[Ответить в тред] Ответить в тред

15/10/15 - Набор в модераторы 15.10 по 17.10
27/09/15 - Двач API — Инструкция к применению
15/09/15 - Про пожертвования и ДДоС



[Назад][Обновить тред][Вниз][Каталог] [ Автообновление ] 3 | 3 | 2
Назад Вниз Каталог Обновить

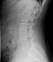
Аноним 04/03/16 Птн 23:15:01  433327  
14571225018330.jpg (50Кб, 586x693)
Позвоночника тред

Сап, медач. Есть спина пикрелейтед. Можно ли выпрямить и нужно ли? Алсо, была глрыжа диска L5-S1, успешно удалена. После этого невролог посоветовал врача лфк у которого этим всем заниматься, проблема в том, что это, сука стоит 3,5к (дс) за час, собственно вопрос, стоит ли? Нужно ли это и не разводят ли меня?
Аноним 04/03/16 Птн 23:38:14  433341
14571238948570.jpg (31Кб, 577x678)
Бамп

Кун 25 лвл
Аноним 05/03/16 Суб 00:24:35  433368
14571266758110.jpg (30Кб, 602x673)
Анон, ну скажи что-нибудь.
Аноним 05/03/16 Суб 07:45:55  433437
>>433341
красивый у тебя позвоночник.

[Назад][Обновить тред][Вверх][Каталог] [Реквест разбана] [Подписаться на тред] [ ] 3 | 3 | 2
Назад Вверх Каталог Обновить

Топ тредов