[Ответить в тред] Ответить в тред

02/12/16 - Конкурс визуальных новелл доски /ruvn/
15/11/16 - **НОВЫЙ ФУНКЦИОНАЛ** - Стикеры
09/10/16 - Открыта доска /int/ - International, давайте расскажем о ней!


Новые доски: /2d/ - Аниме/Беседка • /wwe/ - WorldWide Wrestling Universe • /ch/ - Чатики и конфочки • /int/ - International • /ruvn/ - Российские визуальные новеллы • /math/ - Математика • Создай свою

[Назад][Обновить тред][Вниз][Каталог] [ Автообновление ] 259 | 31 | 135
Назад Вниз Каталог Обновить

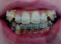
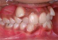
Красивой улыбки тред Аноним 27/11/16 Вск 14:43:45  1840432  
355.jpg (88Кб, 600x370)
Есть треды посвященные фигуре, косметике, моде, волосам, пластической хирургии, а улыбке - нет, поэтому создам. Обмениваемся опытом по лечению зубов, отбеливанию, протезированию, исправлению прикуса и т.п.

С виду у меня самые обычные зубы, красивыми их назвать сложно, но и отталкивающего ничего в улыбке нет. Но если присматриваться, то у меня неправильный прикус (как мне кажется) или просто некоторые зубы криво растут, передние нижние начинают стираться, есть пара незаметных сколов, щербинка между верхними передними зубами, цвет далек от белоснежного. А хочется заиметь красивые и здоровые зубы. С чего начать? С брекетов? С лечения кариеса (есть парочка)? Ставить виниры/люминиры/что там еще есть? Как вообще люди добиваются зубов, как на пике? Сколько это стоит (предполагаю, что дохуя)? Эффективно ли отбеливание? Сильно ли оно вредит эмали? К какому врачу мне идти - к обычному стоматологу, ортодонту или эстетисту?
Короче, красивых зубов нить иди. Пилите свои истории.
Аноним 27/11/16 Вск 14:55:38  1840440
>>1840432 (OP)
Сначала к стоматологу лечить кариес далее иди к ортодонт поставит брекеты но будь готова вложить около 100к на это все
Аноним 27/11/16 Вск 14:58:46  1840441
>>1840440
Готова и больше вложить, лишь бы эффект был.
А брекеты не сдвинут с места поставленные пломбы? А если надо будет штифт ставить? Я почему-то думала, что наоборот, сначала искривление фиксят, а потом пломбы ставят.
А что делают с щербинкой и сколами?
Аноним 27/11/16 Вск 15:06:14  1840445
>>1840432 (OP)
на пике ненастоящие зубы если че
Аноним 27/11/16 Вск 15:08:12  1840446
>>1840445
Я осознаю это, просто в гуголе это одна из первых картинок по запросу "красивая улыбка".
Аноним 27/11/16 Вск 15:41:23  1840471
Буду ставить себе брекеты. Зубы пикрелейтыд + внутри там тоже все криво выросло. Сначала вырвут 3 зуба. Две четверки сверху и одну снизу.

В Понедельник иду на залечевание кариеса. Так же учти, что нужна будет процедура по гигиене и фторирование. Потом вырвут зубы, потом только поставят брекеты. Я предположительно буду ходить 1+ лет.
Аноним 27/11/16 Вск 15:41:40  1840472
krivue-zybu-8.jpg (14Кб, 374x260)
>>1840471
забыла пикчу.
Аноним 27/11/16 Вск 15:45:39  1840477
Расскажите про отбеливание. Эмаль достаточно желтая от природы, хочу отбелить. Какое отбеливание выбирать? Насколько длительный эффект? Наверное стоит сначала кариес залечить, надо ли говорить врачу, что я после этого буду делать отбеливание? И как быть со старыми пломбами? Сколько бабосов готовить на три пломбы и отбеливание?
Аноним 27/11/16 Вск 15:47:26  1840479
>>1840471
Ох, у меня не такой пиздец канешн. Удачи тебе, сис. Что по стоимости примерно у тебя? Будешь ли делать что-то с зубами дальше, после брекетов?
>>1840477
Я бы точно сказала врачу, что собираюсь отбеливать, что в этом такого?
Аноним 27/11/16 Вск 15:49:09  1840481
У куна зубы кривые. Причем было ясно еще в школе, покупали ему пластинки, а он их выбрасывал. Раза 3 выбросил и маме го сказала, что теперь это его проблема. Так и ходит с кривыми, сейчас не особо жалеет.

У меня проблема вот, каждый раз как простужусь болит в корне зуба, глубоко-глубоко, в районе скулы. Кариеса нет. Ходила один раз с этим к стоматологу, но поскольку уже выздоровела от простуды, то она сказала, типа может единичный случай, надуло. Но у меня каждый раз так. У кого-то герпес как простудится, у кого-то цистит, а у меня вот болит корень зуба. Вопрос, к кому мне идти с такой проблемой то? Не хочу опять уходить с работы ради 5 минутной консультации.
Аноним 27/11/16 Вск 16:00:30  1840489
>>1840479
Ну а что с ними дальше делать?

Подумываю о отбеливании. Особенно для клыков которые опустятся, они у меня намного желтее передних чомусь.
Аноним 27/11/16 Вск 17:00:16  1840532
Лол, у меня стояли брекеты на верхних зубах 2 с лишним года, сначала все после снятия было хорошо, затем начали ломаться ретейнеры и появилась диастема между двумя передними зубами + один зуб стал в результате немного вперед выпячиваться. Сначала бугуртила, потом стало все равно, зато теперь это ебет всех, кроме меня, родителей, стоматолога. В результате я пошла к ортодонту, к которой меня направила стоматолог, она мне говорит - либо брекеты на обе челюсти на два года (~180к), либо виниры (~210). Идите нахуй с такими суммами, меня и так устраивают мои зубы.
Аноним 27/11/16 Вск 17:49:05  1840563
>>1840432 (OP)
> С лечения кариеса
С этого. А то я пару дней узнала че такое долго кариес не лечить, чуть не обосралась от страха, когда сказали что десну резать будут.
Аноним 27/11/16 Вск 18:59:58  1840600
Рекомендую сайт breket.info
Можно выложить фотку зубов, и все подробнейше расскажут.
Аноним 27/11/16 Вск 21:44:34  1840717
А у меня с зубами совсем все плохо. Очень плохие всю жизнь были, быстро кариес образуется, а еще они очень и очень кривые, растут друг на друга некоторые и пища забивается в эти труднодоступные места. По моим расчетам, чтобы все вылечить, мне потребуется 60-70к. Много кариеса на передних и из-за этого стесняюсь улыбаться. Работаю на днищеработе, денег особо ни на что не хватает, кроме продуктов/квартиры и т.д. базовых вещей, в месяц могу максимум 1 зуб полечить. Очень страшно смотреть каждый день в зеркало и наблюдать за тем, как твои зубы гниют в режиме реального времени. Ходила в гос. стоматологию, там разводят руками и говорят, что и так сойдет, в общем, лечить отказываются, НЕ БОЛИТ ЖЕ. Да и знаю я, как они лечат, один зуб до сих пор болит после этого и кривая пломба царапает десны, больше мне такого удовольствия не надо. Безысходность, в общем. Думаю искать какую-нибудь подработку.
Аноним 27/11/16 Вск 23:49:41  1840844
>>1840717
>в месяц могу максимум 1 зуб полечить
вот и лечи. Не стой на месте. Эти месяца отскакивают как минуты. Не успеешь оглядеться как пол рта себе подлечишь.

Подработка хорошая идея. Если рот твоя главная проблема - все возможные деньги откладывай на его лечение.

Добра!

мимо-кривозубая
Аноним 23/12/16 Птн 21:44:16  1856581
IMG201612232037[...].jpg (342Кб, 1333x965)
Ну я поставила. Теперь буду наворачивать пюрешки на НГ. Зубы и десна адски чешутся. Выгляжу говняно.
Аноним 23/12/16 Птн 23:36:53  1856657
>>1856581
Какого хуя до сих пор не придумали чего-то более эстетичного.
Аноним 23/12/16 Птн 23:39:27  1856658
>>1856657
Придумали. Но чем менее заметные - тем они дороже.
Аноним 24/12/16 Суб 00:45:03  1856691
>>1856658
Ну, блять, это же не ракеты в космос запускать. То, что такая необходимость не входит в омс и собходится так дорого, просто не-спра-вед-ли-во.
Аноним 24/12/16 Суб 00:45:27  1856692
>>1856691
> обходится
фикс
Аноним 24/12/16 Суб 00:58:55  1856696
44b308beaa.jpg (157Кб, 661x422)
Вот вам мои челюсти. Исправляю прикус и мечтаю о голливудской улыбке. Осталось 1,5 года в лучшем случае
Аноним 24/12/16 Суб 03:26:52  1856719
>>1856696
Как именно тебе будут исправлять дистальный прикус?
Аноним 24/12/16 Суб 12:18:35  1856804
image.jpg (108Кб, 544x330)
Зубы пикрелейтед. Бесит, что эмаль желтоватая, нижние зубы кривые. Ещё хз почему у меня клыки желтее, чем остальные зубы. И белые пятна на эмали – говорят, это никак не убрать

Чищу их правильно, использую зубную нить, скребок для языка, ополаскиватель, раз в год хожу на гигиену. Блять, ну что за хуйня!
Аноним 24/12/16 Суб 12:44:32  1856823
>>1856581
О, тоже носила верх-керамику и низ-металл.
Вот мой опыт.
Прикус так и не дотянули. Носила тяги, просто ебически больно, уснуть не получалось - голвоа и челюсть болит, с утра во рту адов пиздец. Осталась щель с одной стороны, ну да и бог с ней. Двойка сверху все равно торчит - орт ебал мозг, что она формы просто такой, хотя ее вполне впихнуть можно было бы, но это еще полгода носить, а я на тот момент уже заеблась столько бабла отдавать.
Металл сняли за минуту. Керамику - пиздец долго стачивали, кровь говно и песок по всему рту.
Каппы после снятия - нужная вещь. Забила, месяц не носила, попыталась надеть - еле вставила. Значит, зубы двигались даже несмотря на ретейнеры. Ношу теперь 2-3 ночи через каждые 2 недели.
Ретейнер один через три месяца оторвался нахуй. Точнее там сначала отошел один кончик, я его крутила-дергала (он ж царапучий) и в итоге вырвала к хуям.

