментное пятно - не смертельно

>>520818
Уверен? То что я обвел, там будто бы пикрелейтед
Аноним 01/10/16 Суб 19:28:23  520870
>>520868
Чувак, даже я уверен.
хотя, может конечно и камень, но нет, 99.9 процентов что не камень
Аноним 01/10/16 Суб 21:53:42  520917
14753480224550.gif (861Кб, 500x500)
Что стоматологаны могут посоветовать для улучшения состояния десен? Жидкости для полоскания, например, или витамины какие специальные?
Аноним 01/10/16 Суб 22:33:26  520924
14753504066120.jpg (902Кб, 2609x1929)
Суп, медач. Всю жизнь ходил с такими зубами (хз, почему такие желтые получились на фото), а тут мне врач говорит, что у меня парадонтоз. Какой-то лазер и уколы сейчас делает.
На вопрос лечится ли он, сказала что нет, а максимум на что ищу рассчитывать - сохранение текущего состояния. И в гугле в каждой статье разная инфа.
Так вот, десны нарастут обратно на зубы?
курил 7 лет, но бросил более года назад
Аноним 01/10/16 Суб 22:34:17  520925
>>520924
>могу расчитывать
Аноним 02/10/16 Вск 04:24:19  520984
>>520924
Чуваук, тебе брекеты нужно, какой в пизду парадантоз, у тебя весь ряд проебан
Аноним 02/10/16 Вск 14:13:40  521110
>>511739 (OP)
Чуваки, что употреблять в пищу, чтобы зубы были крепкие и целые?
Какой примерный рацион нужен, чтобы не запороть челюсть годам к тридцати?
Аноним 02/10/16 Вск 21:48:57  521259
>>521110
> Какой примерный рацион нужен
СБАЛАНСИРОВАННЫЙ
чёт я прихожу к выводу, что на зубы больше влияет генетика чем рационы, если ты не чухан-бомж, а чистишь зубы и питаешься полноценно
Аноним 02/10/16 Вск 23:10:29  521279
Была пломба на передних двух зубах уже свыше 10-15 лет.
На днях у стоматолога был, сказал, что нужно убрать ее и запломбировать заново, так как она немножко там коряво была и границы покрыты были то ли налетом, то ли кариесом, то ли зубным камнем.
Старые пломбы высверлили с кусками зубов и вставили пломбы.

Итого 10 тыщ содрали, за пломбы ~3000 и ~6000 за некую "эстетическую реставрацию".


Это нормально или развели меня на бабло?
Аноним 03/10/16 Пнд 01:00:10  521334
>>521279
>Была пломба на передних двух зубах
Одна пломба на два зуба что ли?
10 тысяч за два зуба спереди это нормально.
Аноним 03/10/16 Пнд 01:57:12  521355
>>521279
> Итого 10 тыщ содрали
Вы там ебанулись? 500грн (1.5к руб) в Киеве красная цена за фотополимер, последний раз в резце поменяли за 250грн.
> за некую "эстетическую реставрацию".
И в чём же она заключалась?
>>521334
> 10 тысяч за два зуба спереди это нормально.
ты ёбнутый?
Аноним 03/10/16 Пнд 12:22:46  521429
>>521355
>И в чём же она заключалась?
В том, что типа восстановили форуму зуба.
Аноним 03/10/16 Пнд 13:02:56  521433
>>521429
Ты как-то темнишь.
Форму зуба востанавливают при любой пломбе, вопрос в том что у тебя всё же пломба или половины зуба нет и это скорее было его востановление чем пломбирование.
Аноним 03/10/16 Пнд 15:33:36  521462
>>521433
Пломбы были на двух зубах очень старые свыше 10 лет. В стоматологии пломбы старые эти рассверлили, ну и часть зуба естественно тоже. И поставили новые пломбы.
В то то и дело, что форму восстанавливают при любой пломбе, так почему они сняли с меня за реставрацию?
Аноним 04/10/16 Втр 18:07:25  521860
>>521462
> у тебя всё же пломба или половины зуба нет
Аноним 04/10/16 Втр 21:32:42  521943
>>520924
Т. е. пародонтоза нет? похуй на ряд
Аноним 04/10/16 Втр 22:16:22  521964
Сап, медач
Сегодня заметил на двух передних зубах маленькие, еле заметные трещинки. Они вертикальные и вообще малозаметные, скорее больше на царапины похожи. Но я все равно чет ахуел. Что это? Моим зубам пиздец?
Аноним 04/10/16 Втр 22:53:42  521975
>>521964
Это трещины в эмали. Ничего страшного, но избегай горячего, холодного и и их смеси.

Фиксится лишь пломбами с точным подбором оттенка. Тыщ 5 за зуб.
Аноним 04/10/16 Втр 23:08:51  521983
>>521860
>Пломбы были на двух зубах очень старые свыше 10 лет. В стоматологии пломбы старые эти рассверлили, ну и часть зуба естественно тоже.


