Главная Юзердоски Каталог Трекер NSFW Настройки

Фагготрия

Создать тред Создать тред

Тред закрыт.

Check this out!
<<
Назад | Вниз | Каталог | Обновить | Автообновление | 503 176 90
КАРИНЫ ШПАК ТРЕД #10 Аноним 19/08/22 Птн 20:59:15 17853200 1
16608195291580.jpg 271Кб, 1172x655
1172x655
16609227207640.mp4 516Кб, 400x272, 00:00:01
400x272
16609271676780.mp4 435Кб, 848x432, 00:00:04
848x432
16609135620031.png 213Кб, 515x511
515x511
19/08/22 Птн 21:00:44 17853220 2
>>17853200 (OP)
>на курсы дизайна
ты донатишь только на айфоны и тарелки додик
Аноним 19/08/22 Птн 21:00:53 17853223 3
>>17853167 →
Ей в салоне МТС ничем не помогут же. Отправят в техподдержку и всё.
Аноним 19/08/22 Птн 21:01:31 17853231 4
Ну Шпачиха ну завезла контент в пятницу)))))
Аноним 19/08/22 Птн 21:02:31 17853243 5
Screenshot at 2[...].png 133Кб, 300x625
300x625
Аноним 19/08/22 Птн 21:02:43 17853246 6
>>17853223
новую имку сука купила и ПОМЕНЯЕТ ВЕЗДЕ НОМЕР ТЕПЕРЬ, сидит щас на 170 сайтах вбивает новые циферки
Аноним 19/08/22 Птн 21:04:57 17853266 7
Как думаете, какой новый пароль поставит?
Мне кажется AFEPOP43
Аноним 19/08/22 Птн 21:05:15 17853270 8
>>17853220
>только на айфоны и тарелки додик
На такси что бы доехать до тиндеровичей. И на
Аноним 19/08/22 Птн 21:05:26 17853273 9
ДА КТО ТАМ БУДЕТ РАЗБИРАТЬСЯ ТО БЛЯ. ПРОПИСКА В ОДНОМ МЕСТЕ ЖИВЁТ В ДРУГОМ ПО ЛЮБОМУ ДАЖЕ БЕЗ ДОГОВОРА АРЕНДЫ КВАРТИРЫ. ТЕЛЕФОН ВАЩЕ НЕ ЕЁ. РАБОТАЕТ ТО ЖЕ СКОРЕЕ ВСЕГО НЕ ОФИЦИАЛЬНО. НУ ВЫ ЧЁ УГАРАЕТЕ ЧТО ЛИ?
Аноним 19/08/22 Птн 21:06:32 17853280 10
Аноним 19/08/22 Птн 21:07:08 17853283 11
САМА ПОЛУЛЕГАЛЬНО ЖИВЁТ ПО ФАКТУ И ЕЩЁ ПРИТЕНЗИИ КАКИЕ ТО ХОЧЕТ ПРИДЪЯВЛЯТЬ НУ УМНА НЕ ПОГОДАМ!
Аноним 19/08/22 Птн 21:07:14 17853284 12
Image346.jpg 44Кб, 657x519
657x519
Аноним 19/08/22 Птн 21:07:26 17853288 13
>>17853273
Да не трясись ты так. Будешь отвечать по закону.
Аноним 19/08/22 Птн 21:07:45 17853290 14
Аноним 19/08/22 Птн 21:07:54 17853292 15
16609322547490.mp4 792Кб, 492x580, 00:00:24
492x580
Аноним 19/08/22 Птн 21:08:19 17853299 16
ЩАС ЕЩЁ ХОЗЯЙКУ ХАТЫ ПРИВЛЕКУТ ЕЩЁ
Аноним 19/08/22 Птн 21:08:20 17853300 17
>>17853283
В чём полулегальность, шиз?
Аноним 19/08/22 Птн 21:08:30 17853303 18
>>17853288
да 200к всего, ну или полгода почилиться с зеками. много нового можно узнать. интересный икспириенс.
Аноним 19/08/22 Птн 21:09:58 17853318 19
>>17853303
На Донбассе ещё более интересный икспириенс. Давай лучше сразу туда.
Аноним 19/08/22 Птн 21:09:59 17853320 20
>>17853243
Почему вообще АФЕПОП42? Она поясняла уже?
Аноним 19/08/22 Птн 21:10:02 17853321 21
>>17853300
Ну вот сам увидишь! Щас такое ещё тут всплывать начнёт. Ты чё не знаешь что ли её? У неё что ни день то обсер!
Аноним 19/08/22 Птн 21:11:25 17853332 22
>>17853292
Приобщено к материалам дела.
Аноним 19/08/22 Птн 21:11:53 17853335 23
>>17853320
Нет, но надо узнать.

КАРИНА ОБЪЯСНИ ПОЧЕМУ ИМЕННО AFEPOP42
Аноним 19/08/22 Птн 21:12:00 17853339 24
>>17853315
это можно притянуть только в том случае, если ваня спрыгнет в окно после очередной катки с нищей ватой.
Аноним 19/08/22 Птн 21:13:08 17853350 25
>>17853320
я думаю это какой то маслонамек. ваномас скорее всего уже разобрался.
Аноним 19/08/22 Птн 21:16:12 17853378 26
>>17853321
Галоперидол прими и ничего всплывать не начнёт
Аноним 19/08/22 Птн 21:18:12 17853401 27
Где Карише лучше перекантоваться пока она ищет новую съёмную квартиру?
У Демона в Ярославле?
На даче у дона Симона или VJLinka?
В лесу под защитой Конана?
Аноним 19/08/22 Птн 21:18:18 17853402 28
image.png 786Кб, 1000x600
1000x600
>>17853350
У него там наверное вся стена в его хруще увешана на манер пикрил
Аноним 19/08/22 Птн 21:19:42 17853413 29
>>17853401
На даче хиккановской бабы симы
Аноним 19/08/22 Птн 21:20:34 17853419 30
>>17853402
Хиккан вышел из спальни и уже исследует улики на стене
Аноним 19/08/22 Птн 21:21:52 17853422 31
>>17853378
Т.е. ты не вкуриваешь да? Ну был же уже прицендент слива её данных. И всё равно она бля лезет в нижние интернеты. Всё неймётся ей бля. Ну вот пусть страдает тепрь хуль там говорить!
Аноним 19/08/22 Птн 21:22:02 17853425 32
16559273278020.mp4 1323Кб, 604x394, 00:00:17
604x394
16608471194280.mp4 5067Кб, 540x960, 00:00:31
540x960
А ведь Нариману всего-то нужно удалить раздел фагготрия и подарить покой стольким людям треды с которыми здесь висят годами.
Аноним 19/08/22 Птн 21:22:21 17853429 33
>>17853402
Карина ищет, кто ещё связан с ваномасом, чтобы к ним подсосаться.
Аноним 19/08/22 Птн 21:23:08 17853430 34
>>17853425
Тогда все эти треды будут в бэ и этим людям про которых тут на создавали треды будет ещё "веселее".
Аноним 19/08/22 Птн 21:23:20 17853431 35
>>17853425
Тогда толянотреда не будет, а там все мои друзья.
Аноним 19/08/22 Птн 21:24:00 17853439 36
>>17853425
Ты что, там же коляска вздернется.
Аноним 19/08/22 Птн 21:24:00 17853440 37
>>17853422
>И всё равно она бля лезет в нижние интернеты.
Вот это самое интересное. Ладно, залезла не знала что такое, с кем не бывает, но она от этого истерики ловит и стресс и всё равно продолжает. Здесь возможно Хиккан руку приложил с которым она тёрлась в последнее время, наобещал ей золотых гор, сказал что Кариночка всё будет чики бони, а на хейтеров внимание не обращай, давай щас мы тут стрим проведёт, тут с Доном Симонов ну и вот уже со Шпачихой висит тред в фаге, от которого не так уж и просто избавиться теперь.
Аноним 19/08/22 Птн 21:25:34 17853451 38
>>17853430
В /b/ тоже сносить. Пусть на мелкоборды уходят если так надо.
Аноним 19/08/22 Птн 21:26:31 17853457 39
>>17853451
Моча не заебется по кд ебашить треды лол?
Аноним 19/08/22 Птн 21:27:42 17853474 40
А Ваномас по стрипухам Краснодара матается баб лапает. Ебал он вашу Шпачиху)))) Хыыыыы
Аноним 19/08/22 Птн 21:28:20 17853481 41
>>17853457
Когда fag лежал в начале августа, в /b/ кроме подсосов мэда ничего из фага не висело и это при том что никакой модерации не было. Если fag снести то большинство тредов умрут.
Аноним 19/08/22 Птн 21:29:39 17853489 42
>>17853481
>Когда fag лежал в начале августа
Вся тематика лежала, харкач на новый движ переходил.