Лучше ставьте хорошие платные пломбы, если кариес есть. Под бесплатной из муниципальной клиники все за год нахуй сгнило.

Электрощетка и ополаскиватель - вещь. Ирригатор - сомнительно, как купила так и ленюсь заряжать. Зубная нить теперь всегда с собой.
Аноним 24/12/16 Суб 12:46:36  1856824
>>1856823
зубная нить вреднее ирригатора, ты ей ковыряешь и раздражаешь десну
Аноним 24/12/16 Суб 18:54:09  1857102
>>1856823
Та я на все готова. Пусть мне по всему периметру потом клеят ретейнеры. И начать даже ходить к стоматологу раз в пол года после снятия, абы ж только вместо писдеца на пткрелейтыд получить нормальные зубы.

Аноним 24/12/16 Суб 18:59:21  1857106
>>1856696
Мне бы такие зубы.

мимо-тян-с-тем-пиздецом-выше
Аноним 24/12/16 Суб 19:35:04  1857132
>>1856581
А разве это можно выправить, не удаляя? Там же просто места нет.
Аноним 24/12/16 Суб 19:38:49  1857134
>>1857132
Ну так мне и удалили 4 зуба. Мб на фотке просто херово видно. За клыками дырки и в низу тоже две дырени.
Аноним 24/12/16 Суб 20:01:22  1857148
>>1840481
Зубные нервы уходят глубоко, во время простуды идет воспаление в носоглотке и прилегающих тканях, может задевать нерв.
Но это я с дивана вангую.
Аноним 24/12/16 Суб 22:44:26  1857216
>>1856719
Аппаратом Гербста
>>1857106
Сис, у тебя скоро такие же как у меня зубы будут через полгода
Аноним 24/12/16 Суб 22:52:52  1857223
CYcfGduMty5ZNz5[...].JPG (148Кб, 1024x768)
3293ior.jpg (224Кб, 681x1200)
28612638.jpg (33Кб, 600x602)
zubnaya-nit-ora[...].jpg (38Кб, 500x500)
>>1856824
Розовая Splat - лучшая нить для брекетов. Удобно проходит за дугу и достаточно плотная, чтобы не царапать десну. Я ей обе челюсти надрочилась прочищать за 1-2 минуты.
Юзала остальные пикрелы - все сосут хуи по сравнению со Splat. Особенно Rocs - просто лютое говно, липкая какая-то, мягкая и совершенно не держит форму, просунуть за дугу невозможно.
Аноним 24/12/16 Суб 22:53:47  1857226
>>1857223
К чему это я все... смотря какая нить в общем. Орал би действительно мне резала десну.
Аноним 24/12/16 Суб 22:54:59  1857227
>>1856824

ты ирригатор с собой носишь в кармане? некоторые люди завтракают-обедают вне дома, и возвращаются только вечером, прикинь
Аноним 24/12/16 Суб 23:10:23  1857243
>>1857227
я на машине езжу, могу хоть 10 ирригаторов носить
Аноним 26/12/16 Пнд 12:01:06  1857953
image.jpg (907Кб, 1280x960)
image.jpg (844Кб, 1280x960)
Показывала год назад.
Аноним 26/12/16 Пнд 12:17:50  1857966
>>1857953
Поцеловал бы эти губки.
Аноним 26/12/16 Пнд 12:37:17  1857979
Стремаюсь брекетов пиздец как. Думаю захуячить себе каппы, челюсть кривая, но не полный ад, должны справиться. Кто нибудь носил подобное? Есть от них эффект или я тупо выброшу 200к на ветер?
Аноним 26/12/16 Пнд 18:27:29  1858170
>>1857953
Это уже исправленные или от природы?
Аноним 26/12/16 Пнд 18:59:48  1858182
>>1858170
От природы.
Аноним 26/12/16 Пнд 19:30:38  1858206
У меня настолько хуёвые зубы, что я давно на них забила и перестала мечтать выпрямить. Хорошо хоть есть кун-гнилозуб мне под стать.
Аноним 26/12/16 Пнд 21:07:21  1858261
1 (3).jpg (453Кб, 1024x599)
1 (2).jpg (312Кб, 749x545)
1 (4).jpg (2352Кб, 1988x2924)
1 (1).jpg (278Кб, 522x792)
Шок-контент.
Решила наконец-то заняться зубами. Вылечила дырки\сменила пломбы и записалась на приём к ортодонту. Пик 1 - то, что я имею от природы. 8-ки на верхней челюсти выросли вторым рядом. Удалила и ждала, когда заживут раны (пик 2). На нижней челюсти зубы мудрости сместили остальные, и они поехали + неправильный прикус. На приеме врач сказал, что надо подрезать уздечку языка, потому что она ему не понравилась. Типо скученность зубов и прочее. Я уже особо не помню, что именно он говорил. Поставил брекеты и через несколько дней я поехала к хирургу на подрезание. На процедуре было оче хуево, потому что плохо обезболили и левая сторона осталась чувствительна. Выжигали лазером: ассистентка держала язык, положив свою руку мне как раз таки на левую половину лица, закрыв глаз, а хирург орудовал во рту. Когда с правой стороной закончили и перешли на левую, то мне казалось, что я попала в ад, лол. Вспотела, как боец ММА на ринге и из левого глаза стали течь слёзы, но я ничего не могла сказать, потому что мне держали язык и эта хуйня с лазером была во рту. На 4 пике дыра стразу после процедуры, а ниже - на след. день. Всё опухло, язык не двигается, обильное слюноотделение и прочее. Жру только йогурты уже неделю.
Прошла неделя, как я ношу брекеты. Никакого дискомфорта, но эта хуйня с языком меня угнетает.
Аноним 26/12/16 Пнд 21:08:07  1858262
>>1858261
Ну ёбана, пики перемешались.
Аноним 26/12/16 Пнд 23:02:39  1858299
patient-042-04.jpg (186Кб, 1280x853)
>>1858261
А что это за нарост под самой уздечкой языка?

Пример на пике - это то, что я привыкла видеть у себя и у других лол т.е. ничего, никаких наростов. И вообще рили эта часть у тебя выглядит крипово.

А вообще умничка сис :З Сама не могу жевать и страдаю на пюрешках и йогуртах.
Аноним 26/12/16 Пнд 23:46:55  1858311
>>1858299
Какой нарост? У меня была такая тоненькая ниточка - уздечка, которая растягивалась. Я думала, что так у всех, лол.
Аноним 27/12/16 Втр 03:43:03  1858350
>>1858311
У тебя будто какие-то слишком рваные края у уздечки.
Аноним 27/12/16 Втр 03:45:23  1858352
>>1858350
Там вторая пара челюстей.
Аноним 27/12/16 Втр 04:04:56  1858356
>>1858350
Они по мере заживления исчезают. Уже рана намного меньше стала.
Аноним 27/12/16 Втр 11:23:21  1858432
14827756413512.jpg (400Кб, 994x1462)
>>1858311
Зис.
Аноним 27/12/16 Втр 13:40:48  1858488
>>1858432
Это опухли слюнные железы.
Аноним 27/12/16 Втр 15:07:54  1858539
>>1858488
Даже не опухли, просто из-за того что она язык подняла.
Аноним 27/12/16 Втр 15:11:10  1858543
>>1858539
>она
Я и есть она. Уже такого нет, не надо тут.
Аноним 27/12/16 Втр 16:01:06  1858576
>>1856804
Че паришься, бери отбеливающие полоски и будет те щастье. Сама 4 года юзаю, желтозубые завидуют.
Аноним 27/12/16 Втр 20:00:16  1858758
У меня верхняя челюсть ровная, нижняя кривая, но ее не видно. Проблема в том, что кальций не усваивается, эмаль почти отсутствует. Это означает, что у меня уебищные серо желтые зубы с белыми пятнами. Еще это значит, что мне нельзя выпрямлять челюсть. Также у меня зубы в основании хуй знает как сказать, размывается что ли. Короче образуются дырки у основания, но без кариеса, и их нет смысла пломбировать. Ни один стоматолог за всю жизнь никаких приятных прогнозов не давал. К кому идти не знаю. Уебищные зубы порчи лицо.
Аноним 27/12/16 Втр 20:12:53  1858770
>>1858758
А эмаль от кальция зависит? Я думал от фтора
Аноним 27/12/16 Втр 20:25:14  1858781
>>1858576
а какие полоски посоветуешь?
Аноним 27/12/16 Втр 20:30:01  1858786
Жутко буругчу от своих зубов. Точнее, верхний ряд, хоть и очень далек от идеала, но в принципе меня устраивает, но нижкий - пиздец забор (зубы вверх-вниз идут, друг на друга наползают). Плюс желтые и еще пара сколов есть, но это я скоро пофикшу. А вот в выпрямление пиздец как ввязываться боюсь. Хотелось бы каппы, но это во-первых оче дорого, во-вторых в моем городе похоже нет годных спецов по этой теме.
Аноним 27/12/16 Втр 20:43:30  1858795
>>1858770
Мне даже пасту со фтором нельзя, лол
Фтор он отбеливает, а не эмаль укрепляет
Аноним 28/12/16 Срд 09:45:47  1859130
>>1858758
А че он у тебя не усваивается?
Аноним 28/12/16 Срд 11:01:02  1859149
Совет тянам которые хотят отбелить зубы, но не хотят вбухивать в отбеливание zoom3. Всякие полоски и отбеливающе пасты не юзайте, эмаль потом тоже чувствительная...Я недавно открыла для себя зубную пасту Rocs minerals и гель rocs medical minerals! СИСЫ это что то, зубы лучше стали, намного белее, крепкие, юзаю по месяцу сначала зубной пастой потом на зубную щетку гель и снова чистишь.. Эффект уже после 4 раза, зубы стали тонов на 5 белее и блестящие. Ценник пасты около 250 р и геля около 300 р, очень бюджетно для такого эффекта. И если у кого то чувствительные зубы или мини кариес, комплекс такие вещи фиксит на раз два!
Аноним 28/12/16 Срд 11:03:31  1859152
>>1859149