Альзо, за airflow-чистку и ультразвуковой скол зубных камней взяли 8k с меня. В интернете смотрю - эта услуга от 1,5k до 5k стоит.
Нехило меня взъебли?
Аноним 05/10/16 Срд 13:25:10  522124
>>511739 (OP)
Вряд ли мне кто-то ответит, но все равно спрошу.
Суть такова:
Год назад болела восьмерка (за год до этого пломбированы каналы в платной). Поболела месяц примерно и прошла, с тех пор больше не болела. Но вместо этого из десны у края зуба выделяется ужасная вонь, если чуть провести по десне (а иногда и без надавливания) а также нередко сплевываю слюной с кровью.
Понятно, что пора бы уже сходить к дантисту, но меня интересует предварительный диагноз. Алсо, дырок на самом зубе не видно.
Аноним 05/10/16 Срд 14:04:38  522139
>>521983
>Нехило меня взъебли?
Выебли как воблу, по полной. 3900 руб отдал месяц назад за ровно такую же процедуру.
Аноним 05/10/16 Срд 14:05:35  522140
>>522124
>предварительный диагноз
Пульпит, что же ещё.
Аноним 05/10/16 Срд 17:00:33  522187
>>522140
Но как?
Внешних повреждений нет, а пульпировали (это я и имел в виду, когда писал про пломбировку каналов, просто слово забыл) его где-то год-полтора назад.
Почему тогда из других зубов, которые нужно было пульпировать, не выделялась кровь и вонь? Почему он поболел месяц и уже >год не болит?
Аноним 05/10/16 Срд 17:16:30  522195
>>522187
>Внешних повреждений нет,
Дырка под десной, раз оттуда говно течёт.
>Почему он поболел месяц и уже >год не болит?
Пизда нерву, зуб уже труп и болеть теперь там может только челюсть, когда разнесёт полбашки.
У меня вообще пара пеньков от одного зуба осталась, и не болит, переболел 10 лет назад, лол.
Не доводи до такого, иди драть/лечить, если вдруг зуб нужен.
Аноним 05/10/16 Срд 17:20:23  522197
>>521983
> за airflow-чистку
1900 стоит у нас, только что в лифте объяву видел
Скол зубного камня около косаря, вместе с полировкой-чисткой зубов.
Аноним 05/10/16 Срд 17:21:28  522198
>>522124
Лол, надо было пиздовать к доктору, как толкьо вонь почувствовал. Ты гниешь, бро!
Аноним 05/10/16 Срд 17:49:29  522208
>>511739 (OP)
Привет медач. На связи кун, 27 лвл
Кароче, я понял что меня окончательно доканали зубы. Началось все это еще в детстве, постоянное посещение стоматолога. Т.е. он, мой лучший друг уже с детства. Моя карточка в стомалогической поликлинеке больше по объему чем в обычной где я не был с 2011 года. Гигиена: регулярная, с флосом и ополаскивателем. Пасты меняю. На проф гигиене пародонтист даже не рассказывает про то как надо чистить, ибо видит что камня нет, лишь иногда слабый налет. Но, как я не стараюсь, раз в пол года три-пять кариесов ловлю регулярно. Терапевт до того сточил некоторые зубы что пришлось на них ставить коронки. Вот и теперь, записался к терапевту, в двух местах точно есть кариес. Последний раз терапевт отпустил меня со здоровой пастью в Марте.
Кароче, вопрос простой, мне пизда и стоит смрится? Или может есть еще какие способы улучшить состояние зубов? БАДы? Мази? и.т.д
Аноним 05/10/16 Срд 22:05:51  522311
>>522208
Стоматологи когда сверлят зубы, то специально задевают здороые зубы бормашиной, как одним концом, так и другим, чиркают по зубам. Специально ли, случайно, но в итоге пострадавшие зубы со временем начинают гнить.
Аноним 06/10/16 Чтв 10:40:05  522444
Только что с клинки, сложное удаление нижней восьмерки. Я вообще-то за стомадвижуху, ничего не боюсь, но что там было, это жестко было даже для меня. Наверное, жестче только импланты ставить (хотя не уверен). Даже от двух уколов лидокаина чувствовал НЕПРИЯТНЫЕ ОЩУЩЕНИЯ под конец, когда начали выкорчевывать. У меня такой вопрос - нимесулид можно заменить на обычный пенталгин, или все же нимесулид пить? Я знаю, что он больше противовоспалительный, чем обезболивающий, поэтому спрашиваю.
Аноним 06/10/16 Чтв 10:44:13  522446
>>522124
Ты - это я. Точь-в-точь. Только вот боль, которая была год назад вернулась недавно и я понял, что болеть может уже не зуб, а челюсть или еще хуй знает что, подсел на измену, вспомнив осложнения от гниющих зубов и пошел на консультацию.

только что с клиники-кун
Аноним 06/10/16 Чтв 11:01:31  522454
14757408917500.jpg (1827Кб, 1872x3328)
14757408917891.jpg (1970Кб, 1872x3328)
>>522444
Немного гуро
Аноним 06/10/16 Чтв 12:41:35  522502
>>522454
Тоже скоро предстоит удалить две нижние восьмерки, спрятавшиеся в десну.
Аноним 06/10/16 Чтв 15:13:24  522583
>>522502
Ебать там все распухло, жевать невозможно. Алсо, кровотечение нормально устранилось только через часа полтора. Лунка неебических размеров, наверное в этом дело. Теперь боюсь жевать активно, а то опять что-нить потечет.
Аноним 06/10/16 Чтв 15:13:37  522584
Сегодня побрился и ВНЕЗАПНО заметил, что нижняя челюсть у меня не на месте. Она как бы вдавлена в череп, сидит слишком глубоко. Если завести задние зубы за передние, то получается примерно правильное положение. Что это за хуйня, зубанон? У меня нарушение прикуса? Или что это вообще такое?

Самое характерное, что у меня как бы всегда был подкачанный и мощный подбородок, так что я нехило так шокирован. До этого пару лет, наверное, не брился, и видимо было незаметно.
Аноним 06/10/16 Чтв 15:20:11  522586
>>522584
Сомкни зубы и сфотографируй их в анфас и в профиль.
Аноним 06/10/16 Чтв 16:16:15  522605
>>511739 (OP)
Здравствуйте, ребят. Такая проблема, вероятно стер эмаль на передних зубах и при откусывании чего-то иногда может появиться острая боль на кончиках
Можно ли это как-то поправить самому, очень ли серьезно это?
Просто у меня это довольно долго и недавно обострилось, вот думаю, как из ситуации выйти
Аноним 06/10/16 Чтв 16:28:20  522607
>>522586
Попытался что-то сфоткать, но видимо телефонная камера недостаточно хороша, ничего не разобрать там, эх.