>в /b/ кроме подсосов мэда ничего из фага не висело
Висело.
Аноним 19/08/22 Птн 21:29:53 17853494 43
16554109286400.png 425Кб, 880x660
880x660
>>17853422
Еще раз повторю, может это не очевидно кому-то. Она получает много внимания, она - вниманиеблядь, и ей это нравится. Это как ее россказни про факбоев и "плохих парней", ей это "не нравится" но она не может остановится, ведь адреналинчик выделяется, дофаминчик выделяется. А еще, она начинает понимать, что это можно развить и в целом не батрачить. Не надо париться, чего-то достигать, прогибаться под начальство, и делать то, что не хочешь. Можно просто доить дегенератов, которые подсознательно влюбились в ее милое личико, и конечно же, каждый из них, опять же подсознательно, думает что однажды она будет с ним, ну или просто фантазирует о ней. Это легкие деньги, это как наракотик для большинства людей.
Аноним 19/08/22 Птн 21:30:43 17853499 44
Аноним 19/08/22 Птн 21:31:42 17853509 45
>>17853499
Много чего, я уже не помню. Но точно были ещё треды из фаг, я вначале вообще подумал что доской ошибся.
Аноним 19/08/22 Птн 21:31:44 17853510 46
>>17853494
Ну и да, касаясь факбоев. Нижний интернет, это тот же факбой. Тут все неправильно, но это и манит.
Аноним 19/08/22 Птн 21:32:33 17853523 47
>>17853494
>Это легкие деньги, это как наракотик для большинства людей.
Согласен. Только Каринка не смотрит, к чему приходит в итоге подавляющее большинство персонажей нижнего интернета. Задумалась бы - да побежала из него сломя ноги.
Аноним 19/08/22 Птн 21:35:25 17853542 48
>>17853523
Лучше на дно работе с орущим начальником работать и быдло-коллективом чем быть анальным клоуном в фаготрии у поехавших чмох. Чисто по соотношению стресса гораздо меньше. Со дно работы всегда можно уволиться, можно прийти домой, уйти в отпуск и спокойно спать. А от популярности в интернете и уж тем более преследований никуда не деться уже.
Аноним 19/08/22 Птн 21:36:03 17853548 49
>>17853523
Ну в нижнем интернете можно нормально существовать, хиккан и симонов вполне себе достойно держатся.
Аноним 19/08/22 Птн 21:36:52 17853559 50
>>17853548
Симонов-то нормально? Ему пизда, он спивается очень жёстко.
Аноним 19/08/22 Птн 21:37:39 17853564 51
>>17853542
>Лучше на дно работе с орущим начальником работать и быдло-коллективом чем быть анальным клоуном в фаготрии у поехавших чмох.
Ну хуй его знает что лучше.
Аноним 19/08/22 Птн 21:37:50 17853565 52
>>17853559
Ну по психологической части он очень устойчивый, просто без трешака ему не донатят.
Аноним 19/08/22 Птн 21:38:27 17853568 53
>>17853542
ты много работал на дноработе с орущим начальником, или это твои фантазии?
Аноним 19/08/22 Птн 21:38:55 17853573 54
Хакер ты тут? Расскажи что делаешь и планируешь? Запиши извинения Карине и предложи пойти на мировую пока не поздно.
Аноним 19/08/22 Птн 21:39:06 17853575 55
>>17853559
Да и именно от того, что с ним тред сделали. ЧСВ притуши, карлик.
Аноним 19/08/22 Птн 21:39:11 17853576 56
Пиздец и все околошпачишной стримеры молчат))))))
Аноним 19/08/22 Птн 21:39:52 17853582 57
Аноним 19/08/22 Птн 21:39:57 17853585 58
НЕТ СТРИМА НЕТ НАРЕЗОЧЕК ЗАЙ
Аноним 19/08/22 Птн 21:40:31 17853589 59
>>17853573
залетный из телеги, ты?
19/08/22 Птн 21:42:09 17853603 60
Аноним 19/08/22 Птн 21:42:30 17853607 61
>>17853589
Нормальный совет. Что бы ты делал на его месте?
Аноним 19/08/22 Птн 21:45:36 17853634 62
15929398111010.mp4 1016Кб, 1280x720, 00:00:06
1280x720
Аноним 19/08/22 Птн 21:50:10 17853674 63
16558395508070.mp4 571Кб, 640x480, 00:00:06
640x480
Аноним 19/08/22 Птн 21:50:45 17853680 64
>>17853604
хыыы ipconfig набрал.
думаю в реале также работать будут)
Аноним 19/08/22 Птн 21:50:49 17853681 65
>>17853641
А где хруша живет? И сколько она зарабатывает?
Аноним 19/08/22 Птн 21:52:05 17853691 66
16597136231680.mp4 2000Кб, 720x1280, 00:00:06
720x1280
Аноним 19/08/22 Птн 21:54:51 17853727 67
>>17853691
Целовал бы Моте ушибленные ножки.
Аноним 19/08/22 Птн 21:55:25 17853734 68
>>17853727
Так ушибы от того, что она стоя на коленях отсасывала.
Аноним 19/08/22 Птн 21:56:17 17853745 69
>>17853727
Самая красивая тяночка нижнего интернета. В голове не укладывается, как можно проёбывать такие данные.
Аноним 19/08/22 Птн 21:57:20 17853759 70
Ну чё как там дела обстоят со Шпачихой?
Аноним 19/08/22 Птн 21:59:20 17853784 71
>>17853691

Настоящая принцесса нижнего интернета
Причем без каких-либо усилий, настоящая Альфа

Карише нужно больше с ней общаться и с Полиной Фейс, а не с Конанами и хикканами
Аноним 19/08/22 Птн 21:59:48 17853787 72
>>17853745
Не просто красивая: весёлая, интересная, харизматичная, смелая, честная, благородная, справедливая. Любит животных и природу. Прекрасная женщина. Жаль, что безнадёжно ебанутая.
Аноним 19/08/22 Птн 22:01:08 17853797 73
Аноним 19/08/22 Птн 22:01:14 17853799 74
16609355292061.png 345Кб, 784x878
784x878
>>17853782
как это не будете хакера с двача искать?
Аноним 19/08/22 Птн 22:03:00 17853824 75
>>17853787
Да, согласен. Харизматичнейший сгусток энергии. Я прямо прочувствовал, как она к Симону влетела, когда там Шпак была. Все стояли чё-то уныло, проходит буквально секунда, и Мотя переворачивает всё с ногна голову. Такая любого растормошит, даже такого аутиста как я.
Аноним 19/08/22 Птн 22:03:01 17853825 76
Аноним 19/08/22 Птн 22:03:21 17853827 77
>>17853797
и как я присоединюсь к чатику с десктопа. в пизду. вот на дваче вам чатик.
Аноним 19/08/22 Птн 22:03:41 17853829 78
>>17853797
Нахуй он нужен её чатик сюда пускай пишет!
Аноним 19/08/22 Птн 22:05:14 17853845 79
>>17853824
да, но у нее явная шиза. и с возрастом хуже будет.
Аноним 19/08/22 Птн 22:05:33 17853849 80
когда уже она съебёт из интернета нахуй чтобы не отсвечивала и оставит Вано в покое, тарелочница ёбаная
Аноним 19/08/22 Птн 22:05:56 17853856 81
это все кара катрехи, она пророк, все что говорила про всех - сбывалось
а шпак в свет именно она вытащила и шпак ее же забанила, не отмоется теперь шпак, ой не отмоется
Аноним 19/08/22 Птн 22:07:26 17853880 82
16341184122920.png 509Кб, 564x707
564x707
Фото тиндеровича.
Аноним 19/08/22 Птн 22:07:47 17853887 83
Screenshot 2022[...].png 1082Кб, 850x1074
850x1074
Аноним 19/08/22 Птн 22:08:16 17853894 84
С МТС НАДО РАЗОБРАТЬСЯ. ПОНАБРАЛИ ПРОГРАММИСТОВ БЛЯДЬ. АФЕПОП ИХ В ЖОПУ.
Аноним 19/08/22 Птн 22:08:58 17853903 85
Ну падаль заигнорила меня. На стриме 2 зрела, а она игнорит хотя читает.
Аноним 19/08/22 Птн 22:10:06 17853914 86
>>17853903
ты в теневом бане просто
Аноним 19/08/22 Птн 22:10:34 17853918 87
BadGuy.jpg 105Кб, 260x372
260x372
Было бы классно, если бы история Ваномаса и Кариши в общих чертах повторила сюжет фильма

https://en.m.wikipedia.org/wiki/Bad_Guy_(2001_film)

Карина отвергла Вано, он неявно привил ей любовь к нижнему интернету.
Постепенно она скатилась на самое социальной дно и стала жить в солевом притоне. Все забыли и забили на нее, но Вано нашел её и наконец женился на ней. К этому времени у него уже не стоит, а она уже привыкла зарабатывать, продавая свое тело, но они живут душа в душу. Happy End
Аноним 19/08/22 Птн 22:11:59 17853934 88
>>17853784
Королева, вообще-то.

Как нужно подводить Карину к общению с интересными и достойными людьми? Очевидно, что с Мотей она бы вот прямо сейчас бухать не смогла, даже расслабленный пикник на природе с Матильдой мог бы стать фатальным для Карины, о настоящих попойках с демонами, ягодками, рыжим чмом, даже говорить нечего. Да и Матильда её недолюбливает, уж больно разные люди. А если усадить Карину с Полиной Фейс — открытой и дружелюбной девушкой, которая, без сомнения и к карине отнесётся крайне благожелательно — то Карина вообще не поймёт, что это и на каком языке оно разговаривает, что пытается ей сообщить.

Нужны какие-то маленькие шажки, но я даже не знаю, какие. Может быть хиккан и симонов это и есть, так сказать, постепенная подводка к действительно красочным персонажам? Они ещё похожи на нормальных людей, они понятны Карине. И в то же время они могут пассивно присутствовать при настоящем экшоне. Мост в ебаторию, так сказать.
Аноним 19/08/22 Птн 22:12:55 17853940 89
Кстати, Безкотик пароль её и слил в первый раз. Теперь он админ в чате.
Аноним 19/08/22 Птн 22:14:00 17853956 90
>>17853824
Что-то мне кажется, что ты не особо знаком с Мотей. В тот раз у Симонова она прям сама не своя была, очень зажатая и явно не знала, как себя вести и что делать в этом высокосветском обществе, где никто не блюёт и не разбивает друг другу о головы бутылки.
Аноним 19/08/22 Птн 22:14:28 17853964 91
Кариша говот свой номем

Кто хочет угостить ее бомбером?
Аноним 19/08/22 Птн 22:14:56 17853970 92
>>17853956
Да я знаю её стримы. Просто даже тогда прочувствовалось на контрасте с другими людьми.
Аноним 19/08/22 Птн 22:15:06 17853973 93
>>17853797
Какой ещё нахуй чатик? Идите в жопу со своими чатиками!
Аноним 19/08/22 Птн 22:16:23 17853985 94
>>17853940
Да по ходу постанова опять
Аноним 19/08/22 Птн 22:21:24 17854030 95
Screenshot2022-[...].png 783Кб, 1280x720
1280x720
Screenshot2022-[...].png 750Кб, 1280x720
1280x720
Screenshot2022-[...].png 795Кб, 1280x720
1280x720
Подмышки Каришки
Аноним 19/08/22 Птн 22:22:44 17854047 96
>>17853200 (OP)
Вопрос 1. Кто это такая?
Вопрос 2. Есть фото-видео ножек?
Аноним 19/08/22 Птн 22:24:06 17854068 97
>>17854047
Ну тебя даже вчерашний шторм не разбудил...