считается что пасты никак на белизну зубов не влияют, это все плацебо
Аноним 28/12/16 Срд 14:08:01  1859210
>>1859152
это лечебная паста и гель которые влияют на минерализацию зубов. И только за счет этого они становятся белее, в общем кому надо тот попробует и оценит думаю. имхо
Аноним 28/12/16 Срд 14:21:47  1859220
>>1859210

хуита
Аноним 28/12/16 Срд 15:54:38  1859317
>>1859220
ТЫ
Аноним 09/01/17 Пнд 18:51:44  1868835
Ну что? Есть у кого прогресс?
Аноним 09/01/17 Пнд 19:07:20  1868846
Сисы, ситуация такая. У куна мелкие зубы и щели между ними. Плюс местами сильно стерта эмаль. Думали ставить брекеты, но поняли, что это хурма, в его случае уже красивей не будет.
Что лучше? Реставрация зубов, виниры или есть какие-то еще альтернативы? Чисто для зоны улыбки.
Аноним 09/01/17 Пнд 19:11:24  1868849
>>1868846
Похожи на эти зубы.
Аноним 09/01/17 Пнд 19:20:03  1868858
>>1868849
Ко врачу сходи и спроси, поехавшая
И готовь не меньше сотки
Аноним 09/01/17 Пнд 19:36:30  1868869
В среду иду к ортодонту. Очень страшно, но пиздец во рту терпеть сил уже нет. Места мало и верхние клыки выросли вторым рядом. Не хотелось бы их удалять, да и вообще удалять что-либо, потому что в целом зубы крепкие. И ещё клыки тоже желтее, чем остальные.
Аноним 09/01/17 Пнд 19:52:43  1868879
>>1868858
Все врачи разное советуют. Один сказал, что виниры, другой сказал, что брекиты и с эмалью все ок, хотя там видно, что не ок. Третий предложил реставрацию. Соткой там не обойдется скорее всего.
Аноним 09/01/17 Пнд 20:29:05  1868902
Отпишитесь плиз кто делал операцию при неправильном прикусе как ВСе прошло?сколько платили? Я вот хочу но очень боюсь чт о заденут какой нить нерв и на всю жизнь инвалидкой останусь или ещё хуже будет это я вуменсру начиталась лол
Аноним 09/01/17 Пнд 20:35:36  1868908
>>1868902
Сайт говно. Не читай больше. Там фантазерок куча сидит.
Аноним 09/01/17 Пнд 20:40:31  1868914
>>1868902
Я скорее боюсь, что мне там выдернут здоровые зубы и остальные посыпятся. Или они встанут неровно, под углом. Еще и 100к выкладывать грустно.
Аноним 09/01/17 Пнд 22:07:55  1869008
>>1868902
Да зайди на ютуб, там роликов миллион от более достоверных людей, чем всякие пидорахерши-тетки на вуменсру
Аноним 09/01/17 Пнд 22:08:56  1869010
>>1868902
>>1869008
https://www.youtube.com/watch?v=_cIPi5I0GFE
Вот например
Аноним 09/01/17 Пнд 22:12:26  1869012
>>1869010
В российских реалиях бы взглянуть на всё это.
Аноним 09/01/17 Пнд 22:50:35  1869052
>>1868869
Точно такая ситуация как у тебя. Клыки не удаляют, даже не бойся. Готовся к удалению четверок. Желтизну клыков подправишь в конце лайтом выбеливанием, не ссы.
Аноним 09/01/17 Пнд 22:58:52  1869058
>>1869052
Лучше бы зубы мудрости удалили. Они ведь никакой функции не несут? А то туда под капюшон бывает попадает пища и идет воспаление.
Аноним 09/01/17 Пнд 23:03:26  1869059
>>1869058
Бывают удаляют и зубы мудрости. Смотря в каком они у тебя состоянии т.е. если прямые и безпоблемные (не горизонтально выросли, не внутри десны и т.д.), то врятли будут удалять. Ты должна понимать, что удалить четверки это по 5-10 мин на каждый зуб и через недельку уже все заживет. Удаление зубов мудрости это идти в челюстно-лицевое отделение больницы и полноценная операция у хирурга. Востановление после такого дольше и тяжелее.
Аноним 10/01/17 Втр 05:15:02  1869157
otbelivanie-zub[...].jpg (108Кб, 625x254)
>>1868849
Было написано, что он брекеты носил.
Аноним 10/01/17 Втр 06:59:00  1869160
>>1869059
Любой зуб удаляет стоматолог-хирург. И, пожалуй, только конченый садист будет удалять больше одного зуба за раз, если к этому нет серьезных показаний.
Аноним 10/01/17 Втр 08:46:03  1869180
>>1869160
Удаляли по два зуба за раз. Ничего особенного. Дело скорее не в количестве зубов, а в том КАКИЕ зубы.
Аноним 10/01/17 Втр 12:25:13  1869275
Побелеют ли зубы хотя бы на 1-2 тона после чистки эйр флоу?
Аноним 10/01/17 Втр 12:34:40  1869287
>>1869157
Приблизь пикчу. Да, там были брекеты+установлены виниры. Этот чухан ещё и курит с ними посмотри на жевательные зубы.
Аноним 10/01/17 Втр 13:14:08  1869319
>>1858781
>>1858781
Я 2 раза юзала Crest 3-в white, эффекта хватало на 1-1,5 года. При этом он не пропадал совсем, а просто хотелось уже более белых зубов. На время использования чувствительность зубов повышается, учти. Ну и полезного мало конечно. Но если тебя коробят желтые зубы, лучше все-таки решить эту проблему. Если на пике твои зубы, то у меня было гораздо хуже, особенно желтые клыки были, пиздец, цвета консервированной кукурузы. Улыбаться стремалась, хотя мне это идет. Сейчас естественно белого цвета. На всех фотках давлю лыбу во всю пасть. Второй раз использовала для экономии только на верхней челюсти, в итоге по прошествии 2-х летнего перерыва зубы на верхней челюсти по прежнему белее и не вернулись к изначальному состоянию. Но я уже около 2-х лет как раз не курю совсем. Сейчас заказала какие-то новые английские полоски без перекиси, посмотрим, че там.
Аноним 10/01/17 Втр 13:17:04  1869322
У меня один из передних зубов желтый. Видимо потому что в нем нет корня. Я так понимаю, что при юзании полосок он все равно будет выделяться. И что с ним делать?
Аноним 10/01/17 Втр 13:18:24  1869323
>>1869322
Виниры.
Аноним 10/01/17 Втр 13:19:38  1869324
Десна.jpg (35Кб, 535x328)
>>1869319
Еще хочу дополнить, если в итоге будешь использовать полоски и столкнешься с такой же проблемой как я. Через несколько применений, у меня появился ожог на десне (отметила на пике). Чтобы не прерывать процедуру отбеливания, я просто стала вырезать уголок на полоске под это место, и весь дискомфорт пропал. Может у тебя такого и не будет, но на всякий оставлю, глядишь и пригодиться.
Аноним 10/01/17 Втр 13:21:50  1869327
>>1869322
Вырезай полоску и отбеливай его до цвета остальных зубов, потом выбеливай все. Ну как вариант.
Аноним 10/01/17 Втр 16:34:49  1869539
>>1869327
Бля сис, спасибо огромное
Аноним 11/01/17 Срд 00:12:34  1870032
>>1869322
виниры/люминиры, а вообще к стоматологу
Аноним 11/01/17 Срд 10:00:23  1870210
>>1869324
Скинь фото своих белоснежных зубов
Аноним 11/01/17 Срд 10:43:38  1870250
>>1870210
А если не скину, то что?
Аноним 11/01/17 Срд 10:59:57  1870270
У меня эмаль от природы тупо прозрачная, а то что ПОД ней - желтючее почему-то. Похожей пикчи в инете не нашла. Врачи говорят вариант нормы тип))). Это реально как-то пофиксить?
Аноним 11/01/17 Срд 14:11:15  1870433
6.png (141Кб, 479x217)
>>1840432 (OP)
лень обрезать аватарку вк до улыбки, поэтому общее фото.
Последний раз у стоматолога был лет 6 назад, кажется. Чищу 2 раза в день, нити никогда не использовал, ополаскиватели тоже не использую.
Вопросы у меня такие:
Когда я болею, то вот у передних зубов становятся кончики внизу зубов особенно яркими, я хз на сколько оттенков, но прям разительная разница, которую замечает любой. Отчего это? Организм борется с простудой и что-то генерируется в нём, что отбеливает часть зубов? И значит ли это, что яркие кончики зубов при болезни - это потенциал цвета, который можно добиться естественным образом (например, при чистке), без хим. отбеливания и так далее?

