Секс и отношения


Ответить в тред Ответить в тред

Check this out!
<<
Назад | Вниз | Каталог | Обновить тред | Автообновление
537 27 124

НОФАП-тред №293. Тред как тред /nofap/ Аноним 31/07/19 Срд 13:40:46 56850931
when-he-says-he[...].png (129Кб, 500x598)
500x598
maxresdefault.jpg (153Кб, 1280x720)
1280x720
nofap-drug.jpg (134Кб, 350x495)
350x495
comix-90-days-n[...].jpg (145Кб, 600x1200)
600x1200
Главная задумка этого треда — интерактивный дневник твоего нофапа с последующими обсуждениями твоих побед и неудач. Здесь ты также сможешь рассказать про себя, послушать других, выговориться и просто побеседовать на любые темы. Мы готовы выслушать тебя и отвечать на твои вопросы. Вливайся.

Участники треда обязуются соблюдать ТРИ правила, нарушение любого считается срывом.

1. Не дрочить¹;

2. Не смотреть порно²;

3. Не фантазировать³.

Не допускается вольная трактовка этих правил.

¹ под дрочкой понимаются любые формы самоудовлетворения, включая дрочку с мастурбаторами, анальную мастурбацию, дрочку без эякуляции в любом виде, т.е. «сухой» онанизм, аутофелляция (самоотсос), но не ограничиваясь ими. Фап рукой тян технически срывом не считается, если это деталь ваших сексуальных отношений.

² под порно подразумевается любой эротический и порнографический контент: игровой, анимационный, литературный; видео-, фото- и аудиопорнография, найденный и используемый с намерением получить суррогатные зрительные эротические впечатления.

³ включаются воспоминания и воспроизведение в памяти просмотренного порно, долгие фантазии о ЕОТ, тульпы, нагнетание возбуждения и получение удовольствия посредством аутично-эротических фантазий.

Решил участвовать? Заходи на http://dofamin.org и добавляйся в таблицу.

Жмёшь ПРИСОЕДИНИТЬСЯ, далее — логин (можно кириллицу и даже пробелы, нельзя, чтобы пробелы были первыми и последними символами), e-mail, пароль и капчу, жмёшь кнопку. По почте приходит письмо, для подтверждения переходишь по ссылке. Когда нужно, нажимаешь ВОЙТИ, вводишь логин или e-mail и пароль, также жмёшь кнопку. Раз в несколько дней жми НА КОНЕ, чтобы не пропадать из таблицы (запись активна пять суток с момента последнего нажатия любой кнопки в профиле). Сорвал — жми СОРВАЛСЯ.

СЕКС И ПОЛЛЮЦИИ НЕ СЧИТАЮТСЯ СРЫВОМ! ЕСЛИ ЗАХОТЕЛОСЬ ПОДРОЧИТЬ — ВСПОМНИ, НАСКОЛЬКО ПАРШИВО ТЫ СЕБЯ ЧУВСТВОВАЛ ПОСЛЕ ПРОШЛЫХ СРЫВОВ.

Ссылки:

ПОЖАЛУЙСТА, ЧИТАЙТЕ ЭТУ ШАПКУ ПРЕЖДЕ ЧЕМ ЗАДАВАТЬ ВОПРОСЫ В ТРЕДЕ

Вся информация о нофапе — https://github.com/NoFap-anon/NoFap_russian-manual/wiki

Упражнение для сублимации похоти — www.e-reading.club/chapter.php/139175/15/Kelder_-_Oko_vozrozhdeniya.html

BSFF для избавления от порнозависимости — Виктор Васильев "Белая книга"

ПРОЧИТАЙТЕ ЭТИ СТРАНИЦЫ ИЗ ШАПКИ

1 страница - https://github.com/NoFap-anon/NoFap_russian-manual/wiki/Шапка-Полторахи-(1-страница)

2 страница - https://github.com/NoFap-anon/NoFap_russian-manual/wiki/Шапка-Полторахи-(2-страница)

3 страница - https://github.com/NoFap-anon/NoFap_russian-manual/wiki/Шапка-Полторахи-(3-страница)

4 страница - https://github.com/NoFap-anon/NoFap_russian-manual/wiki/Шапка-Полторахи-(4-страница)
Аноним 31/07/19 Срд 13:43:18 56851082
Аноним 31/07/19 Срд 13:54:03 56851423
Здесь запрещает[...].jpg (21Кб, 318x375)
318x375
ОП - хороший человек.
Аноним 31/07/19 Срд 14:06:50 56851974
Из-за вашего нофапа я стал кабанчиком подскакивать, вопросики решать, на созвоне там, циферки скидывать...
Аноним 31/07/19 Срд 14:07:48 56852015
>>5685197 Суммы трёхзначные уже мутишь?
Аноним 31/07/19 Срд 14:10:54 56852226
>>5685201
Уже пятизначные-шестизначные вопросики решаются, деньги крутятся-работают, ребята открыли нужные каналы
Аноним 31/07/19 Срд 14:14:10 56852447
Ну, вообщем я не дрочил 13 дней, а потом отъебал себя резиновым членом, одев чулочки, и обкончался так, что потом ещё на пару часов уснул.
Аноним 31/07/19 Срд 14:16:33 56852558
>>5685222 Ни пуха, братан! В субботу подскакивай, я баньку растоплю, шмар вызвоним, потележим за жизнь нашу босяцкую! Обнял.
Последствия ежедневного нофапа и отказа от порно (лично дока Аноним 31/07/19 Срд 14:17:29 56852599
1) Тревожность, неуверенность, страх в обществе
2) Голос становится как у 10 летнего пацана (писклявым, противным, детским)
3) Упадок настроения ввиду патологической нехватки дофамина. Уныние и безнадежность вкупе с мыслями о смерти 24/7
4) Потеря всех интересов, а также отсутствие эмоционального отклика на прежние интересы (ангедония). Ничего не радует, не удовлетворяет.
5) Сглаживание эмоциональной амплитуды. Эмоции и чувства притупляются, становятся плоскими за счёт выжигания дофаминовых рецепторов. Становишься зомби.
6) Апатия, хроническая лень, отсутствие мотивации, прокрастинация
6.1 Разбитость, сонливость (даже если спал 10 часов), быстрая утомляемость.
7) Невозможно кончить с тян, ибо мозг привык к порнухе (но с эрекцией не было проблем, к счастью)
8) Тупняк, туман в мозгу, невозможно обучаться и изучать новое
9) Прыщи, угри, жирная кожа.
10) Перестают возбуждать обычнотян.
11) Обжорство, особенно тяга к быстрым углеводам и жирной пище, дабы восполнить дефицит дофамина.
12) Фетиши, за которые стыдно
13) Сутулость (?), тут не знаю, связано ли.
Дополняйте.
Аноним 31/07/19 Срд 14:18:15 568526410
>>5685255
>шмар вызвоним
Не, братуха, шмары всю сперму высосут и я опять чмоней стану.
Аноним 31/07/19 Срд 14:21:00 568527411
>>5685259
14) Низкий рост (ниже 180).
15) Небольшой пенис (меньше 18).
16) Короткая и узкая челюсть.
Аноним 31/07/19 Срд 14:22:35 568528312
>>5685264 Не грусти, я своей поделюсь ))))))00 А ваще если и правда крутиться начал, то рад за тебя. Сейчас раздолье для активных мужиков, тому що кругом поголовно тюфяки безвольные.
Аноним 31/07/19 Срд 14:27:04 568530313
>>5685283
У меня как в том фильме про NZT - Не могу остановиться, иначе взорвусь.
Аноним 31/07/19 Срд 14:27:57 568530914
Котаны, вот думаю вкатиться в эту тему. Тут можно писать тем, у кого уже есть тян? Ебусь, но на прон дрочу ежедневно, зависимость есть.
Аноним 31/07/19 Срд 14:29:00 568531415
>>5685309
Вкатывайся. Тем более у тебя есть в кого сливать.
Аноним 31/07/19 Срд 14:29:42 568531716
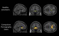
>>5685093 (OP)
>пик1
Может ещё Меган Фокс приедет из Америки, потому что двощир не дрочил пару дней?
Аноним 31/07/19 Срд 14:29:43 568531817
Конь!.jpg (56Кб, 600x337)
600x337
Аноним 31/07/19 Срд 14:30:22 568532318
>>5685314
Просто боюсь, что если перестану дрочить, то сливать буду за секунды в тян. У нас не каждый день секс, если больше двух дней держусь, потом оочень быстро кончаю.
Аноним 31/07/19 Срд 14:30:34 568532519
>>5685317 Накидать тебе отзывов от живых баб? Они реально отличают дрочера от нофап-господина.
Аноним 31/07/19 Срд 14:32:03 568533520
>>5685323
Первый раз сходишь, второй раз нормально будет. Тян объясни, что решил завязать с дрочкой и порно ради неё.
Аноним 31/07/19 Срд 14:32:39 568533821
Последствия ежедневного нофапа и отказа от порно (лично доказана учеными)

1) Тревожность, неуверенность, страх в обществе
2) Голос становится как у 10 летнего пацана (писклявым, противным, детским)
3) Упадок настроения ввиду патологической нехватки дофамина. Уныние и безнадежность вкупе с мыслями о смерти 24/7
4) Потеря всех интересов, а также отсутствие эмоционального отклика на прежние интересы (ангедония). Ничего не радует, не удовлетворяет.
5) Сглаживание эмоциональной амплитуды. Эмоции и чувства притупляются, становятся плоскими за счёт выжигания дофаминовых рецепторов. Становишься зомби.
6) Апатия, хроническая лень, отсутствие мотивации, прокрастинация
6.1 Разбитость, сонливость (даже если спал 10 часов), быстрая утомляемость.
7) Невозможно кончить с тян, ибо мозг привык к порнухе (но с эрекцией не было проблем, к счастью)
8) Тупняк, туман в мозгу, невозможно обучаться и изучать новое
9) Прыщи, угри, жирная кожа.
10) Перестают возбуждать обычнотян.
11) Обжорство, особенно тяга к быстрым углеводам и жирной пище, дабы восполнить дефицит дофамина.
12) Фетиши, за которые стыдно
13) Сутулость (?), тут не знаю, связано ли.
Дополняйте.
Аноним 31/07/19 Срд 14:33:49 568534222
Аноним 31/07/19 Срд 14:35:24 568535223
cj45Iyc.png (592Кб, 1520x1604)
1520x1604
hEHrR8b.png (524Кб, 1470x1486)
1470x1486
lPVL4Nt.png (515Кб, 1596x1426)
1596x1426
Аноним 31/07/19 Срд 14:36:30 568535524
Последствия ежедневного посещения двача (лично доказана учеными)

1) Тревожность, неуверенность, страх в обществе
2) Голос становится как у 10 летнего пацана (писклявым, противным, детским)
3) Упадок настроения ввиду патологической нехватки дофамина. Уныние и безнадежность вкупе с мыслями о смерти 24/7
4) Потеря всех интересов, а также отсутствие эмоционального отклика на прежние интересы (ангедония). Ничего не радует, не удовлетворяет.
5) Сглаживание эмоциональной амплитуды. Эмоции и чувства притупляются, становятся плоскими за счёт выжигания дофаминовых рецепторов. Становишься зомби.
6) Апатия, хроническая лень, отсутствие мотивации, прокрастинация
6.1 Разбитость, сонливость (даже если спал 10 часов), быстрая утомляемость.
7) Невозможно кончить с тян, ибо мозг привык к порнухе (но с эрекцией не было проблем, к счастью)
8) Тупняк, туман в мозгу, невозможно обучаться и изучать новое
9) Прыщи, угри, жирная кожа.
10) Перестают возбуждать обычнотян.
11) Обжорство, особенно тяга к быстрым углеводам и жирной пище, дабы восполнить дефицит дофамина.
12) Фетиши, за которые стыдно
13) Сутулость (?), тут не знаю, связано ли.
Дополняйте.
Аноним 31/07/19 Срд 14:37:26 568535725
Аноним 31/07/19 Срд 14:38:47 568536326
>>5685357 Распознавание текста в твоё село не завезли?
Аноним 31/07/19 Срд 14:40:41 568537027
Аноним 31/07/19 Срд 14:43:00 568537828
Есть аноны которые понимают вообще о чём я тут говорю >>5685019 ?

Хочу обменятся опытом и может даже помочь какому-нибудь анону постичь техники оргазмов без эякуляции как альтернативе жёсткому нофапу.
Аноним 31/07/19 Срд 14:44:04 568538329
Я вот думаю, в армии я вообще не фапал. Почему же я там не начал двигаться? Весь год почти так и был слабо характерным чмошником.
Аноним 31/07/19 Срд 14:47:25 568540130
>>5685357
Короче как поменялись мужики КОТОРЫЕ УЖЕ КОГО-ТО ЕБАЛИ ПАРАЛЛЕЛЬНО С ДРОЧЕМ.
Аноним 31/07/19 Срд 14:50:52 568542431
Пацаны, уже 70+ дней не фапаю - плюсов много и чувствую себя уверенно, но последние пару дней появляется желание подрочить. Сейчас сильно хочу. Што деладь?
Аноним 31/07/19 Срд 14:53:02 568543132
Аноним 31/07/19 Срд 14:53:16 568543233
>>5685424
Посмотри какиенибудь треды с шок-гуро-видео
Аноним 31/07/19 Срд 14:56:09 568544234
>>5685424
Напиши сюда плюсы нофапа. Дашь мотивацию себе и нам не срываться.
Аноним 31/07/19 Срд 14:57:07 568544435
Аноним 31/07/19 Срд 15:04:20 568546936
>>5685431
Сделай невозможное и переведи
Аноним 31/07/19 Срд 15:06:45 568548037
>>5685424
Не стоит, опустишься на дно. У меня было подобное, отнёсся легкомысленно и сорвался, потом была пара недель чуть ли не ежедневных срывов, в итоге ощутил себя в полном говне.
Аноним 31/07/19 Срд 15:07:58 568548538
>>5685469
Гугл отлично переводит.

Примерно в это же время я получил красный флаг. Этот парень выпал Ну, я также проверил некоторые Redhead порно клипов и несколько моих фотографий (у меня рыжие волосы). Неловко ... Но я все равно не хотел.
Аноним 31/07/19 Срд 15:08:16 568548639
я как-то не дрочил 3 дня, яйца уже зудели, вы походу психи
Аноним 31/07/19 Срд 15:09:15 568549240
>>5685485
ОХЛАДИТЕ ТРАХАНЬЕ Я РАССМАТРИВАЮ ЕГО ПОЛЬЗУ
Аноним 31/07/19 Срд 15:10:13 568549541
>>5685486
мы просто духом сильные
пиздуй отсюда
Аноним 31/07/19 Срд 15:10:58 568549842
>>5685442
Не вопрос, /bратишка.

Решительность.
Уверенность.
Смелось.
Мужественность.
Привлекательность.
Чистота.
Аноним 31/07/19 Срд 15:11:59 568550243
>>5685480
Понятно.

Что-то перехотелось)
Аноним 31/07/19 Срд 15:13:15 568550844
А я всегда был мнения о том, что учёные как раз таки говорят, что онанизм также влияет на организм, как и секс. Не помню, давно ещё интересовался этим вопросом.
Да и какая организму разница, что ты трахаешься, что руку трахаешь, нет? Ну разве что если тян нет, то нофап может помочь больше двигаться чтобы найти такую. А если есть, то дрочить можно, но редко, раз в месяц, и ничего страшного, нет?
Не кидайте камни те, кто воздерживается.
Аноним 31/07/19 Срд 15:18:28 568552945
Есть те кто на долгое время отказывался от порно, но не от онанизма? Интересны ваши ощущения, профиты, проблемы.
Аноним 31/07/19 Срд 15:19:02 568553346
>>5685352
Просто напиши главные тезисы, нахуй ты сюда эту хуйню кидаешь
Аноним 31/07/19 Срд 15:21:22 568554347
>>5685508
>Да и какая организму разница, что ты трахаешься, что руку трахаешь, нет
Разницы нет абсолютно никакой, главное - это слив и момент восстановления (вот тогда и начинается весь треш)
Аноним 31/07/19 Срд 15:22:30 568554948
>>5685543
У меня весь треш вообще связан не со сливом. Для меня кончить больше раза за сутки это редкость. Но при этом я жестко зависим.

И иногда организму слив нужен физически, говорю по своему опыту, был опыт когда не кончал более двух месяцев.
Аноним 31/07/19 Срд 15:24:23 568555549
>>5685549
Да, кстати, не раз слышал, что слив лучше делать чаше, иначе простатит в конце. В идеале, врачи трюкачи говорят, что лучше для пинуса и яичек, чтобы секс был раз в день.
Аноним 31/07/19 Срд 15:26:17 568556650
>>5685533 Главный тезис: в глазах всех тёлок мужик с полными яйцами без порномании вызывает такие ощущения БЛЯ КАКОЙ САМЕЦ, ОН ТАК ПРИЯТНО ПАХНЕТ, ХОЧУ ЕГО ТРОГАТЬ, ГОВОРИТЬ С НИМ, ЕБАТЬСЯ СУТКАМИ НАПРОЛЁТ, ААА ЧТО СО МНОЙ У МЕНЯ ТАКОГО НИКОГДА НЕ БЫЛО ЭТО САМЫЙ ОХУЕННЫЙ МУЖИК ИЗ ВСЕХ КОГО Я ЗНАЮ.
Аноним 31/07/19 Срд 15:27:47 568557251
>>5685549
>иногда организму слив нужен физически, говорю по своему опыту, был опыт когда не кончал более двух месяцев
организм сам регулирует сперму, он выбрасывает ее через поллюции.
>>5685555
>кстати, не раз слышал, что слив лучше делать чаше,
Это же не нофап получается, а хуета какая-то
Аноним 31/07/19 Срд 15:29:36 568558252
>>5685572
У меня тогда не было поллюций более двух месяцев. Я слышал, что если есть варикоцеле, то с поллюциями могут быть проблемы, а у меня оно есть. Ещё на других нофапах бывало такое, что поллюция происходила, конкретно сперма выходила, а не предэякулят, но в совсем малых объемах, реально. Причём от "чистоты" нофапа это не зависит.
Аноним 31/07/19 Срд 15:31:40 568559453
Отмечу, что потом произошла поллюция, полноценная, и где-то на неделю мне стало лучше в плане стресса, но потом сорвался полностью.
Аноним 31/07/19 Срд 15:32:50 568560354
Чтобы не отвечать лишний раз, жестко зависим от порно.
Аноним 31/07/19 Срд 15:39:33 568564855
>>5685582
Можно и слить раз в месяц-два, если хуево себя чувствуешь и нет поллюций, главное - это давать организму отдых и время для восстановления, просто некоторые дрочеры уходят в минус, разъебывая организм и дофаминовую систему
Аноним 31/07/19 Срд 15:40:21 568565256
Пользуясь случаем я хочу донести до нофаперов некоторые изменения в личном лоре нофапа, выписки из которого я постил в более ранних тредах. Кому-то этот лор понравился кому-то нет, но тем не менее.

Как я и говорил раньше, я считаю, что акт мастурбации и эякуляции абсолютно здоровым непосредственно. Выброс энергии со спермой и прочий бред, я отсеиваю как антинаучный.

Теперь о том, до чего я дошёл(и частично проверил экспериментально, и подчерпнул с нета), я интуитивно полагал это, но стало быть изменения в мозгу вызванные дрочкой и порно не позволили мне сформулировать это раньше.

Так вот, я уже раньше писал, что причиной хуёвого состояние является не просадка чувствительности дофаминовых рецепторов непосредственно после акта срыва, а сниженное количество дофамина в крови, которое вызывается нейронной связью зависимости(в центрах мотивации) в целя подтолкнуть зависимого к повторению положительного дофаминовго опыта этой связи. Т.е. важно понять, что просадку дофамина(следовательно и проблемы с тестом, телом и головой) вызывает непосредственно сама зависимость, а не конкретный срыв. Срыв всего-лишь усиливает эту зависимость(нейронную связь) или в лучшем случае не даёт угаснуть(все равно усиливает), выбросом дофамина.

Я это написал к тому, что важно понять, что даже если и мастурбация без порно по сути здоровое занятие( ибо выброс дофамина в отличии о эджинга меньше), но у вас есть зависимость(не можете бросить) от мастурбации(без порно), значит вы наносите себе вред самим фактом зависимости и должны мастурбацию бросить навсегда.

Повторюсь, вред вызван непосредственно не срывом, а самим фактом зависимости, т.е. определяется силой нейронной связи зависимости. Это является ключевым фактом для понимая ещё одной вещи.

Нейронные связи зависимости никогда не исчезают полностью, и даже после того как вы бросили дрочить с(без) порно они могут практически полность восстановиться от срыва. Это значит то, что если вы например бросили дрочить на порно, но через год разок сорвались, вы сразу же восстановите зависимость в практически полном проявлении. Т.е. даже если вы получили в результате срыва минимально количество дофамина, вы восстановили связь, а значит и ломку и последствия (аналогичные тем, до которых вы додрочились, а не те которые были в начале зависимости), от которых вам опять придётся избавляться хуеву тучу времени. Также порнозависимому стоит понимать, что срыв без порно тоже может восстанавливать связь, ибо сам по себе может тоже быть зависимостью и непосредственно как тригер.

