Здарова всем, пока тут сижу, спрашивайте вопросы/скидывайте свои гнилушки, буду отвечатьсоветовать. Я-практикующий врач-стоматолог, люблю помогать людям, хоть и анонам
Если проводить языком по десне в одном месте, то отчетливый привкус железа (как от крови). Подозреваю воспаление. Есть методы вылечить, не обращаюсь в клиники?
Стоматолог кун, какую пасту посоветуешь юзать? Как вообще определить хорошую пасту? В смысле что должно быть в составе, а чего не должно. Алсо, имеет смысл покупать электрические щетки или это все развод гоев на шекели и на самом деле они работают не лучше обычных щеток?
>>916336 (OP)выпала пломба из коренного, болел два дня жестко, хавал кетанов, в понедельник в стоматологии начали лечить три канала зачистили"положили лекарство" дней на 10внимание вопрос почему у меня после этого 4й день утрение/вечерние стояки пропали, на тянку не встает а от фапа полувялый ? может быть от "лекраства" в зубе или просто совпаление и очко застсудил или еще что..
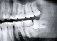
>>916336 (OP)Хочу поставить брекеты дистальный прикус Ортодонт отправил на снимок - обнаружили что нижние зубы мудрости расположены крайне хуёво один прорезался не полностью, другой почти не прорезался, расположены горизонтально, типа пикрил Сказал, что если хочу брекеты, то придётся их удалять. Офк ссусь. Какие подводные при удалении зубов мудрости? Насколько сильно мне может поплохеть после этого? Понимаю, что что-то конкретное сказать сложно, но врачиха-хирург в поликлинике нихуя мне толком не объяснила и вообще сука та ещё
>>916336 (OP)Добрый вечер, поставили мышьяк в зуб, сказали прийти через 4 дня, записи не было и есть возможность только через 7 дней идти. Стоит ли самому попытаться удалить из зуба мышьяк или подождать?
>>916336 (OP)До похода к стоматологу все было более-менее нормально, слегка болело при надавливании языком в основание зуба, особо не мешало, мог бы еще лет 10 туда языком не лазить и все норм, после лечения появилась охуительная острая боль, подозреваю что пульпит. Как засудить пидараса?
>>919109Прежде чем ты начнешь защищать своего пидараса-коллегу, с его слов нерв он не вскрывал, кариес до туда не дошел, но очень близко подобрался, т.е. подозреваю ожоговый пульпит от понятно чьих действий. Зуб убивать пиздец не хочу, но все сроки для живого лечения походу давно просраны
Опухла десна в районе заднего зуба, прям нехилая такая шишка появилась, размером с горошину. Не болит, не кровоточит, не гноится, но ощущается. При нажатии неприятно, но не более того. Мягкая на ощупь, имеется пара светлых пятнышек, но я тут не уверен это от воспаления или так было изначально. Понятное дело, что стоматолог это всё пофиксит, но у меня сейчас такая ситуация, что не смогу пойти на приём ещё недели две как минимум. Чё делать и как не охуеть за две недели?
>>919234Активно полоскай там ромашкой + разводи в литровой банке воды ложку соли, и тоже полоскай. Есть шанс, что сможешь дожить до стоматолога.
>>919503Потому что они зубы остальные двигают, из-за них нижний ряд в центре сместился, теперь надо будет брекеты ставить
>>919509У меня они даже не прорезались, разве так они могут что-то двигать? Я просто рили в этой теме не очень разбираюсь, мне сказали вырывать и согласилась, уже минус зуб.
>>919511Непрорезавшиеся тем более могут потихоньку расти (или начать это делать в любой момент), портя всё мероприятие с брекетами.
Друзья, куда податься в ДС полечить запущенный рот с десятком дырок? Ничего пока не болит, но все хорошее когда-нибудь закончится. В бесплатную не хочу, искать по знакомству мешает социофобия, нужна просто клиника, где не сдирают последнее, и просто позволят оставлять пару месяцев подряд тыр по 30, решая накопленные проблемы. Пожалуйста!
>>916336 (OP)Привет всем. Короче решился на имплантацию, тк из за хуевых пломб разрушились два маляра с левой и правой стороны, теперь их только под удаление. Пошел в частную больницу.Там мне сказали следующее. Что перед тем как вставлять импланты нужно выровнять зубы, а это дополнительных 100к к счету. Что не очень приятно. Поэтому назревает логичный вопрос. Надо ли их выравнивать? и насколько сильно увеличатся шансы раздрочить импланты если не буду выравнивать зубы? и вообще какие подводные камни?В целом зубы не кривые, стоят в один ряд. Нижняя челюсть находится слегка за верхней. По прикусу ничего критичного не чувствую. Я не работаю фотомоделью и сомневаюсь что буду, разве что нибудь на уровне Гарольда скрывающего боль. Спасибо за ответики.
>>919599https://vk.com/serafima_lorelei - спроси у неё, она в районе метро Аэропорт работает. Может быть, посоветует коллег поближе к тебе.
>>916336 (OP)Начали сползать десны с передних зубов.Почитал и понял что это или пародонтит или гингивит. Стоматолог - кун подскажи, как это лечится, если лечится вообще и в какую сумму встанет?!Нужно будет перед этим заделывать остальные дырки в зубах?!
>>919759>>919764они сказали конечно можно поставить и так но типа будет хуже чем вариант с вставкой имплантов. Я сразу понял что рыночек пытается меня поиметь, и решил разузнать на двачах сильно ли критично будет не выравнивать зубы.
Лень читать тред, лень отвечать, нарушу-ка я клятву врача)))1) Пару дней назад пришёл пациент кавказкой наружности, около 50 лет, почти лысый, худощавый, пришёл по поводу пульпита, первичка, карта пустая при опросе полностью отрицал операции, постоянно принимаемые препараты, хронические болезни, наблюдение у врачей. Заметил у него на слизистой щеки странного вида пиздецому диаметром 2.5 см (щёку не прикусывал, самостоятельно ничего туда не прикладывал, не болит, жить не мешает, когда появилась не знает). После рассказов об онкоскрининге, биопсии, возможности удаления, насторожености и т.д. и т.п. признался что полгода назад проходил лечение по поводу онкологии щитовидки, сбежал из-за того что его сосед по палате от химиотерапии облысел ("Вот ещё не хватало мне облысеть!"). На мои уговоры сказал что не верит в рак. Рест ин пеперони, нелысый.2) 25 лет, острая боль, пришёл с отцом, разрушеный зуб, раздутое ебало, пульпитные жалобы, странный запах, началось больше 2 недель назад (что произойдёт с инфицированной пульпой за 2 недели? правильно, гангрена) по народному рецепту брызгал в дырку духи, лол. Хороший способ избавиться от запаха гангрены, хуёвый способ лечить гангренозный пульпит.3) Лет 40-45, острая боль под коронками (не подходят по оттенку к остальным зубам, слишком белые, унитаз просто, ну да похуй), снимок - хуй пойми что, виден периодонтит под 26 зубом, симптомы гайморита присутствуют, от кт отказался, отправил на снятие коронок, ему их по его настоянию под острой болью сбили чтобы не попортить керамику. Снова у меня в кресле, опрашиваю: керамику делал по 3 тысячи (ну нихуяж себе сколько простояли), в чечне (вау!), полгода назад (вейт, ват). Смотрю на культи, шестёрка обточена как четвёрка, дб канал спилен вместе с частью корня на 1/3, корни разъединены, остальные 2 недопломбированы. На удаление. Выхожу в коридор спустя 2 часа, он сидит под кабинетом, просит поставить пломбу на этот зуб. ЛолНо.жпг, го_би_ретардед_сомвхере_елсе.пнг.
Полтора месяца назад ходил на проф чистку. Почти сразу после этого переехал в более жаркий регион. А сейчас заметил, что у корней нижних передних зубов опять наросло. Камень светлого цвета и сильно шершавый. На остальных зубах его нет. Раньше он с такой скоростью не рос, нужно было год ждать, чтобы что-то появилось. Это мне так плохо почистили, или что-то не так с организмом? Может, жара провоцирует?
Скоро будут удалять разъебаный сгнивший зуб. Наверно будут резать десну. Как перестать ссаться "судного дня"?
3 дня назад удалили ретенционную кисту малой слюнной железы. Все делали под анестезией, наложили шов и пошел домой. В итоге до сих пор есть чувсвто онемения губы,будто еще под анестезией. Когда эта хуйня пройдет?
есть какие-то ортодонтические шапки/вещи по профилактике прикуса?К примеру если нижняя челюсть или зубы вперед выступают
Решил полечить зубы и сначала сходил на чистку. Врач-гигиенист сказал, что в принципе все норм, есть небольшой кариес на 7ках. После сходил к терапевту на консультацию. Он уже говорит, что у меня на всех 7ках есть кариес и что пломба будет стоить 4к на каждый зуб. Я отказался, т.к. слишком дорого и решил посмотреть на прейскурант цен, оказалось, что это пломба при глубоком кариесе, хотя у меня они даже не болят и как говорит гигиенист - все не так уж плохо. Терапевт пытался меня развести? Если да, то как дать ему понять, что я не готов разводится или просто попросить другого врача/клинику?
>>920159Глубокий кариес тоже не болит. Возможно она перестраховывается, называя цену по верхней границе. А так - сделай панорамный снимок, что ли. Покажешь врачам в интернетах, тебе скажут чо как.
>>916336 (OP)У меня произошла эрозия эмали на переднем нижнем зубе, нихуя не болит, но темное коричневое пятно есть. Вопрос: что конкретно с этим будет делать стоматолог?
>>919828>гангренозный пульпит.Вот загуглил. 1в1 как мой сгнивший разъебанный зуб. Только не болит и живу уже лет 8 с ним. Ну реагирует на холоное разумеется. Короче хз тут раз на раз не приходится.>>919983-кун
Медач, поясни за плюсы и минусы зубного порошка. Раньше в советское время все юзали, потом пришли пасты на рынок и теперь вот. Мимо просто проходил, цена копеечная. Вот и узнать хочу стоит ли переходить на порошок и че надо знать
Записался в клинику не удаление. Зуб будет удалять стоматолог-терапевт. Это нормально или почему не хирург?
1. Периодически в верхних дальних зубах, наверное 16-17-26-27, возникают непонятные ощущения, сложно их объяснить. Зубы не болят (бывает, конечно, но редко и очень слабо), я просто их чувствую или как будто их изнутри распирает. Мне пиздец?2. Если между передними зубами начался кариес, прилично выглядеть они без виниров уже не будут?3. Если зубы никогда в жизни не болели сколько-нибудь ощутимо, но в трещинах чернота, какаая вероятность, что до пульпита дело ещё не дошло? Хронический ржет протекать безболезненно, но чтобы его получить, сначала нужно пережить острый, или я ошибаюсь?
Вот такая херня уже в течение двух месяцев. Не проходит. Появилась она после поедание чипсов. Сначала была небольшого размера, теперь как на фото. Не болит, не зудит, жжения никакого.Что это?
>>919983Вернулся. Вьебали два укола — не взяло зуб. Еще 2 — никак. После 8-10-го наконец-то взяло и мы смогли безболезненно удалить. А теперь вопрос. Врач сказал не полоскать. Это че значит, даже водой или как? Я уже весь в крови нахуй. Хочу просто водой прополоскать рот.да, мне не сразу доходит что нужно спросить
>>920635Ничем не полоскать, даже водой. Кровяной сгусток вымоешь. Часа через три после удаления водички попей, негорячей.
>>920641>Ничем не полоскать, даже водой. Пездос, как спать то, кровь заполняет все каждые пару минут. Ну ладно, че нить придумаю, спасибо!
>>920644Вот оно чё. Если кровь всё ещё идёт, прижми к лунке тампон из бинтика и прикуси. Минут через 30-40 осторожно выплюнь.Если можешь дойти до аптеки, там продаётся коллагеновая гемостатическая губка, налепи её на лунку, прикуси и так оставь (вынимать не надо).
>>920647А это не «вымоет» лунку? По-моему эффект такой же как прополоскать или не? Мне крепили бинт сразу после удаления, ток видимо не шибко помогло.
>>920659Не, оба способа использовали на мне хирурги, когда зубы удаляли. Когда закушенный бинт через полчаса вынимал, больше не кровоточило (но если у тебя кровь сворачивается плохо, там надо подольше держать).Губка тем более всё запечатывала, на то она и гемостатическая.
>>920607Как хорошо, что я обращался не к тебе. Надеюсь ОП не будем таким невоспитанным мудаком как ты, который в 2к19 году отказывает отвечать на вопрос исключительно из вредности и переизбытка желчи в организме, и аппелирует к сторонним ресурсам, которые мне безумно неинтересны.
>>920794Ок, для начала берёшь марлевую турунду, плотно закусываешь, меняешь каждые 20 минут, когда пропитается кровью. Прикладываешь к больной щеке холод на 10-15 минут, затем перерыв на столько же и снова 10-15 минут. Повторять до 5 раз. НПВС (кеторол, ибупрофен, аспирин итд) лучше не пить, они усугубят.Если рядом есть аптека - не вынимая турунды сходить за губкой, вложить побольше губки в лунку, поверх марлевый тампон, прикусить. Если нет губки - купи аминокапроновую кислоту или дицинон в ампулах, пропитай этим новую турунду и так же прикуси минут на 20. Эти штуки кровоостанавливающи.Если есть круглосуточная стоматология - позвони туда, проконсультируйся и будь готов туда сходить, если что.Если нет ни того ни другого, но ты уже чувствуешь слабость и мутность, то не жди утра и звони в скорую, они попробуют остановить кровь или отвезут куда надо.
>>920835Реактивная, то есть возникла как ответ на раздражение-частая травматизация, прикусывание этого места. Не опасно, самостоятельно не исчезнет, но может мешать и постоянно попадать между зубами.
>>916336 (OP)>" я стоматолог, и, да, когда у пациента здоровые зубы я лечу ему зубы не требующие лечения чтобы заработать денег. Таково требование руководства"Наткнулся на вот такую цитату. Твои коментарии?
>>920127>>920277У выскочила такая же как у тебя херня, вот написал что удалил кисту. Швы сняли позавчера. Но онемение еще не прошло
>>921023она у тебя болела? У меня она начала расти после того, когда я ел чипсы неделю каждый день. Травмировал эту часть каждый раз, думал заживет, потому что куча раз такое было.Но итог как на фото. Буду удалять, узнал цены лазером самое практичное и безопасное.
>>921026сходи сначала на прием к хирургу-стоматологу,он точно скажет что с ней лучше делать,может прополоскать будет достаточно.Не болела, но было некомфортно,удаляли скальпелем.
Из зуба удолили нервы и поставили временную пломбу с планом на штифтование и постановку нормальной пломбы. В это время от него отвалился кусочек (пикрил). Можно ли на такой зуб поставить пломбу или это только коронка теперь?
>>920808Я в общем забил хуй и всю ночь отплевывался кровью. Не ел не пил. На утро еще были примеси крови ярко выраженные. Попил чаю — больше не кровоточило. Только теперь какой-то во рту запах дерьма. Ну и по ощущением чуть десна опухла. Так в целом не болит если не делать резких движений ебалом. Есть какие-нибудь факторы когда «что-то не то» явно началось и лучше к врачу пиздовать?
>>921269Если начнётся ноющая боль в лунке (где-то на 3-5 день после удаления), либо если имеющиеся боли будут не стихать, а усиливаться, тогда иди к врачу. Иногда лунка может воспаляться, если сразу подойти - туда лекарство заложат и всё будет норм.Десна подопухшая это нормально, могло и пол-ебала разнести.Начинай помаленьку делать ванночки с хлоргексидином или мирамистином (не полоскания, а прост подержать и слить). Или раствором йокса, если есть такой.
Повышается температура, до 37.5 - 8, головные боли, слизь в горле, чувствую себя, будто простыл. Периодами. Самое главное, появился неприятных запах изо рта, так как с жкт проблем нет, решил искать проблему во рту, провёл "санацию", лол, прополоскал рот ополаскивателем с хлоргексидином, провёл ватной палочкой по разным местам в полости, везде запах нормальный, но вот в этих областях выделенных красным на пике (не мой) резко выраженный неприятный запах. Что это может быть и к кому идти: лору или стоматологу/пародонтологу?
>>920195Может там расположение простое - чуть нажал и вытащил? Или прям зубы мудрости терапевт будет рвать?
>>921346>Десна подопухшая это нормально>могло и пол-ебала разнестиКак знал. Сегодня разнесло. Не пол ебла правда но заметно. Сука еще на день рождения сегодня идти, ну цирк уродов просто.
>>921573у тебя уже что-то не так, дебич. мне четыре восьмерки удаляли, две нижние прям тяжело удалялись но не кровило уже на селд день, и опухло только внутри рта чуть чуть, так что пиздуй к врачу а не на день рождения
>>9202541. Сделай КТ или хотя бы панорамный снимок.2. Будут, если врач правильно подберёт тон пломбировочного материала. Но со временем могут понадобиться виниры.3. Ты опять предлагаешь заняться угадыванием. Хуй знает, анонче. Это может быть как неглубокий кариес, так и глубокая полость, санация которой может спровоцировать пульпит.
>>916336 (OP)Брекеты сдвигают нижнюю челюсть вперед? Имею глубокий прикус, в скором времени буду ставить брекеты, стоматолог вроде норм. Прочитал в одном треде что исправятся только зубы, а положение челюсти будет такое же, это правда или нет?
>>916336 (OP)Какого хуя стоматология такая дорогая? Это чем-то вообще обоснованно кроме сговора круга заинтересованных лиц?
Сходил с гингивитом на очистку зубьев. Стоматолог назначила "траумель" инъекциями. Загуглил. Это гомеопатия.Стоматологиню и волшебные ампулы дропать? Или ждать волшебства?
>>921863Гомеопатия бывает та, где болтается одинокая молекула берберийской утки, а бывает та что на основе травок, которые там во вполне терапевтических дозах. Траумель скорее из вторых.Не, ну попробовать можно. Он вроде противоспалительный, отзывы про лечение им дёсен неплохие.
>>916336 (OP)повторю еще раз это вопрос>>917960реально странное совпадение что после стоматалога уже вторую неделю хуй стоит едва едва, бывают ли такие побочки или невероятно совпадение?
Двач, волнует тема с семеркой верхней, несколько дней назад жевал жвачку и у меня просто отломался здоровый кусок этого зуба чуть ли не весь. Пошел в частную стоматологию, там сказали либо удалять либо каким то биоматериалом заделать, но это не надолго, пока не удалял, заделал, сходил после этого сразу еще в одну частную, подтвердили что долго не простоит все это дело.То есть получается из-за того что большой кусок отлетел зуб уже и не засейвить и туда имплант придется ставить? Или еще какие-то варианты есть? Ведь как я понимаю просто забить довольно хреновая затея, в большом количестве источников говорится о том что если удалил зуб нельзя оставлять это пространство открытым слишком долго, т.к. начинают косить соседние зубы.
>>921949Смотря как этот кусок откололся, если под десну - то шансы у зуба резко снижаются. Кажется, всё дело в том что под десной герметично пломбу не приклеить. В некоторых случаях можно подрезать десну, чтоб она немного сползла с зуба.Но что там у тебя, я не знаю, только гадать остаётся.
>>921952Скоро к стоматологу пойду узнавать, мб шансы есть какие, если все-таки удалять этот зуб то тут только имплант ставить? Больше альтернатив нет?
>>922009Иногда ставят односторонний бюгельный протез или нейлоновый, как временное решение. Но имплант тут топчик, конечно.
Сап, стоматач, возник вопрос: в течении дня, как и большинство из вас, находясь вне дома, принимаю пищу. Как правильнее поступать: таскать с собой бутылочку ополаскивателя для полости рта и полоскать или походную зубную щетку и чистить зубы (на меня будут смотреть, как на поехавшего)?
>>922149Мне гигиенист вот такую шняжку советовал, это вроде пенки с ферментами от налёта.В любом случае, вряд ли у тебя зубы сильно пострадают за полдня, если только ты не питаешься ирисками или лимонами.
>>922149Ополаскиватель убивает даже полезные бактерии. Купи леденцы с ксилитом на айхербе. Там вроде 10 баксов 200 штук
Что скажите по стоматологическому туризму? Имеет ли смысл, если обитаешь в Москве ехать в регионы, другие страны? Поделитесь, кто промышлял.Спасибо.
>>922154Благодарю. За полдня зубы не пострадают, но чистота, свежесть дыхания, вот это вот все. >>922158Ты имеешь ввиду это https://ru.iherb.com/pr/Xlear-Spry-Power-Peppermints-Sugar-Free-240-Count-144-g/5313 ?