И второй вопрос, скажите - обычная чистка у стоматолога - помогла ли вам отбелить как-то значительно/заметно их? Или не стоит оно того?

Спасибо.
Аноним 11/01/17 Срд 14:12:54  1870434
>>1870433
събался отсюда тупой хуй
Аноним 11/01/17 Срд 14:15:15  1870438
>>1870433
Какие плечи, какая улыбка, мам, я влюбилась
Аноним 11/01/17 Срд 14:15:38  1870439
>>1870434
здесь тред только для девушек?

В таком случае прошу прощения. Попал к вам не через двач, а через архивач (там все треды одним списком по страницам). Тем не менее, раз уж задал вам вопрос, то может найдутся те, кто подскажет.
Аноним 11/01/17 Срд 15:10:19  1870498
14802527570090.jpg (20Кб, 400x460)
>>1870434
>РЯЯЯ СЪЕБАЛ АТСЮДА, ПАП НУ СКАЖИ ЕМУ
Аноним 11/01/17 Срд 15:12:16  1870500
>>1870433
Где-то на тон отбеливались после чистки, но у тебя и так довольно белые зубы, может и не помочь.
Аноним 11/01/17 Срд 15:15:31  1870504
>>1870438
Покажи свою улыбку)

>>1870500
Свет просто падает на зубы и они кажутся белее, чем есть.
Всё таки схожу на чистку.
А по поводу кожи разбираешься?
Аноним 11/01/17 Срд 15:17:57  1870506
>>1870504
Хз, кое в чем разбираюсь. Ты спроси, если знаю - подскажу.
Аноним 11/01/17 Срд 16:05:28  1870543
Ну что сисы, сходила я на первую консультацию и вела себя как аутистка. Сказали, что можно не удалять, но тогда скорее всего расширится челюсть. В общем это понятно будет после диагностики, которая стоит 3к и сами снимки рентгеновские 2.3к.
Аноним 11/01/17 Срд 16:11:17  1870545
>>1870433
Покеж писюнчик
Аноним 11/01/17 Срд 16:20:57  1870550
>>1870506
Что лучше - зерадерм ультра (3к тюбик) или разовый хим. пилинг (тоже 3к) помогло бы от рубцов на щеках?

>>1870545
Ишь ты какая быстрая, а как же конфетно-букетный период?
Аноним 11/01/17 Срд 16:26:28  1870556
>>1870545
Чисти гавно блять.
Аноним 11/01/17 Срд 16:31:21  1870560
>>1870550
Пилинги от рубцов нужно делать курсом, разовый никакого эффекта не даст, так что я бы брала гель. Но если рубцы застарелые, то не жди чуда. Алсо, если рубцы атрофические, то можешь пообмазываться ретиноидами.
Аноним 11/01/17 Срд 16:43:32  1870571
>>1870556
Почистила тебе за щеку, проверяй
Аноним 11/01/17 Срд 16:51:02  1870580
>>1870571
Чисти чисти сука, вот блять как нужно чистить, вот так вот раз, чисти чисти чисти чисти чисти чисти. Чисти говно, давай, работай.
Аноним 11/01/17 Срд 17:05:11  1870592
>>1870433
Максим, ты?
Аноним 11/01/17 Срд 17:15:36  1870598
>>1870580
Чисти не чисти а писюнчик покажи
Аноним 11/01/17 Срд 17:24:48  1870604
2346673original.jpg (34Кб, 720x480)
>>1870598
Ты сначала узнай сколько лет, а потом уже фотку члена проси. Извращенка епт.
Аноним 11/01/17 Срд 18:15:55  1870648
Меня аж трисёт, не знаю стоит ли удалять зубы. А если не удалять вдруг челюсть станет некрасивая, или наоборот лучше.
Аноним 11/01/17 Срд 18:31:01  1870654
>>1870648
В подростковые годы пришлось удалить 4 зуба ради нормальной челюсти и улыбки, ни о чём не жалею
Аноним 11/01/17 Срд 18:36:08  1870659
>>1870654
Блин, вот была бы модель на компьютере, где показали бы как изменится челюсть. Как я поняла она станет шире?
Аноним 11/01/17 Срд 22:11:56  1870925
>>1870659

погугли фото до после таких операций и прикинь на себя
Аноним 13/01/17 Птн 07:04:28  1871949
84.jpg (27Кб, 320x320)
Вопрос от хуеносца к местным жирухам
Представьте хуеносца, который чисто внешне вам лично нравится (лицо, фигура, типаж вообще, на 7-8 из 10)
НО единственный недостаток - это зубы, действительно плохие. Кривые, редкие, часть сломана, часть отсутствует вообще. Насколько это был бы серьезный недостаток?
Аноним 13/01/17 Птн 12:36:36  1872108
>>1871949
серьезный.
Аноним 13/01/17 Птн 13:24:49  1872174
>>1871949
Очень серьезный.
Аноним 13/01/17 Птн 13:36:45  1872186
>>1871949
Серьезный, конечно, как мне целоваться с ним если у него не рот, а выгребная яма?
Аноним 13/01/17 Птн 14:39:04  1872236
>>1871949
Даже рабов раньше выбирали по зубам, чего уж говорить о хуеносцах
Аноним 13/01/17 Птн 17:08:29  1872439
z7zOEZrral8.jpg (70Кб, 604x501)
>>1871949
Из-за тебя вспомнила стори, когда подруга встречалась с хоккеистом и у него не было нескольких передних зубов. Он однажды в прелюдии как-то сказанул:"Ну что, в дёсна подолбимся?"
Аноним 13/01/17 Птн 18:53:12  1872593

>>1869058
Они не нужны. Это рудимент, как копчик, например. Если зуб мудрости здоровый, растёт правильно, а челюсть у тебя не узкая, то его можно и оставить. Лично я ношу брекеты, как только появился, удалили, чтоб он, не дай Бох, не подвинул остальные зубы и вернул их в хуевое состояние.
Аноним 13/01/17 Птн 19:16:27  1872623
>>1871949
У таких обычно еще и изо рта воняет. Фу.
Аноним 13/01/17 Птн 20:02:34  1872659
14835581061050.jpg (29Кб, 480x377)
>>1872593
У меня все вылезли зубы мудрости вылезли. Сегодня сказали, что скорее всего придётся удалять 4!!! зуба. По два сверху и снизу. Мне их очень жалко, т.к. они абсолютно здоровые и крепкие. Но если без удаления, то нарушат "гармонию" лица. Видимо красота действительно требует жертв.
Аноним 13/01/17 Птн 20:29:29  1872687
>>1872659
Охххх, крепись, сис! И накупи кетонала, он тебе точно понадобится...
Аноним 13/01/17 Птн 23:38:47  1872823
7b64cf495a6d335[...].jpg (81Кб, 640x640)
>>1872687
Спасибо, сис. Сверху удалят два сразу, а потом через дня 4 поставят брекеты. Снизу по одному, и ставить только через месяц. Когда ходила, мне аж поплохело, живот скрутило, в пот бросало. Еще и веко воспалилось. Так и сфоткали с одним глазом больше другого.
Аноним 26/01/17 Чтв 18:06:04  1881895
кривые боковые резцы при остальных ровных зубах. хотела поставить коронки, чтобы не ввязываться в брекеты и возможное удаление 4 зубов из-за них, так нет, врач из частной стоматологии (средний прайс, центр дс) отказался с блестящим аргументом "раз за 20 лет ни одной пломбы, то вот сделаете и зубы начнут лететь".
как же горело
алсо, хочу спросить, никто не ставил себе виниры или коронки? или все таки придется ставить брекеты?
Аноним 27/01/17 Птн 07:55:29  1882520
>>1881895
Если даже врач в частной клинике говорит, что не надо, то не надо.
Аноним 29/01/17 Вск 13:14:18  1884078
>>1881895
Какие они все-таки мудаки, эти врачи. Причем все поголовно.
Аноним 29/01/17 Вск 19:13:34  1884311
>>1840441
На пломбы не желательно вообще замки клеить, а вот зубы должны быть максимально приведены в порядок, с этой антисанитарной конструкцией за ними сложнее будет ухаживать. у меня за металл на обе плюс все лечение 180 тысяч получилось
Аноним 29/01/17 Вск 22:06:10  1884437
>>1884311
А меня не направили на лечение и чистку. Хотя в среду уже ставить. Есть еле заметный налет или хз что и чёрная полоска на жевательном.
Аноним 29/01/17 Вск 22:16:44  1884446
koty10.jpg (100Кб, 504x334)
Удалили кстати сразу два зуба 26-го числа (четверки). Боли не почувствовала, только хруст. Даже сам укол был больнее. После того как прошёл наркоз была слабая ноющая боль. В общем все хорошо. Но есть жутко неудобно т.к. с двух сторон. Лучше было все-таки удалять по одному. Вот ночью у меня опять кровоточить начало, видимо едой задела кровяные сгустки и один сгусток стал свисать как сопля, чуть ли не на полтора сантиметра. У меня была такая паника, ведь убирать сгусток нельзя, он защищает лунку от инфицирования. На следующий день пошла к стоматологу, он мне сгусток снял, положил в лунку лекарство и прижал марлей. В общем уже все хорошо, только каждые 5 минут бегаю к зеркалу и смотрю лунки, чтоб туда ничего не попало. В среду иду к ортодонту ставить брекеты на верхнюю челюсть.