Ну, чисто теоретически такое вообще быть может? Ведь не могут же за два года все верхние зубы сдвинуться на полсантиметра назад, это же хуита какая-то.
Аноним 06/10/16 Чтв 16:46:47  522613
>>522607
Верхние резцы перекрывают нижние больше чем на треть? Верхняя челюсть выступает вперед относительно нижней? Нижняя челюсть выглядит немужественно при дистальном или глубоком прикусе. Во взрослом возрасте внезапно он появится не может. Или вариант, что с прикусом всё норм, просто такая челюсть.
Аноним 06/10/16 Чтв 16:59:23  522623
>>522613
Хм, да, больше чем на треть. Полностью закрывают, почти касаясь кончиком нижней десны.
Да, выступает.
Про прикусы сейчас буду гуглить.

Я вроде бы понимаю, что внезапно такое появиться не может, да, но вот сейчас нашел бритую фотку пятилетней где-то давности - и там такого нет даже близко. За пять лет прикус уже может испортиться? Может дело еще в том, что я в подростковом возрасте ходил в качалочку, мышцы были в тонусе и из-за этого визуально выравнивали подбородок, из-за чего начинающаяся деформация челюсти была в то время незаметна - правдоподобно? Вообще, если бы не сбрил сегодня бороду, я бы и дальше этого не замечал. Это чем-то чревато впоследствии, или дефект чисто косметический? Да, да, уже гуглю, ок.
Аноним 06/10/16 Чтв 17:04:42  522624
Сколько сейчас стоит удаление зуба с козырной анастезией? А то от пульпита всё нутро выгнило и в зубе огромная дыра образовалась. Боюсь что вконец сломается и потом хер вырвешь
Аноним 06/10/16 Чтв 17:22:31  522630
>>522623
Глубокий прикус у тебя, скорее всего. Нижняя челюсть "съедена" верхней.
>нашел бритую фотку пятилетней где-то давности - и там такого нет даже близко
Может, ты на ней челюсти не смыкал. С возрастом черты лица меняются, становятся взрослее, поэтому такой дефект становится заметнее.
>Это чем-то чревато впоследствии, или дефект чисто косметический?
Ну, вообще это не есть гуд, но чем-то серьёзным не чревато. Зубы чуть сильнее будут стираться.
Аноним 06/10/16 Чтв 17:37:46  522631
>>522624
it очень сильно depends
Мне выдрали 2 восьмерки за 2000 и 3100.
Аноним 06/10/16 Чтв 17:47:07  522635
>>522630
Глубокий дистальный судя по картинкам, да. Пиздец просто, чувствую себя говном. Обидно, что всю жизнь до этого момента я вообще даже не подозревал, что у меня вот такая фигня. Ну блин. Теперь кажется, что лучше бы и дальше не подозревал, хех, - сейчас-то лечить особого смысла уже нет, как я понял, там сроки до пяти лет... ну не будет же почти что тридцатилетний мужик с брекетами ходить, блин. Ну и говно, короче. Прошу прощения, что сюда это пишу, просто, блин, хуево как-то, хотелось выговориться.
Аноним 06/10/16 Чтв 17:51:32  522637
И вообще, я до сих пор офигеваю от того, что верхние и нижние зубы оказывается должны коняиками соприкасаться. Я всегда думал, что у людей by design нижние зубы за верхними - места жк меньше занимает и конструкция в целом получается более устойчивой. Вечер охуительных открытий, блин.

Выходит, всю жизнь был неправильный прикус, просто не было заметно со стороны, сам я не догадался, что он неправильный, и никто не сказал. Пиздец просто, вот так живешь себе четверть века, а потом ВНЕЗАПНО узнаешь, что у тебя что-то неправильно. Пиздец.
Аноним 06/10/16 Чтв 17:59:44  522642
>>522444
>лидокаина
Но зачем, когда есть ультракаин?
Аноним 06/10/16 Чтв 18:04:08  522644
>>522583
>Алсо, кровотечение нормально устранилось только через часа полтора
У меня сутки текло.
>>522624
>А то от пульпита всё нутро выгнило и в зубе огромная дыра образовалась.
Может ещё полечить можно?
>>522637
>Выходит, всю жизнь был неправильный прикус, просто не было заметно со стороны, сам я не догадался, что он неправильный, и никто не сказал. Пиздец просто, вот так живешь себе четверть века, а потом ВНЕЗАПНО узнаешь, что у тебя что-то неправильно. Пиздец.
А не похуй ли? Раз не замечал, значит, не мешает, и выглядит небось не так хуёво, как это бывает. Так что забей.
Аноним 06/10/16 Чтв 18:04:41  522645
>>522637
>верхние и нижние зубы оказывается должны коняиками соприкасаться
Когда верхние чуть перекрывают нижние, не больше чем на треть - вариант нормы, причём самый эстетический.
Аноним 06/10/16 Чтв 18:12:55  522648
>>522644
Без бороды выглядит очень хуево, прям совсем. С ней - все хорошо, совершенно незаметно, но я боюсь, что челюсть и дальше деформироваться будет, да и сопутствующие проблемы с зубами появятся. У меня просто еще некоторые другие проблемы со здоровьем, а тут еще это, так что сейчас себя конченым унтерменшем чувствую. Если еще и борода расти перестанет - точно пора выпиливаться, хех.