>>922159У нас белорусы работают, один брал отпуск и ездил домой зубы делать, говорит, намного дешевле.
>>918193Удаляй быстрее, пока он соседний зуб не поломал. Алсо лучше удалить пока они мелкие, чем больше корни вырастут тем потом тяжелее рвать и сильнее травма. Мне вот полторы недели назад выкорчевали двухсаниметрового пидораса, так до сих пор отек немножко.
>>922167Тут баночка меньшеhttps://ru.iherb.com/pr/Xyloburst-Peppermint-Mints-200-Pieces-4-23-oz-120-g/61867
>>916336 (OP)Дорогой друг, подскажи пожалуйста что со мной случилось-приключилось. На верхней губе внутри перед зубами возникла болячка, кажется она растет, болит, беспокоит. Выручай пожалуйста что делать подскажи. знал бы что буду сегодня на двач транслировать побриося бы
У меня есть некоторые проблемы, а скорее серьёзные. Забил на зубы, хотя следил за гигиеной... Но, в итоге у меня, что на пике. Что это и возможно ли их привести в более-менее нормальный вид?
>>922505>Забил на зубы, хотя следил за гигиеной...>следил за гигиеной...>следил>9 глубоких кариозных полостей на 6 фронтальных зубах>меловидные пятна и отложения на остальных>следилХмммм.... А ты меня точно не обманываешь? Если у тебя нет врожденных или приобретённых дефектов развития эмали шанс что оно произошло случайно - нулевой. Ну можно всё попИлять и запломбировать, сам прикинь сколько это в твоём городе, учитывая степень разрушения, прикус и расположение, пломбы долго служить не будут. Ну или можешь виниры/полукоронки, хуяк, хуяк, по 20-40к за штуку минимум, будешь ебучими унитазами сверкать и рассказывать что у тебя они такие от природы.>>922565Никак, первым этапом тебе нужно увеличивать дуги в/ч и н/ч, легче это сделать банальными пластинками или операцией в зависимости от того насколько всё хуёво. Брекеты при таком дефекте и отсутствии места ну вот не упёрлись, веришь? Если хочешь сразу брекеты и сохранить свой фирменный недоразвитый острый подбородок и узкое ебало, то смело можешь соглашаться на удаление нескольких зубов и выстраивать забор из оставшихся брекетами.>>921953За какие проступки шёку покусал, ирод?!
>>921518Зубы мудрости режутся наверное, могут стоять под капюшонами, там куча отмершего эпителия собирается, куски пищи, бактерии, весь жентельменский набор, гниёт, воспаляется, может давать симптомы ангины с болью в горле и температурой. Пиздуй к стоматологу-терапевту пока не заработал ретромолярный абсцесс и проси осмотр/направление на оптг.
>>922955Повезло! Вообще если это шестёрка, то я бы копил на коронку. Хотя и с пломбами можно годами ходить, и стенки зуба более-менее целы, но на шестёрки ложится оч. большая нагрузка, с какой-нибудь вкладкой + коронкой у зуба будут шансы прожить подольше.
>>916336 (OP)Еее, бой!Через неделю в операционной будут рвать зуб мудрости.Вот это будет праздник мазохизма. Жаль я не мазохист.
>>922892>>921179Хуйня, скололось бы один хуй.Хуёво что сразу не убрали, халявный доступ. Места для фиксации матрицы дохуя и больше. Ставь пломбу со штифтом, копи на коронку. Тока х-дом жидсусом молю, шли нахуй металлические штифты, угробишь зуб или корень. Или заплатишь пару тыщёнок за извлечение потом. Только стекловолокно.
>>923043Стекловолокно это норм под коронку, получается? А как же православные культевые вкладки?Читаю баттлы твоих коллег и как-то они до сих пор не сошлись в едином мнении.
Ребзи, а зачем делать отверстие в пломбе? Мне, когда замазывали дырку в зубе, вставили металлическую булавку что ли, замазали, вытащили, а отверстие от нее осталось. Так нужно или мне решили угробить зуб?
Этот кариес с дырками внизу зубов дорого пломбировать?Ходил к знакомому стомату года 4 назад вкрутил справа зуб на штифте всего за 700 рублей и 10 минут делов, лучше родного, только сейчас сверху какая то херня появилась типа кариеса.Слева на зубе темная - это пломба.Также недавно ходил к знакомому стомату сказал ди нах ультразвуком почичсти пасть прежде чем я те буду делать все со скидкой. Больно это?Эти дырочки с низу зубиков болят если туда ногтем лезть или зубной щеткой, неприятно.
>>923249Тебе и ультразвук и air-flow не лишние будут, т.е. стандартный комплект профгигиены. Перед началом процедуры надо будет попросить об обезболивании.
>>923249> года 4 назад вкрутил справа зуб на штифте всего за 700 рублейЯ же сначало на этот передний зуб коронку пошёл ставить за 12к, ну чё, мне этот старик говорит - прикус очень низкий типа у тебя, могу поставить только золотую или серебряную, а металокерамика под цвет зубов у тя не пойдет. Я сказал пойду к людям, которые могут. Я не против, как пистон ходить, но в вузике же засмеют.
>>923267Ну вот, сколько раз видел посты с гнилыми зубами, всегда советую сначала начать их чиститьhttp://forum.stom.ru/topic/38267-zuby-umerliЭто кстати аноний с дваща тему создал
>>916336 (OP)Привет, хотел узнать что за хрень на зубах. погуглив предполагаю что черный налет какой то. у основании зубов (или десен) неприятный запах появляется. Налет ли это черный или что, лечится ли по омс и скок. будет стоить если нет.
>>923404Зубной камень, че как по ОМС надо узнавать в твоей стоматологии, платно по Питеру профгигиена 2-5к стоит, разброс цен большой.
Зубы несколько лет не чистил, теперь вот полгода где-то чищу исправно, но они всё равно какие-то желтоватые. Не болят, всё нормально, но сука цвет бесит. Мне их отбелить или чево или каво?Чухан, да, спасибо.
Я могу записаться на проф.чистку с не затянувшейся десной? Зуб удаляли недели 2.5 назад, дыра не зияет. Я уже не могу ждать, хочу быстрее отстреляться и ставить брекеты.
>>923044Скол бугра и трепанационное отверстие, ИРОПЗ меньше 50%, допускается прямая реставрация со штифтом или без него.Как такового места для вкладки там нет и быть не может, судя по трепанационному отверстию и остаточной анатомии это нижний моляр, наклон дистального канала просто не даст сделать вкладку с адекватным путём введения и плотным прилеганием к тканям зуба, если ты конечно не хочешь снести ещё одну стенку. Остальные каналы нижних моляров слишком узкие и как опора для вкладки почти не нужны.Уж лучше стекловолокно, чем анкер и поломанный корень, сколько бы не кричали про то что стекловолокно не связывается с композитом, металлы тоже с ним не связываются химически или адгезивно, а стекловолокно вообще-то можно обработать плавиковой кислотой/силаном/бондом для монолитной адгезии и извлекать/высверливать при перелечивании стекловолокно легче. Ретрограды со своими шурупчиками должны быть уволены из любой уважающей себя поликлиники. Вкладки - норм, но тебе не показаны по степени разрушения зуба. Стекловолокно поможет тебе отложить протезирование коронкой на пару лет, пока не нарушится адгезия пломбы и не пойдёт рецидивка и новые сколы, но ты до рецидивки тянуть не будешь, я же тебя сейчас предупредил что она будет и ты же не дурак, наверное. Ставь пломбу со штифтом, за полгода-год без напрягов собирай денежку на коронку, там уже видно будет, может у тебя за это время будет ещё скол и ты спокойно пойдёшь на вкладку, а если нет, то и под коронку так сойдёт.
Сколько в реальности стоит поставить брекеты ? ДсВ интернатах большой разброс по ценамЖелательно по личному опыту.Ну и если есть богачи итт, скажите сколько керамика стоитАлсо бесплатно по полису могут что-то сделать ?
>>923685По полису могут только зубки полечить/удалить. Брекеты тебе хуй кто поставит. В ДС очень дорого, думаю, от 250 и выше. В регионах и области будет дешевле. Можешь сгонять в МО там где-нибудь проконсультироваться, ценник дешевле - качество то же самое. Капу носишь для закрепления результата, сколько укажет ортодонт.
>>916336 (OP)Знающий анон расскажи про свой опыт ношения брекетов и помогли ли они тебе. Я уже ношу их 1,5 года, уже ровняют нижние зубы (верхние уже давно выровнены) , я просто переживаю что в итоге получится так что я просто выровнял зубы и ничего больше, а начинал я все это из-за ужасного дистального прикуса, моя челюсть просто где-то в глубинах шеи блять. Я спрашивал сегодня моего врача об этом, она говорит ну да типо скоро будем резинками понемногу тянуть челюсть и т.д. Бля мне как то не внушает это доверия мне кажется что зубы будут ровными, а эта ужасная челюсть останется. У кого был такой же прикус, расскажите что вам делали и помогло ли вам, что стало с вашим лицом?
>>916336 (OP)правда ли,что после удаления зуба,допустим верхней челюсти.если оставить все как есть без имплантации и коронок. на лице будут появляться морщины?
>>921026>У меня она начала расти после того, когда я ел чипсы неделю каждый день.ты что враг своему здоровью?
>>923774Ты на это жалуешься? Пиздос, у меня хуже. Пока не ставили, но я теперь тоже очкую. Хз, мне ортодонт говорил, что это резинками фиксится, вроде на ютабе девочку с резинками видела, которая говорила, что прикус нихуёво меняет. Не беспокойся, аноньчик, всё будет ок!!!
>>923778Это маленькая проволока, ей как бы перевязаны брекеты, оно походу удерживает дополнительно зубы чтобы не ехали никуда. Спасибо за поддержку, анончик. Но блин все равно понимаю что челюха то не вырастет уже в 19 лет хех. Мне походу ещё повезло, в расслабленном состоянии если не показывать всем свой прикус ебальник довольно неплох, надеюсь не станет хуже после снятия.
>>923779У тебя и так всё в порядке, на мой взгляд. В любом случае есть мьюинг/операция, если так сильно переживаешь. Правда, я не уверена в первом насчёт его эффективности. Сколько отдали родители? Лицо изменилось? Расскажи поподробнее, если не сложно.
>>923783Тоже кстати посмотрел и прочел миллион инфы про мьюинг, пробовал, но что то мало верится во все это. Ну я хохол, делаю все у себя в родной мухосрани приходится из Киева постоянно ездить. Тут свой кабинет у киевского врача ортодонта. Пока что лечение обошлось до тысяч 15 гривен. Я кстати удивлен что вообще в Украине брекеты это достаточно дешево даже в больших городах. За саму установку 4 тыс. одна челюсть ну а там уже по мелочи, раз в месяц ездишь тебе их подтягивают, меняют дугу, чистят зубы от камней. Я как то не заметил чтобы лицо сильно изменилось вообще.
>>923786Вот ещё примеры. Жду знающих людей, пусть уничтожат мои надежды на обретение человеческой челюсти.
Врач посоветовал ирригатор, только не сказал какой. Посоветуй лучшее по соотношению цена-качество в ДС или где заказать?
>>923840В области однозначно выйдет дешевле. Может и в средних клиниках в центре будет дешевле, но я не уверена. У тебя под носом МО лежит, цены в которой на порядок меньше, чем в Москве. Сгоняй в Люберцы какие-нибудь или Химки, лол.
Если сорвать часть пломбы, то должно быть сильно больно? Просто у меня есть подозрение, что я немножечко переусердствовал с зубной нитью.
>>923951Не, иногда зуб может сколоться и будет не больно. Может быть разве что реакция на кислое-сладкое.>Просто у меня есть подозрение, что я немножечко переусердствовал с зубной нитью.Есть у меня подозрение, что кое-кто срукожопил и сделал тебе нависающий край пломбы в месте контакта зубов. Не должна пломба от нитки отрываться.
>>923955>Есть у меня подозрение, что кое-кто срукожопил и сделал тебе нависающий край пломбы в месте контакта зубов.Блен, походу так и есть, нить с самого начала за что-то цеплялась каждый раз. И что теперь делать? Пломбу поставили совсем недавно.
>>923959Если в платной - пойти ругаться, что пломба отвалилась и переделайте по гарантии, суки эдакие. Придирчиво проверять пломбу флоссом после установки.
Аноны, помогите плз. Недавно на двух зубах нашёл такую хуйню. Что это блять? Зубам пизда? Чо делать?На другой стороне такая же картина на тех же зубах(4+5), но площадь чуть поменьше. Ни один из этих зубов не болит.
У меня кариес. Дупло уже довольно здоровое, но все стенки зуба на месте. Мне могут просто просверлить зуб и поставить пломбу, или доктор скажет стачивать все и ставить коронку?
>>924226Бляяяяяяяяяять. И так весной оптом заделал десяток зубов (долго не был у стоматолога, ну а хули, не болело же). А теперь ещё 4 зуба, ну йобаный врот. Окей, понял, спасибо, деваться некуда, значит.
>>916336 (OP)Крч прикол. Давно удалили зуб самый дальний, теперь когда жрешь орехи или чото твердое, оно когда попадает на место, где был зуб, возникают неприятные ощущения. Потом начал болеть другой зуб, пошел к стоматологу, она мне говорит типа у тебя там дальние зубы хреновые, мы их удалим как они заболят. Я подумал ну ладно, удалим так удалим, раз ты говоришь так, ты же врач, ты же знаешь что делать. И вот потом я вспомнил что если их удалить, то будет такая же неприятная хрень как и на другой стороне. Их можно не удалять, а вылечить как-то? Если допустим там придется удалять нерв и они станут крохкими, долго ли они протянут, как их удалять потом если они раскрошаться, чо там можно замутить, чтоб зубы остались. Я ебал в очко этих врачей, они все молчаливые твари, не хотят ничего объяснять, пидарасы лишь бы деньги быстрее получить нахуй. А один пертух вообще сказал хули я к нему приперся, и отправил гуглить в интернет, пиздец нахуй аааа.
>>924211Ты всем будешь говорить что это камень? Ебанутый?Он неправильно чистит вот и проблема. Пока все не так плохо. Нужно нормально чистить зубы(НЕ ГОРИЗОНТАЛЬНО)Но ему нужно смотреть не за зубами, а за грязным усатым ртомЭто тоже твой пост? Зачем ты вводишь людей в заблуждение? >>923415
Доброе утро, анон-стоматолог. Помоги советом, пожалуйста.Прошлым летом сделал КТ, на левой нижней шестерке снимок показывает небольшое (1-2 мм) потемнение под тем местом, где к ней примыкает семерка (пик 1), глазами ничего не видно (там семерка примыкает очень плотно, флосс проходит, а швейная нитка - уже нет). Через пару месяцев сделал еще КТ этого места (пик 2), область на снимке вроде бы уменьшилась. Показал снимок стоматологу, он сказал, что это хуйня, и ничего там нет.Два месяца назад снова сделал КТ, темная область увеличилась раза в полтора (пик 3). Стоматолог посмотрел КТ и сам зуб, и опять говорит, что нихуя там нет, что кариес бы просвечивал через эмаль иначе. Визуально тоже ничего не изменилось.За этот год ничего не болело, иногда бывает слегка повышенная чувствительность примерно в этой зоне (но не сильнее, чем у нескольких других мест, где по КТ все нормально). Еще был период неприятного запаха изо рта около месяца, но вполне возможно, что он был из пищевода. Зубы чищу ежедневно, флосс, ирригатор, все дела.Летом я показывал еще скрины последней КТ в проекциях другому стоматологу (у нее нет ридера КТ), она сказала, что похоже на кариес, но она из-за семерки не может подобраться туда аккуратно, и посоветовала найти стоматолога с микроскопом, либо поставить брекет и отодвинуть семерку.Так вот, если не сложно, ответь, пожалуйста, на следующие вопросы:1. По-твоему, кариес это или нет? Если непонятно, то можно ли как-то убедиться в этом точно (скажем, при помощи той цветной хуйни, которую намазывают, и она не смывается с проблемных мест)?2. Может ли это быть просто область с низкой минерализацией ткани, которая видна на КТ, но не на просвет? Имеет ли смысл делать реминерализацию? Если да, то использовать фторлак, или достаточно геля с кальцием типа ROCS?3. Если это кариес, то как в подобном случае делают полость при использовании микроскопа? Энивей заходят на жевательную поверхность, или можно сделать все сбоку, со стороны семерки? Будет ли прочность и долговечность пломбы, заходящей через угол на жевательную поверхность, ниже, чем у обычной?4. Имеет ли на твой взгляд смысл ставить брекет и двигать семерку, чтобы увеличить щель между ними?5. Как бы ты решал проблему на моем месте?Очень рад буду любому совету, меня чрезвычайно напрягает эта ситуация.
Бандиты и бандитки.В общем запустил зубы, сейчас делаю 15,24,25Ставят коронки, говорят, что маленькие корни и коронка скорее всего долго не простой, мол гарантии не даст.Что делать?Стоит попробовать коронки или сразу импланты ебашить ?
Как перестать ссаться и таки пойти удалять 8-ки? Сам вижу, что надо. Не болят, но прорезались только на половину и видно разрушения. Сам к стоматологу ходил только три раза в жизни - два раза удаляли нервы с нижних шестерок в 23 года и ставили коронки, один раз просто пломбировали верхнюю 6-ку в 24. Без анестезии. Вот с тех пор прям пиздец ссусь.
>>924387Анестезию ебанут и нихуя тебе не будет.Единственное, чем ещё противны восьмёрки - они близко к язычку. У меня повышенный рвотный рефлекс, когда лечили восьмёрку нижнюю - был пиздец в том плане, что у меня рефлекс срабатывал, стоило инструменту в той области коснуться чего-то, кроме десны. Плюс язык живёт своей жизнью под анестезией и мешает стоматологу.
>>924389тут больше проблема, что зубы я никогда не рвал. Сколько это по времени? Ну один я вижу, растёт вверх (разрущения - почти нету стенки, которая примыкает к семёрке). Второй - тут хз, либо от него вообще мало что осталось (чего он тогда уже вот 5 лет не болит?), либо то, что я вижу - часть коронки (то есть зуб растёт под углом вверх).
Да, и ещё вопрос. В моём Мухосранске сверлят зубы (под пломбы) без анастезии. На вопрос: "А какого хуя?" ответ - "А как я пойму близко к пульпе или нет?". Вот это везде так (ну типа так и положено), или дохтур так себе? Просто депульпирование зубов у меня проходило с куда менее острыми ощущениями, чем просто сверление дырки под пломбу.
>>924398Шли их нахуй. В нормальных клиниках для такого существует рентген. И вообще, запомни, что лезть в зуб без рентгена, если только стоматолог не уверен, что это маленький кариес - бежать нахуй оттуда.
>>924392По времени хз, в моём случае мне отрезали десну над восьмёркой и поставили пломбу, до пульпы кариес, к счастью, зуб не доел. Было долго, час-полтора где-то на зуб.
>>924399дык рентген делал. Но всё равно долбали зуб так. Мол кариес не такой глубокий, до пульпы не достаёт, а мне надо понимать где пульпа итд. Но охуевал я тогда знатно. Понятно, что лучше лечить зубы не в Мухосранске,а в городе. Но бля, тут такой выбор - либо ты идёшь к местному и уже через полчаса тебе чего-то там заделают. Либо едешь несколько часов в город. Второе - дико сложно психологически почему-то.
>>924401Короче, ищи нормального врача, а не этого коновала. Без анестезии удалять никто тебе не будет, как и лечить.
>>924401А вообще - сходи для начала, сделай снимок. Мб десну отхуярят, восьмёрки вылечат. Если она у тебя вылезла ровно, то лишней не будет, лет в 40-50 спасибо скажешь, ибо на ровную восьмёрку, например, можно мост поставить.
Суп, зубач. Три месяца назад откололся кусочек очень старой пломбы. Через некоторое время записался в бюджетную поликлинику, поставили в очередь на 3 недели. Через дней 8 НАЧАЛОСЬ. В итоге плюнул и попал через 5 дней к частнику, который сказал, что периодентит и зуб всё. Время было ВЕСЕЛОЕ, и в это время прикус несколько исказился из-за того, что область вокруг зуба воспалилась, а суть в том, что нижняя челюсть ранее упиралась отчати и в этот зуб, а он немного вывалился. Провели лечение в 3 этапа - пломбирование каналов, подготовка платформы, и наконец сама пломба на штифтах. Вроде бы пломбу обточили под прикус, но прошло уже два месяца, а челюсть будто все никак не может привыкнуть и ощущения, что встать нормально не может, хотя меня уверяли, что все сделали заебись точно и так первое время будет. По ночам у зубов так вообще походу какой-то ледовый каток, потому что с утра челюсти ноют особо, как будто я всю ночь что-то жевал. Что делать? И может ли дело быть не в зубе, а в суставах или вообще нервах? Или нужно ПОТЕРПЕТЬ?