Эта кривозубка - >>1884437 >>1872823
Аноним 29/01/17 Вск 22:38:24  1884466
>>1884446
Держись, сис! С интересом наблюдаю за твоим процессом.
мимо-кривозубка, у которой нет денег на лечение
Аноним 30/01/17 Пнд 15:17:28  1884878
>>1884446
Мне тоже говорили, что над будет 2 зуба с нч удалить, но пока я со своими и брекетами хожу с января.
Мимо->>1858261
Аноним 30/01/17 Пнд 17:42:09  1885029
>>1884466
Спасибо за поддержку. Можно же брекеты в рассрочку взять.
>>1884878
А пломбы зачем меняла? Меня вот беспокоит то, что ортодонт не направила меня на лечение зубов. Успокаиваю себя тем, что на снимке было бы видно плохие пломбы, а чистку сделают, когда уже будут ставить. Или позвонить узнать?
Аноним 30/01/17 Пнд 18:04:15  1885057
>>1885029
>А пломбы зачем меняла?
Они старые уже были, которые мне в детстве ставили. Пожелтевшие, крошились некоторые. Мне вообще никаких снимков не делали, лол. Я ходила после установки первый раз на приём 25 числа, и мне поменяли нижнюю дугу за минут 15, пока всё.
Аноним 30/01/17 Пнд 19:15:04  1885101
>>1885029
На оптг видно все, да. Мне моя ортодонт это обьясняла, пытаясь показывать.
Аноним 30/01/17 Пнд 20:57:26  1885196
>>1885057
Расскажи, как теперь за полостью рта ухаживаешь? Недавно сама поставила брекеты, но чищу обычной мягкой щеткой зубы, нитями почти не пользуюсь, а вот ёршиком кавыряюсь как только можно. Может я что-то делаю очень неправильно, и мои замки скоро отклеятся? Ещё очень захотелось ирригатор, не пробовала? Мне показалось он почти все проблемы решит и откупится быстро.
Аноним 30/01/17 Пнд 21:10:21  1885202
>>1885196
Короче после установки орт дал мне мягкую щётку для бс с короткими щетинками по центру, ёршик с насадками и воск. Я по началу так же боялась всего и чистила только этим, но я привыкла к тому, что раньше чистила жёсткой щёткой и мне казалось, что мягкая нифига не счищает налёт с зубов. И через недели две эта мягкая щётка у меня вся разлохматилась и испортилась в конец. Я забила и стала чистить своей жёсткой, мне норм. Этими ёршиками тоже чё-то возюкала по минут 10 после того, как мягкой чистила, но результата не было. Зубы после чистки были и так чистыми и без застрявшей пищи, я просто щётку старалась тоже загонять под бс и там орудовать. Мне ещё не нравилось то, что у ёршиков железный прутик царапал зубы. Ирригатор у меня есть, но я им полощу рот после того, как поем и если что-то остаётся, то выковыриваю этими ёршиками. Не представляю даже, как ими можно что-то очистить. Они норм, если куда-то идёшь и будешь есть, то в туалете можно будет вычистить ими застрявшую пищу.
Аноним 30/01/17 Пнд 21:22:39  1885210
>>1885202
Вот я тоже ёршиками и с брекетов еду снимаю и между зубами наковыриваю. Какой ирригатор у тебя и за сколько брала? Пора тоже покупать, уж очень антисанитарная конструкция эта. Кстати, все что писали в интернетах про боль, температуру, зубы расшатываются, десна царапаются в кровь, меня пока обошло стороной, даже воск не юзала, наверно с нижней челюстью воск пригодится, а пока что-то никакого дискомфорта у меня от них нет, кроме этих ошмётков еды застрявшей постоянно и необходимости её вычищать.
Аноним 30/01/17 Пнд 21:26:06  1885213
>>1885210
>Какой ирригатор у тебя и за сколько брала?
Не помню, честно. Ему года 2 уже, если не 3.
>меня пока обошло стороной, даже воск не юзала
+
Вообще никаких побочек, я даже в еде себя не ограничиваю.
Аноним 30/01/17 Пнд 21:36:23  1885222
>>1885101
Хорошо, спасибо, успокоила.
>>1885202
>>1885210
Вот думаю тоже ирригатор покупать. А можно чистить электрощеткой? Потому, что у меня только такая. И у вас не болело наверное потому, что у вас зубы несильно кривые? Мне будут ставить самолигирующие, сказали они удобнее в чистке.
Аноним 30/01/17 Пнд 21:53:34  1885227
>>1885222
Электощеткой мне не разрешили.
У меня могут не болеть конечно из за растянутого вдвое во времени курса лечения, хотя орт отправляя домой предупреждала, что и температура может быть, и что бы пила обезболивающее если сильно болеть будет, возможно все индивидуально и в какой-то степени зависит от того, как конкретный человек боль переносит, хотя я лично в остальном истеричка ещё та, и физической боли боюсь.
Аноним 30/01/17 Пнд 22:04:18  1885237
>>1885222
>И у вас не болело наверное потому, что у вас зубы несильно кривые? Мне будут ставить самолигирующие, сказали они удобнее в чистке.
У меня чесалось всё под дёснами.
Аноним 30/01/17 Пнд 22:10:25  1885244
>>1885237
Чесаться тоже чесалось у меня, но это как-то приятно немного даже, не больно уж точно.
Аноним 01/02/17 Срд 23:27:51  1886716
Эх, сисы, поделюсь своей сегодняшней печалью.
Пошла к ортодонту с намерением узнать, во сколько мне обойдутся брекеты на нижнюю челюсть, какие зубы удалять и т.д. А оказалось, что в моём случае только на обе нужно ставить+ещё уйма сопутствующих расходов.
Короче, может, укросисам будут интересны расценки у нас в Днепропетровске. Брекеты на одну челюсть - 4500 грн, снимки челюстей - около 340 грн, каждый месяц за подкручивание - 250 грн (а носить их месяцев 13-14), каппа после брекетов - около 2000 грн. Ещё какие-то остальные расценки мне ортодонт называл. В сумме получалось где-то 13 000 грн.
Умру с мечтой о ровненьких зубках :(
Аноним 01/02/17 Срд 23:36:56  1886722
>>1886716
А сколько это в рублях?
Аноним 01/02/17 Срд 23:59:44  1886731
>>1886716
13к грн это же примерно 30к рублей. Это же, блин, копейки, по сравнению с тем, сколько платят некоторые за лечение зубов
Аноним 02/02/17 Чтв 00:33:28  1886746
>>1886731
Двачую. У меня на брекеты только уйдет 48к, + курс лечения 54к, плюс все эти активации, ретейнеры, каппы, чистки, думаю 150к будет.
Аноним 02/02/17 Чтв 07:44:21  1886801
>>1886731
Если посчитать, что у меня зарплата 4 тыс грн, а на съём жилья из них уходит 2 тыс, то накладно.
Аноним 02/02/17 Чтв 07:51:20  1886802
>>1886801
Кем ты работаешь?
Аноним 02/02/17 Чтв 08:19:24  1886807
>>1886802
Я инженеГр. Просто раньше брекеты стояли уже на верхней челюсти, поэтому на такой поворот с двумя челюстями я не рассчитывала.
Аноним 02/02/17 Чтв 10:50:37  1886839
>>1886716
Уже отдала где-то $1400 за всю эту красоту на зубах. Но правда в эту сумму входит навороченая щетка, ирригатор, всякая такая херня.