Надо лучше следить за бомжами, чтобы быть в курсе.
Аноним 19/08/22 Птн 22:24:29 17854074 98
16340487415160.png 631Кб, 614x578
614x578
Карина, я факбой?
Аноним 19/08/22 Птн 22:24:34 17854077 99
Аноним 19/08/22 Птн 22:24:44 17854083 100
Screenshot 2022[...].png 658Кб, 1118x688
1118x688
Аноним 19/08/22 Птн 22:25:51 17854099 101
16604175444720.jpg 895Кб, 2000x2000
2000x2000
Аноним 19/08/22 Птн 22:26:16 17854103 102
>>17854030
мне нравятся, когда круги под голубыми/зелеными глазами
Аноним 19/08/22 Птн 22:26:27 17854106 103
16567693905240.jpg 187Кб, 1284x2282
1284x2282
Аноним 19/08/22 Птн 22:27:22 17854112 104
изображение.png 306Кб, 750x554
750x554
Аноним 19/08/22 Птн 22:28:49 17854133 105
>>17854030
>>17854103
Блять, одному нравятся подмышки, второму - круги под глазами. Шпак в каком-то фетиш треде пропиарили, что ли?
Аноним 19/08/22 Птн 22:29:45 17854149 106
Untitled.mp4 2129Кб, 1440x1080, 00:00:11
1440x1080
ПИДАРАСКА СМОТРИ НЕ СКИПАЙ
Аноним 19/08/22 Птн 22:30:12 17854154 107
vano.jpg 420Кб, 1920x1080
1920x1080
Аноним 19/08/22 Птн 22:31:07 17854162 108
club.webm 2762Кб, 640x480, 00:00:27
640x480
Аноним 19/08/22 Птн 22:32:24 17854179 109
16519319083090.png 821Кб, 1638x803
1638x803
База
Аноним 19/08/22 Птн 22:32:48 17854185 110
Screenshot 2022[...].png 540Кб, 854x574
854x574
Аноним 19/08/22 Птн 22:33:18 17854193 111
Аноним 19/08/22 Птн 22:33:54 17854202 112
16606609131030.mp4 2648Кб, 1080x608, 00:00:15
1080x608
Аноним 19/08/22 Птн 22:40:59 17854291 113
>>17854212
Не моя коллекция, к сожалению. Это толчмана одного.
Аноним 19/08/22 Птн 22:46:21 17854349 114
image 310Кб, 878x740
878x740
>>17854179
gigacoomer
у меня коллекшн поболе будет
Аноним 19/08/22 Птн 22:49:08 17854382 115
16537814238331.webm 10727Кб, 1920x1080, 00:00:41
1920x1080
Аноним 19/08/22 Птн 22:50:28 17854398 116
15831816567970.mp4 26246Кб, 640x360, 00:01:38
640x360
Аноним 19/08/22 Птн 22:50:30 17854400 117
ЛЮБИМ ТЕБЯ, РОДНАЯ, НЕ ОБРАЩАЙ ВНИМАНИЯ НА ДУРАКОВ
Аноним 19/08/22 Птн 22:52:29 17854416 118
внук2.mp4 4001Кб, 576x1024, 00:00:40
576x1024
Аноним 19/08/22 Птн 22:55:11 17854451 119
16609255965251.png 620Кб, 803x919
803x919
Пишут про Матильду, она читает и думает, что про неё.
Карин, ну ты вообще что ли?
Аноним 19/08/22 Птн 22:55:51 17854456 120
15825756004300.mp4 12624Кб, 1280x720, 00:02:14
1280x720
Аноним 19/08/22 Птн 22:55:54 17854459 121
>>17854451
Признайтесь хотелось бы облизать этот кондидозный язычок?
Аноним 19/08/22 Птн 22:57:05 17854469 122
Аноним 19/08/22 Птн 22:57:26 17854472 123
>>17854179
>>17854349
Никогда не понимал таких скриншотов. У меня папка fag сейчас занимает 32 ГБ (не считая скачанных инстаграмов, они лежат отдельно, потому что туда скрипт автоматически фоточки складывает, если путать это с вручную собранным контентом то бардак будет). Если запихнуть всех персонажей в одну папку, я бы там ничего никогда не нашёл. Поэтому всё поделено на подгруппы — ну, ебатории в одной папке, форсы треда подсосов в другой и т.д.
Аноним 19/08/22 Птн 22:57:29 17854473 124
16537663842860.png 666Кб, 886x693
886x693
16576615461230.png 309Кб, 412x661
412x661
Карина, я факбой?
Аноним 19/08/22 Птн 22:58:01 17854483 125
image.png 86Кб, 210x300
210x300
Аноним 19/08/22 Птн 22:59:28 17854504 126
16518770708890.mp4 12568Кб, 1920x1080, 00:00:43
1920x1080
Аноним 19/08/22 Птн 22:59:46 17854509 127
Хакер плохой, что влез в ЛК МТС.
А Безкотик хороший, за то что пароль слил.
Аноним 19/08/22 Птн 23:00:03 17854513 128
>>17854451
Ну это она зря. При всём уважении к Карине, до Матильды ей как до Луны пешком. Матильда это совсем других масштабов персонаж. Если они обе умрут сегодня, Карину я забуду через неделю, а Матильду — никогда.
Аноним 19/08/22 Птн 23:00:35 17854516 129
Аноним 19/08/22 Птн 23:01:02 17854522 130
16554723933870.webm 347Кб, 480x360, 00:00:05
480x360
>>17854504
ох уж и собака сутулая
Аноним 19/08/22 Птн 23:02:23 17854542 131
>>17854504
В таком купальнике она целибат будет до вечности хранить, впрочем, ее это только радует.
Аноним 19/08/22 Птн 23:02:53 17854548 132
изображение.png 64Кб, 880x534
880x534
Аноним 19/08/22 Птн 23:03:03 17854550 133
>>17854509
Бекзотик ей мем подарил
Аноним 19/08/22 Птн 23:04:11 17854562 134
>>17854550
По сути на бекзотика и нужно заявление писать, именно он пароль и слил.
Аноним 19/08/22 Птн 23:06:13 17854584 135
16608399694941.jpg 613Кб, 1920x1080
1920x1080
>>17854562
Короче Бекзотик и тот залезший в кабинет МТС пойдут по 272 статье части 3. Предумышленный сговор на лицо с целью получения неправомерного доступа к данным.
Аноним 19/08/22 Птн 23:09:50 17854627 136
15980295275040.png 708Кб, 460x842
460x842
16008817960470.jpg 5Кб, 194x259
194x259
16577202022830.jpg 29Кб, 320x322
320x322
16576628920970.jpg 359Кб, 1080x1152
1080x1152
Карина, нужна оценка, сколько из десяти. Факбой или нет? Альфонс, живёт за счёт своей девушки (Арими) уже 12 лет. Внушил ей комплексы и прочее. Она работает, потом приходит домой, готовит ему нямку. А он всё это время играет в игры за шторкой.
Аноним 19/08/22 Птн 23:13:02 17854672 137
Аноним 19/08/22 Птн 23:16:26 17854708 138
ЗАЯВЛЕНИЕ

Я, ПРИНЦЕССА НИЖНЕГО ИНТЕРНЕТА, НЕДЕЛЮ НАЗАД ПРОЕБАЛА ПАРОЛЬ, ПО КОТОРОМУ СЕГОДНЯ ЗЛОУМЫШЛЕННИКИ ВОШЛИ В ЛК МОЕГО (Т.Е. МАМКИНОГО (НЕ ВАЖНО)) ТЕЛЕФОНА И СМОТРЕЛИ КОНФИДЕНЦИАЛЬНУЮ ИНФОРМАЦИЮ О МОЕЙ ЖИЗНИ. ТРЕБУЮ ПРИНЯТЬ МЕРЫ. Я УЖЕ ПИСАЛА ЗАЯВЛЕНИЕ ПАРУ ЛЕТ НАЗАД НА ЧЕЛОВЕКА, КОТОРЫЙ ЗА МНОЙ СЛЕДИЛ, А ТЕПЕРЬ Я НА НЕМ ПИЯВЛЮСЬ, НО ВЫ НЕ ПРИНЯЛИ НИКАКИХ МЕР. УЧТИТЕ, ЧТО ЕСЛИ И В ЭТОТ РАЗ БУДЕТ ТО ЖЕ САМОЕ, Я ПОДАМ НА ВАС В ССУТ.
Аноним 19/08/22 Птн 23:16:37 17854713 139
image.png 136Кб, 387x412
387x412
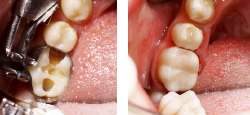
У неё ПЯТЬ ПЛОМБ В 22, ахуеть!
Аноним 19/08/22 Птн 23:16:50 17854717 140
>>17854451
Жуткий кринж с этого словил. Надо начать тут галковского обсуждать, эта дура тоже будет не глядя на реплаи она походу делать этого не умеет: трудно, бедненькой, двачиком после вконтанта пользоваться думать, что это она глаынй специалист по масонам и британской разведке.
Аноним 19/08/22 Птн 23:18:10 17854737 141
>>17854713
Зато знаешь, сколько хуев пересосала? Твоему папаше столько и не снилось.
Аноним 19/08/22 Птн 23:19:29 17854752 142
animation.gif.mp4 137Кб, 320x262, 00:00:12
320x262
Аноним 19/08/22 Птн 23:19:50 17854757 143
>>17854713
Мне 31, кариеса нет, пломб нет. Я Бог?
Аноним 19/08/22 Птн 23:20:23 17854767 144
>>17854757
В генетическую лотерею выйграл, радуйся.
Аноним 19/08/22 Птн 23:20:23 17854768 145
16367287539961.mp4 13362Кб, 1280x800, 00:00:30
1280x800
Будущее Ваномаса и Карины
Аноним 19/08/22 Птн 23:20:29 17854771 146
>>17854757
Так у тебя и зубов нет, лол
Аноним 19/08/22 Птн 23:20:38 17854773 147
>>17854674
Запись стрима осталась? Когда это было? Я думал Мотя ещё весной с Радой в конец рассорилась, но судя по причёске это что-то относительно недавнее.
Аноним 19/08/22 Птн 23:21:44 17854785 148
>>17854713
Ей походу свинцовые ставили лол, как в прошлом веке.
Аноним 19/08/22 Птн 23:22:00 17854790 149
>>17854771
Все есть, не пизди. Самое забавное, что последний зуб мудрости вырос к 28 только гдет
Аноним 19/08/22 Птн 23:22:25 17854794 150
>>17854713
От хуёв уже все зубы перегнили.