Анон, у меня оголяются корни зубов. Особенно это выражено на клыках и соседних зубах. Десны как бы съезжают и образуется "карман". В некоторых местах оголенный корень зуба потемнел (видимо воспаление). В гос. стоматологии доктор сказал, что это гингивит. Прописал гель для нанесения на проблемные места и раствор для полоскания.Что это за болезнь и как её вылечить?Возможно вернуть дёсны на место, чтобы корни зубов были закрыты как у здорового человека?
>>916336 (OP)>СтоматологияСкажите что будет если не удалить пульпитный зуб мудрости на нижней челюсти?
>>924517Периодонтит, периостит, остеомиелит, свищи, флегмоны, абсцессы, сепсис.http://11gkb.by/patsientam/sovety/rasprostranennye-razlitye-odontogennye-flegmony-v-okolochelyustnykh-tkanyakh-oblasti-nizhnej-chelyusti-i-shei - можно только ради картинок поскроллить.
>>924520>Периодонтит, периостит, остеомиелит, свищи, флегмоны, абсцессы, сепсис.А если полоскать хлоргексидином постоянно?Можно заражения избежать?
>>924523Не, там инфекция проникает вглубь, к корню и развивается уже в глубине, куда никакой хлоргексидин не достанет.А ты сейчас где, в морском рейсе или на вахте в тайге? Неужто нет никакой поликлиники рядом?
>>924525> Неужто нет никакой поликлиники рядом?Я боюсь удалять зуб, тем более я им жую, и сверху есть здоровая парная восьмёрка.
>>924527Если ты им жуёшь, значит он у тебя хотя бы прорезался и удаление может быть простым. Можно упросить врачей пролечить каналы, хотя и не факт что согласятся.Но оставлять его гнить не надо, он тебе свинью подложит.
>>924528>Можно упросить врачей пролечить каналы, хотя и не факт что согласятся.Не отказались, когда кариес ещё был, а теперь дырка в зубе. И два дня назад болел зуб очень сильно, а сейчас не болит, если в дырку в зубе не лезть (зубной щёткой или зубочисткой).
Обязательно после удаления 8 жрать антибиотики, а то недавно от хеликобактера жрал курс атибио, не хотелось бы организм нагружать .
Поясните за платную стоматологию и бесплатку по омс.Задние зубы ходил делать бесплатно раньше всегда, передние делал за деньги, так как говорили, что на передние нет пломб у них. Ну я им сверху накидывал за норм анестезию и на чай за сервис, а то они злые какие-то в бесплатках.Занкомые какое-то проетзирование делали бесплатно, типа раз в 5 лет для нищих можно забабахать по справкам, а платно стоило бы 200-300к типа в элитарных поликнлиниках где только на бабос разводят лохов.Поясните тут за вашу внутреннею кухню, думаю москва выделяется и там все норм.
>>924374Импланты это такая жопа, что я бы заплатил втрое больше чтобы обойтись без них.мимо обладатель пары имплантов
>>916336 (OP)Болела десна, сделал снимок, а там такая неприятная восьмерка. Иногда болит, иногда перестает. Маман ходила к стоматологу с этим снимком и он сказал что не возьмется за его удаление, т.к это сложная операция и нужно идти куда-то в другое место (не помню куда, но точно не нахуй). По словам маман мне там вроде должны даже челюсть чутка дробить из-за этой хуйни или пилой какой-то резать, короче запугала меня и сказала что если не болит - то лучше не трогать (ей так врач и сказал). Тем не менее прошло пару месяцев и десна начала снова болеть после того как задел это место щеткой. Шо делать, действительно ли это сложная и травмоопасная процедура с некими рисками получить увечье/кривой прикус после операции или все-таки нет?
>>924746Продолжай ждать, еще и 7ку удалять придется <3А у тебя еще и нерв рядом с этой 8кой.Мне удаляли типа такого. Потом сутки чуть ли не тошнило, было ощущение как при простуде. Болела голова и пару дней был отек.+ там остался какой-то рубец и спустя год иногда возникает ощущение как при оголившемся зубе, как будто там где-то кариес. С другими 8ками такого не было.Но тебе может повезет и все будет ок
>>924703>>924723Полгода назад воткнули импланты, месяц как посадили временные коронки.Нормальный зуб крепиться к кости через хрящ как на амортизаторе и может двигаться на долю миллиметра. С имплантом такое не проканает. А ещё зуб прирастает к десне, герметичное соединение и идеальная чувствительность. Коронка импланта вообще никуда прирасти не может в принципе.В итоге чувствительность отсутствует в принципе. Что ты там жрёшь\грызешь каким местом хуегознает - no feedback & no data. И бонусом десна будет со временем сползать и деградировать.Может у меня завышенные ожидания и со временем привыкну, но прямо сейчас это протез уровня "деревянная нога".Биотехнологии которые мы заслужили.
>>924746Удалить сложнее обычного, но реально, поищи другого хирурга. Совет оставить зуб и не трогать его очень плохой - он тебе за некоторое время может семёрку угробить.
>>924754Мне тоже вкрутили 6ку. На этой/сл неделе должны ставить коронку на него. Про временную вроде и речи не было.
>>924754Печаль. Слышал, что амортизация теряется и что карман между десной и имплантом обязательно надо промывать ирригатором именно из-за отсутствия герметичной связи, но жаль, что это так чувствуется в быту. У тебя импланты не на месте шестёрок?
>>924751Что такое семерка и почему ее придется удалять? Это типо тот зуб который эта восьмерка толкает? И как наличие нерва в принципе влияет на операцию, там же вроде анестезию вводят, или нерву похуй?
>>924751>>924756Мне все знакомые почему-то говорят не трогать. Типо он иногда будет болеть пару дней и лучше попить обезболов. Почему такие советы, в чем могут быть подводные при удалении?
>>924776>Это типо тот зуб который эта восьмерка толкает? Да. В месте, где они соприкасаются, твой седьмой зуб может начать разрушаться. Так как всё это глубоко под десной, адекватно пролечить такой зуб не удастся и он тоже пойдёт под удаление.>>924778Да фиг их знает, почему. Но не от большого ума. Т.к. этот зуб мудрости лежит на боку, он никуда нормально не прорежется, он ставит под риск существование соседнего зуба и рано или поздно вокруг него может возникнуть очаг воспаления, который может вырасти до размеров какой-нибудь здоровой кисты.>в чем могут быть подводные при удалении?Да прост это сложнее и травматичнее. Десну резать надо, зуб распиливать надо, можешь неделю ходить потом с щекой как у хомяка и жрать пюрешки и антибиотики. Но так надо.
Сап, стомат.Поясни по хардкору. Реально ли нужна капа после снятия брекетов? И возможно ли ее заменить скажем гелевыми капами?Ответы на оба вопроса очень нужны и очень важны. С меня нефть.
>>924619>В отдалённой перспективе, если идти до конца - гроб, гроб, кладбище,Да? А как раньше в средние века люди и от кариеса умирали?
>>924754>Что ты там жрёшь\грызешь каким местом хуегознает - no feedback & no data.Так с удалённым нервом считай то же самое. У меня сверху пятёрка с удалённым нервом уже как лет 10. Полгода назад пошёл к стоматологу, а этому зубу почти пиздец был, одни стенки остались. И ещё соседняя шестёрка пострадала. А я и не чувствовал нихуя. В общем, захуярили здоровую пломбу, сказали, что без гарантии и если что случится с зубом - то ждёт меня протезирование, без вариантов.
На завтра записался к стоматологу. Страшно пиздос, хотя пока не похоже на что-то очень серьезное.Года полтора назад лечил зуб с глубоким кариесом, обошлось успешно, нерв не удаляли. Сейчас зуб стал болеть когда ем что-то жесткое, причем не очень понятно, болит зуб или десна. В зеркале виднеется нечто, похожее на трещину, хотя проблема может быть и в другом - почему-то постоянно между этим и соседним зубом застревает пища и болит.
>>925141>между этим и соседним зубом застревает пища и болитА нитка там застревает, когда её между зубами заводишь?Бывает что пломбу делают хуёво, с нависающим краем в месте контакта зубов, и этот козырёк становится ловушкой для пищи. Она там отлично трамбуется, травмирует десну, зуб тоже отзывается болью и всё из-за одного жопорука.
вчера дёргали восьмёрки, до сих пор держится анестезия, пол-языка заморожено, прошло ровно 24 часа, это нормально?
>>925163Неть. Это одно из возможных последствий удаления, проходить может долго. Как будешь у хируга на контрольном осмотре - пожалуйся. Пусть какой-нибудь нейромультивит или физиотерапию назначит.
>>925165>>925169Блять за что мне вот это всё. К слову, я отписывался в прошлом треде, с левой стороны у меня получился одонтогенный гайморит и я дважды делал прокол пазухи, заживало три недели, а с правой получилось теперь это, хоть я и пошёл в другую клинику
>>925193Чувак, говно случается, увы. У меня вот уже 2 недели болят мышцы и левый локоть. И голова. Пойду вот завтра сдам клинический анализ крови и на боррелиоз на всякий. И с зубами тоже проблемы есть.Тоже сижу и думаю, за что мне блять это всё.
>>924797Ну вот это страшное. Мне маман рассказывала что ебло покосить может, а оно у меня итак всратое, лол. >>924786Сейчас занимаюсь выбором клиники, изучаю и спрашиваю у знакомых какие есть хорошие. Мб даже не в ближайшем городе
>>925144>>925141Вернулся от стоматолога. Оказалось, это треснул не зуб, а пломба, из-за этого туда попадает пища и возникает боль. Но, как оказалось, это только частичка пиздоса. А пиздос в том, что мне насчитали еще зубов 10 с кариесом и выпавшими пломбами, один из которых с глубоким кариесом (видно на снимке), хотя я их лечил всего полтора года назад. Пиздос, то ли наебывают, то ли раньше не долечили. Да и цены охуевшие - 4-5к за зуб
Мне удалили 4 зуба, ещё от двух остались только стенки. С одной стороны вроде хуйня, ничего смертельного, а с другой очень по эмоциональному фону бьёт такая хуйня. Да ещё и денег на импланты нет.
Если у меня зубы растут вне ряда(не лишние зубы), то с прикусом у меня однозначно проблемы? ортодонт сказала типа у меня губы выпирают, ну и подбородок у меня маленький, впалый, это я сам подметил. У меня два таких зуба вне ряда, хотят их вырвать, потом брекеты поставить. И что тогда будет? зубы встанут на место пустых зубов? что тогда с прикусом будет? как бы то ни было сейчас денег на всё это у меня нет, но всё ещё думаю что делать, я больше хочу челюсть и подбородок с прикусом исправить чтобы стать как чэд, но слышал что брекеты могут удлинять и портить лицо. Так что я окончательно запутался и не знаю что делать.
Зуб мудрости удалили, через неделю сняли швы, теперь в это дупло попала еда, как ее оттуда вытащить?Она сама выйдет?
>>925712возьми в аптеке хлоргексидина, шприц 5мл, можно отломить кончик иглы, чтобы не острый был, и промывай осторожно, жевать на другой стороне пищу, аккуратно полоскать после еды, если будет болеть - обратиться к доктору.
>>925691>Если у меня зубы растут вне ряда(не лишние зубы), то с прикусом у меня однозначно проблемы?да>У меня два таких зуба вне ряда, хотят их вырвать, потом брекеты поставить. И что тогда будет? зубы встанут на место пустых зубов?если всё грамотно сделать, то да>что тогда с прикусом будет? исправят>не знаю что делатьхочешь исправить - копи деньги, устраивает или не хочешь перемер - оставь всё как есть.
>>925722Да мне швы сняли уже, я жевать мог этой стороной, там в яму от зуба свалились крошки какие-то
У меня вроде как есть много времени и несколько зубов с кариесом. Денег нет, до этого платно зубы лечил всегда. Прикреплён к хорошей больнице. Зубы сейчас не болят и мешает только то, что еда застревает.Стоит бесплатно пролечить зубы? Там же сейчас всё хорошо делают?
>>925802Смотря к кому попадёшь, хорошо бы отзывы на врачей глянуть. Вообще госклиники, как слышал, даже сейчас считаются среди стоматологов не самым лучшим местом - мол, материалы так себе и времени мало отводят.Но если несложный случай (без лечения каналов), то возможно и есть резон сходить. Хоть цементом, но заделают - и будет у тебя отсрочка до более цивильного лечения.
Имеется частная клиника, работающая с ОМС. Подскажи, анон, на меня там не будут косо смотреть из-за того, что я бесплатно лечиться пришел? Не будут специально делать хуёво? А вообще, им за обслуживание нищеёбов деньги-то капают какие-нибудь?
>>925830Если бы не капали, они бы не обслуживали. А насчёт хуёвости - надо спрашивать, какие манипуляции и материалы покрывает ОМС, а за что надо доплачивать.
>>925802лучше подкопить на платное лечение, в условиях госки мало вариантов для качественного лечения, разве что по знакомству.
>>925950Если ответ первого врача показался неинформативным, надо идти к другому пародонтологу, хоть платному. Тут мы особо полезного тебе не подскажем, причины проблемы может увидеть разве что врач, да и дёсны дело серьезное, чтоб доверять их анону. Плюс там похоже пришеечный кариес, его надо лечить, а с пломбами и уровнем десны там какие-то свои тонкости.А так - вообще уровень десны поднимают, но надо вмешательство врача. И снять воспаление.
Аноны, поясните за стоматологии в ДС2. Есть почти развалившийся зуб мудрости, который ВНЕЗАПНО заболел. Куда стоит обратиться, чтобы не нахуевертили с соседним зубом и не оверпрайс?
>>916336 (OP)Анон, поясни за Элайнеры.О себе, 30 лет, денег дохуя, 10 лет не был у стоматолога.Пришел к терапевту, тот вылечил несколько лайтовых кариесов, и сказал чтоб со мной все в поряде и чтоб я шел на хуй исправлять свои кривые зубы, ибо так жить нельзя.Собстна всегда мне это говорили стоматологи, но ставить брекеты я не хочу, начал гуглить и наткнулся на это изобретение 21го века.В интернетах тока рекламные ролики. Есть положительные, есть негативные. Готов отдать 300к если будет результат. Но носить железки 2 года во рту не хочу.Прочитал дохуя, и понимаю что чудес не бывает, да придется носить эти капы два года, да это сложно, но морально вроде уже готов. Работаю на удаленке, жру дома, чистить зубы не проблема.С дисциплиной проблем тоже нет. Какие подводные камни?пикрелейтед.пикрелейтед, то что вижу я это скученость нижних зубов и верхний клык, но наверно проблем намного больше
>>925724>если всё грамотно сделать, то даНу тут загвоздка. Как думаете, подобное лучше делать только в ДСах? это ведь не просто брекеты на кривые зубы поставить а целая операция.
>не кровоточит десна от слова совсем, но цвет нездоровый и понимаю что пародонт>сделали чистку зубов от камней>сам процесс выглядел так словно врачу(да и мне) неудобно>сказали что камней почти нет, но есть кровоточивость дёсенМеня наёбывают? Пытались втюхать лазерные операции на 17к+ещё сверху за приём, отказался, но купил что посоветовали принимать.
>>916336 (OP)Проблемы с башкой. Ехала крыша.Был в жуткой депрессии. За зубами не следил. Многие тупо сгнили - восновном моляры. Думаю есть кисты. На многих кариес разной степени.С чего начинать восстановление. Думаю замутить протезы. Как начать лечение за минимум расходов?1 Думаю первым делом по ОМС идти к хирургу и удалять огрызки гнилых зубов.Какое обезболевание лучше брать. Вроде есть какие-то платные.Как происходит процесс удаления корней? Десну я так понимаю разрезают? Как лечить кисты если есть?2 По ОМС вылечить кариозные зубы.3 Делать протез сгнивших моляров за деньги.Анон, посоветуй как правильно лечить все.
>>926483Иди на форум стоматологов) Ну 8ки удалять офк.А еще у тебя вроде корни верхних зубов в пазухах.Если придется удалять, то будет опасно.
Сколько вообще изготавливают коронку на имплант после снятия слепков? Пидоры, уже больше недели делают
>>926753Можно попробовать помазать Метрогилдента (10 дней, утром и вечером после чистки зубов). Пасту какую-нибудь купить (чтоб за деснами уход был тип, обычно написано на коробке). Еще ополаскиватели есть специальные (либо травы какие-нибудь заварить и полоскать (тут не подскажу, гугл в помощь). Временно можно сменить щетку на более мягкую, чтоб не травмировать десны. Даже если поможет, нужно сходить к парадонтологу.
>>926753Да, есть комплексы Кальций+витамин Д (неплохо если витамин К2 в составе есть и кальций не карбонат, а цитрат). Из забугорного недорогое вот: https://ru.iherb.com/pr/now-foods-calcium-citrate-250-tablets/472Для дёсен Пародонтакс без фтора назначали.
>>919234Вот то же самое возникло после удаление зуба на недели второй, только на соседнем зубе с внутренний стороны. Че за хуйяня не ебу, это нормально или минус ебало?
>>916336 (OP)Nолько что удалили зуб мудрости на нижней челюсти, сижу и трясусь в страхе когда отпустит наркоз, как быть и что делать чтобы побыстрее прошло все без осложнений? Прописали антибиотики, нимесил, и зачем-то лоратадин от аллергии. По ощущениям вся половина рта и языка распухла, до этого десна воспалена был почти два дня. Как заснуть-то теперь? А есть как? Завтра ж на работу, пиздос...
>>926899Всегда интересовало нахуя они делу не по делу выписывают антибиотики, ещё и по 5 дней.если организм сильный, то через три дня все збс уже будет
>>916336 (OP)Что не так с зубом (второй на пике)? Удалили пульпу, а затем трижды перепломбировали, вследствие ноющей боли. Сегодня начал болеть снова, особенно при глотании. Думал, что периодонтит, однако врачи сказали что на снимке все хорошо. Но я все же заметил какое-то черное пятно в стороне от зуба, что это может быть? Перфорация? Или простое воспаление?
>>927187>нахуя они делу не по делу выписывают антибиотикида иди ты нахуй, во рту рассадник бактерий, а у тебя мясо наружу, нихуясе не по делу. я вот гноился как мертвец, и заживал почти месяц, потому что мне не выписали.>>926899вообще по хорошему надо минимум дня три на отходосы, странно что ты пошел на работу на следующий день.
>>927287Как раз во рту баланс микрофлоры в норме, а антибиотиками ты можешь его наруштьь и начнется кандидоз и прочие радости
Пломбировал зуб в поликлинике 20 августа, заплатил за пломбу и вчера этот же зуб начал болеть периодически. Что делать? Могут ли бесплатно меня осмотреть?
>>927321Есть минимально допустимый курс антибиотиков, он может быть как раз 5 дней. Иначе ты резистентные штаммы в себе отрастишь, если по одной таблетке есть.
>>927327Спрашивал как-то у хирурга - они перестраховываются при сложных удалениях, если пришлось полдесны разворотить. Или если на момент удаления там уже были какие-то гнойные явления. А то будет как у анона в прошлом треде - гнойные сопли, болит и не заживает нихуя.>>927329Микроорганизмов.
>>916336 (OP)Между двумя передними зубами появился небольшой проем, плюс там же неприятное ощущение, хз как описать. Что это?
>>927187Внезапно, антибиотики даже от зубной боли могут помочь в определенных случаях что бы там про них не писали
Не знаю, тот ли тред. Но я недавно прочитал о дистальном прикусе и понял, что так и называется мой ебучий "птичий" профиль. Мне 32. Хз, что можно сделать в таком возрасте. Верхние резцы наклонены внутрь, но даже так они при сомкнутой челюсти упираются как раз в основания нижних резцов (а не в их первую треть, как надо).Даже не знаю, достаточно ли будет править зубы или у меня сама челюсть нижняя недоразвита.
Dental Implants are a permanent strong foundation to replace teeth that actually will match your real teeth. Furthermore, having dental implants may also help you to have improved speech, comfort, appearance and self-esteem. Unlike dentures or bridges, implants allow you to eat with confidence and without pain.Read more: https://articles.mymeditravel.com/procedures/dental-implants-procedure-description/
>>927319ну вот и не принимай антибиотики после операций, посмотрю как ты охуеешь.и зубы не чисти, раз в норме всё лол
Вот вчера в зубе дырка образовалась тупо кусочек вылез, но нем ни кариеса ни даже желтоты не было что за хуйня ?