>>522645
Вот кстати, ведь в таком положении челюсть можно зафиксировать просто мышцами. Мне кажется немного странным, что везде пишут только о брекетах или аналогичных механизмах, и нет ни слова про коррекцию двигательных стереотипов. Ведь это, по идее, должно не последнюю роль играть.
Аноним 06/10/16 Чтв 19:36:16  522674
>>522642
Я не уточнял о препарате, ибо ДОВЕРЯЮ ВРАЧУ, иногда вообще без анестезии лечу, если говорит не надо. Полностью онемение спасло только на 5 часу, может и ультракаин был. Противопоказаний у меня все равно нет.
Аноним 06/10/16 Чтв 19:45:04  522678
>>522644
>Может ещё полечить можно?
Очень боюсь стоматологов.
Аноним 06/10/16 Чтв 20:14:14  522684
>>522678
Лол. Борись со страхом, ибо вкрячивание протеза намного более мучительная, долгая и не надёжная процедура, чем лечение зуба. Или останешься беззубым пидором.
Аноним 06/10/16 Чтв 23:36:50  522750
>>522635
У нас тут в треде я 25 лет с брекетами, ещё чувак около моего и мужик который похож на 30 летнего слесаря >>517464
>>522648
не пишут про такие коррекции так как врач их контролировать не может, а сам ты там себе понаправляешь, да и по сравнению с брекетами всё чахнет.
Аноним 06/10/16 Чтв 23:46:22  522752
>>522750
Мне на днях в Интане брекеты рекомендовал ортондонт.
У них там акция скидка на установку с 25К до 15К на 1 челюсть. Потом еще каждый месяц по 1,5К на активацию, носить года полтора, потом снятие 3,5К.
В общем, что-то дохуя выходит.
Я все думаю, ставить, или ну его нахуй.

мимо 32 года
Аноним 06/10/16 Чтв 23:54:25  522753
>>522752
> У них там акция скидка на установку с 25К до 15К на 1 челюсть. Потом еще каждый месяц по 1,5К на активацию, носить года полтора, потом снятие 3,5К.
Не ведись на таких, сперва полный прайс с программой лечения, а потом посмотрим.
По тому, что сперва у них только 1.5*18 на активацию, а потом ещё пару кусков за снимочки, плюс за слепки + оторваный брекет тоже в копеечку, плюс кроме реактивации есть ещё и замена дуги, плюс тяги.
Короче, раньше 800-1000 бачей за челюсь было норм, сколько сейчас - не знаю, но примерно на эту сумму рассчитывай, а не на 15к.
Аноним 07/10/16 Птн 03:10:01  522781
>>522684
Да там внутри зуба ничего уже нет походу. По любому протез...
Аноним 07/10/16 Птн 12:06:57  522839
Господа,какой протез посоветуете? С каждой стороны по одному зубу нет. Последний стекловолоконный сломался под корень,наверно. Наверно уже нет смысла его делать.
Аноним 07/10/16 Птн 12:46:24  522850
14758335845330.jpg (186Кб, 900x600)
Непонятно как стоматолог будет пломбировать дырку в зубе,
которая сбоку, между зубами?
Аноним 07/10/16 Птн 13:22:12  522868
>>522850
Рассверливать и пломбировать, чего это тебя волнует? он и без твоего знания в этом вопросе разберётся + скорее всего дырка там в двух зубах уже.
Аноним 07/10/16 Птн 14:25:20  522892
14758395205120.jpg (77Кб, 604x582)
>>522868
>Рассверливать
>чего это тебя волнует?
спасибо конечно
Аноним 07/10/16 Птн 14:33:25  522895
Антон, у меня нет шестого нижнего зуба, удалили года 4 назад. Теперь я подумал и решил, что неплохо бы его вставить, но есть проблема - соседние зубья уже неслабо так наклонились в промежуток. То есть надо их растаскивать.
Посему вопросы:
1. К какому врачу (ортодонт, ортопед, хирург) мне идти с этим делом?
2. Как вообще растаскивают зубы в таком случае? Брекетами?
Аноним 07/10/16 Птн 15:33:15  522921
>>522444
>>522446
А что по диагноз у тебя был?
Там все сгнило к хуям?
Хуево, если честно. У меня возле этого зуба просевший "зуб" на штифте, если его удалять, то на этой стороне вообще жевать практически нечем будет.
Аноним 07/10/16 Птн 17:58:28  522951
Анон, посоветуй пожалуйста стоматологию (и конкретного стоматолога тоже) в ДС. Ничего особенного, мне только кариес лечить.
Аноним 07/10/16 Птн 18:06:17  522953
>>522921
Не знаю как правильно называется, восьмерка лежала почти на 90 градусов, вся сгнила. Все сгнило к хуям, обычно такие зубы даже небольно удалять под легкой анестезией, там и нерва то нет, но с этим пидарасом не все так просто оказалось.
Аноним 07/10/16 Птн 22:57:36  523077
>>522781
Главное корни что бы были.
>>522895
>Как вообще растаскивают зубы в таком случае? Брекетами?
Бабочкой.
>>522953
С восьмёрками часто так, особенно с лежащими.
Аноним 07/10/16 Птн 23:23:28  523089
Мне 20 и не лезут блядские зубы мудрости, пару дней назад начал болеть правый нижний, иногда так болит что глотать больно, завтра утром иду поликлинику, можно попросить чтобы мне удалили все 4 например? Потому что я не хочу ебаться с ними потом в будущем, ведь это нахер ненужный рудимент. Я так понял это из-за них у меня лимфоузлы и хуево 2 года, восприятие хуево и звон в ушах и т.д.
Аноним 07/10/16 Птн 23:32:26  523095
>>523089
Сразу все 4 это норм вызов самому себе. Скорее всего, хирург откажется, потому что придется въебать в тебя много обезбола. Алсо, с чего ты взял, что с верхники пробелма будет? Проблема обычно с нижними.
Аноним 07/10/16 Птн 23:37:55  523100
Сколько надо времени, чтобы пододвинуть брекетами уехавший клык на пол-сантиметра(имплант не влезает)?
Аноним 07/10/16 Птн 23:43:42  523101
>>523095
Да верхние не лезут, нахуй их, чистить неудобно и блевать тянет.
Аноним 08/10/16 Суб 00:31:49  523113
>>523101
Сначала на одной стороне удаляй, потом на другой. Иначе жевать будет проблематично, все лунки засрёшь едой, а это ой как плохо.
Аноним 08/10/16 Суб 02:05:28  523131
>>523089
За раз не вариант, если у тебя лежачие.
Хотя, оба верхних, если они нормально растут - без проблем можно вместе дёрнуть.