Всё это говорит о том, что найти компромис с дрочкой и(или) порнографией невозможно, по мере срывов вы укрепляете связи зависимости, которая будет глушить ваши гормоны. Эти связи никогда до конца не исчезают, а значит в плане ломок и хуёвого состояния последствия срыва растут необратимо по мере продолжения зависимости, и сохраняются на всю жизнь. Срыв в начале зависимости(когда связи ещё слабы) закладывает на будущее маленькую грусть на неделю, через пару лет(когда связи закрепились), срыв закладывает уже ухудшение состояния и ломки на месяцы. Иначе говоря, порнозависимый и(или) дрочер должен окончательно выработать установку, что бросить навсегда порно и дрочку - единственный шанс жить хорошо в будущем. Редкий дроч имеет те же последствия, что и не редкий. Вы опять же будете чувствовать себя аналогично хреново, единственное, что опускание на дно(усиление связи) замедлится из-за более редких срывов(об улучшении ситуации можете даже не мечтать). Конечно, если вы дрочер, то можете редким дрочем заставать улучшение состояния, но если вы порнозависмый, у которого период отвыкания и ломок минимум 3 месяца, то это насилие над собой, ничего не дающее.
Аноним 31/07/19 Срд 15:43:22 568566957
>>5685648
То есть, по этой же логин, не стоит и трахаться ежедневно, как кролики?
Аноним 31/07/19 Срд 15:49:15 568569858
На нофапоне рост у кунов в детстве сразу бустится на 20 см.
ДУМАЙТЕ САМИ ДРОЧИТЬ ИЛИ НЕТ.
ДУМАЙТЕ, ЧТО ЛУЧШЕ - 177 КАРЛАН ИЛИ 197 ИСПОЛИН.
Аноним 31/07/19 Срд 16:18:57 568585459
>>5685669
Ты охуел, там витамины из пизды
Аноним 31/07/19 Срд 16:22:21 568587460
>>5685854
разве что инфекционные
Аноним 31/07/19 Срд 16:42:38 568596461
Так блять, третий день не дрочу за почти 20 лет ежедневного дрочения, ну бывало прерывался в походах там каких нить или где. Яйца начало ломить вчера, сегодня уже там как будто взрыв произойдет, нахуй мне это нужно бля, придется жену поебать.
Аноним 31/07/19 Срд 16:42:39 568596562
>>5685508
Так большинство борются как раз с порнозависимостью, а не с фапом как таковым. И если с фапом учёные ещё туда-сюда, то порнозависимость однозначно вещь, с которой стоит бороться.
Аноним 31/07/19 Срд 16:44:00 568597963
1 день нофапа я занюхал спидов, ну ничё так норм.
Потом перерыв 60 дней вместе с нофапом.
61 день нофапа я занюхал спидов, Я БОГ, Я ПОВЕЛИТЕЛЬ МИРА, Я МОГУ ВСЁ, СТОЛЬКО НАДО СДЕЛАТЬ, СТОЛЬКО СОЗДАТЬ, ПОМОГИТЕ, КОГДА МЕНЯ ОТПУСТИТ
Аноним 31/07/19 Срд 16:54:54 568602264
>>5685698
Ну да, ну да - дрочил в детстве - вырос 195, а так бы 215 было бы.
Аноним 31/07/19 Срд 16:59:55 568604665
>>5686022
>Ну да, ну да - дрочил в детстве - вырос 195, а так бы 215 было бы.
Именно. Я вот дрочил с 3 лет. Итого в 13.5 лет рост составил 178+/- и всё, хотя был всегда высоким до этого. Вот и думай.
Хотя не могу сказать за кунов с поздним развитием, поздним началом онанизма, чё там и как. Ну и плюс генетика, рост отца и матери. Если отец 190, мать 175, то там минимум 185 будешь.
Аноним 31/07/19 Срд 17:06:53 568607366
Аноним 31/07/19 Срд 17:10:45 568608367
>>5686073
Бля какой же криндж, постановочная хуета с актерами
Аноним 31/07/19 Срд 17:11:06 568608468
>>5686073
Лучше 666 раз в день и каждый раз новая наложница
Аноним 31/07/19 Срд 17:11:58 568609069
>>5686083
еее флексим чикбэк фидлдидл аут мээн
Аноним 31/07/19 Срд 17:15:50 568610770
>>5685424
А до этого желания не было, да?))
Аноним 31/07/19 Срд 17:16:18 568611071
>>5686073
Какое-то лайт-порно, даже музыка как в псковском порно.
Аноним 31/07/19 Срд 17:17:12 568611572
>>5686107
МММ ХОЧЕТСЯ ПОСОСАТЬ НОФАПЕРСКИЙ ХУЙ И ВЫСОСАТЬ ВСЕ ЛИТРЫ СПЕРМЫ М
Аноним 31/07/19 Срд 17:33:44 568617573
>>5685142
Убери изображение. Только кулака или ладони хватит. Я бы даже попросил модератора выпилить эту картинку, но это уже тебе решать, пост твой.
Аноним 31/07/19 Срд 17:34:33 568617974
>>5685314
Не стал бы так грубо говорить.
Аноним 31/07/19 Срд 17:34:52 568618275
Аноним 31/07/19 Срд 18:40:18 568642076
>>5685965
Тогда зачем тут дырочку описывают как срыв? Было бы лучше так: "мой успех: я уже 30 недель не дрочу по 8 раз за неделю", а не "я уже 100 дней не дрочил, но сорвался, все пиздец я ничтожество и снова омежка сырна".
Аноним 31/07/19 Срд 19:57:59 568657977
>>5685965
Порнозависимость одна из составляющих фапа, глупо ставить её на передний план, отказ от фапа автоматически подразумевает отказ от порно.
Аноним 31/07/19 Срд 20:00:21 568658978
>>5686579
У меня она на переднем плане. Фапом я тупо завершаю срыв, фап занимает 5 минут максимум. Но до фапа я могу часами скроллить порно, активно набирать запросы в поисковиках. Но мне кажется у меня не только зависимость, но и невроз определенный есть. Я же типа борец с зависимостью, но из-за этого ещё жестче порой получается.
Аноним 31/07/19 Срд 20:06:50 568660879
В этом проблема, что неврозы, в том числе на тему бросания, делают порой ещё жестче проблему. Все эти "красивые даты", "последние разы". У меня это вылилось в том что каждый поиск порно запойный, а ещё в том, что я не храню порно на компе, я же типа бросаю это всё. И в итоге я одни и те же ролики ищу по много раз.
Аноним 31/07/19 Срд 20:07:11 568660980
>>5686420
Ну а ты замени здесь дрочку на алкоголизм или наркомании и картина уже совсем другая вырисовывается. В этом вопросе полумер не бывает, либо зависимый дрочер либо нет. Можно конечно и без зависимости дрочить, вроде выпивать только по праздникам, но эта грань очень размыта.
Аноним 31/07/19 Срд 20:09:24 568661581
>>5686589
Браток у меня такая же фигня, не знаю как быть
Аноним 31/07/19 Срд 20:09:44 568661782
>>5686609
Дрочку невозможно заменить на алкоголизм. Максимум на пищевую зависимость. Вот порно - да, можно.

"Дрочка" это вообще понятие растяжимое, куда корректнее "порнозависимость, киберсексуальная зависимость". Если ты используешь ппа то технически это тоже дрочка.

Я кстати сейчас охреневаю с того как на том же Антио люди пишут про первую дрочку как про первые сигареты. Вот первое порно это куда более корректное сравнение.
Аноним 31/07/19 Срд 20:10:27 568661983
>>5686615
Тоже смотришь порно по 1,5-2 часа и при этом вообще не фапаешь, а только в самом конце? На Антио у одного чела тоже как у меня.
Аноним 31/07/19 Срд 20:11:11 568662284
Я кстати даже не могу сказать что я смотрю порно, я воспринимаю ролики скорее как фотографии и их перелистываю, а не смотрю. Но говорю, тут ещё невроз замешан.
Аноним 31/07/19 Срд 20:14:41 568663385
>>5686619
Серфлю причем максимум скрины , если врубаю ролик - быстренько скролю , фапаю на последний ролик
Аноним 31/07/19 Срд 20:17:00 568663786
>>5686633
У меня это сопровождается неестественно сильным возбуждением ещё. Я пробовал заменять порно, и там возбуждение было, но не такое сильное. И я серьезно подозреваю что зависимость тут от адреналина возникает.
Аноним 31/07/19 Срд 20:31:29 568668187
>>5686637
Это какая-то зависимость , у меня такое было когда coub смотрел или я просто могу серфить вещи и такой же прилив возбуждения .
Аноним 31/07/19 Срд 20:40:11 568669388
Опять этот шизик разделяющий просмотр порно и фап, каждый тред засирает.
Аноним 31/07/19 Срд 21:01:37 568676089
>>5686693
Пролактин выделяется при скроллинге порно
Аноним 31/07/19 Срд 21:20:25 568680190
>>5686693
Смотрел порно без фапа не раз, кстати.
8-часов-кун
Аноним 31/07/19 Срд 21:21:25 568680691
>>5686801
У меня была ситуация когда дрочить было крайне нежелательно, но я всё равно сорвался. В итоге я просто смотрел порно пока не кончил. Шизик, ага.
Аноним 31/07/19 Срд 21:23:07 568681292
>>5686693
Если ты фапаешь на 1 ролик по 1-2 разу, то ты конечно не поймёшь то о чём я пишу, когда неконтролируемый поиск идёт и крайняя степень возбуждения, а сама зависимость напоминает смесь игровых автоматом и адреналиновой зависимости.

Я кстати за компом не фапал уже очень давно, я вообще не понимаю зачем, неудобно же. Но срывы часто происходят именно за ПК.
Аноним 31/07/19 Срд 21:23:17 568681393
Блядь, смотрю фильм Аквамен, какая же главная героиня красивая, ну пиздец просто, ну ебаный в рот, а! нахуй я живу, зависимый от дрочки долбоеб. Уже желание смотреть фильм пропало.
Аноним 31/07/19 Срд 21:23:50 568681694
237338799057850[...].jpg (70Кб, 602x700)
602x700
KSSy6q8ace6g5Ad[...].png (9563Кб, 2744x2064)
2744x2064
>1
Регулярно дрочит, смотрит порно, педофил.

>2
Нофапер по крови, энергийчный, красивый, дерзкий, решает вопросики.
Аноним 31/07/19 Срд 21:27:39 568682895
Ну что вы, нофаперы? Тянку хоть кто-нибудь завёл или всё так же не дрочите в кулачок?
Аноним 31/07/19 Срд 21:33:12 568684696
>>5686828
Ну мне вот из-за нофапа так тяночку захотелось, что я уже практически решился начать ее искать.
Аноним 31/07/19 Срд 22:20:39 568700097
>>5686806
Не понимаю к чему ты это сейчас вспомнил.

>>5686816
Решал вопросики без нофапа.
Аноним 31/07/19 Срд 22:21:11 568700298
>>5686828
Так говоришь, как будто тян это домашнее животное.

Аноним 31/07/19 Срд 22:21:40 568700699
8-часов-кун
отлипло от послежнгих постов
Аноним 31/07/19 Срд 22:48:29 5687115100
Аноним 31/07/19 Срд 22:58:02 5687127101
>>5687000
>Решал вопросики без нофапа.
Например, что посмотреть, трапов или фури?
Аноним 31/07/19 Срд 23:09:23 5687149102
>>5685093 (OP)
Дак янихуянипонел, зачем нофап нужен?
Дома срывал все попытки не солировать на тромбоне, тупо из-за наличия в доступе пеки с любимыми страничками.
Метнулся в другой город по работе, каждый день вижу и могу выебать няшу и няш при этом никаких позывов реализовать данную возможность в живую, даже чисто умозрительно. Пятый день. Эрекция по утрам есть, поллюций ноль.
Аноним 31/07/19 Срд 23:14:11 5687165103
Три дня. Хочу подрочить на прон...
Аноним 31/07/19 Срд 23:24:23 5687181104
>>5687165
ни в чём себе не отказывай
Аноним 31/07/19 Срд 23:25:12 5687182105
Аноним 31/07/19 Срд 23:30:05 5687190106
>>5687165
Последствия ежедневного нофапа и отказа от порно (лично доказана учеными)

1) Тревожность, неуверенность, страх в обществе
2) Голос становится как у 10 летнего пацана (писклявым, противным, детским)
3) Упадок настроения ввиду патологической нехватки дофамина. Уныние и безнадежность вкупе с мыслями о смерти 24/7
4) Потеря всех интересов, а также отсутствие эмоционального отклика на прежние интересы (ангедония). Ничего не радует, не удовлетворяет.
5) Сглаживание эмоциональной амплитуды. Эмоции и чувства притупляются, становятся плоскими за счёт выжигания дофаминовых рецепторов. Становишься зомби.
6) Апатия, хроническая лень, отсутствие мотивации, прокрастинация
6.1 Разбитость, сонливость (даже если спал 10 часов), быстрая утомляемость.
7) Невозможно кончить с тян, ибо мозг привык к порнухе (но с эрекцией не было проблем, к счастью)
8) Тупняк, туман в мозгу, невозможно обучаться и изучать новое
9) Прыщи, угри, жирная кожа.
10) Перестают возбуждать обычнотян.
11) Обжорство, особенно тяга к быстрым углеводам и жирной пище, дабы восполнить дефицит дофамина.
12) Фетиши, за которые стыдно
13) Сутулость (?), тут не знаю, связано ли.
Дополняйте.
Аноним 31/07/19 Срд 23:51:20 5687242107
Вспоминаю, как сладко я дрочил после нофапа. Бляяяя пиздец сейчас яйца лопнут.
Аноним 01/08/19 Чтв 00:00:29 5687262108
>>5687002
Для годного мужика именно так.
А у тебя что, омеганское «равное партнёрство)))»?
Аноним 01/08/19 Чтв 00:04:25 5687270109
>>5687262
При омеганском партнерстве омеге не нужно об этом напоминать. Это как напоминать бомжу, что он бомж. Зачем? Итак видны все минусы подобной жизни. А твой баттхерт про равные отношения не более чем попытка компенсации страха либо зависти.
Аноним 01/08/19 Чтв 00:07:54 5687276110
Фух. Приступ адового желания прошёл. Надеюсь, ещё день продержусь.
Аноним 01/08/19 Чтв 00:11:39 5687288111
>>5687270
Ты не ответил на вопрос, попробуй ещё раз.
Аноним 01/08/19 Чтв 03:03:24 5687503112
>>5687127
За какую щёку тебе напихать, азаз.
За что я люблю двачи.
Аноним 01/08/19 Чтв 03:05:22 5687504113
>>5687288
>>5687262
Да конечно я подкаблючник для своей принцессы. Ок?
Лижу пизду нюхаю жопку ммм ещё.
Аноним 01/08/19 Чтв 03:23:46 5687511114
>>5687503
Слишком просто и предсказуемо, надо с "вопросом" подходить к этому делу, а главное креативно! А пока отдыхай, червячок.
Аноним 01/08/19 Чтв 05:21:48 5687561115
>>5687511
>червячок
Таки порвался.
Аноним 01/08/19 Чтв 09:47:42 5687726116
Аноним 01/08/19 Чтв 09:51:40 5687733117
>>5687726
Лень смотреть, видно что демон какой-то, озлобленность, мат в речи, ещё наверное повторяет мантру, что тестостерон через неделю падает.
Аноним 01/08/19 Чтв 11:11:03 5687933118
Муги4.jpg (342Кб, 1000x1168)
1000x1168
>>5687726 Нищий, токсичный, напряжённый. Щас бы слушать мнение такого орка о саморазвитии.
Аноним 01/08/19 Чтв 11:39:22 5688020119
Через сколько дней уменьшается тяга к фапу? Фапаю каждый день, из-за этого и проблемы, когда бросаю на 3-4 день уже невозможно терпеть, все мысли только об одном. Когда пофапаю, голова на некоторое время становится ясной, я свободен от этой отвратительной тяги, сразу в голове начинаю строить планы, которым никогда не сбыться, чувствую себя свободным человеком. И через некоторое время снова не могу ни о чем думать, только о фапе и поиске фап контента.
Аноним 01/08/19 Чтв 11:45:19 5688045120
>>5688020
Там волнами будет. Выдержишь одну волну, будет полегче, и так после каждой.
В среднем, я повторяю, в среднем, у народа волны идут на ~5-7, 10, 14, 21, 30 дни. Потом уже индивидуальнее, и сильно зависит от того провоцируешь ли ты себя, или нет. Мысли это тоже провокации, конечно. В общем, то что ты ни о чем не можешь думать кроме фапа или порно, так-то оно так. только старайся в мыслях не скатываться до фантазий о том как ты кого-то трахаешь в подробностях, или воспоминаний о конкретном порно в подробностях.
Тяга усиливается когда в жизни проблемы, тогда хочется слить, и "успокоиться", имей это в виду. А первое время, во время ломок, тебе будет казаться, что вообще ВСЕ хуево, даже если оно не так. Потом будет легче, но даже через полгода и год, может накатить тяга. Но в разы более лайтовая, чем в первое время.
Аноним 01/08/19 Чтв 11:47:58 5688053121
>>5688045
Спасибо, а Кегеля обязательно надо делать? Иначе будет простатит?
Аноним 01/08/19 Чтв 11:49:38 5688063122
>>5688020
И еще, тягу можно отслеживать. Ты можешь чувствовать что что-то не так, и если это "что-то", сильно не так, значит скоро будет очень хуево, очень тяжело. Здесь, синдромы тяги такие же как например при алкоголизме, и, подозреваю, что и при наркотической зависимости.
Я лично бросил алкоголь полностью, уже более шести лет назад, и симптомы надвигающейся тяги и ломки. в фапе такие же как и при алкоголе.
И да, бросить пить, раз в 10 минимум легче чем бросить дрочить и смотреть порно.
Аноним 01/08/19 Чтв 11:51:53 5688070123
>>5688053 Простатита не будет, но кегель это спасение для нашего гиподинамичного века. В этой области нужен активный кровоток, тогда и гормоны будут норм бурлить, и застоев не будет, и ниже риск инфекций, и лучше стояк. Одна плюсы крч. Но кегель не отменяет активного образа жизни. Кардио, ходьба пешком, кегель - и стоять будет до 70.
Аноним 01/08/19 Чтв 11:52:15 5688071124
>>5688053
Кегель в принципе полезен. но делать не обязательно. Но хуже не будет. Простатита не будет при правильном воздержании. Правильно воздержание. это не возбуждаться, не сливая. Если ты не будешь возбуждаться попусту, то никаких застйоных явлений, не будет. Поллюции не просто так придуманы природой. И да, перед поллюцией, и после нее, тяга усиливается существенно. По крайней мере, первые сколько-то месяцев.
Ну и разумеется, регулярный(я стараюсь не чаще 1-2 раза в неделю) секс, тоже убирает вопрос застоев. Если ты адепт ТНН, то тебе нужно всю жизнь паритсья о том чтобы не возбуждаться впустую. Это сложно.
Аноним 01/08/19 Чтв 11:52:47 5688076125
>>5688020
Надо одергивать себя каждый раз, когда мысли начинают туда сворачивать. Естественно, нужно чем-то заняться, чтобы было о чем подумать и без того.

Постоянное сидение на сексаче может быть проблемой, т.к. тут всегда найдется эро контент или даже тупо заголовок треда, который тебя тригернет.

Лучше учи язык. Или спортом займись. Проверено - после кокочал очка в тот же день больше мыслей о сексе нет, даже если себя не контролировать.

Если невмоготу, помогает тупо оскорбиться - типа "хули я, животное что ле, тварь дрожащая?! Мало ли что там хочется, я сам себе хозяин, я СКОЗАЛ НЕТ! Похуй как хочется, я вот возьму и не буду!". И за сим перетерпишь накат возбуждения.
Аноним 01/08/19 Чтв 11:53:17 5688078126
Почему у дрочеров светобоязнь? Чем это можно объяснить?
Аноним 01/08/19 Чтв 11:56:42 5688090127
Аноним 01/08/19 Чтв 11:56:44 5688091128
>>5688076
>Или спортом займись. Проверено - после кокочал очка в тот же день больше мыслей о сексе нет
Мне существенно не помогало. Забивал себя как железом, так и тем же бегом, например. Как-то раз, после бега, когда уже реально устал, и решил просо прогуляться по парку, вдруг" в мозг влетела охуительная мысля, поискать порно на тему девушек, занимающихся бегом, которых трахнули на природе. То есть в данном случае, бег сам по себе стал триггером. Меня это тогда здорово выбесило, но сорвался я через пару дней. К сожалению.
После силовой тренировки, вроде сначала все круто, но в принципе, накатывало всегда, как обычно.
Аноним 01/08/19 Чтв 11:58:11 5688095129
BFdCZDkUXsY.jpg (38Кб, 636x430)
636x430
Аноним 01/08/19 Чтв 11:58:24 5688096130
>>5687726
Ниасилил. Хреново изложено, нет тезисности изложения. Сразу видно, что он не умеет делать презентации, видео или нет. Нужно же сначала подать основную идею и заинтересовать зрителя, а потом уже вдавать в детали! А он еще и матерится через слово, да и видео без инфографики, а тупо его скучная рожа все видео.

По сути ответить не могу, т.к. он не смог донести до меня свой посыл, ибо 20 мин такого говна смотреть я не стану.
Аноним 01/08/19 Чтв 11:59:20 5688102131
>>5688091 Бег мощно стимулирует надпочечники, ты чего. У пловцом и бегунов либидо звериное, ты как бы всё неправильно сделал, лол.
Аноним 01/08/19 Чтв 12:01:33 5688111132
>>5688102
Не знал, честно.
В любом случае, я хотел кардио заниматься, мне оно доставляет. То что я ебаный, наркоман-порноман, это моя проблема, и в идеале, сам по себе, бег не виноват.

Но в целом, повторю, мне и силовые нагрузки не давали прям эффекта "сегодня тяги не будет", хотя пожалуй, было и лучше чем после кардио.
Аноним 01/08/19 Чтв 12:05:43 5688123133
>>5688091
Все равно помогает. Конечно, панацеи нет. Нужна какая-то сила воли, это неизбежно.
Но и трюки есть.
Во многих религиях есть готовые методики для воздержания, там почти везде пытаются представить соблазны как что-то извне, как атаку на разум со стороны враждебной сущности, будь то джины, черти, сатана или еще какая поебень.

И это в принципе работает. Я, как неверующий, представляю соблазн, как что-то идущее со стороны животной, примитивной части моего мозга. Это НЕ МОЕ желание, а пришедшее от этих древних структур. Я отдаю себе отчет в том, что это неадекватное желание, что это просто глитч моей нервной системы, неприспособленной к современным условиям. А САМ Я являюсь эфемерной сущностью, которая в какой-то степени отдельна от мозга, т.к. мозг всего лишь носитель, материальная привязка меня, но сам я - отделен от этих животных установок.

Становится легче бороться с желанием, если оно воспринимается как атака извне, как обман или телепатический урон.
Аноним 01/08/19 Чтв 12:09:49 5688136134
>>5688123
Да помогает, да, кому-то больше. кому-то меньше. Я бы сказал, что помогает в принципе чем-то заниматься. а не сидеть за компом. Если целый день за компом, то сорвешься рано или поздно. Ну или воздержание будет в разы тяжелее.

Это и есть атака извне, и не совсем твое желание. Когда накатывает ломка, иногда вообще не помнишь как за компом оказался, или ловишь себя на порносайте, и как будто не помнишь как зашел. Сколько я таких историй на Антио перечитал, когда форум еще был в своем расцвете.
Аноним 01/08/19 Чтв 12:23:51 5688170135
>>5688136
> Если целый день за компом, то сорвешься рано или поздно. Ну или воздержание будет в разы тяжелее.
Самое большое заблуждение, в закрытом помещении перед монитором никто жопами вокруг не виляет, ты можешь ограничивать фап-контент, а ирл вокруг напоминает о нем лол
Аноним 01/08/19 Чтв 12:28:28 5688187136
>>5688170
Не знаю. Мне становится скучно без фапа и я сразу вспоминаю, что любой фап контент находится в паре кликов от меня и становится трудно сидеть за компом.
Аноним 01/08/19 Чтв 12:31:55 5688196137
>>5688170
Но ирл фапать не станешь. Нужна приватность. А пока дойдешь до дома можно сто раз успеть перетерпеть приступ возбуждения. Да и вообще - возбуждаться на попочку ирл тян - нормально. Надо просто не сливать, а перетерпеть, и в какой-то момент ты от желания будешь готов на стенку лезть, но мозг, зная что дрочить низя, сам заставит тебя подкатывать к тян.