А скока стоит поставить имплантант, более менее приличной фирмы? Проебал парочку зубов и поэтому встал вопрос
>>927569Хз как там с приличием, но брат ставил за где-то в районе 40к. Так что я бы ориентировался на 50-60, если прям прилично надо. А вообще, в зависимости от качества, цена может улететь в стратосферу запросто.
анон-стоматолог помоги - есть зуб (верхняя пятерка), нерв удален, стоит фотопломба. попался камень в еде - обломил его, с тех пор начала болеть вся челюсть, ходил пролечивать все зубы - непомогло, пошел к терапевту - записали на мрт, делали снимки - ничего не находят, посадили на антидепресанты - ебашу феназепам и амитриптилин уже как хлеб. Поганая ноющая боль не проходит :( хз че делать, внутри зуба как-будто что-то распирает, я в отчаянии мучаюсь уже год с этим
>>927654> стоит фотопломбаБыла похожая история, но там боли были только если закусить зубом с фотопломбой что-то упругое и тонкое, скажем лист салата или что-нибудь волокнистое. Мучился пять лет потом мне просто высверлили эту пломбу и сделали заново, всё прошло. Врач сказала, что возможно пузырёк воздуха попал между зубом и пломбой
Анончеги, с чего начать поиск хорошей клиники чтобы лечить зубы? С городскими полуклиниками пора закругляться, а то к 50 пару здоровых зубов будет
>>927774С врачами хуй угадаешь, поэтому для начала можно на оборудование ориентироваться - если они зубы лечат с коффердамом (латексным платком вокруг зуба) и микроскопом, то уже неплохо.
>>916336 (OP)У меня вылезли коричневые пятна на передних зубах, прям у основания зуба и в щелях, не то чтоб сильно заметны, но раздражают. В прошлом году стоматолог-кун сказал просто следить за динамикой, типа начальный кариес. Как такое фиксят? Очередными пломбами?Алсо хочется зубы белее сделать, что сейчас вообще в ходу? Проф. чистка, отбеливание? Зубы скорее от природы желтые, хотя чая много пью, периодически скачет цвет от желтовато-белому к чисто желтому. Параллельно дохуя проблем с желудком, лечатся сложно.
>>916336 (OP)Привет, есть зубы мудрости, один вылез наполовину, растут ровно, жить не мешают. Гигиенист говорит, что лучше удалить, но я очкую. Если ли смысл бежать сломя голову или можно не торопиться?
>>927796>Как такое фиксят? Очередными пломбами?Скорей всего да, пломбами. Хороший и не слишком травматичный эффект по осветлению зубей даёт профчистка.А отбеливание, которое со всякими спецгельками - немного напрягает тем что эмали вредит.
>>927813Наноси на пятно гель Рокс Минералс. Если оно ещё не запущено, может повезёт - реминерализуешь и не будет развиваться дальше.
Пасаны, хз как разобраться, в платке имплантация стоит 20 тыщ, в городской клинике 6. В чем разница и как вообще понять схуяли такой разбег цен ?
>>928018Дополнение. Понятно, что все зависит от врача, но по логике получается, что хороший врач стремится навалить в платку, ибо больше денех можно грести, получается в городских клиниках лузеры работают?
>>916336 (OP)Чому стоматология столь охуевше дорогая? Ведь по сути дела вы нихуя не продвинулись и делаете всё то же самое, что и в лучшем случае 30 лет назад. Основные же манупуляции не изменились и за 100-1000 лет. Какого хера вы столь нагло гребете бабло и оставляете нищуков гнилозубами? Ведь по сути дела любой джамшут может высверлить кариес и пломбу намазать. А вырвать зуб может вообще любой "муж на час" с пассатижами. Лишь бы укол поставили норм., но это плёвое дело и любая мед-сестра двоечница нормально вколит укол.
>>928133Да там вроде как технологии постоянно совершенствуются, хотя Россия конечно отстаёт во внедрении передовых технологий
>>928160В России на самом деле всё не так уж плохо по сравнению с западными супостатами. Баланс цена-качество может быть только в Беларуси получше.
Поясните за частные клиники и городскую стоматологию в плане удаления зубов. Есть полуразвалившаяся восьмёрка, которая начала ежедневно болеть. Куда лучше идти её удалять, в частную или в соседнюю поликлинику? ДС2, если что.
>>928183Вообще без него выше риск вторичного кариеса и пломба может не так хорошо приклеиться как с ним. Но если выбора нет, то лечи зубы всё равно, хоть бы и без него.
>>928178Можно для начала посмотреть отзывы по хирургам в гос. поликлинике - вдруг там какой-нибудь рукастый чел работает.
>>928181>>928192А если я хрен без регистрации, меня не завернут в регистратуре? Алсо, никогда не удалял зубы. Мне сразу идти к хирургу, или нужно сперва к терапевту?
>>928207Если ты иногородний, но полис ОМС имеется, ты можешь прикрепиться к любой поликлинике. На удаление можно прям к хирургу записаться.
>>928217Алсо, хорошо перед удалением сделать прицельный рентген восьмёрки, хирург будет хотя бы в курсе о подводных.
>>928240Понятно, спасибо. Я просто наслушался историй про городские поликлиники, и теперь боюсь их. Боюсь, что мне семёрку распидорасят.
Спрошу еще раз, сколько изготавливают все то что накручивается на имплант?Так же, если формирователь раскрутился или был плохо закручен, а я его аккуратно вкрутил это ок?2 недели делают, пидорасы. Завтра пойду ругаться
>>928284>Средний срок изготовления несъемных конструкций зависит от размеров, формы, выбранного материала, в среднем составляет от одной до четырех недель.
>>918193Такая же хуйня как на пике, но к сожалению из-за моего похуизма я довёл ситуацию до крайней степени. Обе нижние восьмёрки поломали семёрки, а те в свою очередь задели шестёрки. Теперь лечение вылетит в копейку. Так что пацаны, не ждите когда станет хуже.
Такая ситуация. Давно мне выбили зуб. И как то похуистично относился к этому. Сейчас щель между зубами практически затянулась. Собственно можете видеть на пике. Что-то с этим можно сделать?Алсо нужно чинить другие зубы. Что решать в первую очередь? Их починку или это?
Какими антибиотиками убить кариес? Почему стоматологии вообще молчат об этом? И вместо лечения кариеса они тупа сверлят зубы до нервов, а потом, охх, у вас пульпит, с вас 15000 руб. Когда кариес можно было убить ещё в зародыше антибиотиками
>>928723Зачем каждый день? Достаточно курсами. Почувствовал вонь и налет на зубах - пожрал антибиотики - убил кариес, всё. Свободен. И до следующего обострения
>>928710Если хочешь вертать зубы взад - тебе нужен ортодонт и брекеты, потом имплант поставишь на место отсутствующего зуба.Но это всё после санации рта. Т.е. в первую очередь тебе нужен обычный стоматолог-терапевт, а двигать и вкручивать импланты - уже потом.>>928751>Почувствовал вонь и налет на зубахВзял да почистил, лол.А вообще гугли пробиотики с BLIS M18 и принимай их курсами, если хочешь чего-нибудь поубивать в зародыше.
>>928721Каким образом ты собрался употреблять антибиотики? Внутрь? Как тогда они убьют кариес в ЗУБЕ?
Подскажите по ценам, сколько нормально отдать за световую пломбу с анестезией в условном Воронеже? Сейчас 3500 заплатил, а нужно пломб десять, накладно выходит.
>>928600У меня вышло примерно в 10к, два раза чистили каналы и заливали лекарство, спустя пару недель хуйнули постоянную пломбу.
>>928846Эх, в миллионниках это норма, я столько же отдавал и ставил 10 пломб. Могу только посоветовать прокатиться в регионы, в городах с 300-500к населения может быть дешевле раза в 1.5-2.
>>928850У меня ровно в 10к, сразу каналы под двумя зубами почистили, сразу "зацементировали", ну ты понял.
>>928163>Сингл бонд 2>старая этикетка>3225 рупейЧот совсем пиздец, где такие цены?! Нормальный стоматолог всегда знает где можно достать оригинал в 1.5-2 раза дешевле без разводок.
Стоматолух ставил брекеты и сказал, что случилось что то странное и в заказном комплекте нету одного брекета на нижнюю шестерку. Говорит мол, ну хуле делать, не откладывать же на потом, пока мол так поставим, а железку дозакажем, дуга до пятого зуба только будет, поставим когда придешь через 2 мес на смену проволки. Один фиг типа на начальном этапе 6 и 7 зубы практически не задействованы в лечении.Это как вообще нормально?
>>929632Ну по-моему всегда пломбируют каналы и закрывают зуб.Сейчас я так понял стоматологи любят ставят керамические накладки.Типа если кариеса почти нет, то просто пломба, если что-то больше, то накладка.
>>929632Зависит от ситуации. У меня пошёл по пизде спустя лет 10. От зуба остались одни стенки считай, плюс соседнему зубу тоже стало хуёво.
>>916336 (OP)Привет! Как устроится на работу стоматологом в Украшке?Закончил универ и интернатуру - практики там было ноль целых хуй десятых. Работал ассистентом год. Обещали место по окончанию интернатуры. Когда закончил - сказали мест нет (классика). Искал работу врача - нигде не берут, сетуют на опыт. И так везде. Где его получить - хз, если нигде не берут. :((
>>916336 (OP)Репощу сюда из онкотреда. Всем привет, пожалуйста, внимательно рассмотрите человека на прилагающейся фотографии и скажите, всё ли в порядке челюстью в плане отсутствия новообразований (особенно смущают белые пузырьки и какая-то обводка вокруг зуба мудрости (на снимке справа, растёт вглубь челюсти). Этот зуб сначала был запломбирован, потом из него выпала пломба, удалять его я не торопилась, потому что хикка-социофоб-мизантроп, и в итоге почти два года я просто прочищала лунку в зубе от еды. Порой задевала слизистую вокруг зубочистками, она немного кровила, и после очередного такого инцидента я наканецта решила удалить его, тем более он ещё и шатается. Какова вероятность, что там успел развиться злокачественный процесс из-за воздействия бактерий? Как-то стрёмно умирать исключительно из-за своего ебалайства.
>>929724Я б попробовал вылечить ну или если денег немного - показал бы этот снимок на форуме стоматологов (не тут), пусть скажут о целесообразности.Просто оче жалко дропать зуб, особенно если он жевательный.
Уже два года чувствую такую штуку. От прикосновения к виску или чуть ниже виска чувствуется, как в ухе что-то перекатывается. Или будто возвращается на место, даже хз как описать. Сначала думал, что попала вода, но это не проходит и это можно воспроизводить сколько угодно раз, как рефлекс. И только с одним ухом так, у другого нет ничего подобного.Был у лора, с ушами все ок. У двух неврологов был, никак толком это не комментируют. Советовали идти к стоматологу. Спрашивал об этом у стоматолога-хирурга, он к челюстно лицевому хирургу послал. Что это вообще за хуйня может быть? Может ли неведомая фигня в челюсти отдавать в ухо? Челюстно лицевой назначит кт челюсти делать?
>>929750Ну я же возмущался выше что долго делают коронку. Вчера позвонили, сегодня поставили. 2+ недели15 имплант25 все что вышеоказалось слепки не входили в стоимость - 2кЕсть некоторые сомнение по поводу сделанного.Сначала пришел, поставили эту коронку посмотреть. А там виден сильный зазор.Вызвали техника, ортопед что-то ему сказал чтобы немного нарастили по краю.В итоге через 2 часа они что-то сделали с этой коронкой и зазор стал меньше или почти исчез. Но десна на него вряд ли налезет.Это вообще возможно нарастить керамику или меня наебали? По высоте он возможно чуть ниже тк сверху коронка ставилась пока нижнего зуба не было. хз
>>929755Может. У меня при ходьбе чувствуются какие-то щелчки в области левых моляров.Когда идешь как бы подпрыгиваешь(пружинишь)Раньше думал что это было связано с горизонтальным зубом мудрости(лол) Тк после того как его удалили - все прошло.А сейчас опять началось и шея побаливает.
>>929758Вот тоже удалял в этой области восьмёрку, думал что пройдёт. Но нет. И лунка заживала пиздец как долго (с другой стороны зажило идеально за пару недель, с этой мучался долго, сейчас спустя 5 месяцев всё ещё забивается еда).К челюстно-лицевому хз как попасть, в ебенях мало таких спецов. А кт челюсти могут сделать без направления, просто со слов, на что жалуюсь?
>>929771Еще могут появиться гуляющие боли в челюсти. Тоже проходит, но больше чем через 5 месяцев.В частной могут все, лишь бы были бабки
>>926001>>927229Съездил в одну клинику на консультацию.Учитывая что восьмерок у меня нету с рождения и все зубы более менее здоровы, мне готовы ставить "элайнеры хоть завтра".Зарядили 165к+:5к рентген ебала30к - их маркетинговые видосики как будут двигаться зубы и прочие 3д модели - неделя130к - сами каппы - 3 неделиПо срокам 14-18 месяцев носить.Был приятно удивлен ценой, примерно готовился услышать цифру в 300к.В субботу записался еще в 2 клиники. Буду держать вас в курсе.
>>929797Вроде давно был такой сайт, где ты платишь им бабло, они высылают тебе капу с материалом и инструкцией. Отправляешь им эти капы, а они тебе элайнеры
>>929798Да чет не хочется самолечением заниматься. Половина отзывов даже под присмотром врача - негативная. Дохуя видосов как люди по какимто причнам дропали это дело.А я хочу чтоб было потом на кого отвественность возложить.
>>929800+ насколько я понял там прилепляют некии аттачменты к зубам на остмотрах, сам ты дома этого не сделаешь.+ дают какието резинки носить, как с брекетами.
>>925163Снова я, язык онемевший до сих пор, но вот меня другая вещь беспокоит : с внутренней стороны десны внезапно вылез какой-то маленький костяной отросток, аккурат напротив корня языка и царапает его. Что это вообще такое лол?
>>929816Осколок, может быть. Мне так зуб сломали (не 8), часть осколков удалили потом, а один сам вышел из десны.
>>929816Удалял в частной клинике? Пипец, страшно, что заденут нерв и язык онемеет :( тоже надо 8 удалять, эх.
>>929816Вот так это выглядит, то есть две недели назад вытащили зуб, шов со стороны щеки больше, а это говно вылезло на внутренней стороне
>>929827Да, в частной. Я тот самый везунчик из прошлого треда у которого был одонтогенный гайморит после удаления слева. Сейчас у меня осложнения после удаления справа. Слева я удалял в берлине по страховке, справа удалил в ташкенте, в частной. Што то хуйня, што это хуйня.
>>929828А ты снимок делал после удаления? Либо осколок либо кость, но первое более вероятно. То что до сих пор онемение - не окТут если он почти вышел, тебе просто сделают надрез и извлекут.
>>929843Посмотрю как будешь чистить, когда десны распидорашены сверху и снизу и рот не открывается нормально. Просто иди на хуй.
Стоматолог-кун, поясни за соду. Правда ли, что она помогает при зубной боли? Правда ли, что полоскания содой защищают от кариеса? Если да, почему бы не взять в привычку полоскать рот утром и вечером содовым раствором?
>>929838Пошёл сделал, после спада отека вылезла часть лунки, пять минут работы, кость отломали и сточили
Поясните за брекеты. Вчера врач сказал, что у меня глубокий прикус. Как долго это исправляется? Брекеты ставятся на обе челюсти? Есть ли возможность поставить такие брекеты, которые крепятся на заднюю сторону зуба?
>>929916Порекомендовали прозерин, но там побочки в виде бессонниц, витаминки, ну и типа можно не делать ничего, само пройдёт
>>929923Вообще брекеты носятся около 1,5-2 лет (ну, тут как повезет, конечно, кто-то носит и дольше). Ставят на две челюсти. Да, есть такие брекеты и можно поставить их (зависит от того, сколько у тебя денег). Вообще вместо железных можно поставить белые (сапфировые) или прозрачные брекеты (естественно, дороже). В общем, обсуди с врачом, если деньги есть, то можно поставить менее заметные брекеты.
Сколько будет стоить примерно вставить временные импланты на три моих отсутствующих зуба? Врач говорит надо удалять нахуй все, и тот который остался второй слева, и ставить мост на 4, но это будет стоить 60к, пока таких денег нет, слышал что можно поставить временные.
>>929957Импланты будут стоит раза в 3 дороже моста.>Врач говорит надо удалять нахуй все, и тот который остался второй слева, и ставить мост на 4Говно врач, если он советует удалять зубы без прямых показаний.
>>929880Нет. Помогает от кариеса не употребление в пищу рафинада и правильная чистка зубов выметающими движениями + использование зубных нитей.
>>929972>Импланты будут стоит раза в 3 дороже моста.Я слышал что они намного дешевле, которые временные. Блин, даже на поход к платнику за консультацией нету.
>>930011Это были ретинированные восьмёрки со сложным удалением, проблема к гигиене отношения не имеет. Удалять надо было, потому что стало болеть горло, как при ангине. >>929944 спасибо. Вот копипаста что хирург мне написал от онемения языка:> Прозерин 0.015 3 раза в день два месяца> И диодинамические токи + магнит 5 процедур( физиотерапия)> как будет стойкое улучшение, прозерин можно отменитьВообще парестезия нечастое осложнение, если корни не лежат на нерве и с анестезией не объебаться, то не грозит.
Господа, фиксится это говно брекетами? Как я понял это называется дистальный прикус, когда смыкаю зубы - нижняя челюсть прячется за верхнюю. И выглядит некрасиво, ну и зубы это дамажит наверное (уверен что дамажит). К докторам собираюсь идти через пару месяцев, но захотел у господ поинтересоваться.
>>916336 (OP)Сап, ОП.Кароче, у меня выпирает вперед передний зуб как на пике.Я так понимаю если ставить брекеты, то перед этим зуб нахуй выдирают?
>>930069Могут иногда четвёрки или восьмёрки удалять перед постановкой брекетов, но передний зуб трогать не должны.
Удаляли шестерку из-за кисты, сразу появился отек на всю щеку. Сейчас (3-и сутки) пополз вниз, уменьшился. Снаружи щека мягкая, но внутри уплотнение. Это нормально, или надо снова ко врачу ползти?Можно ли продолжать холод прикладывать?
>>930152Еще, кажется, в месте уплотнения на щеке небольшая желтизна, видимо, гематома. Это повод переживать (вдруг загноится) и делать повторный рентген? Температуры нет, боли тоже (почти).
>>930152Было похожее после удаления и даже после лечения нижних зубов. Хирург сказал что гематома и особо делать ниче не надо. Можно мазать гепариновой мазью, но я не морочился.В общем не переживай.
>>930152На 3 день отек начинает спадать. Желтизна - норм.Уплотнение может быть долго. У меня после удаления 8ки оно было больше полугода(когда мыл лицо и как бы проводил руками вниз - чувствовался шарик, но вроде прошло)Пикрил, сказали - нормальное заживление.
>>919709Белые следы возле дёсен на зубах есть?Если есть, то скорее всего дефицит кальция, у самого такое, сегодня у стоматолога был. Сказали, что пока всё норм, нужно просто начать принимать кальций D3, купить пасту, обогащённую кальцием, перед сном наносить на зубы и держать по 20 минут.Но советую тоже сходить, может что-то другое.
>>930173Странно, врач так и сказал, что дёсны слезают из-за дефицита кальция? Назначения выглядят скорее как компенсация повышенной чувствительности оголившихся шеек зубов. Ну и потом отдельно разбираются с дёснами: лечат и оперируют если надо.Алсо, розовую иннову походу сняли с производства. Но есть заебатый rocs medical minerals (только дорогой падла).
>>930182> Странно, врач так и сказал, что дёсны слезают из-за дефицита кальция?Нет, зубная кость уменьшается, а дёсны просто сползают вместе с ней> Алсо, розовую иннову походу сняли с производства.Я чёт вообще пока не нашёл нигде иннову> Но есть заебатый rocs medical minerals (только дорогой падла).Тоже не видел. Вот такую только нашел.
>>930235А, вот оно чё. Тогда в поедании кальция есть смысл, вероятно. Прост наслушался ещё о куче факторов, начиная с грубой гигиены и кончая функциональными перегрузками - тут врачи обычно задвигают про брекеты, а я ухожу в расстройстве. (Да, с наличием в аптеках у нас тоже не очень. Гельками и интересующими приблудами обычно в интернетах приходится закупаться.)
>>930239Я б наверно адгезивную Асепту купил и залепил ей рану. Ну а если там в будущем вырастет какой-нибудь зерг, то можно и к врачу.