Нижние намного сложнее.
И да, доктор в принципе может дёрнуть если попросишь, правда бывают морозятся, мол нахуя, если не беспокоят, но немного надавить и дёрнут.
>>523100
Хуй его знает, чтоб норм - дохуя, месяцев 6, но это, как я понял норм результат. А так у меня зуб на 1/3 см за 2 недели ушел.
Аноним 08/10/16 Суб 02:25:10  523133
>>522750
Хм, то есть это вовсе не фрикопидорство, а вполне обычная практика, раз даже в двощах уже трое человек минимум? Хм... или все-таки это как раз на двощах фрики собрались?

И как? Результат вообще есть? Расскажи немного в целом о том, почему ставил и как оно в плане, ну, влияния на качество жизни, если не трудно.
Аноним 08/10/16 Суб 02:50:21  523139
14758842220210.jpg (28Кб, 480x248)
>>523133
Никакого фрикопидорства, каждый ставит по своим причинам, кто-то хочет иметь ровную улыбку, но по каким-то причинам не сделал это раньшеобычно вопрос денег, кто-то получил кривую челюсть и доктор сказал что либо брекеты, либо пизда челюсти через 10 лет, у кого-то вместо зубов пиздецовый забор который уже заебал и хочется даже не красивую улыбку, а просто не стесняться открыть рот.

Да и вообще, это твоё здоровье, это как осуждать человека, который к урологу ходит, чтоб быть здоровым. Твоё тело, твоё дело.

Результат охуенно, фоток "сейчас" нет, но вот тебе пик того что былофото старое, ряд продолжал ползти и стало ещё хуже.
Ставил по тому, что реально стал превращаться в чухана, ряд уплыл, зубы начали заваливаться, всё лицо поплыло за ними и я начал походить на деревенского школьника.

На жизнь в целом особо не влияет, перестал жрать всякую дрянь на улице, вообще питание привёл в норму, это как один из самых приятных побочных плюсов.
Из минусов - натирает когда много говорю, целоваться с девочками, ну смотря с кем, с кем-то норм, а с кем-то не очень, царапается, но терпимо.

А так в целом я доволен. Бывает ловлю взгляды и вопросы уровня "а не поздновато ли брекеты носить?" "ха-ха, как школьник с брекетами", очень быстро отваливают после встречного вопроса по поводу того не стыдно ли ему с кривой пастью до конца жизни ходить?

Тут к месту цитата Черчеля "Да вы же пьяны! -Все верно. А вы уродина. Завтра утром я протрезвею. А вы так и останетесь уродиной."
Аноним 08/10/16 Суб 03:16:04  523146
>>523139
Спасибо. Как-то даже вселил в меня надежду твой пост, хех. Да, ты пожалуй прав. Смысл в этом все-таки есть.

Кстати, не знал, что это цитата Черчилля, лол.
Аноним 08/10/16 Суб 12:54:09  523200
Привет, анон. Реально ли исправить прикус за разумную цену (до 100к) без брекетов?
Аноним 08/10/16 Суб 13:20:17  523215
>>523200
Не в твоём возрасте.
Аноним 08/10/16 Суб 13:24:32  523217
Пришёл в государственную, сказал у меня зуб мудрости, сел, начала ковырятся в этой десне, чистить его, я аж заплакал от боли, пиздец короче, а вырывать во вторник.
Аноним 08/10/16 Суб 14:01:01  523225
>>523215
Со скольки лет реально? :D
Аноним 08/10/16 Суб 14:17:34  523228
>>523225
Не со скольки, а до скольки. До 13 лет примерно. С помощью капы.
Аноним 08/10/16 Суб 15:35:50  523258
>>523217
>государственную
>я аж заплакал от боли
Денег за обезболивания предложить не пробовал? Если не полный нищеброд, то предложи, а то они и ковырять без анестезии/ сбрызнув лидокаинчиком начнут.
Аноним 08/10/16 Суб 16:07:03  523279
>>523200
Как написали выше, либо ты школьник средней школы и будешь ходить с капой, либо это выйдет дороже 100к, всякими там инвизилайнами.
>>523217
Снимок есть? Стоматолог хуячил или хирург? если стоматолог и без снимка - будь осторожен, в случае если внезапно окажется что зуб лежит - охуеете вы оба, соя стоматолог - умная баба с зубом мудрости сразу отправила к хирургу, сказала если на снимке будет без патологий - могу вернуться к ней, если лежачийкак и оказалось - пусть хирург хуячит.
>>523146
Чёт я как сектант написал, в общем смотри сам, цена там не маленькая, так что просто подумай настолько ли всё плохо и стоит ли оно того, а так да, успехов.
я чёт тоже долго думал что это мухожук сказал