укромухосрань, зис сис >>1856581
Аноним 02/02/17 Чтв 12:32:37  1886888
>>1886839
У меня уже 140 тысяч вышло, с лечением предварительным, ещё 56 в течение 1,5 лет буду подтаскивать им.
Аноним 02/02/17 Чтв 16:50:22  1887098
А какие вы снимки делали перед тем, как брекеты ставить? Я была у двух ортодонтов на консультациях. Так вот один мне сказал, что надо ТРГ в боковой проекции и панорамный делать, а второй сказал, что панорамного предостаточно. В интернетах написано о ТРГ в обязательном порядке. Я теперь в сомнениях, какому врачу доверять.
Аноним 02/02/17 Чтв 16:52:18  1887101
>>1887098
Оптг с выводом на пленку
Аноним 02/02/17 Чтв 20:38:14  1887247
У меня зубы здоровые, не особо кривые, чуть желтоватые, мне норм. Но я долго их чищу (7-8 минут), и мне вечно неудобно это делать, задеваю щеткой дёсны и расхреначиваю их до крови. Техника чистки подметающими, вверх-вниз и круговыми движениями, вроде бы всё правильно, жёсткость щётки средняя. Предыдущий стоматолог сказал, что я слишком сильно давлю на щётку, но иначе мне не добраться до участка у дёсен, особенно за резцами.
Какие новые технологии осваивать? Зубная нить и ополаскиватель? Этого будет достаточно?
Аноним 03/02/17 Птн 08:57:10  1887435
>>1887247
А какую пасту юзаешь? Может с хорошей тебе будет хватать даже зубной щётки с мягкой щетиной.
Аноним 03/02/17 Птн 12:36:40  1887504
>>1887435
Раньше был Колгейт семейный или Новый жемчуг. Сейчас Silca, мылится лучше и сама по себе мягче, но с дёснами та же проблема.
Аноним 03/02/17 Птн 12:36:43  1887505
>>1887435
Мне мой ортодонт сказала, что их все из одной бочки разливают, а отбеливающие так вообще эмаль портят. Может какие-то проблемы именно с дёснами есть, раз они кровоточат?
Аноним 03/02/17 Птн 14:15:59  1887545
Ну чтож сисы. Поставила брекеты на верхнюю челюсть. Заняло все это, чуть менее часа. Больно не было, чувствуется только небольшое давление и привкус металла во рту. Ну и когда улыбаешься, в момент когда верхняя губа идёт в изначальное положение она цепляется за проволоку. Спросила ортодонта по поводу лечения зубов, она удивилась, что я сама не пошла к терапевту, лол. Я то думала она меня направит. Меня беспокоит чёрная полоска на внешней стороне зуба рядом с десной. Как её теперь врач удалит за БС. Ну и по пломбам, беспокоит одна, она будто очень тонкая и зуб ощущает, когда туда попадает что-либо твердое. В общем следующее посещение в конце марта.
Кривозубка
Аноним 03/02/17 Птн 16:08:27  1887612
20170203161333.JPG (110Кб, 689x1080)
>>1887545
Вот как это выглядит. Что-то теперь сижу и пугаюсь. А вдруг места много освободилось за счёт удаления двух четверок и будут щели. Вроде бы и верю ортодонту, но сомнения терзают.
Аноним 03/02/17 Птн 16:14:13  1887618
>>1887505
Наверное. Спасибо за внимание, буду копать в эту сторону.
Аноним 03/02/17 Птн 16:24:35  1887624
>>1887612
Не, у тебя норм, а у меня мои клыки нижние че-то не двигаются, а удалять не хочу ничего.
Аноним 03/02/17 Птн 16:32:10  1887626
>>1887624
Я тоже удалять не хотела, зубы то хорошие были. Но сказали места нет и клыки уйдут на место четверок.
Аноним 03/02/17 Птн 16:33:57  1887627
>>1887626
Я боюсь, что у меня будут щели.
Аноним 03/02/17 Птн 16:57:08  1887634
>>1887627
Я успокаиваю себя фотографиями га сайте клиники, где выставили результаты лечения до и после с удалением зубов. Ну и по словам ортодонта никто не догадается, что у меня не хватает зубов. Предполагаю, что щели могут быть ща клыками и их в анфас будет не видно. У меня даже эти дырки не видно, пока не оскалишься на полную и кто-то сбоку на меня посмотрит.
Аноним 03/02/17 Птн 19:02:54  1887697
Если я вместо очередного осмотра-консультации сразу пойду на ОПТГ, норм будет? Была на консультации не так давно, такое чувство будто бы стоматолог не доглядел, потому что смутило как меня осматривали, такое чувство словно на отъебись, назвал пару зубов где явно есть кариес, а насчет моего вопроса что с еще одними зубами (там такое чувство словно скрытый кариес) ответил "ну... просто следите за этим, если будут ухудшения - приходите". Или так и должно быть и все ок?
Аноним 03/02/17 Птн 20:45:11  1887753
>>1887697
Может лучше пойти к нормальному стоматологу?
Аноним 03/02/17 Птн 23:12:47  1887881
Ох сисы, рано я сказала, что не больно. сейчас ноют зубы. Когда смыкаешь челюсти, когда откусываешь - больно.
Аноним 03/02/17 Птн 23:21:17  1887886
>>1887881
Это пройдёт через пару дней, попей обезболивающее, если уж совсем боль донимает.
Аноним 03/02/17 Птн 23:39:12  1887900
>>1887886
Терпимо ещё. У меня теперь другая паранойя. То что я плохо почищу зубы и у меня будет жёлтая эмаль. И то что теперь зубы лечить придётся после брекетов.
Аноним 04/02/17 Суб 00:00:03  1887945
>>1887900
И это тоже пройдёт... Я вообще сначала не понимала, как с этой херней во рту зубы можно чистить, тоже быстро привыкаешь.
Аноним 04/02/17 Суб 00:11:23  1887966
>>1887612
Лучше сделай фото улыбки с этой херней
Аноним 04/02/17 Суб 13:58:43  1888366
1486206268743.JPG (36Кб, 743x360)
>>1887966
Аноним 04/02/17 Суб 14:33:47  1888385
>>1888366
Тебе лет 16?
Аноним 04/02/17 Суб 14:40:39  1888389
>>1888385
Почему?
Аноним 04/02/17 Суб 14:43:13  1888391
>>1888389
Не знаю, почему-то показалось так. Рот какой-то слишком маленький.
Аноним 04/02/17 Суб 14:46:35  1888396
>>1888391
Потому и удалили две верхние четверки. Зубам места не хватает.
Аноним 04/02/17 Суб 14:48:16  1888398
>>1888396
Лучше б ты сказала сколько тебе лет.
Аноним 04/02/17 Суб 14:53:47  1888403
>>1888398
24.
Аноним 04/02/17 Суб 18:35:03  1888592
Это снова я, тян из Днепра, отписывавшаяся ранее. Сегодня нашла клинику, где цены на брекеты и их дальнейшее обслуживание меня более чем устраивают. Нооо... какой же там уёбищный ортодонт -_- Нормально не смог ответить на мои вопросы, всё время кичился наподобие "у меня много опыта в этом деле, а у Вас нет, такштэ молчите ". Пиздец, даже не смог хоть приблизительно назвать промежуток времени, за который тройка станет на место четвёрки ("нууу, у всех по разному, может месяц, а может несколько лет, хз"). Ещё и отношение просто человеческое говняное, не то, что профессиональное. Вертела я такую медицину((
А у вас было такое, что вы отказывались от выгодного предложения только из-за врача?
Аноним 04/02/17 Суб 18:39:15  1888596
>>1888592
Я только к "врачам" и хожу, на цены и названия не смотрю, если знаю что хороший, тогда иду.
Аноним 04/02/17 Суб 18:52:31  1888610
>>1888592
Ну я к другим врачам не ходила. Отношение нравится. Слепки сделали быстро, мне когда в детстве делали, то там воспоминания не из приятных. Весь процесс захлебывалась из-за жидкой смеси. Насчёт профессионализма не знаю. Мне кажется могли все рассказать поподробнее. Ну и то что не направили на лечение и чистку зубов прежде чем ставить брекеты это конечно пиздец.
Кривозубка
Аноним 04/02/17 Суб 18:57:07  1888611
>>1888366
Сколько будешь с ними ходить?
Аноним 04/02/17 Суб 19:20:18  1888631
>>1888611
24 месяца.
Аноним 04/02/17 Суб 21:06:47  1888705
>>1888592

Ну вообще, хороший врач любит отвечать на вопросы. А хороший пациент любит их задавать, лол.
Аноним 04/02/17 Суб 21:12:35  1888710
>>1888592
Ну насчет того, что она не смогла дать точные сроки - это норма, тут реально хуй угадаешь. Все индивидуально. Но если не нравится даже как человек, то ищи другую клинику. Тебе её видеть чуть ли не каждый месяц, подтягивая брекет-систему, так что думай сама.
Аноним 05/02/17 Вск 19:48:56  1889495
посоветуйте годного стоматолога в дс, наверное с имплантацией (один зуб сломан глубоко в десне)
Аноним 05/02/17 Вск 21:42:14  1889635
>>1889495
Давай фейкопочту
Аноним 05/02/17 Вск 21:51:53  1889646
ээ зачем такая секретность с фейкопочтой няша? вроде стоматология пока легальное занятие л о л
Аноним 05/02/17 Вск 21:52:14  1889649
>>1889635
>>1889646
Аноним 05/02/17 Вск 21:53:14  1889651
>>1889646
Ну мне так приятнее.
Аноним 05/02/17 Вск 22:38:04  1889723
>>1889651
[email protected]
Аноним 09/02/17 Чтв 08:27:18  1892908
8Oba26KB7pA.jpg (322Кб, 2104x1184)
P70209-081802.jpg (1841Кб, 2576x1936)
P70209-081817(1).jpg (1744Кб, 2576x1936)
В общем, как понятно, слепки - то, что имею
Очень узкая челюсть, клык на вч, супер кривой нижний ряд, и хруст челюсти пом открытии и закрытии рта, + неправильный прикус, несколько ортов отказались от меня именно из-за хруста, одна из них направила к зав кафедры своей, за что больше ей спасибо. (дс2)
После всех снимков, обсуждения на кафедре решили удалять по два зуба на каждой челюсти, и восьмерки на вч, на нч пока что не стали удалять.
Кстати ко всему прочему у меня диснеевская улыбка, и ассиметрия центров, особенно сильная на вч
На вч год ношу уже, на нч 10 месяцев