>>930235Эта ёбень пиздец абразивная. Я купил не прочитав дальше чем "для чувствительных" и охуел. У меня зубы подстёрты сверху слева у десны и эта дрянь усиленно въебала их состояние всего за полтюбика.
>>916336 (OP)В верхнем ряду зубов у меня один(второй левый считая от центра) чуток выпирает вперёд.Когда мне было лет 16, я видел(через зеркальную комбинацию большого зеркала и маленього зеркала во рту) будто торчящий черный корень зуба с внутреней стороны верхей десны, за торчащим вперед зубом.или мне это приснилось? Сейчас, в 24 года, я не вижу ничего изнутри.
Ребята, отклеился ретейнер, какой то выпускник терапевт приклеил, теперь тянет всю челюсть. пизда походу
>>930293Что сразу пизда-то?Может это зубы такие :"ура! швабодка!" и поползли обратно.Беги приклеивать срочно.
>>930298Это вообще сложная процедура? Может обычный терапевт выспускнить приклеить правильно? Или нужен именно ортодонт?
Подскажите стоматологию в Новосибирске.У меня тут рядом была клиника, но похоже сдвачилась, дверь закрыта, вывеска и помещения не освещены.Знакомые все ПО МЕСТУ ЖИТЕЛЬСТВА делают.Там где я делал 10-8 лет назад - того самого доктора нет, 3 года назад - перекуплены под сеть клиник общего толка.
>>916336 (OP)А что делает терапевт при чистке каналов перед самым пломбированием. Я чуть не сдох сегодня от боли во время этой процедуры.
Захотелось электрощетку себе взять, какую посоветуете?Вообще ирригатор есть, его хватит или все равно норм будет юзать щетку?
>>930291Я пикусил её и сгорел из-за этого, пошёл в ванну и просто откусил её. Пшыкаю мирамистином, если ничего не вылезет через 2-3 дня, то всё хорошо. Всё равно скоро должен сходить на ежегодный профилактический осмотр.
>>930315>>930323>>930343Не обнадеживайте себя так. Мне тоже пытались лечить, хуячили в канал лекарство несколько месяцев. Потом культевая вкладка и коронка. Так она простояла лет 5 мб чуть больше. На десне стала появляться шишка. То появляется, то пропадает. Боли не было. Спустя какое-то время решил удалить. Это просто психологически неприятно, когда знаешь что в один момент она ебанет и будешь ходить с распидорашеным ебалом.Возможно дело было в незапломбированных каналах.
>>930396>Возможно дело было в незапломбированных каналах.В смысле, думаешь качество перелечивания было неудовлетворительным? Воспаление уменьшалось за месяцы лечения и потом снова вспыхнуло?У меня пока был позитивный пример перед глазами: у чела была гранулема(или киста, хз) на корне 7мм, после перелечивания каналов она скукожилась до 5мм за 3-4 месяца, что довольно быстро. Сейчас вот дальше наблюдать будет.
>>930391Ещё в процессе. Т.е. всё уже сделано, остальное время покажет так сказать.>>930396Меня об этом предупреждали. ЧСХ рентгенолог похвалила работу стоматолога.
Ситуация похожая на это >>919925, только я никуда не переезжал.Был у меня налет на передних зубах, мне его почистили airflow и другие зубы тоже может на них тоже было немного, но я не видел, заполировали, и сделали фторирование. Сначала всё идеально было. Уже через неделю появился еле заметный налет, я его пастой и зубным порошком оттёр. Затем начал появляться налет в тех местах, где до этого был. Потом появился, где его никогда до этого не было. Налет растет очень быстро за 3 месяца уже больше чем до этого за год появлялось.Что может быть причиной такого? Я думаю может порошок в аирфло засыпали не тот или давление слишком сильное для скорости работы сделали и мне эмаль испортили? Цена чистки была подозрительно дешевле чем в других местах 2500 руб. Может заполировали плохо или паста была некачественная?Фторирование было таким,что намазали 2 минуты подержали и всё. В интернете пишут, что надо 15 минут держать минимум.Сейчас нужно снова идти чистить. Может мне нужно как-нибудь эмаль восстанавливать? Если снова мне так почистят я боюсь моим зубам конец придет.
>>930289О как. Хорошо, что не купил.>>930241> Да, с наличием в аптеках у нас тоже не оченьНашёл я эту пасту, кстати. Не в аптеке, а в магазе, где много всякой обскурщины продаётся. Розовая иннова тоже там есть, кстати. Взял зелёную. Неплохо, не абразивная и мятная.> Прост наслушался ещё о куче факторов, начиная с грубой гигиены и кончая функциональными перегрузкамиЯ вот только сейчас узнал, что кофеин и сахар вымывают кальций. А я чашек кофе по 8 за день выпиваю. И колу вдобавок. Походу из-за этого такая хуйня и пошла.
>>930403Изначально шишки не было, после того как накрыли вкладкой.К стоматологу я после этого долго не ходил)Когда начало напрягать еще говорили про резекцию. Но это моляр с несколькими корнями и не факт что что-то бы получилось. Я посмотрел видео этой процедуры и охуел.Док в стоматологии так на легке об этом говорил и цена вообще 2-3кНо он предлагал мне без пломбировки.Там есть такая хуйня - ретроградная пломбировка. То есть тебе делают дырку в кости, вычищают кисту, срезают корень и пломбируют изнутри.... Но это жесть конешн, там потом долго после этого охуевать будешь
Анон, 2 месяца назад делал пломбу на 6ке нижней, и в итоге неделю назад этот зуб треснул. Трещина идет сверху и уходит за десну, видимо до самого низа. Боли как таковой нет, просто иногда неприятно за десной, как будто трещина соприкасается с ней. У кого нибудь бывала подобное? Как лечили?
>>930678Блин. Мне жаль тебя огорчать, но если трещина уходит до самого низа, то это пизда зубу. Такие штуки герметично латать ещё не научились и зуб просто удаляют.
>>930698У меня кстати тоже вроде трещина, но пломбу ставили давно. Причем одна прямо вертикально между корней, другая на крае зуба. Мне кажется могут сделать либо накладку либо поставить туда культиевую вкладку и коронкудругой анон
>>930707Да, самое разумное показаться врачу, конечно. По описанию там можно и перелом вообразить (что я и сделал), а на деле может что-то нефатальное.
>>929826ДС3.Итого был еще у двух ортодонтов.1. Неопытная девушка, нибуя не знает, цена 160-180к ничего конкретного сказать не может, ушел огорченный.2. Мужик, сказал буквально три слова. Цена от 200к, но лучше поставить брекеты. Опять ушел огорченный.Пока первый врач показался самым квалифицированым. Хуй знает что делать анончики, есть ощущение что ни у кого толком опыта нет.
>>916336 (OP)Стоит ли разоряться на циркониевую коронку для верхней шестерки?Или не выёбываться и поставить металлокерамику?
Купил стационарный ирригатор. Дня 3 попользовался. Сегодня утром заметил, что давление не сразу набирает, да и все равно давления нормального нет, еле-еле. Пиздарики или за ним как-то особо ухаживать надо?
МНЕ НУЖНА ПОМОЩЬ.У меня есть зубы с выпавшими пломбами. Когда входил шесть лет назад к стоматологу она сказала, что только удалять и я буду почти беззубым. Можно ли удалить зуб и сразу запломбировать новый? Как это вообще делается быстро и без лишних хлопот? ДЕНЬГИ ЕСТЬ
>>930885Сколько времени ты живёшь с выпавшими пломбами? Из дыр воняет прокисшей едой, зуб кровоточит/шатается?
>>930886Лет десять. Ничего нет, не болит ничего. При улыбке их не видно тоже. Один в правом верхнем углу, два в правом нижнем и два в левом нижнем.
>>930888Спасибо за ответ, а то у меня около двух лет назад в левом нижнем зубе мудрости выпала пломба, и я ссу, вдруг там где-нибудь в кости или в десне образовался спидорак, потому что еда всё равно застревала, несмотря на вычищение. Мне его удалили, потому что он был весь разрушенный, шатающийся и криво растущий, а если у тебя они норм относительно, то, может, и можно прочистить и снова запломбировать в другой клинике.
>>930746Попробуй пошарить по всяким форумам своего города, может, посоветуют хорошего врача. Ну, или на стоматологическом форуме спросить.
Пару месяцев назад появился такой налет, можно его убрать без похода к стоматологу? Пробую всякие отбеливающие пасты, пока без толку.
можете оценить насколько все плохо? сколько будет стоить эту Марианскую впадину заделать? и вон там зуб мудрости так и должен расти?
а ещё такая фигня, у передних зубов, верхних и нижних на острие словно прозрачность небольшая. то есть когда подставляю язык под зубы, то цвет чуть меняется, моим зубам ваще пиздец?выше фото с дыркой в зубе моя
>>9311722000-5000 в частной если нет проблем с корнямиу тебя вроде места много между 6 и 7 и 8 не давит, но тебе в любом случае будут советовать удалить
>>931174а больно будет ставить пломбу или что там надо делать? а вон рядом зубику помощь не нужна случайно?
Привет, аноны. такая бида. Иду к стоматологу в первый раз.появилось пару дыр в зубах, болят. Иногда вкус пластмассы чувствую. Люто боюсь. Стоит ли закинуться диазепамом от тревоги перед визитом? А то все эти дрели, лампы и тот факт что люто бобо если нажмешь где надо меня до паники доводят.Плюс маленько стыдно что до такого довёл.
>>931192Доктор выписал. От бессоницы и тревоги А в аптеке я его купил.Слыхал про такие, умник?Если были бы проблемы только с зубами - был бы рай. :(
>>931191Странное заявление. Сколько имел опыта общения со стоматологами, всегда советовали зуб вылечивать а не удалять.
>>931207Вот уж не поверю, максимум Феназепам выписывают. Диазепам это в стационаре только. Хотя может ты хохол
>>931211Это платные? Мне хотели вырвать полчелюсти, я убежал в ужасном состоянии. Я даже хо по послать их нахуй
>>931212Диазепам слабее феназепама. Ещё что умное скажешь, неверующий?Нет, не хохол. Но не из РФ, это да.
>>931186Лучше у стоматолога уточнить, чем можно закинуться перед приемом, мало ли. А вообще обезбаливают же, так что относительно комфортно лечить.
С разьебанным осколком от зуба в котором какая-то чернота можно что-то сделать или только удалять ? Оно даже и не болит
>>931290>>931293Парни, ну смотреть же надо. На некоторых развалинах можно эндодонтию+культевую вкладку+коронку сделать и будет жуб, а на некоторых такие нюансы что только под удаление. Делайте снимок, идите к врачу.
>>931191>>9312118ки плохо чистятся и быстро гниют. Можешь не удалять, но в один раз он тебя прихватит врасплох да еще и начнет крошиться при удалении. И тогда при неудачном раскладе тебя будут резать от уха до уха :)Либо у тебя поедет ряд зубов. Вот у меня на нижней он чуть успел сдвинуть.
>>931226это верно. Плюс позвонил в клинику, спросил. Сказали на первом приёме ничего делать не будут, ибо нужно посмотреть что за ситуация.>>931292шта? Не знаю как в РФ, а у нас ещё как купишь, с рецептом. Да и в РФ тоже, ибо это жизненно необходимое лекарство. А теперь вопрос - может перестанешь нести херню?
>>931302Сильно заметно, что сдвинул? Вот у меня тоже растет в бок и хз, как понять, сдвинул он что-то или нет. Может, это мнительность моя и мне кажется уже, что что-то поменялось.
>>930437У меня после эйрфлоу появился налёт снизу сзади на передних зубах, видимо хуевато чистил. Нахуя тебе ещё раз чистить? Я после двух чисток хуй на них положил.Первый раз заебись почистили, но не эйрфло было, а что-то олдовое с крутящимися насадками полирующими.Второй раз спустя лет 6, эффект проебался, решил повторить. Было эйрфло, ты пишешь про полировку, я не помню чтобы чем-то кроме пескоструя хуячили.Короче как-то нихуя не так всё было. Эффект был, но повторять нихуя не захотелось, я ебал такое казино и тебе такой же подход рекомендую.
>>931386То есть если надо камень на конкретных зубах сбить - продавливай их на эти зубы онли, а не всё подряд счищать.
Ребят, планирую почти все зубы заменить на импланты, но что в гугле, что в платных стоматологиях почти везде стараются высосать побольше бабок. Скажите плз, какая средняя цена у норм имплантов, которые отслужат хотя бы лет 10?
>>931436Зубы очень слабые, буквально разваливаются, как-то ел сосиску и об неё зуб сломал. Тупо заебало уже это, все зубы бы заменил, были бы бабки, а так для начала кривоту хочется убрать хотя бы
>>931437Ну с виду нормально же всеВроде когда весь рот меняют и делают 6 имплантов на челюсть то где-то 300кВозможно ты просто социоблядок)
>>93142350к - бюджетный имплант с установкой и все хуйней. Если нужно наращивание кости, то ещё 20. Но нахуя тебе это, если свои зубы целы?
Сильный налет, язык по бокам формы "отпечатка зубов", периодические багровые кровоизлияния формы точек, иногда, до полусмородиновых размеров. На неделю образовавшаяся область, с повышенной чувствительностью и не зарастающая налетом, а после ее зарастания, немного кровоточащая в этом месте при стирании налета щеткой. Несколько новых небольших "вмятин" в самом языке. Что-то из этого набора может быть следствием проблем с зубами?Если заодно укажете на другие причины, буду только рад (желудок проверял). Асло, весной откололся нижний боковой зуб. Налет и "отпечаток" уже был, остальное подключилось спустя несколько месяцев. И недавно болел простудой, в момент сильной температуры начали болеть верхний зубы по обоим сторонам. После прошли.
>>916336 (OP)Болит десна, даже не болит, а будто там лежит маленький шарик и бесит сука, болит, когда задеваешь ее губой. Ещё боюсь, что этот зуб может просто выпасть, именно под ним и происходит главная хуйня.
Аноны, верхушки зуба стали очень белыми, когда-то были белые пятна, но не такие большие. Кариес на зубе был, но его вылечили. Зубы чищу 2 раза, рот полоскаю. Что я делаю не так? Это кариес?
>>929723Хуйню сморозила.Злокачественное образование из-за бактерий?Больше всего смущает 37 зуб и его не запломбированный канал.
Послали удалять 4 зуба, ещё два под вопросом. Не говоря уже о том, что все остальные в тысячах пломб. Ебаные воспоминания из детства развили во мне стоматофобию и я до 26 лет боялся идти к зубному, а теперь пиздос.
>>931873Не совсем хуйню, хроническое воспаление вполне может перейти в онкоНа гугл академии 3кк статей, если ввести "chronic inflammation and cancer", читать я их, конечно, не будуНо тут она зря нагнетаетмимо
Вот так выглядит остеосаркома:A 31-year-old male reported with a soft tissue swelling at right posterior lower molar regions for 20 days. Patient's chief complaint was only swelling without any pain or discomfort, looseness of teeth, bleeding from the lesion or paresthesia of lips. Patient gave a history of extraction of the lower right second molar about 6–7 years back due to caries.
сап, двачСтолкнулся с проблемой. Сегодня утром прополоскал рот листерином. кол-во жидкости было не больше рекомендованой. Первые минут 15 все было ок. Потом очень сильно онемело 3 зуба. онемение такое, что аж давит на десну, будто от даления сейчас зубы вылезут. И неприятно стреляет вверх, в скулу, неприятно отдает в голову, в итого стреляет и болит вся левая часть ебала. Прошло 40+ минут. Эффект такой же. То ли от паники, то ли хз от чего начало еще переодически бросать в жар, потею. Подскажите че это за хуйня. Стоит ли паниковать?
>>932014Какое-то время после лечения могут быть боли и неприятные ощущения, если не проходит долго, то пездуй к врачу выяснять.
>>931873>>931895Да, я о том, что бактерии вызывают воспаление, а оно может привести к раку, если повезёт.В общем, корявый зуб мудрости мне удалили, сделали потом ещё рентген, потому что этот шакальный, и на месте удаления вроде всё норм подживает в костях, хотя опух углочелюстной лимфоузел. Если бы было что-то не так в мягких тканях, то хирургиня бы уж увидела на операции (меня смущает, что до удаления чуть-чуть кровоточило), так что тут остаётся только ждать, пока затянется до конца сама лунка. А под шестёркой слева (на снимке справа) - >>929723 всё так же сохраняется белая нех, так что это не помехи снимка. Дискомфорта по ощущениям там нет, это типа случайная находка. Врачи сказали, что это вряд ли что-то злокачественное, возможно, цемент зуба, но ведь без удаления с гистологией точно и не узнать. Забить пока и приходить, когда буду умирать?
>>931905Делай рентген, возможно, ты мой товарищ по несчастью, и у тебя там тоже остеосаркома какая-нибудь нех.
Привет други вообщем был капишон надо восьмёркой нижней туда постоянно забивалась еда и выччмстить крайне сложно. при пальпации этой области пальцами вонь присутствывала , я решил удалить восьмёрку она была на половину прорезавшейся, хирург сказал что это конечное сост шо она так и будет, я решил удали шобы не ебатться с вонью с этой области, правильно ли я поступил, может ли удаление восьмёрки как то изменить прикус или лицо ?
>>932123смени пасту(нужна без фтора)Если юзаешь ополаскиватель, то полощи после нитиПотом чисти пастойРекомендую пикрил
>>932306Пока что забью, но эта хуйня проявилась в том же месте два раза на снимках в разных клиниках. "-Совпадение? - Не думаю" так сказатб. (Второго снимка у меня на руках нет, потому что он был бесплатно, если не забирать, но я сама видела эту же нех).
Есть зуб на который заебенили пломбу. Проблема в том, что откололся приличный кусок от зуба, а пломба осталась на месте. Можно ли сделать пломбу самому, если к врачу сейчас нет возможности попасть?
>>932376Страх проходит в первые 5 минут, так что можно ничего не упарывать. Сам ссался пиздец, но после укола анестезии стало похуй.
>>932543Я помню как в детстве мне вроде ставили анестезию, но при сверлении отдавало неприятно как если скрести вилкой по эмалированной чашке, только сильнее. Это анестезия плохая или это ощущение неизбежно?а на осмотр все же ебану феназепама, просто осмотр же, но ссусь, лет 10 не был у врача
Наконец отмучался, пацаны. Сняли зубной камень , вырвали гнилушки , залечили оставшееся, поставили коронки кое-где. В качестве бюджетного варианта выбрал установку бюгельных протезов, так как на импланты при таком количестве сгнившего денег особо нет. Ну и в итоге я теперь снова могу нормально пережевывать пищу.
>>932666Пили кулстори, браток, как до жизни такой дошел? А то в треде одни девочки с небольшим кариесом и прочие кривозубы без реальных проблем.У меня в детстве сформировалась фобия из-за пары неудачных походов к стоматологу и до 26 лет я у него вообще не появлялся.Сейчас лечу потихоньку, светит удаление 4х зубов и ещё два под вопросом. По одному жевательному зубу снизу осталось, но их кариес поел прям у десны, вот они под вопросом как раз. Если им пизда, то мне жевать будет нечем. Собираюсь ставить хотя бы по импланту раз в полгода.В общем пили кулстори, как удаление перенес и т.д.
>>932729Запустил зубы, боялся стоматологии. В итоге сгнили почти все коренные зубы и несколько сверху. Потом пошел к стоматологам, сначала по ОМС, те поставили пару пломб, которые выпали через пару месяцев и выписали направление в районную стоматологию на удаление. Прочитав отзывы про неё в стиле "даже за деньги не расстаются с привычками врача-бюджетника", отложил кирпичей, да и вообще всю эту затею. Потом знакомый посоветовал стоматологию, обратился туда. Там сделали снимки челюстей и проблемных зубов, составили план лечения, сделали чистку, потом принялись вырывать зубы. Срался, конечно, так как представлял адскую боль и хамство, меня посадили в кресло, вкололи анестезию, подождали и принялись рвать зубы. Сам процесс, внезапно, был абсолютно безболезненный, просто чувствовал разное давление в роте. Когда вырвали гнилушки, принялись лечить остальные, дошло до того, что иногда вообще засыпал во время процесса, настолько все происходило безболезненно. Когда дёсны после удаления зубов зажили и усели, сняли слепки челюстей и сделали протезы. Пару раз потом приходил сначала на примерку, а потом и подгонку. По деньгам за удаление, лечение и изготовление бюгелей вышло около 130 тысяч рублей.
Анон, дико болел 8-й зуб (кариес на неудаленной 8-ке, да-да), сейчас он не болит, но иногда "стреляет" в челюсть - это значит, что я проебланил пульпит и надо валить к врачу как можно быстрее? Крови нет (или я просто не могу найти, где она), при надавливаниях зуб не болит.Уже записался в поликлинику (для частной стоматологии нищеват), но так как с врачами все очень хорошо, запись аж на 18-е и хрен его знает, что делать.