>>17854757
А хуи ты сосал? Нет конечно, поэтому и зубы целы.
Аноним 19/08/22 Птн 23:23:10 17854802 151
я это ты.webm 9260Кб, 720x480, 00:03:59
720x480
16587711333620.mp4 3500Кб, 680x420, 00:00:21
680x420
16567750271980.mp4 2699Кб, 600x428, 00:00:31
600x428
15957852393791.mp4 4519Кб, 1280x720, 00:00:16
1280x720
Уверен, что Карина не устояла бы перед данным факбоем из Армении
Аноним 19/08/22 Птн 23:27:00 17854870 152
Шпачиха дал модерку Безкотику, бабское мышление XDDD
Аноним 19/08/22 Птн 23:27:40 17854881 153
Грамотно ли пишет Карина Шпак? Для меня это очень важно в девушке.
Аноним 19/08/22 Птн 23:27:54 17854884 154
>>17854768
Скуфа слева бы получше чтобы 5/10 и телку похуже чтобы 3/10 была, вот тогда будет батек и натрашка шпак.
Аноним 19/08/22 Птн 23:29:08 17854903 155
>>17854870
Ну так он донатер. Всё правильно сделал.
Это метод кнута и пряника. Дрессирует своих симпов.
Аноним 19/08/22 Птн 23:30:33 17854920 156
Аноним 19/08/22 Птн 23:30:40 17854921 157
>>17854881
Конечно, Карин, в девушке это самое главное.
Аноним 19/08/22 Птн 23:30:56 17854922 158
>>17854713
мне кажется или там достаточно сильный кариес? как будто несколько зубов уже на грани полного разрушения. кстати часто такое замечаю в порнухе, там тоже пиздец чернота иногда, потом невозможно смотреть. прикиньте как она миньет делает, считай это же гнилые кости.
Аноним 19/08/22 Птн 23:32:31 17854938 159
15993358220630.mp4 2657Кб, 1280x720, 00:00:06
1280x720
15939708043740.mp4 15621Кб, 1280x720, 00:01:01
1280x720
16025057606520.mp4 2695Кб, 960x540, 00:00:18
960x540
Аноним 19/08/22 Птн 23:32:48 17854942 160
>>17854922
Выглядит как пульпит, да. Но нужно качество выше.
Аноним 19/08/22 Птн 23:32:55 17854944 161
Внимательно слушает.
Аноним 19/08/22 Птн 23:34:31 17854955 162
>>17854921
То есть да? Может ты сам просто неграмотный и её ошибок не видишь?
Аноним 19/08/22 Птн 23:35:04 17854962 163
ЦИРКУМФЛЕКС ОБРАТНЫЙ СЛЭШ
Аноним 19/08/22 Птн 23:35:41 17854968 164
>>17854713
Да может просто выглядит так тень там хуё-моё? Пусть покажет на стриме осмотрим ей ротовую полость
Аноним 19/08/22 Птн 23:36:19 17854977 165
>>17854962
Скоро будет минималка, как у папича 500р
Аноним 19/08/22 Птн 23:36:24 17854978 166
Ну ты и пидор, пидор.
Аноним 19/08/22 Птн 23:36:46 17854980 167
>>17854968
Еще пусть докажет что у нее в вагине молочницы нет
Аноним 19/08/22 Птн 23:36:48 17854982 168
Выебали её циркумфлексом прямо на стриме.
Аноним 19/08/22 Птн 23:37:43 17854987 169
>>17854955
Я вижу, ты дохуя грамотный.
Аноним 19/08/22 Птн 23:38:04 17854993 170
>>17854977
Ну тогда действительно все заскучают и разбегутся дня за 2.
Аноним 19/08/22 Птн 23:38:25 17854997 171
>>17854980
Ну пока подозрений на молочницу не было. А вот на кариес есть, его лучше не запускать.
Аноним 19/08/22 Птн 23:39:11 17855001 172
Ёбаный толчман, не засирай своей хуетой. Свой тред в помойку превратили, там и сидите.
Аноним 19/08/22 Птн 23:39:21 17855004 173
зубатка.png 151Кб, 562x428
562x428
>>17854968
да не, это явно не тень
Аноним 19/08/22 Птн 23:40:00 17855013 174
>>17854997
Подозрения такие есть
Аноним 19/08/22 Птн 23:40:38 17855020 175
>>17854713
>>17855004
Так это может старое видео? Уже всё починили.
Аноним 19/08/22 Птн 23:40:41 17855022 176
>>17854997
Ну вагину она на стриме не палила, как зубы.
Аноним 19/08/22 Птн 23:41:09 17855028 177
>>17855020
Не это свежее, да и такой кариес не почистишь.
Аноним 19/08/22 Птн 23:41:16 17855031 178
>>17855004
ебаные дауны это пломбы
Аноним 19/08/22 Птн 23:42:13 17855040 179
>>17855020
такое думаю нельзя починить, видишь сколько черноты и она прям всю поверхность зуба покрывает за исключением прикорневой зоны
Аноним 19/08/22 Птн 23:42:44 17855048 180
>>17855031
Черные пломбы? Они свинцовые как 50 лет назад что ли?
Аноним 19/08/22 Птн 23:43:14 17855055 181
>>17854987
Не обязательно, но мне очень важно, чтоб тяночка грамотная была. Иначе сразу всё желание пропадает, просто полный антисекс. Можно там знаки препинания не ставить, я даже прощу, если она будет начинать сообщения с маленькой буквы, но если будет хотя бы одна глупая орфографическая ошибка в простом слове, то у меня настроение будет испорчено на весь вечер и я её ебать не захочу. Уже бывало такое. Особенно бесит, если тян что-то ласковое тебе пишет, и там, сука, ошибки. Да пошла ты нахуй, тупая пизда!
Аноним 19/08/22 Птн 23:44:38 17855077 182
>>17854179
Вот так проходит твоя жизнь.
Аноним 19/08/22 Птн 23:44:41 17855078 183
Тарелочница не может разобраться с нищим софтом для вывода доната.
Аноним 19/08/22 Птн 23:44:42 17855079 184
Наверное хиккан ей там всё настроил и ушёл. А сама она даже стрим включает с трудом, ничего сделать не может, не понимает, чё вообще происходит.
Аноним 19/08/22 Птн 23:45:25 17855091 185
> ЭТО ТЕБЕ НЕ ТИНДЕР СКРОЛЛИТЬ
Чёт проиграл.
Аноним 19/08/22 Птн 23:45:29 17855093 186
Бесполезные мочеры чата не могут помочь, могут только кибернализывать.
Аноним 19/08/22 Птн 23:45:34 17855095 187
ОФНУЛА!
Аноним 19/08/22 Птн 23:45:40 17855096 188
>>17855055
А разве ее должно волновать, кого ты там ебать хочешь?
Аноним 19/08/22 Птн 23:45:58 17855102 189
Опытный пользователь пк.
Аноним 19/08/22 Птн 23:46:05 17855105 190
4 ГОДА ВШЭ
Аноним 19/08/22 Птн 23:46:26 17855110 191
Аноним 19/08/22 Птн 23:46:37 17855114 192
photo2022-08-10[...].jpg 528Кб, 1280x720
1280x720
Сгорела с того что начали рофлить насчет того что она вышку окончила, а в нищем софте разобраться не может.
Аноним 19/08/22 Птн 23:46:56 17855120 193
КРАСИВО
Аноним 19/08/22 Птн 23:47:31 17855124 194
УБЕДИТЕЛЬНАЯ ПОБЕДА ЦИРКУМФЛЕКСА НАД ТАРЕЛОЧНИЦЕЙ
Аноним 19/08/22 Птн 23:47:32 17855125 195
>>17855110
Но ты не Вано, и даже не близко. Можешь отдыхать, и дальше соблазнять своих рязанских блядей.
Аноним 19/08/22 Птн 23:48:01 17855133 196
В причина хейта Шпачихи?
Аноним 19/08/22 Птн 23:48:15 17855138 197
>>17855124
и обратного слеша (или как там его)
Аноним 19/08/22 Птн 23:48:47 17855145 198
>>17855125
А знаешь, почему у тебя так пердак разорвало? Потому что ты неграмотный.
Аноним 19/08/22 Птн 23:50:27 17855162 199
Это наказание за то что не выключила уведомление в телеге, неувожения к симпам
Аноним 19/08/22 Птн 23:51:40 17855172 200
Аноним 19/08/22 Птн 23:51:51 17855173 201
16605808527790.jpg 44Кб, 408x394
408x394
image.png 15Кб, 628x537
628x537
Двачеры могут спорить о чем угодно.
Кто победит Одна ТАРЕЛОЧНИЦА окончившая ВШЭ или два символа?
Аноним 19/08/22 Птн 23:53:11 17855193 202
>>17855173
Научный метод:
1. Выдвинуть гипотезу.
2. Поставить эксперимент.
3. Заставить тарелочницу оффнуть с позором.
Аноним 19/08/22 Птн 23:55:12 17855210 203
>>17855048
представь себе цемент ставят и щас они как раз не белые
Аноним 19/08/22 Птн 23:55:40 17855216 204
>>17855133
Пиявка вниманиеблядь
Аноним 19/08/22 Птн 23:56:23 17855223 205
>>17855193
Бюджет эксперимента 200 рублей.

