[Ответить в тред] Ответить в тред

09/10/16 - Открыта доска /int/ - International, давайте расскажем о ней!
30/09/16 - BREAKING NEWS ШОК АБУ ПРОДАЛСЯ МЭЙЛУ (на самом деле нет)
25/09/16 - Персональное обращение Абу - СБОР ПОЖЕРТВОВАНИЙ НА ДВАЧ



Новые доски: /2d/ - Аниме/Беседка • /wwe/ - WorldWide Wrestling Universe • /ch/ - Чатики и конфочки • /int/ - International • /ruvn/ - Российские визуальные новеллы • Создай свою

[Назад][Обновить тред][Вниз][Каталог] [ Автообновление ] 1 | 1 | 1
Назад Вниз Каталог Обновить

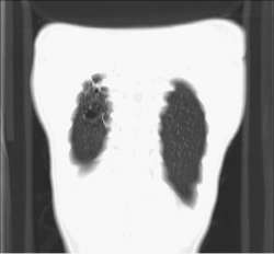
Сап, медач. Додвачевалсяв своей квартире до додвачевался 05/10/16 Срд 22:22:07  522322  
14756953277430.jpg (502Кб, 990x1118)
14756953277591.jpg (375Кб, 1840x640)
14756953277692.jpg (470Кб, 1024x1106)
14756953277833.gif (10639Кб, 857x798)
Сап, медач.
Додвачевалсяв своей квартире до туберкулеза легких.
Лечусь 14 месяцев первоначальный диагноз - казеозная пневмания - туберкулез легких. Стабильно абоцилянер 16 проб, стабильная положительная динамика. Весной этого года встал вопрос об операции. Прошел нужные обследование. Лечащий врач подготовил выписку собственно на фото, там же описание КТ. Лечащий врач настаивает на операции. Проблема в том, что те торакальные хирурги, которые обследовали меня (в четырех учреждениях), все в один голос говорят, что делать операцию нет смысла из-за высокого риска после операционных осложнений, мол повреждено оба легких, что если удалить частично правое легкое или же полностью, то велик фактор, того что больное левое легкое не сможет обеспечивать организм кислородом, тем более в нём есть изменение, возможность рецидива в левом легком ни кто не отменял. Получает следующее, что без операции оставлять каверны больший риск и операция тоже, бть, больший риск, тем более в четырех городах мне отказываются её делать, конечно остается Москва и Питер, ну и конечно заграницей сделают всё, что хочешь есть, но бть, там и цены, конечно, и опять же ни каких гарантий.
В общем, хочу спросить, как вы бы поступили будь на моём месте, рискнули и сделали, за бешеные деньги и не чем не гарантированную, операцию или обмазылись народными средствами, остались ещё на один год с кавернами?
додвачевался 05/10/16 Срд 22:23:17  522323
https://yadi.sk/d/PiczyDogwJAAA

[Назад][Обновить тред][Вверх][Каталог] [Реквест разбана] [Подписаться на тред] [ ] 1 | 1 | 1
Назад Вверх Каталог Обновить

Топ тредов
Избранное