Пусть вертят жепами - я полюбуюсь, возбужусь, потом так же и остыну.
За компом сорвешься, потому что пустота в обстановке. Если ты не работаешь напряженно за компом, а просто втыкаешь, то у тебя неизбежно во вкладках начнут появляться порносайты или, если ты типа сдерживаешься, паста-треды с эро-контентом, потом и ониму хуйня попрет. И это будет размывать твою стойкость.
Если ты чем-то занимаешь себя, то даже в моменты отдыха за компом, ты скорее будешь смотреть что-то тематическое. Если ходишь в качалку - будешь искать что-то про спортпит, анализы, методики, отчеты и т.п. Если учишься играть на музыкальном инструменте, то в перерывах с большой вероятностью будешь читать или слушать что-то ассоциированное.
Аноним 01/08/19 Чтв 12:33:44 5688200138
>>5688196
> но мозг, зная что дрочить низя, сам заставит тебя подкатывать к тян.
Так это ж тот же фап, только с реальными людьми. Это не любовь, а именно желание кого-нибудь выебать или пофапать.
Аноним 01/08/19 Чтв 12:35:06 5688204139
>>5688170
Для тебя заблуждение. а для меня, и для кучи людей(я ориентируюсь по тому же антио и этому треду), нет. Да, на улице ходят тянки(вот удивительно то), и да, иногда они здорово триггерят. Но сидение дома, чревато не только тем что ты ограничиваешь контент или нет. То что порно в паре кликов от тебя, это не самое главное.
Самое главное, что сидя дома 24\7, ты просто будешь унылым говном на воздержании. Оно(воздержание) тебе никак не поможет, а только сделает твою жизнь хуже, в этом случае. Ты и так себя ограничил, лишил себя очень вкусного куска твоей жизни, тебе и так хуево от этого и бывают ломки. А ты сидишь дома, и медленно хиреешь, вместо того, чтобы занять уже чем угодно. Ты можешь быть не согласен, дело твое, но срыв в этих условиях, лишь вопрос времени. А уж про "качество" такого нофапа, я вообще не говорю.
Аноним 01/08/19 Чтв 12:35:21 5688205140
>>5688200 Успешно реализованное
>желание кого-нибудь выебать
дохуя поднимает самооценку, сам себя начинаешь видеть и ощущать по-другому.
Аноним 01/08/19 Чтв 12:36:52 5688208141
>>5688200
Разумеется не любовь. Любовь с первого взгляда это вообще хуйня. Для начинающего нофапера, в принципе неплохо попривыкнуть к сексу. Секс не за деньги, и на самооценку положительно влияет.
Аноним 01/08/19 Чтв 12:37:36 5688210142
>>5685093 (OP)
Проиграл со второго пика. Джобс так воздерживался, что аж умер от спида.
Аноним 01/08/19 Чтв 12:43:04 5688225143
>>5688204
Я про то, что ирл больше раздражителей и реальных, а не 2д, что усиливает эффект. Единственное, нет времени на постоянный фап, это да
Аноним 01/08/19 Чтв 12:44:59 5688229144
>>5688204
> тебе никак не поможет, а только сделает твою жизнь хуже, в этом случае.
Да в любом случае поможет, чувствовать себя лучше будешь.
Аноним 01/08/19 Чтв 12:47:22 5688241145
>>5688225
Может и так, а может и нет. Я например здорово раздражаюсь, на живых тян, а особенно на какие-либо порнотриггеры в них. Конкретные триггеры. А кто-то поменьше, я такие примеры знаю.
А вообще. во время сильной тяги(ломки) ты себе спасения нигде не найдешь. На улице тянки, в телевизоре. блин, реклама какого-нибудь геля для душа, с тянкой в купальнике, тебя триггернет, в интернете(особенно на дваче) эроконтента тоже море. Даже в книгах можешь поймать триггер. Дело еще в том и насколько запущена ситуация. У меня стаж более 20 лет, у меня реально страшные ломки бывают.
Аноним 01/08/19 Чтв 12:48:22 5688243146
>>5688229
Сидение за компом, длительное, здорово подрывает здоровье. Каждый может сравнить.
И нет, я не топлю сейчас за кокочалочку, даже не близко.
Аноним 01/08/19 Чтв 12:52:17 5688259147
>>5688241
>и насколько запущена ситуац
Вообще похуй должно быть, если всерьёз решил бросить. Ты себя убеждаешь, как тебе тяжело?
Аноним 01/08/19 Чтв 12:54:02 5688269148
>>5688259
Я себя не убеждаю ни в чем. Я говорю о том что знаю. Бросить в 16 в разы легче чем в 30. В 30 в разы легче чем в 50. Вот и все.
Аноним 01/08/19 Чтв 12:56:00 5688276149
>>5688269
Бросить легче
>если всерьёз решил бросить
Ничто больше не влияет, вообще.
Аноним 01/08/19 Чтв 12:57:16 5688281150
>>5688276
Ну хорошо, как скажешь.
Аноним 01/08/19 Чтв 13:01:11 5688298151
>>5688269
Да нихуя, в 30+ здоровье слабеет, больше вероятность одуматься.
Аноним 01/08/19 Чтв 13:03:23 5688304152
Аноним 01/08/19 Чтв 13:11:41 5688333153
>>5688298
Ну, в общем ответа нет.
Так вот, в 30+ никаких особенных вероятностей одуматься тупо из-за возраста или здоровья, как бы и нет.
Аноним 01/08/19 Чтв 13:20:33 5688365154
>>5688333
Есть.

Потому что рубеж 30 лет заставляет тебя крепко так задуматься, что же ты сделал со своей жизнью. И ты смотришь и видишь что вообще беда. Ну а там уже прет всякое - и ЗОЖ, и нофап, и учи языки и пр.

Ну или деградируешь дальше, но тут уже никто тебе не поможет.
Аноним 01/08/19 Чтв 13:23:14 5688372155
>>5688365
Я повторю вопрос, тебе за 30?
Ну просто чтобы понимать что ты пишешь о своем опыте.
Аноним 01/08/19 Чтв 13:50:31 5688437156
Аноним 01/08/19 Чтв 13:56:17 5688449157
>>5688437
Ну и как, сильно осознание пришло к тебе?
Почему ты свой единичный способ выдаешь за общепринятую истину?
Аноним 01/08/19 Чтв 14:07:02 5688478158
>>5688449
Чому бы и ни? Я сужу по своему опыту и высказываю свой вывод. Несогласен? Обоснуй и иди вхуй. Чего докопался вообще?
Аноним 01/08/19 Чтв 14:07:42 5688480159
>>5688478
Но ведь это ты докопался.
Я также сужу по своему опыту, и по опыту тех кому за 30 на том же антио.
Аноним 01/08/19 Чтв 15:48:00 5688896160
Св.Муги.jpg (66Кб, 513x604)
513x604
Чтобы нофап шёл легче и чтобы минимизировать риск срыва, учите себя кайфовать от каждой секунды жизни. Позитивные мысли и эмоции мало того, что полезны для здоровья и иммунитета, но ещё и отдалят тебя от пропасти тоски, уныния и страха, где ты обязательно снова сдрочишься в ноль. Это оче непривычно, но игра стоит свеч. Подсказка: нахуй подтирач, ТВ, пекабу, убогих друзяшек и всё такое.
Аноним 01/08/19 Чтв 15:50:25 5688912161
>>5685259
Это реально так? После нофапа проходит?
Аноним 01/08/19 Чтв 16:03:28 5688960162
>>5688896
Телевизора нет, друзей нет, на пикабу не сижу... Ну и как мне радоваться то. Я и скатился в постоянный фап, чтобы привнести кайф в жизнь. Были бы наркотики под рукой, так стал бы их употреблять
Аноним 01/08/19 Чтв 16:07:25 5688977163
>>5688960
>как мне радоваться то
Ты реально настолько охуевший или прикидываешься? У тебя два глаза, две руки, рабочий хуй, ахулиарды халявной инфы по любым важным темам, , полный холодок жратвы, ЧИСТАЯ ВОДА, ~30 лет активной жизни впереди и ещё куча всего, что ты принимаешь как должное. Ты бля уже богаче, чем пара миллиардов людишек, и здоровее сотен миллионов.
Аноним 01/08/19 Чтв 16:12:47 5689003164
>>5688977
Да. Как-то забыл, что в Африке дети голодают... Спасибо, что открыл глаза...
Аноним 01/08/19 Чтв 16:15:17 5689013165
>>5689003 Я и не сомневался, что ты даже не попытаешься понять. Ты, как 99%, привык хуёво себя ощущать и испытывать негативные эмоции. Это химическая потребность твоего тела, т.к. любая эмоция = хим.коктейль гормонов и нейромедиаторов. Я предложил способ измениться, но это нихуя не просто, да.
Аноним 01/08/19 Чтв 16:32:25 5689072166
>>5688912
проходит только с фапом
Аноним 01/08/19 Чтв 18:30:09 5689451167
Четвёртый день почти завершён. Опять снилась ёбля и был произвольный ничем не мотивированный стояк несколько раз. Дрочить не хочется.
Аноним 01/08/19 Чтв 18:37:29 5689471168
>>5688896
>Подсказка: нахуй подтирач
Покайфовал несколько секунд от того, как полторашизик обосрал сам себя.
Аноним 01/08/19 Чтв 19:32:43 5689619169
>>5689013
Потому что это нихрена не так работает. Все знают блядь ,что где-то там в Африке нет чистой воды, а какого-нибудь негритенка сейчас лев в канаве доедает.
Кто-то сейчас, прямо сейчас, в момент написания этого поста умирает в муках, кого-то убивают, кого-то похитили, и везут в мешке куда-то, и ему пиздец как страшно. Дальше-то что?
То что ты пытаешься доказать, это манямирок с единорогами, но тебе не хватит ума что-то сказать кроме как обосрать меня. Все знают что кому-то хуже, но это ни когда не поможет, ибо у тебя проблемы здесь и сейчас. Твои проблемы осязаемы, и для тебя существенны. Все похуй что кому-то там не хватает чистой воды, когда тебя самого гложат какие-либо проблемы.
Аноним 01/08/19 Чтв 19:39:30 5689643170
>>5689619

Тут речь о возможностях скорее, нужно осознавать, что в данный момент ты и имеешь то и то, можешь сделать это и это. Ну это как я вижу
Аноним 01/08/19 Чтв 19:44:19 5689657171
>>5689643
Я пробовал позитивное мышление. Это реально тема, но когда оно идет от сердца, естественно, а не ты себя убеждаешь. У меня перестало получаться, чтобы не убеждать себя.
Аноним 01/08/19 Чтв 20:46:23 5689775172
>>5688896
>Подсказка: нахуй подтирач, ТВ, пекабу, убогих друзяшек и всё такое.
А сам то че сидишь тут? типа святой просветитель? а если отказаться от "убогих" друзяшек, то откуда брать новых?
Аноним 01/08/19 Чтв 20:52:46 5689788173
>>5689657
Всё взаимосвязано. Попробуй аффирмации в течение 2 недель, возможно поможет. Как бытие определяет сознание, так и наоборот. И это отнюдь не шизотерика( тоже её недолюбливаю).
Аноним 01/08/19 Чтв 21:11:09 5689840174
Сорвался. Но как же приятно кончил, боже.
Аноним 01/08/19 Чтв 22:14:50 5689991175
>>5689840
Лох.
Мимо пошёл пятый день бог
Аноним 01/08/19 Чтв 22:23:41 5690009176
Аноним 01/08/19 Чтв 23:18:04 5690149177
Нда, пятый день и сорвалсо в пучину похоти.Так сладко сбросил пар аж лёгкость накрыла.
Го анозе трай. Третий.
Аноним 02/08/19 Птн 00:28:15 5690284178
>>5690149
Сука самае. уже 2 раза срывался на 5ый день
Аноним 02/08/19 Птн 00:53:54 5690348179
Плюсы нофапа (проверено на личном опыте)

1) Тревожность, неуверенность, страх в обществе
2) Голос становится как у 10 летнего пацана (писклявым, противным, детским)
3) Упадок настроения ввиду патологической нехватки дофамина. Уныние и безнадежность вкупе с мыслями о смерти 24/7
4) Потеря всех интересов, а также отсутствие эмоционального отклика на прежние интересы (ангедония). Ничего не радует, не удовлетворяет.
5) Сглаживание эмоциональной амплитуды. Эмоции и чувства притупляются, становятся плоскими за счёт выжигания дофаминовых рецепторов. Становишься зомби.
6) Апатия, хроническая лень, отсутствие мотивации, прокрастинация
6.1 Разбитость, сонливость (даже если спал 10 часов), быстрая утомляемость.
7) Невозможно кончить с тян, ибо мозг привык к порнухе (но с эрекцией не было проблем, к счастью)
8) Тупняк, туман в мозгу, невозможно обучаться и изучать новое
9) Прыщи, угри, жирная кожа.
10) Перестают возбуждать обычнотян.
11) Обжорство, особенно тяга к быстрым углеводам и жирной пище, дабы восполнить дефицит дофамина.
12) Фетиши, за которые стыдно
13) Сутулость (?), тут не знаю, связано ли.
Дополняйте.
Аноним 02/08/19 Птн 06:43:49 5690633180
>>5690348
У меня ничего этого нет (разве что легкая усталость около 30 минут после эякуляции), где твой бог теперь?
Аноним 02/08/19 Птн 07:15:00 5690649181
Госпаде, как же хочется порнушку посмотреть и писю подёргать...
Аноним 02/08/19 Птн 08:38:08 5690714182
Если за 60 дней нофапа не было ни одной поллюции, это же плохо?
Аноним 02/08/19 Птн 09:21:25 5690790183
>>5690633
Всё это есть, нужно воздержание чтобы увидеть разницу.
>>5690714
Да нормально, у одного на восьмом месяце первая была.
Аноним 02/08/19 Птн 09:43:25 5690815184
>>5688977
>ЧИСТАЯ ВОДА
вот с этим я бы поспорил, в мухосранях да и не только чистой воды нет, только фильтры
Аноним 02/08/19 Птн 10:41:32 5690961185
>>5689775 Типа да, плюсики в карму набираю. Если уважаешь себя, то лучше быть одному, чем тусить с мудаками, которые тянут на дно. Или расти над собой, становиться пизже, и тогда автоматом люди начнут подбираться соответствующие.
>>5689619
>тебе не хватит ума
Ох уж эта двачерская манера общения))) Я указал: это биохимия. Ты всю жизнь торчал на негативных эмоциях, ты считаешь, что это реакция на внешние условия, хотя это работает наоборот. Только ты в каждый момент времени выбираешь, что ощущать и о чём думать. Если каждый день искать эмоцию чуть лучше, чем вчера, то через полгода будешь кайфовать 24/7 просто от солнца и свежего воздуха. Но это требует работы над собой и самодисциплины.
Аноним 02/08/19 Птн 10:44:32 5690970186
>>5690815 Ну поставь обратный осмос, он 3к стоит, будешь воду пить, как моряки на подлодках. Тут можно длинный список вещей сочинить. Банально, тут никто не гниёт заживо от онкологии. Разве не охуенно? НЕТ НЕ ОХУЕННО ВЕДЬ У МЕНЯ РОСТ ВСЕГО 180 И ХУЙ ВСЕГО 14 ЖИЗНЬ КОНЧЕНА
Аноним 02/08/19 Птн 11:10:52 5691028187
есть ли тут игроки в какие-нибудь компьютерные соревновательные игры по типу доты или кс го??
как отразился нофап на вашей игре?
Аноним 02/08/19 Птн 11:13:18 5691030188
>>5691028
Реакция лучше , на фапе ты сонный какой-то , я в ртс играю и прям вижу как не могу уследить за юнитами
Аноним 02/08/19 Птн 11:17:13 5691042189
>>5691028
Реакция увеличивается, алертность, лучше аим, быстрее реагируешь на увиденную цель.
Аноним 02/08/19 Птн 11:20:24 5691047190
Аноним 02/08/19 Птн 11:25:55 5691065191
Аноним 02/08/19 Птн 11:25:59 5691066192
Аноним 02/08/19 Птн 11:27:05 5691071193
>>5691065
Что тебе показалось несерьёзным? Цзин ци зашкаливает, реакция как у Брюса Ли становится.
Аноним 02/08/19 Птн 11:27:49 5691076194
Аноним 02/08/19 Птн 11:28:53 5691078195
>>5691065 Нофап обостряет работу мозга. Что тут несерьёзного? В шапке куча отзывов, убедись сам.
Аноним 02/08/19 Птн 12:30:04 5691219196
8 день нофапа, утренний стояк появился. Держу в курсе.
Аноним 02/08/19 Птн 12:44:56 5691255197
>>5691028
В целом в играх у тебя качество mind games повышается, действуешь более рационально, если выпить кофе или энергетик реакция повышается раза в 2 по сравнению с фап периодом.
Аноним 02/08/19 Птн 16:26:05 5691893198
Дрочащие на стену как по мне имеют куда более стальную волю чем те кто просто не дрочат. Риск сорваться и начать часами просматривать порнуху увеличивается в разы. Пару раз можно там на чисто фантазии, просто на стену не могу представить даже, но после это сразу автоматом тянет на порно, ты себя не контролируешь, так что те которые постоянно дрочат без прона настоящие красавчики.
Аноним 02/08/19 Птн 16:47:49 5691928199
>>5691893
А если ещё и без рук так вообще сверхлюди.
Аноним 02/08/19 Птн 17:04:36 5691956200
>>5691928
Не, это как скорострелы, только ещё хуже. Типа как челик из американского пирога который от прикосновения кончал. Я кста когда только начинал фапать, соски теребил не трогая член и был очень близок к тому чтобы кончить.
Аноним 02/08/19 Птн 17:11:49 5691963201
15220116138430.jpg (28Кб, 465x285)
465x285
Зашёл в б. Увидел фап-тред. Кончил на третьей вебмке секунд за десять. Я даже опомниться не успел. Нахуй я столько терпел, чтобы снова сорваться и даже удовольствия не получить?
Аноним 02/08/19 Птн 17:18:08 5691979202
Самое стремное - это кончить ирл в штаны.
Аноним 02/08/19 Птн 17:20:56 5691985203
>>5691979
В метро или ебучей маршрутке, когда у тебя светлые чиносы каки-нибудь или шорты, конча стекает по ноге, это пиздец
Аноним 02/08/19 Птн 17:24:21 5691995204
>>5691979
>>5691985
Сам факт того что кончил сам по себе это норм, а вот последствия типа "стекает" это херово конечно. Была картинка где стоят борцухи после раунда, так у одного хер стоячий просвечивает и вся майка эта борцушная обкончанная и сперма прям сочится из неё, вот неловко так неловко, небось пидором обзывали после этого.
Аноним 02/08/19 Птн 17:24:48 5691996205
>>5685093 (OP)
>1. Не дрочить¹;
>
>2. Не смотреть порно²;
>
>3. Не фантазировать³.

Тред создан в разделе где на оппиках порно, на оппике треда полуголые тян
Как не реагировать и не фантазировать, а я еще и настолько конченный что срываюсь на тор контент, а не на обычный прон, хотя после просмотра такого прона и решил что смотреть его и дрочить это хуево. Через 10 дней нофапа ходил по улице со стояком и лаж чуть листву не скинул, нофап вернул мне либидо
Аноним 02/08/19 Птн 17:32:39 5692013206
>>5691979
>>5691985
>>5691995
Сперма же довольно густая, она просачивается сквозь труханы, но не через шорты и штаны. Большая часть вообще на лобке остаётся, особенно, если он волосатый.
Мимо всегда спускаю в трусы, штаны сухие.
Аноним 02/08/19 Птн 17:33:39 5692015207
>>5691995
Я не пидор, но можно картинку? Для оценки ситуации.
Аноним 02/08/19 Птн 17:35:11 5692018208
>>5691996
> Тред создан в разделе где на оппиках порно, на оппике треда полуголые тян
Для этого у треда есть тег, который прокликивается сверху и ты не успеваешь ни одного оппика увидеть, кроме прикреплённого треда, но там нет порно.
Аноним 02/08/19 Птн 17:35:22 5692020209
32
Аноним 02/08/19 Птн 17:51:02 5692064210
>>5689840
Я бы отправил модераторам устав треда и банил вот такие провокации в рамках треда. Как это делается?
Аноним 02/08/19 Птн 17:51:51 5692065211
>>5690149
Упоминания того как хорошо было при вредительстве не помогают, а только мешают. Не пишите так.
Аноним 02/08/19 Птн 17:53:11 5692067212
>>5691979
>>5692015
В шапке написано, не фантазировать. Хватит уже дурью маяться.
Аноним 02/08/19 Птн 17:55:01 5692070213
>>5692067
> не допускается вольная трактовка этих правил
Всё, ты сорвался, долбоёб.
Аноним 02/08/19 Птн 17:56:58 5692073214
>>5692067
Долбоеб, когда перед тобой потная жопастая шлюха трется об тебя и извивается вся, как тут не кончишь. Тут и без фантазий кончишь.
Аноним 02/08/19 Птн 17:58:33 5692076215
>>5692070
Очередная провокация. Ещё и вольно трактуешь правила, пытаясь переврать их. Вот о таких элементах я и говорю, скрывайте такие агрессивные посты, не реагируйте на них, игнорьте, это очередной вредитель боится что будет больше здоровых и сильных людей.
Аноним 02/08/19 Птн 18:00:30 5692080216
>>5692073
Вот этого тоже в игнор, скрывайте такие посты, они направлены на деморализацию, а такой толстый, неприкрытый троллинг выдаёт человека не самого умного, более того, человека дурных нравов. Не верьте таким, они вас сильных боятся, потому что сами слабые.
Аноним 02/08/19 Птн 18:01:42 5692084217
Аноним 02/08/19 Птн 18:05:54 5692098218
>>5692076
Френдли фаер. Я нофапаю, блядь.
Аноним 02/08/19 Птн 20:20:17 5692479219
Аноны это правда если ты не обращаешь внимания на тян, если и разговариваешь, то не проявляешь заинтересованности, не палишь того, что она в принципе возбуждает, при этом сам 185 см и 7/10, то у них появляется некая заинтересованность в стиле "сложно открыть эту конфету" и они влюбляются? Это довольно распространенная хрень, когда парень относится к девушке как отец, а она его любит, будто у него и в мыслях не было ей присунуть и предложить встречаться, держит какую-то дистанцию. Или когда ему даже похуй.
Аноним 02/08/19 Птн 20:24:28 5692482220
15638541148833.png (794Кб, 1200x756)
1200x756
Окрестности.jpg (630Кб, 1632x1224)
1632x1224
Привет нофаперам, как успехи у вас? Стали бизнесменами, вкатились в айти, нашли тяночку, боится ли вас быдло?