Сходил впервые лет за 10 к зубному феназепам чет не очень то помог, посмотрели на зубы, провели очистку, а по поводу кариеса сказали что ну один надо подлечить, а остальные норм, но у меня весь рот в черноте небольшой. Я когда в 14 лет ходил, мне сказали в след. году прийти подлечить еще зуб я забил канеш, и спустя столько времени мне говорят о другом, а с тем хз. Это как, нормально? И что делать если везде есть небольшой кариес? Ничего, пока не разрастется?
Вместо зубной пасты, нити и стоматологов, не разумней ли сразу начать (или откладывать) на хорошие протезы типа керамики? А то столько накладных расходов лишь для того, чтоб на 10 лет оттянуть неизбежное.
Сап, анон. Хочу узнать у местных, что в данный момент происходит с моим зубом и нужно ли паниковать.Началось все 2 года назад, когда откололся небольшой кусок пятого сверху по счету зуба. Он не болел, просто забивалась пища. Пошел в бесплатную поликлиннику, там мне какая-то ослиха наебенила пломбу, после которой зуб стал периодически побаливать. Но ощущения были реально незначительными, иногда по несколько месяцев никак не проявляли себя, тем более я по привычке на ту сторону челюсти даже не жевал, поэтому я думал, что все норм. Так прошло 2 года. Пока зуб не начать вонять. Запашок помойки преследовал меня во время каждого приема пищи. И тут я созрел для повторного посещения стоматологической поликлинники уже другой, но снова бесплатной. Пломбу мне сняли, врач сказала, что я пришел на пограничном с периодонтитом состоянии. Высверлила мне канал, закапала каким-то лекарством, заткнула это все временной пломбой и приказала ждать. Через 2 недели я пришел, она начала мне стучать по зубу и спрашивать, больно или нет. Было больно, в следствие чего она еще глубже высверлила канал и снова закапала какой-то хуйней. Еще через 2 недели мало что изменилось. Какой-то острой боли при постукивании по зубу не было, но было НЕПРИЯТНО. Она сказала, что постоянную пломбу ставить при таких обстоятельствах не имеет смысла, ибо зуб один хуй нагрузку держать не будет и отпустила меня с временной пломбой еще на месяц. Мол, если через месяц это пройдет, то гут, будем ставить постоянную. Если нет - будем удалять зуб. С зубом прощаться ой как не хотелось, поэтому я решил подождать.В общем, так как мне уже привычно жевать на противоположную сторону, я жил и не тужил, почти забыв, что у меня во рту временная пломба. Очнулся я только спустя 2 месяца, внезапно ахуев от нарастающей боли в том самом высверленном зубе. Сейчас сижу и ощущаю жжение в том зубе, периодически оно усиляется и появляется ощущение, что слегка тыкают в то место иголкой. На лбу легкая испарина возможно, потому что я ссыкло и до жути боюсь зубной боли, стоматологов и всей связанной с этим хуеты. Посему, хочу спросить: мне уже нужно паниковать и как можно скорее бежать к платному стоматологу? Или можно потерпеть до понедельника, чтобы попасть к ведущей меня стоматолог-тян из бесплатной поликлиннике? Спасибо
>>932948Ну сейчас я так понял все почему-то стали ставить накладки из керамики вместо пломб. Типа они служат 10 лет. Но и тут тебе придется следить за гигиеной. Тк если чухан - то они пару лет простоят>>932952https://www.ebay.com/itm/192929078649>>932953Она тебе положила лекарство в каналы. Хз зачем стучала.Обычно кладут лекарство - отпускают на 10 дней Дальше чистят каналы и пломбируют их.Ну и сверху накладку.Лучше бы кинул снимок или фотку вместо писанины
>>932969Да я б с радостью приложил хоть что-то, но при себе ничего у меня нет. Стучала по зубу дабы проверить, есть болезненные ощущения или нет. Мол, пломбу можно ставить только на зуб, который не вызывает никакого дискомфорта вообще. А раз я кривлюсь, когда та стучит инструментом по больному зубу, то пломбу ставить смысла нет.
Анончики, кто знает клинику где можно сделать брекетты цена-качество?Москва.Денег не много, но пиздец как нужны они..
>>932926Вот. На фото еще кошмарнее выглядит. А врач говорит "ну один надо, а там посмотрим". А вот эти мелкие пятна на передних, на них можно забить что ли? С пломбированными какой-то ад. Насколько все плохо? Если что не болят.
Половина зуба развалилась так, что лишь десна видна и пол огрызка внутри неё. Спасти зуб реально, или тут удалять только?Еще один зуб лечили когда мне было 8 лет и сейчас он конкретно развалился почти под корень, его я так понимаю уже точно делитить нужно? Просто зуб, сука, жевательный...
>>933341Если пол зуба сохранено, то могут поставить керамическую коронку/ вкладку. Но это все же нужно к доктору сначала
>>933338А мелкий кариес не убирается?>>933330Да, боюсь честно говоря, вон те две пломбы ставили 10 лет назад и стоят как родные, это у частного семейного врача ставили но он какой-то грубый был и я теперь боюсь зубных. Читаю про бесплатные поликлинники, вот эту нашел, в отзывах пишут что хирурги просто божественные, а насчет лечения хз. Но зато бесплатную чистку в тот же день сделали, и не страшно было лол а всего-то надо было немного человеческого отношения.Стоит ли ставить пломбу в муниципалке?
>>933382Я ставил в муниципалке за деньги. Так же как у тебя стоят. Щас там того врача нет, пошел в частную - те сказали что дырок нету, заделывать нечего.Это на кого нарвёшься. Небось могут и ложек поналепить.
Такая проблема. Выдрали дней десять назад зуб мудрости, нижний. Драли тяжело, долбили, кололи. Проверили потом на рентгене - осколков нет. Ну, я пару дней полежал с температурой и пошёл на поправку. Однако, ещё через неделю заметил, что хотя всё вроде как зажило, десна с внутренней стороны и снизу (там она тонкая) - расступилась и вроде как оголила кость челюсти.Не болит, но херово же как-то чувствовать ногтем прямо неукрытую кость во рту. Мне уже идти к врачу или оно само должно затянуться? Говорят, такое бывает после тяжелого удаления зуба.
Господа хорошие, что скажете о. Продукции компании ROCS? Конкретно интересует такой препарат как реминерализирующий гель для зубов. 30гр этой хуйня стоит Овер триста рубасов. Американский аналог тыщу и более. Думаете работает или нпнбалово? Может кто пользовался из двощеров? Стоматолог сказал, что тема рабочая. Но мы же понимаем в каком мире живём. Вполне возможно что это все маркетинг, а врачам башляют за правильные рекомендации.
>>932884Поищи частную по ОМС, рентген и лечение делают бесплатно, но лучше уточнитьИ не придется ждать неделю
Анон, подскажи, для лечения зуба врач рекомендовала физиотерапию. Йоба-ультразвук там всякий и прочее говно. Насколько это вообще действенно? Потому что от нее эта рекомендация звучала так, будто она сама не верит в то, что это дерьмо помогает.
У меня кость, на пике номер 2, помечена стрелочкой, с одной стороны на ощупь явно больше, чем с другой. Ранее на той стороне был удален зуб. Может ли это быть связанно? Стоит ли волноваться, идти ко врачу? А то как-то неаккуратно.
>>933466Расскажу, чем кончилось, вдруг кому пригодится. Пришёл к врачу, тот мне пинцетом отломал торчащий кусок кости, сказал это лунка и заросло бы и так.
Недавно ставили пломбу на разьебанный задний верхний зуб, теперь какое-то чувство напряжения челюстей есть, это что за хуйня и оно пройдёт ?
Поясните за ирригаторы. Стоматолог порекомендовал купить, чтобы вычищать хрючево из-за брекетов, хочу взять сукас в3.Они идут как альтернатива щетке, или дополнение?
Как сильно будет мешать пломба не переднем верхнем зубе? И сколько примерно по цене,зуб с дыркой и кариес.
>>933916Как дополнение после чистки щёткой. Вымывает то что она не смогла.>>933949Никак не должна мешать. Ну, могут в цвет не попасть. Цены бывают от 3-5к до 15к и более.>>933806Могли пломбу не подточить до конца (там иногда доля миллиметра играет роль) и теперь зубы не смыкаются привычным образом. Я б ещё раз к стоматологу сходил, если это не пройдёт.>>933689Мб там гематома недорассосалась, если зуб ты удалял полгода назад или раньше. У меня после удаления восьмёрки там долго был твёрдый желвак.Но если волнуешься, сделай панорамный снимок, там будет видно если что-то с костью.>>933606>Может кто пользовался из двощеров?У меня эмаль дохуя тонкая и после профгигиены или агрессивной чистки бывает реакция на сладкое-кислое и любое дуновение ветерка. После нескольких дней пользования гелем это исчезало (а без геля держалось довольно долго). Возможно там не просто маркетинг намешан, а ещё и что-нибудь полезное.Но цена пиздец.
>>930467"Лечусь" уже наверное вторую неделю, сильной чувствительности как раньше нет, дёсны уже не сползают, но стоят на том же месте и белые пятна пока не прошли. Короче, просто остановил процесс.Правда зубы я не особо мажу, пару раз попробовал по две минуты, заёбывает, да и просто забываю, просто чищу зубы этой пастой и всё. Думаю ещё раз на консультацию сходить, вдруг что не так понял.Кальций D3 регулярно принимаю, правда хз, усваивается ли, если я чай или кофе каждый раз пью во время еды. Так что обычно я его пью после того, как поел, минут через 20, чтобы эффект кофеина прошел, а сытость осталась.Единственное, что однозначно, так это вред колы и содовых напитков. Перестал пить каждый день и через день, весь ноябрь уже не пью, слизистая рта вернулась в норму и не раздражается. А в прошлую пятницу в бургерной пивнул колы и снова было неприятное ощущение во рту. Неужели это из-за содовой всё? Правда, кола была классическая, с сахаром, может в этом дело?Как-то так.
>>932192> лицоПо идее скулы пропадут, возможно внутрь будет лицо впалое. Везде почему-то это игнорируют и при любой проблеме советуют удалять.
Пять месяцев несильно трясутся челюсти, а ночью сжимаю зубы. Ходил по врачам, пил таблетки, ничего не помогло, воспринял как должное. Но несколько дней назад обнаружил трещину на одном из зубов. Капа поможет? Можете посоветовать хорошие (и дешевые конечно) капы в спб? И через сколько моим зубам будет пиздец если ничего не делать?
>>916336 (OP)Сзади зубов на верхней челюсти, на десне и немного задевая нёбо появляется заметная ТРЕЩИНА (ощущается языком как ебаный каньон). Это зуб мудрости режется или шо? Полощу хлоргекседином, мажу стоматофитом+, не воспаляется но болит при контакте.
привет братья по несчастью, и опу тоже привет, я 20 лвл, ходил к зубному последний раз наверно лет в 14, и чистил зубы не каждый день, теперь жалею, я щас устраиваюсь на работу и деньги будут наверно через месяц только, по этому хочу задать пару вопросов, а именно: у меня нижняя челюсть прячется под верхней, это норма или надо фиксить(чем и че по деньгам)?на нижних передних зубах коричневая хуйня с внешней стороны, очень комплексую из-за этого(можно ли пофиксить?если да, то что по деньгам)?а с внутренней белая хуйня у корня, так же где-то год назад верхний 14 зуб(с пика)откололся немного, дискомфорта не приносит, если не есть этой стороной, еще если в эту дырку языком залезть, то неприятный привкус появляется(его уже удалять или спасти можно, и опять же, что по деньгам?и последний вопрос: на черных линиях на зубах на пике, у меня в этих местах тоже черная хуйня(наверно кариес)сколько стоит фиксить все это, живу в ДС
>>934628Сорян, штатная ванга в отпуске. Сделай хотя бы панорамный рентгеновский снимок и сходи на профгигиену к стоматологу. Там тебе зубья почистят, камень отколупают и пояснят что за хуйня и почём. По тексту - нихуя не понятно.
>>934628> его уже удалять или спасти можно, и опять же, что по деньгам?Было такое говно, пломбой заделали и все
>>934657сори, вот пики, что у меня1 пик - точь в точь как у меня2 пик такое же, но не так жестко3 пик - такая же хуйня, только спередиможешь примерно хотя бы сказать, скок по деньгам это фиксить?
>>9346792 и 3 пики могут убрать на обычной профчистке, стоит она 2-5к, зависит от жадности клиники. 1 пик может быть как и ерундой, требующей минимального вмешательства, так и здоровенным кариесом внутре, так что снимок прояснит состояние дел.
Зубы не кривые, но не идеально ровные. Какие брекеты подскажете. На эстетику похуй, нужен максимальный результат.
>>934743В первый раз могут провозиться час или даже больше, зависит от объёма работ. Иногда бывает немного неприятно при чистке камня ультразвуком (но у меня эмаль тонкая, зубы резче реагируют), дёсны могут сутки-двое несильно кровить.Потом назначют полоскалки-пасты для дёсен, зубы покрывают гелем с кальцием или фторлаком чтобы не было чувствительности при еде, и дальше ты сам этот гель (rocs medical minerals например) покупаешь и некоторое время обмазываешься.В целом оно того стоит. Очень уж красивые зубья получаются.>>934806Простые железные на внешней стороне зуба, они же самые дешёвые.
Привет, аноны. 26лвл хуй на связи. Год назад десны начали кровоточить, несколько месяцев назад перестали, но вместо этого начали слезать с зубов. Сходил на плановый осмотр к стоматологу, сделал рентген, КТ и еще какое-то обследование когда щуп в десну загоняют, флорида называется. Сказали, что у меня агрессивный пародонтит, костная ткань разрушается или что-то типа того.По описанию достаточно дерьмовая штука.Назначили какие-то процедуры, четыре сеанса, которые обошлись мне в 60к. Сами по себе процедуры чисто симптоматическое лечение.Заодно сходил к другому стоматологу, второе мнение послушать. Тот мне порекомендовал обратиться в центральный НИИ стоматологии и ЧЛХ, мол, причины для беспокойства есть. А у них там целая кафедра по деснам, доценты всякие, причину твоей беды, говорит, выявят, хоть и не дешево. А я вот хочу у анона спросить сталкивался ли он с этой гадостью? Послушать про чужой опыт, если таковой имеется. Как до 30 лет без зубов не остаться?
Пацаны, что по заживлению лунки после удаления зуба? Появление более розоватых, чем десна, тканей - это норма? Как это всё потом будет вести себя (а то я же обязательно подумаю, что это лезет спидорак)?
Как не заразится гепатитом С у стоматолога? Ведь в частных за каждый рубль удавятся после каждого клиента инструмент чистить. А в государственных тупо денег нет. Планирую записатья первым на прием чтобы не после кого то, а в начале смены они по любому будут инструмент чистить.
>>934889Вот наконечник бура которым они сверлят точно не чистят и не меняют потому что он дорогой, а все остальное возможно более менее стерильно.
Друзья, запомните, никогда блять никогда не ставьте брекеты. Это говно изуродовало мое лицо с детства. Теперь имея деньги, даже решить эту проблему не могу. Носогубки и вытянутый вперёд рот.
>>934918А как узнал, что это из-за брекетов такая хуйня получилась?Вообще пиздец их боюсь, хотя есть показания к установке. Но подводных - хоть усрись.
>>934943>автоклавируютсяя был в 3-х клиниках и не разу не видел чтобы меняли эти наконечники на новые(стерильные) Обычно сидишь ждешь назначенное время, кто был перед тобой выходит и сразу ты заходишь. Если бы они чего то там меняли то просили бы подождать 5-10 минут. А что в бесплатных творится вообще пиздец, удалял зуб у них, заходишь делают укол и говорят жди в коридоре, потом заходил следующий ему делают укол и так же в коридор, потом тебе вырывают и сразу заходит кто после тебя с уколом, ему теми же инструментами что и тебе без стерилизации вырывают зуб.
>>934878Если это так,то по твоей логике каждый человек болеет спидом.Тебе не кажется что это не логично?
>>934966Да не каждый конечно, но шанс то есть заразиться, стоматологам все равно подхватишь ты чего или нет, факта заражения ты тоже не докажешь, вот по этому и имеем такое отношение к стерильным инструментам. Наконечник относится к медицинским изделиям многократного применения, контактирующим с раневой поверхностью, то есть подлежит стерилизации после каждого применения. А уж какой процент заразился гепатитом в кабинете у врача стоматолога никто не знает и не узнает.
>>934966https://spid.center/ru/articles/2371/ Вот статейку почитай, До трети случаев заражения гепатитами происходят через стоматологию, маникюры, педикюры, либо через парикмахерские услуги, например, такие как бритье опасными и старомодными лезвиями, которые во многих странах запрещены.
>>934918Никого не ебет, что за хуйню тебе там накрутили за 10 рублей в подворотне. Скажи спасибо мамке, решившей сэкономить и пойти к хуй пойми кому зато ДЁШЕГО
>>934968Сам боюсь.Вот есть выбор.Дорогая стомтология,вроде как проверенная и раза в полтора дешевле,вот боюсь идти во вторую,боюсь получить заразу.Что делать,ужас.
>>934934В процессе ношения брекетов вытянулась верхняя челюсть и редуцировалась нижняя, максилла сдвинута назад. Получается такой обезьяний рот. Потому что зубы именно так и вытягивали. Исправляли прикус уебки.
Какое-то ощущение отека с левой стороны верхней челюсти и чуствую там пульсацию, но боли никакой нет мне пизда ?
У меня начал болеть зуб, но не сам по себе, а когда резкие движения головой делаю, прыгаю, дергаю руками, в общем отдает в зуб прямо. У меня там коронка стоит кста где-то в той области. Что это может быть?
>>935095А с пазухами всё норм, гайморитом, насморком не болел?>>935099У братана похожие симптомы были при воспалении на верхушке корня.
>>935099У меня такая хуйня была много раз. Особенно ощущалось при жестком приземлении при прыжках с уступов до метра высотой.Хуй проссы что за тема, никакой пиздецомы на зубах не вылезло. Бывало обычно весной - осенью, может ебало продувало чуток и в совокупности с чем-то ещё влияло.
>>934996Иди в менее дорогую но запишись первым на прием, они в конце смены весь инструмент стерилизуют по любому, а ты с утра придешь первый.
>>934948Если поток большой,наконечники протирают трилоксом один хуй ничего с тобой не случится.Инструменты готовят заранее в лотках.
Аноны, сап. Созрел вопрос, нужна помощь компетентных людей.Начал болеть зуб, глянул - кариес на двух соседних зубах, понять, какой именно болит не могу. Боль резкая, но на пульпитную не очень похожа. На горячее/холодное/сладкое зуб не реагирует, как не реагирует на жевание и надавливание. В итоге по ощущениям вроде и не пульпит и нет обычной кариозной боли, просто постоянное резкое поднывание.Собственно вопрос - как определить, пульпит это или просто кариес? В ближайшие дни пойду к стоматологу и не очень хочу, чтобы меня наебали (а так бывает) с пульпитом и втюхали лечение за баснословные 20 тысяч.
>>935171>протирают трилоксомЭто все хуйня, но даже этого не делают в регионах. Нужно реально кипятить при 120 градусах час, гепатит С очень живучий.
>>935213не, если пульпит.за один13к четырёхканальный пульпит (чистка/пломбирование каналов) + анастезия 500 + рентген 500 + пломба временная + обычная. Вот там около 20 за один зуб и набирается. Да, дс.Вы мне лучше ответьте чё за пиздец у меня с зубом - какой-то набор симптомов, который не подходит ни подо что :D
>>935216>четырёхканальный пульпитА ты уже и каналы высчитал, вот тебе надо работать стоматологом и пиздеть всем что у них четырёхканальный пульпит за 20к
Сап. Появилось шершавая область во рту. Начал чувствовать её лишь сегодня. Пока не болит. Рядом с ней зуб, из которого вылетела пломба. Выделю эту область на фото. Как думаете что это?Картинки нихуя не прикрепляются, размещу на хостингеhttp://www.picshare.ru/view/10355655/http://www.picshare.ru/view/10355659/
>>934629> норма ли есть еду одноМне сегодня стоматолог на эту тему говорила. Не норм, так как при жевании еды у тебя часть налета механически очищается.
>>935472>говорилаБлядь, нахуя вы к бабам ходите? Они гораздо хуже все делают, ты попробуй как нибудь к куну сходить и поймешь. Где баба будет 2 часа ковыряться, кун за 30 минут все сделает.