Сколько еще носить - не знаю, и знать не хочу, но осталось всего 5 дуг, так что, может быть к лету-осени этого года сниму. Но мне еще дофига чего не нравится, таке что буду носить до последнего

21 лвл

Аноним 09/02/17 Чтв 11:12:02  1893006
>>1892908
Ира?
Аноним 09/02/17 Чтв 11:48:35  1893029
Пожалуйста, посоветуйте хорошего стоматолога/стоматологию в ДС2.
Боюсь, что у меня скрытый кариес, т.к. есть кариозные воронки на зубе и хочу сразу нормально пролечить. А то женщина из муниципалки мне сказала "ой, да разве это кариес? КАК ЗАБОЛИТ ПРИХОДИТЕ"

Аноним 09/02/17 Чтв 12:06:47  1893033
>>1887247-тян репортинг ин.
Сходила к стоматологу, у меня парадонтоз в начальной стадии, отправили на профчистку, прописали:
1) зуб.паста Лакалют Актив утром, Асепта вечером
2) зуб.нить Oral-B стандартная (режет мне дёсны, полная жесть)
3) гель Метрогил Дента 2 раза в день после чистки мазать на зубы и держать 10-15 минут
4) на 7 день поменять гель на гель Асепта
5) рассасывать Аскорутин
6) чистить зубы мягкой щёткой
Лечение работает, но эта нить режет всё, даже щёки и губы, если задеваю с непривычки. Выше по треду была розовая Сплат, но она ароматизированная, я правильно поняла?
Посовптуйте, пожалуйста, нейтральные по запаху аналоги.
Аноним 09/02/17 Чтв 12:22:26  1893034
>>1893029
ЖИЗА
Удваиваю, тоже ДС2
>>1887697-тян
Аноним 09/02/17 Чтв 12:46:58  1893045
>>1893033
Может лучше ирригатор, чем нить??
Аноним 09/02/17 Чтв 12:47:57  1893047
g8kD5p6aU.jpg (36Кб, 480x640)
>>1893045
Аноним 09/02/17 Чтв 12:50:05  1893049
>>1893047
Не не, нормальный ирригатор
Аноним 09/02/17 Чтв 13:10:43  1893061
>>1893006
Не-а
Аноним 09/02/17 Чтв 13:20:43  1893069
>>1893034
>>1893034
На чайковского 27 хорошая поликлиника, по крайней мере, там хорошее оборудование и нормальные врачи по сравнению с той, к который по направлению принадлежу
Аноним 09/02/17 Чтв 14:58:19  1893121
В поисках ирригатора остановилась вот на этом http://vita-medici.ru/irrigatoryi-polosti-rta/irrigator-polosti-rta-waterpik-wp-70.html. Вроде все что надо в нем есть, резервуар на 1000мл, не высокая цена, и хорошие отзывы.
Аноним 09/02/17 Чтв 16:04:51  1893145
Для меня покупать ирригатор - дорого и непрактично (в силу жилищных условий). Буду учить пользоваться нитью, половина моих проблем из-за кривых рук, как обычно.

>>1887247-тян
Аноним 09/02/17 Чтв 16:05:36  1893146
>>1893145
учиться
быстрофикс
Аноним 09/02/17 Чтв 16:09:22  1893147
>>1893145
Я к 8 марта вот хочу приурочить, так то вообще с деньгами беда, после оплаты то лечения ортодонту.
Аноним 09/02/17 Чтв 19:01:26  1893369
>>1893047
ТАК ЭТО ИРРИГАТОР? ВСЮ ЖИЗНЬ ДУМАЛА ЧТО ЭТИ ГРУШИ ЭТО ДЕТСКИЕ КЛИЗМЫ
Аноним 19/02/17 Вск 16:41:23  1901887
Сестры, смотрю на сайте обычной муниципальной клиники про отбеливание: Применение системы поддерживающего дневного домашнего отбеливания Philips ZOOM - 1700р. Есть с применением лампы за 12к но это дорого. Кто что думает?
Аноним 19/02/17 Вск 16:51:22  1901893
Кто что думает про домашнее отбеливание и почему его предлагает данная клиника?
Аноним 19/02/17 Вск 17:06:12  1901901
>>1901893
Я делала домашнее отбеливание (изготовляла каппы индивидуально, покупала гель опаласенс вроде самый щадящий на 10%). Нужно было спать в каппах с гелем. Эти 2 недели было адски больно, не могла говорить, зубы гудели постоянно, да еще и цвет потом вернулся быстро. Теперь не могу решиться на отбеливание из-за своих чувствительных зубов, да мне и нельзя это делать больше, хочется запереться дома и выпилиться из-за их неидеального цвета.
Но вообще многим домашнее больше нравится, потому что считается более щадящим чем тот же зум. В общем, если зубы крепкие и стоматолог одобряет, то вперед.
Аноним 19/02/17 Вск 18:15:21  1901932
>>1901901
И сколько на все ушло, сестра? Думаю вот фторировать их для начали только потом идти. Правда какой смысле если ты говоришь что цвет вернулся?
Аноним 19/02/17 Вск 18:39:10  1901956
>>1901932
Я делала реминерализацию перед этим, в процессе тоже использовала всякие укрепляющие/снижающие чувствительность гели, но не помогло.
Вроде вышло что-то около 7к в 2014 + еще 2к на проф чистку перед отбеливанием. Это самый дешевый вариант в ДС2, до которого я додумалась, можно гель покупать и в клинике (например, если делать в Меди, то там только 1 шприц геля опалесенс стоит 1450, а можно купить самой набор из 4 штук за 2000-3000 у фирм, торгующих всякой стоматологической техникой). Удачи, сис, это сложно все. Вообще это я такая невезучая, почитай отзывы на наиболее популярные гели, подбери % перикиси согласно состоянию зубов и, я думаю, все у тебя хорошо отбелится.
Аноним 19/02/17 Вск 19:39:28  1902073
>>1901956
Сколько шприцов нужно на одно отбеливание? На сколько зубы времени отбеливаются? Простая перекись водорода? И как это все использовать самому и почему тогда некоторые идут в клиники если все можно сделать дома?
Аноним 19/02/17 Вск 20:10:42  1902150
>>1902073
1 шприц расчитан на 3-4 применения (то есть на 3-4 дня, ночи). Максимум отбеливание должно длиться 14-21 день. Есть еще упаковки на 8 штук шприцей, если что. Но это не просто перекись, конечно.
Суть в том, что чем больший % перекиси, тем меньше по дням длиться отбеливание (с 20% зубы станут белыми за неделю, с 15 - за дней 12-14, с 10%-не факт, что и за 2-3 недели отбелятся, зато наносит зубам наименьший вред, подходит слабым зубам). Да и 20% обычно днем несколько часов носят, а не всю ночь обычно.
Идти к врачу или делать все самой - решение каждой, я просто достаточно изучила этот вопрос, дабы понять, что не хочу переплачивать в 2 раза за то, что какой-то врач мне скажет то, что я и так знаю. Так конечно неправильно, но что делать, не было возможности отдать 20к на это, да и много ума запихнуть гель в каппы и напялить ее на зубы не надо. Лучше только идти на спец форумы и ветки по этой теме, конечно, а не на дваче черпать информацию.
Аноним 20/02/17 Пнд 12:55:46  1902720
>>1902150
На сайте клиники сказано что 1700(видимо за раз) за такой метод отбеливания. Я не понимаю, это получается надо умножать на 21 день?
Аноним 23/02/17 Чтв 04:26:36  1905468
Что за каппы надевают все американцы в сериалах и инстаграме перед сном?
Аноним 23/02/17 Чтв 13:01:29  1905641
>>1905468
Отбеливающие мб.
Аноним 23/02/17 Чтв 13:05:45  1905646
Посоветуйте пасту без ебаного резкого ощущения ментола/мяты или что там во рту.
Аноним 23/02/17 Чтв 14:13:45  1905723
>>1905641

лакалю бейсик, , нейтральный вкус
или корейские пасты, у меня сейчас такая, они сладкие как жвачки
Аноним 23/02/17 Чтв 14:15:58  1905726
>>1905723
А где корейские брать?
Аноним 25/02/17 Суб 05:27:34  1907021
>>1905641
Почему у нас они такой популярностью не пользуются?
Почему у них всех такие беленькие зубы
Аноним 25/02/17 Суб 14:56:25  1907320
20170225144919-1.jpg (3045Кб, 2734x1829)
>>1905726