У себя заметил такое интересное состояние, что мне всё интересно. Читаю книжку - интересно и понимаю написанное, хотя раньше даже страницу толком не мог прочитать, постоянно внимание убегало, да и не интересно было. Музыка стала доставлять прям вообще, как в подростковом возрасте, мурашки, хочется качать головой в такт, ништяк. Заметил, что просто стало легче, легче вставать, легче браться за дела, еда вкуснее, трава зеленее! Прям как в детстве. Вообще, как-то лучше стал чувствовать своё тело, делать более чёткие движения, суетливость снизилась. Медитация теперь реально лучше идёт и после сеанса я чувствую "приход" но это не цель. Да даже банально на стуле сидеть удобнее, могу дольше сохранять одну позу без дискомфорта. Скоро возьмусь за книги, которые уже давно купил, но не мог прочитать из-за дрочерского помутнения в голове. Вообще, я ещё открыл в себе кайф от предвкушения, это очень интересно. Раньше, допустим, я покупал какие-нибудь вкусняхи в магазе и, не успев толком раздеться по приходу домой, начинал жевать, жевать. Постоянно внимание бегало туда-сюда. А сейчас, я просто спокойно иду и думаю "ох, как же ща вкусно шоколадку съем, ммм, НАЙС!" и это состояние уже наполняет меня эмоциями, счастьем, не хочется торопиться. Да и вообще, у меня появилась такая функция как удовлетворённость от сделанных дел. Раньше всё в муку было, натуженно, а после только спать хотелось... Сейчас приятная усталость, от которой улыбка на лице, а кроватка кажется такой удобной в конце дня, при этом пробуждаюсь гораздо легче.

Из социального заметило только то, что люди вежливее стали общаться со мной, не знаю почему. Недавно с друзьями встречался, они вообще сказали, что у меня "бешенные" глаза. Может и так, у меня дома зеркала нет и я особо любоваться в него никогда не любил. Но на последней фотке с маминого ДР реально как-будто лицо другое стало, более очерченное, приятное, фотогеничное. Мама, кстати, тоже странно ведёт со мной, не ругается больше по пустякам, что-то спрашивать у меня начала как у учителя какого-то. Тут я не могу судить на 100%, что это не мои искажения в восприятии, но что есть, то есть, мне нет смысла врать. С тянками не встречаюсь, но заметил, что многие часто смотрят на меня. Хз, никак не могу это интерпретировать, я сейчас в режиме ТНН, ведь столько всего надо сделать, изучить, навыков обрести, столько всего упущено мною с самого детства.

Недавно я ещё занюхал амфетамин, которые меня охуеть как торкнул, а отходосов не было, совсем. Хотя в прошлые разы у меня всегда на следующий день начиналось что-то вроде простуды и слабости. При этом, сейчас я трезвый и не чувствую потребности к употреблению ещё раз. Мне моё трезвое состояние и так нравится. Употреблять ни в коем случае не призываю и не рекомендую, это в любом случае игра в одни ворота. Просто, видимо, на воздержании ресурс организма гораздо сильнее и больше, вот я и не почувствовал никаких отходосов.

А ещё я научился жонглировать тремя предметами и начало гораздо лучше получаться письмо левой рукой, скоро она правую догонит.

84 дня полного воздержания, было 2 поллюции

Аноним 02/08/19 Птн 20:32:57 5692513221
>>5692482
Знаешь, я вот наблюдаю за своим псом, ему уже 2 года. Год назад мне пришлось уехать и отдать его на дней 10, и, знаешь, потом пришлось выводить блох, и пес породистый, люди могли воспользоваться и пустить его покувыркаться с какой-нибудь собакой. Не важно. Я что-то не решаюсь его завезти на вязку к самке, вдруг он еще девственный, да и снова в блохами ебаться, сейчас пес чист. Но я вот сука наблюдаю за ним, он как маленький ребенок, каждое утро он такой радостный будто живет первый день, всюду лезет, все ему интересно, обучен более десяти командам, дохуя енергии. Это пиздец. Я уже думаю, что он не будет таким если начну регулярно возить ебаться, причем могу деньги за это получать. Есть у псин такое понятие как дофамин? Если да, то мой пес мотивирует меня нофапить.
Аноним 02/08/19 Птн 20:41:12 5692546222
>>5692513
Дофамин даже у насекомых есть.
Аноним 02/08/19 Птн 20:49:02 5692570223
Нофаперы вопрос к вам от нуфага:
Держу нофап уже нкделю, но сегобня сорвался и взялся за хуиндопулус хуй по простецки и начал совершать дрочку, однако же через пару минут смог волей пересилить желание слить и бросил делать дрочку. Хер постоял еще минуты 3 и упал конеш.
Я сорвался и начинать отчет с 0 или же нет? Я так понимаю ничего хорошего в том что ты вздрочнул а потом бросил до окончания нету? ПРОБЛЕМЫ С ПРОСТАТОЙ БУДУТ?
Аноним 02/08/19 Птн 20:59:59 5692614224
>>5692570
Нихуя не будет. Волшебное слово Поллюции. Просыпаешься а у тебя трусы спереди мокрые но мочой не пахнет
Аноним 02/08/19 Птн 21:02:57 5692627225
>>5692614
Окей, но все же я сорвал нофап ибо вздрочнул хоть и не сбрвзнул малафьей свою ручку.?а?
Аноним 02/08/19 Птн 21:08:58 5692652226
>>5692627
Ну если строго формально следовать правилам маньякаОпа то да, сорвал. Лично я считаю что нет. Не кончил же? Не парься продолжай строк.
Аноним 02/08/19 Птн 21:09:54 5692657227
>>5692627
Стрик , ебучая автоподмена со своим ровном.
Аноним 02/08/19 Птн 21:29:55 5692728228
>>5692570
Дрочить без окончания очень вредно, больше так не делай. О срывах тоже не переживай, единичный срыв, тем более через неделю, не скажется на тебе сильно. Гораздо опаснее уйти в запой, который начинается обычно с мыслей "А, бля, раз подрочил сегодня, то надрочусь вдоволь, а завтра/с понедельника обязательно начну новую нофаперскую жизнь".
Аноним 02/08/19 Птн 21:29:58 5692729229
>>5692482
>Прям как в детстве
Вот это дващую, какие-то обрывки детских воспоминаний лезут а голову и состояние похожее
Аноним 02/08/19 Птн 21:38:23 5692755230
>>5692729
Мне вообще начинает казаться, что все эти "раньше было лучше и трава зеленее" "игровая импотенция" это явления привязанные к мозгу человека. Чем больше дрочить и употребляет веществ человек, тем более хреновым ему всё кажется. Хотя, тут и другие факторы роль играют в любом случае, но привязка к самому человеку и его мозгу есть 100%, по крайней мере из личного опыта могу это предположить.
Аноним 02/08/19 Птн 22:01:08 5692838231
Через два дня нофапа начал возбуждаться ощутимо на сотрудницу на работе, и ловить сильное возбуждение спонтанно раз в день, например утром или когда оставался дома сам по себе. В общем, на пятый день воздержания все это спровоцировало срыв.

Вот и как воздерживаться если по работе видишь провоцирующий фактор в виде той тян? Фигура у нее отличная с красивыми хорошими формами, еще и одевается так хорошо в обтяжку. Еще побаиваюсь как бы спонтанными этими возбуждениями себе чего-то не сделал, нельзя ловить частые сильные эрекции без разрядки.

Попробую держать нофап еще раз.
Аноним 02/08/19 Птн 22:19:03 5692904232
А поясните, хуле нельзя фантазировать? Почему я не могу фантазировать, как буду ебать свою тян, когда с отпуска вернусь? Засыпаешь и представляешь как ебешь кого-нибудь, так со стояком и засыпаешь, что плохого?
Аноним 02/08/19 Птн 22:29:04 5692918233
>>5692755
Так я чувствую, что дофаминовая система приходит в норму, такие передышки необходимы каждому
Аноним 02/08/19 Птн 22:31:27 5692924234
>>5692728
Смотря какой срыв, можно вообще формально не дрочить, но оставаться в зависимости.
Аноним 02/08/19 Птн 22:32:06 5692927235
>>5692904
Это начало срыва, одна фантазия провоцирует ещё больше фантазий и слив обеспечен. Если вообще не фантазировать, то нофап даётся легче простого, никаких ломок и желаний ебать стены, всегда ровное и комфортное состояние.
Аноним 02/08/19 Птн 22:32:11 5692928236
>>5692838
>Фигура у нее отличная с красивыми хорошими формами, еще и одевается так хорошо в обтяжку
Отворачивать взгляд, смотреть строго на лицо. Если захотеть, можно и не смотреть на самом деле, но то что они провоцируют - это факт. Я бы запретил так одеваться
Аноним 02/08/19 Птн 22:33:05 5692929237
>>5692076
Ну вообще этот бред про "любое нарушение правил это срыв" давно пора убрать. Причём про порно я согласен. Но считать фантазию срывом это такое себе.
Аноним 02/08/19 Птн 22:33:26 5692931238
>>5692927
> одна фантазия провоцирует ещё больше фантазий и слив обеспечен
Фантазирую и не фапую, ЧЯДНТ?
Аноним 02/08/19 Птн 22:34:43 5692933239
>>5692928
Отворачивать взгляд это очень сомнительная практика, а зачем так делать с ирл тнями (я делал только с картинками) я вообще не понимаю. Ненужный фанатизм и сектантство. Отвод взгляда должен быть от чего-то жуткого, неприятного. Тянки таким не являются. Даже порнуха может являться, а тянки просто нет.

>я бы запретил так одеваться

Ну ок, давайте ответственность за свою слабость в отношениях перенесём на тян. Тем более общества где такой дресс-код нифига не здоровее. Но вы опять на флуд провоцируете.
Аноним 02/08/19 Птн 22:35:31 5692936240
>>5692927
У меня борьба с фантазиями шла рука об руку с повышенной тревожностью.
Аноним 02/08/19 Птн 22:36:35 5692938241
>>5692931
Значит недолго тебе осталось. Лучше определись в нофап тебе или нет.
Аноним 02/08/19 Птн 22:37:43 5692940242
А я бы запретил во-первых ныть про одежду, а во-вторых писать ахинею из серии "секс так же вреден". Вот это реальное вредительство, откровенное. Нофап-форумы в виду своей специфики притягивают таких кадров, которые такое пишут, но они по сути ничем не отличаются от тех у кого фап и порно 100% безвредны. Они даже более деструктивны, от чтения первых хотя бы чувства вины нету.

Я бы банил бы нафиг на Антио за такое, просто бы в бан и всё, за одобрение онанизма. Но мы имеет то, что имеем.
Аноним 02/08/19 Птн 22:37:47 5692941243
>>5692933
Они провоцируют на слив, это ебаный факт, даже не спорь. Да, надо запрещать так одеваться и провоцировать людей, это логично
Аноним 02/08/19 Птн 22:37:57 5692943244
>>5692931
Дофантазируещься до смазки из хуя и сольёшь, либо ссать криво будешь.
Аноним 02/08/19 Птн 22:38:31 5692945245
>>5692941
Провоцируют на слив пизданутые посты, которые опасно читать во время ломки. А фантазии могут и спровоцировать, а могут и нет.
Аноним 02/08/19 Птн 22:40:08 5692951246
>>5692943
И что? Эта смазка просто сливается и всё. И она куда в меньших объемах идёт чем от порно.

У меня поллюция на сроке в 2 месяца с лишним произошла именно за счет фантазий. Без поллюции мне хреново было очень. Так что конкретно в том примере фантазии были в чём-то даже на пользу. Алсо, если ты не фапаешь на фантазии то вряд ли они станут причиной срыва. Куда опаснее смотреть порно.
Аноним 02/08/19 Птн 22:40:20 5692952247
>>5692936
>>5692933
>свою слабость в отношениях
Это не просто слабость, а биологическая неконтролируемая потребность, парни почему-то не ходят голые, не обтягивают яйца и не показывают размер хуя на каждом углу, обтягивая жопы
Аноним 02/08/19 Птн 22:40:42 5692956248
Но я считаю что думать надо не о фантазиях, и не о бреде про то кто как одевается, а о личной жизни.
Аноним 02/08/19 Птн 22:41:45 5692959249
>>5692952
Если тебя бугуртит от тян в шортах на улицах, значит ты в состоянии фрустрации, а это значит что ты листва и не было тянки. И проблемы тут не в тнях, а в том что надо налаживать свою личную жизнь.
Аноним 02/08/19 Птн 22:43:26 5692963250
>>5692904
Потому, что сексуальный такой хороший стояк без разрядки это хуево для простаты.

>>5692928
> Отворачивать взгляд, смотреть строго на лицо.
Спасибо, попробую.

> Я бы запретил так одеваться
На работе точно можно было бы запретить. Там ведь у нее тонкая эластичная майка поверх большой натуральной груди, потому все так и непросто.

>>5692933
> Отворачивать взгляд это очень сомнительная практика, а зачем так делать с ирл тнями (я делал только с картинками) я вообще не понимаю. Ненужный фанатизм и сектантство. Отвод взгляда должен быть от чего-то жуткого, неприятного. Тянки таким не являются. Даже порнуха может являться, а тянки просто нет.
Отворачивать чтобы не возбуждаться - когда держишь нофап, то смотришь и начинается это характерное ощущение возбуждения в промежности, лобке и где-то у основания члена. Ладно еще какая-то случайная тян на улице, а когда рядом в комнате сидит ежедневно и не пару секунд девушка, то как-то надо смотреть по сторонам получается, иначе никак.

К тому же возникает желание если видишь красивые формы их приласкать, но его же не реализуешь. Облом такой получается.

>>5692941
Изменилось отношение общества к женской сексуальности. У тян подсознательно имеется желание нравиться и сексуально привлекать, все это реализация программы продолжения рода. И поскольку более нету таких общественных запретов на привлекать противоположный пол как хочется, то и стали так одеваться.

>>5692959
Удвою.
Аноним 02/08/19 Птн 22:43:49 5692965251
Аноним 02/08/19 Птн 22:43:58 5692966252
>>5692959
Нет у меня фрустрации никакой, фрустрация есть у моего хуя, который контролируется сознанием с усилием и частично.
Аноним 02/08/19 Птн 22:44:22 5692967253
>>5692933
Вокруг красивые сочные попки, вырезы, грудь обтянутые тонкими тряпочками а несет ответственность любой мужчина. Вам не кажется что вы воюете не в ту сторону? Это вещи на которые ты повлиять никак не можешь, а телочки и правда часто одеваются довольно провокационное.
Аноним 02/08/19 Птн 22:44:44 5692969254
>>5692963
> И поскольку более нету таких общественных запретов на привлекать противоположный пол как хочется, то и стали так одеваться.
Точнее не совсем так, голыми то не ходят. Но носить все уж совсем в обтяжку давно негативно не воспринимается в обществе.
Аноним 02/08/19 Птн 22:45:52 5692972255
>>5692927
Да хз, сейчас нофап почти 1,5 недели, фантазировал так перед сном раза три точно и не дрочил.

Другое дело, что я хз, стоит ли мне вообще во все это втягиваться. Я вот внимательно еще в шапке покопался, там и зож желательно, и физуха, кегель еще какой-то, охуеешь так жить. А думаю, что просто бросив дрочку, то особых изменений и не будет.
Аноним 02/08/19 Птн 22:48:12 5692976256
>>5692963
>Отворачивать чтобы не возбуждаться - когда держишь нофап, то смотришь и начинается это характерное ощущение возбуждения в промежности, лобке и где-то у основания члена. Ладно еще какая-то случайная тян на улице, а когда рядом в комнате сидит ежедневно и не пару секунд девушка, то как-то надо смотреть по сторонам получается, иначе никак.

Смотреть по сторонам в этом случае это просто хороший тон, я тоже стараюсь не пялиться в таких ситуациях, хотя когда как. Но если ты начнёшь себя загонять на почве этого, то сформируешь невроз. Я так отводил взгляд, от эротики по тв и так далее. Начнём с того, что однажды я просто не отвёл взгляд, от одной картинки, и сорвался в итоге. На сроке около 3х месяцев, ну 2 с половиной.

Но главное другое. У меня, за месяц до этого, были эротические сны. Так вот, я в этих снах так же начал отводить взгляд. Это уже нихрена не нормально, это показывает насколько невроз укрепился. И я уже писал, про неполные поллюции, когда выходит семенная жидкость, но в очень малых объемах, одна такая поллюция была именно в тот период.

И я говорю, отвод взгляда должен быть от чего-то страшного, мерзкого. Тянки таковым не являются. Порно таковым может быть, если ты его не смотришь или не имеешь зависимости.
Аноним 02/08/19 Птн 22:49:34 5692982257
>>5692963
>но его же не реализуешь. Облом такой получается.

Не хочу хвастаться, но у меня однажды была возможность реализовать, причём не моими стараниями даже. Но я просто решил, что мне это не нужно, там была другая ЕОТ. Но сейчас понимаю, что ради опыта можно было пригласить на свиданку ту тню на которую засмотрелся, а потом нас заочно познакомили. Это точно лучше чем неконтролируемый просмотр порно.
Аноним 02/08/19 Птн 22:52:32 5692993258
>>5692969
>>5692967
Самое интересное, что одеваются они так для 20% чэдов. Это самая настоящая дискриминация по полу
Аноним 02/08/19 Птн 22:53:10 5692996259
>>5692963
Ну раз хуево для простаты, то тогда уж дрочить лучше. А то тут даже пофантазировать нельзя, я может готов каждую вторую тян встречную ебать, но это же невозможно, а фантазии нормальный выход же.

Я конечно подержу еще, может рано еще для каких-то изменений в состоянии, но пока все как было, так и осталось.
Аноним 02/08/19 Птн 22:55:28 5693000260
>>5692963
Стояки вроде и так и так ночью бывают, во сне. Тут вопрос не в том был стояк или нет, а скорее были ли действия которые ассоциированы со срывом. Я не дрочу на фантазии уже 5 лет. ну, с оговорками, но тем не менее, и со срывом напрямую это не связано. Но фантазии могут формировать состояние которое приведет к срыву.
Аноним 02/08/19 Птн 22:59:11 5693010261
Аноним 02/08/19 Птн 23:00:31 5693016262
>>5692924
Можно конечно, но прекращение употребления предмета зависимости это одно из условий работы с зависимым поведением. С дрочкой, правда, несколько по другому, ведь это "эндогенное" удовольствие, в отличие от веществ.
Аноним 02/08/19 Птн 23:05:07 5693031263
>>5692996
> Ну раз хуево для простаты, то тогда уж дрочить лучше.
Так вот я к сексопатологу ходил, говорила что таки надо секс, чисто фап для простаты нехорошо. Пофантазировать можно, но если у тебя регулярный секс имеется. А если не получается не возбуждаться сильно часто, то лучше уж нофап не держать.

>>5693000
Ночной стояк и сексуальный это не одно и тоже. У меня при нофапе при сильных возбуждениях аж предэякулят выделяется.

>>5693016
С дрочкой тут не все просто, есть исследования что сексуальной зависимости не бывает - может быть просто высокая потребность в этом: https://ru.wikipedia.org/wiki/%D0%93%D0%B8%D0%BF%D0%B5%D1%80%D1%81%D0%B5%D0%BA%D1%81%D1%83%D0%B0%D0%BB%D1%8C%D0%BD%D0%BE%D1%81%D1%82%D1%8C То есть будет тян - вместо фапа так же часто с ней сможешь ебаться, если ей такая частота зайдет конечно же. То есть дрочкой ты просто стараешься удовлетворить потребность в сексе.

Собственно как не бывает зависимости от секса согласно данным по ссылке, то так мне видится сомнительной зависимость от фапа.
Аноним 02/08/19 Птн 23:10:10 5693047264
>>5693031
Может и так, не хочу сбивать себя с толку и увлекаться этими исследованиями. Про себя лично могу сказать, что либидо высокое, тем не менее я как-то научился "сублимировать" и мне нравится чувство вдохновения, которое меня сейчас сопровождает при интересных мне занятиях, изучение чего-либо нового и освоении каких-то навыков. Секс же сейчас для меня нечто далёкое, лёгкий образ, который иногда всплывает в памяти. Может я и остепенюсь, заведу тян и всё такое, но пока что мне это не интересно. Я продрочил всё детство и теперь хочу нагнать упущенное, наполнить себя новым, неизведанным. Я словно ребёнок, который познаёт этот мир и ему до всего есть дело, всё ему интересно.
Аноним 02/08/19 Птн 23:13:37 5693060265
>>5693031
Ну секс в меня от 1 до 3 раз в неделю, хз, регулярно это или нет.
Возбуждаюсь я за секунды, вялого в жизни не ловил, стояк по утрам всегда.

Ноуфап просто привлек некоторыми плюсами, которые могут фиксить то, что меня сейчас напрягает. Тревожность, утомляемость, много времени на сон.

Дрочил почти каждый или через день, по 1 разу, по времени от 5, до 20 минут максимум. Никаких выборов порно часами, марафонов и прочего не было.
Аноним 02/08/19 Птн 23:24:33 5693086266
>>5693060
Тогда, наверное, стоит ещё витаминок попить. А если конкретно: магний+б6, омега-3 с витамином Е, цинк. Я беру от доппельгерц. Эффект есть, брат жив.
Аноним 02/08/19 Птн 23:26:09 5693088267
Сука ебать меня коноебит, стоит о сексе подумать. Сижу на ад и габапентине. У меня внутри все полыхает. При этом я понимаю, что никакие тянки мне не светят, как тут не сорваться, хули делать хуй прямо знает
Аноним 02/08/19 Птн 23:30:56 5693101268
>>5693088
Сидеть на месте и мучиться точно нельзя, это вредно для простаты и мозга. Если не хочешь спускать ни в какую, то холодный душ, прогулка, интенсивные нагрузки, послушай молитвы или вдохновляющую музыку (что бы прям до мурашек). Я пользовался этими методами и мне отлично помогало, правда я довольно быстро определял нарастающее возбуждение и сразу действовал. Фича с музыкой помогала снимать особо сильное возбуждение. Правда, я никаких ад не принимал никогда, а габапентин это типа лирики фигня, на основе ГАМК?
Аноним 02/08/19 Птн 23:49:22 5693153269
>>5693101
Именно. Просто очень тяночку хочется постоянно. С последней разошелся полтора года назад. Блять что делать просто хуй знает
Аноним 02/08/19 Птн 23:55:37 5693168270
>>5693153
Попробуй фишки, которые я тебе написал, авось поможет. Сидеть без дела - худший из вариантов, даже хуже чем слить.
Аноним 02/08/19 Птн 23:57:16 5693173271
Аноним 03/08/19 Суб 00:01:28 5693181272
>>5693173
Телочки уже пря текут по нему по лицам видно
Аноним 03/08/19 Суб 00:07:44 5693194273
>>5693181
Не знаю, обычное дружелюбное общение. Как ты определил?
Аноним 03/08/19 Суб 00:45:41 5693242274
image.png (5Кб, 298x198)
298x198
image.png (2Кб, 312x58)
312x58
image.png (2Кб, 316x62)
316x62
>>5692098
Ещё одна провокация.
Аноним 03/08/19 Суб 00:46:23 5693243275
>>5692479
От характера тянки зависит.
Аноним 03/08/19 Суб 01:05:36 5693273276
Получается по хорошему это мне и баклой и другой барбитурой нельзя вкидываться потому-что она ушатывает дофомин блеадь. А когда дрочиш. Вообще дичь пиздетская получается. Блять ну и говнище
Аноним 03/08/19 Суб 01:06:40 5693275277
>>5692929
Фантазия приведет к срыву.
Аноним 03/08/19 Суб 01:07:12 5693276278
В треде завёлся провокация-шизик. Репортьте его за щитпост.
Аноним 03/08/19 Суб 01:07:35 5693278279
>>5692479
Ты чед получается? Бля вообще на двух неделях нофапона уже ощутил лютую уверенность, а сейчас опять сдрочился и опять говно)
Аноним 03/08/19 Суб 01:09:39 5693279280
>>5693273
Представь себе, что мужчина не видел свою жену 3 месяца из-за работы. А приезжает, и ценит и дом и жену, и спокойствие. Он не может нарадоваться ею. Но когда он всегда дома на диване, он уже не так воспринимает дом и жену. Все переходит в конфликты. Также и с дофамином.
Аноним 03/08/19 Суб 01:20:28 5693297281
Начитался кароче тут хуйни на счет того, что если стоит постоянно, то это для простаты вредно и все это вот, подрочил спустя почти 1,5 недели.
Ничего не изменилось, ну кончил и кончил, разве что быстрее чем обычно.