>>935493Принцип работы автоклава основан на том, что при нормальном давлении вода кипит при +100 °С. При дальнейшем подводе тепла, температура воды не повышается, а начинается интенсивное парообразование. Если сосуд закрыт герметично, то давление пара начинает расти. Начинает расти и температура воды и пара. В сбалансированной системе процесс испарения прекращается, а образовавшийся горячий пар легко проникает в клетки микроорганизмов, убивая их.
>>935477Лол, я бы не считал это знаком качества. Лечение по правилам требует не так уж мало времени. Что-там тебе этот тяп-ляпыч за полчаса наваяет, можно только догадываться.
Какое обезболивающее без рецепта (слава кетанову, зубодрал убей зубодрала) поможет не сдохнуть до понедельника от зубной боли?В зубе дупло, нерв открытый (хер его знает, как это правильно называется, но зубной щеткой задел - как током ударило), приступы боли неслабые.
Зуб такое чувство будто распирает и пульсирует еще, но боли нет только чувство распирания что за дерьмо ? Как проснусь первое время все норм и опять начинаетсяУже несколько дней не проходит нихуя
>>935610иди проверь.рублей 300 стоит в платной.ну и скорее всего зуб надо латать.так просто болеть не будет.
>>935614помню запустил зуб а там пульпит на 4 канала и -8000 перед новым годом. а еще удалить зуб коренной за 2000.З А Е Б И С Ь
Всем салют!Удалили зуб мудрости. Индивидуальность этой процедуре предает то что по словам врача ЗУБ ПИЗДЕЦ КАКОЙ БОЛЬШОЙ НАХУЙ. Как итог, у меня там ща здоровенная дыра из которой просто водопад неуправляемой крови просто блядь пиздец. Мне врач сказал что можно его ватками контрить, вот ток вопрос, а до скольки раз такое можно проворачивать или вообще не стоит? У меня тут пиздец потоп.
Элайнероеб на связи.Сделал снимки которые прописал врач.Выводы:скелетный класс 1 с тенденцией к 3 скелетному классупротрузия зуба 2.1 на 1.2degретрузия зуба 4.1 на 2.5degвертикальное резцевое перекрытие 2.2ммсагитальная щель 3.9ммразмер ветви нижней челюсти справа на 5.5мм больше чем слеваМне пиздец?Пойду делать слепки на след неделе.
>>935727купить в аптеке аминокапроновую кислотустерильный марлевый тампон пропитать кислотой и прижать на 30 минут.Но вообще врач твой мудила, кто ж пациента с кровотечением отпускает.
>>935727Также можешь купить коллагеновую гемостатическую губку, заложить её в лунку и приложить к щеке холод на 15-20 минут.
>>935781Пошел короче купил марлю, обмотал вокруг ватного диска и зажал (остального не было в аптеке). Уже вторую хуярю 0 эффекта, хуярит как из ведра.Хз как спать нахуй
Медачик, у меня передний зуб на нижней челюсти стал немножко качаться. Мне страшно, я студентота, денег нет.
Есть какой-нибудь фак от анона по отбеливанию? Плюсы-минусы, подводные камни. Если после отбеливания ебнуть какую-нибудь процедуру или там капу с гелем для восстановления эмали, будет не так травматично? Или все наеб?
Сап, медач.Ни с того ни с сего начал болеть зуб, только ночью. Загуглил, посмотрел, типа симптом пульпита. Попробовал холодное/горячее/сладкое - ничего не болит. Жевать тоже не больно. Нытьё зуба продолжалось несколько дней, психанул, пошёл к стоматологу.Ну, врач постучала, подавила на зубы, сказала, что все здоровые, и всё в порядке. Послушала историю про боль, тоже сказала, что ночные боли обычно - пульпит, но он не может развиться же, если зуб целый. В итоге отправила меня домой. Собственно, сам вопрос заключается в том, что какого хуя болит, если зубы целые?! Сталкивался кто-нибудь? Чё делать то
>>936291Я предлагал, она говорит, мол, зачем делать рентген, если снаружи всё целое? Нерв/корни не могут воспалиться, раз эмаль/дентин целые.Сказала, что могут дёсна болеть, но я никогда не сталкивался с этим, поэтому хз. Разве можно перепутать с зубной болью по характеру?
>>936302UPD: Вообще впервые видел врача, который вместо того, чтобы навязать дополнительные платные услуги говорил, что всё в порядке.
>>936214Ну если пиздец болит иди к другому врачу.Если терпимо - я бы подождал, может пройдет. У меня часто бывают фантомные боли в здоровых зубах, кратковременные.
>>936302А зуб леченый или вообще нетронут?Ещё бывает что вход в кариозную полость находится на контактных поверхностях зубов, тогда его могут сразу и не заметить. Так что я б рентген сделал.И есть вариант, что болит на самом деле зуб-антагонист на другой челюсти, а моск путает источник сигналов. У меня после лечения подобный глюк был.
>>936323Ну, пульсирующая боль, но не такая резкая, как при пульпите. Появляется минут на 5-10 несколько раз в день, но не ежедневно. Подожду значит, пожалуй. Не сталкивался с фантомными болями просто, мб это и они.
>>923972Аноны, снова я. Начал чистить зубы 2 раза в день+ополаскиватель - через месяц картина уже немного лучше. Зубы чо, могут сами восстанавливаться?
>>936341Ты просто частично счистил пигментированный налёт. Мне всё-таки кажется, что на этих зубах у тебя местами стёрта эмаль, поэтому он там и оседал.Но гигиена это всё равно хорошо. Только не чисти зубы горизонтальными движениями (вправо-влево), лучше вертикальными выметающими (от десны к режущему краю).
Есть очень маленький кариес (по размеру), но по ощущением болит как пульпит. Стоматолог сказал, что, мол, так и так, инструмент не пролезает, при нажатии не болит, значит кариес крохотный и нет смысла сверлить зуб. Но боль то есть! Отсюда вопрос - может ли развиться пульпит при таком крохотном пятнышке кариеса? Или от чего эта боль? Зуб просто ноет, при еде и других механических воздействиях боли нет. Стоит ли идти к другому стоматологу или я услышу тот же ответ? Настаивать ли на рентгеновском снимке для определения пульпита?
>>936411Бывают случаи, что пятнышко снаружи мааахонькое, а внутри уже здоровенная полость. Снимок бы.
>>936414Спасибо, а то врач упорно доказывала, что зуб целый и жалко его разъёбывать. А если внутри здоровенная полость, то должен ли зуб болеть от холодной и горячей пищи?
Надо ли брать хорошую электрощётку, если у меня на зубах бреккеты? Или лучше иригатор если выбирать что-то одно?
>>936415Да, при кариесе такое может быть.>>936418Ирригатор годная вещь, промывает те места, куда щётки не достают.
Сап.Сильно дорого/геморойно ставить пломбу на передний верхний зуб в котором норм такая дырка и есть кариес? Хочется уложиться штук в 5-6.
Короче, анестезию делали 3 раза в жизни. Две из них недавно. Вот пришел я на третью к стоматологу, он мне ставит в десну, и меня блядь так поплыло, я не отключился нихуя, но мозг как будто . отказал. Ну мне нашатырь, полежали минут 5-10 — прошло. Следующие уколы норм. Это звоночек про сенсибилизацию и в следующий раз я помру или просто что-то не так сделали? Аллергии если че нет (по крайней мере не знаю о ней), состояние в тот момент заебись было.
Вопрос к стоматологам или тем кто понимает в ценах на стоматологические услуги.https://www.youtube.com/watch?v=Ay2MOYkgZXMСколько в среднем по цене может выйти вот такое вот восстановление?
>>936472Не обязательно аллергия, обморок или коллапс могут быть побочками от местной анестезии, если прийти невыспатым, голодным или просто даже очень сильно стрессовать.
посетил впервые за 2 года, сказал дёсны пиздец. как именно заваривать кору дуба, ромашку и прочее говно? в гугле БАБКИНЫ ЗДРАВНИЦЫ с рецептами типа "ебаните стакан водки с каплей отвара"
>>936617я купил свежий сбор на развес, там инструкций нетточнее есть, как пить, а не как дёсны спасать, чай это типа
>>936618ну навскидку вот: https://www.wday.ru/krasota-zdorovie/sok/polza-prirodyi-kak-zavarivat-koru-duba/ И так же ебош в гугел запросы "как заваривать ромашку/чабрец/сушёный хуец", всё там есть.
Был в двух стоматологиях по поводу спазмов в челюсти. В обеих сказали что нужно сначала полгода носить сплинт, а потом полтора-два года брекеты. Но в одной за брекеты попросили 70к, а в другой — 200, плюс в два раза больше за сплинты — 48к. Кто хочет меня наебать? Насторожило, что в первой клинике у меня не попросили никаких снимков. Зато во второй выкатили за диагностику счет в 4,5к (делать я ее конечно же не стал).
>>936681Сами брекеты, железки, расходники относительно не дороги, если не ёба-лингвальные или ещё какие.Большую часть денег ты отдаешь за работу ортодонта. И лечат тебя не брекеты, а врач, настраивающий их каждые месяц-два.Так что разница вся в специалистах и насколько они себя оценивают.
Анон, удалили зуб мудрости, все вроде бы заебца, только смущают нитки, которые торчат (швы?).Их надо будет потом самому убрать или как?
Нормально ли то что под имплантом запах? Довел нить до абатмента и там запах. Ирригатора нет.По идее ничего не должно быть, там же просто торчит штырь из десны и гнить нечему.
Зубнач, какие типичные проблемы может испытывать пациент с низко спиленными нижними 6 и 7 на одной стороне? Просто я поймал себя на мысли, что закрываю рот как раз до смыкания в том месте, а врач, ставя очередную пломбу на 7 боюсь, дальше там будет коронка, говорила, что спилены они пиздец, но ей-то конечно не трудно. И раньше про шестерку, кажется, говорили. Хз, зачем сказал спиливать, привык. Беспокоит вечное напряжение в щеке, и вот сложилось 2+2, мб стоит при закрытии пасти ориентироваться на передние зубы, а то эти 6-7 давно починили. Целиком все зубы комфортно не смыкаются. Как скоро они поднимутся, если перестану давить? А если сами не поднимутся, что делать? Или это шиза?
>>936812А как они должны подняться, если низко спилены? Наверняка надо нарастить их (или што там делают с такими зубами, хз) либо к ортодонту сходить, раз зубы целиком хуево смыкаются и челюсть напряжена.
>>936812>стоит при закрытии пасти ориентироваться на передние зубыНе стоит, если 6-7 зубы некомфортно смыкаются, значит надо с ними что-то делать. Сами они никуда не поднимутся.>зачем сказал спиливатьВ смысле, это они по твоей просьбе что ли занижены были? Как так?
>>936913>они по твоей просьбе что ли занижены былиРаз третий-четвертый переклеиваю эти зубки, походу в детстве много оттяпали там вообще лол, просто залепили кариес на 6, потом под пломбой пиздец обнаружился а на 7 ватку забывали под постоянной пломбой, но это недавно, ну и при переделках по привычке глубоко клацал правой стороной, говоря "мешает, еще чутка", и вот последние разы сами стоматологи намекали, что может хватит уже.>>936913>>936912> значит надо с ними что-то делать. Сами они никуда не поднимутся.>А как они должны подняться, если низко спилены? Наверняка надо нарастить их (или што там делают с такими зубами, хз) > значит надо с ними что-то делать. Сами они никуда не поднимутся.А что делают в таких случаях, прокатит просто сверху налепить? Семёрка уже тонкая чаша без стенки, 6 еще ничего.Я где-то когда-то читал, что зубы поднимаются, пока не упрутся в противоположные, и все такие огрехи по высоте самоликвидируются. И по-моему уже 6-4 более-менее вровень растут, хотя разница правда была. Этой истории с челюстью лет 8.
Сап.Призываю анонов с брекетами. Поставили мне надкусочные пломбы несколько дней назад.Сегодня утром начал болеть зуб при прикусывании, который над зубом с этой пломбой. С другой стороны ничего не болит. Боль как при периодонтите. У кого-то такое было?
>>936971А долго болели? Как при периодонтите - это достаточно сильно при нажиме на жевательную поверхность зуба
>>936978Чуть меньше недели вроде, да при приложении усилия к зубу была боль. Потом видимо зубы адаптируются к новой хуевой реальности и перестают болеть
>>929944ни хуя не прошло ебаное онемение, пиздец. прошел месяц и 4 дня со дня операцииИ вообще, как долго может болеть челюсть? Мог ли хирург прижечь мне кость своей ебучей пилой?До сих пор хуёво открывается рот, улучшение конечно есть по сравнению с месяц назад, но хотелось бы уже забыть эти приключения. Что там может быть не так? Как мне понять, нужно ли мне снова пиздовать в клинику или просто набраться терпения?
>>937285> ни хуя не прошло ебаное онемение, пиздец. прошел месяц и 4 дня со дня операцииВидимо нерв поврежден может и никогда не пройти>>937339Пиздовать заделывать пока он не раскрошился к хуям, это будет дешево
>>937344по ощущениям так: пол-языка как будто постоянно холодная и покалывает, подвижность сохранена. Была также нечувствительная зона на нижней губе, она потихоньку восстановилась.
>>937344Там не кариес, а просто пятнышко. Зубная врачиха сказала, что всё намана и нужно только наблюдать, но я слабо верю.
>>937484Можно сходить еще к одному врачу, сделать снимок и послушать, что скажут. В принципе можно и пломбу налепить, наверное.
>>937484Я когда-то дохтора заебал этими вопросами про пятна, она сказала что можно заделать если прям делать нехуй, только смысла пидорасить зубы почём зря нет.10 лет прошло, эти пятна не стартанули.
врач сказал, сначала укреплять дёсны, потом снимать камень. забыл спросить про ирригатор, он ускорит процесс нормализации? соблюдаю рекомендации, жжение в дёснах это норма?
>>937653Камень как раз мешает дёснам и может вызывать воспаление. Укреплять их, не сняв провоцирующий фактор - как-то дохуя странно, если не сказать хуже.Ты не сказал что за рекомендации, так что хз что там может жечь.
>>937664у меня такое состояние, что эйрфлоу противопоказан, это было неожиданно. полощу настоями дуб аир ромашка шалфей, удаление расколотых восьмёрок через неделю, а потом ждать сгустка ещё неделю. как я понял, план в полоскании отварами до удаления, потом консультация после удаления, и когда дёсны норм станут, эйрфлоу. чистка основного камня на одном зубе только, ультразвук сказал тоже не стоит если не хочу терять нахуй зубыдля меня это ваще всё странно, ведь чуть меньше 2 лет назад всё было норм у стоматолога, кроме пломбы. не могла пломба так повлиять на дёсны же? ирригатор поможет счищать налёт?
>>937667В смысле, ультразвук в процессе удаления камня тоже повредит дёсны, а больные дёсны это угроза потери зубов? Иначе я логику врача не понимаю, наверное.Ну укреплять так укреплять, что ж поделать. Возьми ещё пасту Пародонтакс без фтора, он пиздец солёный, но потом привыкаешь.Не, пломба если она норм стоит (нить за неё не цепляется, еда под неё не набивается итд) не должна приносить таких глобальных проблем. Может просто здоровье в целом как-то изменилось.>ирригатор поможет счищать налёт?Конкретно налёт больше сходит под щётками и межзубной нитью/ёршиками, но ирригатор хорошая штука для массажа и укрепления дёсен. Если начинать с небольшой мощности и потом понемногу увеличивать, то подводных минимум.
>>937671да, ты правильно понял. щётку надо помягче или пожёстче теперь?значит после насилия над восьмёрками прикуплю иррригатор
>>937672Из нетравматичных для дёсен щёток все мои стоматологи хором хвалили curaprox 5460 - они мягкие, но дохуя густые. Если есть деньги, можно прикупить такую. Но дорого. И надо посмотреть в интернете как ими чистить - там производитель советует как-то круговыми движениями всё это делать.
Помогите, плес. Пикрелейтед - моя пасть. Просыпаюсь сегодня и чувствую на верхнем заднем зубе слева (вроде, 26-й называется), с боковой стороны, которая прилегает к щеке, какую-то шершавость. Посмотрел в зеркало - на зубе непонятный твердый налет белого цвета, как штукатурка. Налипла преимущественно у десны и между зубами. Отковыривается тяжело, имеет тведую консистенцию, крошится. Лет 7 назад мне ставили пломбу на этот зуб, вроде держится. Может это вывалился какой-нибудь материал, который под пломбу загоняют? Я в этом не разбираюсь совсем.Десны немного раздражены. Зуб не болит, но чувствительно реагирует на температуру пищи (но это так уже давно).
Недавно чистил зубы от камня и на клыках под десной что-то твердое,такое ощущение что налет,это камень или так и должно быть?
Как выровнять зубы и исправить прикус?Сап аноны, я кун 23 лвл, появились деньги и я захотел исправить свои зубы. У меня глубокий прикус+ передние четыре зуба на обеих челюстях криво стоят. Верхние клыки вообще выпирают вперед. Сомкнуть челюсть полностью я не могу, остается зазор на коренных зубах, если сомкну коренные- провалятся нижние передние в верхние. Так вот, хотел брекеты поставить, и тут меня огорчили. Знакомая врач-стоматолог сказала, что уже поздно этим заниматься, нужно было лет в 14 об этом думать, но тогда у меня не было возможности. Поставить то можно, но потом типо пойдут зазоры между зубами, и челюсть пойдет по пизде, придется какой то ниткой потом подтягивать их и все в таком роде. Говорит не надо тебе ставить, потом больше намучаешься. Но сука..Я хочу ровные и белые зубы. Может кто сталкивался с таким, есть мб альтернативы? Я слышал бывают всякие съемные конструкции.
>>937784Если стоматолог пидор, мог камень под десной недочистить. У меня так было когда по купону ходил.
>>937800Народ и в 30 и в 50 брекеты носит, не ссы. Самое сложное - найти нормального ортодонта в своём городе, а уж он и про подводные расскажет и пиздец минимизирует.
>>937803Я тоже так думаю, ничего страшного. Но эта врачиха заверила, что будет прям пиздец, зубы все расшатаются, есть не сможешь, в итоге будешь вставлять вставную челюсть. Моя челюсть пикрил. Проблемы большие конечно, но я думаю не совсем пиздец, видел и хуже где зубы прям с дёсен росли сверху. Куда они там расшатаются у меня хз, и так плотно сидят друг на друге, лол.
>>937820Расшатываются они когда врач слишком быстро двигает зубы, например - тогда и корни могут частично рассасываться и возможно костная ткань по ходу зуба не успевает уйти и нарасти как положено. Ещё могут быть какие-то личные болячки, конечно. Но стоматолог всё равно должна хоть как-то аргументировать свою точку зрения. Осложнения реально бывают, но говорить, что всегда после брекетов будет 100% пиздец - это дохуя категорично.
>>937860Да чего б и нет. Цирконий конечно топчик, но и стоит дохуя.Из побочек разве что читал про гальваноз, но не помню какие там условия - хватит одной металлической хуйни во рту или надо несколько разнородных.
>>917560Электрическая круглая может почистить восьмерки и семерки так, как обычной почистить невозможно из-за мешающей щеки
>>938259Что как, не записывался ещё в этот НИИ?Я бы ещё к эндокринологу сходил, не должна кость снихуя убывать. Может какие-то системные проблемы: с кальциевым обменом, недостатком Д3, щитовидкой наконец.
>>938266Неа, не записывался. Туда один прием стоит 5к, а я пока без денег, только в следующем месяце может соберусь. Про эндокринолога мне тоже говорили, но, думаю, учитывая спектр проблем, которым в этом ЦНИИСе занимаются, то и эндокринолог там быть должен. Мне ещё два врача, к которым я обращался, говорили, что это может быть из-за прикуса, механических нагрузок, который у меня неправильный. Может просто брекеты впаривали, черт его знает. Хотя, учитывая то, что раньше страдал бруксизмом, может и вероятно. Я им и сейчас скорее всего страдаю, да нет никого кто мог бы ночью послушать как я зубы стачиваю. Понятно, что пока тут всё это не обследуешь, то и не разберёшься в чем причина может быть.
>>938302Если будут деньги, попробуй запилить у ортопеда хотя б ночную капу от бруксизма - по крайней мере зубы не будут стачиваться без твоего ведома. А где сточенные зубы, там и прикус уже не торт. Бтв, тоже слышал от парадонтолога что рецессия бывает от перегрузок и прикуса. Но судя по твоей истории они как-то быстро и разом начали опускаться, не уверен что дело только лишь в прикусе.