Пилите перекот, 500 постов уже набрали
и добавьте в шапку уже что-то по кариесам-протезам-пульпитам-кистам, я в этом особо не шарю, давайте сами
Аноним 08/10/16 Суб 16:29:32  523281
>>523279
Да не, не как сектант. Просто у меня сперва (от шока, видимо, лол) вообще были мысли в стиле "один хуй помирать скоро, какой смысл вообще что-то с этим делать", а теперь подумал так и осознал, что все упирается только в деньги, да. Короче, филиал психотерапии-треда тут получился, лол, извините.
Аноним 08/10/16 Суб 16:39:16  523288
>>523279
Ну сказала к хирургу записываться, будет обрезать вырывать короче.
Аноним 08/10/16 Суб 18:03:20  523320
14759390001870.jpg (44Кб, 930x275)
Остался последний зуб мудрости и что то вчера мне стало как то не по себе. Был записан к докторше которая удаляла предыдущие 3. Вот прихожу она говорит что не хочет браться за этот последний зуб так как он оказывается для нее стал слишком сложный, перезаписала меня к более опытному стоматологу хирургу мужчине и сказала что он спокойно удалит. Говорит что корень очень глубокий и проходит рядом с нижнечелюстным нервом и у меня эта часть лица может онеметь на долго и вообще осложнения. Я теперь очень боюсь, что делать ? Назадавал на форумах кучу вопросов и все говорят что да есть минимальный риск осложнений. И что мне делать, ппц?!!! На фото слева.
Аноним 08/10/16 Суб 18:16:27  523326
>>523320
> На фото слева.
В таком сложном случае не помешал бы прицельный снимок этого зуба.
Аноним 08/10/16 Суб 19:55:31  523367
Ребят, всем привет! У меня тут несколько вопросов, к Вам - стоматологам. Вкратце о себе: У стоматолога последний раз был лет 6-7 назад.

1 (и самый главный, из-за чего вообще сюда пришел. Как-то месяц-два назад откололся большой кусок зуба, не болел. Сейчас же, ночью зуб просто ужасно болит. Зуб шестерка, откололся изнутри (где язык), оголилась та часть пятерки, которая была закрыта.
Уже знаю что пульпит. Собственно, долго ли я смогу с ним ходить заглушая боль таблетками и каплями? Точнее проходить столько, чтобы зуб можно было восстановить. Во сколько обойдется мне его лечение, и вообще, сложно ли лечить такой случай? Саму дырку без специального зеркала стоматологического не видно.

2. Еще есть 2 дырки в зубе, обе на шестерках, но их давно пломбировал в стоматологии. Пломбы на месте, просто образовались дыры. Слева дырка так же как на верхней шестерке изнутри. На втором зубе 2 дырки, около 5 и 7 зубов. Почему они никогда не болели? Про нервы уже не помню, но вроде не удаляли.

3. На шестерке справа стенка которая со стороны языка очень маленькая, по малолетству мне ее кривой стоматолог просто спилил. В частной стоматологии давно, пломбу мне поставили в нескольких миллиметрах от десны. Могут ли быть проблемы, если стенка маленькая?

И вообще ребят, во сколько мне в сумме выйдет ремонт всех моих зубов? 3х шестерок (2 нижних, одна верхняя), на одной пульпит.
Аноним 08/10/16 Суб 23:13:03  523441
>>522750
>>517464
мне 25, кек, будет 26 через 5 дней. А че эта я на 30 летнего слесаря похож из-за небритости?
Аноним 08/10/16 Суб 23:22:57  523443
>>523367
Я потратил 80 тыщ на лечение зубов
Аноним 09/10/16 Вск 10:20:54  523503
Вот тут описал проблему: https://2ch.pm/me/res/523502.html
Аноним 09/10/16 Вск 13:46:19  523541
http://www.nazdor.ru/topics/medicine/western/current/468115/

анон>>523320

ну и что мне делать? риск конечно мал, но я уже готовлюсь ко всему, как хирург должен его вытаскивать чтобы все прошло без осложнений ? Судя по инфе на сайте у него опыт всего 5 лет. Записываться в более дорогому ?
Аноним 09/10/16 Вск 20:17:55  523693
14760334754000.jpg (136Кб, 1280x960)
14760334754031.jpg (133Кб, 1280x960)
Привет, меданы.
Что делать с темными участками? Про исправление прикуса знаю, это в среднесрочных планах.
Нужна чистка или лечение кариеса или что это может быть на зубах?
Сначала на переднем верхнем зубе было просто пятнышко, потом присмотрелся - пизда, трещинка! И в трещинке потемнение. На другой зуб глянул - там вообще внизу с какого-то хуя точка темная появилась. Что это - ранний кариес или просто пигментация от черного чая в пакетиках, который я хуярил непрерывно последний год-полтора кружечек по пять в день? Темный участок на нижнем зубе появился довольно давно, примерно года три назад связываю с приемом некоторых препаратов типа дексаметазона и разных препаратов платины, хотя хуй знает, может и не из-за них, спустя примерно год появился темный участок на зубе над ним. Единичка и двойка совсем недавно стали вот такими, конкретно их я связываю с чаем, но мало ли. Зубы чищу дважды в день, минут по пять.
Аноним 09/10/16 Вск 20:47:58  523702
14760352787010.jpg (585Кб, 2760x1504)
>>517464
Вкачусь со своими 3 оставшимися 8ками, по идее их вырвут без всяких проблем? Вылезли они полностью ,если что.
Аноним 10/10/16 Пнд 00:54:31  523764
>>523279
Ну я и рассчитывал где-то на сумму в районе 70к+, спасибо за совет
Аноним 10/10/16 Пнд 14:55:13  523950
>>522454
Теперь лунка серо-темная (это же норма, вроде, толстая пленка), напрягает немного болезненные ощущения, хотя прошло уже 4 дня. Знающие аноны, это норма или нет? Или, может, это гной? В клинику желания ходить нет просто опять. Через сколько переставать болеть должно место удаления?
Аноним 10/10/16 Пнд 14:56:15  523952
Анончики, сладкие мои, недавеча начал лечить семёрку -- стоматолог сказал, что пульпит из-за давишей на неё лежачей восьмёрки, и приключилась пизда следующего характера.

Сперва положили яд на нерв, поставили временную пломбу. Потом, через два дня, пломбу сняли, пульпу удалили, каналы прочистили, залили метапексом и поставили ещё одну временную.
После этого зуб начал тянуще болеть, и сильно болеть при нажатии. Ну я списал это на то, что наверное так уж бывает после лечения. Через неделю временную сняли, метапекс сняли, я пожаловался на боли. Стоматолог сказал что-то невнятное, и пломбировать не стал и сказал неделю полоскать фурацилином по 4 раза в день. Полощу, эффект слабый, зуб начинает шататься по тихоньку.