>>17855210
Ну явно не черные, дешевые могут по цвету отличаться от зубной эмали, но не настолько что бы быть прям супер темного оттенка.
Аноним 19/08/22 Птн 23:56:48 17855228 206
>>17855133
А тебе нужна причина?
Аноним 19/08/22 Птн 23:57:25 17855239 207
>>17855048
потому что это хороший вариант не на видимой части зубов ставят такие
Аноним 19/08/22 Птн 23:58:13 17855247 208
>>17855173
Победил по факту тиндерович, на которого она оглядывалась постоянно
Аноним 19/08/22 Птн 23:58:31 17855253 209
>>17855239
>не на видимой части зубов ставят такие
50 лет назад ставили свинцовые, да. Но не сейчас.
Аноним 19/08/22 Птн 23:59:00 17855265 210
>>17855223
господи ты ебанутый, они как раз ТЕМНЫЕ, это не те пломбы которыми заделывают сколы на резцах и реставрируют зубы на видимой части
Аноним 19/08/22 Птн 23:59:09 17855266 211
>>17855247
Нищий тиндер сидел и 2 часа молчал в тряпку, да победил, конечно.
Аноним 19/08/22 Птн 23:59:20 17855270 212
>>17854179
Выложи Алину Рин молю!
Аноним 20/08/22 Суб 00:00:38 17855291 213
image.png 241Кб, 556x257
556x257
image.png 166Кб, 480x320
480x320
>>17855265
Щас и моляры и премоляры заделывают светлыми
Аноним 20/08/22 Суб 00:01:46 17855314 214
>>17855291
ну так это другая пломба потому что
Аноним 20/08/22 Суб 00:02:16 17855320 215
>>17855314
Т.е. она въебала себе самые нищие и всратые из амальгамы?
Аноним 20/08/22 Суб 00:02:24 17855321 216
Аноним 20/08/22 Суб 00:07:17 17855377 217
>>17855320
ты ебанутый ты понимаешь что их много видов, твою хуйню не думаю что уже где то ставят, из цементных есть несколько видов не белых
Аноним 20/08/22 Суб 00:11:18 17855421 218
>>17855377
Санкции, нормальные пломбы - всё
Аноним 20/08/22 Суб 00:15:15 17855472 219
>>17855377
>несколько видов не белых
Которые никто не ставит, везде ставят светлые пломбы, что бы не сильно выделялись на фоне зубов. Даже в бесплатной клинике.
Аноним 20/08/22 Суб 00:16:15 17855482 220
Сказала, что в сентябре пойдет на курсы и не будет стримить.
Верим?
Аноним 20/08/22 Суб 00:16:38 17855490 221
Шпачиха.mp4 30610Кб, 1280x720, 00:02:23
1280x720
Вот что ждёт Шпачиху на приёме у следака))))) Ахаххаххаха
Аноним 20/08/22 Суб 00:17:02 17855493 222
>>17855482
Конечно ведь она никогда не врёт.
Аноним 20/08/22 Суб 00:17:35 17855495 223
Аноним 20/08/22 Суб 00:17:44 17855498 224
Аноним 20/08/22 Суб 00:19:01 17855511 225
>>17855001
Извини, я не хотел срать прямо. Думал на стриме поугарает с лора толянотреда. А она от какого-то доната затерпела. Хотел один раз по приколу посмотреть на реакцию и всё. Извини за неудобства.
Аноним 20/08/22 Суб 00:27:29 17855594 226
>>17855578
А чё не так что ли)))) Ааххахаха
Аноним 20/08/22 Суб 01:14:52 17856002 227
Конан на стриме сказал что ему не нравятся девушки азиатской внешности
Аноним 20/08/22 Суб 01:18:21 17856027 228
>>17856002
Потому что ему нравятся мальчики азиатской внешности.
Аноним 20/08/22 Суб 01:27:47 17856088 229
>>17854713
про 5 она только сказала, скорее всего там весь перелечан
жаль не могу найти момент со стрима, где чуханка говорит, что часто забывает почистить зубы перед сном
после такого думаю не стоит удивляться
Аноним 20/08/22 Суб 01:36:17 17856141 230
>>17856027
ему нравятся дети азиатской внешности, и собаки.
Аноним 20/08/22 Суб 01:55:41 17856294 231
>>17856002
Натраха шпак в пролете
Аноним 20/08/22 Суб 02:02:05 17856341 232
Пизда хакеру
Аноним 20/08/22 Суб 02:04:59 17856358 233
тупая шлюха.mp4 2039Кб, 1280x720, 00:00:07
1280x720
Аноним 20/08/22 Суб 02:08:38 17856383 234
45123005.mp4 1806Кб, 848x730, 00:00:07
848x730
Аноним 20/08/22 Суб 02:39:39 17856628 235
>>17856423
Бестолочь! Ей же написали в СМС если это не вы зашли перезвони по номеру!
Аноним 20/08/22 Суб 02:41:04 17856642 236
Аноним 20/08/22 Суб 02:46:35 17856675 237
Бурятка.avi 3601Кб, 744x448, 00:00:29
744x448
Касательно Каринки
Аноним 20/08/22 Суб 02:48:03 17856681 238
Бурятка.mp4 3601Кб, 744x448, 00:00:29
744x448
Аноним 20/08/22 Суб 02:48:47 17856683 239
Посоны, блять, хуёсподи, водителю инвалидного кресла хоть платят за это? Заговнил тред петрушки, сеосвина, симонеллы, теперь и в около-бомжацкие треды протекает. Неприятно, короче.
Аноним 20/08/22 Суб 02:49:47 17856688 240
Переписать надо.mp4 6425Кб, 1280x720, 00:00:18
1280x720
Аноним 20/08/22 Суб 03:09:37 17856756 241
НАЦИОНАЛЬНОСТЬ.mp4 16479Кб, 1920x1080, 00:00:35
1920x1080
НАЦИОНАЛЬНОСТЬ?
Аноним 20/08/22 Суб 03:22:11 17856788 242
123450045.jpg 17Кб, 339x242
339x242
Симпакуколды мои,вы вообще спите?
Аноним 20/08/22 Суб 03:23:23 17856794 243
>>17856788
Неа.... Песочим Шпачиху 24/7
Аноним 20/08/22 Суб 03:47:53 17856862 244
Аноним 20/08/22 Суб 03:50:47 17856875 245
Аноним 20/08/22 Суб 03:53:32 17856885 246
>>17855377
Это может быть коронка металло керамическая там вкладка металл сзади у меня такие
Аноним 20/08/22 Суб 05:18:50 17856975 247
16390806710900.mp4 6291Кб, 400x720, 00:00:14
400x720
Не светит
Аноним 20/08/22 Суб 05:20:48 17856980 248
16607729826530.mp4 659Кб, 854x480, 00:00:06
854x480
Это правда, что Конан оттрахал Корину?
Аноним 20/08/22 Суб 06:28:22 17857042 249
>>17856980
У него болт 18 см, это вам не 7 см корнишон батька
Аноним 20/08/22 Суб 06:29:26 17857043 250
Аноним 20/08/22 Суб 07:50:31 17857136 251
Повезло тарелочнице удалили слив лк МТС
Аноним 20/08/22 Суб 08:11:10 17857160 252
IMG5571.MP4 2988Кб, 880x496, 00:00:09
880x496
>>17856788
Мы сменами дежурим итт.
Аноним 20/08/22 Суб 08:27:50 17857187 253
Ну чё ждём чё сегодня Шпачиха выкенет!
Аноним 20/08/22 Суб 10:36:06 17857553 254
photo2022-08-19[...].jpg 73Кб, 585x1170
585x1170
Аноним 20/08/22 Суб 10:37:07 17857558 255
Аноним 20/08/22 Суб 10:41:24 17857571 256
>>17857558
Написано 2012 год. Значит 11-12 лет, маленькой.
Аноним 20/08/22 Суб 10:47:54 17857607 257
>>17857571
А бомж в это время прячется от абдулей, живёт предположительно у родственников и гамает в вов
Аноним 20/08/22 Суб 10:51:49 17857623 258
>>17857553
боюсь даже представить, сколько литров поллюций было спущено на эту фотку
Аноним 20/08/22 Суб 10:58:20 17857648 259
Аноним 20/08/22 Суб 11:02:03 17857657 260
>>17856975
Что не попало на видео: дёсна, горб, не почищенные на ночь зубы, хабалистый голос, токсичный характер
Аноним 20/08/22 Суб 11:05:43 17857664 261
>>17857553
знала ли она тогда, что посвятит свою жизнь маслонамекам?
Аноним 20/08/22 Суб 11:07:12 17857670 262
>>17857623
Поллюции это тебе не дрочка, они приходят когда Домовой захочет, а не Ванёк. Так что ноль литров Поллюций было спущено по факту.
Аноним 20/08/22 Суб 11:15:42 17857703 263
Аноним 20/08/22 Суб 11:31:04 17857767 264
Карина видела член Конана? Сказала что-то о нем?
Аноним 20/08/22 Суб 11:31:05 17857768 265
MTC.mp4 5277Кб, 1280x720, 00:00:17
1280x720
Переписать надо.mp4 6425Кб, 1280x720, 00:00:18
1280x720
Аноним 20/08/22 Суб 11:38:00 17857803 266
>>17857768
Колхозница будет порешать с Евтушенко, запомните твари
Аноним 20/08/22 Суб 11:39:04 17857809 267
Тарелочница и молочница
Аноним 20/08/22 Суб 11:39:46 17857813 268
>>17857803
Да ладно ты. Посмотрим чё она сегодня выкинет))))
Аноним 20/08/22 Суб 11:41:31 17857819 269
Аноним 20/08/22 Суб 11:42:47 17857823 270
Screenshot at 2[...].png 12Кб, 292x104
292x104
Ясно?
Аноним 20/08/22 Суб 11:44:51 17857834 271
>>17857823
Она пусть доживёт сначало до вечера то))))))) А то с такими успехами как унеё хз хз...
Аноним 20/08/22 Суб 11:46:04 17857840 272
>>17857823
Зачем она старые фильмы смотрит?
Аноним 20/08/22 Суб 11:47:00 17857849 273
>>17857840
На тряпки старые посмотреть хочет наверное)))
Аноним 20/08/22 Суб 11:55:00 17857886 274
16608610024760.png 345Кб, 784x878
784x878
Аноним 20/08/22 Суб 11:56:20 17857892 275
ДОИМ ДВАЧ.mp4 2747Кб, 854x480, 00:01:07
854x480
Аноним 20/08/22 Суб 11:57:17 17857899 276
454564644.mp4 2381Кб, 854x480, 00:00:34
854x480
Аноним 20/08/22 Суб 11:59:16 17857912 277
Аноним 20/08/22 Суб 11:59:38 17857914 278
54445666.mp4 3667Кб, 854x480, 00:01:18
854x480
Аноним 20/08/22 Суб 12:01:53 17857928 279
ЗА ДЕНЬГИ КРАСИ[...].mp4 2758Кб, 854x480, 00:00:58
854x480
Аноним 20/08/22 Суб 12:02:38 17857934 280
16554109286400.png 425Кб, 880x660
880x660
>>17857892
МААМ, Я В ТЕЛЕВИЗОРЕ!!!
Аноним 20/08/22 Суб 12:03:38 17857940 281
45665566.mp4 287Кб, 854x480, 00:00:05
854x480
Аноним 20/08/22 Суб 12:05:42 17857948 282
image.png 12Кб, 317x157
317x157
image.png 11Кб, 342x136
342x136
Какой же этот Яблоко криповый пиздец.
Аноним 20/08/22 Суб 12:14:39 17858016 283
Сидит какой то еблан в чатике тг у неё и затирает что дети это счастье, лол.
Ну и хули ты ебанат не со своими детьми сейчас, а симпуешь по 22лвл девчине?
Как Патлач убегает от "семейного счастья" в нижний интернет, ну разумист.
Аноним 20/08/22 Суб 12:15:08 17858022 284
>>17857948
Это главный подсос пиздолиз, Ваномас на его фоне самый адекватный человек в мире. Постоянно срёт в тредах и защищает Шпачиху.
Аноним 20/08/22 Суб 12:16:05 17858031 285
544556.mp4 1018Кб, 854x480, 00:00:21
854x480
Аноним 20/08/22 Суб 12:18:44 17858051 286
>>17858022
Ну а вдруг она распечатает для него очко? Надежда умирает последней.
Аноним 20/08/22 Суб 12:19:53 17858060 287
16609401976130.png 133Кб, 387x412
387x412
>>17858016
Я бы обосрался с такого навязчивого фана, ппц. А ей норм походу, главное что бабло заносит. Ну не баба, а кремень! Каких только людей не встретишь, хорошо что на бордах хотя бы все постеры деперсонализированы и ты не имеешь четкого представления о местных шизах. Как же глубока кроличья нора...
Аноним 20/08/22 Суб 12:20:50 17858068 288
>>17858051
Он кстати всего на год младше Ванечки. Правда он из Тамбова, так что проигрывает в плане дислокации Вано.
Аноним 20/08/22 Суб 12:22:49 17858085 289
До чего же у Карины Шпак сексуальный голос. Как у Ксюши Собчак. Но лучше.
Аноним 20/08/22 Суб 12:22:56 17858086 290
>>17858068
Лол, я думал школьник какой-то.
Аноним 20/08/22 Суб 12:26:59 17858128 291
В чате одни шизанутые симпы пишут, но одного женского аккаунта.
Аноним 20/08/22 Суб 12:35:59 17858199 292
>>17858086
>я думал школьник какой-то
По уровню развития интеллекта - несомненно.
Аноним 20/08/22 Суб 12:38:30 17858219 293
16609407040951.jpg 261Кб, 1208x796
1208x796
image.png 50Кб, 206x244
206x244
>>17858128
Ну так одурели от запаха пизды Мартышки, фигурально выражаясь.
Будто в первый раз такое. Нейронактивейшн.
Аноним 20/08/22 Суб 12:41:04 17858237 294
image.png 144Кб, 499x532
499x532
На данном изображении вы видите счастливого отца двух дочерей для которого дети - счастье, ровесника Ваномаса, который в отличии от него добился многого в жизни.
Аноним 20/08/22 Суб 12:45:47 17858282 295
>>17858219
нахуя ей столкьо книг, она все равно их не читает?
Аноним 20/08/22 Суб 12:48:44 17858305 296
>>17858282
Говорит, что любимая книга война и мир. Нужно спросить у неё в чем там смысл
Аноним 20/08/22 Суб 12:49:48 17858318 297
>>17858282
Книжный шкаф это модный аксессуар в нынешнее время.
Да и книг там не особо много. Офк лично я предпочитаю цифру - бесплатная и места не занимает.
Аноним 20/08/22 Суб 12:56:25 17858381 298
Screenshot at 2[...].png 53Кб, 475x249
475x249
>>17858282
>>17858305
>>17858318
Она же репетитор по литературе. Вы чего, сомневаетесь в её литературных познаниях?
Аноним 20/08/22 Суб 12:57:56 17858396 299
Аноним 20/08/22 Суб 12:58:20 17858401 300
Аноним 20/08/22 Суб 13:01:27 17858419 301
>>17858401
Да там все наши пацаны. Ваномас, Влад Савельев, Сергей Симонов и еще кто-то. Все довольны услугами Карины.
Аноним 20/08/22 Суб 13:01:30 17858420 302
Я не понял, а где 11 тред?
Аноним 20/08/22 Суб 13:02:32 17858426 303
Screenshot at 2[...].png 46Кб, 397x567
397x567
Аноним 20/08/22 Суб 13:05:18 17858443 304
2022-08-20 1301[...].png 12Кб, 497x82
497x82
ВАНОМАС ОБВИНИЛ[...].jpeg 936Кб, 1920x1080
1920x1080
Аноним 20/08/22 Суб 13:05:26 17858445 305
>>17858237
какого отца мы видим? тут баба голая!
Аноним 20/08/22 Суб 13:08:01 17858463 306
16605451459650.mp4 14612Кб, 854x480, 00:01:30
854x480
горбатая, го тебя так же на сходке
Аноним 20/08/22 Суб 13:17:25 17858529 307
image.png 307Кб, 640x640
640x640
>>17858445
Баба это то как этот Отец-потец хочет зафоткать Карлинку.
Аноним 20/08/22 Суб 13:20:03 17858551 308
Аноним 20/08/22 Суб 13:52:43 17858740 309
>>17858237
Дети детьми, а блядовитую принцессу нижних интернетов отфоткать ню - это уже другое
Аноним 20/08/22 Суб 13:54:42 17858748 310
IMG5776.MP4 2098Кб, 704x1280, 00:00:06
704x1280
Аноним 20/08/22 Суб 13:59:30 17858790 311
Аноним 20/08/22 Суб 14:02:32 17858811 312
16605298962350.png 74Кб, 256x244
256x244
Аноним 20/08/22 Суб 14:12:17 17858871 313
>>17854768
в эту хуйню превращается чат в тг
Аноним 20/08/22 Суб 14:14:04 17858879 314
>>17858740
Но не когда ты 38 летний гречневый полупокер с айсикью как у трёхлетнего.
Аноним 20/08/22 Суб 14:23:14 17858925 315
Аноним 20/08/22 Суб 14:40:51 17859038 316
Аноним 20/08/22 Суб 14:54:26 17859137 317
photo2022-08-20[...].jpg 123Кб, 960x1280
960x1280
Аноним 20/08/22 Суб 14:59:40 17859173 318
1566880446090.jpg 233Кб, 1921x944
1921x944
В химках на задротов больше народа было, какое же позорище
Аноним 20/08/22 Суб 15:00:46 17859180 319
>>17858811
Ты даже не понимаешь, как нужно кидать эти картинки. Нужно цитировать сообщение, чтобы эта стрелочка показывала на цитату. Но это для тебя слишком.
Аноним 20/08/22 Суб 15:01:22 17859187 320
>>17859137
Как думаете, кто снимает данную натрашку? Я лично думаю что тиндерович.
Аноним 20/08/22 Суб 15:03:16 17859199 321
Аноним 20/08/22 Суб 15:04:07 17859203 322
>>17859187
разрешение мелкое, так-то в отражении глаз видно было бы
Аноним 20/08/22 Суб 15:04:29 17859210 323
16550530244290.png 760Кб, 618x498
618x498
>>17859187
Скорее всего её новый тиндерович.
Аноним 20/08/22 Суб 15:07:08 17859234 324
photo2022-08-14[...].jpg 10Кб, 300x484
300x484
16606275037640.gif 4171Кб, 320x240
320x240
photo2022-08-15[...].jpg 95Кб, 960x1280
960x1280
photo2022-08-14[...].jpg 26Кб, 748x581
748x581
Аноним 20/08/22 Суб 15:08:07 17859239 325
>>17859234
Шиз с дежурной подборкой картинок на месте.
Аноним 20/08/22 Суб 15:12:16 17859268 326
16609375689810.png 295Кб, 854x574
854x574
>>17859145
И все как на подбор за 30лвл, а то и за 35. Я тоже к этому возрасту так одурею и начну лизать пиздищу любой 20+лвл бабе попавшей ко мне в инфополе? Может Шпачиха рили суккуб как грит Эльза? Только бракованный который работает корраптит мозги только мужикам за 30лвл?
Аноним 20/08/22 Суб 15:13:10 17859275 327
photo2022-08-15[...].jpg 5Кб, 304x166
304x166
photo2022-08-15[...].jpg 24Кб, 582x444
582x444
photo2022-08-15[...].jpg 11Кб, 358x438
358x438
photo2022-08-15[...].jpg 17Кб, 534x478
534x478
Аноним 20/08/22 Суб 15:23:22 17859308 328
16567693905240.jpg 187Кб, 1284x2282
1284x2282
16586961880271.jpg 677Кб, 1080x1901
1080x1901
Скиньте фото Карины без косметики. Арими, которой под 30 лет, является 4/10 по меркам Карины. Интересно сравнить.
Аноним 20/08/22 Суб 15:23:49 17859311 329
photo2022-08-18[...].jpg 53Кб, 1016x609
1016x609
>>17859298
Т.е. взрослые самодостаточные мужчины это те которые симпуют по недоступной для них вагиньке в 1,5 раза младше них самих в комментах?
Аноним 20/08/22 Суб 15:33:24 17859376 330
.jpg 435Кб, 720x1280
720x1280
>>17859356
>мужчина поставил себе цель по кому-то симповать
Мужчина в принципе не может симповать, сынок. Это удел жалких девственников вроде Ванечки и Чмаблока Хуеака Говнотона, которые дефакто мужчинами не являются.
Базу учи.
Аноним 20/08/22 Суб 15:39:34 17859419 331
16607718902750.jpg 394Кб, 960x1179
960x1179
>>17859399
Настоящий мужчина это факбой, который пишет Каринке "приезжай посасёшь" в час ночи и она спешно оффает стрим потому что "появились дела" и мчит через весь город на всех порах к нему что бы взять его залупу себе за десну.