Попробую подержать теперь без фантазий и контролируя поднимание хуйца.
Аноним 03/08/19 Суб 01:23:00 5693300282
>>5693276
Проще игнорить. Никто не будет его банить за провокации, разве что модер сам нофапер.
Аноним 03/08/19 Суб 01:25:06 5693307283
>>5693297
>Попробую подержать теперь без фантазий и контролируя поднимание хуйца.
>Попробую подержать теперь без фантазий
Вот это замечательная идея, а то так с ума сойдёшь. Может ещё вкатишься куда-нибудь, типа изучать или обретать какие-то навыки, помогает. Я вот жонглировать научился.
Аноним 03/08/19 Суб 01:40:28 5693348284
>>5693307
Да мне чем себя занять будет.

Просто я всю свою жизнь фантазировал, даже когда тян были или есть, спать ложишься и минуток 5 лежишь и ебешь кого-нибудь в мыслях, а там и засыпаешь уже, ясен хрен со стояком. Просто когда фапаешь, то никакого застоя и т.д. нет же, а при нофапе я как-то не задумался и по привычке так засыпал.

В целом, мне кажется фапать, например, раз в неделю, это неплохой вариант. Сложно взвесить все что есть в треде и в шапке на предмет истины.

Отпишусь по истечении недели ближайшей.
Аноним 03/08/19 Суб 02:35:32 5693452285
>>5693348
Аноны делают все не так. Сперва пофиксите жизнь, а потом вам и дрочить не захочется. Устраивала бы тебя своя девушка и своя жизнь с ней, тебе незачем было бы фантазировать о других тянках.
Аноним 03/08/19 Суб 02:58:16 5693478286
>>5693452
Ну, например последние дни я фантазировал как буду ее ебать, когда приеду из отпуска, лол.

На счет пофиксить жизнь согласен, но решил, что раз нет возможности заниматься с психологом, а налаживать режим сна, жить по зожу и ходить в качалку не хочется, то почему бы не попробовать нофап.
Аноним 03/08/19 Суб 03:12:41 5693490287
>>5693478
Должен признать, что такая же проблема. И это ничего общего с фапом не имеет я бы сказал. То есть перед каждым сном я представляю как целуюсь с тян, которая мне понравилась, даже не присовываю, а просто обнимаю. То есть это желание близости и любви, и это доставляет больше чем фап. И я начал себя ловить на том, что а вдруг я извращенец? Так вообще кто-то делает еще? И увидел уже несколько раз как аноны пишут как фантазируют перед сном. Хрен знает как с этим бороться. Мне просто банально хочется любви и романтики, фантазии вроде дают иллюзию этого.
Аноним 03/08/19 Суб 03:19:58 5693495288
Аноним 03/08/19 Суб 03:33:44 5693507289
>>5693490
Ну я тоже не только о ебле фантазирую. Так-то тян у меня есть и все хорошо.
Но да, могу какие-то фантазии с другой тян иметь, начиная просто от близости как ты описываешь, заканчивая еблей.
Может конечно не хватает в жизни какой-то романтоты, не знаю. Да и плюс эти фантазии никогда не приводили к фапу.

Но есть и просто фантазии, могу в какую-нибудь рпг поиграть и представляю как я в лесу какую-нибудь нечисть рублю. Или собираюсь что-то купить и представлю себе как буду это использовать и т.д.

А так, фантазирую перед сном с детства.
Хрен знает, может просто мозг так расслабляется или еще что, лучше уж под так заканчивать день и заснуть, чем о какой-то бытовухе думать.
Сомневаюсь, что это какой-то вид особых извращений, может это и не очень нормально и в сон надо с пустой головой идти, но мне это дискомфорта не доставляет.
Аноним 03/08/19 Суб 03:37:54 5693509290
>>5692929
Это так не работает.
Аноним 03/08/19 Суб 03:55:53 5693527291
>>5692929
Что отличает фантазию от прона, мм?
Аноним 03/08/19 Суб 04:27:46 5693543292
>>5693527
Насколько я диванный эксперт с мейлача да могу судить, фантазии гораздо важнее самого прона, прон провоцирует, но именно фантазии включают сам рефлекс ошибки.
Аноним 03/08/19 Суб 06:13:44 5693568293
Покупаете арбуз, жрете, ссыте 20 раз в час, получаете раздражение в уретре, легкое онемение залупы, и дрочить не хотите. Отвечаю работает. Чай тоже было бы хорошо. Ощущение после ссанья 20 раз в чат сравнимо с тем как будто бы ты терпел целый час в автобусе, приходишь домой, ссышь и болит пенис (припекает кончик залупы), я вот не мог дрочить например так.
Аноним 03/08/19 Суб 06:45:47 5693597294
>>5693568
Пока всему миру припекает анус, дрочеру припекает кончик залупы. Так и живём.
Интересный вариант с питьём-ссаньём вместо дрочки.
Аноним 03/08/19 Суб 08:55:15 5693729295
>>5693568
>Чай тоже было бы хорошо.
У меня так почки стали болеть что ходить становилось трудно
Аноним 03/08/19 Суб 08:55:57 5693730296
>>5685093 (OP)
>3. Не фантазировать³.
Сны считать за фантазию? Я не могу ими управлять
Нофап примерно неделю Аноним 03/08/19 Суб 09:47:23 5693783297
Сегодня приснился сон, давно не снились.
Во сне я занимался с сексом с коллегой по работе.
Секс мне не снился пару лет. Настоящий секс был несколько месяцев назад.
Хочу ещё такие сны.
Аноним 03/08/19 Суб 09:54:40 5693791298
>>5693730
Это норма, главное не спать на животе, желательно опомниться и проснуться до поллюции.
Аноним 03/08/19 Суб 09:55:08 5693792299
>>5691963
Это хорошо, что удовольствия не получил. Допаминовые сети не успели среагировать.
Аноним 03/08/19 Суб 09:55:54 5693794300
>>5693568
От заполненности мочевого пузыря выше риск сорваться наткнувшись на порно.
Аноним 03/08/19 Суб 09:58:03 5693799301
>>5693047
Интересно, а сколько тебе лет?

>>5693060
У меня за последние года утренних эрекций почти не бывает уже. Сексопатолог говорила что это из-за возраста - после 25 лет из-за изменения гормонального фона они уже могут пропадать. 30 лвл сейчас.

Мне еще сложно держать нофап из-за страха потери оргазма - стабильно после воздержания даже в 1-2 дня оргазм либо еле-еле, либо никакой. Когда дрочил 1-2 раза в день, то он в большинстве случаев был нормальный. Не знаю в чем причина, врачи на это не ответили ничего. Так что при срывах приходится фапать повторно еще раз или два, чтобы оргазм получить.

В идеале бы найти тян и попробовать секс чтобы проверить все, а то врачи не сильно берут во внимание расстройства оргазма если ты только дрочишь.
Аноним 03/08/19 Суб 10:28:50 5693838302
БЛАТЬ АНОНЫ ДРОЧИЕТ ДРОЧИТЕ КОГЛА МОЖЕТЕ, ВЫ ПОТОМ ЖАЛЕТЬ БУДЕТЕ, КОГДА ХУЙ СТОЯТЬ НЕ БУДЕТ. ВРЕМЯ ПРОЙДЕТ, ПОКА МОЛОДЫЕ ДОСТАВЛЯЙТЕ УДОВОЛЬСТВИЕ, ПОТОМ УЖЕ ПОЗДНО БУДЕ. ДЕРЖАЛ НОФАП 6 МЕСЯЦЕВ И ДАЖЕ ГОД. НУ И ЧТО? А НИЧЕГО, Я ВСЕ ТАКОЙ ЖЕ БЫЛ. НИЗУЯ ЖТО НЕ ПОМОГАЕТ, ВЫ СМОЖЕТК ДЕРЖАТЬ НОФАП ЕСЛИ ТОЛЬКО КАК БЫКИ РАБОТАТЬ БУДЕТЕ, ТОГДА И МЫСЛЕЙ НЕ БУДЕТ
НЕ СЛУШЙТЕ НОФАПЕРОВ, ОНИ ДОЛБАЕБЫ
КРИК ДУШИ НАХУЙ АНОНЫ НЕ ВЕРЬТЕ ИМ!
Аноним 03/08/19 Суб 10:42:31 5693862303
>>5685274
17) Маленькие глаза
18) Узкие ноздри
19) Ты долбоёб, нахуй ты физические параметры вписываешь сюда?
Аноним 03/08/19 Суб 10:43:46 5693864304
>>5693862
>физические параметры
Фап их тоже слегка подкашивает, наиболее негативно влияя на глаза.
Аноним 03/08/19 Суб 10:46:54 5693869305
>>5685309
Никогда не понимал таких долбоёбов/дегенератов.
У меня когда была тян, даже если мы только за ручку ходили, не хотелось дрочить и смотреть порно вообще. А тут вообще ебётся даже лол. Бывают даже куколды, которые в 40+ лет в тихую от жены наяривают, ну это конечно дегенератизм ещё тот, нахуй им нофап, их уже не вылечить.
Аноним 03/08/19 Суб 10:52:18 5693879306
>>5685555
Вы все долбоёбы и спрашиваете/отвечаете по кругу то, что было обсуждено 1000000 раз.
Поллюция не обязательно должна быть, есть такая вещь как реабсорбция спермы, когда сперма обратно расщепляется и впитывается организмом, как можно этого не знать в 2к19?
А дрочить = быть дегенератом/куколдом/долбоёбом. Варикоцеле у тебя, пиздоцеле или анусоцеле, дрочишь = являешься долбоёбом.
Нахуй вы вообще заходите в НОФАП ТРЕД с таким блять подходом? "Дрочить разх в месяц норм", "дрочить раз в неделю норм", "Подсматривать за сексом взрослых людей норм", "Подсматривать как писает маленькая дочка соседки норм" и т.д. Вы вообще охуели, животные?
Как, впрочем, и в случае шлюх и давалок, но это уже более спорное мнение, можно дискутировать.
Аноним 03/08/19 Суб 10:53:17 5693882307
>>5689003
Просто ты инфантильный.
Аноним 03/08/19 Суб 10:54:05 5693885308
>>5685652
Бля, пиздец, любой умный человек это и так знает. Мог написать короче: "Нужно бросать не только порно, но и дрочить", всё остальное это лишние буквы.
Аноним 03/08/19 Суб 10:55:12 5693887309
>>5685979
Апдейт
День 120, у Виталика остановилось сердце, собираем нашему нофаперу на похороны.
Аноним 03/08/19 Суб 10:56:45 5693890310
>>5692482
2 поллюции = 2 срыва, никакие у тебя не 84 дня полного воздержания, а может 14 дней от силы. Учись нормально нофапать, у тебя просто плацебо сработало.
Аноним 03/08/19 Суб 10:58:37 5693892311
>>5693490
Да, ты извращенец, пересмотрел порно в своё время. С возрастом это будет усугубляться, начнёшь фантазировать на подростков, а потом на маленьких девочек или мальчиков.
Вот ты и дофантазировался
Аноним 03/08/19 Суб 10:59:13 5693894312
>>5693890
Поллюции считаются за срыв?
Аноним 03/08/19 Суб 10:59:20 5693896313
>>5693879
> А дрочить = быть дегенератом/куколдом/долбоёбом. Варикоцеле у тебя, пиздоцеле или анусоцеле, дрочишь = являешься долбоёбом.
Сильно же часть населения задевает что кто-то вместо того чтобы напрягаться и заводить отношения только дрочит.

> Вы вообще охуели, животные?
Найс триггернулся.

Мы делаем то, что хотим.
Аноним 03/08/19 Суб 10:59:39 5693897314
Аноним 03/08/19 Суб 11:02:46 5693900315
>>5693896
Мне вообще похуй что вы делаете, просто вы заходите в нофап тред, туда, куда я захожу почитать что-то познавающее, новое про нофап. А тут в 100 раз Вася рассказывает другому Васе заблуждения про поллюции, заблуждения про дрочить раз в N-дней и прочую хуйню и так по кругу.
Аноним 03/08/19 Суб 11:04:15 5693903316
>>5693894
Конечно, не слушай никого. Если у тебя поллюции, то ты что-то делаешь неправильно, а вот когда уже тебе не будет к чему придраться, ты вообще не фантазировал, вообще не видел эро-контента и не рассматривал баб, тогда можно говорить о том, что поллюция это не срыв, а твоя физиология, так как она разная у всех.
Аноним 03/08/19 Суб 11:05:56 5693906317
>>5693900
Аноны говорят о том, что их волнует, к тому же сюда часто заходят новички, у которых еще нет ответов на какие-то вопросы. Это же не конфа с постоянными участниками. Не знаю, что тут можно найти познавающее про нофап - это надо искать в мед. литературе если такая есть, и лучше зарубежной, там шанс найти куда больше информации.
Аноним 03/08/19 Суб 11:08:06 5693909318
>>5693906
Ну так пускай новичку луркают сначала, инфа открытая, всегда было так, что человек сначала разбирается в теме, читает тред, читает инфу, порактикует, получает какой-то опыт, сравнивает его с опытом других, а потом уже приносит что-то новое из своего опыта, что и другим будет полезно и спрашивает совета насчёт того, что сам не нашёл.
Аноним 03/08/19 Суб 11:09:05 5693911319
>>5693906
Спрашивать про дрочить раз в неделю, про то нормально ли фантазировать и не дрочить и прочую хуйню это даже не моветон, это пиздец.
Аноним 03/08/19 Суб 11:27:08 5693923320
>>5693894
Шапку читайте, суки, шапку!
Аноним 03/08/19 Суб 11:50:08 5693966321
>>5693903
В первые полгода организм перестраивается с режима осеменителя, поллюции очень вероятны.
Аноним 03/08/19 Суб 13:18:14 5694123322
>>5693838
>БЛАТЬ АНОНЫ ДРОЧИЕТ ДРОЧИТЕ КОГЛА МОЖЕТЕ, ВЫ ПОТОМ ЖАЛЕТЬ БУДЕТЕ, КОГДА ХУЙ СТОЯТЬ НЕ БУДЕТ. ВРЕМЯ ПРОЙДЕТ, ПОКА МОЛОДЫЕ ДОСТАВЛЯЙТЕ УДОВОЛЬСТВИЕ, ПОТОМ УЖЕ ПОЗДНО БУДЕ.
С таким мышлением ты и дня не продержишься, иди нахуй.
Аноним 03/08/19 Суб 13:20:08 5694125323
>>5693903
> Конечно, не слушай никого. Если у тебя поллюции, то ты что-то делаешь неправильно, а вот когда уже тебе не будет к чему придраться, ты вообще не фантазировал, вообще не видел эро-контента и не рассматривал баб, тогда можно говорить о том, что поллюция это не срыв, а твоя физиология, так как она разная у всех.
Поллюции это норма при отсутствии эякуляций что при фапе, что при сексе, можете сами медицинскую литературу почитать.
Аноним 03/08/19 Суб 13:29:04 5694136324
>>5694125
Реабсорбция спермы.
У меня никогда не было поллюции, при этом спермача вырабатывается более чем достаточно. Раньше не было потому, что я дрочил, но сейчас я воздерживаюсь по 2 3 месяца и у меня нет поллюций
Аноним 03/08/19 Суб 13:32:06 5694139325
Аноним 03/08/19 Суб 13:36:19 5694143326
>>5694139
>Ещё 100 лет назад учёные про это отлично знали.
Точнее 100 лет назад ученые нихуя не знали.
Аноним 03/08/19 Суб 13:39:10 5694146327
>>5694139
>Китайцы издавна употребляют яички для возбуждения силы, храбрости, для лечения бледной немочи и т. п.
Ясно, дальше не читал
Аноним 03/08/19 Суб 13:42:36 5694152328
>>5694143
Да они и сейчас нихуя не знают.
Аноним 03/08/19 Суб 13:43:31 5694153329
>>5694152
Знают по крайне мере больше, чем 100 лет назад.
Аноним 03/08/19 Суб 13:46:47 5694159330
>>5694136
У меня поллюции до начала фапа в 21 год были от раза в два месяца до 3-х раз в месяц примерно. Это сильно индивидуально. Нофап пока долго не держал, так что их не было еще. А может и не будут при нофапе, хз.

>>5694139
Яйца вырабатывают только совсем малую часть спермы - основной объем эякуляту придает секрет семенных пузырьков и сок простаты. Так что и после вазектомии из-за накопления секрета в упомянутых органах периодически будет хотеться секса и будет хотеться разрядки. Желание этого всего провоцируется как раз наполненностью семенных пузырьков, но не только этим, судя как у людей не пропадает секса даже после удаления простаты и всей ее "обвязки".

Аноним 03/08/19 Суб 14:24:25 5694231331
>>5693894

Не читай ебанатов, которые считают, что последствия дрочки вызваны потерей семени. Это жалкие эзотошизки и воздержанцы.

Вред дрочки или порно вызван непосредственно самим фактом зависимости, т.е. существованием нейронной связи в центрах вознаграждения, которая по мере роста начинает всё время глушить твой дофамин, а значит и увеличивать пролактин.

Срывом считается всё то, что эту связь восстанавливает(т.е. вспоминает), после того как связь восстановилась она опять начинает глушить дофамин. Если ты дрочер, то для тебя срыв - дрочка и трогание хуя. Если порнозависимый - просмотр порно и(или) дрочка.

Непосредственно эякуляция во сне не связана с зависимость, а значит её не вспоминает, а значит и не является срывом.
Аноним 03/08/19 Суб 14:31:18 5694248332
Муги.jpg (121Кб, 500x500)
500x500
>>5694231 То есть потеря колоссального количества ценных минералов и микроэлементов никак не отражается на организме? И никак не связана с замедлением развития и ослаблением мужественности у дрочеров? Найс логика.

Аноним 03/08/19 Суб 14:52:11 5694321333
>>5694248

> То есть потеря колоссального количества ценных минералов и микроэлементов никак не отражается на организме?

Если бы семя было важно для организма, не существовало бы механизмов его вывода, например той же поллюции. Неужели не хватает мозгов дойти до этого.

>И никак не связана с замедлением развития и ослаблением мужественности у дрочеров?

Ослабление мужественности дрочера связано с тем, что связь зависимости в центрах мотивации начинает глушить выработку дофамина(ломка). Снижение уровня дофамина приводит к увеличению пролактина, ибо дофамин ингибирует его выработку гипофизом. Повышенный же пролактин ингибирует активность фермента 5-альфа-редуктазы, который отвечает за переход тестостерона в дигидротестостерон, т.е. наиболее сильную форму. Именно поэтому дрочер даже с нормальным тестостероном испытывает недостаток мужественности. И к семени это не имеет никакого отношения.

>Найс логика.

Спасибо. А вот твоя логика дерьмо.
Аноним 03/08/19 Суб 14:54:12 5694328334
>>5694321
>Неужели не хватает мозгов
сравнить состав спермы при эякуляции и поллюции? Очередной жрочер сосёт хуй в попытках внести смуту в тред. Где вас таких набирают только.
Аноним 03/08/19 Суб 15:05:07 5694346335
>>5694248
> То есть потеря колоссального количества ценных минералов и микроэлементов никак не отражается на организме?
Есть какие-то исследования, доказывающее это? А то так и сексом заниматься вредно получается, а это не так - оргазм это отличная тренировка для сердечно-сосудистой системы.

> И никак не связана с замедлением развития и ослаблением мужественности у дрочеров? Найс логика.
Дрочить начал аж в 21, и как не был сильно мужественным, так и не стал им. Да и каков механизм отрицательного влияния на мужественность имеет фап?

Фап вреден в основном тем, что им изрядно сбиваешь себе мотивацию завести отношения, получая разрядку иным способом, а не с девушкой (или кому там кто нужен). Ну и если верить врачу к которому ходил это тяжелая нагрузка на простату - она наилучше работает только при сексе. Собственно по этим двум причинам я и начал нофап.

Аноним 03/08/19 Суб 15:08:49 5694356336
>>5694328

> Очередной жрочер сосёт хуй в попытках внести смуту в тред. Где вас таких набирают только.

Ой нахуй иди. Кому нужна истина, чтобы добиться успеха тот возьмёт. Ебланы же вроде тебя должны и дальше прибывать в манямирках, а если начинаете проецировать их на окружающих, то предоставьте ваши доказательства.
Аноним 03/08/19 Суб 15:09:48 5694359337
Это стресс-автор.JPG (11Кб, 565x193)
565x193
Это стресс.JPG (58Кб, 432x630)
432x630
>>5694346
>каков механизм отрицательного влияния на
Тонна инфы в шапке. Из банального пикрил, о разрушительном влиянии стресса на ГР и гормоналку в целом общеизвестно.
>сексом заниматься вредно получается,
Вредно эякулировать, как долбоёб, регулярно и помногу. И это опять же общеизвестно уже тысячи лет. Выше ссылка на наблюдения американских врачей за вынужденно воздерживавшимися мужчинами.
>>5694356 Нахуй твоя жопа хороша, дрочер.
Аноним 03/08/19 Суб 15:12:56 5694367338
Если я не дрочу, но все равно каждый день сохраняю картинки с тянами, это значит что дофаминовые рецепторы все еще в говне и у меня тот эффект кулиджа?
Аноним 03/08/19 Суб 15:13:37 5694371339
image.png (38Кб, 467x190)
467x190
Был жирный (10 кг лишнего), апатичный, ничего не хотел, тупо на автомате всё делал, лежал на кровати овердохуя, не высыпался, ничего не мог делать нормально, уставал от любых действий, ПРОСТО что-либо сделать было очень проблематично, дрочил с 12 лет по 2 – 4 раза в день. Составил себе расписание, отключился от новостей, инстаграма, ютуба, реддита, двача почти максимально. Порно и эротика под запретом. Не дрочу уже 40 дней, утром занимаюсь зарядкой, питаюсь более-менее хорошо и стабильно в одно и тоже время, занялся небольшой тренировкой, уменьшил количество музыки. Результаты следующие: сбросил 5 кг, подтянул физуху и выносливость, стал непринужденно себя вести и общаться с людьми, голос поменялся, раньше тараторил и тихо говорил, но сейчас такого нет, начал читать больше книг, никаких проблем со здоровьем пока не было, стал нормально концентрироваться во время учёбы и работы, больше вещей приносит удовольствие и получается легко их делать.
Аноним 03/08/19 Суб 15:13:41 5694372340
>>5693527
Лично у меня фантазии не вызывают эффект погружения. Я могу ПРОСТО прекратить и потом на следующий день без дискомфорта, или с минимальным, куда-то поехать. С порно такое просто невозможно, у меня. Если я начал смотреть то я буду смотреть пока не будет срыв. Речь про порно, именно с активным поиском, сцена в фильме меня так же к срыву не приведёт.