Это что за неведомая ебаная хуйня может быть? Раз шатается то всё, пизда? Такое бывает от метапекса? Или я зря паникую?
Аноним 10/10/16 Пнд 15:07:12  523954
>>523693
>Нужна чистка или лечение кариеса или что это может быть на зубах?
Нужен поход на консультацию к стоматологу. Чистка необходима 100%. Кариес посмотрят.
Аноним 10/10/16 Пнд 15:52:52  523969
>>523954
Ладненько, на этой неделе схожу. Потом отпишусь как прошло.
Без разницы, какая чистка/какой врач? Всегда +/- одинаково делают?
Аноним 10/10/16 Пнд 17:02:47  523990
Медачик, а коронки ставят бесплатно в гос. клиниках или только за деньги?
Выпала пломба старая целиком, ходил к врачу сегодня, сказал, что пломба уже не поможет и коронка нужна. С деньгами туго сейчас.
Аноним 10/10/16 Пнд 18:47:57  524051
>>523969
Ну, врач имеет значение, конечно. Но именно с чисткой трудно налажать.
Аноним 10/10/16 Пнд 20:58:35  524111
>>524051
А как его определить? Эмпирически/везением? А то у меня знакомые как-то особо ничего толкового не насоветуют, а интернету веры нет или есть.
Аноним 10/10/16 Пнд 21:00:33  524114
>>523990
Только платно.
Аноним 10/10/16 Пнд 21:36:51  524137
>>524114
Ебаненько. А в ДС это примерно от 5к, верно?
Аноним 10/10/16 Пнд 23:01:13  524190
>>524137
Я как раз коронку буду делать на этой неделе. Слепки на той неделе взяли. И несколько дней назад каналы запломбировали. Итого 30k будет стоить
Аноним 11/10/16 Втр 00:57:31  524254
>>524190
Охуеть блять.
Аноним 11/10/16 Втр 18:53:28  524557
Дохера темных пятен, полосок, точек на зубах. Ходил дважды к разным стоматологам и все говорят, что все ок, ничего лечить не надо, может старую пломбу заменить и все. Меня наебывают или правда норма?
Аноним 11/10/16 Втр 20:47:06  524632
>>524557
Рентген делали? Если нет, то наёбывали. Только по рентгену можно уверенно сказать, пиздецома это или хуитка.
Аноним 11/10/16 Втр 21:14:15  524648
>>524632
Никакого рентгена, палочкой тыкали в зубы и все.
Аноним 11/10/16 Втр 23:03:10  524728
>>519951
Кривые челюсти правят остеотомией + брекетами, если есть квоты, то получается не дорого. Остальная пластика уже платная. Не очкуй, пиздуй к хирургу
Аноним 12/10/16 Срд 10:11:05  524839
Пришёл к хирургу он отказался вырывать зубы мудрости, говорит "когда у тебя сгниют 6-7 повесят на 8 коронки", петух.
Придётся ехать в нормальную больницу и вырезать их.
Аноним 12/10/16 Срд 11:15:53  524848
Как долго длится отек после удаления зуба мудрости? Вроде ничего не болит но лете смущает. Предыдущие 3 были удалены без отека.
Аноним 12/10/16 Срд 11:38:41  524856
>>524728
Crooked jaws rule the ostheotomy.
Аноним 12/10/16 Срд 12:29:43  524869
Удалили зуб мудрости, как ухаживать? Дантист нихуя особо не сказал, кроме как полоскать (но ведь везде пишут, что в первый день нельзя полоскать, чтобы сгусток крови не вымывался из лунки, втф).
Все прошло быстро, швов не накладывали.
Аноним 12/10/16 Срд 16:05:48  524916
Ленивые пидоры, чому никто не перекатывает?
>>524915 (OP)
>>524915 (OP)
>>524915 (OP)
>>524915 (OP)
Перекот
Перекот
Перекот
Аноним 12/10/16 Срд 20:35:29  525027
>>511739 (OP)
Собственно суть, в кратце - раньше мамка лечила зубы у "частного" врача который работал в обычной поликлинике и леваком за небольшие суммы делал разные ништяки которые в платных клиниках делали за 150-200 штук (например бабуле дяде он вставил зубы за 15 штук, тогда как в клинике за 3 зуба попросили 140 тысяч) сейчас контакты этого врача проебали, так вот, как можно таких отыскать кроме как через знакомства? На авито, или может быть медицинских форумах? Проблема вот в чем (могу конечно ошибаться, дед очень расплывчато все рассказывает) - у все зубы на месте кроме 3 передних которые искусственные и приклеиваются раз в пол года - год. Последние пол года приклеиваться они перестали. Дед сгонял в стоматологичку рядом с домом где ему нихуя толком не объяснили, но подсчитали что стоить все это дело будет в районе 120 штук - бабок у него таких нет, а мне разве что жоповозку придется продавать что бы такие деньги получить в кротчайшие сроки. Поэтому и ищу сейчас какого-нибудь стоматолога который "леваком" работает.
Аноним 12/10/16 Срд 20:35:52  525029
>>525027
>бабуле и дяде*
фикс
Аноним 12/10/16 Срд 22:28:49  525081
>>511739 (OP)
продублирую вопрос

О чем свидетельствует постоянное появление язв стоматита во рту? Уже несколько лет страдают данным недугом, 1-3 раза в месяц стабильно появляются во рту язва, которая долго заживает(неделю)

Насколько сильно на появление язв оказывают грязные руки например?
Аноним 12/10/16 Срд 22:34:29  525084
>>525081