>>938311Тут вопрос когда я заметил, что оно слезает. Потому что мне сначала показалось, что с передних десны уходят, а после похода к стамотологу я понял, что с передними-то ещё ничего, а вот жевательным зубам жопа начинается. Ну и перед этим у меня с десен кровь рекой лилась от малейшего прикосновения. Хотя сам тоже подозреваю, что проблема лежит, скорее всего, в области эндокринологии, учитывая мой образ жизни и питание. Но надеюсь на механические нагрузки, оно, хотя бы, очевидно решаемо.
Удалили зуб мудрости нижний три недели назад, там дырка, до сих пор не затягивается. В эту дырку после каждого приёма еды попадают остатки пищи, стоит их оттуда выковыривать, учитывая что раскровить заживающую десну очень легко? Или пусть лежат себе, гниют, а десна спокойно затягивается без внешнего воздействия?
Как думаете, что лучше? Поставить коронку и присобачить пломбу? Просто не хочется тратиться лишний раз.
Хочу поставить брекеты,чтобы исправить дистальный прикус, но у мои зубы мудрости примерно как на пике. Их лучше сначала удалить, а потом ставить брекеты?
А задние зубы обязательно должны смыкаться для правильного прикуса? челюсть и прикус вроде нормальные, но верхняя губа немного выпирает и задние зубы вообще не соприкасаются никак.
Где зуб мудрости кусочек десны вылез и начал болеть и воспалятся, так было уже, один раз она отвалилась и я ее съел, а так само проходило, нл сейчас я себя не хорошо чувствую, вырезать ее?
Понимаю, что екстрасенсы в отпуске, но всё же. Почистил зубы. Потом чувствую - во рту твёрдый кусочек непонятно чего. Извлёк - прмерно миллиметр в диаметре сероватогбелого цвета. Ну думаю мандец, где-то зуб откололся. Посмотрел - вроде всё на месте. Чувствительности нету. Есть правда, зубной камень. Есть ли шанс что это где-то он откололся? Кусочек раскрошился при нажатии ногтями - неужели эмаль настолько хрупкая?
Вот вы скажите мне, человеку никогда не рвавшему зубы - удаление восьмёрок - насколько пиздец? Полуретинированные, но растут вертикально.
>>938512>Полуретинированные, но растут вертикально.Ничего страшного, скорее всего за полчаса управятся, из которых двадцать это ожидание анестезии. Это нижние, верхние вообще сразу после начала действия анестезии могут выдернуть. Тупо сидишь в кресле и пялишь в потолок, боли во время удаления не будет. Дома пару дней обезболивающие попьёшь, ну и лёд не забудь приложить после удаления.
>>938463Удали конечно, они могут сильно поднасрать.>>938472Должны обязательно.>>938489РАз самочувствие не очень - сходи к стоматологу-хирургу, не самодеятельствуй. Я так же припозднился, пришлось удалять на фоне воспаления и жрат антибиотики.>>938497По описанию не криминально, но хорошо б сходить на осмотр. Если твой осколок даже не очень твёрдый, может и не эмаль.>>938512Ровно такой нижний удаляли. Справились где-то за полчаса, без особой спешки, отходняков не было, всё было весьма спокойно.
>>937820Отдал 30к за 3д моделирование элайнеров.До этого отдал 5800 за снимки.Через 2 недели покажут результат, заплачу еще тыщ 130 и через 3 недели начну носить элайнеры.Буду держать в курсе.
>>938632А так не у всех. Но если удалять на фоне воспаления, то анестезия может и не действовать толком. Ну или доктор не артикаин вкатил, а что подешевле.
>>938632>>938636Ну хз, мне удаляли все 4 в гос(!) поликлинике, в том числе один нижний когда он был воспалён и болел вместе с соседним зубом. Всё прошло заебись, и это притом что один из зубов пилили, дробили и тянули полтора часа, у меня потом челюсть ещё месяц восстанавливалась от перенапряжения во время операции. Но у меня оба нижних были горизонтальные и скрытые под десной, один из сложных случаев.
Поцаны, решил поставить брекеты, пошел к врачу по рекомендации- цена 48 тысяч за одну челюсть самое дешевое. + подводки каждую месяц и в начале еще тысяч 10 за подготовку. Это норм цена для дс2?
>>938646>>938636биздос, у меня нижние лежачие ретинированные и верхние разрушаются под давлением щеки, они под 45 градусовохуенный год будет
>>916336 (OP)Здравствуй, Анон.Посоветуй нормального ортодонта в Москве или клинику.Цены кусаются, врачи разводят на бабло как лоха, а ещё боюсь на обидчивых неадекватов нарваться.
Стоит ли пытаться исправлять диастему самостоятельно с помощью нитки? На сайтах пишут что нельзя, а то гроб гроб кладбище, но я думаю что это развод гоев на брекеты. Денег у меня все равно на них нет.
>>937800ебанутая баба, я в своей жизни уже проносил брекеты в школе, скоро буду ставить второй раз, мне близко к 30
нижние восьмёрки понятно, верхние на удаление. мне кажется, или зубы растут в пазухи и это значит перфорация даже при восьмёрках неизбежна?в остальном насколько мне пизда? после удаления восьмёрок нахлёсты зубов рассосутся или надо пиздовать к ортодонту за капой?
Сап, возник такой вопрос. Может ли зуб мудрости при прорезывании привести к воспалению нёбных миндалин и боли в горле с той стороны, с которой он режется?Моя история, если интересно: 3 недели была температура 37 (сейчас вроде как прошла), болело горло справа в гортани (да и щас побаливает на холоде), воспалились миндалины, но без гноя и прочего (особо не болят, но правую немного покалывает). Был у участкового терапевта и частного ЛОРа. ЛОР за то, что это хронический тонзиллит, а терапевт за хронический фарингит. НО у меня раньше вообще никогда не было сильных болей в горле, а кашлял я раз пару лет. Сейчас почувствовал давление изнутри в районе верхней восьмёрки справа, ощущение такое, что он почти полностью прорезался, и десна его только обволакивает, т.к. языком могу рельеф зуба через десну почувствовать, также есть небольшая тупая боль в правой скуле над верхней челюстью. И у меня как раз побаливает правая миндалина, колит гортань справа, закладывает ухо справа, нащупал увеличенный лимфоузел на шее справа около гортани (но он не болит) и также болит под челюстью справа (возможно лимфоузлы, но они не увеличены). Это получается меня 3 недели лечили не от того?
Хотят минимум четыре зуба удалить и брекеты поставить, у меня два зуба вне ряда стоят, но когда их вырвут, противоположные зубы тоже хотят удалить чтобы ровно было. Это так и должны делать или всё же у другого ортодонта обследоваться? ведь по сути хотят убрать четыре здоровых зуба, две просто вне ряда стоят и вроде портят прикус. Ну и ещё вроде как зубы мудрости готовятся хуево вылезти.
>>939451>Может ли зуб мудрости при прорезывании привести к воспалению нёбных миндалин и боли в горле с той стороны, с которой он режется?Может, и даже очень. Избавляйся от него при случае.
>>939515Дыры могут быть между зубов, где их не видно.Или просто эмаль тонкая, тогда будет общая чувствительность.
По бокам зубы немного не смыкаются, но язык не проходит сквозь них. Это ведь не критично? и если верхняя губа немного выпирает это ведь не обязательно из-за прикуса? прикус вроде как нормальный более менее, но губы пухлые сами по себе и если смотреть в профиль верхняя губа немного выпирает как при дистальном прикусе, но передние зубы находятся и смыкаются нормально, не как при дистальном.
>>939608Задние тоже должны хорошо смыкаться, это вроде как самое важное. А так по тексту сложно сказать, что там у тебя.
>>939478Но при этом все 3 недели сам зуб не болел, но болело всё вокруг него. Т.е. такое возможно? Сейчас усиливается боль. Сегодня-завтра схожу к стоматологу.P.S. в начале октября удалили нижнюю восьмёрку слева, горло слева поболело пару часов и всё. Отёка и других побочных явлений не было вообще.
>>939629Не, сам зуб не обязательно должен болеть, но разъебать все вокруг он может.Если лор никаких абсцессов и прочего пиздеца по своей части не нашёл, остаётся грешить на зуб.Пока можно пополоскать рот и горло шалфеем или Йоксом (раствор, разведённый до цвета чая), может будет полегче. Да и после удаления как антисептик он неплох.
Всем салют.В общем на прошлой неделе ходил лечить зуб диагностировали пульпит, но анастезия не сработала в полном обьеме. Врач ещё не дошла до нерва(по её словам) а мне уже было прям ну очень больно, в итоге замазала времянкой и скалаза или решайся и терпи или хуярь под под масочный наркоз. В общем решил что буду как мужик терпеть) после этого ещё удалял корни от восьмёрки верхней(решил заняться зубами всерьёз) вроде все прошло тихо и мирно боли не чувствовал и все ок. Так почему может укол не сработать или не в полной мере, к слову меня обкололи что я не мог глазом толком моргнуть дальше просто колоть не стали, мол на скорой не охота тебя возить потом. И насколько пиздец меня будет ждать сегодня?
>>939675А чем именно тебя обкалывали? Инфильтрационная или проводниковая анестезия была? На рентгене какие-то воспалительные явления вокруг зубы были?
>>939702>А чем именно тебя обкалывали? Инфильтрационная или проводниковая анестезия была?А я хз, вроде стандартная серия уколов в десну. Вокруг зуба воспаление нет, а вот внутри на рентген вроде нашли сказали типо нерв до этого хуево удалили и там сейчас воспаление небольшое
>>916336 (OP)год назад лечил каналы, кариес, убирал зубной камень. врач (женщина в годах из дорогой йоба-клиники) сказала приходить через год на контроль - типа надо проверить, что с зубными нервами после всех процедур все ок, а то подохнуть могут. сам я не чувствую абсолютно никакого дискомфорта и к стоматологу идти не хочу. здесь на всякий случай хочу спросить: какие могут быть осложнения и какие шансы, что они будут?
>>939730После лечения каналов иногда развивается воспаление на верхушке корня, это на рентгене как тёмные пятна чёткой или не очень формы. По ощущениям может вообще ничего не беспокоить.Ещё со временем пломба помаленьку теряет герметичность, под ней развивается кариес и считай весь цирк по новой. Всякие осмотры нужны чтоб поймать этот момент пораньше. Вообще год это не сильно большой срок для пломбы, но когда я забил на гигиену, года хватило чтоб леченый зуб опять начал разрушаться.>и какие шансы, что они будут?Осложнений с корнями может и не быть, а вот пломбам бдительность нужна всегда. С ними проблемы будут рано или поздно. Если и не сейчас, то ещё через год-два-три.
>>916336 (OP)Что если у мамки нормальный прикус, но у нее скошенная челюсть и вообще череп странный, на собаку похожа (профиль не прямой, а какой-то вытянутый: верхняя челюсть со скулами вперед, нижняя назад)У батя прямой профильМогло это повлиять на прикус? Да и так всрато выглядитУ меня прикус неправильный (не сильно, но вроде как лучше исправить) и челюсть тоже вниз уходит, не как омежья (когда ее просто нет), а как у собаки морда какая-то
>>916336 (OP)Внезапно начал болеть нижний зуб мудрости, особенно при надавливании на него. С виду целый. Это нормально?
>>933606Пользуюсь после брекетов. Часть зубов, опустившихся в результате движения из десны (не умею в объяснения, да), была очень чувствительной буквально от всего, орт посоветовал эту штуку, никаких болезненных ощущений больше нет. Беру обычно сразу парочку в аптеке.ру, пользуюсь не слишком регулярно, поэтому хватает надолго. В обычных аптеках разброс цен пиздец, видел и за 500, и за 250.
>>940891Алсо забавное наблюдение, в этой же серии был тоже гель конкретно для чувствительных зубов, им пользоваться невозможно было, потому что зубы после каждого применения ныли невыносимо, плюнул и забил. До сих пор валяется где-то на полке.
Пацаны, че это между зубами? Неужели кариес? Я и чищу каждый день и нитью херачу, как так тоПричем заметил только вчера вечером, до этого почти уверен что ничего не было, не так заметно уж точно
>>940977с обратной стороны еще как будто точка какая-то темная на самом краешке десны(но возможно я это нитью расхуярил, чет паниковать начал)
Долбоёб >>921179 вкатывается в тред. За два месяца не нашел времени сходить к стоматологу, потому что был очень загружен работой (нет). Теперь-то эту гнилушку запломбировать нельзя? Скол пока под десну не уходит. Зуб семёрка.
>>941064Да может и можно, стоматологу надо же это всё высверлить и посмотреть сколько здоровых тканей останется. У меня полость так вот под десну и ушла, пришлось десну подрезать.Алсо, у тебя там подлая восьмёрка прорезается. Удоли.
>>916336 (OP)Аноны, на деснах у верхних зубов с внутренней стороны появились какие то уплотнения, они слегка побаливают, но лишь иногда. Что это может быть?
>>916336 (OP)Решил,что хватит уже ходить с гнильем на передних,и пора бы в стоматологию сходитьнасколько все критично с передним зубом 1,если его лечить,и можно ли сделать незаметным после.то есть не как на 3,где пломбу белого цвета прекрасно видно.сколько примерно нужно отдать денег за это
Сделал операцию по исправлению прикуса две недели назад. Мне распилили и выдвинули вперед обе челюсти, поэтому у меня (еще) на месяц завязаны зубы и питаться могу только через трубочку. Хирурги вместе с моим ортодонтом говорят, что результат очень хороший и мне не о чем беспокоиться. Но меня все же беспокоит, что я не могу нормально целиком закрыть рот. Только с усилием, что заметно морщит мне подбородок. Если расслабиться, нижняя губа падает на полсантиметра вниз и я выгляжу как даун. Хирург говорит, что это все то ли из-за отека, то ли мышцы не адаптировались к новой форме лица, но мне почему-то кажется, что меня наебывают. Я гуглил и не нашел в интернете похожих случаев. Вдруг они запороли операцию и неправильно подвинули челюсти? Как вообще это могло повлиять на губу?
Был недавно в стоматологии, в первый раз спустя 12 лет, нашли 3 среднего кариеса. Еще есть много зубов как на пике, сказали что не надо сверлить, типо только зубы испортишь. Такой кариес можно вылечить без сверления? И еще есть белые полосы или пятна на зубах на внешней стороне, мне сказали что это естественный цвет зубов, из-за фтора, вроде называется флюороз, можно вылечить как-то без отбеливания?
>>939358посмотри,где 8ки,а где пазуха,там до её дна хуево кукуево,но если хирург рукожоп может и протолкнуть в неё корни.пиздовать.
>>941381Нет,нельзя,можно только наблюдать,но один хуй,рано или поздно все равно препарировать и пломбу ставить.флюороз вылечить без инвазивных способов нельзя.остается отбеливание(если не хочешь пломбы/коронки ставить)
>>941381Аххаха, а мне сделали 7 таких зубов, поставили пломбы. При этом там такой вот мелкий кариес был, а высверлили чуть ли не половину
>>941771три часа прошло, а всё ещё кровит. ща через часок прмерно отпустит анастезия, а кетанов действует через полчаса только, уже можно выпить таблу? сильно охота жрать ещё, может пожрать на другой стороне?
>>941064Это еще хуйня. У меня от четырех в ряд зубов нихуя не осталось, у двух посередине только боковые стенки и на еще двух дырени. За каждый заплатил по 2к, все зделали за один прием. Теперь хоть жру как человек. А у тебя похоже даже пульпита нет, просверлил и пошел.
>>941107И долго ты так ходишь? Не болит? Не боишся что зубы дальше посыпятся? Беги скорее к стоматологу а то пульпит это больно-больно, а до тех пор держи все в стабильном состоянии чистя зубы после каждой еды (а особенно после всяких шоколадок).
>>941381Если дырени еще нет то нужно просто чистить зубы после каждой жратвы и не переедать по сахару и прочи углеводам, тогда все будет заебись и эмаль реминерализуется.
>>942025Есть ли смысл вместо чистки зубов просто жевать пасту (например я сижу в сомалийской тюрьме и у меня отобрали зубную щетку)?
>>942035Не особо. Паста в лучшем случае налёт чуть-чуть размягчит и смоется слюной.Жевать лучше веточки, вершки, корешки, овощи, бамбук. Ну что будет в тюрьме нелипкого и растительного, то и жевать.
>>942024да с августа,в конце лета пошел к стоматологу,но зассал и сьебался,не болит вообще,но некрасиво,поэтому надо собраться и сходить
Начну с того, что я не тролль. Нет, честно.Но редкостный даже для двача долбоёб, пожалуй.Два года назад мне поставили вкладку и так вышло, что я так и не дошёл за два года до стоматологии, чтобы поставить на неё коронку. На вид синевато-металическая, хуй поймёшь, что именно за метал. Небольшая её часть сточилась за всё это время, и, очевидно, попала в организм, а не испарилась.Я умру? Мне нужно сдать какие-то анализы на исключение отравления?
>>942177А ты что, чувствуешь себя отравленным?Дойди до стоматологии где ставили вкладку, попроси узнать что за металл был. Скорей всего это никель-хромовый или кобальт-хромовый сплав. Если ты не словил аллергию на него, то и нормально, не ссы.
Уважаемые стоматологи сего треда, можно ли протезировать металлокерамическую коронку на штифтах повторно? Первый раз конструкция со временем расшаталась и выпала, прослужила лет 5. А также какие штифты ставить для передних зубов: металл или стекловолокно?
>>942090кровь сочится уже сутки, на глаз 3мл в часпридется ехать закладывать губку?кетанов может давать кровотечение, но раньше он работал нормзашиваться? умирать?
>>942205Покажи зуб стоматологу, если там трещин не образовалось, его можно повторно заштифтовать. Для передних зубов меньшим злом вроде как считается стекловолокно. Просвечивать не будет.>>942248Можешь купить гемостатическую коллагеновую губку в аптеке, заложить в лунку и приложить холод на 15 минут. Если не поможет, тогда к врачу.Или другой варик: покупаешь аминокапроновую кислоту, пропитываешь ей стерильный марлевый тампон и прижимаешь на 30 минут.
>>942299как же тогда лунка загустеет?при удалении крови не было вообще, это может влиять?крови сильно меньше выделяется, но она по-прежнему алая, иногда с десны свёрнутая тоже смывается, это сухолунностью грозит?
>>942035Так спизди где-нибудь, заработай и купи, попроси друзей купить, чисти мамкиной, зделай сам по инструкциям из инторнета, на худой конец напиши с коково города я сам с стобой схожу в восьмерочку и куплю тебе- все для пацанов. Я серьезно. Помня боли от своего пульпита я что угодно сделаю чтобы спасти кому-то зубы.
>>942330C коллагеновой губкой так и ходишь, она потом сама рассосётся. Будет типа сгустка.А если с кислотой делать, то она способствует свёртыванию крови. Тоже должен получиться сгусток.
>>942188>А ты что, чувствуешь себя отравленным?Нет, просто после 2 лет беспечности вдруг пришло в голову, что я мог отравить себя и рак рак кладбище пидор. У меня ветер в голове, да.В стоматологии, той, думаю, набьют мне ебало, как увидят. Попробую посмотреть в прайсе или задать вопрос по email.
>>942377вкус во рту стал металлическим, не как от ранки, а как если порезаться и зализать палец, например. это наконец пошёл процесс? ничего из этих рекомендаций сделать ещё не успел
Гайс, можно ли с проблемой с ВНЧС обратиться в бесплатную поликлинику? Если да, то к какому врачу? Потому что гнатологов там нет. В своих пиздях нашел одного гнатолога в платной клинике, у которого консультация стоит 1к.
>>939452Можешь как вариант сходить к другому врачу, послушать его план лечения. Но вообще удаление при ортодонтическом лечении частенько практикуется и даёт хорошие результаты. От отсутствия этих зубов в будущем ты никак не пострадаешь в принципе. Но скорее всего просто те твои 2 зуба никак не втянуть обратно в зубной ряд, не нарушив при этом правильное смыкание зубов, либо не получив очень сильный наклон зубов в сторону губ - что тоже не есть хорошо. Так что для успокоения души можно послушать альтернативный план лечения, но бояться удаления не стоит
>>942381Расслабь булки, никакого отравления нет у тебя. Прост сходи к стоматологу, чтоб тебе это все доделали, хотя есть варик, что вкладку будут переделывать, если она рили так сильно стёрлась. Лучше уж сейчас правда сходи и сделай эту коронку, а то накусишь что нибудь и зуб вообще треснет, и потом тогда копи денежку на имплантацию овердохуя.
>>942520>>942520Что бы открыть рот полностью, надо немного выдвинуть челюсть вперед, так же щелчки и челюсть немного уходит в сторону при открытии. Плюс ко всему хуевая дикция и головные боли по утрам, которые возможно из-за этого.