>>5693543
У меня всё наоборот, но фантазии могут быть ломками по порно.

>>5693031
>У меня при нофапе при сильных возбуждениях аж предэякулят выделяется.

У меня тоже порой при фантазиях он выделялся, кстати скорее как раз в те периоды когда фапал чаще, видимо гормоны влияют на фантазии как-то. Но к срыву это не приводило, опять же. Просто потом подмывался и всё.
Аноним 03/08/19 Суб 15:14:16 5694375341
>>5694367 Это само собой, но это далеко не главная проблема. В шапке найди статью о "сексуальном стрессе". Вкратце: пустое возбуждение = привет, онкология.
Аноним 03/08/19 Суб 15:16:44 5694383342
>>5694375
А если следить постоянно чтобы не возбуждаться, то это привет, невроз.
Аноним 03/08/19 Суб 15:17:08 5694384343
Другое дело, что сохранять картинки с тянами действительно не нужно если у тебя нофап.
Аноним 03/08/19 Суб 15:17:16 5694386344
>>5694359
> Тонна инфы в шапке.
Гляну сейчас, еще не читал ее.

> Вредно эякулировать, как долбоёб, регулярно и помногу.
Да, я это не отрицаю.

Но тут поди еще разберись насколько для каждого будет много - при сильном либидо ебутся раз-два в сутки, и конкретно в книге по сексологии я не находил что это вредно. Также читал ответы то ли психиатра, то ли сексолога одной тян, которая недавно женилась и с мужем часами с постели не вылезают - сказал ей радоваться пока может, так как такое состояние долго не продолжается, и со временем обоим будет хотеться поменьше.

Или вредно много кончать именно только при дрочке?
Аноним 03/08/19 Суб 15:20:21 5694394345
>>5694383 Сто раз пояснял тут за эту хуйню, но ты всё долдонишь свою хуйню про невроз. У тебя невроз, у нормальных людей всё отлично.
>>5694386 Кончать вредно в принципе, т.к сперма это кладезь ценных веществ, и сперма предназначена не для сливания в варежку всяким шаболдам, а для создания детей. Но это нофап-тред, а не воздержания-тред, поэтому никто не настаивает, чтобы анон становился монахом. Главная цель треда - чтобы анон убрал руки от хуя.
Аноним 03/08/19 Суб 15:29:27 5694419346
>>5694394
> Кончать вредно в принципе, т.к сперма это кладезь ценных веществ, и сперма предназначена не для сливания в варежку всяким шаболдам, а для создания детей. Но это нофап-тред, а не воздержания-тред, поэтому никто не настаивает, чтобы анон становился монахом. Главная цель треда - чтобы анон убрал руки от хуя.
Так зачем шаболдам-то, достаточно завести постоянного партнера.

Аноним 03/08/19 Суб 15:31:32 5694425347
>>5694419 А разница? Кто тебя ослабляет, клубная шмара или "любимая"? Подсел на пизду = стал слабым в 90% случаев.
Аноним 03/08/19 Суб 15:33:20 5694431348
SigmundFreudLIFE.jpg (11Кб, 250x352)
250x352
>>5694359

>Тонна инфы в шапке.

Дерьмо втоя шапка.

>Нахуй твоя жопа хороша, дрочер.

Такого рода высказывания отлично показывают генезис шизиков воздержанцев вроде тебя. Отсутствие положительного опыта с женщинами привело к появлению подсознательной ненависти к ним, это выражается в появлении психической защиты, в которой ты пытаешься оправдать свою невостребованность ими якобы собственным желанием не изливать семя. Как следствие это ненависти, появляются и гомосексуальные предпочтения, которые ты и подтвердил высказыванием, которое сказать здоровому гетеросексуальному мужчине и в голову не придёт.

Ничего, бросишь порно и этой пройдёт, скорей всего.

>>5694367

Это значит, что твой прогресс будет практически нулевой. Ломку и нарушение гормонов вызывает нейронная связь зависимости, которую ты всё время восстанавливаешь сохранением картинок с тянками, ибо у тебя очевидно порнозависимость, т.е. зависимость от эффекта Куллиджа. А не непосредственно дрочка. Дрочить разумеется не нужно, ибо это тоже восстанавливает связь, хотя и не так сильно как непосредственно реализация эффекта Куллиджа, посредством просмотра и сохранения картинок.

Тебя нужно навсегда бросить дрочить и смотреть порно и эротику, другого пути у тебя нет.

Я это проверил экспериментально, я избавился от зановесок у себя в комнате. Не дрочил месяца два(смотрел порно), эффект практически нулевой, сподвижки появились только тогда когда начал держаться и от порно.
Аноним 03/08/19 Суб 15:36:11 5694441349
>>5694431 Ты предложил мне пойти на хуй. Какой же ты гетеросексуал? Нормальный мужчина и в мыслях такого не имеет. Ты самый настоящий латентный педераст.
Аноним 03/08/19 Суб 15:39:17 5694451350
>>5694394
>ПРОБЛЕМА В ТЕБЕ!11

ясно

В 2016 я полгода в сумме (два срока почти по 3 три месяца и один чуть меньше месяца) воздерживался жестко. Без секса. Но потом начались проблемы с тревожностью.

>Но это нофап-тред, а не воздержания-тред, поэтому никто не настаивает, чтобы анон становился монахом. Главная цель треда - чтобы анон убрал руки от хуя.

Вот тут согласен.
Аноним 03/08/19 Суб 15:40:55 5694458351
>>5694431
Это ты тут постишь про порнозависимость? Респект.
фрустрация-кун
Аноним 03/08/19 Суб 15:41:11 5694461352
>>5694451
>начались проблемы с тревожностью.
Именно, проблемы в тебе. У десятков тысяч воздержанцев тревожности и нервяки сходят на нет, а вот у тебя что-то вылезло. И вместо того, чтобы разобраться в причинах, ты регулярно срёшь ИТТ. Вывод: в этом и есть твоя задача. Не улучшить жизнь нофапом, а срать ИТТ.
Аноним 03/08/19 Суб 15:42:06 5694463353
Если не жрать всякое говно, то хочется дрочить больше. И наоборот.
В итоге что то хуйня, что это.
Аноним 03/08/19 Суб 15:42:52 5694464354
>>5694461
Но почему-то к тем кто реально засирает тред ахинеей у тебя претензий нету. Вроде антисексуалов и "борцов с прелюбодением".
Аноним 03/08/19 Суб 15:43:32 5694466355
>>5694248
Двачую. Перестал расти в 13-14 лет, дрочу с 3 лет. Рост остался 178, так бы был 198.
Онанизм делает вас карланами!
Аноним 03/08/19 Суб 15:44:46 5694469356
>>5694464
>антисексуалов
Где ты их нашёл? Тут у большинства нормальное понимание вопроса. Бросил дрочить - нашёл себе подругу - забыл о дрочке и живёшь счастливо до 100 лет.
Аноним 03/08/19 Суб 15:44:47 5694470357
>>5694425
Отношения не ослабляют человека. А чего любимая в кавычках? Никогда не был в отношениях, не влюблялся взаимно, не любил и не знаешь как это? На пизду не подсаживаются - либидо это естественная потребность, которую таки надо реализовать - иначе жизнь никогда не будет полноценной и счастливой, как бы иного никому не хотелось. В этом плане я согласен с психиатрами и психотерапевтами.
Аноним 03/08/19 Суб 15:44:57 5694472358
>>5694425
У меня когда я не кончал около двух месяцев впечатления были скорее негативные.
Аноним 03/08/19 Суб 15:45:35 5694475359
>>5694470
Да он порой вообще бред тут писал такой. Я до сих пор помню тот пост на национальную тему.
Аноним 03/08/19 Суб 15:46:48 5694480360
>>5694470
>которую таки надо реализоват
Ок)) Главное, не дрочи.
>>5694472 100 раз обсосан этот вопрос. Много двигаешься, избегаешь возбуждения и разного негатива, превозмогаешь, вообще забывая о дрочке и порно, и всё пучком. За два месяца ты уже должен был забыть, что когда-то имел такую проблему.
Аноним 03/08/19 Суб 15:48:00 5694485361
>>5694480
У меня сроки более двух месяцев или около были неоднократно. Видишь, не всё так просто.

И самое главное это бросить порно. На Антио есть люди кто формально не дрочит, но остался в зависимости.
Аноним 03/08/19 Суб 15:50:00 5694488362
>>5694485
>есть люди кто формально не дрочит
Мне похуй на примеры разных мудаков. За два месяца человек стал свободным. Если по какой-то причине он решает снова скатиться, то его личный выбор.
Аноним 03/08/19 Суб 15:50:53 5694492363
>>5694488
Да ты сам писал, что на порно срывы у тебя были чуть ли не спустя месяц после начала нофапа. Хотя опять же, я не понимаю что под этим подразумевалось, может ты одну картинку открыл и всё.
Аноним 03/08/19 Суб 15:52:15 5694493364
>>5694492 Я писал, что пытался бросать на голой силе воли и срывался десятки раз. И всё-таки победил.
Аноним 03/08/19 Суб 16:15:18 5694531365
>>5694464
Один ты срёшь порнозависимостью и невзрозом, создай свой "порнозависимый" тред и там сри.
Аноним 03/08/19 Суб 16:18:19 5694543366
>>5694531
Потому что я порнозависимый в первую очередь, без порно последний раз дрочил в 2015 и уже тогда это был эксперимент.
Аноним 03/08/19 Суб 16:19:24 5694546367
>>5694543 Не, в первую очередь ты вниманиеблядь. Ты даже не пытаешься решить свою проблему.
Аноним 03/08/19 Суб 16:20:11 5694548368
>>5694248
Сильный организм наоборот больше спермы будет производить. На Антио были примеры парней которые активно ходили в зал и у них поллюции могли бы по паре раз на неделю, то есть гормональный уровень был очень высоким.
Аноним 03/08/19 Суб 16:20:38 5694551369
>>5694546
Да ладно, я только в ИТТ впервые решил использовать подпись.
Аноним 03/08/19 Суб 16:26:15 5694564370
>>5694451

Проблем с тревожностью после отказа от порно и дрочки быть не может. Просто нужно понимать, что в результате отказа от порно, если ты порнозависим, тебя будет ждать впереди долгий период отвыкания, который как правило будет сопровождаться усилением ломок, а значит и тревожности.

Вполне возможно, что эти месяцы ты не дрочил, но, например, смотрел порно, а потом долго его не смотрел и поэтому у тебя и закономерно и обострились ломки, и значит и усилилась тревожность .

Если ты бросаешь дроч и прежде всего порно, то ты должен быть готовым к ухудшению состояния на, возможно, длительное время. Но когда ты этот период переждёшь, то будешь вознаграждён, оно того стоит, нужно бросать несмотря ни на что.
Аноним 03/08/19 Суб 16:43:22 5694611371
>>5694564
Ты просто недостаточно хочешь бросить дрочить и придумываешь сказки про зависимость, чтобы вниманиеблядствовать.
Аноним 03/08/19 Суб 16:51:49 5694638372
Посмотрите на рост тех, кто начал дрочить после пубертата - рост высокий.
Пенис крупный.
Аноним 03/08/19 Суб 17:00:49 5694660373
>>5694611

Почитай тред, я писал ранее, что уже как два месяца не дрочу, ибо избавился от зановесок в комнате.

Я не отрицаю, что нужно бросать дрочить, дрочка - это триггер к восстановлению связей(вспоминания зависимости, и возвращении ломок), я говорю, что пока не откажешься не только от дрочки но и от порно, результат будет практически нулевой(если у тебя порнозависимость, а не зависимость непосредственно от дрочки).
Аноним 03/08/19 Суб 17:15:40 5694701374
>>5694638
Дрочу с 12 лет эвридей, рост 188 хуй 16 в длину и примерно столько же в обхвате.
Аноним 03/08/19 Суб 17:19:46 5694709375
>>5694701
Ну в 12 лет поздно начал.
Я вот начал в 3 года. Рост 178 - как 14 лет исполнилось, нихуя не расту больше. Хуй 17х13.
Если бы в 12 начал, то может быть, тоже был бы 190, 20х16.
Аноним 03/08/19 Суб 17:21:25 5694715376
>>5694701
Начал дрочить аж в 21, до этого только возбуждался на фантазии, но не с утра до вечера и не каждый день. Рост 190, хуй 12,5. Такое возбуждение на фантазии можно считать дрочкой? Не пришло в голову взяться за хер тогда рукой и доводить себя до оргазма. Только когда дома появился инет и когда я вычитал что не сливать плохо - тогда и начал обычный фап.
Аноним 03/08/19 Суб 17:22:53 5694719377
>>5694715
А, и вообще я хорошо сублимировал в детстве и подростковом возрасте в разные занятия, например в электронику. Может еще и потому получилось так поздно обычный фап начать.
Аноним 03/08/19 Суб 17:34:12 5694746378
>>5694715
Лол, неужели ты правда дожил до 21 года не зная о том как дрочить? Я просто не могу в это поверить, ты что вообще со сверстниками не общался?
Аноним 03/08/19 Суб 17:38:44 5694755379
>>5694321
>Ослабление мужественности дрочера связано с тем, что связь зависимости в центрах мотивации начинает глушить выработку дофамина(ломка). Снижение уровня дофамина приводит к увеличению пролактина, ибо дофамин ингибирует его выработку гипофизом. Повышенный же пролактин ингибирует активность фермента 5-альфа-редуктазы, который отвечает за переход тестостерона в дигидротестостерон, т.е. наиболее сильную форму.
Расшифруй это для тупых плиз. Я правильно понимаю что вред заключается в СТРАДАНИИ которое придумывает себе человек считающий дрочку чем-то не нормальным?
Аноним 03/08/19 Суб 18:02:53 5694801380
>>5694755

>Расшифруй это для тупых плиз. Я правильно понимаю что вред заключается в СТРАДАНИИ которое придумывает себе человек считающий дрочку чем-то не нормальным?

К никаким страданиям и неврозам это отношение не имеет. Центры мотивации работают по принципу: полезный опыт(дофаминовый всплеск) -> запоминание полезного опыта по действием дофамина в нейронных связях. Далее эти связи будут толкать тебя к повторению полезного опыта посредством снижения дофамина. Когда речь идёт о повседневных делах, эти связи незначительны, ибо дофамин их построивший был незначителен, а значит и снижение дофамина будет незначительное. К примеру ты забыл заказать пицу, когда очнулся, почувствуешь незначительные неприятные ощущения (разочарование).

Когда ты долгое время сталкиваешься с вещами приносящими огромный прирост дофамина (эффект Куллиджа, другие наркотики), эти связи в центрах мотивации становятся настолько сильными, что начинают просаживать дофамин всё время, т.е. как бы требуют повторения дофаминового опыта. Именно на этой просадке и основан вред от порно, и дрочки(в случае зависимости от дрочки).

Единственный способ избавиться от вреда - заставить связь угаснуть, т.е. исключить порно и дрочку(как тригер, связь запоминает всё касающееся наркотика). Связь обладает потенциалом к восстановлению в прежнем виде, это значит, что если ты год не дрочил и не смотрел порно(т.е. отвык), то после пары срывов ты восстановишь связи(зависимость) в прежней силе, а не такой которая была у тебя была в начале зависимости, а значит и вред качеству жизни будет максимальный, т.е. который был перед бросанием. Это значит что в меру дрочить и смотреть порно невозможно.

Касательно страданий которые придумывает человек. Страдания, что придумывает человек есть следствие ломок, так работает психика, что причину неприятных ощущений вызванных просадкой дофамина он пытается искать в других местах.

Я хочу сказать, что невроз, если он у тебя есть - следсвтие ломок. А не наоборот. Т.е. пока ты не избавишься от ломок, иначе говоря - не бросишь дрочку и порно, от невроза ты не избавишься. А если и избавишься, то боль и вред вызванные зависимостью не исчезнут. Твой единственный путь это бросать дрочку и порно, остальные пути - разводки твоей психики.

Аноним 03/08/19 Суб 18:03:57 5694805381
>>5694321
Дрочер потерял ци и частичку души, с этим и связана слабость. После слива все защиты от лярв сброшены, что автоматически притягивает в жизнь разные мерзости, невежество и тонкотельных сущностей.
>>5694755
После слива страдания обеспечены и дело тут не в придумках или каких-то ментальных программах. Вред заметен на контрасте, кто не воздерживался даже не поймёт о чем речь. Больной не считает себя больным, пока не узнает каково быть здоровым.
Аноним 03/08/19 Суб 18:09:34 5694821382
Cambridge.300.jpg (26Кб, 300x183)
300x183
>>5694801
>>5694755

А и хочу дополнить, у порнозависимых связи отвечающие за зависимость становятся на столько сильны, что даже на снимках мозга видно значительное увеличение центров мотивации.
Аноним 03/08/19 Суб 18:26:40 5694865383
>>5694821
Не зря многие исследователи этого вопроса связывают прон и последующий оргазм с употреблением кокаина.
Аноним 03/08/19 Суб 18:35:00 5694889384
Как снимать стресс? Раньше дрочил после рабочего дня, если меня что-то взбесило/было тревожно.
Теперь у меня этого нет и злость/тревога после работы не уходит.
Не пью, не курю, не употребляю.
Спорт? Медитация? Душ контрастный? Посоветуйте что-нибудь.
Аноним 03/08/19 Суб 18:44:43 5694906385
>>5694801
Выходит весь негатив не от дрочки, а наоборот от того что не дрочишь когда хочется. А если хочется фапать раз в день и ты фапаешь, то никаких подводных камней.
Аноним 03/08/19 Суб 18:51:10 5694918386
>>5694746
В школе примерно догадывался о чем речь, когда спрашивали не фапаю ли сам, или когда в шутку ученики показывали этот характерный жест фапа между собой. Но никто мне не говорил прямо как надо дрочить или почему надо дрочить. В школе общался с двумя учениками из класса, и сидел за партой с одним или с другим, но и они мне как фапать не говорили, и мы эту тему не обсуждали. Сам же считал почему-то фап тогда чем-то плохим.

Бывает сожалею что начал так поздно и уже никогда не узнаю что такое сухие полноценные оргазмы, но что есть, то есть. Сейчас правда могу насухо кончить от урологических таблеток, которые принимаю, но это не совсем то.

>>5694821
Я вот дропнул фап-контент один, и ломки как ни странно не ощущаю как таковой - посмотреть было бы неплохо, но можно обойтись. Да и для фапа достаточно фотки красивой тян в нижнем белье и фантазирования, поэтому тот же обычный прон довольно редко смотрится.
Аноним 03/08/19 Суб 18:53:10 5694925387
Аноним 03/08/19 Суб 18:59:32 5694943388
>>5694906

>Выходит весь негатив не от дрочки, а наоборот от того что не дрочишь когда хочется. А если хочется фапать раз в день и ты фапаешь, то никаких подводных камней.

Подводных камни будут. Рано или поздно по мере усиления связи зависимости дофамин будет просаживаться всё время. Т.е. ты подрочил и(или) посерфил, через минут 20-30, а то и меньше опять ломка. Ты же не будешь дрочить целый день. Т.е. стандартная ситуация наркомана, когда прежние наркотики не вставляют и хочется наркотиков посильнее. Также учти, что возможность получить дофамин от срыва(т.е. уталить зависимость), определяется состоянием половых центов.

>>5694918

Вред наносит сам факт зависимости, т.е. существование связи глушащей дофамин, если ты не можешь без симптомов отвыкания и желания бросить дрочку с фантазиями(даже без порно), значит это зависимость, а значит наносит вред и это нужно бросать.
Аноним 03/08/19 Суб 19:01:36 5694949389
>>5694943
>>5694906

Под ломкой я имел ввиду хуёвое самочувствие, а не желание дрочить.
Аноним 03/08/19 Суб 19:03:00 5694954390
>>5694943
Двачую. Однажды месяц не дрочил, в итоге понял, что по факту тупо отказался от одного из немногих удовольствий в жизни. И начал снова дрочить. И вам советую.
Аноним 03/08/19 Суб 19:05:47 5694962391
>>5694943
>Рано или поздно
Мне уже 29, последние 15 лет дрочу раз в день и никаких просадок дофамина.
Аноним 03/08/19 Суб 19:08:39 5694971392
>>5694962

>Мне уже 29, последние 15 лет дрочу раз в день и никаких просадок дофамина.

Дрочишь с порно?
Аноним 03/08/19 Суб 19:10:26 5694973393
Аноним 03/08/19 Суб 19:11:35 5694976394
>>5694973

Опиши акт дрочки, сколько длиться, сколько времени серфишь?
Аноним 03/08/19 Суб 19:13:53 5694983395
>>5694925
Потому что дебилы, есть хоть что-то научное, что честно признаёт вред фапа?
Аноним 03/08/19 Суб 19:14:43 5694985396
Аноним 03/08/19 Суб 19:15:12 5694988397
>>5685093 (OP)
У меня появляются симптомы простатита на третьей неделе ноуфапа. Ноуфапать мне нравится, профиты для меня очевидны. Как быть с симптомами простатита блять?
Аноним 03/08/19 Суб 19:16:26 5694991398
>>5694988
Нофап не может сделать хуже чем есть.
Аноним 03/08/19 Суб 19:16:38 5694992399
>>5694943
> Вред наносит сам факт зависимости, т.е. существование связи глушащей дофамин, если ты не можешь без симптомов отвыкания и желания бросить дрочку с фантазиями(даже без порно), значит это зависимость, а значит наносит вред и это нужно бросать.
Точно это проверить смогу только найдя тян для регулярного секса - если с ней фапать не буду и это будет даваться легко, то и зависимости нет. Но в случае фапа не все так однозначно, это же не вещества - у организма имеется потребность в сексе, и так-сяк ее фапом заменяешь. То есть для организма это получается похоже на регулярную еблю, хотя сам фап и не может ее полноценно заменить. Регулярный секс же не считают зависимостью. Разве что дрочишь по 5-10 раз в сутки даже если особо не хочется.