И еще один вопрос в дополнении. Может ли слюна работать в обратном направлении, т.е. не заживлять раны. а наоборот образовывать? Утром бывает просыпаюсь и на губах заеды, кровавые раны и корки образуются в тех местах, куда попадает слюна.
Аноним 12/10/16 Срд 23:52:18  525125
>>511739 (OP)

Хелп ми, от малейших прикосновений начинают кровоточить десна, я этому долго не придавал внимания, но хотел бы вылечить данную хуйню. Чем лучше всего укреплять десна, помогли ли вам данные способы(у кого подобная проблема была)?
Аноним 13/10/16 Чтв 16:55:48  525269
>>525084
>слюна
>заживлять раны
Ты собака? У человека слюна хуита, ничем не помогает заживлению.
>>525125
Камни с зубов очисти, если есть.
Аноним 15/10/16 Суб 13:56:09  525975
>>511739 (OP)
Здравствуйте, подскажите пожалуйста годный сайт с литературой по ортодонтии, без регистрации и СМС.
Аноним 17/10/16 Пнд 12:16:12  526789
>>524869
Лучше не полоскай, а делай ванночки, набирай хуйню типа лесного бальзама в рот и держи не полоская. У самого вырвали зуб неделю назад и все время проверяю и ссу как бы не было альвеолита, а сгусток нельзя тыкать языком и трогать.
Аноним 20/10/16 Чтв 01:45:36  527772
14769171364460.jpg (130Кб, 604x806)
>>511739 (OP)
и так спрошу и тут
В понедельник удалили зуб так как была инфекция под ним. Буду ставить имплантант.
На данный момент под швами образовалась такая белая хрень. Это инфекция? или так и должно быть? Думаю завтра вставлять свечу и бежать к врачу.
Дай советов мудрых

Пик стронгли рилейтед
Аноним 22/10/16 Суб 23:29:24  528726
14771681648420.jpg (119Кб, 500x387)
Сломался зуб, типа как на пике. И чего дальше делать? Учитывая, что нищеброд и нерезидент, то есть все услуги будут платными, включая консультацию? Как сделать дешевле и что именно сделать? Ну и чтоб выглядело не всрато, конечно.
Зуб был без нерва, сломался по пломбе.
Аноним 23/10/16 Вск 13:23:08  528858
14772181887510.jpg (39Кб, 886x453)
Что это за хуйня и что с ней делать? Около недели назад заметил.
Аноним 23/10/16 Вск 14:59:38  528888
14772239789720.jpg (181Кб, 500x484)
>>528726
Заебали, блядь. Сложно ответить, что ли? Зуб отвалился, нервничаю же.
В гугле только заказное говно про заебатые имплантаты овер 10 тыр. Какие еще варианты? Может кто делал недавно зубы? ДС-2.
Никогда не сталкивался с подобным, думал этот случай из тех, что бывает только с другими.
Аноним 23/10/16 Вск 16:39:32  528944
14772299728870.png (412Кб, 555x377)
Аноны, поясните за хуйню на пикриле. Что это? Рецессия десны? Чем чревато, если не исправлять?
Аноним 23/10/16 Вск 20:17:15  529063
>>528888
>Какие ещё варианты?
Квадрипу отвечу.
Никаких вариантов, коронка за 10 тыщ ещё по божески выглядит, другими методами такую фигню, да ещё на переднем зубе, не исправить.
Консультацию обычно делают бесплатное, точнее, её стоимость вычтут из лечения, чтобы ты просто так на эти консультации не ходил.
Аноним 23/10/16 Вск 20:22:16  529066
>>529063
Спасибо, друг.
Безнадега, короче.
Аноним 24/10/16 Пнд 00:51:36  529177
14772594969610.jpg (67Кб, 1000x667)
Есть гайд, по уходу за полостью рта. Есть ли смысл в полоскалках для рта, и какие хорошие. Как часто и как правильно пользоваться зубной нитью и щеткой, какие еще приблуды для зубов придумали и все такое.
картинка для привлечения внимания
Аноним 26/10/16 Срд 19:15:43  530178
>>528944
Пародонтит - подвижность - удаление
Лечится лоскутной операцией
Вообще надо смотреть снимок, скорее всего кость постепенно уходит
Возможная причина - сверхнагрузка вследствие прямого прикуса
Аноним 26/10/16 Срд 19:25:27  530183
>>529177
Смысл в ополаскивателях есть, но по большей части в отсутствие возможности почистить зубы, возможно заменить настоями/отварами трав, шалфей, ромашка.
Зубной щёткой - если лечили часто, после каждого приёма пищи, если немного, то двух раз хватит, особо отбитые чистят утром и счастливы
зубной нитью каждый день проходить все промежутки
Очень классная штука для гигиены - зубные ёршики, стоят неплохо, но при регулярном применении дают хороший эффект, меньше воспаления дёсен, контактного кариеса, способ применения простой, проходить промежутки соответствующего размера ёршиком.
Аноним 29/10/16 Суб 03:18:19  531296
wk9hg4CYhZU.jpg (27Кб, 555x377)
jeRLnCPTpDQ.jpg (80Кб, 1080x675)
>>530178
Анон, спасибо, что ответил. Короче, оказалось, что это просто зубной камень.
Аноним 29/10/16 Суб 11:26:26  531381
>>527772
Это норма. Если ничего не будет болеть сильно и температуры не будет, все ок.

[Назад][Обновить тред][Вверх][Каталог] [Реквест разбана] [Подписаться на тред] [ ] 551 | 80 | 171
Назад Вверх Каталог Обновить

Топ тредов
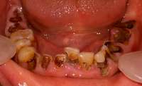
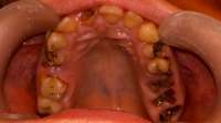
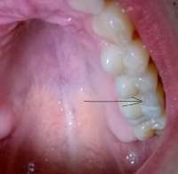
Избранное