я хз в дс они в каждом супермаркете есть
Аноним 04/03/17 Суб 22:13:23  1913968
otbelivaniezubov.jpg (718Кб, 1000x619)
Аноним 08/03/17 Срд 14:44:35  1916740
Профилактический как поход к стоматологу бамп.
Аноним 10/03/17 Птн 14:12:03  1918074
>>1916740
Где та тян, которая недавно брекеты поставила? Пусть отписывается, как успехи.
Аноним 10/03/17 Птн 22:25:10  1918458
.jpg (44Кб, 685x518)
>>1907320
Только что хотел отписаться и тут как раз об этом разговор.
Эта охуевшая пизда говорит, что разницы нет. Типа через 2 месяца использования (после окончания тюбика). Как раз вот эта shining white с фотки.
>>1905726
Например
http://www.eldorado.ru/cat/detail/71178545/
Аноним 10/03/17 Птн 22:26:20  1918459
>>1918458
>тут как раз об этом разговор
Бля, а пост то двухнедельной давности.
Аноним 25/03/17 Суб 10:17:57  1928542
20170325101354.JPG (179Кб, 1077x1069)
20170324162357.JPG (52Кб, 884x433)
>>1918074
Вкатилась. В общем прошло уже два месяца с тех пор как мне поставили брекеты на верхней челюсти. 14.03 удаляла пятёрку нижней челюсти с левой стороны. Попался молодой ХЕРург, который этот зуб мне расколол, там даже его ассистентка подпрыгнула от внезапного щелчка. В конце концов удалил. Только заживала десна долго и челюсть побаливала. Через неделю удаляла у него же пятёрку с правой стороны. В этот раз у него уже вышло лучше, видимо руку набил, лол. Взяли с меня по 3к за зуб, т.к. он дистопированный. На первом пике вы увидите, что пятёрка повернута внутрь, так же и с другой стороны было.
У меня ещё частички еды перед посещением ортодонта попали в лунку, я ещё их выковыривала, чего делать нельзя, но вроде как обошлось.
Вчера была у ортодонта. Мне подтянули верх и поставили низ. Если в первый раз, когда ставили было не больно, то сейчас глаза на лоб лезли. Она мне поставила более толстую дугу и добавила какие-то кольца. Так же из-за глубокого прикуса, когда я как обычно закрываю рот, то у меня верхние зубы попадают на замки нижних зубов. Поэтому мне на шестерки поставили что-то вроде пломб, которые не дают мне смыкать зубы. Вот уже второй день у меня все болит, ноет, и мне никак не привыкнуть к этим пломбам. Еще у меня нехило так клыки отошли. Плюс все это натирает слизистую, а силиконовые подкладки я оставила в другом городе.
В общем пока все сумбурно описала, задавайте свои ответы. Пока сижу на обесболивающих.
Аноним 25/03/17 Суб 10:23:28  1928544
20170325102742.JPG (136Кб, 1079x999)
>>1928542
Вот эти пломбы, которые дико неудобные и которыми мне придётся жевать пищу минимум месяц. Скорее перейду на кашеобразную диету.
Аноним 25/03/17 Суб 10:53:04  1928568
20170325100231.JPG (35Кб, 781x261)
>>1888366
Аноним 25/03/17 Суб 11:13:51  1928591
>>1928542
Почаще отчеты пили
Аноним 25/03/17 Суб 11:26:13  1928603
>>1871949
>часть сломана, часть отсутствует вообще
Это плохо, так как к тому же показывает, что куну плевать на свои зубы и внешку, большая вероятность, что он гопарь или наркоман. А просто кривые и с кариесом - ну у моего куна такие, так что? Мне норм.
Аноним 25/03/17 Суб 15:02:55  1928788
>>1928591
Не могла найти тред и подумала, что это никому неинтересно.
Аноним 28/03/17 Втр 22:09:46  1931219
>>1928788
Я сама в брекетах сижу и этот тред постоянно открыт.
Мимопроходила
Аноним 29/03/17 Срд 15:45:32  1931565
Меня разводят на удаление зубов мудрости пьезоскальпелем. Оно стоит того?
Челюсти маленькие, зубы растут все разом и криво, болят (терпимо пока), смещают другие зубы. Хирург, который смотрел, сказал, что я ещё могу подождать и ПОДУМОТЬ, но за нижними зубами придётся высверлить чуть-чуть челюсть, иначе не достать. В общем, мне страшно, но 30 т.р. жалко, не верится, что всё настолько плохо.
Аноним 10/04/17 Пнд 15:10:32  1938478
Ну что можно рассказать. Уже привыкла к этим пломбам. Дискомфорт только доставляет застревание пищи и чувствительность зубов. Горячее и холодное пить/есть не могу, раньше пользовалась лаколютом, немного помогало. Сейчас пару недель сенсодином - эффекта не ощущаю. По перемещению на ВЧ видно, что правая сторона двигается быстрее, чем левая. По НЧ выпирающий передний резец изменений не наблюдаю. Ночью в качестве бампа запилю фотоотчет.
Аноним 10/04/17 Пнд 16:24:15  1938505
>>1893029
Бамп реквесту.
Аноним 10/04/17 Пнд 17:08:27  1938532
На выходных делал отбеливание зубов на 12 тонов. Заебись получилось, еще хочу сходить. За 40 минут процедуры отдал 3к рублей.
Аноним 11/04/17 Втр 04:27:37  1939013
>>1938532
Что за отбеливание?
Аноним 11/04/17 Втр 12:16:49  1939133
>>1939013
Да гелем каким-то. Название не помню уже
Аноним 11/04/17 Втр 12:40:22  1939151
>>1938532
Пили фото до и после.
Ты ведь не полный даун и наверняка сделал такие фото.
Аноним 11/04/17 Втр 12:48:05  1939156
>>1939151
Бля был 26 оттенок, после стал 13. Фото не делал, мобилу в тачке оставил.
Аноним 12/04/17 Срд 12:42:28  1940091
Кто-нибудь делал реминализацию зубов? Как это происходило и сколько стоило?
Аноним 12/04/17 Срд 15:53:52  1940268
отбеливание совместимо с реставрацией скола?
Аноним 13/04/17 Чтв 00:05:18  1940726
Сисы, вы бы решились на двухчелюстную остеотомию?
В брекетах пять лет, зубы идеально ровные, прикус, по мнению моего врача, исправить можно только операцией.
Знала бы об этом с самого начала в жизни бы не поставила.
Аноним 13/04/17 Чтв 11:03:51  1940909
>>1940726
>двухчелюстную остеотомию
Что это?
Аноним 13/04/17 Чтв 12:50:58  1940959
>>1940909
Режут кости и ставят челюсти в новое положение. Потом скрепляют пластинами, кости после срастаются.
Аноним 13/04/17 Чтв 16:13:24  1941192
>>1940726
Все равно перед операцией зубы требуется выровнять.
Аноним 13/04/17 Чтв 16:14:16  1941193
>>1940726
Алсо сис что думаешь про имплант в подбородок?
Аноним 13/04/17 Чтв 20:00:41  1941444
>>1941192
Ты жопой читаешь? Я пять ебаных лет ношу брекеты, зубы стоят сейчас так, что операцию можно делать хоть завтра. И это не на мой взгляд, а на основании медицинского заключения хирурга, с которым можно уже идти в минздрав за квотой, а я ссу.

>>1940726
Орт предлагала это сделать плюсом к операции.
Отдельно не рассматривала.
Если прям по честному, то меня мое лицо вполне устраивает. Профиль ну такой, как у человека с типичным дистальным прикусом, но вроде проблем внешне это никаких не вызывает.
А в отношении здоровья и функциональности - туманно как-то.
Аноним 13/04/17 Чтв 20:07:24  1941455
>>1941444
>Знала бы об этом с самого начала в жизни бы не поставила.

Поясни. Что бы ты не поставила? Брекеты? Почему? Они же зубы тебе в идеальное состояние .выровняли
Аноним 13/04/17 Чтв 20:17:39  1941459
>>1941455
Не поставила бы брекеты или поставила бы у другого врача, который бы снял их через год-два с "итаксойдет".
5 лет - очень долго.
Об операции я сейчас думаю, потому что столько усилий и денег вложено. Если бы ничего этого не было, даже бы не сомневалась. Просто не стала бы заморачиваться.
Орт пугает тем, что если не исправить прикус, то зубы уползут обратно и все будет отстой, не смотря на ретейнеры. Но она дюже заинтересована в операции и я ей как-то уже не доверяю. Опять же, мне удалили 4 четверки, т.е. места зубам сейчас достаточно.
Аноним 13/04/17 Чтв 20:20:23  1941465
>>1941459
Ну и вдогонку грустный вывод: кунам похуй. Да и вообще всем людям вокруг.
Когда ходила с дырищами от четырех удаленных зубов все равно умудрялись подкатывать. Негатива из-за брекетов, стремных двойных дуг, тяг, дыр от зубов и т.д. не встречала. Может это потому, что молодая-шутливая, а может потому, что кроме себя-любимой на это правда всем насрать.
Аноним 13/04/17 Чтв 20:44:20  1941503
>>1941465
Весь секрет в том, что у тебя есть пизда и ты судя по всему не жируха.
+ на брекеты у многих фетиш как на веснушки и картавость, а отсутствие некоторых зубов даёт тебе преимущество сама знаешь в чём.
Аноним 13/04/17 Чтв 20:56:47  1941507
>>1941465
Ну спасибо сис. Лучше себе имплант в побородок тогда вставлю
Аноним 13/04/17 Чтв 21:21:12  1941518
>>1941503
Никаких преимуществ отсутствие зубов не давало, сириосли. Ну и сейчас такого нет уже.
А фетиш на брекеты - это как-то странновато.

[Назад][Обновить тред][Вверх][Каталог] [Реквест разбана] [Подписаться на тред] [ ] 259 | 31 | 135
Назад Вверх Каталог Обновить

Топ тредов
Избранное