>>5694962
У меня вот пиздецовая депрессия была, и фап помогал, так как это была одна из причин продолжать жизнь вообще. Сейчас возможно некая депрессивность еще есть, хоть и стало существенно лучше. Несмотря на 9 лет фапа возможность получать удовольствие от иных вещей я не потерял.

>>5694988
К урологу сходить бы не помешало. Если становится при нофапе хуже, то лучше фапать тогда. Простатит не всегда легко лечится.

Аноним 03/08/19 Суб 19:17:47 5694995400
>>5694991
Если есть простатит, то может - застоя секрета нельзя в этом случае допускать.
Аноним 03/08/19 Суб 19:18:34 5694998401
>>5694954
Вот несколько причин, почему нофап на тебя не подействовал:
1) во время нофапа ты употреблял ПАВ, курил, бухал, жрал фастфуд и потом удивлялся, почему нет эффектов от нофапа. Помимо фапа нужно отказываться от всего что выше+ограничивать соц.сети, высококалорийную еду, иначе восстановление будет долгим и ты сделаешь ложный вывод о том, что нофап хуйня. А ты банально не давал дофаминовой системе восстановиться
2) Ты изначально родился флегматиком, у которого низкая сексуальная энергия. Ты можешь подрочить раз в 7-10 дней и тебе будет достаточно. Вряд ли ты станешь дрочить каждый день по 2-3 раза как многие здесь. Эффекты нофапа видят только те, у кого изначально среднее/высокое либидо.
3) В твоей жизни дохуя стрессов, недосыпов, токсичных людей и прочей поеботы, которая мешает организму восстановиться.
4) И напоследок: дрочил 5-10 лет и думаешь, что за месяц будут охуенные результаты? Полгода минимум надо. А полное восстановление 2-3 года.
Аноним 03/08/19 Суб 19:21:47 5695008402
>>5694976
По времени никогда не засекал, думаю минут 5-10 на все про всё. Фапаю или тогда когда случайно встретится что-то возбуждающее, или целенаправленно иду на порнхаб. Единственно изменение за все эти годы- не могу больше дрочить на студийную порнушку, в каждом кадре чувствуется искусственность и фальш, поэтому только хоммейд и аматюр.
Аноним 03/08/19 Суб 19:22:48 5695015403
>>5694998
Ты написал столько отмазок почему не сработал нофап, что становится ясно, что обычному современному человеку ваш нофап нахер не всрался. Людей, которые могут соблюсти все твои отмазки, наверняка по пальцам посчитать можно.
Аноним 03/08/19 Суб 19:23:42 5695018404
>>5693838
Вот это провокация.
Аноним 03/08/19 Суб 19:27:45 5695029405
>>5695008
Я дольше 10 минут и не затягиваю фап, не хочется такого. Нахожу себе эротическую пикчу и фапаю на нее какое-то время, дополняя фантазированием. Через какое-то время она приедается, и я нахожу себе иное изображение такого типа.

Другой анон.

Аноним 03/08/19 Суб 19:27:57 5695031406
>>5694998
Если выполнить все твои пункты кроме нофапа, то это в любом случае сильно оздоровит организм, независимо от фапа.
Аноним 03/08/19 Суб 19:32:22 5695040407
Примечательно, что пост с этим текстом удаляют, в то время как другие не трогают. Почему? Опять этот охуевший трап лютует в модерке?

Последствия систематического, непрерывного нофапа и отказа от порно (лично доказана учеными)

1) Снижение тревожности, неуверенности, страха в обществе.
2) Голос перестаёт быть как у 10 летнего пацана (писклявым, противным, детским).
3) Упадок настроения ввиду патологической нехватки дофамина проходит. Уныние и безнадежность вкупе с мыслями о смерти 24/7 тоже пропадают.
4) Возвращение всех интересов, а также включение эмоционального отклика на прежние интересы (гедония). Всё радует, и удовлетворяет.
5) Восстановление эмоциональной амплитуды. Эмоции и чувства возвращают былую остроту, становятся яркими, за счёт очищения дофаминовых рецепторов. Перестаёшь быть "зомби".
6) Апатия, хроническая лень, отсутствие мотивации, прокрастинация отступают.
6.1 Собранность, бодрось (даже если не спал 10 часов), высокая работоспособность.
7) Восстанавливаются нормальные репродуктивные функции, при настоящем соитии с тян, ибо мозг отвыкает от порнухи (но с эрекцией итак не было проблем, к счастью)
8) Тупняк, туман в мозгу, невозможность обучаться и изучать новое рассеиваются с каждым днём.
9) Прыщи, угри, жирная кожа больше не проявляются.
10) Начинают возбуждать обычнотян.
11) Обжорство, особенно тяга к быстрым углеводам и жирной пище, дабы восполнить дефицит дофамина, больше не диагностируются. Организму не надо восстанавливать то, что не утрачено.
12) Фетиши, за которые стыдно, больше не беспокоят.
13) Сутулость (?), тут не знаю, связано ли, возможно, опосредованно, в следствие общего подъёма.
Аноним 03/08/19 Суб 19:34:39 5695043408
>>5695040
>13) Сутулость (?), тут не знаю, связано ли, возможно, опосредованно, в следствие общего подъёма.
Мне нофап от этого не помогает. А вот от регулярной ебли на протяжении недели спина почему-то автоматически выпрямляется, хотя в обычном состоянии я всегда сутулюсь и периодически сам сознательным усилием выпрямляюсь.
Аноним 03/08/19 Суб 19:37:27 5695048409
>>5695040
На тебе все эти 13 пунктов работают? Или это паста вообще?
Аноним 03/08/19 Суб 19:40:13 5695055410
>>5695048
У меня проявлялись 1,2,3,6,8,10. Остальные может были, но не замечал. Угрей и проблем с соитиями итак не было.
Аноним 03/08/19 Суб 19:42:30 5695062411
>>5695008

Видишь ли, нужно разделять зависимость о дрочки, т.е. от факта эякуляции, и порно, т.е. от факта серфинга и эффекта Куллиджа. То, что ты 15 лет дрочил с порно и не дошёл до часовых эджингов и серфинга - это кончено очень необычно. Если же говорить о дрочке без порно, то это как алкоголь - кто-то может пить каждый день, и не становиться алкоголиком, а кому-то достаточно пригубить.

Также ты должен понимать, что просадки дофамина могут маскироваться психикой и компульсивным поведением. Если ты начал часто мечтать, передать, интернет серфить - это звоночек.

>Единственно изменение за все эти годы- не могу больше дрочить на студийную порнушку, в каждом кадре чувствуется искусственность и фальш, поэтому только хоммейд и аматюр.

Вот это точно звоночек, старое порно перестаёт вставлять и хочется искать новое, у наркоманов есть подобное, когда хочется покрепче.

Тебе лучше не испытывать судьбу и бросить дрочку с порно, это не помешает. То, что ты от природы имеешь слабую тягу к эффекту Куллиджа, не делает порно полностью безопасным для тебя.
Аноним 03/08/19 Суб 19:44:34 5695066412
1548682348837.png (46Кб, 1158x422)
1158x422
>>5695040
https://2ch.hk/sex/arch/2019-07-23/res/5643868.html

>>5695048
Это переделанная паста из пасты про вред фапа в одном из предыдущих тредов, привел ссылку на него. Рранее ее постили без переделки просто заменяя заголовок и представляя таким образом как вред от нофапа.

Аноним 03/08/19 Суб 19:48:13 5695081413
>>5695015
>отмазки
>Здоровый образ жизни
>отмазки
Аноним 03/08/19 Суб 19:49:38 5695086414
>>5695081
Ну и хули от вашего здорового образа жизни? Не выпить, не подрочить, не покурить - и что толку? Только повеситься остается, если удовольствий никаких.
Аноним 03/08/19 Суб 19:50:43 5695090415
>>5695066
Я ту пасту перепилил и запостил в том и этом треде. Почему её удалили?
Аноним 03/08/19 Суб 19:51:02 5695092416
Аноним 03/08/19 Суб 19:51:35 5695095417
>>5695086
Ты же не тру-хиккарь, проводящий 24 часа в сутки дома? Есть куча способов получить удовольствие
Аноним 03/08/19 Суб 19:52:19 5695098418
>>5695015
Так же как и это, и >>5694954, демотиватор какой-то, не более того.
Аноним 03/08/19 Суб 19:52:46 5695100419
>>5695090
Не знаю, я не репортил тебя.
Аноним 03/08/19 Суб 19:53:48 5695103420
>>5695095
Ну и какие это способы? Не представляю что может принести больше удовольствия чем дрочка, вкусное пиво и первая сигаретка утром.
Аноним 03/08/19 Суб 19:56:20 5695107421
>>5695100
За что там репортить? За то что восстановил оригинал?
Аноним 03/08/19 Суб 19:59:59 5695119422
>>5695103
Сходи в храм. Давно ли ты молился Господу нашему Исусу Христу?
Аноним 03/08/19 Суб 20:02:05 5695124423
>>5695062
>Вот это точно звоночек, старое порно перестаёт вставлять и хочется искать новое, у наркоманов есть подобное, когда хочется покрепче.
>
Такое порно мне перестало вставлять ещё лет 10 назад так что мимо. Не знаю что за эффект ты там выдумал, но в целом в том что тот или иной контент надоедает нет ничего необычного.

Необычно дрочить по два часа, в моём поведении как раз все обычно.
> дрочку с порно, это не помешает.
Не вижу смысла, не думаю что дрочить на фантазии лучше чем на видео настоящего секса.
Аноним 03/08/19 Суб 20:07:20 5695129424
Аноним 03/08/19 Суб 21:04:29 5695267425
Как не думать о бабах на нофапе? Я не хочу блять с ними гулять, слушать бредни, тратить время, унижаться, повышать им цену и всё такое. Но я постоянно думаю о бабах и о ебле сука. После того как подрочу, становлюсь сверхчеловеком ибо грешных мыслей нет, а действие нофапа всё еще продолжается. Хелп!
Аноним 03/08/19 Суб 21:09:07 5695279426
145554139918342[...].jpg (42Кб, 630x419)
630x419
Мужики, я недавно с знойной новой подружкой словил полувялого, и нервы,и алко, и фар насколько раз в день каждый день - все на кучу

Отказываюсь от алко на недельку-две и вписываюсь в ваш клуб. Может даже надолго
Аноним 03/08/19 Суб 21:10:05 5695281427
Вот вы говорите, что нофап помогает стать мужественнее. Фигня. Дрочить я начал в 11 классе, будучи 17-летним. Борода не лезла в 17 лет, мускулатура не была суперразвитой. Подтянуться я мог раза 3. Мышщы были как у обычного. Борода начала расти в 22 примерно. Ее не отращивал, но щетина нормально растет. Проблема в том, что от дрочки не хочеца тян очку. Ты зажат в себе и это больше создает психологический барьер. Пробовал потом и 3 месяца не дрочить, разницы не почувствовал
Я думаю что большинство двачеров ещё не заматерели в силу возраста. Все у вас впереди.
Мимопочти24лвл
Листву так и не сбросил
Аноним 03/08/19 Суб 21:10:53 5695283428
>>5695279
Лучше вообще не дрочи, а просто еби ее.
Аноним 03/08/19 Суб 21:12:16 5695284429
>>5695124
Кто на нофапе не читайте спойлер, там чернуха лишняя.
Бля, матерюсь тихонько на всяких онлайн камхор за то что они не запихивают себе в анус хитачи (вибратор с набалдашником), как-то раз полдня просидел в ожилании когда худенькая тянка не заменит мелкую анальную пробку на этот хитачи, которым она только по письке елозила, так и не дождался, даже когда она начала пихать туда простоя самотык мне нравилось нифига и даже вибратор обыкновенный не устроил, пришлось на то что есть дрочить. Это из того же разряда вещи, как и с нариками?
Аноним 03/08/19 Суб 21:13:17 5695286430
>>5695279
У меня для тебя плохие новости. Если дрочишь при наличии тян, то у вас реальные проьлемы с этим, иначе бы не дрочил.
Аноним 03/08/19 Суб 21:45:02 5695381431
>>5695281
Хуярь психотерапию с антидепрессантами. Нофап - это русская рулетка. Кому-то поможет, а кто-то ты.
Встречал 3 типа людей, отзывающихся о нофапе: 1) "раньше был зажатым чмом а как перестал дрочить стал уверенным в себе тянки текут быдло боится",
2) "да я дрочу и мне заебись, уверен в себе, есть телка и пиздатая работка, у меня нет проблем"
3) ну и таких как ты встречал "что дрочу, что нет, изменений нет"
Аноним 03/08/19 Суб 21:59:55 5695452432
Бля, пиздос, я походу нашел себе заменитель порнухи и подсел конкретно. Держу нофап чуть больше месяца и вот последнее время все больше уже хочется тяночку себе найти. Ну и вот начал я лазать по всяким пабликам в вк да читать анкеты тяночек, которые ищут знакомств. И я даже не представляю себе чего-нибудь эротического, но шишак дымится уже от того, что представляю как мы мило болтаем о всяких интересностях и ходим рядом по парку. И так уже нахуй несколько часов продолжается. Еще было скинула мне одна тян голосовуху, так потом шишак еще долго не усмирялся, хотя ничего такого там не было.
Аноним 03/08/19 Суб 22:03:17 5695469433
>>5695452
Видать хобби у тебя нет никакого. И физ. активности. Бегай, запишись на плавание, катайся на велике. Работу найди, начни программирование изучать. Сублмимируй. Иначе срыв рано или поздно.
Аноним 03/08/19 Суб 22:06:38 5695483434
>>5695469
Да у меня хобби вроде хватает. Играю на гитаре, учу японский, прогаю проект один, хожу на турники, гуляю периодически, но вот поздним вечером, когда мозг уже не тянет сложные задачи, на улицу не выйдешь и хочется отдохнуть, то накатывает прям желание как-то с тяночкой повзаимодействовать.
Аноним 03/08/19 Суб 23:15:12 5695757435
>>5695469
Я правильно понимаю, что ты пытаешься отговорить анона подкатывать к тянкам на нофапе?
>>5695452
Все правильно делаешь анон, удачи.
Аноним 03/08/19 Суб 23:28:32 5695789436
>>5695281
>нофап помогает стать мужественнее.
Ещё как, повоздерживайся год, увидишь разницу. Необязательно станешь бородачом-террористом, скорее показатели зрелости, взрослости, адекватности вырастут напорядок.
Аноним 04/08/19 Вск 00:10:58 5695909437
Нофаперы, поможет ли ваша хуйня исправить низкое либидо?
Додрочился до того, что тни не возбуждают.
От порно даже удовольствия не получаю.
Аноним 04/08/19 Вск 00:13:04 5695913438
>>5695909
Да, если планируешь продолжать гонять лысого, то недели без дрочки вполне хватит. Будет на легкую эротику колом стоять.
Аноним 04/08/19 Вск 00:40:55 5695998439
>>5694564
>ты не дрочил, но, например, смотрел порно, а потом долго его не смотрел и поэтому у тебя и закономерно и обострились ломки

Ты тот анон, которые постит на эту тему? Нет, в первые случаи я воздерживался так чисто, что даже от эротики отводил взгляд. В последний раз, скажу честно, я сознательно смотрел сериал с эротикой, чтобы спровоцировать поллюцию. Однажды был на грани срыва, но, как и с фантазиями, смог не сорваться.

А смотреть порно и воздерживаться для меня нереально просто.Я просто не прекращаю его смотреть пока не произойдёт онанизм. Но у меня невроз скорее всего есть.
Аноним 04/08/19 Вск 01:25:18 5696103440
Блять, сейчас сорвусь нахуй. 70+ дней нофапа и 2 дня облома с телками. Последний раз мне минетила телка 4 дня назад, и сперма давит на глаза.
В следующий раз смогу намутить кого-нибудь только завтра, блять.

Что делать?
Аноним 04/08/19 Вск 01:27:29 5696108441
>>5696103
Тебе сосали от чистого сердца, почуяли твое обаяние, накопившееся от семидесяти дней нофапа. А сейчас будут, потому что надо.
Аноним 04/08/19 Вск 01:29:04 5696114442
>>5696108
У меня облом на сегодня - не будут
Аноним 04/08/19 Вск 11:49:02 5696924443
Аноним 04/08/19 Вск 12:15:21 5696992444
>>5695286
Новая подружка же. Жопой читаешь? Два дня ин, либидо спит и похуй
Аноним 04/08/19 Вск 12:39:32 5697038445
Вчера осознал, что хреновость нофапа в том, что кроме оргазма невозможно получить столь интенсивные приятные ощущения никаким способом помимо веществ, что уже совсем не полезно для здоровья. Да, я могу почитать интересную статью в инете, глянуть интересный видос в ютубе, получить много удовольствия от музона, погулять, но это все не может быть так же интенсивно приятно, как ощущение оргазма да и даже от самого процесса дрочки ощущения поинтенсивнее.

Поэтому продолжаю держать нофап только из-за разговоров с врачами, по чьему мнению он вреден и чему я не совсем верю - у разных врачей разные мнения.

Иных причин держать нофап нету, разве что он будет более заставлять искать отношения. У меня не ухудшается самочувствие после фапа, на работоспособность он не влияет, что там думают нормисы о дрочерах особо не заботит - даже на работе двум таким за свой фап говорил неоднократно. Поднимать самооценку нофапом мне тоже не надо - для этого есть другие вещи.

Коробит что из-за нофапа на непонятно какое время остаешься без оргазма (который и так регулярно бывает ослабленным или его не бывает нередко вообще), и поэтому в жизни будешь получать меньше удовольствия.

Аноним 04/08/19 Вск 12:50:22 5697063446
>>5697038
>Коробит что из-за нофапа на непонятно какое время остаешься без оргазма
Оргазм длится несколько секунд, а сублимация (растягивание этого оргазма) - годы
Аноним 04/08/19 Вск 12:51:10 5697064447
>>5696924
>так ли страшен враг
Страшнее фапа
Аноним 04/08/19 Вск 13:14:17 5697116448
>>5697063
Не совсем несколько, немного дольше. После хорошего оргазма идет еще сильное расслабление всего тела, но так редко бывает.
Аноним 04/08/19 Вск 13:25:20 5697152449
>>5696924
Нахрен надо, не пей кофе и всё заебись. Я пью чай и колу с пепси, всё норм, кофеин в умеренных количествах так сказать.
Аноним 04/08/19 Вск 13:26:24 5697156450
Аноним 04/08/19 Вск 13:40:54 5697189451
Аноним 04/08/19 Вск 13:43:30 5697196452
>>5697156
Слышал конечно, его хочется. Но я боюсь девушек и мне страшно завести с ними отношения, страшно заниматься с ними сексом - я могу где-то ошибиться, мне заслуженно наговорят грубостей и это будет очень неприятно. Такого не хочется. Или просто так девушка с меня поиздеваться может - они ведь не идеальные. Не хочется обмана, использования, высмеивания, унижений, издевательств и оскорблений незаслуженно, всяких троллингов. Отношения могут через какое-то время развалиться, может развалиться даже брак - а это ссоры, ругань, деление имущества, оставшиеся без одного из родителей дети. Детям нужна полная семья, воспитание их только одним родителем не особо хорошо.

Так что не уверен, заведу ли я отношения хоть когда-нибудь. Ну да одиночество не навсегда - к счастью, я не буду жить вечно и не вечно буду страдать от него. 30 лет прожил и может еще 30-40 осталось, а дальше все естественным путем закончится.

Мне необычно видеть как это куны легко заводят отношения и меняют тян одну за другой.

Укатился.
Аноним 04/08/19 Вск 14:09:46 5697256453
Бляблябля аноны спасайте. Почти 4 месяц, сейчас сорвусь нахуй. Киньте шок контент какойнить или что похуже.
Аноним 04/08/19 Вск 14:27:33 5697304454
Аноним 04/08/19 Вск 14:36:08 5697331455
>>5697156
>Думает, что секс и фап - это разные вещи
Аноним 04/08/19 Вск 14:36:45 5697334456
D059F69B-D99C-4[...].jpeg (43Кб, 690x518)
690x518
Не легче купить такую штуку и не дрочить?
Аноним 04/08/19 Вск 15:07:49 5697460457
>>5697196

Анон, пойми, что ты только что описал себя, как скот, который бездумно убегает от палки и послушно шастает до кормушки.
"Фап это так приятно. Поэтому буду фапать. Мууу."
"Секс и живые девушки это страшно, все может пойти не так, может быть неприятно. Буду избегать. Мууу."

Ты вообще человек?

Мало ли что там неприятно?! Качать мышцы тяжело, питаться правильно тяжело, вообще всерьез чего-либо добиваться в жизни тяжело. Ну так что - лапки кверху тогда?


Фап это вредно ИМЕННО потому, что так приятно (приятнее всего)! Это ломает твой мозг по тому же принципу, что и наркотики. А наркотики вредны не только тем, что отрава. Даже если бы они вообще никак не вредили твоему телу, они вредят твоему разуму! Ломают систему мотивации и награды, делают тебя безвольным чмом, которму ничего не хочется большую часть времени, а когда начинает хотеться - то только наркотика, принял, покайфовал десяток минут, и опять ничего не хочется.

А потом сука жалуются, что мотивации не хватает, что не могут себя заставить то, не могут сё, то-то и это-то не доставляет, интереса нет, хобби нет и т.д.
Аноним 04/08/19 Вск 15:28:15 5697543458
15348594991033.jpg (38Кб, 580x435)
580x435
Аноним 04/08/19 Вск 15:30:12 5697555459
15219218883220.jpg (106Кб, 1280x720)
1280x720
Аноним 04/08/19 Вск 15:31:45 5697561460
>>5697334
Ключ придётся выкинуть, чтоб не сорваться. Алсо, будет мешать в штанах.
Аноним 04/08/19 Вск 15:32:37 5697567461
>>5697555
наебалово, наиграно
Аноним 04/08/19 Вск 15:38:45 5697598462
>>5697038
Какая-то хуйня, как по мне. Ни секс, ни дрочка мне не доставляли такого кайфа как полюция. Сегодня обкончался так, как никогда до этого. Целый месяц не было полюций. А сегодня секунд 10 кончал, если не больше. Простыня, матрас, одеяло, живот, ноги, жопа, хуй, яйца и даже алах, все было в сперме. Простата пульсировала и была раскалена так, что жгло все внутри. Это был самый ахуеный оргазм с начала моего нофапа. Правда заебался отмываться потом.
Аноним 04/08/19 Вск 15:44:46 5697623463
>>5697555
Дауны потому будут создавать треды "Анон, помоги, хуй падает или не стоит вообще"
Аноним 04/08/19 Вск 15:55:51 5697662464
NE DROCHIM
Аноним 04/08/19 Вск 16:25:44 5697746465
Помоги, анон. Опыт нофапа большой. Максимум дней - 64. В последнее время в запое был. Вот сейчас пропало желание к сексу, поэтому не фапаю уже четвертый день, и вообще не думаю о сексе. Только когда ложусь спать, и то думаю только об одной девушке которую встретил 3 года назад, она мне улыбнулась и зацепила меня этой улыбкой, я тогда можно сказать растаял. Словами не перекинулись, она была меня старше. Больше её не встречал так как был не в своем городе. И вот уже 3 года я не могу её забыть, конечно не думаю о ней каждый день, но приходят моменты когда просто думаю о ней каждый день, больно что остались лишь вспоминания. Я не понимаю в чем дело, почему я не могу забыть этот единичный случай, меня только она так зацепила но была еще одна, очень похожа на ту, о которой говорю. Так в чем дело-то нахуй? Казалось бы, причем тут нофап. Друг, я сижу второй день без сети, эта ночь была жуткой, никак не отвлечься от мыслей, никак не заняться своим хобби, фапать просто не хочется, хуй будтл засох. Снова депрессия, кажется что разок слил бы и вся боль непонятно от чего прошла бы. Помогите советами.
Аноним 04/08/19 Вск 17:03:24 5697893466
5 дней нофапа репортинг ин.