А симпы это не мужчины.

Базу учи, шкет.
Аноним 20/08/22 Суб 15:48:54 17859476 332
>>17859419
Вот бы он меня нежно в попу...
Аноним 20/08/22 Суб 15:50:53 17859494 333
IMG5794.MP4 1883Кб, 672x1280, 00:00:06
672x1280
Аноним 20/08/22 Суб 15:51:19 17859496 334
Дрочить
Аноним 20/08/22 Суб 15:56:03 17859537 335
>>17854542
Если что, она уже нашла себе чеда, при чём 190+ ростом, там под 2 метра. Вот и думай головой, карлик.
Аноним 20/08/22 Суб 16:30:01 17859780 336
442543321.mp4 1653Кб, 854x480, 00:00:33
854x480
Аноним 20/08/22 Суб 16:47:29 17859894 337
16608497913680.png 213Кб, 302x523
302x523
Аноним 20/08/22 Суб 16:50:23 17859913 338
MTC.mp4 5277Кб, 1280x720, 00:00:17
1280x720
Шпачиха.mp4 30610Кб, 1280x720, 00:02:23
1280x720
Аноним 20/08/22 Суб 17:13:08 17860102 339
>>17859913
В чем суть 2 шебм? Дебилизм какой-то.
Аноним 20/08/22 Суб 17:16:59 17860134 340
>>17860102
Тоже не пойму. Какое-то ШУЕ.
Аноним 20/08/22 Суб 17:23:31 17860166 341
16541705569840.png 427Кб, 762x670
762x670
Аноним 20/08/22 Суб 17:27:26 17860184 342
>>17860166
за порваную целку Кариночи ты должен отомстить Ибрагиму или Улумбеку. хз как ты его найдешь - это было лет 7-8 назад. Приметы: мощная челюга
Аноним 20/08/22 Суб 17:28:21 17860193 343
Аноним 20/08/22 Суб 17:30:36 17860211 344
Карина рассказывала, что первый секс был в 15. "Русский осетин"
Аноним 20/08/22 Суб 17:32:27 17860220 345
>>17860184
Карина же вроде говорила что девственница и хранит вагинальную девственность.

Или эти ребята дырки перепутали?
Вот из-за такого люди и становятся ксенофобами и не любят приезжих.
Аноним 20/08/22 Суб 17:32:42 17860225 346
>>17860184
Карина же вроде говорила что девственница и хранит вагинальную девственность.

Или эти ребята дырки перепутали?
Вот из-за такого люди и становятся ксенофобами и не любят приезжих.
Аноним 20/08/22 Суб 17:39:03 17860255 347
>>17860220
может говорила, но ты явно не уловил сарказм, значит или же это твои симп-фантазии
Аноним 20/08/22 Суб 17:41:16 17860270 348
>>17860220
>из-за такого люди и становятся ксенофобами и не любят приезжих.
русачки не могут конкурировать с чурками - и начинают злиться
Аноним 20/08/22 Суб 17:41:19 17860271 349
>>17860211
Реально? Её чурка распечатал? Фуууу бляяяя......
Аноним 20/08/22 Суб 17:41:48 17860276 350
Аноним 20/08/22 Суб 17:44:32 17860296 351
>>17860276
Никто не знает. Если где-то увидишь цифры - то это просто догадки. Около 30, плюс минус 2 года примерно. Лично мне кажется, что 29 примерно.
Аноним 20/08/22 Суб 17:44:36 17860298 352
>>17860271
я осетин, я русский. а ты укрнаци или грызун, который плачет из-за южной осетии
Аноним 20/08/22 Суб 17:44:37 17860299 353
>>17859894
ни сисик ни жопы ни ног
Аноним 20/08/22 Суб 17:44:52 17860303 354
>>17860255

Ты прав, брат

Я думал Карина даёт парням только в попу и рот, а сама ждёт настоящую любовь.
После того как узнал это, перестаю ей донатить :(
Аноним 20/08/22 Суб 17:44:53 17860304 355
>>17860255
Какая хуй разница она постоянно какую нибудь чушь несёт!
Аноним 20/08/22 Суб 17:45:34 17860312 356
>>17860166
гомосек какой-то. больше поверю, что ему дырку порвали
Аноним 20/08/22 Суб 17:46:10 17860319 357
Фу ещё и мерзкая чернильница.
Аноним 20/08/22 Суб 17:48:23 17860335 358
Если Осетин - правосоавный или язычник (у них там своя религия) - он русский, не чурка
Если Осетин - мусвльман или прогрузинский - тогда он чурка

Патриотка Карина не дала бы черку осетину
Аноним 20/08/22 Суб 17:51:16 17860365 359
>>17860303
Зато она не никогда не делалал горловой минет и писсинг. Это она готовит для мужа
Аноним 20/08/22 Суб 17:53:47 17860384 360
>>17860319
пруфы будут что она чернильница ?
Аноним 20/08/22 Суб 17:56:12 17860400 361
>>17860384
10й перекат треда пашол, а ты всё пруфы ни как не увидишь. Купи очки!
Аноним 20/08/22 Суб 17:56:57 17860406 362
>>17860400
я тут новенький поэтому и спросил.
Аноним 20/08/22 Суб 17:58:42 17860419 363
>>17860384
стрим на гудгейме, когда она ссотрела "мизери" - на нем рассказала.

