[Ответить в тред] Ответить в тред

03/04/16 - Набор в модераторы 03.04 по 8.04
26/03/16 - Конкурс: Помоги гомункулу обрести семью!
15/10/15 - Набор в модераторы 15.10 по 17.10



[Назад][Обновить тред][Вниз][Каталог] [ Автообновление ] 6 | 4 | 3
Назад Вниз Каталог Обновить

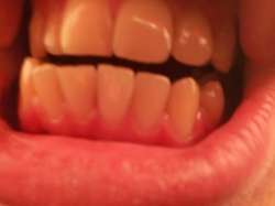
Зубов тред Аноним # OP  04/04/16 Пнд 19:59:18  447224  
14597891588370.jpg (2825Кб, 3264x2448)
14597891588941.jpg (2615Кб, 3264x2448)
Медач, начали беспокоить зубы. Заметил что начало болеть около основания зубов , когда пью и тд. Вообщем оцените зубы, если есть знающие аноны, дайте аналитику. Буду благодарен
Аноним 04/04/16 Пнд 20:04:29  447228
14597894690660.jpg (382Кб, 3000x2983)
бумп
Аноним 04/04/16 Пнд 20:25:44  447239
14597907447260.jpg (762Кб, 1910x2375)
Аноним 04/04/16 Пнд 20:26:03  447240
14597907639050.jpg (42Кб, 596x380)
Аноним 04/04/16 Пнд 22:17:42  447287
сажи залётному школьнику
Аноним 04/04/16 Пнд 22:17:59  447288
сажа
Аноним 04/04/16 Пнд 22:25:52  447294
Лукс лайк гингивит

[Назад][Обновить тред][Вверх][Каталог] [Реквест разбана] [Подписаться на тред] [ ] 6 | 4 | 3
Назад Вверх Каталог Обновить

Топ тредов