Появилась энергия. Появилось желание действовать, что-то делать. Но не покидают мысли, что хочу выебать каждую вторую. Постоянные секс фантазии, когда ничем не занят. Что я делаю не так, аноны?
Аноним 04/08/19 Вск 17:19:27 5697959467
>>5685352
Воу, крутое чтиво. Хотя, selection bias - в той группе напишет только тот, кому помогло, а кому не помогло - не напишет, и проценты неизвестны.
Аноним 04/08/19 Вск 17:29:52 5697996468
>>5685355
14) Пидорахами всех называть начинаешь
Аноним 04/08/19 Вск 17:30:41 5697999469
>>5697959
Кому не помогло значит гонит, либо делал что-то не так.
Аноним 04/08/19 Вск 17:44:19 5698037470
>>5685652
Ты мудр не по годам, бро!
Аноним 04/08/19 Вск 17:55:42 5698069471
Аноним 04/08/19 Вск 17:58:07 5698081472
image.jpeg (102Кб, 1242x263)
1242x263
Аноним 04/08/19 Вск 18:40:37 5698193473
Аноним 04/08/19 Вск 18:45:40 5698216474
>>5693783
Вчера сходил на эпиляцию глубокого бикини, после чего попросил мастера сфотографировать себя.
Сегодня сходил на массаж и набравшись храбрости снял трусы и подрочил при массажистке пока она мне ноги массировала.
После познакомился с тянучкой, планирую её гулять и трахать
Такой финал однозначно благодаря НОФАПУ!
Держитесь пацаны. Мне было так легко знакомиться.
Я блядь альфач реальне кек
Аноним 04/08/19 Вск 19:41:37 5698396475
>>5698216
И сколько нофап уже держишь?
Аноним 04/08/19 Вск 20:33:03 5698582476
Пиздец, держу нофап 5 день, наверное, не считал, такое уныние напало. Прям безразличие и раздражительность ко всему, ничего не хочется, жду чтобы поскорее следующий день наступил. Хочется только пойти пофапать, как я всегда делал, остальные дела вызывают скуку и злость. Слишком тяжело. Надеюсь, это состояние скоро пройдет.
Аноним 04/08/19 Вск 20:51:19 5698655477
Долбил траву одно время до нофапа и немного на нофапе, на 40 дне начал чувствовать лёгкий стоун эффект перманентно, в шоке прибываю. Реабсорбируется в сперме ТГК?
Аноним 04/08/19 Вск 21:59:47 5698847478
Аноним 04/08/19 Вск 22:46:51 5698981479
>>5698582
>жду чтобы поскорее следующий день наступил
Вот именно эту дрянь фиксит сон на часик-два, да и вообще режим сна почини и такого не будет.
Аноним 04/08/19 Вск 22:50:42 5699000480
>>5698981
Ты прав насчёт режима, кстати. Да и я не выспался сегодня. Второй год уже живу со сломанным режимом, мне бы его восстановить + нофап, так сразу стал бы снова человеком с энергией и целями в жизни. Надо купить снотворное какое-нибудь.
Аноним 04/08/19 Вск 22:53:11 5699016481
>>5699000
Мелатонин купи, в не снотворное
Аноним 04/08/19 Вск 22:56:07 5699036482
Аноним 04/08/19 Вск 23:08:45 5699111483
3WLadSt7dZ8.jpg (78Кб, 500x488)
500x488
Призываю монахов 80 уровня
Днем контролирую себя на 100%, никаких проблем.
Ночью же, когда плохо соображаю, сознание отключено, бес совращает меня, я передергиваю.
После оргазма каюсь.
Как избежать этого, ночью, во время сна, я не властен над собой.
Может молиться перед сном, давать себе установку?
Пробовал спать среди других людей (в общаге) - помогает, все таки часть сознания не дает мне подрочить при других.
Аноним 04/08/19 Вск 23:11:42 5699126484
>>5694755
Кстати, даже обезьяны дрочат => дрочка - это норма
Аноним 04/08/19 Вск 23:31:53 5699178485
tenoreem.jpg (32Кб, 780x440)
780x440
Господа, расскажите, пожалуйста, почему после слива спермы вокалистам-мужчинам контролировать дыхание, фразировку и резонаторы невероятно трудно, практически невозможно?

Нашёл по теме только эту статью:
http://vokalizm.ru/seks-i-vokal-dlya-muzhchin.html
Аноним 04/08/19 Вск 23:35:14 5699188486
>>5699178
Не думаю, что здесь есть эксперты. Многие отмечали, что голос действительно меняется, то ли слух притупляется и не можешь контролировать его или что-то со связками приосходит
Аноним 04/08/19 Вск 23:37:41 5699196487
>>5699188
Лично я замечал, что при нофапе улучшается контроль над мышцами вообще, включаю походку, осанку и жестикуляцию. Возможно, причина в этом но это не точно
Аноним 04/08/19 Вск 23:50:46 5699232488
>>5695998
> А смотреть порно и воздерживаться для меня нереально просто.Я просто не прекращаю его смотреть пока не произойдёт онанизм
Эякуляция, наверное, а не онанизм?
Аноним 04/08/19 Вск 23:57:41 5699243489
>>5697460
> Фап это вредно ИМЕННО потому, что так приятно (приятнее всего)! Это ломает твой мозг по тому же принципу, что и наркотики. А наркотики вредны не только тем, что отрава. Даже если бы они вообще никак не вредили твоему телу, они вредят твоему разуму! Ломают систему мотивации и награды, делают тебя безвольным чмом, которму ничего не хочется большую часть времени, а когда начинает хотеться - то только наркотика, принял, покайфовал десяток минут, и опять ничего не хочется.
Вот это топовый абзац треда, ясно расписывает проблему
Аноним 04/08/19 Вск 23:59:19 5699246490
Что может приносить удовольствие кроме еды и дрочки?
Аноним 05/08/19 Пнд 00:02:53 5699250491
>>5697598
> Простыня, матрас, одеяло, живот, ноги, жопа, хуй, яйца и даже алах, все было в сперме.
> Правда заебался отмываться потом.
Вот после такого и срываюсь, потому что так заябывает сонным, полупроснувшимся резко из глубокого сна, потом отмываться и все отмывать, да еще и сама поллюция показывает, как сладок фап.
Аноним 05/08/19 Пнд 00:06:59 5699256492
>>5699111
> Ночью же, когда плохо соображаю, сознание отключено, бес совращает меня, я передергиваю
Во-во, а когда от поллюции недопроснулся >>5699250 , сознание совсем отключено и получается срыв.
Аноним 05/08/19 Пнд 00:10:17 5699263493
image.jpeg (253Кб, 615x638)
615x638
image.jpeg (530Кб, 859x1080)
859x1080
image.jpeg (289Кб, 599x643)
599x643
image.jpeg (235Кб, 800x800)
800x800
>>5699178
Не знаю, но знаю точно одно - Маэстро суперстар
Аноним 05/08/19 Пнд 00:10:48 5699267494
>>5699126
Они и говно бывает жрут => братишка я тебе покушац принес
Аноним 05/08/19 Пнд 00:14:44 5699273495
>>5699263
>2
Дьявол во плоти
>4
Итальяшка


>>5699178
Соки отходят от легких на выработку новой порции семени
Аноним 05/08/19 Пнд 00:14:59 5699274496
Аноним 05/08/19 Пнд 00:19:39 5699285497
5-negrov-mem.jpg (197Кб, 1200x800)
1200x800
Тоже подумываю о нофапе.
Дело в том, что я девственник 28 лет и я в последнее время стал извращенцем. Скорее всего от такой долгой девственности. Вкратце, мечтаю стать тянкой и сосать у мускулистого альфача, я на это часто фапаю, иногда нормально фапаю, типа лижу вареник Туби или ебусь с девушкой с большими сиськами, но предпочитаю альфачей. И у меня немного рвёт с этого крышу, типа я же парень, как можно на такое фапать, или думаю, может я девочка внутри, но ирл это не проявляется, я обычный парень. И я подумал, может сделать нофапон, прочистить голову, но стрёмно, потому что у меня шейный остеохондроз активировался, здоровье пошло по пизде капитально, любой стресс убивает меня, нофапон может плохо повлиять на меня.
Аноним 05/08/19 Пнд 00:21:41 5699293498
152E2A14-548B-4[...].gif (3528Кб, 320x180)
320x180
Перекатите с этой пикчей
Аноним 05/08/19 Пнд 02:05:46 5699463499
>>5699285
На /fg таких как ты полно
Аноним 05/08/19 Пнд 03:55:44 5699502500
Пацаны, захотел вкатиться наконец в нофап, но не понимаю одного. Чем отличается ежедневный фап от, например, ежедневного поебывания своей тянки? Что меняется от того что ты деграешь хуй глядь на тяночку на экране вместо того чтобы совать его в пизду глядя на свою тянку? Поясните почему первое делает из вас омегу а второе тестостеронового альфу? Тогда может и начну холдить
Аноним 05/08/19 Пнд 07:09:36 5699589501
>>5699502
В моем учении трахаться нельзя
Аноним 05/08/19 Пнд 07:22:15 5699599502
>>5699502
Когда ебешь любимую няшу, гормончиков намного больше чем от фапа. Но помни что и пролактина схватишь больше (это не точно).
Аноним 05/08/19 Пнд 07:35:07 5699611503
>>5699599
Секс также вреден, иногда лучше оставаться девственником, чтобы не познать умелую совратительницу, которая вытянет из тебя всю сексуальную энергию
Аноним 05/08/19 Пнд 07:37:36 5699613504
>>5699611
Лол, нет никакой сексуальной энергии, пишу же тебе, что хапаешь пролактина ну и дофамина вброс идет весьма сильный, что другие прелести жизни могут тускнеть. Дофаминовая система после оргазма фиксится за 10 дней.
Аноним 05/08/19 Пнд 09:56:35 5699807505
>>5699285
Сейм, только я 19 лвл...
Аноним 05/08/19 Пнд 10:32:34 5699921506
>>5699246 Физуха. 5 км быстрым шагом даст море эндорфинов. Какао аналогично. Ощущение себя пиздатым и сильным, его надо выращивать в себе.
>>5699502
>Тогда может и начну
Ты нам тут одолжение делаешь, пёс? Вали отсюда.
Аноним 05/08/19 Пнд 10:35:28 5699933507
>>5699502
Ничем не отличается, вред одинаков, от ежедневной ебли затраханным червём станешь в скором времени.
Аноним 05/08/19 Пнд 11:20:13 5700080508
>>5699285
НОФАП однозначно!
Стресс наоборот снизится. Первые несколько дней мало чего изменится. Когда начнется ломка и желание дрочить будет невыносимым, это не стресс будет, а просто перманентное полувозбуждение, но оно пройдет. А потом начнется восстановление.

Здоровье наоборот чуток подправится. А если продолжишь скатываться, то все только хуже будет, и физическое здоровье, и психическое.

Извращения прут от пресыщенности. Ты очень долго дрочил, небось и порево с хентайчиком смотрел/читал немало. В 28 быть листвой и не быть дрочером невозможно, если ты не физиологический асексуал. Так вот, а дрочка, особенно регулярная, ебет не только твою систему мотивации и наград, но и сексуальные структуры, отвечающие за возбуждение. Ты приучил себя возбуждаться на фантазии и/или прон, ты постоянно бомбардируешь себя все новыми и новыми образами, ты писек за один день больше чем твои предки за всю жизнь видел. Это вызывает перегорание соответствующих структур в мозге. Мозг на любую перестимуляцию в любой области отвечает просто - повышает порог чувствительности, т.е. уменьшает способность к активации этих структур. Поэтому наркоманам надо все большую дозу, и дрочка не исключение.

Вспомни свой первый оргазим - насколько он был мощный? Ты сутки отходил, а то и больше. А сейчас? Жалкие ощущения и пара капель спермы, печально выдавливаемые из хуя, вместо того, чтобы забрызгать небеса! И отходишь за минуту.

Также и прон. Когда-то всего лишь частично оголенная попа на старой кассете могла ввергнуть тебя в экстаз. Сейчас тебе приходится искать все более и более поехавшие сценарии, чтобы возбудиться. Отсюда и трапы, и ебля с собаками, конями, тентаклями, гуро и пытки, изнасилования, некро и копро и т.д.
Когда-то это все вызвало бы у тебя отвращение, но теперь ты "закален" и НУЖДАЕШЬСЯ в извращениях, чтобы вообще возбудиться. Ведь ванилла уже давно не вызывает эмоций.

НОФАП лечит от этого дерьма. Через месяц-два начинаешь чувствовать себя как снова подросток, и начинает хотеться именно нормальных отношений, при том больше не самого секса как процесса скольжения хуем в вагине, а обнимашек, поцелуев, нежности и любви.
Аноним 05/08/19 Пнд 11:31:31 5700143509
>>5699502
В шапке уже написано все.

Вкратце - заебывается система мотивации и наград в мозге, ты импотент, лох, пидор.
1) Ты становишься более вялым и немотивированным. Тебе ничего не хочется, кроме подрочить время от времени, а как подрочил - так и вовсе ничего. Тебе не хочется общаться с тянками и кунами, тебе лень и нет желания видеться с друзьями и родными, тебе не интересно учиться, работать, чего-то добиваться. Ты лениво выражаешь желание все-таки начать упражняться, чтобы быть красивым и здоровым, но ты не можешь никак начать и все откладываешь.
2) Ты теряешь способность заниматься сексом. Если внезапно ты найдешь себе тянку или купишь проститутку - в ответственный момент высок риск словить вялого, т.к. твой мозг ПРИВЫК возбуждаться на экран с проном или на фантазии, а реальное тело перед тобой воспринимается как что-то чуждое, непонятное. Ты прямо ругаешь себя, возмущаешься на свой пинус, мол, хули висишь? вставай сука! ты ж стоял колом когда утром дрочили! А хую похуй. Живая тян - непривычно. В фантазиях ты и собаку, а в реальности - только руку.
3) Если все-таки поднял и засунул - будешь непрятно удивлен тем, что ничего почти не ощущаешь. Так то член должен быть ОЧЕНЬ чувствителен, но у фапперов со стажем почти всегда ощущается как кусок дерева. В фантазиях то тебе приятно, а минет и вовсе запредельным мечтается, а в реальности ты... тупо не ощущаешь ничего. Даже то, что тебе сосут, можешь не понять, если глаза не откроешь. Т.е. что-то вроде происходит, но совсем слабо. И нет никакого наслаждения. Это разочарование, вкупе с низким уровнем ощущенией, часто приводит к неспособности кончить без дрочки, а также дополнительно повышает вероятность словить вялого. А все от того, что рука у тебя сильная и мясо свое ты бьешь с мощью, коей в реальном сексе не бывает. Разве что неразработанный анус ебать, да кто ж тебе даст?
Аноним 05/08/19 Пнд 11:33:52 5700158510
Аноним 05/08/19 Пнд 11:35:07 5700164511
>>5697598
Алаха то зачем закропал?
Аноним 05/08/19 Пнд 11:38:21 5700177512
>>5700143
> фантазиях то тебе приятно, а минет и вовсе запредельным мечтается, а в реальности ты... тупо не ощущаешь ничего. Даже то, что тебе сосут, можешь не понять, если глаза не откроешь. Т.е. что-то вроде происходит, но совсем слабо.
Это генетика. Кто может долбить часами - да.
А если кончаешь за пару секунд при желании - также будешь сильно всё чувствовать и от тянки и тоже будешь скорострелом.
Или я не прав?
Аноним 05/08/19 Пнд 12:02:20 5700299513
>>5700177
Не прав.

Генетика решает только при прочих равных. Но дрочка реально снижает чувствительность. Погугли death grip syndrome.

Так то да - есть уникумы, которые и без дрочки не сильно много ощущают, но их очень мало. Большая часть тех, кто может долго не кончать, ощущают вполне себе, они именно что могут долго сопротивляться оргазму. Это хороший секс.

А когда ты тупо не ошушаешь ничего - где же тогда кайф от секса?

Что касается связи скорострельства и чувствительности. Ну, вообще то ты просто должен иметь способность сопротивляться наслаждению, не позволять себе кончить.
Ну или стрельнуть и снова поднять, не надо делать из скорострельства трагедию.
Словить вялого, так и не кончив, а то и вовсе не начав - вот где трагедия.
Аноним 05/08/19 Пнд 13:01:58 5700582514
>>5699613
Зачем ты мне пишешь, что нет, если ты даже в нормальный нлфап не можешь
Аноним 05/08/19 Пнд 13:06:06 5700600515
>>5699613
Есть, а вот дофамин пролактин фантазии сумасшедших.
Аноним 05/08/19 Пнд 14:28:32 5700898516
>>5699933
Лал. Просто смешно.
Аноним 05/08/19 Пнд 14:35:02 5700918517
>>5688071
Я не адепт тнн. Девушки просто меня призерают.
Аноним 05/08/19 Пнд 17:57:08 5701693518
Была ли у кого проблема с черными точками на носу? Откуда берутся? Говорят, что это нормально. Но я вот смотрю вблизи на свой нос и представляю как это видит моя тян. Это же отвратительно, и все же люди пишут что это нормально. К косметологу идти не хочу, я просто знаю людей у которых этого нет. Выдавливаю, нос краснеет и точки появляются заново через пару дней. Уже не знаю что делать. Лицо никогда не было прыщавым. Я 19 лвл. Может это период такой превращения в мужчину? Было ли такое у кого и поможет ли нофап?
Аноним 05/08/19 Пнд 18:22:07 5701798519
Аноны, помогите пожалуйста стать хладнокровным к девушкам, к желанию любви... я больше не могу. Это не дает мне воздерживаться, а девушки не обращают на меня внимания.
Аноним 05/08/19 Пнд 20:37:17 5702133520
С какого срока можно уверенно говорить что бросил фап? 3 месяца? Год?
Аноним 05/08/19 Пнд 21:03:20 5702197521
>>5702133
Точно не 3. Полгода как минимум, а год - уже стопудово
Аноним 05/08/19 Пнд 21:21:54 5702248522
>>5702133
Полтора года воздержания.
Аноним 05/08/19 Пнд 21:22:18 5702249523
>>5701693
Тоже хуйня с черными точками. Выдавливать самому смысла нет, так только инфекцию разносишь по остальному лицу. Сам жду от ноуфапа что он как то повлияет...
Аноним 05/08/19 Пнд 21:56:43 5702324524
Аноним 05/08/19 Пнд 22:03:46 5702344525
Аноним 05/08/19 Пнд 22:46:50 5702472526
>>5697334
При желании и ей можно подрочить.
Аноним 06/08/19 Втр 00:07:37 5702685527
Проебал на прошлой неделе свой самый долгий нофап - чуть больше двух недель и около 3-4 месяцев без порно, если не считать случайного недоэро контента с бабами в купальниках. За эти две недели успел сменить работу, чего хотел, но не мог сделать очень долго, лол. В тот день проснулся утром в хорошем настроении и с ощущением, что тупняки, которые преследовали меня достаточно давно, начали проходить. В середине дня появилось сексуальное желание и в этот момент я словил паранойю, что желание есть, а пипсандр не встает. Начал фантазировать - через силу, так как за эти 3-4 месяца, мне кажется, я разучил себя, но пиписандр не поднимался. Вообщем накрутил себя и жестко проебывал на прон два дня сподряд. По итогу не знаю куда деться от стояка и набравших старую силу навязчивых фантазий. Сегодня после трех дней фантазирования перед сном, снова проебал.
Похуй пляшем. Надеюсь на этот раз голова от прона восстановится чуть быстрее, потому что за эти несколько дней снова начал ощущать, кроме глупой эйфории, уже подзабывшуюся забитость, стремный голосок и стеснительность при нахождении на улице.
Аноним 06/08/19 Втр 00:52:56 5702774528
Японский доктор Хидео Яманака предлагает оригинальный способ борьбы с мужским ожирением - с помощью обыкновенной мастурбации! Он уверяет, что это один из наиболее надежных и сильнодействующих способов распрощаться с лишним весом.
По словам Яманаки: "Эякуляция повышает метаболизм в теле и сжигает калории. Но для получения ощутимых результатов мужчинам потребуется мастурбировать более 100 раз в месяц". Если провести элементарные расчеты, то получится, что три раза в день будет достаточно. Но, по словам доктора этим желательно заниматься до 5 раз в день для гарантированно ощутимых результатов.


Где правда? При нофапе набираешь вес или сбрасываешь? Мне нужно первое.
Аноним 06/08/19 Втр 00:54:54 5702786529
>>5702774
Такая же хуйня как с курением скорее всего. Кто-то ссушивается, а кого-то наоборот начинает разносить.
Аноним 06/08/19 Втр 00:58:12 5702797530
В который раз убеждаюсь, что на какой угодно полезный нофап можно выйти только соблюдая все три пункта. Чуть проседаешь по фантазиям или одни глазком посмотрел прон в полвкладочки, всё пизда смрад агония.
Аноним 06/08/19 Втр 01:11:47 5702833531
>>5702774
При нофапе я набираю, японский доктор не врет
Аноним 06/08/19 Втр 02:23:03 5702915532
>>5702774
Надеюсь этот якудза прав, надо бы набрать вес, заебала дрыщевость...
Аноним 06/08/19 Втр 09:40:47 5703342533
>>5701693
У тебя просто поры большие и загрязняются быстро. Я законтрил точки покупкой пенки для умывания за 20 рублей. Только не мой мылом/гелем для душа, только хуже сделаешь.
Аноним 06/08/19 Втр 10:01:30 5703400534
Аноним 06/08/19 Втр 11:45:52 5703669535
>>5686046
>Я вот дрочил с 3 лет
чего?
Аноним 06/08/19 Втр 12:39:17 5703798536
Ну что, хуезависимые, перекатывайте.
Аноним 06/08/19 Втр 13:27:39 5703964537
Аноним 06/08/19 Втр 13:46:26 5704034538
Настройки X
Ответить в тред X
15000 [S]
Макс объем: 40Mб, макс кол-во файлов: 4
Кликни/брось файл/ctrl-v
Стикеры X
Избранное / Топ тредов