вроде эти стримы кто-то сохраняет, если нужны 100% пруфы
Аноним 20/08/22 Суб 17:59:00 17860421 364
image.png 442Кб, 1153x631
1153x631
>>17859137
В отражении глаза какой-то парень: или какой-нибудь куколд-Захар, которого она разводит на тарелки хавчика или тиндерович, который её ебёт.
Аноним 20/08/22 Суб 17:59:55 17860427 365
496.jpg 68Кб, 860x603
860x603
>>17860384
Может ли калоша считаться чернильницей если она азиатка?
Аноним 20/08/22 Суб 18:04:01 17860454 366
>>17860427
Она полностью азиатка или наполовину?
Аноним 20/08/22 Суб 18:07:04 17860483 367
>>17859268
> Может Шпачиха рили суккуб
Все погранично-истероидные страшнотянки за жизнь обучаются навыку обольщения определённой категории кунов, на которых это работает. Поэтому у стримерш, которые в своей массе и являются такими истероидными страшнотянками, всегда люто помешанные на них маниакальные симпы. Это именно та категория мужичков, на которых работают их чары.
Нормальные, психически здоровые куны, естественно, сразу видят фальшь и манипуляции, и их это отвращает.
Аноним 20/08/22 Суб 18:07:55 17860494 368
>>17860220
> ксенофобами
Ксеноморфами
Аноним 20/08/22 Суб 18:10:46 17860516 369
>>17860454
На две трети азиатка, остальное что-то уральское, я вообще хуй знает с кем ебаться надо в роду чтобы такой мутант родился
Аноним 20/08/22 Суб 18:12:48 17860533 370
>>17858748
Чёт я сомневаюсь что у неё 1500 сообщений
Аноним 20/08/22 Суб 18:16:07 17860563 371
B22A37F7-24EB-4[...].jpeg 190Кб, 1000x920
1000x920
>>17860184
Это че получается, бомж 5 лет бегает за порванкой, которую какой-то таджик продырявил?? Ну это финиш, можно вешаться
Аноним 20/08/22 Суб 18:17:37 17860576 372
Аноним 20/08/22 Суб 18:22:10 17860624 373
>>17859780
Жаль, что Бобиндера не посмотрели на стриме и других. Донатер заруинил
Аноним 20/08/22 Суб 18:23:08 17860632 374
>>17860335
>Если Осетин - правосоавный или язычник (у них там своя религия) - он русский, не чурка
Хачик он, а не русский.
Аноним 20/08/22 Суб 18:27:20 17860670 375
отъебись.webm 602Кб, 656x336, 00:00:13
656x336
ОТЪЕБИСЬ ОТ МЕНЯ
Аноним 20/08/22 Суб 18:31:53 17860699 376
Вот бы Карина всему чата дала за активность
Аноним 20/08/22 Суб 18:35:15 17860724 377
Шпачиха хуль ты дваче сидишь? М? Запуска стрим! Давай развлекай нас!
Аноним 20/08/22 Суб 18:35:19 17860725 378
>>17860298
Ты мастурбек,русских мастурбеков не бывает
Аноним 20/08/22 Суб 18:36:49 17860735 379
1256056.mp4 1602Кб, 416x720, 00:00:15
416x720
Аноним 20/08/22 Суб 18:38:28 17860754 380
>>17860735
Блять, что за скример сука, я обосрался на хуй,!!@@
Аноним 20/08/22 Суб 18:39:57 17860772 381
>>17860725
Каждый маструбек лучшего русского
Аноним 20/08/22 Суб 18:41:20 17860790 382
>>17860735
Тик токерша хуль там говорить
Аноним 20/08/22 Суб 18:54:43 17860919 383
Аноним 20/08/22 Суб 18:59:31 17860975 384
Анонсы это правда что хиккан предлагал гобзу совместный стрим с каришкой??
Аноним 20/08/22 Суб 19:02:36 17861003 385
xcvdfg.mp4 1646Кб, 384x384, 00:00:12
384x384
Чуханка даже свои говнодавы в квартире не стягивает
вот это уровень
Аноним 20/08/22 Суб 19:02:52 17861009 386
Аноним 20/08/22 Суб 19:05:03 17861039 387
Почему никто не расфорсил то, что она обсасывает чайные пакетики после заварки. Она чё, ебанутая? Нахуй она это делает? Первый раз такое вижу. Кринжатина полная.
Аноним 20/08/22 Суб 19:07:08 17861055 388
Аноним 20/08/22 Суб 19:07:30 17861063 389
>>17861039
Я тоже так делаю. Вкусно.
Аноним 20/08/22 Суб 19:09:13 17861084 390
Бляя ну хиккан ну пиарщик не по годам, гобз его послал несомненно, под кого он ещё её подложит ммм...
Аноним 20/08/22 Суб 19:09:25 17861087 391
Аноним 20/08/22 Суб 19:17:11 17861155 392
>>17861084
В том-то и дело, что под Конана хочет. Несмотря на то, что у Конана психические особенности есть, он всё равно над ним хочет поиздеваться ради контента. Хиккан - это полная мразь. Самый гнилой человек нижнего интернета.
Аноним 20/08/22 Суб 19:19:04 17861174 393
>>17861155
=ДА ДА НЕ УДИВЛЯЙТЕСЬ=
Аноним 20/08/22 Суб 19:20:32 17861197 394
photo2022-08-15[...].jpg 38Кб, 600x541
600x541
Аноним 20/08/22 Суб 19:22:26 17861220 395
Одни из самых гнилых людей которые в лицо улыбаеются а за спиной плетут интриги, так было с гобзом и перцовкой, и самое паскудное что хиккан до сих пор уверяет "все было случайно и я ни при чем" я уверен и с каришей тоже будет что-то подобное
Аноним 20/08/22 Суб 19:25:26 17861246 396
Аноним 20/08/22 Суб 19:28:15 17861277 397
>>17861220
Да, с перцовкой пиздец был. Там ещё Шариат в самом начале перцовку доставал, Хиккан ему такой типа "убери, убери, потом". Полная мразь.
Аноним 20/08/22 Суб 19:32:26 17861311 398
>>17861220
>>17861277
Посоны, вы о чем?
нюфаг в ваших фаговских делах
Аноним 20/08/22 Суб 19:46:29 17861415 399
>>17861003
Карина, ты 23-летняя кобыла, подростковые потуги в эротизм для тебя уже не работают.
Аноним 20/08/22 Суб 19:48:12 17861424 400
Аноним 20/08/22 Суб 19:51:51 17861446 401
>>17861311
Вжлинк с хрюканом и еще одним подсосом приехали к гобзавру в его мухосрань, изображали из себя приятелей и братались, те их приняли гостеприимно, людмурик приготовила каких-то салатиков и другого хавчика к стриму, подрубили стрим, на котором подсос вжлинка залил гобзавра перцовкой просто так ради лулзов. Делал он это, естественно, не спонтанно, они втроём заранее договорились. Гобзавр, судя по его реакции, предупреждён не был.
https://www.youtube.com/watch?v=WU2eDHROceM
Аноним 20/08/22 Суб 19:53:52 17861466 402
Аноним 20/08/22 Суб 19:53:57 17861469 403
>>17861424
На яблоко ньюфага если только.
Аноним 20/08/22 Суб 19:55:05 17861481 404
>>17861415
Да это не эротизм, дуркует от безделья
Аноним 20/08/22 Суб 19:56:49 17861500 405
>>17861481
Ну кокетством это назови, если слово эротизм не нравится. Суть-то одна - лежит глазки строит, заманивает инцелов.
Аноним 20/08/22 Суб 19:59:03 17861520 406
Screenshot 2022[...].png 609Кб, 852x634
852x634
КАРИНА ВОТ ЗАЧЕМ ТЫ ТАК С ВАТЬКОМ
Аноним 20/08/22 Суб 20:00:17 17861535 407
>>17861446
На 1:51:10 вазелинк подаёт сигнал хрюкану уходить, и лысый хуй заливает перцем.
Аноним 20/08/22 Суб 20:01:49 17861560 408
Алсо, донат с формальным поводом доебаться тоже был послан вжлинком
Аноним 20/08/22 Суб 20:03:56 17861589 409
>>17861446
Почему шариата никто до сих пор не опиздюлил? Он же беспределит жёстко с перцовкой, не первый раз такое.
Аноним 20/08/22 Суб 20:05:28 17861605 410
>>17861589
Он пропал с радаров аккурат перед тем, как менты узнали, что есть долбоёбы, которые за деньги заливают людей перцовкой, и за это начали привлекать к ответственности.
Аноним 20/08/22 Суб 20:14:08 17861712 411
Screenshot 2022[...].png 1067Кб, 886x1258
886x1258
СИМОНОВ КРОХОТНЫЙ СОВСЕМ
Аноним 20/08/22 Суб 20:21:14 17861782 412
>>17861446
А минетчице в калошах все это нормально и весело, ведь хрюкан для неё билет в мир донатов и симпов, уже наверное раз пять у хряка за жирные щеки взяла за продвижение
Аноним 20/08/22 Суб 20:21:56 17861792 413
>>17861003
Так все американцы делают!
Аноним 20/08/22 Суб 20:22:42 17861799 414
Аноним 20/08/22 Суб 20:22:44 17861800 415
Слово Конана.mp4 453Кб, 192x144, 00:00:15
192x144
Аноним 20/08/22 Суб 20:23:12 17861803 416
Фантазёрка.png 306Кб, 524x795
524x795
Чё эта мартышка пять придумала бля?
Аноним 20/08/22 Суб 20:24:54 17861821 417
>>17861803
4276 1000 1452 1212
Кидаем Каринке переводы с комментарием по рублю.
Ура.
Аноним 20/08/22 Суб 20:26:11 17861829 418
>>17861803
Нормально бобриха доит биододиков.
Аноним 20/08/22 Суб 20:27:58 17861842 419
>>17861821
Ооооо.... Переведите ей из за рубежа бабки пусть ей иноогента въебут!
Аноним 20/08/22 Суб 20:29:13 17861854 420
>>17861803
Чуваки всё правильно. Переводим бабки из за рубежа... и пиздец журналист иноогент ёпта.
Аноним 20/08/22 Суб 20:30:00 17861861 421
>>17861842
>>17861854
Это не так работает, дурак. Это работает только с тем, с кем надо.
Аноним 20/08/22 Суб 20:32:27 17861885 422
А чё в натуре заспамить рублёвыми переводами что был превышен лемит транзакций. И пиздец хуй она себе купить шоколадки по 500р.
Аноним 20/08/22 Суб 20:32:55 17861891 423
photo2022-08-20[...].jpg 103Кб, 852x1280
852x1280
Аноним 20/08/22 Суб 20:33:08 17861893 424
>>17861861
Так уже и есть та кто надо долбаёб))))
Аноним 20/08/22 Суб 20:35:22 17861912 425
Аноним 20/08/22 Суб 20:37:37 17861939 426
>>17861912
А в всё коммерческая деятельность пусть налоги платит, а то совсем ахуела бля!
Аноним 20/08/22 Суб 20:37:41 17861940 427
>>17861854
>>17861861
Я думаю если ей из Украины денег перевести она там в петлю полезет сразу
Аноним 20/08/22 Суб 20:41:28 17861980 428
>>17861940
По её логике мышления мозга высшего образования будет виноват банк, а не то что она слила номер своей карты)))))
Аноним 20/08/22 Суб 20:41:35 17861981 429
>>17861800
КОЛЯ ТЕБЯ НЕ ЛЮБИТ!!!!!!!!!!!!!!!!!!!!
Аноним 20/08/22 Суб 20:43:32 17862006 430
>>17861981
Да потому что она как пельмень ведёт себя!
Аноним 20/08/22 Суб 20:46:15 17862035 431
>>17861980
Готов задонатить шпачихе, но если перед этим мне на приват перекинут деньги и данная шпачиха даст данные неподсанкционного банка. Наебывать смысла нет, а то потом еще приедет полиция за мной.
Аноним 20/08/22 Суб 20:47:30 17862045 432
Целовал бы её мешки под глазами. Кто сейм?
Аноним 20/08/22 Суб 20:48:13 17862051 433
Аноним 20/08/22 Суб 20:49:08 17862058 434
Аноним 20/08/22 Суб 20:53:02 17862089 435
>>17862035
Да тут умельцев дахуя. Если она будет кучеряво пиздить найдут грамотный вариант как всё провернуть. Первый раз что ли мы это наблюдаем!
Аноним 20/08/22 Суб 20:54:08 17862100 436
Срет кружочками по кд в чате
Аноним 20/08/22 Суб 20:54:22 17862104 437
внрк.jpg 406Кб, 1280x1280
1280x1280
Шпакля не закон!
Аноним 20/08/22 Суб 20:57:33 17862135 438
Шпачиха.png 748Кб, 805x739
805x739
Конъюнктивит что ли развивается?
Аноним 20/08/22 Суб 20:58:09 17862142 439
Аноним 20/08/22 Суб 20:59:59 17862159 440
>>17862100
Так сюда выкладывай. Скачать можно?
Аноним 20/08/22 Суб 21:01:38 17862180 441
kar.jpg 33Кб, 320x320
320x320
Аноним 20/08/22 Суб 21:02:10 17862186 442
>>17862100
Чё она там всё сиськи мнёт? Пусть запускает свой патифон мы паржом!
Аноним 20/08/22 Суб 21:02:36 17862193 443
>>17861446
Да он терпила какой-то. Когда тот еблан начал повторять, мол "оскорбил, оскорбил и пр" я бы точно сказал, мол тормози, мол доебаться решил и пр. Ну и полей меня, я бы ебало разворотил, да и все.
Аноним 20/08/22 Суб 21:02:48 17862194 444
Аноним 20/08/22 Суб 21:07:28 17862235 445
Аноним 20/08/22 Суб 21:08:55 17862257 446
БОГИНЯ ЗАВЕЛА ПОТОК
Аноним 20/08/22 Суб 21:09:43 17862266 447
Аноним 20/08/22 Суб 21:19:12 17862347 448
Придумала оправдания для выебона Хиккана на зумера. Классика.
Аноним 20/08/22 Суб 21:22:54 17862369 449
Правильно, бобриха, игнорируй красные флаги хиккана, оправдывай его скотское поведение, и пожнёшь то, что сеешь.
20/08/22 Суб 21:28:57 17862409 450
> ТАРЕЛОЧНИЦА
Ох уж этот демедж контроль с ебалом Гарольда. стоп донат пиявке
Аноним 20/08/22 Суб 21:34:22 17862441 451
Да уже надоела
Аноним 20/08/22 Суб 21:34:40 17862445 452
Надоедливая бабенка
Аноним 20/08/22 Суб 21:36:46 17862470 453
>>17862135
Это называется кровеносные сосуды, долбаёб
Аноним 20/08/22 Суб 21:41:19 17862513 454
image.png 1788Кб, 959x1280
959x1280
Аноним 20/08/22 Суб 21:46:36 17862556 455
image.png 136Кб, 387x412
387x412
Зубы все сгнили уже
Аноним 20/08/22 Суб 21:46:54 17862560 456
IMG202208200815[...].jpg 130Кб, 1102x906
1102x906
ТУТ КАРИНА
Аноним 20/08/22 Суб 21:47:24 17862564 457
image.png 44Кб, 163x174
163x174
Аноним 20/08/22 Суб 21:47:34 17862566 458
Дай полизать пизду
Аноним 20/08/22 Суб 21:48:56 17862572 459
ШПАК НАСРАНО ШПАК НАСРАНО ШПАК НАСРАНО
Аноним 20/08/22 Суб 21:49:06 17862573 460
Нихуя ты не объяснила, хули зубы то черные?
Аноним 20/08/22 Суб 21:49:35 17862576 461
>>17862513
Слева та самая возлюбленная Люба или как ее там?
Аноним 20/08/22 Суб 21:49:47 17862579 462
Аноним 20/08/22 Суб 21:51:45 17862590 463
g523r3fccxs.jpg 434Кб, 1435x1238
1435x1238
Аноним 20/08/22 Суб 21:54:44 17862607 464
в.jpg 90Кб, 840x426
840x426
>>17860421
Попробовал через нейросетку увеличить разрешение. Теперь лицо стало почти различимое. Узнаёт кто-нибудь?
Аноним 20/08/22 Суб 21:57:10 17862627 465
Аноним 20/08/22 Суб 21:57:56 17862633 466
Аноним 20/08/22 Суб 21:59:16 17862639 467
1256056.mp4 1602Кб, 416x720, 00:00:15
416x720
Шпачиха,зацени!
Аноним 20/08/22 Суб 22:00:02 17862645 468
16608399694941.jpg 613Кб, 1920x1080
1920x1080
ЗУБЫ СВОИ ГНИЛЫЕ ПОКАЗЫВАЙ!
Аноним 20/08/22 Суб 22:00:15 17862646 469
изображение.png 76Кб, 264x191
264x191
Аноним 20/08/22 Суб 22:01:01 17862657 470
СВОЙ СНАЧАЛА ПОКАЖИ РОТ
Аноним 20/08/22 Суб 22:02:16 17862668 471
16609227207640.mp4 516Кб, 400x272, 00:00:01
400x272
ахахахаха как же она доджит показ своих гнилых зубов, о боже!
Аноним 20/08/22 Суб 22:06:25 17862710 472
16606487536620.jpg 45Кб, 299x484
299x484
16604715499880.png 187Кб, 638x462
638x462
16604800999130.png 135Кб, 673x262
673x262
blin2.gif 2607Кб, 300x466
300x466
Аноним 20/08/22 Суб 22:06:30 17862712 473
image.png 401Кб, 554x565
554x565
Циркумфлекс победил, обратный флеш оказался сильней!
4 ГОДА ВШЭ
Аноним 20/08/22 Суб 22:07:17 17862720 474
Screenshot at 2[...].png 143Кб, 506x343
506x343
Как дела?
Аноним 20/08/22 Суб 22:07:43 17862725 475
45665566.mp4 287Кб, 854x480, 00:00:05
854x480
442543321.mp4 1653Кб, 854x480, 00:00:33
854x480
Аноним 20/08/22 Суб 22:08:57 17862735 476
Screenshot at 2[...].png 283Кб, 654x540
654x540
Аноним 20/08/22 Суб 22:09:28 17862739 477
16605088531690.png 139Кб, 384x384
384x384
16606425275440.png 300Кб, 743x484
743x484
photo2022-08-15[...].jpg 76Кб, 1208x796
1208x796
photo2022-08-15[...].jpg 67Кб, 1280x720
1280x720
Аноним 20/08/22 Суб 22:09:47 17862743 478
image.png 162Кб, 324x434
324x434
Аноним 20/08/22 Суб 22:10:18 17862755 479
image.png 398Кб, 664x596
664x596
МИКРОСОН
Аноним 20/08/22 Суб 22:10:55 17862758 480
16604190084870.mp4 1027Кб, 1280x716, 00:00:03
1280x716
<333
Аноним 20/08/22 Суб 22:11:55 17862767 481
>>17862758
Ну зачем ты так, сейчас симпов инфаркт хватит.
Аноним 20/08/22 Суб 22:12:24 17862772 482
Держим соточку пока
Аноним 20/08/22 Суб 22:18:18 17862841 483
Каришка, ты проебала батька, гобз тебе тоже не светит, ты никогда не сравнишься с катериночкой и не будешь няшиться с гобзом голышом на полянке так что ты со своим продюсером булочником получше подумай к кому присосаться в прямом и переносном смысле, в любом случае добра и позитива.
20/08/22 Суб 22:18:33 17862843 484
ОП ХУЙ
Аноним 20/08/22 Суб 22:29:04 17862918 485
Ахахаха, морально поддерживать во время блевотины. Она ебанутая нахуй? Так кто-то делает?
Аноним 20/08/22 Суб 22:30:53 17862931 486
>>17862918
Я тоже охуел. Оказывается есть процедура помощи при блювоте твоей девушке/парню.
"Надо хотя бы руку на спину положить, морально поддержать".
Аноним 20/08/22 Суб 22:32:40 17862949 487
>>17862918
>Она ебанутая нахуй
Да
Аноним 20/08/22 Суб 22:33:13 17862954 488
16595635407580.png 1612Кб, 1680x1050
1680x1050
>>17862931
>>17862918
Ну так она наркоманка и тусит с такими же нарками, а если ты употребляешь то вполне можешь захлебнуться во сне своей блювотиной. У нарков есть целый ритуал следить и помогать друг другу во время передоза например, тогда высок риск что ты можешь блевануть во сне и захлебнуться если лежишь на спине.
Аноним 20/08/22 Суб 22:33:41 17862961 489
Смотрим обзор говна собаки на стриме.
Норм контент.
Аноним 20/08/22 Суб 22:33:51 17862964 490
14158395424580.jpg 431Кб, 1308x2448
1308x2448
На что вы там фапаете?
Сисек 0
Ноги как у наркоши
Горбатая
Талии почти 0
Бедер почти 0


Вы ваще ебнутые или че?
Аноним 20/08/22 Суб 22:34:18 17862965 491
>>17862961
Это контент который заслужили её симпы.
Аноним 20/08/22 Суб 22:35:09 17862972 492
Аноним 20/08/22 Суб 22:38:02 17862999 493
ЗУБЫ ПОКАЗЫВАЙ ШПАЧИХА!
Аноним 20/08/22 Суб 22:38:52 17863003 494
>>17862964
За глаза над этой деревней косоглазой ржут, чисто кормят на убой чтобы не слилась раньше времени, ну кроме пары поехавших скуфов вроде яблоко ньютона
Аноним 20/08/22 Суб 22:38:59 17863004 495
Untitled.png 926Кб, 861x620
861x620
УЛЫБОЧКУ ШПАЧИХА, ПОКАЗЫВАЙ ЗУБЫ ЖЕВАТЕЛЬНЫЕ СГНИВШИЕ, ЧЁ БОИШЬСЯ?
Аноним 20/08/22 Суб 22:39:14 17863007 496
Хиккан трахнет Карину или нет?
Карина этого очень хочет, а вот хиккан нет.
Он вообще женщин презирает, как я понял
Аноним 20/08/22 Суб 22:39:35 17863010 497
20/08/22 Суб 22:40:30 17863016 498
>>17862918
Помню знакомая тянка тоже блевала, когда написалась. Прям на улице. Держал ей волосы. А потом сосались в такси. Ням-ням
Аноним 20/08/22 Суб 22:41:09 17863020 499
16531714717620.png 666Кб, 886x693
886x693
16576615461230.png 309Кб, 412x661
412x661
16538599187650.png 414Кб, 1280x720
1280x720
Карина, я факбой?
Аноним 20/08/22 Суб 22:41:54 17863026 500
КАРИНА ПРОДАЕТС[...].mp4 10513Кб, 854x480, 00:00:59
854x480
3КАРИНА ШПАК ТЕ[...].mp4 3067Кб, 854x480, 00:00:18
854x480
1КАРИНА ШПАК ТЕ[...].mp4 5016Кб, 854x480, 00:00:31
854x480
2КАРИНА ШПАК ТЕ[...].mp4 2928Кб, 854x480, 00:00:18
854x480
>>17863004
КАРИНА ПРОДАЕТСЯ НО ЖЕЛАЮЩИХ НЕТ!
Аноним 20/08/22 Суб 22:42:06 17863028 501
Аноним 20/08/22 Суб 22:51:50 17863133 502
>>17854179
Чё за бывшая Логвинова? Чем знаменита?
Аноним 20/08/22 Суб 22:57:43 17863179 503
>>17862180
Вот посудите сами. Если б у вас была такая красивая дочь, разве вы бы её не выебли? Да любой бы выеб. Батя Карины просто человек, его легко понять.
Настройки X
Стикеры X
Избранное / Топ тредов